JavaScript is disabled in your browser. Please enable JavaScript to view this website.
AB15465

Anti-Cytokeratin 8 抗体

Anti-Cytokeratin 8 antibody

Be the first to review this product! Submit a review

|

(1 Publication)

Rabbit Polyclonal Cytokeratin 8 antibody. Suitable for IHC-P and reacts with Human samples. Cited in 1 publication.

別名を表示する

CYK8, KRT8, Cytokeratin-8, Keratin-8, Type-II keratin Kb8, CK-8, K8

1 Images
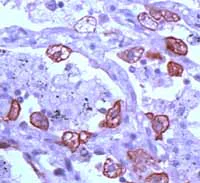
Immunohistochemistry (Formalin/PFA-fixed paraffin-embedded sections) - Anti-Cytokeratin 8 antibody (AB15465)
  • IHC-P

Unknown

Immunohistochemistry (Formalin/PFA-fixed paraffin-embedded sections) - Anti-Cytokeratin 8 antibody (AB15465)

Human lung stained with anti-cytokeratin 8 antibody, ab15465 by Immunohistochemistry (FFPE-sections).

Key facts

宿主種

Rabbit

クローン性

Polyclonal

アイソタイプ

IgG

キャリアフリー

No

交差種

Human

アプリケーション

IHC-P

applications

免疫原

The exact immunogen used to generate this antibody is proprietary information.

Reactivity data

{ "title": "Reactivity Data", "filters": { "stats": ["", "Species", "Dilution Info", "Notes"], "tabs": { "all-applications": {"fullname" : "All Applications", "shortname": "All Applications"}, "IHCP" : {"fullname" : "Immunohistochemistry (Formalin/PFA-fixed paraffin-embedded sections)", "shortname":"IHC-P"} }, "product-promise": { "all": "all", "testedAndGuaranteed": "tested", "guaranteed": "expected", "predicted": "predicted", "notRecommended": "not-recommended" } }, "values": { "Human": { "IHCP-species-checked": "testedAndGuaranteed", "IHCP-species-dilution-info": "1/100", "IHCP-species-notes": "<p></p>" } } }

出荷温度及び保存条件

製品の状態
Liquid
精製方法
Affinity purification Immunogen
バッファー組成
pH: 7.6 Preservative: 0.1% Sodium azide Constituents: PBS, 1% BSA
出荷温度
Blue Ice
長期保存温度
-20°C
分注に関する情報
Upon delivery aliquot
保管に関する情報
Avoid freeze / thaw cycle

製品プロトコール

For this product, it's our understanding that no specific protocols are required. You can visit:

ターゲットの情報

Together with KRT19, helps to link the contractile apparatus to dystrophin at the costameres of striated muscle.
See full target information KRT8

文献 (1)

Recent publications for all applications. Explore the full list and refine your search

PloS one 12:e0184104 PubMed28863176

2017

iPSC-derived neuronal models of PANK2-associated neurodegeneration reveal mitochondrial dysfunction contributing to early disease.

Applications

Unspecified application

Species

Unspecified reactive species

Charles Arber,Plamena R Angelova,Sarah Wiethoff,Yugo Tsuchiya,Francesca Mazzacuva,Elisavet Preza,Kailash P Bhatia,Kevin Mills,Ivan Gout,Andrey Y Abramov,John Hardy,James A Duce,Henry Houlden,Selina Wray
View all publications

Abcam product promise

当社は、高品質な試薬を通じてお客様の研究を力強くサポートすることをお約束いたします。ご使用いただく各段階で、常にお客様をサポートできる体制を整えております。万が一、製品が期待通りに機能しない場合は、「Abcam Product Promise」による当社保証制度に基づき、安心してご利用いただけます。
保証に関する詳細については利用規約をご確認ください。

Please note: All products are 'FOR RESEARCH USE ONLY. NOT FOR USE IN DIAGNOSTIC OR THERAPEUTIC PROCEDURES'.

For licensing inquiries, please contact partnerships@abcam.com