JavaScript is disabled in your browser. Please enable JavaScript to view this website.
AB15461

Anti-Cytokeratin 14 抗体

Anti-Cytokeratin 14 antibody

3

(1 Review)

|

(11 Publications)

Rabbit Polyclonal Cytokeratin 14 antibody. Suitable for IHC-P and reacts with Human samples. Cited in 11 publications.

別名を表示する

Cytokeratin-14, Keratin-14, CK-14, K14, KRT14

1 Images
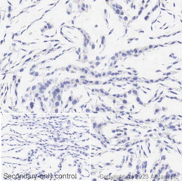
Immunohistochemistry (Formalin/PFA-fixed paraffin-embedded sections) - Anti-Cytokeratin 14 antibody (AB15461)
  • IHC-P

Unknown

Immunohistochemistry (Formalin/PFA-fixed paraffin-embedded sections) - Anti-Cytokeratin 14 antibody (AB15461)

Human Skin stained with anti-Cytokeratin 14 antibody, ab15461 by Immunohistochemistry (FFPE-sections).

Key facts

宿主種

Rabbit

クローン性

Polyclonal

アイソタイプ

IgG

キャリアフリー

No

交差種

Human

アプリケーション

IHC-P

applications

免疫原

The exact immunogen used to generate this antibody is proprietary information.

Reactivity data

{ "title": "Reactivity Data", "filters": { "stats": ["", "Species", "Dilution Info", "Notes"], "tabs": { "all-applications": {"fullname" : "All Applications", "shortname": "All Applications"}, "IHCP" : {"fullname" : "Immunohistochemistry (Formalin/PFA-fixed paraffin-embedded sections)", "shortname":"IHC-P"} }, "product-promise": { "all": "all", "testedAndGuaranteed": "tested", "guaranteed": "expected", "predicted": "predicted", "notRecommended": "not-recommended" } }, "values": { "Human": { "IHCP-species-checked": "testedAndGuaranteed", "IHCP-species-dilution-info": "1/200", "IHCP-species-notes": "<p></p>" } } }

出荷温度及び保存条件

製品の状態
Liquid
精製方法
Affinity purification Immunogen
バッファー組成
pH: 7.6 Preservative: 0.1% Sodium azide Constituents: PBS, 1% BSA
出荷温度
Blue Ice
短期保存温度
+4°C
長期保存温度
-20°C
分注に関する情報
Upon delivery aliquot
保管に関する情報
Avoid freeze / thaw cycle

補足情報

This supplementary information is collated from multiple sources and compiled automatically.

Cytokeratin 14 also known as CK14 keratin 14 or KRT14 is a type I keratin protein with a molecular mass of approximately 50 kDa. It forms intermediate filaments in epithelial cells primarily in the basal layer of stratified epithelium and is part of the cytoskeleton. Cytokeratin 14 expression appears in tissues such as the epidermis tongue and esophagus where it contributes to the structural integrity and mechanical stability of cells. Laboratories often utilize antibodies like anti-K14 and labels such as Alexa Fluor 555 or Alexa Fluor 647 to identify cytokeratin 14 in research settings.
Biological function summary

This protein significantly contributes to the maintenance and regeneration of epithelial tissues by forming a network of filaments with keratin 5. KRT14 pairs with keratin 5 to create a keratin intermediate filament complex which plays a structural role in the resilience and elasticity of epithelial tissues. This partnership is essential for the assembly of the cytoskeleton and supports the protective barrier function of the skin and related tissues.

Pathways

Cytokeratin 14 engages in pivotal cellular processes like keratinization and wound healing. The protein is actively involved in signal transduction pathways such as the epithelial cell differentiation pathway. Within these pathways KRT14 collaborates with KRT5 and other structural proteins to regulate cell proliferation and differentiation reflecting its importance in skin health and function.

Cytokeratin 14 associates with specific genetic conditions including epidermolysis bullosa simplex (EBS) and squamous cell carcinoma (SCC). In EBS mutations in the KRT14 gene lead to skin fragility. In SCC altered expression of KRT14 and related proteins such as keratin 5 can influence tumor progression and invasion. These associations highlight the critical role of KRT14 in both normal and pathological epithelial function.

製品プロトコール

For this product, it's our understanding that no specific protocols are required. You can visit:

ターゲットの情報

The nonhelical tail domain is involved in promoting KRT5-KRT14 filaments to self-organize into large bundles and enhances the mechanical properties involved in resilience of keratin intermediate filaments in vitro.
See full target information Keratin, type I cytoskeletal 14

文献 (11)

Recent publications for all applications. Explore the full list and refine your search

BMC oral health 22:165 PubMed35524231

2022

A new scoring system facilitating diagnosis of oral squamous malignancy on biopsy specimens.

Applications

Unspecified application

Species

Unspecified reactive species

Cheng-Lin Wu,Cheng-Chih Huang,Shang-Yin Wu,Shih-Sheng Jiang,Fang-Yu Tsai,Jenn-Ren Hsiao

Frontiers in cell and developmental biology 8:605084 PubMed33425910

2020

Lack of FAM20A, Ectopic Gingival Mineralization and Chondro/Osteogenic Modifications in Enamel Renal Syndrome.

Applications

Unspecified application

Species

Unspecified reactive species

Victor Simancas Escorcia,Abdoulaziz Diarra,Adrien Naveau,Arnaud Dessombz,Rufino Felizardo,Vidjeacoumary Cannaya,Christos Chatziantoniou,Mickaël Quentric,Miikka Vikkula,Olivier Cases,Ariane Berdal,Muriel De La Dure-Molla,Renata Kozyraki

Frontiers in cell and developmental biology 8:461 PubMed32612992

2020

Expression of ncRNAs on the DLK1-DIO3 Locus Is Associated With Basal and Mesenchymal Phenotype in Breast Epithelial Progenitor Cells.

Applications

Unspecified application

Species

Unspecified reactive species

Zuzana Budkova,Anna Karen Sigurdardottir,Eirikur Briem,Jon Thor Bergthorsson,Snævar Sigurdsson,Magnus Karl Magnusson,Gunnhildur Asta Traustadottir,Thorarinn Gudjonsson,Bylgja Hilmarsdottir

The Journal of pathology 250:362-373 PubMed31875961

2020

Loss of GATA4 causes ectopic pancreas in the stomach.

Applications

Unspecified application

Species

Unspecified reactive species

Elisa Rodríguez-Seguel,Laura Villamayor,Noelia Arroyo,Mónica P De Andrés,Francisco X Real,Franz Martín,David A Cano,Anabel Rojas

In vitro cellular & developmental biology. Animal 55:838-853 PubMed31482369

2019

YKL-40/CHI3L1 facilitates migration and invasion in HER2 overexpressing breast epithelial progenitor cells and generates a niche for capillary-like network formation.

Applications

Unspecified application

Species

Unspecified reactive species

Erika Morera,Sarah Sophie Steinhäuser,Zuzana Budkova,Saevar Ingthorsson,Jennifer Kricker,Aileen Krueger,Gunnhildur Asta Traustadottir,Thorarinn Gudjonsson

PLoS computational biology 12:e1004924 PubMed27253373

2016

EGFR Signal-Network Reconstruction Demonstrates Metabolic Crosstalk in EMT.

Applications

WB

Species

Unspecified reactive species

Kumari Sonal Choudhary,Neha Rohatgi,Skarphedinn Halldorsson,Eirikur Briem,Thorarinn Gudjonsson,Steinn Gudmundsson,Ottar Rolfsson

Journal of anatomy 229:302-13 PubMed27168421

2016

Characterization of the myoepithelial cells in the major salivary glands of the fruit bat Artibeus jamaicensis.

Applications

Unspecified application

Species

Unspecified reactive species

Julio Guerrero-Hernández,Norma Moreno-Mendoza

Oncogene 35:4244-55 PubMed26686087

2015

HER2 induced EMT and tumorigenicity in breast epithelial progenitor cells is inhibited by coexpression of EGFR.

Applications

IHC, WB

Species

Human, Human

S Ingthorsson,K Andersen,B Hilmarsdottir,G M Maelandsmo,M K Magnusson,T Gudjonsson

Journal of cellular biochemistry 116:903-22 PubMed25639585

2015

Characterisation of the kynurenine pathway in skin-derived fibroblasts and keratinocytes.

Applications

Unspecified application

Species

Unspecified reactive species

Diba Sheipouri,Ross Grant,Sonia Bustamante,David Lovejoy,Gilles J Guillemin,Nady Braidy

PloS one 8:e70408 PubMed23894651

2013

Fetal fibroblasts and keratinocytes with immunosuppressive properties for allogeneic cell-based wound therapy.

Applications

Flow Cyt

Species

Human

Thomas Zuliani,Soraya Saiagh,Anne-Chantal Knol,Julie Esbelin,Brigitte Dréno
View all publications

Abcam product promise

当社は、高品質な試薬を通じてお客様の研究を力強くサポートすることをお約束いたします。ご使用いただく各段階で、常にお客様をサポートできる体制を整えております。万が一、製品が期待通りに機能しない場合は、「Abcam Product Promise」による当社保証制度に基づき、安心してご利用いただけます。
保証に関する詳細については利用規約をご確認ください。

Please note: All products are 'FOR RESEARCH USE ONLY. NOT FOR USE IN DIAGNOSTIC OR THERAPEUTIC PROCEDURES'.

For licensing inquiries, please contact partnerships@abcam.com