JavaScript is disabled in your browser. Please enable JavaScript to view this website.
AB302965

Anti-DCTN1/p150-glued 抗体 [12/P150GLUED] - BSA and Azide Free

Anti-DCTN1/p150-glued antibody [12/P150GLUED] - BSA and Azide Free

Be the first to review this product! Submit a review

|

(0 Publication)

Mouse Recombinant Monoclonal DCTN1/p150-glued antibody. Carrier free. Suitable for WB, IHC-P and reacts with Human, Mouse, Rat samples.

別名を表示する

Dynactin subunit 1, 150 kDa dynein-associated polypeptide, DAP-150, p135, p150-glued, DP-150, DCTN1

4 Images
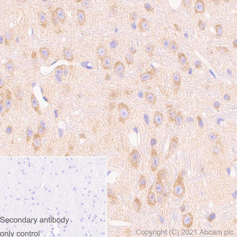
Immunohistochemistry (Formalin/PFA-fixed paraffin-embedded sections) - Anti-DCTN1/p150-glued antibody [12/P150GLUED] - BSA and Azide Free (AB302965)
  • IHC-P

Supplier Data

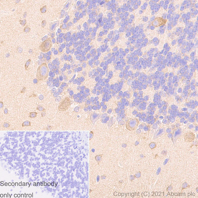
Immunohistochemistry (Formalin/PFA-fixed paraffin-embedded sections) - Anti-DCTN1/p150-glued antibody [12/P150GLUED] - BSA and Azide Free (AB302965)

This data was developed using ab302964, the same antibody clone in a different buffer formulation. Immunohistochemical analysis of paraffin-embedded mouse cerebrum tissue labeling DCTN1/p150-glued with ab302964 at 1/10000 (0.119 μg/ml) followed by a ready to use Leica DS9800 (Bond™ Polymer Refine Detection kit). Positive staining on mouse cerebrum. The section was incubated with ab302964 for 30 mins at room temperature, followed by anti-Mouse IgG1 antibody (ab125913) for 8 mins during the LeicaDS9800 kit staining procedure.. The immunostaining was performed on a Leica Biosystems BOND® RX instrument. Counterstained with Hematoxylin. Secondary antibody only control : Primary diluent was used instead of primary antibody, followed by a ready to use secondary antibody Leica DS9800 (Bond™ Polymer Refine Detection kit). Heat mediated antigen retrieval with Citrate buffer (pH 6.0, epitope retrieval solution 1) for 20 mins.

Immunohistochemistry (Formalin/PFA-fixed paraffin-embedded sections) - Anti-DCTN1/p150-glued antibody [12/P150GLUED] - BSA and Azide Free (AB302965)
  • IHC-P

Supplier Data

Immunohistochemistry (Formalin/PFA-fixed paraffin-embedded sections) - Anti-DCTN1/p150-glued antibody [12/P150GLUED] - BSA and Azide Free (AB302965)

This data was developed using ab302964, the same antibody clone in a different buffer formulation. Immunohistochemical analysis of paraffin-embedded mouse cerebellum tissue labeling DCTN1/p150-glued with ab302964 at 1/10000 (0.119 μg/ml) followed by a ready to use Leica DS9800 (Bond™ Polymer Refine Detection kit). Positive staining on mouse cerebellum. The section was incubated with ab302964 for 30 mins at room temperature, followed by anti-Mouse IgG1 antibody (ab125913) for 8 mins during the LeicaDS9800 kit staining procedure. The immunostaining was performed on a Leica Biosystems BOND® RX instrument. Counterstained with Hematoxylin. Secondary antibody only control : Primary diluent was used instead of primary antibody, followed by a ready to use secondary antibody Leica DS9800 (Bond™ Polymer Refine Detection kit). Heat mediated antigen retrieval with Citrate buffer (pH 6.0, epitope retrieval solution 1) for 20 mins.

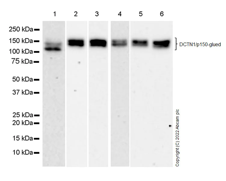
Western blot - Anti-DCTN1/p150-glued antibody [12/P150GLUED] - BSA and Azide Free (AB302965)
  • WB

Supplier Data

Western blot - Anti-DCTN1/p150-glued antibody [12/P150GLUED] - BSA and Azide Free (AB302965)

This data was developed using ab302964, the same antibody clone in a different buffer formulation. Blocking and diluting buffer and concentration : 5% NFDM/TBST The expression profile observed is consistent with what has been described in the literature (PMID : 8856662). Exposure time : Lane 1, 4 : 3 minutes Lane 2 : 45 seconds Lane 3, 5, 6 : 114 seconds

All lanes:

Western blot - Anti-DCTN1/p150-glued antibody [12/P150GLUED] (<a href='/products/primary-antibodies/dctn1-p150-glued-antibody-12-p150glued-ab302964'>ab302964</a>) at 1/1000 dilution

Lane 1:

Human cerebellum tissue lysate at 20 µg

Lane 2:

Mouse brain tissue lysate at 20 µg

Lane 3:

Mouse cerebellum tissue lysate at 20 µg

Lane 4:

Rat brain tissue lysate at 20 µg

Lane 5:

Rat cerebellum tissue lysate at 20 µg

Lane 6:

SH-SY5Y (human neuroblastoma epithelial cell), whole cell lysate at 20 µg

Secondary

All lanes:

Peroxidase-Conjugated Goat anti-Mouse IgG (H+L) (ZB-2305) at 1/10000 dilution

Observed band size: 150 kDa

false

Western blot - Anti-DCTN1/p150-glued antibody [12/P150GLUED] - BSA and Azide Free (AB302965)
  • WB

Supplier Data

Western blot - Anti-DCTN1/p150-glued antibody [12/P150GLUED] - BSA and Azide Free (AB302965)

This data was developed using ab302964, the same antibody clone in a different buffer formulation. Blocking and diluting buffer and concentration : 5% NFDM/TBST Exposure time : 48 seconds

All lanes:

Western blot - Anti-DCTN1/p150-glued antibody [12/P150GLUED] (<a href='/products/primary-antibodies/dctn1-p150-glued-antibody-12-p150glued-ab302964'>ab302964</a>) at 1/1000 dilution

Lane 1:

HeLa (human cervix adenocarcinoma epithelial cell), transfected with scrambled siRNA control, whole cell lysate at 20 µg

Lane 2:

Hela transfected with siRNA specifically targeti DCTN1, whole cell lysate at 20 µg

Secondary

All lanes:

Peroxidase-Conjugated Goat anti-Mouse IgG (H+L) (ZB-2305) at 1/2000 dilution

Observed band size: 150 kDa

false

Exposure time: 48s

Key facts

宿主種

Mouse

クローン性

Monoclonal

クローン番号

12/P150GLUED

アイソタイプ

IgG1

キャリアフリー

Yes

交差種

Human, Mouse, Rat

アプリケーション

WB, IHC-P

applications

免疫原

The exact immunogen used to generate this antibody is proprietary information.

Reactivity data

{ "title": "Reactivity Data", "filters": { "stats": ["", "Species", "Dilution Info", "Notes"], "tabs": { "all-applications": {"fullname" : "All Applications", "shortname": "All Applications"}, "WB" : {"fullname" : "Western blot", "shortname":"WB"}, "IHCP" : {"fullname" : "Immunohistochemistry (Formalin/PFA-fixed paraffin-embedded sections)", "shortname":"IHC-P"}, "ICCIF" : {"fullname" : "Immunocytochemistry/ Immunofluorescence", "shortname":"ICC/IF"}, "IP" : {"fullname" : "Immunoprecipitation", "shortname":"IP"} }, "product-promise": { "all": "all", "testedAndGuaranteed": "tested", "guaranteed": "expected", "predicted": "predicted", "notRecommended": "not-recommended" } }, "values": { "Human": { "WB-species-checked": "testedAndGuaranteed", "WB-species-dilution-info": "", "WB-species-notes": "<p></p>", "IHCP-species-checked": "notRecommended", "IHCP-species-dilution-info": "", "IHCP-species-notes": "<p></p>", "ICCIF-species-checked": "notRecommended", "ICCIF-species-dilution-info": "", "ICCIF-species-notes": "", "IP-species-checked": "notRecommended", "IP-species-dilution-info": "", "IP-species-notes": "<p></p>" }, "Mouse": { "WB-species-checked": "testedAndGuaranteed", "WB-species-dilution-info": "", "WB-species-notes": "<p></p>", "IHCP-species-checked": "testedAndGuaranteed", "IHCP-species-dilution-info": "", "IHCP-species-notes": "<p></p>", "ICCIF-species-checked": "notRecommended", "ICCIF-species-dilution-info": "", "ICCIF-species-notes": "<p></p>", "IP-species-checked": "notRecommended", "IP-species-dilution-info": "", "IP-species-notes": "" }, "Rat": { "WB-species-checked": "testedAndGuaranteed", "WB-species-dilution-info": "", "WB-species-notes": "<p></p>", "IHCP-species-checked": "notRecommended", "IHCP-species-dilution-info": "", "IHCP-species-notes": "<p></p>", "ICCIF-species-checked": "notRecommended", "ICCIF-species-dilution-info": "", "ICCIF-species-notes": "<p></p>", "IP-species-checked": "notRecommended", "IP-species-dilution-info": "", "IP-species-notes": "" } } }

製品の詳細

ab302965 is a carrier version of ab302964.

What are the advantages of a recombinant monoclonal antibody?
This product is a recombinant monoclonal antibody, which offers several advantages including:

  • - High batch-to-batch consistency and reproducibility
  • - Improved sensitivity and specificity
  • - Long-term security of supply
  • - Animal-free batch production

For more information, read more on recombinant antibodies.

Want a custom formulation?
This antibody clone is manufactured by Abcam. If you require a custom buffer formulation or conjugation for your experiments, please contact orders@abcam.com

Conjugation ready
Our carrier-free antibodies are typically supplied in a PBS-only formulation, purified and free of BSA, sodium azide and glycerol. This conjugation-ready format is designed for use with fluorochromes, metal isotopes, oligonucleotides, and enzymes, which makes them ideal for antibody labelling, functional and cell-based assays, flow-based assays (e.g. mass cytometry) and Multiplex Imaging applications.

Use our conjugation kits for antibody conjugates that are ready-to-use in as little as 20 minutes with 1 minute hands-on-time and 100% antibody recovery: available for fluorescent dyes, HRP, biotin and gold.

Compatibility
This product is compatible with the Maxpar® Antibody Labeling Kit from Fluidigm, without the need for antibody preparation. Maxpar® is a trademark of Fluidigm Canada Inc.

出荷温度及び保存条件

製品の状態
Liquid
精製方法
Affinity purification Protein A
バッファー組成
pH: 7.2 - 7.4 Constituents: PBS
出荷温度
Blue Ice
短期保存温度
+4°C
長期保存温度
+4°C
保管に関する情報
Do Not Freeze

製品プロトコール

For this product, it's our understanding that no specific protocols are required. You can visit:

ターゲットの情報

Part of the dynactin complex that activates the molecular motor dynein for ultra-processive transport along microtubules (By similarity). Plays a key role in dynein-mediated retrograde transport of vesicles and organelles along microtubules by recruiting and tethering dynein to microtubules. Binds to both dynein and microtubules providing a link between specific cargos, microtubules and dynein. Essential for targeting dynein to microtubule plus ends, recruiting dynein to membranous cargos and enhancing dynein processivity (the ability to move along a microtubule for a long distance without falling off the track). Can also act as a brake to slow the dynein motor during motility along the microtubule (PubMed : 25185702). Can regulate microtubule stability by promoting microtubule formation, nucleation and polymerization and by inhibiting microtubule catastrophe in neurons. Inhibits microtubule catastrophe by binding both to microtubules and to tubulin, leading to enhanced microtubule stability along the axon (PubMed : 23874158). Plays a role in metaphase spindle orientation (PubMed : 22327364). Plays a role in centriole cohesion and subdistal appendage organization and function. Its recruitment to the centriole in a KIF3A-dependent manner is essential for the maintenance of centriole cohesion and the formation of subdistal appendage. Also required for microtubule anchoring at the mother centriole (PubMed : 23386061). Plays a role in primary cilia formation (PubMed : 25774020).
See full target information DCTN1

Abcam product promise

当社は、高品質な試薬を通じてお客様の研究を力強くサポートすることをお約束いたします。ご使用いただく各段階で、常にお客様をサポートできる体制を整えております。万が一、製品が期待通りに機能しない場合は、「Abcam Product Promise」による当社保証制度に基づき、安心してご利用いただけます。
保証に関する詳細については利用規約をご確認ください。

Please note: All products are 'FOR RESEARCH USE ONLY. NOT FOR USE IN DIAGNOSTIC OR THERAPEUTIC PROCEDURES'.

For licensing inquiries, please contact partnerships@abcam.com