JavaScript is disabled in your browser. Please enable JavaScript to view this website.
AB229122

Anti-dUTPase 抗体

Anti-dUTPase antibody

Be the first to review this product! Submit a review

|

(3 Publications)

Rabbit Polyclonal dUTPase antibody. Suitable for IP, WB, IHC-P and reacts with Human samples. Cited in 3 publications. Immunogen corresponding to Recombinant Fragment Protein within Human DUT.

別名を表示する

dUTPase, dUTP pyrophosphatase, DUT

3 Images
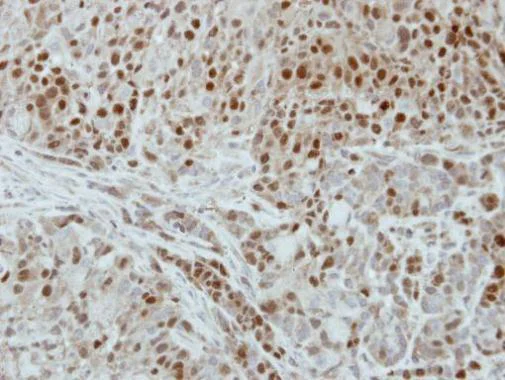
Immunohistochemistry (Formalin/PFA-fixed paraffin-embedded sections) - Anti-dUTPase antibody (AB229122)
  • IHC-P

Supplier Data

Immunohistochemistry (Formalin/PFA-fixed paraffin-embedded sections) - Anti-dUTPase antibody (AB229122)

Paraffin-embedded A549 xenograft tissue stained for dUTPase using ab229122 at 1/500 dilution in immunohistochemical analysis.

Immunoprecipitation - Anti-dUTPase antibody (AB229122)
  • IP

Supplier Data

Immunoprecipitation - Anti-dUTPase antibody (AB229122)

dUTPase was immunoprecipitated from A431 (human epidermoid carcinoma cell line) whole cell extract with 5 μg ab229122. Western blot was performed from the immunoprecipitate using ab229122. Anti-Rabbit IgG was used as a secondary reagent.

Lane 1 : Control IgG IP in A431 whole cell extract.
Lane 2 : ab229122 IP in A431 whole cell extract.

All lanes:

Immunoprecipitation - Anti-dUTPase antibody (ab229122)

Predicted band size: 26 kDa

false

Western blot - Anti-dUTPase antibody (AB229122)
  • WB

Supplier Data

Western blot - Anti-dUTPase antibody (AB229122)

15% SDS-PAGE gel.

All lanes:

Western blot - Anti-dUTPase antibody (ab229122) at 1/1000 dilution

All lanes:

A431 (human epidermoid carcinoma cell line) whole cell lysate at 30 µg

Predicted band size: 26 kDa

false

Key facts

宿主種

Rabbit

クローン性

Polyclonal

アイソタイプ

IgG

キャリアフリー

No

交差種

Human

アプリケーション

IP, WB, IHC-P

applications

免疫原

Recombinant Fragment Protein within Human DUT. The exact immunogen used to generate this antibody is proprietary information.

P33316

Reactivity data

{ "title": "Reactivity Data", "filters": { "stats": ["", "Species", "Dilution Info", "Notes"], "tabs": { "all-applications": {"fullname" : "All Applications", "shortname": "All Applications"}, "IP" : {"fullname" : "Immunoprecipitation", "shortname":"IP"}, "WB" : {"fullname" : "Western blot", "shortname":"WB"}, "IHCP" : {"fullname" : "Immunohistochemistry (Formalin/PFA-fixed paraffin-embedded sections)", "shortname":"IHC-P"} }, "product-promise": { "all": "all", "testedAndGuaranteed": "tested", "guaranteed": "expected", "predicted": "predicted", "notRecommended": "not-recommended" } }, "values": { "Human": { "IP-species-checked": "testedAndGuaranteed", "IP-species-dilution-info": "1/100 - 1/500", "IP-species-notes": "<p></p>", "WB-species-checked": "testedAndGuaranteed", "WB-species-dilution-info": "1/500 - 1/3000", "WB-species-notes": "<p></p>", "IHCP-species-checked": "testedAndGuaranteed", "IHCP-species-dilution-info": "1/100 - 1/1000", "IHCP-species-notes": "<p></p>" } } }

出荷温度及び保存条件

製品の状態
Liquid
精製方法
Affinity purification Immunogen
バッファー組成
pH: 7 Preservative: 0.01% Thimerosal (merthiolate) Constituents: 20% Glycerol (glycerin, glycerine), 1.21% Tris, 0.75% Glycine
出荷温度
Blue Ice
短期保存期間
1-2 weeks
短期保存温度
+4°C
長期保存温度
-20°C
分注に関する情報
Upon delivery aliquot
保管に関する情報
Avoid freeze / thaw cycle

補足情報

This supplementary information is collated from multiple sources and compiled automatically.

The enzyme deoxyuridine triphosphatese also known as dUTPase hydrolyzes dUTP to dUMP and inorganic pyrophosphate. It prevents the incorporation of uracil into DNA which can lead to mutations. The molecular mass of human dUTPase is about 18-20 kDa. It is widely expressed in both prokaryotic and eukaryotic cells including places like the thymus and spleen where DNA synthesis is very active. Alternative names such as DUT or dUTP pyrophosphatase are often used to refer to this enzyme.
Biological function summary

DUTPase maintains nucleotide pool balance and genome integrity. By converting dUTP to dUMP it provides substrates for thymidylate synthase to produce thymidine triphosphate (dTTP) which is essential for DNA replication and repair. dUTPase is not typically part of a larger protein complex but cooperates with other enzymes in nucleotide metabolism. Its activity protects cells from apoptosis that might occur due to extensive uracil misincorporation.

Pathways

DUTPase plays a role in nucleotide metabolism and one-carbon metabolism pathways. It regulates the pyrimidine metabolism pathway ensuring sufficient dTTP levels for DNA synthesis. dUTPase interacts indirectly with proteins like thymidylate synthase and dihydrofolate reductase through these pathways. These interactions aid in maintaining a steady supply of nucleotides important for DNA replication and repair.

Impairments in dUTPase function can relate to cancer and immunodeficiency disorders. In some cancers altered dUTPase expression affects the sensitivity to chemotherapeutic agents particularly those targeting thymidylate synthesis. In certain immunodeficiencies dUTPase malfunction leads to increased uracil incorporation compromising DNA integrity. The enzyme connects with proteins such as thymidylate synthase in these diseases due to its role in managing nucleotide pools critical for cell proliferation.

製品プロトコール

For this product, it's our understanding that no specific protocols are required. You can visit:

ターゲットの情報

Catalyzes the cleavage of 2'-deoxyuridine 5'-triphosphate (dUTP) into 2'-deoxyuridine 5'-monophosphate (dUMP) and inorganic pyrophosphate and through its action efficiently prevents uracil misincorporation into DNA and at the same time provides dUMP, the substrate for de novo thymidylate biosynthesis (PubMed : 17880943, PubMed : 8631816, PubMed : 8805593). Inhibits peroxisome proliferator-activated receptor (PPAR) activity by binding of its N-terminal to PPAR, preventing the latter's dimerization with retinoid X receptor (By similarity). Essential for embryonic development (By similarity).
See full target information DUT

文献 (3)

Recent publications for all applications. Explore the full list and refine your search

The Journal of clinical investigation 131: PubMed33630758

2021

Deficiency of macrophage PHACTR1 impairs efferocytosis and promotes atherosclerotic plaque necrosis.

Applications

Unspecified application

Species

Unspecified reactive species

Canan Kasikara,Maaike Schilperoort,Brennan Gerlach,Chenyi Xue,Xiaobo Wang,Ze Zheng,George Kuriakose,Bernhard Dorweiler,Hanrui Zhang,Gabrielle Fredman,Danish Saleheen,Muredach P Reilly,Ira Tabas

Molecular cancer therapeutics 20:64-75 PubMed33087508

2020

Reprogramming of Nucleotide Metabolism Mediates Synergy between Epigenetic Therapy and MAP Kinase Inhibition.

Applications

Unspecified application

Species

Unspecified reactive species

Tatiana Shorstova,Jie Su,Tiejun Zhao,Michael Dahabieh,Matthew Leibovitch,Mariana De Sa Tavares Russo,Daina Avizonis,Shivshankari Rajkumar,Ian R Watson,Sonia V Del Rincón,Wilson H Miller,William D Foulkes,Michael Witcher

Cancer cell 37:340-353.e6 PubMed32109375

2020

CDK4/6 Inhibitors Impair Recovery from Cytotoxic Chemotherapy in Pancreatic Adenocarcinoma.

Applications

Unspecified application

Species

Unspecified reactive species

Beatriz Salvador-Barbero,Mónica Álvarez-Fernández,Elisabet Zapatero-Solana,Aicha El Bakkali,María Del Camino Menéndez,Pedro P López-Casas,Tomas Di Domenico,Tao Xie,Todd VanArsdale,David J Shields,Manuel Hidalgo,Marcos Malumbres
View all publications

Abcam product promise

当社は、高品質な試薬を通じてお客様の研究を力強くサポートすることをお約束いたします。ご使用いただく各段階で、常にお客様をサポートできる体制を整えております。万が一、製品が期待通りに機能しない場合は、「Abcam Product Promise」による当社保証制度に基づき、安心してご利用いただけます。
保証に関する詳細については利用規約をご確認ください。

Please note: All products are 'FOR RESEARCH USE ONLY. NOT FOR USE IN DIAGNOSTIC OR THERAPEUTIC PROCEDURES'.

For licensing inquiries, please contact partnerships@abcam.com