JavaScript is disabled in your browser. Please enable JavaScript to view this website.
AB307503

Anti-Dnmt3a 抗体 [EPR26805-273]

Anti-Dnmt3a antibody [EPR26805-273]

  • BOND RX™ Validated
  • 20ul selling size
  • RabMAb
  • Recombinant
  • KO Validated
  • Advanced Validation
  • 詳細を見る

Be the first to review this product! Submit a review

|

(12 Publications)

Rabbit Recombinant Monoclonal Dnmt3a antibody. Suitable for ChIC/CUT&RUN-seq, IP, Flow Cyt (Intra), ICC/IF, IHC-P, WB and reacts with Human, Mouse, Rat samples. Cited in 12 publications.

別名を表示する

DNA (cytosine-5)-methyltransferase 3A, Dnmt3a, Cysteine methyltransferase DNMT3A, DNA methyltransferase HsaIIIA, DNA MTase HsaIIIA, M.HsaIIIA, DNMT3A

9 Images
Immunocytochemistry/ Immunofluorescence - Anti-Dnmt3a antibody [EPR26805-273] (AB307503)
  • ICC/IF

Supplier Data

Immunocytochemistry/ Immunofluorescence - Anti-Dnmt3a antibody [EPR26805-273] (AB307503)

Immunofluorescent analysis of 4% Paraformaldehyde-fixed, 0.1% TritonX-100 permeABilized NCCIT (human pluripotent embryonic carcinoma epithelial cell) cells lABelling Dnmt3a with ab307503 at 1/100 (5.3 ug/ml) dilution, followed by ab150081 Goat Anti-RABbit IgG H&L (Alexa Fluor? 488) preadsorbed antibody at 1/1000 2 ug/ml dilution (Green). Confocal image showing nuclear staining in NCCIT cell line.Image was taken with a confocal microscope(Leica-Microsystems, TCS SP8). is observed. ab195889 Anti-alpha Tubulin mouse monoclonal antibody - Microtubule Marker (Alexa Fluor? 594) was used to counterstain tubulin at 1/200 2.5ug/ml dilution (Red). The Nuclear counterstain was DAPI (Blue). Secondary antibody only control : Secondary antibody is ab150081 Goat Anti-RABbit IgG H&L (Alexa Fluor? 488) preadsorbed at 1/1000 2 ug/ml dilution.

Flow Cytometry (Intracellular) - Anti-Dnmt3a antibody [EPR26805-273] (AB307503)
  • Flow Cyt (Intra)

Supplier Data

Flow Cytometry (Intracellular) - Anti-Dnmt3a antibody [EPR26805-273] (AB307503)

Flow cytometric analysis of 4% paraformaldehyde fixed 90% methanol permeabilized NCCIT (human pluripotent embryonic carcinoma epithelial cell) cells labelling Dnmt3a with ab307503 at 1/500 dilution (0.1ug) (Red) compared with a Rabbit monoclonal IgG (ab172730) (Black) isotype control and an unlabelled control (cells without incubation with primary antibody and secondary antibody) (Blue). A Goat Anti-Rabbit IgG (Alexa Fluor® 488, ab150081) at 1/2000 dilution was used as the secondary antibody.

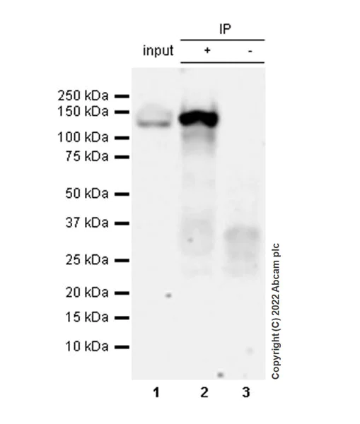
Immunoprecipitation - Anti-Dnmt3a antibody [EPR26805-273] (AB307503)
  • IP

Supplier Data

Immunoprecipitation - Anti-Dnmt3a antibody [EPR26805-273] (AB307503)

Dnmt3a was immunoprecipitated from 0.35 mg HeLa (human cervix adenocarcinoma epithelial cell) whole cell lysate 10 ug with ab307503 at 1/30 dilution (2ug in 0.35mg lysates). Western blot was performed on the immunoprecipitate using ab307503 at 1/1000 dilution. VeriBlot for IP secondary antibody (HRP) (ab131366) was used at 1/5000 dilution.

Lane 1 : HeLa (human cervix adenocarcinoma epithelial cell) whole cell lysate 10 ug
Lane 2 : ab307503 IP in HeLa whole cell lysate
Lane 3 : Rabbit monoclonal IgG (ab172730) instead of ab307503 in Hela whole cell lysate

Blocking and dilution buffer and concentration : 5% NFDM/TBST.

Exposure time : 180 seconds

All lanes:

Immunoprecipitation - Anti-Dnmt3a antibody [EPR26805-273] (ab307503) at 1/1000 dilution

Lane 1:

HeLa (human cervix adenocarcinoma epithelial cell) whole cell lysate 10 μg

Lane 2:

HeLa whole cell lysate

Lane 3:

Rabbit monoclonal IgG (<a href='/products/primary-antibodies/rabbit-igg-monoclonal-epr25a-isotype-control-ab172730'>ab172730</a>) instead of ab307503 in Hela whole cell lysate

Secondary

All lanes:

Immunoprecipitation - VeriBlot for IP Detection Reagent (HRP) (<a href='/products/reagents/veriblot-for-ip-detection-reagent-hrp-ab131366'>ab131366</a>) at 1/5000 dilution

Observed band size: 125 kDa

false

Exposure time: 180s

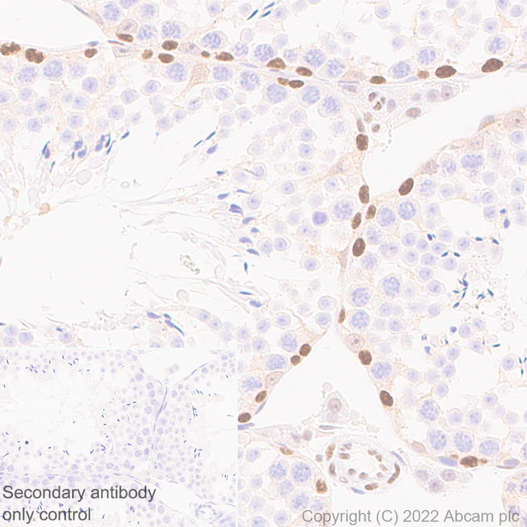
Immunohistochemistry (Formalin/PFA-fixed paraffin-embedded sections) - Anti-Dnmt3a antibody [EPR26805-273] (AB307503)
  • IHC-P

Supplier Data

Immunohistochemistry (Formalin/PFA-fixed paraffin-embedded sections) - Anti-Dnmt3a antibody [EPR26805-273] (AB307503)

Immunohistochemical analysis of paraffin-embedded Mouse testis tissue lABeling Dnmt3a with ab307503 at 1/1000 (0.532 ug/ml) followed by a ready to use LeicaDS9800 (Bond? Polymer Refine Detection) was used. Nuclear staining on mouse testis.The section was incubated with ab307503 for 30 mins at room temperature.The immunostaining was performed on a Leica Biosystems BOND? RX instrument Counterstained with Hematoxylin. Secondary antibody only control : Secondary antibody is a ready to use LeicaDS9800 (Bond? Polymer Refine Detection) was used. Heat mediated antigen retrieval was performed with Citrate buffer (pH 6.0, Epitope Retrieval Solution 1) for 20 mins

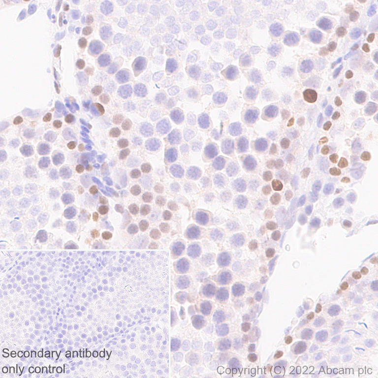
Immunohistochemistry (Formalin/PFA-fixed paraffin-embedded sections) - Anti-Dnmt3a antibody [EPR26805-273] (AB307503)
  • IHC-P

Supplier Data

Immunohistochemistry (Formalin/PFA-fixed paraffin-embedded sections) - Anti-Dnmt3a antibody [EPR26805-273] (AB307503)

Immunohistochemical analysis of paraffin-embedded Rat testis tissue lABeling Dnmt3a with ab307503 at 1/1000 (0.532 ug/ml) followed by a ready to use LeicaDS9800 (Bond? Polymer Refine Detection) was used. Nuclear staining on rat testis.The section was incubated with ab307503 for 30 mins at room temperature.The immunostaining was performed on a Leica Biosystems BOND? RX instrument Counterstained with Hematoxylin. Secondary antibody only control : Secondary antibody is a ready to use LeicaDS9800 (Bond? Polymer Refine Detection) was used. Heat mediated antigen retrieval was performed with Citrate buffer (pH 6.0, Epitope Retrieval Solution 1) for 20 mins

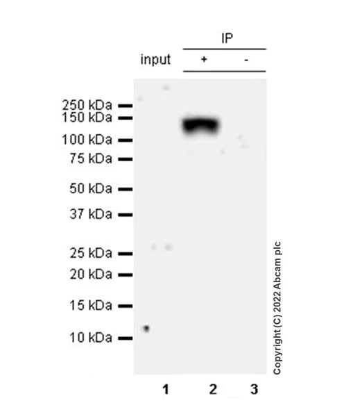
Immunoprecipitation - Anti-Dnmt3a antibody [EPR26805-273] (AB307503)
  • IP

Supplier Data

Immunoprecipitation - Anti-Dnmt3a antibody [EPR26805-273] (AB307503)

Dnmt3a was immunoprecipitated from 0.35 mg Mouse brain tissue lysate 10 ug with ab307503 at 1/30 dilution (2ug in 0.35mg lysates). Western blot was performed on the immunoprecipitate using ab307503 at 1/1000 dilution. VeriBlot for IP secondary antibody(HRP)(ab131366) was used at 1/5000 dilution. Lane 1 : Mouse brain tissue lysate 10 ug Lane 2 : ab307503 IP in Mouse brain tissue lysate Lane 3 : Rabbit monoclonal IgG (ab172730) instead of ab307503 in mouse brain tissue lysate Blocking and dilution buffer and concentration : 5% NFDM/TBST. Exposure time : 93 seconds

All lanes:

Immunoprecipitation - Anti-Dnmt3a antibody [EPR26805-273] (ab307503) at 1/1000 dilution

Lane 1:

Mouse brain tissue lysate 10 μg

Lane 2:

Mouse brain tissue lysate

Lane 3:

Rabbit monoclonal IgG (<a href='/products/primary-antibodies/rabbit-igg-monoclonal-epr25a-isotype-control-ab172730'>ab172730</a>) instead of ab307503 in mouse brain tissue lysate

Secondary

All lanes:

Immunoprecipitation - VeriBlot for IP Detection Reagent (HRP) (<a href='/products/reagents/veriblot-for-ip-detection-reagent-hrp-ab131366'>ab131366</a>) at 1/5000 dilution

Observed band size: 125 kDa

false

Exposure time: 93s

Western blot - Anti-Dnmt3a antibody [EPR26805-273] (AB307503)
  • WB

Supplier Data

Western blot - Anti-Dnmt3a antibody [EPR26805-273] (AB307503)

Blocking and diluting buffer and concentration : 5% NFDM/TBSTThe expression profile/ molecular weight observed is consistent with what has been described in the literature (PMID : 31956100). Lysates were freshly made and used for Western blotting immediately to minimize protein degradation. Exposure time : 103 seconds

All lanes:

Western blot - Anti-Dnmt3a antibody [EPR26805-273] (ab307503) at 1/1000 dilution

Lane 1:

HEK-293 (human embryonic kidney epithelial cell) whole cell lysate 20 μg

Lane 2:

C6 (rat glial tumor glial cell) whole cell lysate 20 μg

Lane 3:

Mouse brain tissue lysate 20 μg

Lane 4:

NCCIT (human pluripotent embryonic carcinoma epithelial cell) whole cell lysate 20 μg

Secondary

All lanes:

Western blot - Goat Anti-Rabbit IgG H&L (HRP) (<a href='/products/secondary-antibodies/goat-rabbit-igg-h-l-hrp-ab97051'>ab97051</a>) at 1/100000 dilution

Observed band size: 85 kDa,125 kDa

false

Exposure time: 103s

Western blot - Anti-Dnmt3a antibody [EPR26805-273] (AB307503)
  • WB

Supplier Data

Western blot - Anti-Dnmt3a antibody [EPR26805-273] (AB307503)

Blocking and diluting buffer and concentration : Intercept® (TBS) Blocking Buffer diluted with an equal volume of 0.1% TBS. The samples were run on a Bis-Tris gel.

False colour image of Western blot : Anti-Dnmt3a antibody ab307503 staining at 1/1000 dilution, shown in green; Mouse anti-GAPDH antibody 6C5 loading control staining at 1/20000 dilution, shown in red. In Western blot, ab307503 was shown to bind specifically to Dnmt3a. A band was observed at 125 kDa in wild-type Hela cell lysates whereas no signal observed at this size in Dnmt3a knockout cell line (ab261793). To generate this image, wild-type and Dnmt3a knockout Hela cell lysates were analyzed. First, samples were run on a SDS-PAGE gel then transferred onto an immobilon-FL PVDF membrane. Membranes were blocked in in Intercept® (TBS) Blocking Buffer diluted with an equal volume of 0.1% TBS before incubation with primary antibodies overnight at 4 °C. Blots were washed four times in TBS-T, incubated with secondary antibodies for 1 h at room temperature, washed again four times then imaged. Secondary antibodies used were Goat anti-Rabbit IgG H&L (IRDye® 800CW) preabsorbed (ab216773) at 1/10000 dilution and Goat anti-Mouse IgG H&L (IRDye® 680RD) preabsorbed (ab216776) at 1/20000 dilution.

All lanes:

Western blot - Anti-Dnmt3a antibody [EPR26805-273] (ab307503) at 1/1000 dilution

Lane 1:

Wild-type Hela whole cell lysate 20 μg

Lane 2:

Western blot - Human DNMT3A knockout HeLa cell line (<a href='/products/cell-lines/human-dnmt3a-knockout-hela-cell-line-ab261793'>ab261793</a>)

Lane 2:

Dnmt3a knockout Hela whole cell lysate 20 μg

Lane 3:

Mouse brain tissue lysate 20 μg

Secondary

Lanes 1 - 3:

Western blot - Goat anti-Rabbit IgG H&L (IRDye® 800CW) preadsorbed (<a href='/products/secondary-antibodies/goat-rabbit-igg-h-l-irdye-800cw-preadsorbed-ab216773'>ab216773</a>) at 1/10000 dilution

Lanes 1 - 3:

Western blot - Goat anti-Mouse IgG H&L (IRDye® 680RD) preadsorbed (<a href='/products/secondary-antibodies/goat-mouse-igg-h-l-irdye-680rd-preadsorbed-ab216776'>ab216776</a>) at 1/20000 dilution

Observed band size: 125 kDa

false

ChIC/CUT&RUN sequencing - Anti-Dnmt3a antibody [EPR26805-273] (AB307503)
  • ChIC/CUT&RUN-seq

Supplier Data

ChIC/CUT&RUN sequencing - Anti-Dnmt3a antibody [EPR26805-273] (AB307503)

CUT&RUN profiling with Dnmt3a antibody reveals the expected genomic enrichment pattern in cells. Representative genome browser tracks show CUT&RUN data generated using the CUTANA™ CUT&RUN Kit (EpiCypher 14-1048) with Dnmt3a antibody (Abcam ab307503, 0.5 µg). 500,000 HeLa cells were used per reaction. IgG, H3K4me3, and H3K27me3 antibodies were included as controls to assess non-specific background, active promoters, and repressed chromatin, respectively. Libraries were prepared using the CUTANA™ CUT&RUN Library Prep Kit (EpiCypher 14-1001). Sequencing was performed with paired-end 50 bp reads, and data were processed on CUTANA™ Cloud (cloud.epicypher.com) by alignment to the hg38 genome. Images were generated using Integrative Genomics Viewer (IGV, Broad Institute).

関連する標識済み抗体及び組成の異なる製品 (1)

  • Carrier free

    Anti-Dnmt3a antibody [EPR26805-273] - BSA and Azide free

Key facts

宿主種

Rabbit

クローン性

Monoclonal

クローン番号

EPR26805-273

アイソタイプ

IgG

キャリアフリー

No

交差種

Human, Mouse, Rat

アプリケーション

IP, ICC/IF, IHC-P, ChIC/CUT&RUN-seq, WB, Flow Cyt (Intra)

applications

免疫原

The exact immunogen used to generate this antibody is proprietary information.

Reactivity data

{ "title": "Reactivity Data", "filters": { "stats": ["", "Species", "Dilution Info", "Notes"], "tabs": { "all-applications": {"fullname" : "All Applications", "shortname": "All Applications"}, "ChICCUTRUNseq" : {"fullname" : "ChIC/CUT&RUN sequencing", "shortname":"ChIC/CUT&RUN-seq"}, "ChIP" : {"fullname" : "ChIP", "shortname":"ChIP"}, "IP" : {"fullname" : "Immunoprecipitation", "shortname":"IP"}, "FlowCytIntra" : {"fullname" : "Flow Cytometry (Intracellular)", "shortname":"Flow Cyt (Intra)"}, "ICCIF" : {"fullname" : "Immunocytochemistry/ Immunofluorescence", "shortname":"ICC/IF"}, "IHCP" : {"fullname" : "Immunohistochemistry (Formalin/PFA-fixed paraffin-embedded sections)", "shortname":"IHC-P"}, "WB" : {"fullname" : "Western blot", "shortname":"WB"} }, "product-promise": { "all": "all", "testedAndGuaranteed": "tested", "guaranteed": "expected", "predicted": "predicted", "notRecommended": "not-recommended" } }, "values": { "Human": { "ChICCUTRUNseq-species-checked": "testedAndGuaranteed", "ChICCUTRUNseq-species-dilution-info": "", "ChICCUTRUNseq-species-notes": "<p></p>", "ChIP-species-checked": "notRecommended", "ChIP-species-dilution-info": "", "ChIP-species-notes": "<p></p>", "IP-species-checked": "testedAndGuaranteed", "IP-species-dilution-info": "1/30", "IP-species-notes": "<p></p>", "FlowCytIntra-species-checked": "testedAndGuaranteed", "FlowCytIntra-species-dilution-info": "1/500", "FlowCytIntra-species-notes": "<p></p>", "ICCIF-species-checked": "testedAndGuaranteed", "ICCIF-species-dilution-info": "1/1000", "ICCIF-species-notes": "<p></p>", "IHCP-species-checked": "notRecommended", "IHCP-species-dilution-info": "1/1000", "IHCP-species-notes": "<p></p> Perform heat-mediated antigen retrieval with citrate buffer pH 6 before commencing with IHC staining protocol.", "WB-species-checked": "testedAndGuaranteed", "WB-species-dilution-info": "1/1000", "WB-species-notes": "<p></p>" }, "Mouse": { "ChICCUTRUNseq-species-checked": "guaranteed", "ChICCUTRUNseq-species-dilution-info": "", "ChICCUTRUNseq-species-notes": "", "ChIP-species-checked": "notRecommended", "ChIP-species-dilution-info": "", "ChIP-species-notes": "", "IP-species-checked": "testedAndGuaranteed", "IP-species-dilution-info": "1/30", "IP-species-notes": "<p></p>", "FlowCytIntra-species-checked": "guaranteed", "FlowCytIntra-species-dilution-info": "", "FlowCytIntra-species-notes": "", "ICCIF-species-checked": "guaranteed", "ICCIF-species-dilution-info": "", "ICCIF-species-notes": "", "IHCP-species-checked": "testedAndGuaranteed", "IHCP-species-dilution-info": "1/1000", "IHCP-species-notes": "<p></p> Perform heat-mediated antigen retrieval with citrate buffer pH 6 before commencing with IHC staining protocol.", "WB-species-checked": "testedAndGuaranteed", "WB-species-dilution-info": "1/1000", "WB-species-notes": "<p></p>" }, "Rat": { "ChICCUTRUNseq-species-checked": "guaranteed", "ChICCUTRUNseq-species-dilution-info": "", "ChICCUTRUNseq-species-notes": "", "ChIP-species-checked": "notRecommended", "ChIP-species-dilution-info": "", "ChIP-species-notes": "", "IP-species-checked": "guaranteed", "IP-species-dilution-info": "", "IP-species-notes": "", "FlowCytIntra-species-checked": "guaranteed", "FlowCytIntra-species-dilution-info": "", "FlowCytIntra-species-notes": "", "ICCIF-species-checked": "guaranteed", "ICCIF-species-dilution-info": "", "ICCIF-species-notes": "", "IHCP-species-checked": "testedAndGuaranteed", "IHCP-species-dilution-info": "1/1000", "IHCP-species-notes": "<p></p> Perform heat-mediated antigen retrieval with citrate buffer pH 6 before commencing with IHC staining protocol.", "WB-species-checked": "testedAndGuaranteed", "WB-species-dilution-info": "1/1000", "WB-species-notes": "<p></p>" } } }

製品の詳細

Patented technology
Our RabMAb® technology is a patented hybridoma-based technology for making rabbit monoclonal antibodies. For details on our patents, please refer to RabMAb® patents.

What are the advantages of a recombinant monoclonal antibody?
This product is a recombinant monoclonal antibody, which offers several advantages including:

  • - High batch-to-batch consistency and reproducibility
  • - Improved sensitivity and specificity
  • - Long-term security of supply
  • - Animal-free batch production

For more information, read more on recombinant antibodies.

出荷温度及び保存条件

製品の状態
Liquid
精製方法
Affinity purification Protein A
バッファー組成
pH: 7.2 - 7.4 Preservative: 0.01% Sodium azide Constituents: PBS, 40% Glycerol (glycerin, glycerine), 0.05% BSA
出荷温度
Blue Ice
短期保存期間
1-2 weeks
短期保存温度
+4°C
長期保存温度
-20°C
分注に関する情報
Upon delivery aliquot
保管に関する情報
Avoid freeze / thaw cycle

製品プロトコール

For this product, it's our understanding that no specific protocols are required. You can visit:

ターゲットの情報

Required for genome-wide de novo methylation and is essential for the establishment of DNA methylation patterns during development (PubMed : 12138111, PubMed : 16357870, PubMed : 30478443). DNA methylation is coordinated with methylation of histones (PubMed : 12138111, PubMed : 16357870, PubMed : 30478443). It modifies DNA in a non-processive manner and also methylates non-CpG sites (PubMed : 12138111, PubMed : 16357870, PubMed : 30478443). May preferentially methylate DNA linker between 2 nucleosomal cores and is inhibited by histone H1 (By similarity). Plays a role in paternal and maternal imprinting (By similarity). Required for methylation of most imprinted loci in germ cells (By similarity). Acts as a transcriptional corepressor for ZBTB18 (By similarity). Recruited to trimethylated 'Lys-36' of histone H3 (H3K36me3) sites (By similarity). Can actively repress transcription through the recruitment of HDAC activity (By similarity). Also has weak auto-methylation activity on Cys-710 in absence of DNA (By similarity).
See full target information DNMT3A

文献 (12)

Recent publications for all applications. Explore the full list and refine your search

Clinical epigenetics 17:129 PubMed40696470

2025

Targeting PRMT1-mediated methylation of TAF15 to protect against myocardial infarction by inhibiting ferroptosis via the GPX4/NRF2 pathway.

Applications

Unspecified application

Species

Unspecified reactive species

Guanshen Huang,Liwei He,Bishan Liang,Mingjian Gao,Jianming Huang,Hao Xia,Xinyu Li,Hai Li,Yunjun Ruan

Clinical epigenetics 17:82 PubMed40380281

2025

DNA hypermethylation of PLTP mediated by DNMT3B aggravates vascular dysfunction in diabetic retinopathy via the AKT/GSK3β signaling pathway.

Applications

Unspecified application

Species

Unspecified reactive species

Chunyang Cai,Chufeng Gu,Chunren Meng,Yujie Wang,Qingquan Wei,Shuai He,Dongwei Lai,Xingyun Wang,Tengfei Wang,Qinghua Qiu

Epigenetics & chromatin 18:29 PubMed40346661

2025

DNMT3B promotes the progression of pheochromocytoma by mediating the hypermethylation of LRP1B promoter.

Applications

Unspecified application

Species

Unspecified reactive species

Min Sun,Yanrong Ma,Jing Wan,Bingli Zheng,Zhenfeng Shi,Jiuzhi Li

Epigenetics & chromatin 18:19 PubMed40186324

2025

Coordinated regulation of chromatin modifiers reflects organised epigenetic programming in mouse oocytes.

Applications

Unspecified application

Species

Unspecified reactive species

Chloe A Edwards-Lee,Ellen G Jarred,Patrick S Western

Cell 188:998-1018.e26 PubMed39826545

2025

Fine-tuning of gene expression through the Mettl3-Mettl14-Dnmt1 axis controls ESC differentiation.

Applications

Unspecified application

Species

Unspecified reactive species

Giuseppe Quarto,Andrea Li Greci,Martin Bizet,Audrey Penning,Irina Primac,Frédéric Murisier,Liliana Garcia-Martinez,Rodrigo L Borges,Qingzeng Gao,Pradeep K R Cingaram,Emilie Calonne,Bouchra Hassabi,Céline Hubert,Adèle Herpoel,Pascale Putmans,Frédérique Mies,Jérôme Martin,Louis Van der Linden,Gaurav Dube,Pankaj Kumar,Romuald Soin,Abhay Kumar,Anurag Misra,Jie Lan,Morgane Paque,Yogesh K Gupta,Arnaud Blomme,Pierre Close,Pierre-Olivier Estève,Elizabeth A Caine,Kristin M Riching,Cyril Gueydan,Danette L Daniels,Sriharsa Pradhan,Ramin Shiekhattar,Yael David,Lluis Morey,Jana Jeschke,Rachel Deplus,Evelyne Collignon,François Fuks

Journal of applied oral science : revista FOB 32:e20240268 PubMed39476105

2024

DNMT3A transcriptionally downregulated by KLF5 alleviates LPS-induced inflammatory response and promotes osteogenic differentiation in hPDLSCs.

Applications

Unspecified application

Species

Unspecified reactive species

Jianling Guo,Huijie Jia

Chemistry & biodiversity 22:e202401984 PubMed39441614

2024

Wuzi Yanzong Decoction Ameliorates Oligoasthenozoospermia by Up-Regulating Methyltransferase and Increasing Spata, Bcl, and Pik3 Series Genes Methylation Level.

Applications

Unspecified application

Species

Unspecified reactive species

Qiyan Lin,Xiyu Ge,Xia Li,Fangli Gu,Leilei Gao,Ting Su,Yanjun Chen,Li Yang,Dong Liu,Bangxing Han,Cunwu Chen

The Journal of biological chemistry 300:107680 PubMed39159808

2024

LncRNA FAM83H-AS1 inhibits ferroptosis of endometrial cancer by promoting DNMT1-mediated CDO1 promoter hypermethylation.

Applications

Unspecified application

Species

Unspecified reactive species

Ruiyu Wang,Xiuzhang Yu,Hui Ye,Mengyin Ao,Mingrong Xi,Minmin Hou

Molecular medicine (Cambridge, Mass.) 30:100 PubMed38992588

2024

BRD7 facilitates ferroptosis via modulating clusterin promoter hypermethylation and suppressing AMPK signaling in diabetes-induced testicular damage.

Applications

Unspecified application

Species

Unspecified reactive species

Yuehai Xiao,Zongjian Liang,Jun Qiao,Zhiqiang Zhu,Bei Liu,Yuan Tian

Molecular cancer 23:79 PubMed38658974

2024

Co-transcriptional R-loops-mediated epigenetic regulation drives growth retardation and docetaxel chemosensitivity enhancement in advanced prostate cancer.

Applications

Unspecified application

Species

Unspecified reactive species

Yufan Ying,Yuqing Wu,Fenghao Zhang,Yijie Tang,Jiahe Yi,Xueyou Ma,Jiangfeng Li,Danni Chen,Xiao Wang,Xiaoyan Liu,Ben Liu,Jindan Luo,Xiangyi Zheng,Liping Xie
View all publications

Abcam product promise

当社は、高品質な試薬を通じてお客様の研究を力強くサポートすることをお約束いたします。ご使用いただく各段階で、常にお客様をサポートできる体制を整えております。万が一、製品が期待通りに機能しない場合は、「Abcam Product Promise」による当社保証制度に基づき、安心してご利用いただけます。
保証に関する詳細については利用規約をご確認ください。

Please note: All products are 'FOR RESEARCH USE ONLY. NOT FOR USE IN DIAGNOSTIC OR THERAPEUTIC PROCEDURES'.

For licensing inquiries, please contact partnerships@abcam.com