JavaScript is disabled in your browser. Please enable JavaScript to view this website.
AB5715

Anti-DC-SIGN 抗体

Anti-DC-SIGN antibody

Be the first to review this product! Submit a review

|

(4 Publications)

Rabbit Polyclonal DC-SIGN antibody. Suitable for WB, IHC-P, ICC/IF and reacts with Human samples. Cited in 4 publications. Immunogen corresponding to Synthetic Peptide within Human CD209 aa 350 to C-terminus.

別名を表示する

CD209, CLEC4L, CD209 antigen, C-type lectin domain family 4 member L, Dendritic cell-specific ICAM-3-grabbing non-integrin 1, DC-SIGN, DC-SIGN1

4 Images
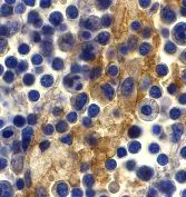
Immunohistochemistry (Formalin/PFA-fixed paraffin-embedded sections) - Anti-DC-SIGN antibody (AB5715)
  • IHC-P

Unknown

Immunohistochemistry (Formalin/PFA-fixed paraffin-embedded sections) - Anti-DC-SIGN antibody (AB5715)

Immunohistochemistry of DC-SIGN in human lymph node tissue with DC-SIGN antibody at 10 µg/ml.

Immunocytochemistry/ Immunofluorescence - Anti-DC-SIGN antibody (AB5715)
  • ICC/IF

Unknown

Immunocytochemistry/ Immunofluorescence - Anti-DC-SIGN antibody (AB5715)

Immunofluorescence of DC-SIGN in Human Lymph Node cells using ab5715 at 20 ug/ml.

Western blot - Anti-DC-SIGN antibody (AB5715)
  • WB

Unknown

Western blot - Anti-DC-SIGN antibody (AB5715)

ab5715 at 0.5 μg /ml staining approximately 44kDa of human CD209 in Human placenta lysate by Western blot (ECL).

ab5715 at 0.5 µg /ml staining approximately 44kDa of human CD209 in Human placenta lysate by Western blot (ECL).

All lanes:

Western blot - Anti-DC-SIGN antibody (ab5715)

Predicted band size: 46 kDa

false

Western blot - Anti-DC-SIGN antibody (AB5715)
  • WB

Unknown

Western blot - Anti-DC-SIGN antibody (AB5715)

Lane 1:

Western blot - Anti-DC-SIGN antibody (ab5715) at 1 µg/mL

Lane 2:

Western blot - Anti-DC-SIGN antibody (ab5715) at 2 µg/mL

All lanes:

Human placenta

Predicted band size: 46 kDa

Observed band size: 44 kDa

false

Key facts

宿主種

Rabbit

クローン性

Polyclonal

アイソタイプ

IgG

キャリアフリー

No

交差種

Human

アプリケーション

WB, ICC/IF, IHC-P

applications

免疫原

Synthetic Peptide within Human CD209 aa 350 to C-terminus. The exact immunogen used to generate this antibody is proprietary information.

Q9NNX6

Reactivity data

{ "title": "Reactivity Data", "filters": { "stats": ["", "Species", "Dilution Info", "Notes"], "tabs": { "all-applications": {"fullname" : "All Applications", "shortname": "All Applications"}, "WB" : {"fullname" : "Western blot", "shortname":"WB"}, "IHCP" : {"fullname" : "Immunohistochemistry (Formalin/PFA-fixed paraffin-embedded sections)", "shortname":"IHC-P"}, "ICCIF" : {"fullname" : "Immunocytochemistry/ Immunofluorescence", "shortname":"ICC/IF"} }, "product-promise": { "all": "all", "testedAndGuaranteed": "tested", "guaranteed": "expected", "predicted": "predicted", "notRecommended": "not-recommended" } }, "values": { "Human": { "WB-species-checked": "testedAndGuaranteed", "WB-species-dilution-info": "1-2 µg/mL", "WB-species-notes": "<p></p>", "IHCP-species-checked": "testedAndGuaranteed", "IHCP-species-dilution-info": "10 µg/mL", "IHCP-species-notes": "<p></p>", "ICCIF-species-checked": "testedAndGuaranteed", "ICCIF-species-dilution-info": "20 µg/mL", "ICCIF-species-notes": "<p></p>" } } }

出荷温度及び保存条件

製品の状態
Liquid
精製方法
Affinity purification Immunogen
バッファー組成
pH: 7.2 Preservative: 0.02% Sodium azide Constituents: PBS
出荷温度
Blue Ice
短期保存温度
+4°C
長期保存温度
+4°C

製品プロトコール

For this product, it's our understanding that no specific protocols are required. You can visit:

ターゲットの情報

Pathogen-recognition receptor expressed on the surface of immature dendritic cells (DCs) and involved in initiation of primary immune response. Thought to mediate the endocytosis of pathogens which are subsequently degraded in lysosomal compartments. The receptor returns to the cell membrane surface and the pathogen-derived antigens are presented to resting T-cells via MHC class II proteins to initiate the adaptive immune response.. On DCs it is a high affinity receptor for ICAM2 and ICAM3 by binding to mannose-like carbohydrates. May act as a DC rolling receptor that mediates transendothelial migration of DC presursors from blood to tissues by binding endothelial ICAM2. Seems to regulate DC-induced T-cell proliferation by binding to ICAM3 on T-cells in the immunological synapse formed between DC and T-cells.. (Microbial infection) Acts as an attachment receptor for HIV-1 and HIV-2.. (Microbial infection) Acts as an attachment receptor for Ebolavirus.. (Microbial infection) Acts as an attachment receptor for Cytomegalovirus.. (Microbial infection) Acts as an attachment receptor for HCV.. (Microbial infection) Acts as an attachment receptor for Dengue virus.. (Microbial infection) Acts as an attachment receptor for Measles virus.. (Microbial infection) Acts as an attachment receptor for Herpes simplex virus 1.. (Microbial infection) Acts as an attachment receptor for Influenzavirus A.. (Microbial infection) Acts as an attachment receptor for SARS-CoV.. (Microbial infection) Acts as an attachment receptor for Japanese encephalitis virus.. (Microbial infection) Acts as an attachment receptor for Lassa virus (PubMed : 23966408). Acts as an attachment receptor for Marburg virusn.. (Microbial infection) Acts as an attachment receptor for Respiratory syncytial virus.. (Microbial infection) Acts as an attachment receptor for Rift valley fever virus and uukuniemi virus.. (Microbial infection) Acts as an attachment receptor for West-nile virus.. (Microbial infection) Probably recognizes in a calcium-dependent manner high mannose N-linked oligosaccharides in a variety of bacterial pathogen antigens, including Leishmania pifanoi LPG, Lewis-x antigen in Helicobacter pylori LPS, mannose in Klebsiella pneumonae LPS, di-mannose and tri-mannose in Mycobacterium tuberculosis ManLAM and Lewis-x antigen in Schistosoma mansoni SEA (PubMed : 16379498). Recognition of M.tuberculosis by dendritic cells occurs partially via this molecule (PubMed : 16092920, PubMed : 21203928).
See full target information CD209

文献 (4)

Recent publications for all applications. Explore the full list and refine your search

Reproductive biology and endocrinology : RB&E 20:48 PubMed35260161

2022

CSF-1-induced DC-SIGN macrophages are present in the ovarian endometriosis.

Applications

Unspecified application

Species

Unspecified reactive species

Li Xiaocui,Hong Wei,Cai Yunlang,Zheng Zhenzhen,An Min

NPJ biofilms and microbiomes 7:87 PubMed34880222

2021

Carbohydrates from Pseudomonas aeruginosa biofilms interact with immune C-type lectins and interfere with their receptor function.

Applications

Unspecified application

Species

Unspecified reactive species

Sonali Singh,Yasir Almuhanna,Mohammad Y Alshahrani,Douglas W Lowman,Peter J Rice,Chris Gell,Zuchao Ma,Bridget Graves,Darryl Jackson,Kelly Lee,Rucha Juarez,Janice Koranteng,Sirina Muntaka, Daniel A Mitchell,Ana C da Silva,Farah Hussain,Gokhan Yilmaz,Francesca Mastrotto,Yasuhiko Irie,Paul Williams,David L Williams,Miguel Cámara,Luisa Martinez-Pomares

Nature communications 11:2759 PubMed32488028

2020

Human norovirus targets enteroendocrine epithelial cells in the small intestine.

Applications

Unspecified application

Species

Unspecified reactive species

Kim Y Green,Stuart S Kaufman,Bianca M Nagata,Natthawan Chaimongkol,Daniel Y Kim,Eric A Levenson,Christine M Tin,Allison Behrle Yardley,Jordan A Johnson,Ana Beatriz F Barletta,Khalid M Khan,Nada A Yazigi,Sukanya Subramanian,Sangeetha R Moturi,Thomas M Fishbein,Ian N Moore,Stanislav V Sosnovtsev

Science translational medicine 6:229ra40 PubMed24670684

2014

Defective neutrophil recruitment in leukocyte adhesion deficiency type I disease causes local IL-17-driven inflammatory bone loss.

Applications

Unspecified application

Species

Unspecified reactive species

Niki M Moutsopoulos,Joanne Konkel,Mojgan Sarmadi,Mehmet A Eskan,Teresa Wild,Nicolas Dutzan,Loreto Abusleme,Camille Zenobia,Kavita B Hosur,Toshiharu Abe,Gulbu Uzel,Wanjun Chen,Triantafyllos Chavakis,Steven M Holland,George Hajishengallis
View all publications

Abcam product promise

当社は、高品質な試薬を通じてお客様の研究を力強くサポートすることをお約束いたします。ご使用いただく各段階で、常にお客様をサポートできる体制を整えております。万が一、製品が期待通りに機能しない場合は、「Abcam Product Promise」による当社保証制度に基づき、安心してご利用いただけます。
保証に関する詳細については利用規約をご確認ください。

Please note: All products are 'FOR RESEARCH USE ONLY. NOT FOR USE IN DIAGNOSTIC OR THERAPEUTIC PROCEDURES'.

For licensing inquiries, please contact partnerships@abcam.com