JavaScript is disabled in your browser. Please enable JavaScript to view this website.
AB10554

Anti-DLL1 抗体

Anti-DLL1 antibody

4

(2 Reviews)

|

(29 Publications)

Rabbit Polyclonal DLL1 antibody. Suitable for ELISA, WB, IHC-FoFr, IHC-P, ICC/IF, IHC-Fr and reacts with Human, Mouse, Rat samples. Cited in 29 publications. Immunogen corresponding to Synthetic Peptide within Mouse Dll1 aa 150-200 conjugated to Keyhole Limpet Haemocyanin.

別名を表示する

UNQ146/PRO172, DLL1, Delta-like protein 1, Drosophila Delta homolog 1, Delta1, H-Delta-1

4 Images
Immunocytochemistry/ Immunofluorescence - Anti-DLL1 antibody (AB10554)
  • ICC/IF

Unknown

Immunocytochemistry/ Immunofluorescence - Anti-DLL1 antibody (AB10554)

ICC/IF image of ab10554 stained MCF7 cells. The cells were 4% formaldehyde fixed (10 min) and then incubated in 1%BSA / 10% normal goat serum / 0.3M glycine in 0.1% PBS-Tween for 1h to permeabilise the cells and block non-specific protein-protein interactions. The cells were then incubated with the antibody (ab10554, 1µg/ml) overnight at +4°C. The secondary antibody (green) was Alexa Fluor® 488 goat anti-rabbit IgG (H+L) used at a 1/1000 dilution for 1h. Alexa Fluor® 594 WGA was used to label plasma membranes (red) at a 1/200 dilution for 1h. DAPI was used to stain the cell nuclei (blue) at a concentration of 1.43µM.

Immunocytochemistry/ Immunofluorescence - Anti-DLL1 antibody (AB10554)
  • ICC/IF

PubMed

Immunocytochemistry/ Immunofluorescence - Anti-DLL1 antibody (AB10554)

ab10554 staining DLL1 in U2OS cells by ICC/IF (Immunocytochemistry/immunofluorescence). Cells were fixed with 4% paraformaldehyde, permeabilized with 0.3% Triton X-100 in PBS and blocked with 4% BSA for 1 hour. Samples were incubated with primary antibody for 1 hour at room temperature. DAPI used to stain nuclei

Greene M et al., PLos One, 2016 Sep 13;11(9):e0161157. Fig 1.; doi: 10.1371/journal.pone.0161157 Reproduced under the Creative Commons license http://creativecommons.org/licenses/by/4.0/

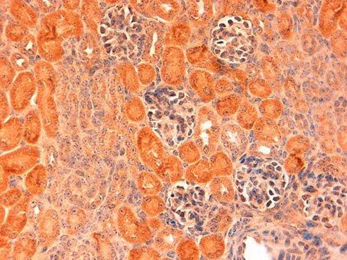
Immunohistochemistry (Formalin/PFA-fixed paraffin-embedded sections) - Anti-DLL1 antibody (AB10554)
  • IHC-P

Supplier Data

Immunohistochemistry (Formalin/PFA-fixed paraffin-embedded sections) - Anti-DLL1 antibody (AB10554)

ab10554 staining DLL1 in Mouse embryonic kidney tissue sections by Immunohistochemistry (IHC-P - paraformaldehyde-fixed, paraffin-embedded sections). Samples were incubated with primary antibody (2ug/ml) for 1.5 hours at room temperature. A peroxidase-conjugated polyclonal was used as the secondary antibody. Nuclei stained purple with hematoxylin.

Western blot - Anti-DLL1 antibody (AB10554)
  • WB

Unknown

Western blot - Anti-DLL1 antibody (AB10554)

Western blot using Delta 1 antibody (ab10554) at 1/500 tested on the following tissue lysates :

Lane 1 : Mouse Heart
Lane 2 : Mouse Pancreas
Lane 3 : Mouse Brain
Lane 4 : Rat Heart
Lane 5 : Rat Pancreas
Lane 6 : Rat Brain

Secondary ab : Goat anti-rabbit IgG ab6721 (1/5000)
Exposure time : 1 minute
Expected molecular weight : 77kDa
Cell lysates at 20μg per lane.

NB : This image shows that is was not possible to detect Delta 1 immunoreactivity by WB in the lysates tested. However little is known about Delta 1 expression and it is likely to be developmentally regulated with low expression/abundance making it difficult to detect in whole tissue homogenates. In favour of Delta 1 antibody (ab10554), the staining on the WB shows very low background and little cross reactivity in whole homogenates.

All lanes:

Western blot - Anti-DLL1 antibody (ab10554)

Predicted band size: 78 kDa

false

Key facts

宿主種

Rabbit

クローン性

Polyclonal

アイソタイプ

IgG

キャリアフリー

No

交差種

Mouse, Human, Rat

アプリケーション

IHC-Fr, IHC-FoFr, WB, ELISA, IHC-P, ICC/IF

applications

免疫原

Synthetic Peptide within Mouse Dll1 aa 150-200 conjugated to Keyhole Limpet Haemocyanin. The exact immunogen used to generate this antibody is proprietary information.

Q61483

特異性

The antibody detects DELTA-1 from mouse. Activity against Delta-1 from other species has not been determined but is expected based on sequence homology. Expected to cross-react with rat, human and chicken.

Reactivity data

{ "title": "Reactivity Data", "filters": { "stats": ["", "Species", "Dilution Info", "Notes"], "tabs": { "all-applications": {"fullname" : "All Applications", "shortname": "All Applications"}, "ELISA" : {"fullname" : "ELISA", "shortname":"ELISA"}, "WB" : {"fullname" : "Western blot", "shortname":"WB"}, "IHCFoFr" : {"fullname" : "Immunohistochemistry (PFA perfusion fixed frozen sections)", "shortname":"IHC-FoFr"}, "IHCP" : {"fullname" : "Immunohistochemistry (Formalin/PFA-fixed paraffin-embedded sections)", "shortname":"IHC-P"}, "ICCIF" : {"fullname" : "Immunocytochemistry/ Immunofluorescence", "shortname":"ICC/IF"}, "IHCFr" : {"fullname" : "Immunohistochemistry (Frozen sections)", "shortname":"IHC-Fr"} }, "product-promise": { "all": "all", "testedAndGuaranteed": "tested", "guaranteed": "expected", "predicted": "predicted", "notRecommended": "not-recommended" } }, "values": { "Human": { "ELISA-species-checked": "guaranteed", "ELISA-species-dilution-info": "", "ELISA-species-notes": "<p></p>", "WB-species-checked": "guaranteed", "WB-species-dilution-info": "", "WB-species-notes": "", "IHCFoFr-species-checked": "guaranteed", "IHCFoFr-species-dilution-info": "", "IHCFoFr-species-notes": "<p></p>", "IHCP-species-checked": "guaranteed", "IHCP-species-dilution-info": "", "IHCP-species-notes": "", "ICCIF-species-checked": "testedAndGuaranteed", "ICCIF-species-dilution-info": "", "ICCIF-species-notes": "<p></p>", "IHCFr-species-checked": "guaranteed", "IHCFr-species-dilution-info": "", "IHCFr-species-notes": "<p></p>" }, "Mouse": { "ELISA-species-checked": "guaranteed", "ELISA-species-dilution-info": "", "ELISA-species-notes": "<p></p>", "WB-species-checked": "testedAndGuaranteed", "WB-species-dilution-info": "1/100 - 1/1000", "WB-species-notes": "<p></p>", "IHCFoFr-species-checked": "guaranteed", "IHCFoFr-species-dilution-info": "", "IHCFoFr-species-notes": "<p></p>", "IHCP-species-checked": "testedAndGuaranteed", "IHCP-species-dilution-info": "", "IHCP-species-notes": "<p></p>", "ICCIF-species-checked": "guaranteed", "ICCIF-species-dilution-info": "", "ICCIF-species-notes": "", "IHCFr-species-checked": "guaranteed", "IHCFr-species-dilution-info": "", "IHCFr-species-notes": "<p></p>" }, "Rat": { "ELISA-species-checked": "guaranteed", "ELISA-species-dilution-info": "", "ELISA-species-notes": "<p></p>", "WB-species-checked": "predicted", "WB-species-dilution-info": "", "WB-species-notes": "", "IHCFoFr-species-checked": "guaranteed", "IHCFoFr-species-dilution-info": "", "IHCFoFr-species-notes": "<p></p>", "IHCP-species-checked": "predicted", "IHCP-species-dilution-info": "", "IHCP-species-notes": "", "ICCIF-species-checked": "predicted", "ICCIF-species-dilution-info": "", "ICCIF-species-notes": "", "IHCFr-species-checked": "guaranteed", "IHCFr-species-dilution-info": "", "IHCFr-species-notes": "<p></p>" }, "Chicken": { "ELISA-species-checked": "predicted", "ELISA-species-dilution-info": "", "ELISA-species-notes": "", "WB-species-checked": "predicted", "WB-species-dilution-info": "", "WB-species-notes": "", "IHCFoFr-species-checked": "predicted", "IHCFoFr-species-dilution-info": "", "IHCFoFr-species-notes": "", "IHCP-species-checked": "predicted", "IHCP-species-dilution-info": "", "IHCP-species-notes": "", "ICCIF-species-checked": "predicted", "ICCIF-species-dilution-info": "", "ICCIF-species-notes": "", "IHCFr-species-checked": "predicted", "IHCFr-species-dilution-info": "", "IHCFr-species-notes": "" } } }

出荷温度及び保存条件

製品の状態
Liquid
精製方法
Affinity purification Immunogen
精製に関する特記事項
Anti-DELTA-1 Antibody was affinity purified antibody produced by immunoaffinity chromatography using the immunizing peptide after immobilization to a solid phase.
バッファー組成
pH: 7.2 Preservative: 0.01% Sodium azide Constituents: 0.88% Sodium chloride, 0.424% Potassium phosphate solution
出荷温度
Blue Ice
短期保存温度
+4°C
長期保存温度
-20°C
分注に関する情報
Upon delivery aliquot
保管に関する情報
Avoid freeze / thaw cycle

補足情報

This supplementary information is collated from multiple sources and compiled automatically.

The protein known as Delta-like 1 (DLL1) also referred to as DLL 1 or DLL1 protein is an essential component in various cellular mechanisms. DLL1 typically has a molecular mass of approximately 80 kDa. This protein is mainly expressed in tissues related to development such as the nervous system bone marrow and certain parts of the embryonic organs. DLL1 functions mechanic-wise as a ligand for the Notch receptor family playing a role in signal transduction and influencing cell fate decisions.
Biological function summary

Delta-like 1 protein is involved in several cell differentiation processes impacting tissue development. The protein is a member of the Notch signaling pathway which is important for mediating communication between adjacent cells. It interacts with Notch receptors to regulate transcriptional activities and promote different cell lineages. DLL1 does not function in isolation; it works as a part of a larger protein complex that includes intracellular domains and other signal modifiers.

Pathways

Delta-like 1 fits into the Notch signaling pathway and the Wnt pathway. In the Notch signaling pathway DLL1 engages with Notch receptors to drive transcriptional responses important for embryogenesis and cell fate choices. In the Wnt pathway DLL1 interacts to modulate cellular growth and differentiation often in conjunction with proteins such as Jagged1 and Notch1. These pathways are essential in maintaining stem cell niches and influencing neurogenesis.

Delta-like 1 protein bears significance in oncological and congenital disorders. Dysregulation of DLL1 is associated with cancers like T-cell acute lymphoblastic leukemia where altered Notch signaling plays a role in tumor progression. Additionally abnormalities in DLL1 expression relate to congenital heart defects indicating its role in cardiac development. DLL1's interaction with Notch receptors such as Notch3 appears significant in these contexts making it a potential target for therapeutic intervention in both cancer and congenital disorder management.

製品プロトコール

For this product, it's our understanding that no specific protocols are required. You can visit:

ターゲットの情報

Transmembrane ligand protein of NOTCH1, NOTCH2 and NOTCH3 receptors that binds the extracellular domain (ECD) of Notch receptor in a cis and trans fashion manner (PubMed : 11006133). Following transinteraction, ligand cells produce mechanical force that depends of a clathrin-mediated endocytosis, requiring ligand ubiquitination, EPN1 interaction, and actin polymerisation; these events promote Notch receptor extracellular domain (NECD) transendocytosis and triggers Notch signaling through induction of cleavage, hyperphosphorylation, and nuclear accumulation of the intracellular domain of Notch receptors (NICD) (By similarity). Is required for embryonic development and maintenance of adult stem cells in many different tissues and immune systeme; the DLL1-induced Notch signaling is mediated through an intercellular communication that regulates cell lineage, cell specification, cell patterning and morphogenesis through effects on differentiation and proliferation (PubMed : 11581320). Plays a role in brain development at different level, namely by regulating neuronal differentiation of neural precursor cells via cell-cell interaction, most likely through the lateral inhibitory system in an endogenous level dependent-manner. During neocortex development, Dll1-Notch signaling transmission is mediated by dynamic interactions between intermediate neurogenic progenitors and radial glia; the cell-cell interactions are mediated via dynamic and transient elongation processes, likely to reactivate/maintain Notch activity in neighboring progenitors, and coordinate progenitor cell division and differentiation across radial and zonal boundaries. During cerebellar development, regulates Bergmann glial monolayer formation and its morphological maturation through a Notch signaling pathway. At the retina and spinal cord level, regulates neurogenesis by preventing the premature differentiation of neural progenitors and also by maintaining progenitors in spinal cord through Notch signaling pathway. Also controls neurogenesis of the neural tube in a progenitor domain-specific fashion along the dorsoventral axis. Maintains quiescence of neural stem cells and plays a role as a fate determinant that segregates asymmetrically to one daughter cell during neural stem cells mitosis, resulting in neuronal differentiation in Dll1-inheriting cell. Plays a role in immune systeme development, namely the development of all T-cells and marginal zone (MZ) B-cells (By similarity). Blocks the differentiation of progenitor cells into the B-cell lineage while promoting the emergence of a population of cells with the characteristics of a T-cell/NK-cell precursor (PubMed : 11581320). Also plays a role during muscle development. During early development, inhibits myoblasts differentiation from the medial dermomyotomal lip and later regulates progenitor cell differentiation. Directly modulates cell adhesion and basal lamina formation in satellite cells through Notch signaling. Maintains myogenic progenitors pool by suppressing differentiation through down-regulation of MYOD1 and is required for satellite cell homing and PAX7 expression. During craniofacial and trunk myogenesis suppresses differentiation of cranial mesoderm-derived and somite-derived muscle via MYOD1 regulation but in cranial mesoderm-derived progenitors, is neither required for satellite cell homing nor for PAX7 expression. Also plays a role during pancreatic cell development. During type B pancreatic cell development, may be involved in the initiation of proximodistal patterning in the early pancreatic epithelium. Stimulates multipotent pancreatic progenitor cells proliferation and pancreatic growth by maintaining HES1 expression and PTF1A protein levels. During fetal stages of development, is required to maintain arterial identity and the responsiveness of arterial endothelial cells for VEGFA through regulation of KDR activation and NRP1 expression. Controls sprouting angiogenesis and subsequent vertical branch formation through regulation on tip cell differentiation. Negatively regulates goblet cell differentiation in intestine and controls secretory fat commitment through lateral inhibition in small intestine. Plays a role during inner ear development; negatively regulates auditory hair cell differentiation. Plays a role during nephron development through Notch signaling pathway. Regulates growth, blood pressure and energy homeostasis (By similarity).
See full target information DLL1

文献 (29)

Recent publications for all applications. Explore the full list and refine your search

Advanced science (Weinheim, Baden-Wurttemberg, Germany) 10:e2302804 PubMed37915129

2023

Group 3 Innate Lymphoid Cells Exacerbate Lupus Nephritis by Promoting B Cell Activation in Kidney Ectopic Lymphoid Structures.

Applications

Unspecified application

Species

Unspecified reactive species

Feng Li,Zhou Liang,Haojie Zhong,Xinrong Hu,Ziwen Tang,Changjian Zhu,Jiani Shen,Xu Han,Ruoni Lin,Ruilin Zheng,Ruihan Tang,Huajing Peng,Xunhua Zheng,Chengqiang Mo,Peisong Chen,Xin Wang,Qiong Wen,Jianbo Li,Xi Xia,Hongjian Ye,Yagui Qiu,Jianwen Yu,Dongying Fu,Jiaqi Liu,Rong Wang,Huixin Xie,Yun Guo,Xiaoyan Li,Jinjin Fan,Qinghua Liu,Haiping Mao,Wei Chen,Yi Zhou

Cell death & disease 14:675 PubMed37833248

2023

Kindlin-2 in myoepithelium controls luminal progenitor commitment to alveoli in mouse mammary gland.

Applications

Unspecified application

Species

Unspecified reactive species

Zhenbin Wang,Lei Zhang,Bing Li,Jiagui Song,Miao Yu,Jing Zhang,Ceshi Chen,Jun Zhan,Hongquan Zhang

Open medicine (Warsaw, Poland) 18:20230634 PubMed37082613

2023

F-box and WD repeat domain containing 7 inhibits the activation of hepatic stellate cells by degrading delta-like ligand 1 to block Notch signaling pathway.

Applications

Unspecified application

Species

Unspecified reactive species

Yufeng Sun,Lili He,Peiran Guo,Fenghua Li,Bo Wang,Yifan Zhang,Kai An,Ming Peng

Clinical and experimental pharmacology & physiology 50:504-515 PubMed36876579

2023

Astragalus polysaccharide alleviates angiotensin II-induced glomerular podocyte dysfunction by inhibiting the expression of RARRES1 and LCN2.

Applications

Unspecified application

Species

Unspecified reactive species

Ling Peng,Chunhu Zhang,Gong Xiao

JCI insight 8: PubMed36729644

2023

Defective jagged-1 signaling affects GnRH development and contributes to congenital hypogonadotropic hypogonadism.

Applications

Unspecified application

Species

Unspecified reactive species

Ludovica Cotellessa,Federica Marelli,Paolo Duminuco,Michela Adamo,Georgios E Papadakis,Lucia Bartoloni,Naoko Sato,Mariarosaria Lang-Muritano,Amineh Troendle,Waljit S Dhillo,Annamaria Morelli,Giulia Guarnieri,Nelly Pitteloud,Luca Persani,Marco Bonomi,Paolo Giacobini,Valeria Vezzoli

International archives of allergy and immunology 184:122-131 PubMed36323228

2022

B Lymphocytes Balance Th1/Th2 to Participate in Fibrotic Hypersensitivity Pneumonia Induced by Pigeon Shedding.

Applications

Unspecified application

Species

Unspecified reactive species

Chao Wu,Wei Ding,Yafang Li,Wenyi Wang,Zhichuang Lian,Xirennayi Muhataer,Yuan Zhou,Qifeng Li,Xiaohong Yang

EMBO reports 22:e52728 PubMed34605607

2021

Single-cell analysis reveals dynamic changes of neural cells in developing human spinal cord.

Applications

Unspecified application

Species

Unspecified reactive species

Qi Zhang,Xianming Wu,Yongheng Fan,Peipei Jiang,Yannan Zhao,Yaming Yang,Sufang Han,Bai Xu,Bing Chen,Jin Han,Minghan Sun,Guangfeng Zhao,Zhifeng Xiao,Yali Hu,Jianwu Dai

Frontiers in pharmacology 12:719581 PubMed34385927

2021

MALAT1: A Pivotal lncRNA in the Phenotypic Switch of Gastric Smooth Muscle Cells the Targeting of the miR-449a/DLL1 Axis in Diabetic Gastroparesis.

Applications

Unspecified application

Species

Unspecified reactive species

Yanjuan Wang,Yan Wang,Boqian Zhu,Ying Zhu,Ya Jiang,Wenjie Xiong,Lin Lin,Yaoyao Gong

Circulation. Genomic and precision medicine 14:e003142 PubMed33517678

2021

Whole-Transcriptome Profiling of Human Heart Tissues Reveals the Potential Novel Players and Regulatory Networks in Different Cardiomyopathy Subtypes of Heart Failure.

Applications

Unspecified application

Species

Unspecified reactive species

Chia-Feng Liu,Ying Ni,Christine S Moravec,Michael Morley,Euan A Ashley,Thomas P Cappola,Kenneth B Margulies,W H Wilson Tang

The European journal of neuroscience 52:3306-3321 PubMed32460437

2020

Juxtacrine signalling via Notch and ErbB receptors in the switch to fate commitment of bone marrow-derived Schwann cells.

Applications

Unspecified application

Species

Unspecified reactive species

Graham Ka-Hon Shea,Evelyn Wing-Yin Tai,Katherine Ho-Yan Leung,Alan Kwan-Long Mung,Maximilian Tak-Sui Li,Alex Yat-Ping Tsui,Anthony Kin-Wai Tam,Daisy Kwok-Yan Shum,Ying-Shing Chan
View all publications

Abcam product promise

当社は、高品質な試薬を通じてお客様の研究を力強くサポートすることをお約束いたします。ご使用いただく各段階で、常にお客様をサポートできる体制を整えております。万が一、製品が期待通りに機能しない場合は、「Abcam Product Promise」による当社保証制度に基づき、安心してご利用いただけます。
保証に関する詳細については利用規約をご確認ください。

Please note: All products are 'FOR RESEARCH USE ONLY. NOT FOR USE IN DIAGNOSTIC OR THERAPEUTIC PROCEDURES'.

For licensing inquiries, please contact partnerships@abcam.com