JavaScript is disabled in your browser. Please enable JavaScript to view this website.
AB185087

Anti-Derlin-2 抗体

Anti-Derlin-2 antibody

Be the first to review this product! Submit a review

|

(1 Publication)

Rabbit Polyclonal Derlin-2 antibody. Suitable for WB, IHC-P and reacts with Human samples. Cited in 1 publication. Immunogen corresponding to Recombinant Fragment Protein within Human DERL2 aa 200 to C-terminus.

別名を表示する

DER2, FLANA, CGI-101, SBBI53, DERL2, Derlin-2, Degradation in endoplasmic reticulum protein 2, Der1-like protein 2, F-LAN-1, F-LANa, DERtrin-2

3 Images
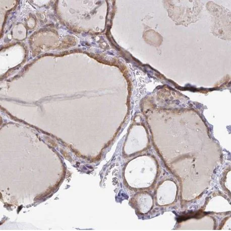
Immunohistochemistry (Formalin/PFA-fixed paraffin-embedded sections) - Anti-Derlin-2 antibody (AB185087)
  • IHC-P

Supplier Data

Immunohistochemistry (Formalin/PFA-fixed paraffin-embedded sections) - Anti-Derlin-2 antibody (AB185087)

Immunohistochemical analysis of human thyroid gland labeling Derlin-2 (high expression) with ab185087 at a 1/50 dilution.

Performed heat mediated antigen retrieval with citrate buffer pH 6 before commencing with IHC staining protocol.

Immunohistochemistry (Formalin/PFA-fixed paraffin-embedded sections) - Anti-Derlin-2 antibody (AB185087)
  • IHC-P

Supplier Data

Immunohistochemistry (Formalin/PFA-fixed paraffin-embedded sections) - Anti-Derlin-2 antibody (AB185087)

Immunohistochemical analysis of human skeletal muscle labeling Derlin-2 (low expression) with ab185087 at a 1/50 dilution.

Performed heat mediated antigen retrieval with citrate buffer pH 6 before commencing with IHC staining protocol.

Western blot - Anti-Derlin-2 antibody (AB185087)
  • WB

Supplier Data

Western blot - Anti-Derlin-2 antibody (AB185087)

All lanes:

Western blot - Anti-Derlin-2 antibody (ab185087) at 0.4 µg/mL

All lanes:

U-251 MG (human brain glioma cell line) whole cell lysate

Predicted band size: 28 kDa

false

Key facts

宿主種

Rabbit

クローン性

Polyclonal

アイソタイプ

IgG

キャリアフリー

No

交差種

Human

アプリケーション

WB, IHC-P

applications

免疫原

Recombinant Fragment Protein within Human DERL2 aa 200 to C-terminus. The exact immunogen used to generate this antibody is proprietary information.

Q9GZP9

Reactivity data

{ "title": "Reactivity Data", "filters": { "stats": ["", "Species", "Dilution Info", "Notes"], "tabs": { "all-applications": {"fullname" : "All Applications", "shortname": "All Applications"}, "WB" : {"fullname" : "Western blot", "shortname":"WB"}, "IHCP" : {"fullname" : "Immunohistochemistry (Formalin/PFA-fixed paraffin-embedded sections)", "shortname":"IHC-P"} }, "product-promise": { "all": "all", "testedAndGuaranteed": "tested", "guaranteed": "expected", "predicted": "predicted", "notRecommended": "not-recommended" } }, "values": { "Human": { "WB-species-checked": "testedAndGuaranteed", "WB-species-dilution-info": "0.04-0.4 µg/mL", "WB-species-notes": "<p></p>", "IHCP-species-checked": "testedAndGuaranteed", "IHCP-species-dilution-info": "1/50 - 1/200", "IHCP-species-notes": "<p>Perform heat mediated antigen retrieval with citrate buffer pH 6 before commencing with IHC staining protocol</p>" }, "Mouse": { "WB-species-checked": "predicted", "WB-species-dilution-info": "", "WB-species-notes": "", "IHCP-species-checked": "predicted", "IHCP-species-dilution-info": "", "IHCP-species-notes": "" }, "Rat": { "WB-species-checked": "predicted", "WB-species-dilution-info": "", "WB-species-notes": "", "IHCP-species-checked": "predicted", "IHCP-species-dilution-info": "", "IHCP-species-notes": "" } } }

出荷温度及び保存条件

製品の状態
Liquid
精製方法
Affinity purification Immunogen
バッファー組成
pH: 7.2 Preservative: 0.02% Sodium azide Constituents: PBS, 40% Glycerol (glycerin, glycerine)
出荷温度
Blue Ice
短期保存期間
1-2 weeks
短期保存温度
+4°C
長期保存温度
-20°C
分注に関する情報
Upon delivery aliquot
保管に関する情報
Avoid freeze / thaw cycle

補足情報

This supplementary information is collated from multiple sources and compiled automatically.

Derlin-2 also known as DERL2 is a protein with a molecular mass of approximately 25 kDa. It plays an essential role in the endoplasmic reticulum-associated degradation (ERAD) pathway by facilitating the retrotranslocation of misfolded proteins from the endoplasmic reticulum to the cytosol for degradation. This protein is widely expressed in various tissues reflecting its significant role in maintaining cellular homeostasis.
Biological function summary

Derlin-2 works within a larger complex that includes other ERAD components such as VCP/p97 and SEL1L. This involvement ensures the efficient recognition and targeting of substrate proteins for degradation. By coordinating the removal of misfolded proteins Derlin-2 maintains protein quality control within the cell which is important for normal cellular functions.

Pathways

The function of Derlin-2 fits primarily within the ERAD pathway which is a subset of the broader unfolded protein response (UPR) signaling. It outlines interactions with proteins such as HRD1 and EDEM1 which also play roles in targeting misfolded proteins for proteasomal degradation. By participating in these pathways Derlin-2 contributes to the balance between protein synthesis and degradation therefore preventing cellular stress.

Mutations or dysregulation in Derlin-2 expression link to neurodegenerative diseases like Alzheimer's disease and cancer. Its connection with proteins such as amyloid precursor protein (APP) further implicates Derlin-2 in the pathogenesis of Alzheimer’s disease as improper protein clearance may lead to protein aggregation. In cancer defective ERAD function due to altered Derlin-2 levels may end up promoting tumor progression through the accumulation of proteins that enhance cell survival.

製品プロトコール

For this product, it's our understanding that no specific protocols are required. You can visit:

ターゲットの情報

Functional component of endoplasmic reticulum-associated degradation (ERAD) for misfolded lumenal glycoproteins, but not that of misfolded nonglycoproteins. May act by forming a channel that allows the retrotranslocation of misfolded glycoproteins into the cytosol where they are ubiquitinated and degraded by the proteasome. May mediate the interaction between VCP and misfolded glycoproteins (PubMed : 16186509, PubMed : 16449189). May also be involved in endoplasmic reticulum stress-induced pre-emptive quality control, a mechanism that selectively attenuates the translocation of newly synthesized proteins into the endoplasmic reticulum and reroutes them to the cytosol for proteasomal degradation (PubMed : 26565908).. (Microbial infection) In contrast to DERL1, it is not involved in the degradation of MHC class I heavy chains following infection by cytomegaloviruses.
See full target information DERL2

文献 (1)

Recent publications for all applications. Explore the full list and refine your search

Genetics research 2023:1184101 PubMed36969985

2023

Clinical Significance of NKD Inhibitor of WNT Signaling Pathway 1 (NKD1) in Glioblastoma.

Applications

Unspecified application

Species

Unspecified reactive species

Lijun Li,Ruiying Gao,Weizhong Huangfu,Fang Zhang,Ruixia Wang
View all publications

Abcam product promise

当社は、高品質な試薬を通じてお客様の研究を力強くサポートすることをお約束いたします。ご使用いただく各段階で、常にお客様をサポートできる体制を整えております。万が一、製品が期待通りに機能しない場合は、「Abcam Product Promise」による当社保証制度に基づき、安心してご利用いただけます。
保証に関する詳細については利用規約をご確認ください。

Please note: All products are 'FOR RESEARCH USE ONLY. NOT FOR USE IN DIAGNOSTIC OR THERAPEUTIC PROCEDURES'.

For licensing inquiries, please contact partnerships@abcam.com