JavaScript is disabled in your browser. Please enable JavaScript to view this website.
AB16112

Anti-Cytokeratin 13 抗体 [AE8]

Anti-Cytokeratin 13 antibody [AE8]

5

(4 Reviews)

|

(32 Publications)

Mouse Monoclonal KRT13 antibody. Suitable for WB, IHC-P, ICC/IF, IHC-Fr and reacts with Human samples. Cited in 32 publications.
6 Images
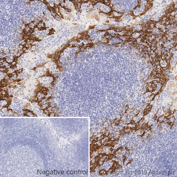
Immunohistochemistry (Formalin/PFA-fixed paraffin-embedded sections) - Anti-Cytokeratin 13 antibody [AE8] (AB16112)
  • IHC-P

Lab

Immunohistochemistry (Formalin/PFA-fixed paraffin-embedded sections) - Anti-Cytokeratin 13 antibody [AE8] (AB16112)

IHC image of Cytokeratin 13 staining in a section of formalin-fixed paraffin-embedded normal human tonsil* performed on a Leica BONDTM system using the standard protocol F.

The section was pre-treated using heat mediated antigen retrieval with sodium citrate buffer (pH 6, epitope retrieval solution 1) for 20 mins. The section was then incubated with ab16112, 0.05 μg/ml, for 15 mins at room temperature and detected using an HRP conjugated compact polymer system. DAB was used as the chromogen. The section was then counterstained with hematoxylin and mounted with DPX. The inset secondary-only control image is taken from an identical assay without primary antibody.

For other IHC staining systems (automated and non-automated) customers should optimize variable parameters such as antigen retrieval conditions, primary antibody concentration and antibody incubation times.

*Tissue obtained from the Human Research Tissue Bank, supported by the NIHR Cambridge Biomedical Research Centre

Immunohistochemistry (Frozen sections) - Anti-Cytokeratin 13 antibody [AE8] (AB16112)
  • IHC-Fr

Lab

Immunohistochemistry (Frozen sections) - Anti-Cytokeratin 13 antibody [AE8] (AB16112)

IHC image of Cytokeratin 13 staining in a section of frozen normal human tonsil*. The section was fixed using 10% formaldehyde in 1XPBS for 10 minutes. No antigen retrieval step was performed prior to staining. Non-specific protein-protein interactions were then blocked in TBS containing 0.025% (v/v) Triton X-100, 0.3M glycine and 1% (w/v) BSA for 1h at room temperature. The section was then incubated overnight at +4°C in TBS containing 0.025% (v/v) Triton X-100 and 1% (w/v) BSA with ab16112 at 1μg/ml. The section was then incubated with ab150117 (Goat Anti-Mouse IgG H&L (Alexa Fluor® 488), 1/1000)) (shown in green) for 1 hour at room temperature. DAPI was used to stain the cell nuclei (blue) at a concentration of 1.43μM. The secondary-only control insert image is taken from an identical assay without primary antibody. The section was then mounted using Fluoromount®. Image was taken with a confocal microscope (Leica-Microsystems, TCS SP8). For IHC staining systems (automated and non-automated), customers should optimize variable parameters such as antibody concentrations and incubation times. *Tissue obtained from the Human Research Tissue Bank, supported by the NIHR Cambridge Biomedical Research Centre.

Immunohistochemistry (Formalin/PFA-fixed paraffin-embedded sections) - Anti-Cytokeratin 13 antibody [AE8] (AB16112)
  • IHC-P

AbReview39124****

Immunohistochemistry (Formalin/PFA-fixed paraffin-embedded sections) - Anti-Cytokeratin 13 antibody [AE8] (AB16112)

ab16112 staining Cytokeratin 13 in Human pharynx tissue sections by Immunohistochemistry (IHC-P - paraformaldehyde-fixed, paraffin-embedded sections). Tissue was fixed with formaldehyde and antigen retrieval was by heat mediation in Tris pH9. Samples were incubated with primary antibody (undiluted) for 1 hour at 20°C. An undiluted HRP-conjugated Goat anti-mouse IgG polyclonal was used as the secondary antibody.

This image is courtesy of an anonymous Abreview

Immunocytochemistry/ Immunofluorescence - Anti-Cytokeratin 13 antibody [AE8] (AB16112)
  • ICC/IF

Lab

Immunocytochemistry/ Immunofluorescence - Anti-Cytokeratin 13 antibody [AE8] (AB16112)

ab16112 staining Cytokeratin 13 in A431 cells. The cells were fixed with Methanol (5min), permeabilized with 0.1%PBS-Triton X-100 for 5 minutes and then blocked with 1% BSA/10% normal goat serum/0.3M glycine in 0.1%PBS-Tween for 1h. The cells were then incubated overnight at +4°C with ab16112 at 5μg/ml and ab6046, Rabbit polyclonal to beta Tubulin - Loading Control, at 1/1000 dilution. Cells were then incubated with ab150117, Goat Anti-Mouse IgG H&L (Alexa Fluor® 488) at 1/1000 dilution (shown in green) and ab150080, Goat polyclonal Secondary Antibody to Rabbit IgG - H&L (Alexa Fluor® 594) at 1/1000 dilution (shown in pseudocolour red). Nuclear DNA was labelled with DAPI (shown in blue).

Image was taken with a confocal microscope (Leica-Microsystems, TCS SP8).

Western blot - Anti-Cytokeratin 13 antibody [AE8] (AB16112)
  • WB

Supplier Data

Western blot - Anti-Cytokeratin 13 antibody [AE8] (AB16112)

This blot was produced using a 4-12% Bis-tris under the MOPS buffer system. The gel was run at 200V for 55 minutes before being transferred onto a Nitrocellulose membrane at 30V for 70 minutes. The membrane was blocked for an hour using 3% milk before ab16112 and ab181602 (Rabbit anti-GAPDH loading control) were incubated overnight at 4°C at a 1ug/ml concentration and 1/20000 dilution respectively. Antibody binding was detected using Goat anti-Mouse IgG H&L (IRDye® 800CW) preadsorbed (ab216772) and Goat anti-Rabbit IgG H&L (IRDye® 680RD) preadsorbed (ab216777) secondary antibodies at 1/20000 dilution for 1 hour at room temperature before imaging.

All lanes:

Western blot - Anti-Cytokeratin 13 antibody [AE8] (ab16112) at 1 µg/mL

All lanes:

A431 whole cell lysate at 20 µg

Predicted band size: 50 kDa

false

Western blot - Anti-Cytokeratin 13 antibody [AE8] (AB16112)
  • WB

Lab

Western blot - Anti-Cytokeratin 13 antibody [AE8] (AB16112)

False colour image of Western blot : Anti-Cytokeratin 13 antibody [AE8] staining at 1 μg/ml, shown in green; Rabbit Anti-GAPDH antibody [EPR16891] (ab181602) loading control staining at 1/20000 dilution, shown in red. In Western blot, ab16112 was shown to bind specifically to Cytokeratin 13. A band was observed at 51 kDa in wild-type A431 cell lysates with no signal observed at this size in Krt13 knockout cell line ab269483 (knockout cell lysate ab269647). To generate this image, wild-type and Krt13 knockout A431 cell lysates were analysed. First, samples were run on an SDS-PAGE gel then transferred onto a nitrocellulose membrane. Membranes were blocked in 3 % milk in TBS-0.1 % Tween® 20 (TBS-T) before incubation with primary antibodies overnight at 4 °C. Blots were washed four times in TBS-T, incubated with secondary antibodies for 1 h at room temperature, washed again four times then imaged. Secondary antibodies used were Goat anti-Mouse IgG H&L (IRDye® 800CW) preabsorbed (ab216772) and Goat anti-Rabbit IgG H&L (IRDye® 680RD) preabsorbed (ab216777) at 1/20000 dilution.

All lanes:

Western blot - Anti-Cytokeratin 13 antibody [AE8] (ab16112) at 1 µg/mL

Lane 1:

Wild-type A431 cell lysate at 20 µg

Lane 2:

KRT13 knockout A431 cell lysate at 20 µg

Lane 2:

Western blot - Human KRT13 knockout A-431 cell line (<a href='/products/cell-lines/human-krt13-knockout-a-431-cell-line-ab269483'>ab269483</a>)

Predicted band size: 50 kDa

Observed band size: 51 kDa

false

関連する標識済み抗体及び組成の異なる製品 (1)

  • Carrier free

    Anti-Cytokeratin 13 antibody [AE8] - BSA and Azide free

Key facts

宿主種

Mouse

クローン性

Monoclonal

クローン番号

AE8

アイソタイプ

IgG

軽鎖のタイプ

kappa

キャリアフリー

No

交差種

Human

アプリケーション

WB, IHC-P, ICC/IF, IHC-Fr

applications

免疫原

The exact immunogen used to generate this antibody is proprietary information.

Reactivity data

{ "title": "Reactivity Data", "filters": { "stats": ["", "Species", "Dilution Info", "Notes"], "tabs": { "all-applications": {"fullname" : "All Applications", "shortname": "All Applications"}, "WB" : {"fullname" : "Western blot", "shortname":"WB"}, "IHCP" : {"fullname" : "Immunohistochemistry (Formalin/PFA-fixed paraffin-embedded sections)", "shortname":"IHC-P"}, "ICCIF" : {"fullname" : "Immunocytochemistry/ Immunofluorescence", "shortname":"ICC/IF"}, "IHCFr" : {"fullname" : "Immunohistochemistry (Frozen sections)", "shortname":"IHC-Fr"} }, "product-promise": { "all": "all", "testedAndGuaranteed": "tested", "guaranteed": "expected", "predicted": "predicted", "notRecommended": "not-recommended" } }, "values": { "Human": { "WB-species-checked": "testedAndGuaranteed", "WB-species-dilution-info": "1 µg/mL", "WB-species-notes": "<p></p>", "IHCP-species-checked": "testedAndGuaranteed", "IHCP-species-dilution-info": "0.05 µg/mL", "IHCP-species-notes": "<p></p>", "ICCIF-species-checked": "testedAndGuaranteed", "ICCIF-species-dilution-info": "1-5 µg/mL", "ICCIF-species-notes": "<p>PubMed: 25076852</p>", "IHCFr-species-checked": "testedAndGuaranteed", "IHCFr-species-dilution-info": "1 µg/mL", "IHCFr-species-notes": "<p></p>" }, "Mouse": { "WB-species-checked": "predicted", "WB-species-dilution-info": "", "WB-species-notes": "", "IHCP-species-checked": "predicted", "IHCP-species-dilution-info": "", "IHCP-species-notes": "", "ICCIF-species-checked": "predicted", "ICCIF-species-dilution-info": "", "ICCIF-species-notes": "", "IHCFr-species-checked": "predicted", "IHCFr-species-dilution-info": "", "IHCFr-species-notes": "" }, "Rabbit": { "WB-species-checked": "predicted", "WB-species-dilution-info": "", "WB-species-notes": "", "IHCP-species-checked": "predicted", "IHCP-species-dilution-info": "", "IHCP-species-notes": "", "ICCIF-species-checked": "predicted", "ICCIF-species-dilution-info": "", "ICCIF-species-notes": "", "IHCFr-species-checked": "predicted", "IHCFr-species-dilution-info": "", "IHCFr-species-notes": "" } } }

製品の詳細

Want a custom formulation?
This antibody clone is manufactured by Abcam. If you require a custom buffer formulation or conjugation for your experiments, please contact orders@abcam.com

出荷温度及び保存条件

製品の状態
Liquid
精製方法
Affinity purification Protein G
バッファー組成
Preservative: 0.02% Sodium azide Constituents: PBS, 6.97% L-Arginine
出荷温度
Blue Ice
短期保存期間
1-2 weeks
短期保存温度
+4°C
長期保存温度
-20°C
分注に関する情報
Upon delivery aliquot
保管に関する情報
Avoid freeze / thaw cycle

補足情報

This supplementary information is collated from multiple sources and compiled automatically.

Cytokeratin 13 also known as KRT13 or CK13 is a type I intermediate filament protein weighing approximately 44 kDa. It is one of the cytokeratin types that plays a critical role in the mechanical stability and integrity of epithelial cells. Cytokeratin 13 is expressed in the stratified squamous epithelium particularly in the upper layers of non-cornified epithelia which include the esophagus tongue and cervix. This protein forms heteropolymers with type II keratins contributing to the cytoskeletal filament network within epithelial cells.
Biological function summary

This protein participates in maintaining the structural framework and dynamics within epithelial tissues. As part of the cytoskeletal complex cytokeratin 13 supports cellular resilience against mechanical stress. It interacts with other cytokeratins contributing to the formation of a robust keratin filament network essential for epithelial cell function and differentiation. Its expression and regulation are key to the homeostasis of the tissues where it is found ensuring proper cell division and tissue integrity.

Pathways

Cytokeratin 13 integrates into epithelial cell differentiation and repair processes. It is involved in the epithelial-mesenchymal transition (EMT) pathway important for tissue development wound healing and cancer metastasis. During the EMT process cytokeratin 13 often works alongside proteins like E-cadherin and Vimentin mediating changes in epithelial cell architecture and polarity. This modulation is essential for cellular plasticity and response to environmental cues.

Cytokeratin 13 has associations with certain epithelial tissue abnormalities such as oral squamous cell carcinoma and a subgroup of inherited blistering diseases like epidermolysis bullosa. In oral squamous cell carcinoma dysregulation of cytokeratin 13 expression may indicate tumor progression and metastasis. In epidermolysis bullosa mutations affecting keratin interactions including those with other keratins like cytokeratin 14 can lead to fragile skin and mucosal surfaces resulting in increased susceptibility to physical damage and impaired healing.

製品プロトコール

For this product, it's our understanding that no specific protocols are required. You can visit:

ターゲットの情報

See full target information KRT13

文献 (32)

Recent publications for all applications. Explore the full list and refine your search

Communications biology 8:1220 PubMed40813888

2025

PAX6-dependent differentiation landscape of ocular surface epithelium via single-cell RNA sequencing in hiPSC-derived ocular developmental organoid.

Applications

Unspecified application

Species

Unspecified reactive species

Rei Kamuro,Masahito Yoshihara,Susumu Hara,Takahiro Nemoto,Laura Howard,Ai Honda,Ayano Yamamoto,Toru Takigawa,Susumu Sakimoto,Koichi Baba,Andrew J Quantock,Kohji Nishida

Advanced science (Weinheim, Baden-Wurttemberg, Germany) 11:e2305724 PubMed38483933

2024

Integration Analysis of Single-Cell Multi-Omics Reveals Prostate Cancer Heterogeneity.

Applications

Unspecified application

Species

Unspecified reactive species

Xiaojie Bian,Wenfeng Wang,Mierxiati Abudurexiti,Xingming Zhang,Weiwei Ma,Guohai Shi,Leilei Du,Midie Xu,Xin Wang,Cong Tan,Hui Sun,Xiadi He,Chenyue Zhang,Yao Zhu,Min Zhang,Dingwei Ye,Jianhua Wang

Anticancer research 43:4993-5001 PubMed37909954

2023

Multimodal Prediction of Cervical Lymph Node Metastasis and Recurrence in Oral Squamous Cell Carcinoma.

Applications

Unspecified application

Species

Unspecified reactive species

Hideka Kanemoto,Kyoichi Obata,Koki Umemori,Kazuaki Hasegawa,Sawako Ono,Kisho Ono,Hirokazu Yutori,Soichiro Ibaragi

Developmental cell 58:2428-2446.e9 PubMed37652013

2023

Defining the identity and the niches of epithelial stem cells with highly pleiotropic multilineage potency in the human thymus.

Applications

Unspecified application

Species

Unspecified reactive species

Roberta Ragazzini,Stefan Boeing,Luca Zanieri,Mary Green,Giuseppe D'Agostino,Kerol Bartolovic,Ana Agua-Doce,Maria Greco,Sara A Watson,Antoniana Batsivari,Linda Ariza-McNaughton,Asllan Gjinovci,David Scoville,Andy Nam,Adrian C Hayday,Dominique Bonnet,Paola Bonfanti

iScience 26:107016 PubMed37389178

2023

Identification of BST2 as a conjunctival epithelial stem/progenitor cell marker.

Applications

Unspecified application

Species

Unspecified reactive species

Masahiro Kitao,Ryuhei Hayashi,Kimihito Nomi,Reiko Kobayashi,Tomohiko Katayama,Hiroshi Takayanagi,Akiko Oguchi,Yasuhiro Murakawa,Kohji Nishida

Advanced science (Weinheim, Baden-Wurttemberg, Germany) 9:e2203040 PubMed35986392

2022

Single-Nucleus RNA Sequencing and Spatial Transcriptomics Reveal the Immunological Microenvironment of Cervical Squamous Cell Carcinoma.

Applications

Unspecified application

Species

Unspecified reactive species

Zhihua Ou,Shitong Lin,Jiaying Qiu,Wencheng Ding,Peidi Ren,Dongsheng Chen,Jiaxuan Wang,Yihan Tong,Di Wu,Ao Chen,Yuan Deng,Mengnan Cheng,Ting Peng,Haorong Lu,Huanming Yang,Jian Wang,Xin Jin,Ding Ma,Xun Xu,Yanzhou Wang,Junhua Li,Peng Wu

PLoS pathogens 18:e1010775 PubMed35976902

2022

Single-cell analysis of Kaposi's sarcoma-associated herpesvirus infection in three-dimensional air-liquid interface culture model.

Applications

Unspecified application

Species

Unspecified reactive species

Kyle L Jung,Un Yung Choi,Angela Park,Suan-Sin Foo,Stephanie Kim,Shin-Ae Lee,Jae U Jung

Clinical and translational medicine 12:e874 PubMed35608199

2022

Single-cell transcriptomics provides insights into the origin and microenvironment of human oesophageal high-grade intraepithelial neoplasia.

Applications

Unspecified application

Species

Unspecified reactive species

Guobin Liao,Nan Dai,Tiantian Xiong,Liang Wang,Xinwei Diao,Zhizhen Xu,Yuanli Ni,Dingrong Chen,Airui Jiang,Hui Lin,Shuangshuang Dai,Jianying Bai

International journal of oral science 14:26 PubMed35581183

2022

METTL3-mediated mA RNA methylation regulates dorsal lingual epithelium homeostasis.

Applications

Unspecified application

Species

Unspecified reactive species

Qiuchan Xiong,Caojie Liu,Xin Zheng,Xinyi Zhou,Kexin Lei,Xiaohan Zhang,Qian Wang,Weimin Lin,Ruizhan Tong,Ruoshi Xu,Quan Yuan

Experimental eye research 214:108864 PubMed34826419

2021

Hydroxychloroquine treatment on SARS-CoV-2 receptor ACE2, TMPRSS2 and NRP1 expression in human primary pterygium and conjunctival cells.

Applications

Unspecified application

Species

Unspecified reactive species

Yao Yao,Di Ma,Yanxuan Xu,Xiang-Ling Yuan,Jia-Jian Liang,Shao-Lang Chen,Vishal Jhanji,Tsz Kin Ng
View all publications

Abcam product promise

当社は、高品質な試薬を通じてお客様の研究を力強くサポートすることをお約束いたします。ご使用いただく各段階で、常にお客様をサポートできる体制を整えております。万が一、製品が期待通りに機能しない場合は、「Abcam Product Promise」による当社保証制度に基づき、安心してご利用いただけます。
保証に関する詳細については利用規約をご確認ください。

Please note: All products are 'FOR RESEARCH USE ONLY. NOT FOR USE IN DIAGNOSTIC OR THERAPEUTIC PROCEDURES'.

For licensing inquiries, please contact partnerships@abcam.com