JavaScript is disabled in your browser. Please enable JavaScript to view this website.
AB13840

Anti-DDX4 / MVH 抗体

Anti-DDX4 / MVH antibody

5

(22 Reviews)

|

(629 Publications)

Anti-DDX4 / MVH antibody (ab13840) is a rabbit polyclonal antibody detecting DDX4 / MVH in Western Blot, IHC-P, IHC-Fr, ICC/IF. Suitable for Human, Mouse.

- Over 520 publications
- Trusted since 2005

別名を表示する

VASA, DDX4, Probable ATP-dependent RNA helicase DDX4, DEAD box protein 4, Vasa homolog

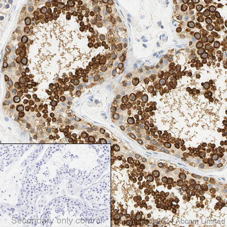
8 Images
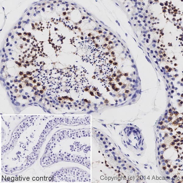
Immunohistochemistry (Formalin/PFA-fixed paraffin-embedded sections) - Anti-DDX4 / MVH antibody (AB13840)
  • IHC-P

Lab

Immunohistochemistry (Formalin/PFA-fixed paraffin-embedded sections) - Anti-DDX4 / MVH antibody (AB13840)

Immunohistochemical analysis of formalin fixed paraffin embedded human testis labelling DDX4/MVH with ab13840 at a concentration of 0.1μg/ml. The immunostaining was performed on a Ventana DISCOVERY ULTRA (Roche Tissue Diagnostics) instrument with a OptiView DAB IHC Detection Kit. Heat mediated antigen retrieval was performed with DISCOVERY cell conditioning solution (CC1) 100°C, pH8.5 for 32mins.

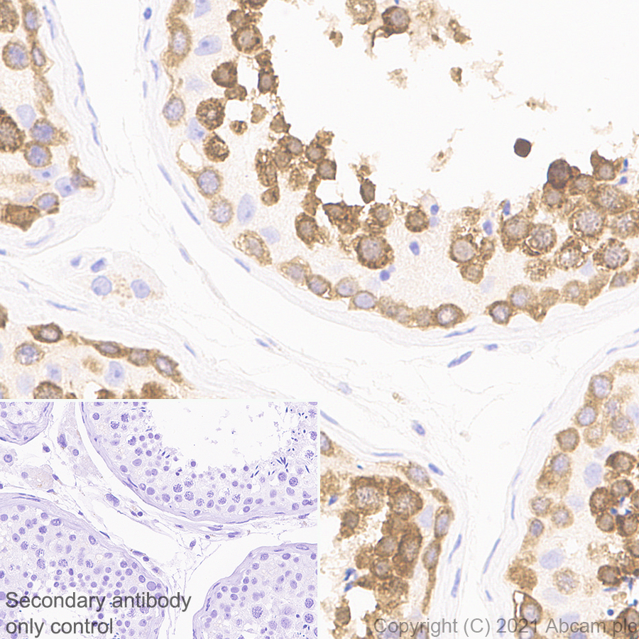
Immunohistochemistry (Formalin/PFA-fixed paraffin-embedded sections) - Anti-DDX4 / MVH antibody (AB13840)
  • IHC-P

Lab

Immunohistochemistry (Formalin/PFA-fixed paraffin-embedded sections) - Anti-DDX4 / MVH antibody (AB13840)

IHC image of DDX4/MVH staining in human testis formalin fixed paraffin embedded tissue section, performed on a Leica BondTM system using the standard protocol F. The section was pre-treated using heat mediated antigen retrieval with sodium citrate buffer (pH6, epitope retrieval solution 1) for 20 mins. The section was then incubated with ab13840, 5µg/ml, for 15 mins at room temperature and detected using an HRP conjugated compact polymer system. DAB was used as the chromogen. The section was then counterstained with haematoxylin and mounted with DPX.

Immunocytochemistry/ Immunofluorescence - Anti-DDX4 / MVH antibody (AB13840)
  • ICC/IF

Lab

Immunocytochemistry/ Immunofluorescence - Anti-DDX4 / MVH antibody (AB13840)

ab13840 staining DDX4/MVH in mES cells. The cells were fixed with 100% methanol (5 min), permeabilized with 0.1% PBS-Triton X-100 for 5 minutes and then blocked with 1% BSA/10% normal goat serum/0.3M glycine in 0.1% PBS-Tween for 1h. The cells were then incubated overnight at 4°C with ab13840 at 1µg/ml and ab7291, Mouse monoclonal [DM1A] to alpha Tubulin - Loading Control. Cells were then incubated with ab150081, Goat polyclonal Secondary Antibody to Rabbit IgG - H&L (Alexa Fluor® 488), pre-adsorbed at 1/1000 dilution (shown in green) and ab150120, Goat polyclonal Secondary Antibody to Mouse IgG - H&L (Alexa Fluor® 594), pre-adsorbed at 1/1000 dilution (shown in pseudocolour red). Nuclear DNA was labelled with DAPI (shown in blue).

Image was acquired with a confocal microscope (Leica-Microsystems TCS SP8) and a single confocal section is shown.

Immunohistochemistry (Frozen sections) - Anti-DDX4 / MVH antibody (AB13840)
  • IHC-Fr

Collaborator

Immunohistochemistry (Frozen sections) - Anti-DDX4 / MVH antibody (AB13840)

Mouse embryonic gonad cells were fixed with 4% PFA, permeabilised and blocked with PBS, 1% BSA, 0.1% TX-100 and incubated with the DDX4 antibody, ab13840 (1 μg/ml) overnight at 4 degrees. ab13840 staining is shown in red and Oct4 staining is shown in green.

The image shows that the anti-DDX4 antibody, ab13840, stains the cytoplasm of mouse primordial germ cells when used in IHC-Fr.

This image is courtesy of Petra Hajkova, Gurdon Institute, University of Cambridge

Western blot - Anti-DDX4 / MVH antibody (AB13840)
  • WB

Unknown

Western blot - Anti-DDX4 / MVH antibody (AB13840)

All lanes:

Western blot - Anti-DDX4 / MVH antibody (ab13840) at 1 µg/mL

Lane 1:

Mouse EG (TMAS Embryonic Germ Cells) Whole Cell Lysate at 20 µg

Lane 2:

Human testis tissue lysate - total protein (ab30257) at 20 µg

Secondary

All lanes:

Western blot - Goat Anti-Rabbit IgG H&L (HRP) preadsorbed (<a href='/products/secondary-antibodies/goat-rabbit-igg-h-l-hrp-preadsorbed-ab97080'>ab97080</a>) at 1/5000 dilution

Predicted band size: 79 kDa

Observed band size: 28 kDa,47 kDa,76 kDa

false

Western blot - Anti-DDX4 / MVH antibody (AB13840)
  • WB

Lab

Western blot - Anti-DDX4 / MVH antibody (AB13840)

All lanes:

ab13840 at 1 µg/mL

Lane 1:

Mouse EG (TMAS Embryonic Germ Cells) Whole Cell Lysate at 20 µg

Lane 2:

Human testis tissue lysate - total protein at 20 µg

Secondary

All lanes:

Goat Anti-Rabbit IgG H&L (HRP) preadsorbed (<a href='/products/secondary-antibodies/goat-rabbit-igg-h-l-hrp-preadsorbed-ab97080'>ab97080</a>) at 1/5000 dilution

Predicted band size: 79 kDa

Observed band size: 47 kDa,52 kDa,79 kDa

true

Western blot - Anti-DDX4 / MVH antibody (AB13840)
  • WB

Project

Western blot - Anti-DDX4 / MVH antibody (AB13840)

All lanes:

Western blot - Anti-DDX4 / MVH antibody (ab13840) at 1 µg/mL

Lane 1:

Mouse Ovary Lysate at 10 µg

Lane 2:

Mouse Embryonic Germ Cell Lysate at 20 µg

Lane 3:

Mouse Ovary Lysate at 10 µg with DDX4 / MVH peptide (<a href='/products/proteins-peptides/ddx4-mvh-peptide-ab13841'>ab13841</a>)

Lane 4:

Mouse Embryonic Germ Cell Lysate at 20 µg with DDX4 / MVH peptide (<a href='/products/proteins-peptides/ddx4-mvh-peptide-ab13841'>ab13841</a>)

Predicted band size: 79 kDa

Observed band size: 76 kDa

false

Western blot - Anti-DDX4 / MVH antibody (AB13840)
  • WB

CiteAb

Western blot - Anti-DDX4 / MVH antibody (AB13840)

Western Blotting using Anti-DDX4 / MVH antibody, ab13840. Publication image from Gao, F. et al., 2017, Nat Commun, 28128212. Legend direct from paper.

Expression of BCAS2 in male mouse germ cells.(a) Immunofluorescence (IF) staining of BCAS2 in the paraffin sections of testes from E15.5 to P14 mice. The DNA was stained with Hoechst 33342. Scale bar, 50 µm. (b) Real-time PCR analysis of Bcas2 expression in the fraction of spermatogenic cells (FSPCs) and the fraction of somatic cells (FSCs) enriched from P9 testes. Gapdh was used as the internal control for normalization (n=4). Error bars represent s.e.m. (c) Western blotting analysis of BCAS2 expression in the fraction of spermatogenic cells (FSPCs) and the fraction of somatic cells (FSCs) enriched from P9 testes. Germ cell markers (DAZL and MVH) were used as the indicator of the enrichment efficiency andα-tubulin was used as the loading control. (d) Paraffin sections of P8 testes were co-stained with rabbit anti-BCAS2 and mouse anti-PLZF antibodies. The DNA was stained with Hoechst 33342. Scale bar, 20 µm.

false

Key facts

宿主種

Rabbit

クローン性

Polyclonal

アイソタイプ

IgG

キャリアフリー

No

交差種

Mouse, Human

アプリケーション

IHC-Fr, ICC/IF, WB, IHC-P

applications

免疫原

The exact immunogen used to generate this antibody is proprietary information.

Reactivity data

{ "title": "Reactivity Data", "filters": { "stats": ["", "Species", "Dilution Info", "Notes"], "tabs": { "all-applications": {"fullname" : "All Applications", "shortname": "All Applications"}, "WB" : {"fullname" : "Western blot", "shortname":"WB"}, "IHCP" : {"fullname" : "Immunohistochemistry (Formalin/PFA-fixed paraffin-embedded sections)", "shortname":"IHC-P"}, "ICCIF" : {"fullname" : "Immunocytochemistry/ Immunofluorescence", "shortname":"ICC/IF"}, "IHCFr" : {"fullname" : "Immunohistochemistry (Frozen sections)", "shortname":"IHC-Fr"} }, "product-promise": { "all": "all", "testedAndGuaranteed": "tested", "guaranteed": "expected", "predicted": "predicted", "notRecommended": "not-recommended" } }, "values": { "Human": { "WB-species-checked": "guaranteed", "WB-species-dilution-info": "", "WB-species-notes": "", "IHCP-species-checked": "testedAndGuaranteed", "IHCP-species-dilution-info": "", "IHCP-species-notes": "<p></p>", "ICCIF-species-checked": "guaranteed", "ICCIF-species-dilution-info": "", "ICCIF-species-notes": "", "IHCFr-species-checked": "guaranteed", "IHCFr-species-dilution-info": "", "IHCFr-species-notes": "" }, "Mouse": { "WB-species-checked": "testedAndGuaranteed", "WB-species-dilution-info": "1 µg/mL", "WB-species-notes": "<p></p>", "IHCP-species-checked": "guaranteed", "IHCP-species-dilution-info": "", "IHCP-species-notes": "", "ICCIF-species-checked": "testedAndGuaranteed", "ICCIF-species-dilution-info": "1 µg/mL", "ICCIF-species-notes": "<p></p>", "IHCFr-species-checked": "testedAndGuaranteed", "IHCFr-species-dilution-info": "", "IHCFr-species-notes": "<p></p>" }, "Rat": { "WB-species-checked": "predicted", "WB-species-dilution-info": "", "WB-species-notes": "", "IHCP-species-checked": "predicted", "IHCP-species-dilution-info": "", "IHCP-species-notes": "", "ICCIF-species-checked": "predicted", "ICCIF-species-dilution-info": "", "ICCIF-species-notes": "", "IHCFr-species-checked": "predicted", "IHCFr-species-dilution-info": "", "IHCFr-species-notes": "" }, "Cow": { "WB-species-checked": "predicted", "WB-species-dilution-info": "", "WB-species-notes": "", "IHCP-species-checked": "predicted", "IHCP-species-dilution-info": "", "IHCP-species-notes": "", "ICCIF-species-checked": "predicted", "ICCIF-species-dilution-info": "", "ICCIF-species-notes": "", "IHCFr-species-checked": "predicted", "IHCFr-species-dilution-info": "", "IHCFr-species-notes": "" }, "Pig": { "WB-species-checked": "predicted", "WB-species-dilution-info": "", "WB-species-notes": "", "IHCP-species-checked": "predicted", "IHCP-species-dilution-info": "", "IHCP-species-notes": "", "ICCIF-species-checked": "predicted", "ICCIF-species-dilution-info": "", "ICCIF-species-notes": "", "IHCFr-species-checked": "predicted", "IHCFr-species-dilution-info": "", "IHCFr-species-notes": "" }, "Platypus": { "WB-species-checked": "predicted", "WB-species-dilution-info": "", "WB-species-notes": "", "IHCP-species-checked": "predicted", "IHCP-species-dilution-info": "", "IHCP-species-notes": "", "ICCIF-species-checked": "predicted", "ICCIF-species-dilution-info": "", "ICCIF-species-notes": "", "IHCFr-species-checked": "predicted", "IHCFr-species-dilution-info": "", "IHCFr-species-notes": "" }, "Sheep": { "WB-species-checked": "predicted", "WB-species-dilution-info": "", "WB-species-notes": "", "IHCP-species-checked": "predicted", "IHCP-species-dilution-info": "", "IHCP-species-notes": "", "ICCIF-species-checked": "predicted", "ICCIF-species-dilution-info": "", "ICCIF-species-notes": "", "IHCFr-species-checked": "predicted", "IHCFr-species-dilution-info": "", "IHCFr-species-notes": "" } } }

製品の詳細

Anti-DDX4 / MVH antibody (ab13840) is a rabbit polyclonal antibody and is validated for use in ICC/IF, IHC-Fr, IHC-P, WB.

Anti-DDX4 / MVH antibody (ab13840) has been cited over 526 times in peer reviewed journals and is trusted by the scientific community.

Abcam's high quality validation processes ensure Anti-DDX4 / MVH antibody (ab13840) has high sensitivity and specificity.

Anti-DDX4 / MVH antibody (ab13840) has 22 independent reviews from customers.

Anti-DDX4 / MVH antibody (ab13840) specifically detects DDX4 / MVH (UniProt ID: Q9NQI0; Molecular weight: 79kDa) and is sold in 100 µg selling sizes.

DDX4, also known as MVH, is a crucial germ cell marker and RNA helicase involved in spermatogenesis. Utilizing DDX4 / MVH antibodies can significantly enhance the detection and study of germ cell development. Research indicates that DDX4 plays a vital role in maintaining germline integrity and repressing transposable elements, making it essential for reproductive biology.

出荷温度及び保存条件

製品の状態
Liquid
精製方法
Affinity purification Immunogen
バッファー組成
pH: 7.4 Preservative: 0.02% Sodium azide Constituents: PBS, 1% BSA
出荷温度
Blue Ice
短期保存期間
1-2 weeks
短期保存温度
+4°C
長期保存温度
-20°C
保管に関する情報
Avoid freeze / thaw cycle

補足情報

This supplementary information is collated from multiple sources and compiled automatically.

DDX4 also known as MVH is a protein that functions as an ATP-dependent RNA helicase. This protein with a molecular mass of approximately 79 kDa belongs to the DEAD box protein family. DDX4 localizes mostly in germ cells and is notably present in the testis of organisms like chickens. Its expression is significant in the cytoplasm of spermatocytes and oocytes where it plays an essential role in the regulation of RNA metabolism during germ cell development.
Biological function summary

DDX4 supports RNA processes including splicing transport and stability within germ cells. The protein contributes to the assembly of protein-RNA complexes essential for cellular function. It operates in germ cell development by ensuring proper RNA handling and regulation. DDX4 also contributes to the formation of germ granules cellular structures important for RNA processing and storage in germ cells.

Pathways

DDX4 is involved in germ cell development and differentiation. It plays a role in pathways regulating meiosis and gametogenesis cooperating with proteins like PIWIL1. Within these pathways DDX4 influences small RNA pathways which are important for gene regulation during germ cell maturation. This action underlines the protein's relevance in reproductive biology and cellular lifecycle management within the gonads.

Alterations in DDX4 expression or function have associations with infertility and germ cell tumors. Aberrant activities of DDX4 can disrupt normal germ cell development linking it to disorders affecting fertility. The protein shares connections with TDRD9 another protein associated with germ cell development implicating them in similar reproductive health issues. Understanding DDX4's function could lead to better insights into reproductive diseases and potential therapeutic targets.

製品プロトコール

For this product, it's our understanding that no specific protocols are required. You can visit:

ターゲットの情報

ATP-dependent RNA helicase required during spermatogenesis (PubMed : 10920202, PubMed : 21034600). Required to repress transposable elements and preventing their mobilization, which is essential for the germline integrity (By similarity). Acts via the piRNA metabolic process, which mediates the repression of transposable elements during meiosis by forming complexes composed of piRNAs and Piwi proteins and governs the methylation and subsequent repression of transposons (By similarity). Involved in the secondary piRNAs metabolic process, the production of piRNAs in fetal male germ cells through a ping-pong amplification cycle (By similarity). Required for PIWIL2 slicing-triggered piRNA biogenesis : helicase activity enables utilization of one of the slice cleavage fragments generated by PIWIL2 and processing these pre-piRNAs into piRNAs (By similarity).
See full target information DDX4

文献 (629)

Recent publications for all applications. Explore the full list and refine your search

eLife 14: PubMed41055104

2025

Distinct waves of ovarian follicles contribute to mouse oocyte production.

Applications

Unspecified application

Species

Unspecified reactive species

Qi Yin,Allan C Spradling

BMC pregnancy and childbirth 25:972 PubMed41029522

2025

Angiogenesis and endometrial receptivity in the decidua of cesarean scar pregnancies.

Applications

Unspecified application

Species

Unspecified reactive species

Yu Liu,Xixiang Ma,Xin Du,Jing Jin,Yizhen Cui,Jianshan Zhou,Guanglin Song,Huiman Li,Yan Lei

Communications biology 8:1394 PubMed41028284

2025

CCAAT/enhancer binding protein beta (C/EBPβ) regulates the formation of the ovarian reserve.

Applications

Unspecified application

Species

Unspecified reactive species

Xiaoyuan Zhang,Yue Zeng,Zhanzhong Qiao,Kexin Qin,Pei Li,Jiamao Yan,Teng Zhang,Yang Zhou,Junjie Wang,Wei Shen

Stem cell research & therapy 16:443 PubMed40830519

2025

Harnessing TGF-β signaling to improve testicular organoid development from dissociated testicular cells.

Applications

Unspecified application

Species

Unspecified reactive species

Seyedeh-Faezeh Moraveji,Saiedeh Erfanian,Mohammad Hossein Ghanian,Hossein Baharvand

Proceedings of the National Academy of Sciences of the United States of America 122:e2514837122 PubMed40811463

2025

Stress granule-mediated ZBP1 activation drives necroptotic cell death in non-obstructive azoospermia and testicular aging.

Applications

Unspecified application

Species

Unspecified reactive species

Hongen Lei,Dianrong Li,Jie Chen,Baowen Du,Kaiju Jiang,Tao Xu,Hu Han,Weiliang Fan,Long Tian,Xiaodong Wang

Frontiers in endocrinology 16:1632672 PubMed40761814

2025

Estrogen receptor and temperature independently influence sex determination in the red-eared slider turtle.

Applications

Unspecified application

Species

Unspecified reactive species

Xifeng Wang,Zihan Ding,Pengfei Wu,Jiong Fu,Weiguo Du

Nature communications 16:6756 PubMed40695837

2025

Zika virus disrupts steroidogenesis and impairs spermatogenesis by stalling the translation of CYP17A1 mRNA.

Applications

Unspecified application

Species

Unspecified reactive species

Wei Yang,Hanyu Li,Shanshan Wang,Rui Huang,Yifei Zhang,Moujian Guo,Li Huang,Shihua Li,Ruirui Yang,Dingran Zhao,Yuxin Xiong,Yifei Liu,Mengjing Huang,Lixia Hui,Wei Xiao,Ying Wu

PNAS nexus 4:pgaf200 PubMed40607105

2025

Morula complementation restores male germline in null sheep.

Applications

Unspecified application

Species

Unspecified reactive species

Zachariah L McLean,Lisanne M Fermin,Sarah J Appleby,Jingwei Wei,Fanli Meng,Paul H Maclean,Benjamin J Perry,Brigid Brophy,Pavla Turner,Blaise Forrester-Gauntlett,David N Wells,Russell G Snell,Björn Oback

Scientific reports 15:23046 PubMed40596695

2025

Anapc5 and Anapc7 as genetic modifiers of KIF18A function in fertility and mitotic progression.

Applications

Unspecified application

Species

Unspecified reactive species

Carleigh Nesbit,Whitney Martin,Anne Czechanski,Candice Byers,Narayanan Raghupathy,Ardian Ferraj,Jason Stumpff,Laura Reinholdt

The Journal of veterinary medical science 87:966-971 PubMed40533242

2025

Histological analysis of cheetah testes focused on the germ cells and Sertoli cells.

Applications

Unspecified application

Species

Unspecified reactive species

Ryosuke Shimizu,Kaori Ota,Kosuke Toda,Yuto Yoshimoto,Saori Sato,Kazumi Shimada,Ryo Tanaka,Lina Hamabe,Kentaro Nagaoka,Yuki Yamamoto
View all publications

Abcam product promise

当社は、高品質な試薬を通じてお客様の研究を力強くサポートすることをお約束いたします。ご使用いただく各段階で、常にお客様をサポートできる体制を整えております。万が一、製品が期待通りに機能しない場合は、「Abcam Product Promise」による当社保証制度に基づき、安心してご利用いただけます。
保証に関する詳細については利用規約をご確認ください。

Please note: All products are 'FOR RESEARCH USE ONLY. NOT FOR USE IN DIAGNOSTIC OR THERAPEUTIC PROCEDURES'.

For licensing inquiries, please contact partnerships@abcam.com