JavaScript is disabled in your browser. Please enable JavaScript to view this website.
AB320817

Anti-Dnmt1 抗体 [EPR28422-79]

Anti-Dnmt1 antibody [EPR28422-79]

  • 20ul selling size
  • Recombinant
  • KO Validated
  • Advanced Validation
  • RabMAb
  • 詳細を見る

Be the first to review this product! Submit a review

|

(0 Publication)

Knockout Tested Rabbit Recombinant Monoclonal DNMT1 antibody. Suitable for IP, ICC/IF, Flow Cyt (Intra), WB, ChIP-seq and reacts with Human samples.

別名を表示する

AIM, CXXC9, DNMT, DNMT1, DNA (cytosine-5)-methyltransferase 1, Dnmt1, CXXC-type zinc finger protein 9, DNA methyltransferase HsaI, MCMT, DNA MTase HsaI, M.HsaI

8 Images
Flow Cytometry (Intracellular) - Anti-Dnmt1 antibody [EPR28422-79] (AB320817)
  • Flow Cyt (Intra)

Supplier Data

Flow Cytometry (Intracellular) - Anti-Dnmt1 antibody [EPR28422-79] (AB320817)

Flow cytometric analysis of 4% paraformaldehyde fixed 90% methanol permeabilized parental HAP1 (HOWT01) (human chronic myelogenous leukemia near-haploid cell, right) / DNMT1 KO HAP1(HO010163) (Left) cells labelling Dnmt1 with ab320817 at 1/50000 dilution (0.001ug) (Red) compared with a Rabbit monoclonal IgG (ab172730) (Black) isotype control and an unlabelled control (cells without incubation with primary antibody and secondary antibody).

Goat anti-Mouse IgG (Alexa Fluor® 488, ab150113) at 1/5000 dilution was used as the secondary antibody.

Immunocytochemistry/ Immunofluorescence - Anti-Dnmt1 antibody [EPR28422-79] (AB320817)
  • ICC/IF

Supplier Data

Immunocytochemistry/ Immunofluorescence - Anti-Dnmt1 antibody [EPR28422-79] (AB320817)

Immunofluorescent analysis of 4% Paraformaldehyde-fixed, 0.1% TritonX-100 permeabilized DNMT1 KO HAP1 (DNMT1 knockout human chronic myelogenous leukemia near-haploid cell) cells labelling Dnmt1 with ab320817 at 1/4000 (0.125 ug/ml) dilution, followed by ab150081 Goat Anti-Rabbit IgG H&L (Alexa Fluor® 488) preadsorbed antibody at 1/1000 2 ug/ml dilution (Green).

Confocal image showing nuclear staining in HAP1 cell line (shown in green) and no staining in DNMT1 KO HAP1 cell line. The counterstain was observed in magenta. Nuclear DNA was labeled with DAPI (shown in blue). Image was taken with a confocal microscope (Leica-Microsystems, TCS SP8).

ab195889 Anti-alpha Tubulin mouse monoclonal antibody - Microtubule Marker (Alexa Fluor® 594) was used to counterstain tubulin at 1/200 2.5 ug/ml dilution (Magenta). The Nuclear counterstain was DAPI (Blue).

Secondary antibody only control : Secondary antibody is ab150081 Goat Anti-Rabbit IgG H&L (Alexa Fluor® 488) preadsorbed at 1/1000 2 ug/ml dilution.

ChIP-sequencing - Anti-Dnmt1 antibody [EPR28422-79] (AB320817)
  • ChIP-seq

Supplier Data

ChIP-sequencing - Anti-Dnmt1 antibody [EPR28422-79] (AB320817)

Chromatin was prepared from HepG2 cells. Cells were fixed with 1% formaldehyde for 10 minutes. ChIP was performed with 107 cells and 8 µg of ab320817 [EPR28422-79]. ChIP DNA was sequenced on the Illumina NovaSeq 6000 to a depth of 60 million reads. The Input control is also shown.

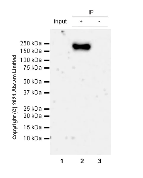
Immunoprecipitation - Anti-Dnmt1 antibody [EPR28422-79] (AB320817)
  • IP

Supplier Data

Immunoprecipitation - Anti-Dnmt1 antibody [EPR28422-79] (AB320817)

Dnmt1 was immunoprecipitated from 0.35 mg HepG2 (human hepatocellular carcinoma epithelial cell) whole cell lysate with ab320817 at 1/30 dilution (2ug in 0.35mg lysates). Western blot was performed on the immunoprecipitate using ab320817 at 1/1000 dilution. VeriBlot for IP secondary antibody(HRP)(ab131366) was used at 1/5000 dilution.

Lane 1 : HepG2 (human hepatocellular carcinoma epithelial cell) whole cell lysate
Lane 2 : ab320817 IP in HepG2 (human hepatocellular carcinoma epithelial cell) whole cell lysate
Lane 3 : Rabbit monoclonal IgG (ab172730) instead of ab320817 in HepG2 whole cell lysate

Blocking and dilution buffer and concentration : 5% NFDM/TBST

All lanes:

Immunoprecipitation - Anti-Dnmt1 antibody [EPR28422-79] (ab320817) at 1/30 dilution

All lanes:

HepG2 (human hepatocellular carcinoma epithelial cell) whole cell lysate

Secondary

All lanes:

Immunoprecipitation - VeriBlot for IP Detection Reagent (HRP) (<a href='/products/reagents/veriblot-for-ip-detection-reagent-hrp-ab131366'>ab131366</a>) at 1/5000 dilution

false

Exposure time: 180s

ChIP-sequencing - Anti-Dnmt1 antibody [EPR28422-79] (AB320817)
  • ChIP-seq

Supplier Data

ChIP-sequencing - Anti-Dnmt1 antibody [EPR28422-79] (AB320817)

Chromatin was prepared from HepG2 cells. Cells were fixed with 1% formaldehyde for 10 minutes. ChIP was performed with 107 cells and 8 µg of ab320817 [EPR28422-79]. ChIP DNA was sequenced on the Illumina NovaSeq 6000 to a depth of 60 million reads. The Input control is also shown.

ChIP-sequencing - Anti-Dnmt1 antibody [EPR28422-79] (AB320817)
  • ChIP-seq

Supplier Data

ChIP-sequencing - Anti-Dnmt1 antibody [EPR28422-79] (AB320817)

Chromatin was prepared from HepG2 cells. Cells were fixed with 1% formaldehyde for 10 minutes. ChIP was performed with 107 cells and 8 µg of ab320817 [EPR28422-79]. ChIP DNA was sequenced on the Illumina NovaSeq 6000 to a depth of 60 million reads. The Input control is also shown.

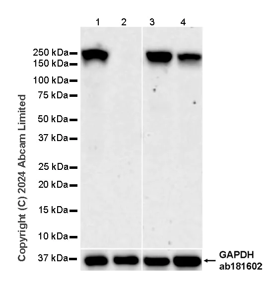
Western blot - Anti-Dnmt1 antibody [EPR28422-79] (AB320817)
  • WB

Supplier Data

Western blot - Anti-Dnmt1 antibody [EPR28422-79] (AB320817)

Blocking and diluting buffer and concentration : 5% NFDM/TBST.

In Western blot, ab320817 was shown to bind specifically to Dnmt1. Target of interest was observed at 183 kDa in wild-type HAP1 cell lysates (lane 1) with no signal observed at this size in Dnmt1 knockout cell line (lane 2).

In Western blot, Anti-GAPDH antibody [EPR16891] - Loading Control (ab181602) staining at 1/200000 dilution.

All lanes:

Western blot - Anti-Dnmt1 antibody [EPR28422-79] (ab320817) at 1/1000 dilution

Lane 1:

Wild-type HAP1 (human chronic myelogenous leukemia near-haploid cell) whole cell lysate at 20 µg

Lane 2:

Dnmt knockout HAP1 whole cell lysate at 20 µg

Lane 3:

K-562 (human chronic myelogenous leukemia lymphoblast) whole cell lysate at 20 µg

Lane 4:

HeLa (human cervical adenocarcinoma epithelial cell) whole cell lysate at 20 µg

Secondary

All lanes:

Western blot - Goat Anti-Rabbit IgG H&L (HRP) (<a href='/products/secondary-antibodies/goat-rabbit-igg-h-l-hrp-ab97051'>ab97051</a>) at 1/100000 dilution

Observed band size: 183 kDa,36 kDa

false

Exposure time: 180s

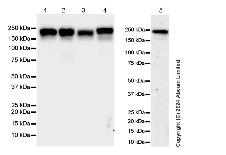
Western blot - Anti-Dnmt1 antibody [EPR28422-79] (AB320817)
  • WB

Supplier Data

Western blot - Anti-Dnmt1 antibody [EPR28422-79] (AB320817)

Blocking and diluting buffer and concentration : 5% NFDM/TBST.

All lanes:

Western blot - Anti-Dnmt1 antibody [EPR28422-79] (ab320817) at 1/1000 dilution

Lane 1:

Jurkat (human T cell leukemia T lymphocyte from peripheral blood) whole cell lysate at 40 µg

Lane 2:

Raji (human Burkitts lymphoma B lymphocyte) whole cell lysate at 40 µg

Lane 3:

HEK-293 (human embryonic kidney epithelial cell) whole cell lysate at 40 µg

Lane 4:

Ramos (human Burkitts lymphoma B lymphocyte) whole cell lysate at 40 µg

Lane 5:

HepG2 (human hepatocellular carcinoma epithelial cell) whole cell lysate at 20 µg

Secondary

All lanes:

Western blot - Goat Anti-Rabbit IgG H&L (HRP) (<a href='/products/secondary-antibodies/goat-rabbit-igg-h-l-hrp-ab97051'>ab97051</a>) at 1/100000 dilution

Observed band size: 183 kDa

false

Exposure time: 180s

Key facts

宿主種

Rabbit

クローン性

Monoclonal

クローン番号

EPR28422-79

アイソタイプ

IgG

キャリアフリー

No

交差種

Human

アプリケーション

WB, IP, Flow Cyt (Intra), ICC/IF, ChIP-seq

applications

免疫原

The exact immunogen used to generate this antibody is proprietary information.

Reactivity data

{ "title": "Reactivity Data", "filters": { "stats": ["", "Species", "Dilution Info", "Notes"], "tabs": { "all-applications": {"fullname" : "All Applications", "shortname": "All Applications"}, "IP" : {"fullname" : "Immunoprecipitation", "shortname":"IP"}, "ICCIF" : {"fullname" : "Immunocytochemistry/ Immunofluorescence", "shortname":"ICC/IF"}, "FlowCytIntra" : {"fullname" : "Flow Cytometry (Intracellular)", "shortname":"Flow Cyt (Intra)"}, "WB" : {"fullname" : "Western blot", "shortname":"WB"}, "ChIPseq" : {"fullname" : "ChIP-sequencing", "shortname":"ChIP-seq"}, "ChICCUTRUNseq" : {"fullname" : "ChIC/CUT&RUN sequencing", "shortname":"ChIC/CUT&RUN-seq"} }, "product-promise": { "all": "all", "testedAndGuaranteed": "tested", "guaranteed": "expected", "predicted": "predicted", "notRecommended": "not-recommended" } }, "values": { "Human": { "IP-species-checked": "testedAndGuaranteed", "IP-species-dilution-info": "1/30", "IP-species-notes": "<p></p>", "ICCIF-species-checked": "testedAndGuaranteed", "ICCIF-species-dilution-info": "1/4000", "ICCIF-species-notes": "<p></p>", "FlowCytIntra-species-checked": "testedAndGuaranteed", "FlowCytIntra-species-dilution-info": "1/50000", "FlowCytIntra-species-notes": "<p></p>", "WB-species-checked": "testedAndGuaranteed", "WB-species-dilution-info": "1/1000", "WB-species-notes": "<p></p>", "ChIPseq-species-checked": "testedAndGuaranteed", "ChIPseq-species-dilution-info": "8 µg for 10^7 Cells", "ChIPseq-species-notes": "<p></p>", "ChICCUTRUNseq-species-checked": "notRecommended", "ChICCUTRUNseq-species-dilution-info": "", "ChICCUTRUNseq-species-notes": "<p></p>" }, "Mouse": { "IP-species-checked": "notRecommended", "IP-species-dilution-info": "", "IP-species-notes": "", "ICCIF-species-checked": "notRecommended", "ICCIF-species-dilution-info": "", "ICCIF-species-notes": "", "FlowCytIntra-species-checked": "notRecommended", "FlowCytIntra-species-dilution-info": "", "FlowCytIntra-species-notes": "", "WB-species-checked": "notRecommended", "WB-species-dilution-info": "", "WB-species-notes": "<p></p>", "ChIPseq-species-checked": "notRecommended", "ChIPseq-species-dilution-info": "", "ChIPseq-species-notes": "", "ChICCUTRUNseq-species-checked": "notRecommended", "ChICCUTRUNseq-species-dilution-info": "", "ChICCUTRUNseq-species-notes": "" }, "Rat": { "IP-species-checked": "notRecommended", "IP-species-dilution-info": "", "IP-species-notes": "", "ICCIF-species-checked": "notRecommended", "ICCIF-species-dilution-info": "", "ICCIF-species-notes": "", "FlowCytIntra-species-checked": "notRecommended", "FlowCytIntra-species-dilution-info": "", "FlowCytIntra-species-notes": "", "WB-species-checked": "notRecommended", "WB-species-dilution-info": "", "WB-species-notes": "<p></p>", "ChIPseq-species-checked": "notRecommended", "ChIPseq-species-dilution-info": "", "ChIPseq-species-notes": "", "ChICCUTRUNseq-species-checked": "notRecommended", "ChICCUTRUNseq-species-dilution-info": "", "ChICCUTRUNseq-species-notes": "" } } }

製品の詳細

Patented technology
Our RabMAb® technology is a patented hybridoma-based technology for making rabbit monoclonal antibodies. For details on our patents, please refer to RabMAb® patents.

What are the advantages of a recombinant monoclonal antibody?
This product is a recombinant monoclonal antibody, which offers several advantages including:

  • - High batch-to-batch consistency and reproducibility
  • - Improved sensitivity and specificity
  • - Long-term security of supply
  • - Animal-free batch production

For more information, read more on recombinant antibodies.

出荷温度及び保存条件

製品の状態
Liquid
精製方法
Affinity purification Protein A
バッファー組成
pH: 7.2 - 7.4 Preservative: 0.01% Sodium azide Constituents: PBS, 40% Glycerol (glycerin, glycerine), 0.05% BSA
出荷温度
Blue Ice
短期保存期間
1-2 weeks
短期保存温度
+4°C
長期保存温度
-20°C
分注に関する情報
Upon delivery aliquot
保管に関する情報
Avoid freeze / thaw cycle

製品プロトコール

For this product, it's our understanding that no specific protocols are required. You can visit:

ターゲットの情報

Methylates CpG residues. Preferentially methylates hemimethylated DNA. Associates with DNA replication sites in S phase maintaining the methylation pattern in the newly synthesized strand, that is essential for epigenetic inheritance. Associates with chromatin during G2 and M phases to maintain DNA methylation independently of replication. It is responsible for maintaining methylation patterns established in development. DNA methylation is coordinated with methylation of histones. Mediates transcriptional repression by direct binding to HDAC2. In association with DNMT3B and via the recruitment of CTCFL/BORIS, involved in activation of BAG1 gene expression by modulating dimethylation of promoter histone H3 at H3K4 and H3K9. Probably forms a corepressor complex required for activated KRAS-mediated promoter hypermethylation and transcriptional silencing of tumor suppressor genes (TSGs) or other tumor-related genes in colorectal cancer (CRC) cells (PubMed : 24623306). Also required to maintain a transcriptionally repressive state of genes in undifferentiated embryonic stem cells (ESCs) (PubMed : 24623306). Associates at promoter regions of tumor suppressor genes (TSGs) leading to their gene silencing (PubMed : 24623306). Promotes tumor growth (PubMed : 24623306).
See full target information DNMT1

Abcam product promise

当社は、高品質な試薬を通じてお客様の研究を力強くサポートすることをお約束いたします。ご使用いただく各段階で、常にお客様をサポートできる体制を整えております。万が一、製品が期待通りに機能しない場合は、「Abcam Product Promise」による当社保証制度に基づき、安心してご利用いただけます。
保証に関する詳細については利用規約をご確認ください。

Please note: All products are 'FOR RESEARCH USE ONLY. NOT FOR USE IN DIAGNOSTIC OR THERAPEUTIC PROCEDURES'.

For licensing inquiries, please contact partnerships@abcam.com