JavaScript is disabled in your browser. Please enable JavaScript to view this website.
AB239792

Anti-DGKZ/DGK-zeta 抗体 [EPR22040-72] - BSA and Azide free

Anti-DGKZ/DGK-zeta antibody [EPR22040-72] - BSA and Azide free

Be the first to review this product! Submit a review

|

(1 Publication)

Rabbit Recombinant Monoclonal DGKZ/DGK-zeta antibody. Carrier free. Suitable for IP, mIHC, WB, IHC-P, Flow Cyt (Intra) and reacts with Human, Mouse, Rat samples. Cited in 1 publication.

別名を表示する

DAGK6, DGKZ, Diacylglycerol kinase zeta, DAG kinase zeta, Diglyceride kinase zeta, DGK-zeta

7 Images
Flow Cytometry (Intracellular) - Anti-DGKZ/DGK-zeta antibody [EPR22040-72] - BSA and Azide free (AB239792)
  • Flow Cyt (Intra)

Supplier Data

Flow Cytometry (Intracellular) - Anti-DGKZ/DGK-zeta antibody [EPR22040-72] - BSA and Azide free (AB239792)

Intracellular flow cytometric analysis of 4% paraformaldehyde-fixed, 90% methanol permeabilzedJurkat (human T cell leukemia cell line from peripheral blood) cell line labeling DGKZ/DGK-zeta with ab239080 at 1/600 dilution (Red) compared with a Rabbit monoclonal IgG (ab172730, Black) isotype control, and an unlabeled control (Cell without incubation with primary antibody and secondary antibody, Blue).

Goat anti rabbit IgG (Alexa Fluor® 488, ab150077) at 1/2000 wasused as the secondary antibody.

This data was developed using the same antibody clone in a different buffer formulation containing PBS, BSA, glycerol, and sodium azide (ab239080).

Immunohistochemistry (Formalin/PFA-fixed paraffin-embedded sections) - Anti-DGKZ/DGK-zeta antibody [EPR22040-72] - BSA and Azide free (AB239792)
  • IHC-P

Supplier Data

Immunohistochemistry (Formalin/PFA-fixed paraffin-embedded sections) - Anti-DGKZ/DGK-zeta antibody [EPR22040-72] - BSA and Azide free (AB239792)

Immunohistochemical analysis of paraffin-embedded human cerebellum tissue labeling DGKZ/DGK-zeta with ab239080 at 1/4000 dilution, followed by Goat Anti-Rabbit IgG H&L (HRP) ready to use. Cytoplasmic and nuclear staining on Purkinje cells of human cerebellum (PMID : 14511325) (PMID : 24119575) is observed. Counter stained with Hematoxylin.

Secondary antibody only control : Used PBS instead of primary antibody, secondary antibody is Goat Anti-Rabbit IgG H&L (HRP) ready to use.

This data was developed using the same antibody clone in a different buffer formulation containing PBS, BSA, glycerol, and sodium azide (ab239080).

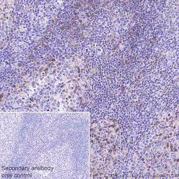
Immunohistochemistry (Formalin/PFA-fixed paraffin-embedded sections) - Anti-DGKZ/DGK-zeta antibody [EPR22040-72] - BSA and Azide free (AB239792)
  • IHC-P

Supplier Data

Immunohistochemistry (Formalin/PFA-fixed paraffin-embedded sections) - Anti-DGKZ/DGK-zeta antibody [EPR22040-72] - BSA and Azide free (AB239792)

Immunohistochemical analysis of paraffin-embedded human tonsil tissue labeling DGKZ/DGK-zeta with ab239080 at 1/4000 dilution, followed by Goat Anti-Rabbit IgG H&L (HRP) ready to use. Cytoplasmic Cytoplasmic staining on subset of immune cells in human tonsil (PMID : 24573202) is observed. Counter stained with Hematoxylin.

Secondary antibody only control : Used PBS instead of primary antibody, secondary antibody is Goat Anti-Rabbit IgG H&L (HRP) ready to use.

This data was developed using the same antibody clone in a different buffer formulation containing PBS, BSA, glycerol, and sodium azide (ab239080).

Immunoprecipitation - Anti-DGKZ/DGK-zeta antibody [EPR22040-72] - BSA and Azide free (AB239792)
  • IP

Unknown

Immunoprecipitation - Anti-DGKZ/DGK-zeta antibody [EPR22040-72] - BSA and Azide free (AB239792)

DGKZ/DGK-zeta was immunoprecipitated from 0.35 mg of Jurkat (human T cell leukemia cell line from peripheral blood) whole cell lysate with ab239080 at 1/30 dilution. Western blot was performed from the immunoprecipitate using ab239080 at 1/1000 dilution. VeriBlot for IP Detection Reagent (HRP) (ab131366), was used for detection at 1/1000 dilution.
Lane 1 : Jurkat whole cell lysat 10 μg (input).
Lane 2 : ab239080 IP in Jurkat whole cell lysate.
Lane 3 : Rabbit monoclonal IgG (ab172730) instead of ab239080 in Jurkat whole cell lysate (-).

Blocking and dilution buffer and concentration : 5% NFDM/TBST.
Exposure time : 15 seconds.

This data was developed using the same antibody clone in a different buffer formulation containing PBS, BSA, glycerol, and sodium azide (ab239080).

All lanes:

Immunoprecipitation - Anti-DGKZ/DGK-zeta antibody [EPR22040-72] (<a href='/products/primary-antibodies/dgkz-dgk-zeta-antibody-epr22040-72-ab239080'>ab239080</a>)

Predicted band size: 124 kDa

false

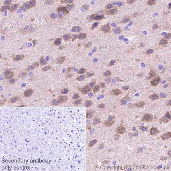
Immunohistochemistry (Formalin/PFA-fixed paraffin-embedded sections) - Anti-DGKZ/DGK-zeta antibody [EPR22040-72] - BSA and Azide free (AB239792)
  • IHC-P

Supplier Data

Immunohistochemistry (Formalin/PFA-fixed paraffin-embedded sections) - Anti-DGKZ/DGK-zeta antibody [EPR22040-72] - BSA and Azide free (AB239792)

Immunohistochemical analysis of paraffin-embedded mouse brain tissue labeling DGKZ/DGK-zeta with ab239080 at 1/4000 dilution, followed by Goat Anti-Rabbit IgG H&L (HRP) ready to use. Cytoplasmic and nuclear staining on neurons of mouse brain (PMID : 14511325) (PMID : 24119575) is observed. Counter stained with Hematoxylin.

Secondary antibody only control : Used PBS instead of primary antibody, secondary antibody is Goat Anti-Rabbit IgG H&L (HRP) ready to use.

This data was developed using the same antibody clone in a different buffer formulation containing PBS, BSA, glycerol, and sodium azide (ab239080).

Immunohistochemistry (Formalin/PFA-fixed paraffin-embedded sections) - Anti-DGKZ/DGK-zeta antibody [EPR22040-72] - BSA and Azide free (AB239792)
  • IHC-P

Supplier Data

Immunohistochemistry (Formalin/PFA-fixed paraffin-embedded sections) - Anti-DGKZ/DGK-zeta antibody [EPR22040-72] - BSA and Azide free (AB239792)

Immunohistochemical analysis of paraffin-embedded rat brain tissue labeling DGKZ/DGK-zeta with ab239080 at 1/4000 dilution, followed by Goat Anti-Rabbit IgG H&L (HRP) ready to use. Cytoplasmic staining on neurons of rat brain (PMID : 14511325) (PMID : 24119575) is observed. Counter stained with Hematoxylin.

Secondary antibody only control : Used PBS instead of primary antibody, secondary antibody is Goat Anti-Rabbit IgG H&L (HRP) ready to use.

This data was developed using the same antibody clone in a different buffer formulation containing PBS, BSA, glycerol, and sodium azide (ab239080).

Multiplex immunohistochemistry - Anti-DGKZ/DGK-zeta antibody [EPR22040-72] - BSA and Azide free (AB239792)
  • mIHC

Lab

Multiplex immunohistochemistry - Anti-DGKZ/DGK-zeta antibody [EPR22040-72] - BSA and Azide free (AB239792)

Fluorescence multiplex immunohistochemical analysis of mouse cerebellum (formalin-fixed paraffin-embedded section).

Panel A : merged staining of anti-GABRA6 (magenta; Opal™690), anti-KCNA (green; Opal™520) and anti-DGKZ (gray; Opal™570) on mouse cerebellum.
Panel B : anti-GABRA6 staining granule cells in mouse cerebellum.
Panel C : anti-KCNA staining basket cells in mouse cerebellum.
Panel D : anti-DGKZ staining Purkinje cells in mouse cerebellum.
Nuclear DNA was labeled with DAPI (shown in blue).

The section was incubated in three rounds of staining : in the order of ab300069 at a 1/500 dilution, ab313624 at a 1/5000 and ab239080 at a 1/5000 dilution for 30 mins at room temperature. Each round was followed by a separate fluorescent tyramide signal amplification system.

Heat mediated antigen retrieval was performed with Tris-EDTA buffer (pH 9.0, epitope retrieval solution2) for 20 mins.

The immunostaining was performed on a Leica Biosystems BOND® RX instrument with an Opal™ 4-color kit. Image acquisition was performed with Leica SP8 confocal microscope.

関連する標識済み抗体及び組成の異なる製品 (1)

Key facts

宿主種

Rabbit

クローン性

Monoclonal

クローン番号

EPR22040-72

アイソタイプ

IgG

キャリアフリー

Yes

交差種

Mouse, Rat, Human

アプリケーション

IP, WB, Flow Cyt (Intra), mIHC, IHC-P

applications

免疫原

The exact immunogen used to generate this antibody is proprietary information.

Reactivity data

{ "title": "Reactivity Data", "filters": { "stats": ["", "Species", "Dilution Info", "Notes"], "tabs": { "all-applications": {"fullname" : "All Applications", "shortname": "All Applications"}, "IP" : {"fullname" : "Immunoprecipitation", "shortname":"IP"}, "mIHC" : {"fullname" : "Multiplex immunohistochemistry", "shortname":"mIHC"}, "WB" : {"fullname" : "Western blot", "shortname":"WB"}, "IHCP" : {"fullname" : "Immunohistochemistry (Formalin/PFA-fixed paraffin-embedded sections)", "shortname":"IHC-P"}, "FlowCytIntra" : {"fullname" : "Flow Cytometry (Intracellular)", "shortname":"Flow Cyt (Intra)"} }, "product-promise": { "all": "all", "testedAndGuaranteed": "tested", "guaranteed": "expected", "predicted": "predicted", "notRecommended": "not-recommended" } }, "values": { "Human": { "IP-species-checked": "testedAndGuaranteed", "IP-species-dilution-info": "", "IP-species-notes": "<p></p>", "mIHC-species-checked": "guaranteed", "mIHC-species-dilution-info": "", "mIHC-species-notes": "", "WB-species-checked": "guaranteed", "WB-species-dilution-info": "", "WB-species-notes": "<p></p>", "IHCP-species-checked": "guaranteed", "IHCP-species-dilution-info": "", "IHCP-species-notes": "", "FlowCytIntra-species-checked": "testedAndGuaranteed", "FlowCytIntra-species-dilution-info": "", "FlowCytIntra-species-notes": "<p></p>" }, "Mouse": { "IP-species-checked": "guaranteed", "IP-species-dilution-info": "", "IP-species-notes": "", "mIHC-species-checked": "testedAndGuaranteed", "mIHC-species-dilution-info": "", "mIHC-species-notes": "<p></p>", "WB-species-checked": "guaranteed", "WB-species-dilution-info": "", "WB-species-notes": "<p></p>", "IHCP-species-checked": "guaranteed", "IHCP-species-dilution-info": "", "IHCP-species-notes": "", "FlowCytIntra-species-checked": "guaranteed", "FlowCytIntra-species-dilution-info": "", "FlowCytIntra-species-notes": "" }, "Rat": { "IP-species-checked": "guaranteed", "IP-species-dilution-info": "", "IP-species-notes": "", "mIHC-species-checked": "guaranteed", "mIHC-species-dilution-info": "", "mIHC-species-notes": "", "WB-species-checked": "guaranteed", "WB-species-dilution-info": "", "WB-species-notes": "<p></p>", "IHCP-species-checked": "testedAndGuaranteed", "IHCP-species-dilution-info": "", "IHCP-species-notes": "<p></p>", "FlowCytIntra-species-checked": "guaranteed", "FlowCytIntra-species-dilution-info": "", "FlowCytIntra-species-notes": "" } } }

製品の詳細

ab239792 is the carrier-free version of ab239080.

Conjugation ready
Our carrier-free antibodies are typically supplied in a PBS-only formulation, purified and free of BSA, sodium azide and glycerol. This conjugation-ready format is designed for use with fluorochromes, metal isotopes, oligonucleotides, and enzymes, which makes them ideal for antibody labelling, functional and cell-based assays, flow-based assays (e.g. mass cytometry) and Multiplex Imaging applications.

Use our conjugation kits for antibody conjugates that are ready-to-use in as little as 20 minutes with 1 minute hands-on-time and 100% antibody recovery: available for fluorescent dyes, HRP, biotin and gold.

Compatibility
This product is compatible with the Maxpar® Antibody Labeling Kit from Fluidigm, without the need for antibody preparation. Maxpar® is a trademark of Fluidigm Canada Inc.

出荷温度及び保存条件

製品の状態
Liquid
精製方法
Affinity purification Protein A
バッファー組成
pH: 7.2 - 7.4 Constituents: PBS
出荷温度
Blue Ice
短期保存温度
+4°C
長期保存温度
+4°C
保管に関する情報
Do Not Freeze

補足情報

This supplementary information is collated from multiple sources and compiled automatically.

DGKZ also known as DGK-zeta or DGKζ is an enzyme that belongs to the diacylglycerol kinase family and plays an important role in lipid signaling pathways. The 'zeta' isoform of DGK sometimes noted in scientific literature as DGK ART and DGK MEXICO catalyzes the conversion of diacylglycerol (DAG) to phosphatidic acid (PA) by ATP-dependent phosphorylation impacting signal transduction. DGKZ has a molecular mass of approximately 115 kDa. It shows expression in various tissues including brain heart and skeletal muscle with higher expression levels typically seen in the nervous system where it affects neurotransmitter signaling.
Biological function summary

DGKZ influences cellular processes such as growth differentiation and apoptosis by regulating DAG and PA levels. It forms part of a complex network of proteins involved in intracellular signaling cascades exerting effects on protein kinase C (PKC) activity. The regulatory function of DGKZ within cellular activity highlights its role in maintaining normal cellular homeostasis and responding to extracellular signals. Its enzymatic activity influences DAG-mediated pathways which are important for the activation and deactivation of downstream signaling proteins.

Pathways

DGKZ plays a critical role within the signaling pathways such as the phosphoinositide signaling and mTOR pathways. It serves as an important modulator of lipid signaling within the diacylglycerol- and phosphatidic acid-mediated signaling pathways impacting protein interactions and signaling mechanisms. Other proteins related through these pathways include PKC and mTOR with which DGKZ interacts to modulate functions such as cell proliferation and survival. The enzymatic conversion of DAG to PA by DGKZ actively regulates the availability of these lipid signaling molecules and therefore modulates their downstream effects.

DGKZ has associations with neurological disorders and cancer. Abnormal regulation or expression of DGKZ contributes to pathologies such as Alzheimer's disease where impaired lipid signaling affects neuronal function and survival. Additionally its dysregulation may promote cancer progression through aberrant cell signaling pathways. DGKZ interacts with proteins like PKC which play a role in these diseases making it a potential therapeutic target. Understanding its function and interactions helps offer insights into the development of targeted therapies for these conditions.

製品プロトコール

For this product, it's our understanding that no specific protocols are required. You can visit:

ターゲットの情報

Diacylglycerol kinase that converts diacylglycerol/DAG into phosphatidic acid/phosphatidate/PA and regulates the respective levels of these two bioactive lipids (PubMed : 15544348, PubMed : 18004883, PubMed : 19744926, PubMed : 22108654, PubMed : 22627129, PubMed : 23949095, PubMed : 9159104). Thereby, acts as a central switch between the signaling pathways activated by these second messengers with different cellular targets and opposite effects in numerous biological processes (PubMed : 15544348, PubMed : 18004883, PubMed : 19744926, PubMed : 22108654, PubMed : 22627129, PubMed : 23949095, PubMed : 9159104). Also plays an important role in the biosynthesis of complex lipids (Probable). Does not exhibit an acyl chain-dependent substrate specificity among diacylglycerol species (PubMed : 19744926, PubMed : 22108654, PubMed : 9159104). Can also phosphorylate 1-alkyl-2-acylglycerol in vitro but less efficiently and with a preference for alkylacylglycerols containing an arachidonoyl group (PubMed : 15544348, PubMed : 19744926, PubMed : 22627129). The biological processes it is involved in include T cell activation since it negatively regulates T-cell receptor signaling which is in part mediated by diacylglycerol (By similarity). By generating phosphatidic acid, stimulates PIP5KIA activity which regulates actin polymerization (PubMed : 15157668). Through the same mechanism could also positively regulate insulin-induced translocation of SLC2A4 to the cell membrane (By similarity).. Isoform 1. Regulates RASGRP1 activity.. Isoform 2. Does not regulate RASGRP1 activity.
See full target information DGKZ

文献 (1)

Recent publications for all applications. Explore the full list and refine your search

Frontiers in medicine 12:1614012 PubMed40959429

2025

A mitochondrial ferroptosis-related gene signature predicts prognosis and immune landscape in colon cancer.

Applications

Unspecified application

Species

Unspecified reactive species

Hou Wang
View all publications

Abcam product promise

当社は、高品質な試薬を通じてお客様の研究を力強くサポートすることをお約束いたします。ご使用いただく各段階で、常にお客様をサポートできる体制を整えております。万が一、製品が期待通りに機能しない場合は、「Abcam Product Promise」による当社保証制度に基づき、安心してご利用いただけます。
保証に関する詳細については利用規約をご確認ください。

Please note: All products are 'FOR RESEARCH USE ONLY. NOT FOR USE IN DIAGNOSTIC OR THERAPEUTIC PROCEDURES'.

For licensing inquiries, please contact partnerships@abcam.com