JavaScript is disabled in your browser. Please enable JavaScript to view this website.
AB68260

Anti-Cytokeratin 3/CK-3 抗体 [AE5]

Anti-Cytokeratin 3/CK-3 antibody [AE5]

5

(2 Reviews)

|

(40 Publications)

Mouse Recombinant Monoclonal K2C3 antibody. Suitable for IHC-P and reacts with Human samples. Cited in 40 publications.

別名を表示する

65 kDa cytokeratin, Cytokeratin-3, Keratin-3, Type-II keratin Kb3, CK-3, K3, KRT3

2 Images
Immunohistochemistry (Formalin/PFA-fixed paraffin-embedded sections) - Anti-Cytokeratin 3/CK-3 antibody [AE5] (AB68260)
  • IHC-P

Supplier Data

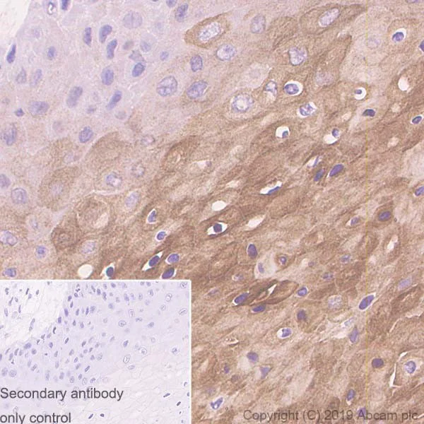
Immunohistochemistry (Formalin/PFA-fixed paraffin-embedded sections) - Anti-Cytokeratin 3/CK-3 antibody [AE5] (AB68260)

Immunohistochemical analysis of paraffin-embedded human squamous papilloma of cornea tissue labelling Cytokeratin 3 with ab68260 at 1/500 dilution, followed by a ready-to-use secondary antibody. Cytosolic staining on human squamous papilloma of cornea tissue is observed. Counterstained with Hematoxylin. Positive staining on human squamous papilloma of cornea. The section was incubated with ab68260 for 30 mins at room temperature. The immunostaining staining was performed on a Leica Biosystems BOND® RX instrument.

Heat mediated antigen retrieval with Tris-EDTA buffer (pH 9.0, epitope retrieval solution 2) for 20 mins.

Western blot - Anti-Cytokeratin 3/CK-3 antibody [AE5] (AB68260)
  • WB

Lab

Western blot - Anti-Cytokeratin 3/CK-3 antibody [AE5] (AB68260)

Blocking and diluting buffer and concentration : 5% NFDM/TBST. ab181602 was used as GAPDH loading control.

All lanes:

Western blot - Anti-Cytokeratin 3/CK-3 antibody [AE5] (ab68260) at 1/5000 dilution

Lane 1:

293T (Human embryonic kidney epithelial cell) transfected with an empty vector containing a His tag®, whole cell lysate at 15 µg

Lane 2:

293T (Human embryonic kidney epithelial cell) transfected with Cytokeratin full length expression vector containing a His tag®, whole cell lysate at 15 µg

Secondary

All lanes:

Peroxidase-Conjugated Goat anti-Mouse IgG (H+L) at 1/10000 dilution

Predicted band size: 64 kDa

Observed band size: 65 kDa

false

Exposure time: 3s

関連する標識済み抗体及び組成の異なる製品 (1)

  • Carrier free

    Anti-Cytokeratin 3/CK-3 antibody [AE5] - BSA and Azide free

Key facts

宿主種

Mouse

クローン性

Monoclonal

クローン番号

AE5

アイソタイプ

IgG1

キャリアフリー

No

交差種

Human

アプリケーション

IHC-P

applications

免疫原

The exact immunogen used to generate this antibody is proprietary information.

特異性

This antibody recognizes the 64kD polypeptide (cytokeratin 3 / CK-3) and 55 kDa polypeptide (cytokeratin 12) of rabbit corneal epithelium. It also recognizes bovine snout and lip epithelium, as well as a rabbit corneal cell line. The clone number has been updated from (2Q1040) to (AE5) both clone numbers name the same antibody clone.

Reactivity data

{ "title": "Reactivity Data", "filters": { "stats": ["", "Species", "Dilution Info", "Notes"], "tabs": { "all-applications": {"fullname" : "All Applications", "shortname": "All Applications"}, "ICCIF" : {"fullname" : "Immunocytochemistry/ Immunofluorescence", "shortname":"ICC/IF"}, "IP" : {"fullname" : "Immunoprecipitation", "shortname":"IP"}, "WB" : {"fullname" : "Western blot", "shortname":"WB"}, "IHCP" : {"fullname" : "Immunohistochemistry (Formalin/PFA-fixed paraffin-embedded sections)", "shortname":"IHC-P"}, "FlowCytIntra" : {"fullname" : "Flow Cytometry (Intracellular)", "shortname":"Flow Cyt (Intra)"} }, "product-promise": { "all": "all", "testedAndGuaranteed": "tested", "guaranteed": "expected", "predicted": "predicted", "notRecommended": "not-recommended" } }, "values": { "Human": { "ICCIF-species-checked": "notRecommended", "ICCIF-species-dilution-info": "", "ICCIF-species-notes": "<p></p>", "IP-species-checked": "notRecommended", "IP-species-dilution-info": "", "IP-species-notes": "<p></p>", "WB-species-checked": "notRecommended", "WB-species-dilution-info": "", "WB-species-notes": "<p></p>", "IHCP-species-checked": "testedAndGuaranteed", "IHCP-species-dilution-info": "0.25 µg/mL", "IHCP-species-notes": "<p></p> Perform heat-mediated antigen retrieval with Tris/EDTA buffer pH 9.0 before commencing with IHC staining protocol.", "FlowCytIntra-species-checked": "notRecommended", "FlowCytIntra-species-dilution-info": "", "FlowCytIntra-species-notes": "<p></p>" }, "Mouse": { "ICCIF-species-checked": "notRecommended", "ICCIF-species-dilution-info": "", "ICCIF-species-notes": "", "IP-species-checked": "notRecommended", "IP-species-dilution-info": "", "IP-species-notes": "", "WB-species-checked": "notRecommended", "WB-species-dilution-info": "", "WB-species-notes": "<p></p>", "IHCP-species-checked": "notRecommended", "IHCP-species-dilution-info": "", "IHCP-species-notes": "", "FlowCytIntra-species-checked": "notRecommended", "FlowCytIntra-species-dilution-info": "", "FlowCytIntra-species-notes": "" }, "Rat": { "ICCIF-species-checked": "notRecommended", "ICCIF-species-dilution-info": "", "ICCIF-species-notes": "", "IP-species-checked": "notRecommended", "IP-species-dilution-info": "", "IP-species-notes": "", "WB-species-checked": "notRecommended", "WB-species-dilution-info": "", "WB-species-notes": "<p></p>", "IHCP-species-checked": "notRecommended", "IHCP-species-dilution-info": "", "IHCP-species-notes": "", "FlowCytIntra-species-checked": "notRecommended", "FlowCytIntra-species-dilution-info": "", "FlowCytIntra-species-notes": "" } } }

製品の詳細

This product has switched from a hybridoma to recombinant production method on 5th January 2022

出荷温度及び保存条件

製品の状態
Liquid
精製方法
Affinity purification Protein A
バッファー組成
pH: 7.2 Preservative: 0.01% Sodium azide Constituents: PBS, 40% Glycerol (glycerin, glycerine), 0.05% BSA
出荷温度
Blue Ice
短期保存期間
1-2 weeks
短期保存温度
+4°C
長期保存温度
-20°C
分注に関する情報
Upon delivery aliquot
保管に関する情報
Avoid freeze / thaw cycle

補足情報

This supplementary information is collated from multiple sources and compiled automatically.

Cytokeratin 3 also known as CK-3 or CK3 is a type II cytokeratin protein with a molecular weight of approximately 64 kDa. This protein often coexists with Cytokeratin 12 and together they form the epithelial keratins. CK-3 is expressed predominantly in corneal epithelial cells. The presence of CK-3 in these cells helps maintain structural integrity and resilience against mechanical stress through its network of intermediate filaments. Various forms like CK-3 IgG and IGG CK3 have been studied to understand the unique and important role of cytokeratins in epithelial tissues.
Biological function summary

CK-3 plays an important role in the structural framework inside corneal epithelial cells. It participates in forming a complex of intermediate filaments providing necessary strength and stability to the cells. Such a framework is important for protecting the epithelium under physical stressors while also supporting the dynamic processes of cell proliferation and differentiation. These cytokeratin complexes contribute to the cellular process by supporting the resilience of epithelial cells.

Pathways

The involvement of CK-3 in cytoskeletal organization highlights its connection to certain critical signaling pathways such as the epithelial-to-mesenchymal transition (EMT) and cell differentiation pathways. The interaction of CK-3 with proteins like Cytokeratin 12 regulates these pathways and contributes to maintaining corneal epithelial homeostasis and integrity. Such interactions enable CK-3 to help maintain the proper functioning and regeneration of epithelial barriers.

CK-3's alteration or dysfunction may contribute to corneal-related diseases such as keratitis and corneal dystrophies. Abnormalities or mutations in CK-3 affect corneal integrity leading to compromised vision and disease symptoms. In these disorders its interaction with proteins like AE5 which participates in corneal structural pathways can be disrupted leading to pathophysiological conditions affecting the corneal epithelium. Understanding CK-3's role in these diseases may help guide therapeutic strategies.

製品プロトコール

For this product, it's our understanding that no specific protocols are required. You can visit:

ターゲットの情報

See full target information KRT3

文献 (40)

Recent publications for all applications. Explore the full list and refine your search

Scientific reports 15:12295 PubMed40210649

2025

Assessment of the toxic effect of benzalkonium chloride on human limbal stem cells.

Applications

Unspecified application

Species

Unspecified reactive species

Agnieszka Prusek,Bartosz Sikora,Aleksandra Skubis-Sikora,Piotr Czekaj

Life medicine 3:lnae033 PubMed39872440

2025

Deciphering the dynamic single-cell transcriptional landscape in the ocular surface ectoderm differentiation system.

Applications

Unspecified application

Species

Unspecified reactive species

Canwei Zhang,Zesong Lin,Yankun Yu,Siqi Wu,Huaxing Huang,Ying Huang,Jiafeng Liu,Kunlun Mo,Jieying Tan,Zhuo Han,Mingsen Li,Wei Zhao,Hong Ouyang,Xiangjun Chen,Li Wang

Diagnostics (Basel, Switzerland) 14: PubMed39001291

2024

Intraocular Epithelial Ingrowth after Traumatic and Surgical Corneal Injuries.

Applications

Unspecified application

Species

Unspecified reactive species

Joana Heinzelmann,Sergiu Stoica,Alexander Ruben Vogt,Sabine Hecht,Anja Viestenz,Arne Viestenz

Current issues in molecular biology 45:10121-10130 PubMed38132478

2023

NRG1 Regulates Proliferation, Migration and Differentiation of Human Limbal Epithelial Stem Cells.

Applications

Unspecified application

Species

Unspecified reactive species

Bofeng Wang,Huizhen Guo,Zhuo Han,Siqi Wu,Jiafeng Liu,Zesong Lin,Fengjiao An,Jin Zhu,Mingsen Li

Stem cell research & therapy 14:368 PubMed38093301

2023

New characterization and safety evaluation of human limbal stem cells used in clinical application: fidelity of mitotic process and mitotic spindle morphologies.

Applications

Unspecified application

Species

Unspecified reactive species

Marija Zekušić,Marina Bujić Mihica,Marija Skoko,Kruno Vukušić,Patrik Risteski,Jelena Martinčić,Iva M Tolić,Krešo Bendelja,Snježana Ramić,Tamara Dolenec,Ivana Vrgoč Zimić,Dominik Puljić,Ivanka Petric Vicković,Renata Iveković,Ivanka Batarilo,Uršula Prosenc Zmrzljak,Alan Hoffmeister,Tiha Vučemilo

STAR protocols 4:102122 PubMed36861830

2023

Protocol to develop a microfluidic human corneal barrier-on-a-chip to evaluate the corneal epithelial wound repair process.

Applications

Unspecified application

Species

Unspecified reactive species

Zitong Yu,Rui Hao,Xi Chen,Lu Ma,Yi Zhang,Hui Yang

Cornea 42:97-104 PubMed35965399

2022

In Situ-forming Collagen Hydrogels Crosslinked by Multifunctional Polyethylene Glycol as a Matrix Therapy for Corneal Defects: 2-Month Follow-up In Vivo.

Applications

Unspecified application

Species

Unspecified reactive species

Caitlin M Logan,Gabriella Maria Fernandes-Cunha,Fang Chen,Peter Le,David Mundy,Kyung Sun Na,David Myung

Frontiers in bioengineering and biotechnology 10:883977 PubMed35769102

2022

Electron-Beam Irradiated Recombinant Human Collagen-Phosphorylcholine Corneal Implants Retain Pro-Regeneration Capacity.

Applications

Unspecified application

Species

Unspecified reactive species

Fiona C Simpson,Mohammed Mirazul Islam,Oleksiy Buznyk,Elle Edin,Marc Groleau,Monika Kozak-Ljunggren,Federica M Magrelli,Dina B AbuSamra,Pablo Argüeso,James Chodosh,Aneta Liszka,Per Fagerholm,May Griffith

Scientific reports 12:9108 PubMed35650270

2022

Crosslinker-free collagen gelation for corneal regeneration.

Applications

Unspecified application

Species

Unspecified reactive species

Mohammad Mirazul Islam,Alexandru Chivu,Dina B AbuSamra,Amrita Saha,Sumit Chowdhuri,Bapan Pramanik,Claes H Dohlman,Debapratim Das,Pablo Argüeso,Jaya Rajaiya,Hirak K Patra,James Chodosh

STAR protocols 3:101383 PubMed35664254

2022

Protocols for SARS-CoV-2 infection in primary ocular cells and eye organoids.

Applications

Unspecified application

Species

Unspecified reactive species

Anne Zebitz Eriksen,Rasmus Møller,Bar Makovoz,Benjamin R tenOever,Timothy A Blenkinsop
View all publications

Abcam product promise

当社は、高品質な試薬を通じてお客様の研究を力強くサポートすることをお約束いたします。ご使用いただく各段階で、常にお客様をサポートできる体制を整えております。万が一、製品が期待通りに機能しない場合は、「Abcam Product Promise」による当社保証制度に基づき、安心してご利用いただけます。
保証に関する詳細については利用規約をご確認ください。

Please note: All products are 'FOR RESEARCH USE ONLY. NOT FOR USE IN DIAGNOSTIC OR THERAPEUTIC PROCEDURES'.

For licensing inquiries, please contact partnerships@abcam.com