JavaScript is disabled in your browser. Please enable JavaScript to view this website.
AB8401

Anti-DFFB/CAD 抗体

Anti-DFFB/CAD antibody

Be the first to review this product! Submit a review

|

(1 Publication)

Rabbit Polyclonal DFFB/CAD antibody. Suitable for WB, IHC-P, ICC/IF and reacts with Mouse samples. Cited in 1 publication.

別名を表示する

Cad, Dffb, DNA fragmentation factor subunit beta, Caspase-activated deoxyribonuclease, DNA fragmentation factor 40 kDa subunit, CAD, Caspase-activated DNase, DFF-40

4 Images
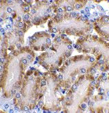
Immunohistochemistry (Formalin/PFA-fixed paraffin-embedded sections) - Anti-DFFB/CAD antibody (AB8401)
  • IHC-P

Unknown

Immunohistochemistry (Formalin/PFA-fixed paraffin-embedded sections) - Anti-DFFB/CAD antibody (AB8401)

Immunohistochemistry (Formalin-fixed paraffin embedded sections) of mouse kidney tissue labeling DFFB/CAD with Anti-DFFB/CAD antibody (ab8401) at 5μg/ml.

Immunocytochemistry/ Immunofluorescence - Anti-DFFB/CAD antibody (AB8401)
  • ICC/IF

Unknown

Immunocytochemistry/ Immunofluorescence - Anti-DFFB/CAD antibody (AB8401)

Immunofluorescence of DFFB/CAD in Mouse Kidney cells using ab8401 at 10 ug/ml.

Immunohistochemistry (Formalin/PFA-fixed paraffin-embedded sections) - Anti-DFFB/CAD antibody (AB8401)
  • IHC-P

Unknown

Immunohistochemistry (Formalin/PFA-fixed paraffin-embedded sections) - Anti-DFFB/CAD antibody (AB8401)

ab8401 at 2μg/ml staining DFFB/CAD in mouse kidney tissue by IHC

Western blot - Anti-DFFB/CAD antibody (AB8401)
  • WB

Unknown

Western blot - Anti-DFFB/CAD antibody (AB8401)

All lanes:

Western blot - Anti-DFFB/CAD antibody (ab8401) at 2 µg/mL

All lanes:

murine kidney tissue lysate

Predicted band size: 39 kDa

false

Key facts

宿主種

Rabbit

クローン性

Polyclonal

アイソタイプ

IgG

軽鎖のタイプ

unknown

キャリアフリー

No

交差種

Mouse

アプリケーション

ICC/IF, WB, IHC-P

applications

免疫原

The exact immunogen used to generate this antibody is proprietary information.

Reactivity data

{ "title": "Reactivity Data", "filters": { "stats": ["", "Species", "Dilution Info", "Notes"], "tabs": { "all-applications": {"fullname" : "All Applications", "shortname": "All Applications"}, "WB" : {"fullname" : "Western blot", "shortname":"WB"}, "IHCP" : {"fullname" : "Immunohistochemistry (Formalin/PFA-fixed paraffin-embedded sections)", "shortname":"IHC-P"}, "ICCIF" : {"fullname" : "Immunocytochemistry/ Immunofluorescence", "shortname":"ICC/IF"} }, "product-promise": { "all": "all", "testedAndGuaranteed": "tested", "guaranteed": "expected", "predicted": "predicted", "notRecommended": "not-recommended" } }, "values": { "Mouse": { "WB-species-checked": "testedAndGuaranteed", "WB-species-dilution-info": "1/500 - 1/1000", "WB-species-notes": "<p></p>", "IHCP-species-checked": "testedAndGuaranteed", "IHCP-species-dilution-info": "2 µg/mL", "IHCP-species-notes": "<p></p>", "ICCIF-species-checked": "testedAndGuaranteed", "ICCIF-species-dilution-info": "20 µg/mL", "ICCIF-species-notes": "<p></p>" } } }

出荷温度及び保存条件

製品の状態
Liquid
精製方法
Affinity purification
バッファー組成
pH: 7.2 Preservative: 0.02% Sodium azide
出荷温度
Blue Ice
短期保存温度
+4°C
長期保存温度
+4°C

補足情報

This supplementary information is collated from multiple sources and compiled automatically.

DFFB also known as DNA fragmentation factor subunit beta or CAD is a protein with a molecular mass of approximately 40 kDa. It plays an important role in the apoptotic process by acting as a nuclease responsible for cleaving DNA into oligonucleosomal fragments. DFFB is found in various tissues expressing mainly in cells undergoing apoptosis. The interaction with its inhibitor DFFA prevents its activation until the apoptotic signal triggers the pathway for its release and activation resulting in DNA fragmentation.
Biological function summary

DFFB is critical in the execution phase of apoptosis which is the programmed cell death essential to maintaining cellular homeostasis and development. It forms a complex with DFFA its chaperone and inhibitor which regulates its nuclease activity. Apoptosis requires controlled DNA degradation activity which DFFB provides ensuring that cells dismantle DNA in a process safe for the organism. The role of DFFB in apoptosis highlights its importance in normal cell turnover and immune system regulation.

Pathways

DFFB is an essential component of the apoptotic signaling pathway. It aligns with the intrinsic mitochondrial pathway which involves cytochrome c release and subsequent apoptosome formation. Proteins such as caspase-3 activate DFFB by cleaving DFFA facilitating its nuclease function. The careful balance of these pathways and proteins ensures orderly cell death preventing unwanted inflammatory responses or pathological conditions.

DFFB has connections to cancer and neurodegenerative disorders. Dysregulation of its apoptotic function can lead to unchecked cell proliferation contributing to tumorigenesis. Furthermore abnormal DFFB activity is linked to conditions such as Alzheimer's disease where excessive or inappropriate apoptosis occurs. The interplay between DFFB and proteins such as caspase-3 often becomes critical in these disorders highlighting the complex role of apoptosis in both development and pathology.

製品プロトコール

For this product, it's our understanding that no specific protocols are required. You can visit:

ターゲットの情報

Nuclease that induces DNA fragmentation and chromatin condensation during apoptosis. Degrades naked DNA and induces apoptotic morphology.
See full target information Dffb

文献 (1)

Recent publications for all applications. Explore the full list and refine your search

Aging cell 23:e14186 PubMed38761001

2024

Elimination of damaged mitochondria during UVB-induced senescence is orchestrated by NIX-dependent mitophagy.

Applications

Unspecified application

Species

Unspecified reactive species

Maria Cavinato,Ines Martic,Sophia Wedel,Annabella Pittl,Rafal Koziel,Regina Weinmmüllner,Markus Schosserer,Brigitte Jenewein,Madhusudhan Reddy Bobbili,Elsa Arcalis,Johannes Haybaeck,Gerhard Pierer,Christian Ploner,Martin Hermann,Nikolaus Romani,Matthias Schmuth,Johannes Grillari,Pidder Jansen-Dürr
View all publications

Abcam product promise

当社は、高品質な試薬を通じてお客様の研究を力強くサポートすることをお約束いたします。ご使用いただく各段階で、常にお客様をサポートできる体制を整えております。万が一、製品が期待通りに機能しない場合は、「Abcam Product Promise」による当社保証制度に基づき、安心してご利用いただけます。
保証に関する詳細については利用規約をご確認ください。

Please note: All products are 'FOR RESEARCH USE ONLY. NOT FOR USE IN DIAGNOSTIC OR THERAPEUTIC PROCEDURES'.

For licensing inquiries, please contact partnerships@abcam.com