JavaScript is disabled in your browser. Please enable JavaScript to view this website.
AB207175

Anti-Doublecortin 抗体 [EPR19997]

Anti-Doublecortin antibody [EPR19997]

3

(3 Reviews)

|

(50 Publications)

Anti-Doublecortin antibody [EPR19997] (ab207175) is a rabbit monoclonal antibody detecting Doublecortin in Western Blot, IHC-P, IHC-Fr, ICC/IF. Suitable for Human, Mouse, Rat.

- Biophysical QC for unrivalled batch-batch consistency
- Over 20 publications

別名を表示する

DBCN, LISX, DCX, Neuronal migration protein doublecortin, Doublin, Lissencephalin-X, Lis-X

8 Images
Immunocytochemistry/ Immunofluorescence - Anti-Doublecortin antibody [EPR19997] (AB207175)
  • ICC/IF

Supplier Data

Immunocytochemistry/ Immunofluorescence - Anti-Doublecortin antibody [EPR19997] (AB207175)

Immunofluorescent analysis of 100% Methanol-fixed SH-SY5Y (Human neuroblastoma cell line from bone marrow) cells labeling Doublecortin with ab207175 at 1/250 dilution, followed by Goat anti-rabbit IgG (Alexa Fluor® 488) (ab150077) secondary antibody at 1/1000 dilution (green). Confocal image showing cytoplasmic staining on SH-SY5Y cell line.

The nuclear counter stain is DAPI (blue). Tubulin is detected with ab195889 (Anti-alpha Tubulin antibody [DM1A] - Microtubule Marker (Alexa Fluor® 594)) at 1/200 dilution (red).

Secondary antibody only control : Used PBS instead of primary antibody, secondary antibody is Goat anti-rabbit IgG (Alexa Fluor® 488) (ab150077) at 1/1000 dilution.

Immunohistochemistry (Frozen sections) - Anti-Doublecortin antibody [EPR19997] (AB207175)
  • IHC-Fr

Supplier Data

Immunohistochemistry (Frozen sections) - Anti-Doublecortin antibody [EPR19997] (AB207175)

Immunohistochemical analysis of 4% paraformaldehyde-fixed, 0.2% Triton X-100 permeabilized frozen rat adult hippocampus tissue labeling Doublecortin with ab207175 at 1/100 dilution, followed by Goat anti-rabbit IgG (Alexa Fluor® 488) (ab150077) secondary antibody at 1/1000 dilution (green). Cytoplasmic staining on rat hippocampal dentate gyrus is observed [PMID : 23690918] [PMID : 16814555]. The nuclear counterstain is DAPI (blue).

Secondary antibody only control : Used PBS instead of primary antibody, secondary antibody is Goat anti-rabbit IgG (Alexa Fluor® 488) (ab150077) secondary antibody at 1/1000 dilution.

Immunohistochemistry (Formalin/PFA-fixed paraffin-embedded sections) - Anti-Doublecortin antibody [EPR19997] (AB207175)
  • IHC-P

Lab

Immunohistochemistry (Formalin/PFA-fixed paraffin-embedded sections) - Anti-Doublecortin antibody [EPR19997] (AB207175)

IHC image of Doublecortin staining in a formalin fixed, paraffin embedded normal rat hippocampus (SVZ region) tissue section, performed on a Leica Bond™ system using the standard protocol F. The section was pre-treated using heat mediated antigen retrieval with sodium citrate buffer (pH6, epitope retrieval solution 1) for 20 mins. The section was then incubated with ab207175 at 1/500 dilution for 15 mins at room temperature and detected using an HRP conjugated compact polymer system. DAB was used as the chromogen. The section was then counterstained with haematoxylin and mounted with DPX. As a negative control (inset), an identical assay was performed without adding the primary antibody.

For other IHC staining systems (automated and non-automated) customers should optimize variable parameters such as antigen retrieval conditions, primary antibody concentration and antibody incubation times.

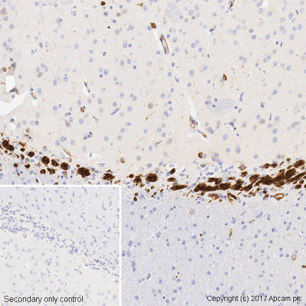
Immunohistochemistry (Formalin/PFA-fixed paraffin-embedded sections) - Anti-Doublecortin antibody [EPR19997] (AB207175)
  • IHC-P

Supplier Data

Immunohistochemistry (Formalin/PFA-fixed paraffin-embedded sections) - Anti-Doublecortin antibody [EPR19997] (AB207175)

Immunohistochemical analysis of paraffin-embedded rat adult hippocampus tissue labeling Doublecortin with ab207175 at 1/250 dilution, followed by Goat Anti-Rabbit IgG H&L (HRP) (ab97051) at 1/500 dilution. Cytoplasmic staining on rat hippocampal dentate gyrus is observed [PMID : 23690918] [PMID : 16814555]. Counter stained with Hematoxylin.

Secondary antibody only control : Used PBS instead of primary antibody, secondary antibody is Goat Anti-Rabbit IgG H&L (HRP) (ab97051) at 1/500 dilution.

Perform heat mediated antigen retrieval with Tris/EDTA buffer pH 9.0 before commencing with IHC staining protocol.

Immunohistochemistry (Formalin/PFA-fixed paraffin-embedded sections) - Anti-Doublecortin antibody [EPR19997] (AB207175)
  • IHC-P

Supplier Data

Immunohistochemistry (Formalin/PFA-fixed paraffin-embedded sections) - Anti-Doublecortin antibody [EPR19997] (AB207175)

Immunohistochemical analysis of paraffin-embedded mouse adult hippocampus tissue labeling Doublecortin with ab207175 at 1/250 dilution, followed by Goat Anti-Rabbit IgG H&L (HRP) (ab97051) at 1/500 dilution. Cytoplasmic staining on mouse hippocampal dentate gyrus is observed [PMID : 23690918] [PMID : 16814555]. Counter stained with Hematoxylin.

Secondary antibody only control : Used PBS instead of primary antibody, secondary antibody is Goat Anti-Rabbit IgG H&L (HRP) (ab97051) at 1/500 dilution.

Perform heat mediated antigen retrieval with Tris/EDTA buffer pH 9.0 before commencing with IHC staining protocol.

Western blot - Anti-Doublecortin antibody [EPR19997] (AB207175)
  • WB

Supplier Data

Western blot - Anti-Doublecortin antibody [EPR19997] (AB207175)

Blocking/Dilution buffer : 5% NFDM/TBST.

The higher molecular weight band is phosphorylated form and the lower molecular weight band is non-phosphorylated form. (PMID : 17178868).

Doublecortin is highly expressed during embryonic development and downregulated in adult tissues. (PMID : 10399933).

All lanes:

Western blot - Anti-Doublecortin antibody [EPR19997] (ab207175) at 1/10000 dilution

Lane 1:

Human fetal brain lysate at 20 µg

Lane 2:

Human brain lysate at 20 µg

Secondary

All lanes:

Western blot - Goat Anti-Rabbit IgG H&L (HRP) (<a href='/products/secondary-antibodies/goat-rabbit-igg-h-l-hrp-ab97051'>ab97051</a>) at 1/100000 dilution

Predicted band size: 49 kDa

Observed band size: 40 kDa

false

Exposure time: 3s

Western blot - Anti-Doublecortin antibody [EPR19997] (AB207175)
  • WB

Supplier Data

Western blot - Anti-Doublecortin antibody [EPR19997] (AB207175)

Blocking/Dilution buffer : 5% NFDM/TBST.

Exposure times : Lane 1 : 15 seconds; Lane 2 : 3 minutes.

The higher molecular weight band is phosphorylated form and the lower molecular weight band is non-phosphorylated form. (PMID : 17178868).

Doublecortin is highly expressed during embryonic development and downregulated in adult tissues. (PMID : 10399933).

All lanes:

Western blot - Anti-Doublecortin antibody [EPR19997] (ab207175) at 1/10000 dilution

Lane 1:

SH-SY5Y (Human neuroblastoma cell line from bone marrow) whole cell lysate at 20 µg

Lane 2:

Mouse brain lysate at 20 µg

Secondary

All lanes:

Western blot - Goat Anti-Rabbit IgG H&L (HRP) (<a href='/products/secondary-antibodies/goat-rabbit-igg-h-l-hrp-ab97051'>ab97051</a>) at 1/100000 dilution

Predicted band size: 49 kDa

Observed band size: 40 kDa

false

Western blot - Anti-Doublecortin antibody [EPR19997] (AB207175)
  • WB

Supplier Data

Western blot - Anti-Doublecortin antibody [EPR19997] (AB207175)

Blocking/Dilution buffer : 5% NFDM/TBST.

Exposure times : Lane 1-4 : 3 minutes; Lane 5/6 : 10 seconds.

The observed expression profile is consistent with what has been described in the literature (PMID : 10550327).

All lanes:

Western blot - Anti-Doublecortin antibody [EPR19997] (ab207175) at 1/1000 dilution

Lane 1:

Human fetal brain lysate at 10 µg

Lane 2:

Human fetal heart lysate at 10 µg

Lane 3:

Mouse brain lysate at 10 µg

Lane 4:

Mouse heart lysate at 10 µg

Lane 5:

Rat brain lysate at 10 µg

Lane 6:

Rat heart lysate at 10 µg

Secondary

All lanes:

Western blot - Goat Anti-Rabbit IgG H&L (HRP) (<a href='/products/secondary-antibodies/goat-rabbit-igg-h-l-hrp-ab97051'>ab97051</a>) at 1/100000 dilution

Predicted band size: 49 kDa

Observed band size: 40 kDa

false

関連する標識済み抗体及び組成の異なる製品 (5)

  • 519 Alexa Fluor® 488

    Alexa Fluor® 488 Anti-Doublecortin antibody [EPR19997]

  • 665 Alexa Fluor® 647

    Alexa Fluor® 647 Anti-Doublecortin antibody [EPR19997]

  • Carrier free

    Anti-Doublecortin antibody [EPR19997] - BSA and Azide free

  • Biotin

    Biotin Anti-Doublecortin antibody [EPR19997] (Detector)

  • Carrier free

    Anti-Doublecortin antibody [EPR19997] - BSA and Azide free (Detector)

Key facts

宿主種

Rabbit

クローン性

Monoclonal

クローン番号

EPR19997

アイソタイプ

IgG

キャリアフリー

No

交差種

Mouse, Rat, Human

アプリケーション

ICC/IF, IHC-P, WB, IHC-Fr

applications

免疫原

The exact immunogen used to generate this antibody is proprietary information.

Reactivity data

{ "title": "Reactivity Data", "filters": { "stats": ["", "Species", "Dilution Info", "Notes"], "tabs": { "all-applications": {"fullname" : "All Applications", "shortname": "All Applications"}, "WB" : {"fullname" : "Western blot", "shortname":"WB"}, "ICCIF" : {"fullname" : "Immunocytochemistry/ Immunofluorescence", "shortname":"ICC/IF"}, "IHCFr" : {"fullname" : "Immunohistochemistry (Frozen sections)", "shortname":"IHC-Fr"}, "IHCP" : {"fullname" : "Immunohistochemistry (Formalin/PFA-fixed paraffin-embedded sections)", "shortname":"IHC-P"} }, "product-promise": { "all": "all", "testedAndGuaranteed": "tested", "guaranteed": "expected", "predicted": "predicted", "notRecommended": "not-recommended" } }, "values": { "Human": { "WB-species-checked": "testedAndGuaranteed", "WB-species-dilution-info": "1/1000", "WB-species-notes": "<p></p>", "ICCIF-species-checked": "testedAndGuaranteed", "ICCIF-species-dilution-info": "1/250", "ICCIF-species-notes": "<p></p>", "IHCFr-species-checked": "notRecommended", "IHCFr-species-dilution-info": "1/100", "IHCFr-species-notes": "<p>Antigen retrieval: Heated citrate solution (10mM citrate PH 6.0 + 0.05% Tween-20). IHC-Fr is only recommended for rat species.</p>", "IHCP-species-checked": "guaranteed", "IHCP-species-dilution-info": "", "IHCP-species-notes": "" }, "Mouse": { "WB-species-checked": "testedAndGuaranteed", "WB-species-dilution-info": "1/1000", "WB-species-notes": "<p></p>", "ICCIF-species-checked": "guaranteed", "ICCIF-species-dilution-info": "", "ICCIF-species-notes": "", "IHCFr-species-checked": "notRecommended", "IHCFr-species-dilution-info": "1/100", "IHCFr-species-notes": "<p>Antigen retrieval: Heated citrate solution (10mM citrate PH 6.0 + 0.05% Tween-20). IHC-Fr is only recommended for rat species.</p>", "IHCP-species-checked": "testedAndGuaranteed", "IHCP-species-dilution-info": "1/250", "IHCP-species-notes": "<p></p>" }, "Rat": { "WB-species-checked": "testedAndGuaranteed", "WB-species-dilution-info": "1/1000", "WB-species-notes": "<p></p>", "ICCIF-species-checked": "guaranteed", "ICCIF-species-dilution-info": "", "ICCIF-species-notes": "", "IHCFr-species-checked": "testedAndGuaranteed", "IHCFr-species-dilution-info": "1/100", "IHCFr-species-notes": "<p>Antigen retrieval: Heated citrate solution (10mM citrate PH 6.0 + 0.05% Tween-20). IHC-Fr is only recommended for rat species.</p>", "IHCP-species-checked": "testedAndGuaranteed", "IHCP-species-dilution-info": "1/250", "IHCP-species-notes": "<p></p>" } } }

製品の詳細

What is this antibody validated in?
Anti-Doublecortin antibody [EPR19997] (ab207175) is a rabbit recombinant monoclonal antibody and is validated for use in Western Blot (WB), Immunohistochemistry (IHC-P), Immunohistochemistry (IHC-Fr), Immunocytochemistry/immunofluorescence (ICC/IF) in Human, Mouse, Rat samples.

What is the molecular weight of Doublecortin?
Anti-Doublecortin [EPR19997] (ab207175) specifically detects a band for Doublecortin (UniProt: O43602) at a molecular weight of 40kDa.

Trusted by the scientific community
Anti-Doublecortin [EPR19997] (ab207175) was first used in a scientific publication in 2016 and has been cited over 20 times in peer-reviewed journals.

Trial sizes available!
Test your antibody or perform pre-screening before committing to a larger quantity. Sold in 10µl. Discover our selection of trial-size antibodies.

Other related products
We have a range of other formats of antibody clone [EPR19997] also available for your convenience: ab207175, Carrier free - ab222921, Carrier free - ab244906, Alexa Fluor® 488 - ab305266, Alexa Fluor® 647 - ab307383, Biotin - ab322840

Patented technology
Our RabMAb® technology is a patented hybridoma-based technology for making rabbit monoclonal antibodies. For details on our patents, please refer to RabMAb® patents.

What are the advantages of a recombinant monoclonal antibody?
This product is a recombinant monoclonal antibody, which offers several advantages including:

  • - High batch-to-batch consistency and reproducibility
  • - Improved sensitivity and specificity
  • - Long-term security of supply
  • - Animal-free batch production

For more information, read more on recombinant antibodies.

出荷温度及び保存条件

製品の状態
Liquid
精製方法
Affinity purification Protein A
バッファー組成
pH: 7.2 - 7.4 Preservative: 0.01% Sodium azide Constituents: PBS, 40% Glycerol (glycerin, glycerine), 0.05% BSA
出荷温度
Blue Ice
短期保存期間
1-2 weeks
短期保存温度
+4°C
長期保存温度
-20°C
分注に関する情報
Upon delivery aliquot
保管に関する情報
Avoid freeze / thaw cycle

製品プロトコール

For this product, it's our understanding that no specific protocols are required. You can visit:

ターゲットの情報

Microtubule-associated protein required for initial steps of neuronal dispersion and cortex lamination during cerebral cortex development. May act by competing with the putative neuronal protein kinase DCLK1 in binding to a target protein. May in that way participate in a signaling pathway that is crucial for neuronal interaction before and during migration, possibly as part of a calcium ion-dependent signal transduction pathway. May be part with PAFAH1B1/LIS-1 of overlapping, but distinct, signaling pathways that promote neuronal migration.
See full target information DCX

文献 (50)

Recent publications for all applications. Explore the full list and refine your search

Regenerative therapy 30:641-655 PubMed40896181

2025

Printable biomaterials for 3D brain regenerative scaffolds: An in vivo biocompatibility assessment.

Applications

Unspecified application

Species

Unspecified reactive species

Maylis Combeau,Nina Colitti,Julien Clauzel,Franck Desmoulin,Adrien Brilhault,Juliette Fitremann,Mickaël Chabbert,Matthew L Becker,Sébastien Blanquer,Lorenne Robert,Melissa Parny,Isabelle Raymond-Letron,Carla Cirillo,Isabelle Loubinoux

Antioxidants (Basel, Switzerland) 14: PubMed40867851

2025

Ameliorates Cognitive Impairment in Hyperlipidemic ApoE Mice via Modulation of Oxidative Stress and Neuronal Differentiation.

Applications

Unspecified application

Species

Unspecified reactive species

Chiung-Huei Peng,Hsin-Wen Liang,Chau-Jong Wang,Chien-Ning Huang,Huei-Jane Lee

Journal of extracellular vesicles 14:e70110 PubMed40545933

2025

Clinical Scale MSC-Derived Extracellular Vesicles Enhance Poststroke Neuroplasticity in Rodents and Non-Human Primates.

Applications

Unspecified application

Species

Unspecified reactive species

Eun Hee Kim,Jeong Pyo Son,Gyun Sik Oh,Suji Park,Eunchong Hong,Kyoung-Sun Lee,Michael Chopp,Oh Young Bang

Molecular neurobiology 62:11948-11961 PubMed40338456

2025

Exercise-Induced Hippocampal Neurogenesis Is Attenuated by Inhibition of Monocarboxylate Transporter 2.

Applications

Unspecified application

Species

Unspecified reactive species

Deunsol Hwang,Taeho Kim,Sunghwan Kyun,Inkwon Jang,Jisu Kim,Hun-Young Park,Sung-Woo Kim,Kiwon Lim

Neurobiology of stress 34:100708 PubMed39877695

2025

Corticosterone-induced postpartum depression induces depression-like behavior and impairs hippocampal neurogenesis in adolescent offspring via HPA axis and BDNF-mTOR pathway.

Applications

Unspecified application

Species

Unspecified reactive species

Hongxiao Xie,Yanning Jiang,Xiumeng Zhang,Xinran Min,Jiuseng Zeng,Li Chen,Nan Zeng,Rong Liu

Acta neuropathologica communications 13:16 PubMed39871308

2025

ROS-regulated SUR1-TRPM4 drives persistent activation of NLRP3 inflammasome in microglia after whole-brain radiation.

Applications

Unspecified application

Species

Unspecified reactive species

Yuan Chang,Yihua He,Di Wang,Kunxue Zhang,Yuzhen Zhang,Zhentong Li,Shuxin Zeng,Sheng Xiao,Suyue Pan,Kaibin Huang

Translational stroke research 16:1577-1593 PubMed39853651

2025

Neuroprotective Effects, Mechanisms of Action and Therapeutic Potential of the Kv7/KCNQ Channel Opener QO-83 in Ischemic Stroke.

Applications

Unspecified application

Species

Unspecified reactive species

Huiran Zhang,Yanfei Tian,Yan Zhang,Yan Wang,Jinlong Qi,Xiangyu Wang,Yi Yuan,Rong Chen,Yupeng Zhao,Chang Liu,Najing Zhou,Lanxin Liu,Han Hao,Xiaona Du,Hailin Zhang

Scientific reports 15:1987 PubMed39814837

2025

Human neural rosettes secrete bioactive extracellular vesicles enriched in neuronal and glial cellular components.

Applications

Unspecified application

Species

Unspecified reactive species

Malena Herrera Lopez,Matías Bertone Arolfo,Mónica Remedi,Laura Gastaldi,Carlos Wilson,Gonzalo G Guendulain,Danilo Ceschin,Andrés Cardozo Gizzi,Alfredo Cáceres,Ana Lis Moyano

Frontiers in pharmacology 15:1461279 PubMed39749196

2025

Catalpol promotes hippocampal neurogenesis and synaptogenesis in rats after multiple cerebral infarctions by mitochondrial regulation: involvement of the Shh signaling pathway.

Applications

Unspecified application

Species

Unspecified reactive species

Zishan Huang,Feng Li,Xiaoyu Zheng,Jiarui Zheng,Yilei Dong,Zhao Ding,Huanyu Gou,Mingjiang Yao,Jianxun Liu

Molecular medicine (Cambridge, Mass.) 30:272 PubMed39719558

2024

Doublecortin regulates the mitochondrial-dependent apoptosis in glioma via Rho-A/Net-1/p38-MAPK signaling.

Applications

Unspecified application

Species

Unspecified reactive species

Iqra Nadeem,Zhou Han,Hong Xiaoliang,Seyram Yao Adzraku,Piniel Alphayo Kambey,Kouminin Kanwore,Mu Peipei,Adebayo Oluwafemi Adekunle,Joseph Adu-Amankwaah,Abiola Abdulrahman Ayanlaja,Yi Zheng,Gao Dianshuai,Xiaomei Liu,Yuanjian Song
View all publications

Abcam product promise

当社は、高品質な試薬を通じてお客様の研究を力強くサポートすることをお約束いたします。ご使用いただく各段階で、常にお客様をサポートできる体制を整えております。万が一、製品が期待通りに機能しない場合は、「Abcam Product Promise」による当社保証制度に基づき、安心してご利用いただけます。
保証に関する詳細については利用規約をご確認ください。

Please note: All products are 'FOR RESEARCH USE ONLY. NOT FOR USE IN DIAGNOSTIC OR THERAPEUTIC PROCEDURES'.

For licensing inquiries, please contact partnerships@abcam.com