JavaScript is disabled in your browser. Please enable JavaScript to view this website.
AB181055

Anti-Cytokeratin 16/K16 抗体 [EPR13504]

Anti-Cytokeratin 16/K16 antibody [EPR13504]

Be the first to review this product! Submit a review

|

(1 Publication)

Rabbit Recombinant Monoclonal K1C16 antibody. Suitable for WB, IHC-P and reacts with Human samples. Cited in 1 publication.

別名を表示する

KRT16A, KRT16, Cytokeratin-16, Keratin-16, CK-16, K16

4 Images
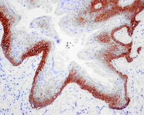
Immunohistochemistry (Formalin/PFA-fixed paraffin-embedded sections) - Anti-Cytokeratin 16/K16 antibody [EPR13504] (AB181055)
  • IHC-P

Supplier Data

Immunohistochemistry (Formalin/PFA-fixed paraffin-embedded sections) - Anti-Cytokeratin 16/K16 antibody [EPR13504] (AB181055)

Immunohistochemical analysis of paraffin-embedded Human skin tissue labeling Cytokeratin 16/K16 with ab181055 at 1/500 dilution followed by pre-diluted HRP-conjugated secondary antibody and counter-stained with Hematoxylin.

Perform heat mediated antigen retrieval with EDTA buffer pH 9 before commencing with IHC staining protocol.

Immunohistochemistry (Formalin/PFA-fixed paraffin-embedded sections) - Anti-Cytokeratin 16/K16 antibody [EPR13504] (AB181055)
  • IHC-P

Supplier Data

Immunohistochemistry (Formalin/PFA-fixed paraffin-embedded sections) - Anti-Cytokeratin 16/K16 antibody [EPR13504] (AB181055)

Immunohistochemical analysis of paraffin-embedded Human tonsil tissue labeling Cytokeratin 16/K16 with ab181055 at 1/500 dilution followed by pre-diluted HRP-conjugated secondary antibody and counter-stained with Hematoxylin.

Perform heat mediated antigen retrieval with EDTA buffer pH 9 before commencing with IHC staining protocol.

Western blot - Anti-Cytokeratin 16/K16 antibody [EPR13504] (AB181055)
  • WB

Supplier Data

Western blot - Anti-Cytokeratin 16/K16 antibody [EPR13504] (AB181055)

All lanes:

Western blot - Anti-Cytokeratin 16/K16 antibody [EPR13504] (ab181055) at 1/100000 dilution

All lanes:

Human skin lysate at 10 µg

Secondary

All lanes:

Western blot - Goat Anti-Rabbit IgG H&L (HRP) (<a href='/products/secondary-antibodies/goat-rabbit-igg-h-l-hrp-ab136636'>ab136636</a>) at 1/500 dilution

Predicted band size: 51 kDa

false

Western blot - Anti-Cytokeratin 16/K16 antibody [EPR13504] (AB181055)
  • WB

Supplier Data

Western blot - Anti-Cytokeratin 16/K16 antibody [EPR13504] (AB181055)

All lanes:

Western blot - Anti-Cytokeratin 16/K16 antibody [EPR13504] (ab181055) at 1/100000 dilution

All lanes:

HeLa cell lysate at 20 µg

Secondary

All lanes:

Goat Anti-Rabbit IgG, (H+L) HRP at 1/1000 dilution

Predicted band size: 51 kDa

false

関連する標識済み抗体及び組成の異なる製品 (1)

  • Carrier free

    Anti-Cytokeratin 16/K16 antibody [EPR13504] - BSA and Azide free

Key facts

宿主種

Rabbit

クローン性

Monoclonal

クローン番号

EPR13504

アイソタイプ

IgG

キャリアフリー

No

交差種

Human

アプリケーション

WB, IHC-P

applications

免疫原

The exact immunogen used to generate this antibody is proprietary information.

Reactivity data

{ "title": "Reactivity Data", "filters": { "stats": ["", "Species", "Dilution Info", "Notes"], "tabs": { "all-applications": {"fullname" : "All Applications", "shortname": "All Applications"}, "WB" : {"fullname" : "Western blot", "shortname":"WB"}, "IHCP" : {"fullname" : "Immunohistochemistry (Formalin/PFA-fixed paraffin-embedded sections)", "shortname":"IHC-P"} }, "product-promise": { "all": "all", "testedAndGuaranteed": "tested", "guaranteed": "expected", "predicted": "predicted", "notRecommended": "not-recommended" } }, "values": { "Human": { "WB-species-checked": "testedAndGuaranteed", "WB-species-dilution-info": "1/10000 - 1/100000", "WB-species-notes": "<p></p>", "IHCP-species-checked": "testedAndGuaranteed", "IHCP-species-dilution-info": "1/250 - 1/500", "IHCP-species-notes": "<p></p> Perform heat-mediated antigen retrieval with Tris/EDTA buffer pH 9.0 before commencing with IHC staining protocol." } } }

製品の詳細

Patented technology
Our RabMAb® technology is a patented hybridoma-based technology for making rabbit monoclonal antibodies. For details on our patents, please refer to RabMAb® patents.

What are the advantages of a recombinant monoclonal antibody?
This product is a recombinant monoclonal antibody, which offers several advantages including:

  • - High batch-to-batch consistency and reproducibility
  • - Improved sensitivity and specificity
  • - Long-term security of supply
  • - Animal-free batch production

For more information, read more on recombinant antibodies.

出荷温度及び保存条件

製品の状態
Liquid
精製度
Tissue culture supernatant
バッファー組成
Preservative: 0.01% Sodium azide Constituents: PBS, 40% Glycerol (glycerin, glycerine), 0.05% BSA
出荷温度
Blue Ice
短期保存期間
1-2 weeks
短期保存温度
+4°C
長期保存温度
-20°C
分注に関する情報
Upon delivery aliquot
保管に関する情報
Avoid freeze / thaw cycle

補足情報

This supplementary information is collated from multiple sources and compiled automatically.

Cytokeratin 16 often called K16 or Krt16 weighs around 50 kDa and belongs to the keratin family. Researchers commonly find K16 in epithelial tissues particularly in areas subjected to constant mechanical stress such as palms and soles. In addition to its localized expression K16 appears during wound healing processes where cells experience high turnover or regeneration activities. Its expression often pairs with Krt6 another keratin type contributing to its mechanical properties under stress conditions often called "pressure point".
Biological function summary

K16 plays critical roles in maintaining the integrity of epithelial cells and tissues. It is a structural protein that helps stabilize keratin cytoarchitecture. K16 forms a complex with its partner keratins like K17 providing resilience and elasticity to the skin ensuring durability in regions experiencing repetitive physical stress. Additionally K16 helps regulate proliferation and differentiation of keratinocytes contributing to healthy skin formation and repair.

Pathways

K16 takes part in signaling pathways associated with epidermal development and repair. It acts within the keratinization process interacting closely with signaling components that influence cell cycle regulation and DNA repair. Proteins such as p63 and Krt17 assist this regulatory mechanism influencing cellular responses to stress or damage. These interactions help modulate barrier function and skin homeostasis ensuring responsive adaptation to environmental changes.

K16 links to conditions like psoriasis and pachyonychia congenita. In psoriasis K16 expression becomes markedly upregulated contributing to the characteristic skin hyperproliferation. Similarly in pachyonychia congenita mutations in the K16 gene lead to nail and skin anomalies causing painful epidermal lesions. Both disorders highlight K16's involvement with Krt6 and Krt17 as these proteins collectively demonstrate disrupted keratin networks resulting in compromised skin integrity.

製品プロトコール

For this product, it's our understanding that no specific protocols are required. You can visit:

ターゲットの情報

Epidermis-specific type I keratin that plays a key role in skin. Acts as a regulator of innate immunity in response to skin barrier breach : required for some inflammatory checkpoint for the skin barrier maintenance.
See full target information KRT16

文献 (1)

Recent publications for all applications. Explore the full list and refine your search

Gynecologic oncology 167:96-106 PubMed35918200

2022

A novel cell line panel reveals non-genetic mediators of platinum resistance and phenotypic diversity in high grade serous ovarian cancer.

Applications

Unspecified application

Species

Unspecified reactive species

J I Hoare,H Hockings,J Saxena,V L Silva,M J Haughey,G E Wood,F Nicolini,H Mirza,I A McNeish,W Huang,E Maniati,T A Graham,M Lockley
View all publications

Abcam product promise

当社は、高品質な試薬を通じてお客様の研究を力強くサポートすることをお約束いたします。ご使用いただく各段階で、常にお客様をサポートできる体制を整えております。万が一、製品が期待通りに機能しない場合は、「Abcam Product Promise」による当社保証制度に基づき、安心してご利用いただけます。
保証に関する詳細については利用規約をご確認ください。

Please note: All products are 'FOR RESEARCH USE ONLY. NOT FOR USE IN DIAGNOSTIC OR THERAPEUTIC PROCEDURES'.

For licensing inquiries, please contact partnerships@abcam.com