JavaScript is disabled in your browser. Please enable JavaScript to view this website.
AB269869

Anti-DMC1 抗体 [EPR23207-130] - BSA and Azide free

Anti-DMC1 antibody [EPR23207-130] - BSA and Azide free

Be the first to review this product! Submit a review

|

(0 Publication)

Rabbit Recombinant Monoclonal DMC1 antibody. Carrier free. Suitable for IP, WB, IHC-P, IHC-Fr and reacts with Mouse, Rat samples.

別名を表示する

Dmc1h, Lim15, Dmc1, Meiotic recombination protein DMC1/LIM15 homolog

5 Images
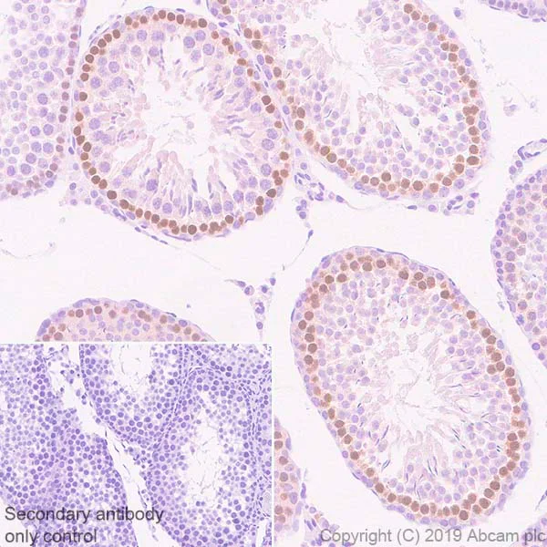
Immunohistochemistry (Formalin/PFA-fixed paraffin-embedded sections) - Anti-DMC1 antibody [EPR23207-130] - BSA and Azide free (AB269869)
  • IHC-P

Unknown

Immunohistochemistry (Formalin/PFA-fixed paraffin-embedded sections) - Anti-DMC1 antibody [EPR23207-130] - BSA and Azide free (AB269869)

Immunohistochemical analysis of paraffin-embedded Rat testis tissue labeling DMC1 with ab245217 at 1/4000 dilution followed by a ready to use Rabbit specific IHC polymer detection kit HRP/DAB (ab209101). Nuclear staining on spermatocytes of rat testis. The section was incubated with ab245217 for 30 mins at room temperature. The immunostaining was performed on a Leica Biosystems BOND® RX instrument. Counterstained with Hematoxylin.

Secondary antibody only control : Secondary antibody is a ready to use Rabbit specific IHC polymer detection kit HRP/DAB (ab209101).

Heat mediated antigen retrieval with Tris-EDTA buffer citrate buffer (pH 6.0, epitope retrieval solution 1) for 10 mins.

This data was developed using the same antibody clone in a different buffer formulation containing PBS, BSA, glycerol, and sodium azide (ab245217).

Immunohistochemistry (Frozen sections) - Anti-DMC1 antibody [EPR23207-130] - BSA and Azide free (AB269869)
  • IHC-Fr

Unknown

Immunohistochemistry (Frozen sections) - Anti-DMC1 antibody [EPR23207-130] - BSA and Azide free (AB269869)

Immunohistochemical analysis of 4% PFA fixed 0.2% Triton X-100 permeabilized frozen Rat testis tissue labeling VSIG4 with ab245217 at 1/100 (6.7 μg/ml) dilution followed by ab150077 AlexaFluor®488 Goat anti-Rabbit secondary at 1/1000 (2 μg/ml) dilution. The nuclear counterstain was DAPI (Blue). Heat mediated antigen retrieval using sodium citrate buffer (10mM citrate pH 6.0 + 0.05% Tween-20).

Secondary antibody only control : Used PBS instead of primary antibody, secondary antibody was ab150077 AlexaFluor®488 Goat anti-Rabbit secondary at 1/1000 (2 μg/ml) dilution.

This data was developed using the same antibody clone in a different buffer formulation containing PBS, BSA, glycerol, and sodium azide (ab245217).

Immunohistochemistry (Formalin/PFA-fixed paraffin-embedded sections) - Anti-DMC1 antibody [EPR23207-130] - BSA and Azide free (AB269869)
  • IHC-P

Unknown

Immunohistochemistry (Formalin/PFA-fixed paraffin-embedded sections) - Anti-DMC1 antibody [EPR23207-130] - BSA and Azide free (AB269869)

Immunohistochemical analysis of paraffin-embedded Mouse testis tissue labeling DMC1 with ab245217 at 1/4000 dilution followed by a ready to use Rabbit specific IHC polymer detection kit HRP/DAB (ab209101). Nuclear staining on spermatocytes of mouse testis. The section was incubated with ab245217 for 30 mins at room temperature. The immunostaining was performed on a Leica Biosystems BOND® RX instrument. Counterstained with Hematoxylin.

Secondary antibody only control : Secondary antibody is a ready to use Rabbit specific IHC polymer detection kit HRP/DAB (ab209101).

Heat mediated antigen retrieval with Tris-EDTA buffer citrate buffer (pH 6.0, epitope retrieval solution 1) for 10 mins.

This data was developed using the same antibody clone in a different buffer formulation containing PBS, BSA, glycerol, and sodium azide (ab245217).

Immunohistochemistry (Frozen sections) - Anti-DMC1 antibody [EPR23207-130] - BSA and Azide free (AB269869)
  • IHC-Fr

Unknown

Immunohistochemistry (Frozen sections) - Anti-DMC1 antibody [EPR23207-130] - BSA and Azide free (AB269869)

Immunohistochemical analysis of 4% PFA fixed 0.2% Triton X-100 permeabilized frozen Mouse testis tissue labeling VSIG4 with ab245217 at 1/100 (6.7 μg/ml) dilution followed by ab150077 AlexaFluor®488 Goat anti-Rabbit secondary at 1/1000 (2 μg/ml) dilution. The nuclear counterstain was DAPI (Blue). Heat mediated antigen retrieval using sodium citrate buffer (10mM citrate pH 6.0 + 0.05% Tween-20). Secondary antibody only control : Used PBS instead of primary antibody, secondary antibody was ab150077 AlexaFluor®488 Goat anti-Rabbit secondary at 1/1000 (2 μg/ml) dilution. This data was developed using the same antibody clone in a different buffer formulation containing PBS, BSA, glycerol, and sodium azide (ab245217).

Immunohistochemistry (Formalin/PFA-fixed paraffin-embedded sections) - Anti-DMC1 antibody [EPR23207-130] - BSA and Azide free (AB269869)
  • IHC-P

Unknown

Immunohistochemistry (Formalin/PFA-fixed paraffin-embedded sections) - Anti-DMC1 antibody [EPR23207-130] - BSA and Azide free (AB269869)

Immunohistochemical analysis of paraffin-embedded Mouse cerebrum tissue labeling DMC1 with ab245217 at 1/4000 dilution followed by a ready to use Rabbit specific IHC polymer detection kit HRP/DAB (ab209101). Negative control : No staining on mouse cerebrum. The section was incubated with ab245217 for 30 mins at room temperature. The immunostaining was performed on a Leica Biosystems BOND® RX instrument. Counterstained with Hematoxylin.

Secondary antibody only control : Secondary antibody is a ready to use Rabbit specific IHC polymer detection kit HRP/DAB (ab209101).

Heat mediated antigen retrieval with Tris-EDTA buffer citrate buffer (pH 6.0, epitope retrieval solution 1) for 10 mins.

This data was developed using the same antibody clone in a different buffer formulation containing PBS, BSA, glycerol, and sodium azide (ab245217).

関連する標識済み抗体及び組成の異なる製品 (1)

Key facts

宿主種

Rabbit

クローン性

Monoclonal

クローン番号

EPR23207-130

アイソタイプ

IgG

キャリアフリー

Yes

交差種

Mouse, Rat

アプリケーション

IP, WB, IHC-Fr, IHC-P

applications

免疫原

The exact immunogen used to generate this antibody is proprietary information.

Reactivity data

{ "title": "Reactivity Data", "filters": { "stats": ["", "Species", "Dilution Info", "Notes"], "tabs": { "all-applications": {"fullname" : "All Applications", "shortname": "All Applications"}, "IP" : {"fullname" : "Immunoprecipitation", "shortname":"IP"}, "WB" : {"fullname" : "Western blot", "shortname":"WB"}, "IHCP" : {"fullname" : "Immunohistochemistry (Formalin/PFA-fixed paraffin-embedded sections)", "shortname":"IHC-P"}, "IHCFr" : {"fullname" : "Immunohistochemistry (Frozen sections)", "shortname":"IHC-Fr"} }, "product-promise": { "all": "all", "testedAndGuaranteed": "tested", "guaranteed": "expected", "predicted": "predicted", "notRecommended": "not-recommended" } }, "values": { "Human": { "IP-species-checked": "notRecommended", "IP-species-dilution-info": "", "IP-species-notes": "<p></p>", "WB-species-checked": "notRecommended", "WB-species-dilution-info": "", "WB-species-notes": "<p></p>", "IHCP-species-checked": "notRecommended", "IHCP-species-dilution-info": "", "IHCP-species-notes": "<p></p>", "IHCFr-species-checked": "notRecommended", "IHCFr-species-dilution-info": "", "IHCFr-species-notes": "" }, "Mouse": { "IP-species-checked": "guaranteed", "IP-species-dilution-info": "", "IP-species-notes": "<p></p>", "WB-species-checked": "guaranteed", "WB-species-dilution-info": "", "WB-species-notes": "<p></p>", "IHCP-species-checked": "testedAndGuaranteed", "IHCP-species-dilution-info": "", "IHCP-species-notes": "<p></p>", "IHCFr-species-checked": "testedAndGuaranteed", "IHCFr-species-dilution-info": "", "IHCFr-species-notes": "<p></p>" }, "Rat": { "IP-species-checked": "guaranteed", "IP-species-dilution-info": "", "IP-species-notes": "<p></p>", "WB-species-checked": "guaranteed", "WB-species-dilution-info": "", "WB-species-notes": "<p></p>", "IHCP-species-checked": "testedAndGuaranteed", "IHCP-species-dilution-info": "", "IHCP-species-notes": "<p></p>", "IHCFr-species-checked": "testedAndGuaranteed", "IHCFr-species-dilution-info": "", "IHCFr-species-notes": "<p></p>" } } }

製品の詳細

ab269869 is the carrier-free version of ab245217.

Patented technology
Our RabMAb® technology is a patented hybridoma-based technology for making rabbit monoclonal antibodies. For details on our patents, please refer to RabMAb® patents.

What are the advantages of a recombinant monoclonal antibody?
This product is a recombinant monoclonal antibody, which offers several advantages including:

  • - High batch-to-batch consistency and reproducibility
  • - Improved sensitivity and specificity
  • - Long-term security of supply
  • - Animal-free batch production

For more information, read more on recombinant antibodies.

Conjugation ready
Our carrier-free antibodies are typically supplied in a PBS-only formulation, purified and free of BSA, sodium azide and glycerol. This conjugation-ready format is designed for use with fluorochromes, metal isotopes, oligonucleotides, and enzymes, which makes them ideal for antibody labelling, functional and cell-based assays, flow-based assays (e.g. mass cytometry) and Multiplex Imaging applications.

Use our conjugation kits for antibody conjugates that are ready-to-use in as little as 20 minutes with 1 minute hands-on-time and 100% antibody recovery: available for fluorescent dyes, HRP, biotin and gold.

Compatibility
This product is compatible with the Maxpar® Antibody Labeling Kit from Fluidigm, without the need for antibody preparation. Maxpar® is a trademark of Fluidigm Canada Inc.

出荷温度及び保存条件

製品の状態
Liquid
精製方法
Affinity purification Protein A
バッファー組成
pH: 7.2 - 7.4 Constituents: PBS
出荷温度
Blue Ice
短期保存温度
+4°C
長期保存温度
+4°C
保管に関する情報
Do Not Freeze

補足情報

This supplementary information is collated from multiple sources and compiled automatically.

DMC1 also known as DNA Meiotic Recombinase 1 is an important protein involved in homologous recombination during meiosis. It plays a mechanical role by facilitating the exchange of genetic material between parental chromosomes. DMC1 is a 37-kilodalton protein and belongs to the recombinase family. The protein is mainly expressed in germ cells of both males and females particularly in those undergoing meiosis where it controls the DNA strand exchange process important for genetic diversity.
Biological function summary

DMC1 ensures accurate and efficient repair of double-strand breaks during meiosis a critical function for chromosome segregation and gamete viability. It works in concert with other proteins like RAD51 to form a nucleoprotein filament on the single-stranded DNA that promotes homologous pairing and strand exchange. This coordinated action is essential for forming synaptonemal complexes which stabilize homologous chromosomes during prophase I of meiosis.

Pathways

DMC1's role is integral to the homologous recombination repair pathway. It interplays specifically with RAD51 and other recombinases to regulate genetic recombination events. The protein contributes to DNA damage response pathways and is critical for the maintenance and integrity of genetic information during cell division.

Mutations or regulatory dysfunctions in DMC1 have been associated with infertility particularly in disorders affecting spermatogenesis and oogenesis. The protein’s malfunction can disrupt meiotic progression leading to aneuploidies and miscarriages. Additionally DMC1 mutations may connect to cancer pathways as faulty homologous recombination increases genomic instability often observed in various types of cancers highlighting potential therapeutic interactions with proteins like BRCA1 and BRCA2.

製品プロトコール

For this product, it's our understanding that no specific protocols are required. You can visit:

ターゲットの情報

Participates in meiotic recombination, specifically in homologous strand assimilation, which is required for the resolution of meiotic double-strand breaks.
See full target information Dmc1

Abcam product promise

当社は、高品質な試薬を通じてお客様の研究を力強くサポートすることをお約束いたします。ご使用いただく各段階で、常にお客様をサポートできる体制を整えております。万が一、製品が期待通りに機能しない場合は、「Abcam Product Promise」による当社保証制度に基づき、安心してご利用いただけます。
保証に関する詳細については利用規約をご確認ください。

関連製品

Select an associated product type
Alternative Product
Primary Antibodies

AB97313

Anti-DMC1 antibody

primary-antibodies

dmc1-antibody-ab97313

1

(1 reviews)

Alternative Product
Primary Antibodies

AB96613

Anti-DMC1 antibody

primary-antibodies

dmc1-antibody-ab96613

1

(1 reviews)

Alternative Product
Primary Antibodies

AB11054

Anti-DMC1 antibody [2H12/4]

primary-antibodies

dmc1-antibody-2h12-4-ab11054

3

(3 reviews)

Alternative Product
Primary Antibodies

AB237733

Anti-DMC1 antibody

primary-antibodies

dmc1-antibody-ab237733

0

(0 reviews)

Please note: All products are 'FOR RESEARCH USE ONLY. NOT FOR USE IN DIAGNOSTIC OR THERAPEUTIC PROCEDURES'.

For licensing inquiries, please contact partnerships@abcam.com