JavaScript is disabled in your browser. Please enable JavaScript to view this website.
AB133504

Anti-Cytochrome C 抗体 [EPR1327]

Anti-Cytochrome C antibody [EPR1327]

5

(2 Reviews)

|

(330 Publications)

Anti-Cytochrome C antibody [EPR1327] (ab133504) is a rabbit monoclonal antibody detecting Cytochrome C in Western Blot, IP, IHC-P, ICC/IF. Suitable for Human, Mouse, Rat.

- Biophysical QC for unrivalled batch-batch consistency
- Over 230 publications

別名を表示する

CYC, CYCS, Cytochrome c

15 Images
Immunocytochemistry/ Immunofluorescence - Anti-Cytochrome C antibody [EPR1327] (AB133504)
  • ICC/IF

Unknown

Immunocytochemistry/ Immunofluorescence - Anti-Cytochrome C antibody [EPR1327] (AB133504)

Immunofluorescent analysis of HeLa (Human epithelial cell line from cervix adenocarcinoma) cells labelling Cytochrome C with unpurified ab133504 at 1/100 dilution.

Immunohistochemistry (Formalin/PFA-fixed paraffin-embedded sections) - Anti-Cytochrome C antibody [EPR1327] (AB133504)
  • IHC-P

Lab

Immunohistochemistry (Formalin/PFA-fixed paraffin-embedded sections) - Anti-Cytochrome C antibody [EPR1327] (AB133504)

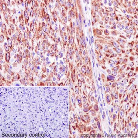
Immunohistochemical staining of paraffin embedded human cervical carcinoma with purified ab133504 at a working dilution of 1 in 500. The secondary antibody used is a HRP goat anti-rabbit H+L (ab97051). The sample is counter-stained with hematoxylin. Antigen retrieval was perfomed using Tris-EDTA buffer, pH 9.0. PBS was used instead of the primary antibody as the negative control, and is shown in the inset.

Immunocytochemistry/ Immunofluorescence - Anti-Cytochrome C antibody [EPR1327] (AB133504)
  • ICC/IF

Lab

Immunocytochemistry/ Immunofluorescence - Anti-Cytochrome C antibody [EPR1327] (AB133504)

Immunofluorescence staining of SH-SY5Y cells with purified ab133504 at a working dilution of 1 in 100, counter-stained with DAPI. The secondary antibody was Alexa Fluor® 488 goat anti rabbit (ab150077), used at a dilution of 1 in 500. ab7291 was used to stain tubulin, and this is shown in the top right hand panel. The cells were fixed in 4% PFA and permeabilized using 0.1% Triton X 100. The negative control is shown in bottom middle and right hand panels - for the negative controls, purified ab133504 was used at a dilution of 1/200 followed by an Alexa Fluor® 594 goat anti-mouse antibody at a dilution of 1/500.

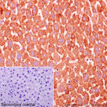
Immunohistochemistry (Formalin/PFA-fixed paraffin-embedded sections) - Anti-Cytochrome C antibody [EPR1327] (AB133504)
  • IHC-P

Lab

Immunohistochemistry (Formalin/PFA-fixed paraffin-embedded sections) - Anti-Cytochrome C antibody [EPR1327] (AB133504)

Immunohistochemical analysis of formalin fixed paraffin embedded human liver labelling Cytochrome C with ab133504 at a concentration of 0.1µg/ml. The immunostaining was performed on a Ventana DISCOVERY ULTRA (Roche Tissue Diagnostics) instrument with a OptiView DAB IHC Detection Kit. Heat mediated antigen retrieval was performed with DISCOVERY cell conditioning solution (CC1) 100°C, pH8.5 for 32mins. ab133504 Anti-Cytochrome C antibody [EPR1327] was incubated for 16mins at 37°C. Sections were counterstained with Hematoxylin II. Image inset shows absence of staining in secondary antibody only control.

Customers are encouraged to optimise antigen retrieval conditions, antibody concentration, incubation times and temperature for best results in their own IHC assay workflow (automated and manual).

Immunohistochemistry (Formalin/PFA-fixed paraffin-embedded sections) - Anti-Cytochrome C antibody [EPR1327] (AB133504)
  • IHC-P

Lab

Immunohistochemistry (Formalin/PFA-fixed paraffin-embedded sections) - Anti-Cytochrome C antibody [EPR1327] (AB133504)

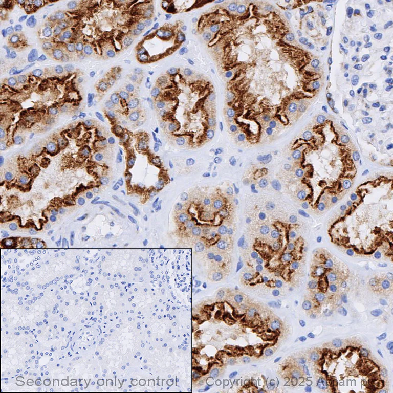
Immunohistochemical analysis of formalin fixed paraffin embedded human kidney labelling Cytochrome C with ab133504 at a concentration of 0.1µg/ml. The immunostaining was performed on a Ventana DISCOVERY ULTRA (Roche Tissue Diagnostics) instrument with a OptiView DAB IHC Detection Kit. Heat mediated antigen retrieval was performed with DISCOVERY cell conditioning solution (CC1) 100°C, pH8.5 for 32mins. ab133504 Anti-Cytochrome C antibody [EPR1327] was incubated for 16mins at 37°C. Sections were counterstained with Hematoxylin II. Image inset shows absence of staining in secondary antibody only control.

Customers are encouraged to optimise antigen retrieval conditions, antibody concentration, incubation times and temperature for best results in their own IHC assay workflow (automated and manual).

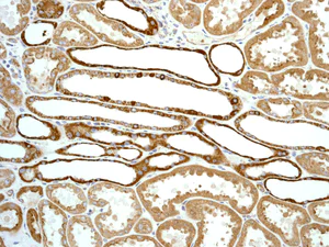
Immunohistochemistry (Formalin/PFA-fixed paraffin-embedded sections) - Anti-Cytochrome C antibody [EPR1327] (AB133504)
  • IHC-P

Unknown

Immunohistochemistry (Formalin/PFA-fixed paraffin-embedded sections) - Anti-Cytochrome C antibody [EPR1327] (AB133504)

Immunohistochemical analysis of paraffin-embedded human kidney tissue labelling Cytochrome C with unpurified ab133504 at 1/250 dilution.

Perform heat mediated antigen retrieval before commencing with IHC staining protocol.

Immunoprecipitation - Anti-Cytochrome C antibody [EPR1327] (AB133504)
  • IP

Lab

Immunoprecipitation - Anti-Cytochrome C antibody [EPR1327] (AB133504)

ab133504 (purified) at 1/30 immunoprecipitating Cytochrome C in Molt-4 cells.

For western blotting, a HRP-conjugated goat anti-rabbit (H+L), was used as the secondary antibody (1/1000).

Blocking/Dilution buffer and concentration : 5% NFDM/TBST.

All lanes:

Immunoprecipitation - Anti-Cytochrome C antibody [EPR1327] (ab133504)

Predicted band size: 11 kDa

false

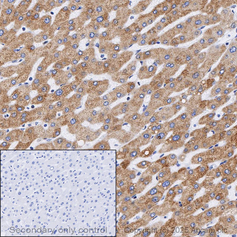
Immunohistochemistry (Formalin/PFA-fixed paraffin-embedded sections) - Anti-Cytochrome C antibody [EPR1327] (AB133504)
  • IHC-P

Lab

Immunohistochemistry (Formalin/PFA-fixed paraffin-embedded sections) - Anti-Cytochrome C antibody [EPR1327] (AB133504)

Immunohistochemical staining of paraffin embedded mouse liver with purified ab133504 at a working dilution of 1 in 500. The secondary antibody used is a HRP goat anti-rabbit H+L (ab97051). The sample is counter-stained with hematoxylin. Antigen retrieval was perfomed using Tris-EDTA buffer, pH 9.0. PBS was used instead of the primary antibody as the negative control, and is shown in the inset.

Immunohistochemistry (Formalin/PFA-fixed paraffin-embedded sections) - Anti-Cytochrome C antibody [EPR1327] (AB133504)
  • IHC-P

Lab

Immunohistochemistry (Formalin/PFA-fixed paraffin-embedded sections) - Anti-Cytochrome C antibody [EPR1327] (AB133504)

Immunohistochemical staining of paraffin embedded rat kidney with purified ab133504 at a working dilution of 1 in 500. The secondary antibody used is a HRP goat anti-rabbit H+L (ab97051). The sample is counter-stained with hematoxylin. Antigen retrieval was perfomed using Tris-EDTA buffer, pH 9.0. PBS was used instead of the primary antibody as the negative control, and is shown in the inset.

Western blot - Anti-Cytochrome C antibody [EPR1327] (AB133504)
  • WB

Lab

Western blot - Anti-Cytochrome C antibody [EPR1327] (AB133504)

Blocking buffer : 5% NFDM/TBST

Dilution buffer : 5% NFDM/TBST

All lanes:

Western blot - Anti-Cytochrome C antibody [EPR1327] (ab133504) at 1/5000 dilution

All lanes:

Human fetal kidney tissue lysate at 10 µg

Secondary

All lanes:

HRP goat anti-rabbit (H+L) at 1/1000 dilution

Predicted band size: 11 kDa

Observed band size: 14 kDa

false

Western blot - Anti-Cytochrome C antibody [EPR1327] (AB133504)
  • WB

Lab

Western blot - Anti-Cytochrome C antibody [EPR1327] (AB133504)

Blocking buffer : 5% NFDM/TBST

Dilution buffer : 5% NFDM/TBST

All lanes:

Western blot - Anti-Cytochrome C antibody [EPR1327] (ab133504) at 1/5000 dilution

All lanes:

Human fetal heart tissue lysate at 10 µg

Secondary

All lanes:

HRP goat anti-rabbit (H+L) at 1/1000 dilution

Predicted band size: 11 kDa

Observed band size: 14 kDa

false

Western blot - Anti-Cytochrome C antibody [EPR1327] (AB133504)
  • WB

Lab

Western blot - Anti-Cytochrome C antibody [EPR1327] (AB133504)

Blocking buffer : 5% NFDM/TBST

Dilution buffer : 5% NFDM/TBST

All lanes:

Western blot - Anti-Cytochrome C antibody [EPR1327] (ab133504) at 1/5000 dilution

All lanes:

Rat brain tissue lysate at 1/1000 dilution

Secondary

All lanes:

HRP goat anti-rabbit (H+L) at 1/1000 dilution

Predicted band size: 11 kDa

Observed band size: 14 kDa

false

Western blot - Anti-Cytochrome C antibody [EPR1327] (AB133504)
  • WB

Lab

Western blot - Anti-Cytochrome C antibody [EPR1327] (AB133504)

Blocking buffer : 5% NFDM/TBST

Dilution buffer : 5% NFDM/TBST

All lanes:

Western blot - Anti-Cytochrome C antibody [EPR1327] (ab133504) at 1/50000 dilution

All lanes:

Mouse brain tissue lysate at 10 µg

Secondary

All lanes:

HRP goat anti-rabbit (H+L) at 1/1000 dilution

Predicted band size: 11 kDa

Observed band size: 14 kDa

false

Western blot - Anti-Cytochrome C antibody [EPR1327] (AB133504)
  • WB

Unknown

Western blot - Anti-Cytochrome C antibody [EPR1327] (AB133504)

All lanes:

Western blot - Anti-Cytochrome C antibody [EPR1327] (ab133504) at 1/10000 dilution

Lane 1:

Molt4 lysate at 10 µg

Lane 2:

SH-SY5Y lysate at 10 µg

Lane 3:

Human heart lysate at 10 µg

Lane 4:

Human kidney lysate at 10 µg

Lane 5:

Human spleen lysate at 10 µg

Secondary

All lanes:

Goat-anti-rabbit HRP at 1/2000 dilution

Predicted band size: 11 kDa

Observed band size: 14 kDa

false

OI-RD Scanning - Anti-Cytochrome C antibody [EPR1327] (AB133504)
  • OI-RD Scanning

Unknown

OI-RD Scanning - Anti-Cytochrome C antibody [EPR1327] (AB133504)

We have systematically measured KD (the equilibrium dissociation constant between the antibody and its antigen), of more than 840 recombinant antibodies to assess not only their individual KD values but also to see the average affinity of antibody. Based on the comparison with published literature values for mouse monoclonal antibodies, Recombinant antibodies appear to be on average 1-2 order of magnitude higher affinity.

関連する標識済み抗体及び組成の異なる製品 (9)

  • 519 Alexa Fluor® 488

    Alexa Fluor® 488 Anti-Cytochrome C antibody [EPR1327]

  • 665 Alexa Fluor® 647

    Alexa Fluor® 647 Anti-Cytochrome C antibody [EPR1327]

  • Carrier free

    Anti-Cytochrome C antibody [EPR1327] - BSA and Azide free

  • HRP

    HRP Anti-Cytochrome C antibody [EPR1327]

  • 578 PE

    PE Anti-Cytochrome C antibody [EPR1327]

  • 660 APC

    APC Anti-Cytochrome C antibody [EPR1327]

  • 565 Alexa Fluor® 555

    Alexa Fluor® 555 Anti-Cytochrome C antibody [EPR1327]

  • 617 Alexa Fluor® 594

    Alexa Fluor® 594 Anti-Cytochrome C antibody [EPR1327]

  • 775 Alexa Fluor® 750

    Alexa Fluor® 750 Anti-Cytochrome C antibody [EPR1327]

Key facts

宿主種

Rabbit

クローン性

Monoclonal

クローン番号

EPR1327

アイソタイプ

IgG

キャリアフリー

No

交差種

Mouse, Rat, Human

アプリケーション

IP, ICC/IF, WB, IHC-P

applications

免疫原

The exact immunogen used to generate this antibody is proprietary information.

Reactivity data

{ "title": "Reactivity Data", "filters": { "stats": ["", "Species", "Dilution Info", "Notes"], "tabs": { "all-applications": {"fullname" : "All Applications", "shortname": "All Applications"}, "IHCP" : {"fullname" : "Immunohistochemistry (Formalin/PFA-fixed paraffin-embedded sections)", "shortname":"IHC-P"}, "IP" : {"fullname" : "Immunoprecipitation", "shortname":"IP"}, "WB" : {"fullname" : "Western blot", "shortname":"WB"}, "ICCIF" : {"fullname" : "Immunocytochemistry/ Immunofluorescence", "shortname":"ICC/IF"} }, "product-promise": { "all": "all", "testedAndGuaranteed": "tested", "guaranteed": "expected", "predicted": "predicted", "notRecommended": "not-recommended" } }, "values": { "Human": { "IHCP-species-checked": "testedAndGuaranteed", "IHCP-species-dilution-info": "1/250 - 1/500", "IHCP-species-notes": "<p></p> Perform heat-mediated antigen retrieval before commencing with IHC staining protocol.", "IP-species-checked": "testedAndGuaranteed", "IP-species-dilution-info": "1/30", "IP-species-notes": "<p></p>", "WB-species-checked": "testedAndGuaranteed", "WB-species-dilution-info": "1/5000", "WB-species-notes": "<p></p>", "ICCIF-species-checked": "testedAndGuaranteed", "ICCIF-species-dilution-info": "1/100", "ICCIF-species-notes": "<p></p>" }, "Mouse": { "IHCP-species-checked": "testedAndGuaranteed", "IHCP-species-dilution-info": "1/250 - 1/500", "IHCP-species-notes": "<p></p> Perform heat-mediated antigen retrieval before commencing with IHC staining protocol.", "IP-species-checked": "guaranteed", "IP-species-dilution-info": "", "IP-species-notes": "", "WB-species-checked": "testedAndGuaranteed", "WB-species-dilution-info": "1/5000", "WB-species-notes": "<p></p>", "ICCIF-species-checked": "guaranteed", "ICCIF-species-dilution-info": "", "ICCIF-species-notes": "" }, "Rat": { "IHCP-species-checked": "testedAndGuaranteed", "IHCP-species-dilution-info": "1/250 - 1/500", "IHCP-species-notes": "<p></p> Perform heat-mediated antigen retrieval before commencing with IHC staining protocol.", "IP-species-checked": "guaranteed", "IP-species-dilution-info": "", "IP-species-notes": "", "WB-species-checked": "testedAndGuaranteed", "WB-species-dilution-info": "1/5000", "WB-species-notes": "<p></p>", "ICCIF-species-checked": "guaranteed", "ICCIF-species-dilution-info": "", "ICCIF-species-notes": "" } } }

製品の詳細

What is this antibody validated in?
Anti-Cytochrome C antibody [EPR1327] (ab133504) is a rabbit recombinant monoclonal antibody and is validated for use in Western Blot (WB), Immunoprecipitation (IP), Immunohistochemistry (IHC-P), Immunocytochemistry/immunofluorescence (ICC/IF) in Human, Mouse, Rat samples.

What is the molecular weight of Cytochrome C?
Anti-Cytochrome C [EPR1327] (ab133504) specifically detects a band for Cytochrome C (UniProt: P99999) at a molecular weight of 11kDa.

Trusted by the scientific community
Anti-Cytochrome C [EPR1327] (ab133504) was first used in a scientific publication in 2012 and has been cited over 230 times in peer-reviewed journals.

Trial sizes available!
Test your antibody or perform pre-screening before committing to a larger quantity. Sold in 10µl. Discover our selection of trial-size antibodies.

Other related products
We have a range of other formats of antibody clone [EPR1327] also available for your convenience: ab133504, Alexa Fluor® 488 - ab192485, Alexa Fluor® 647 - ab192486, HRP - ab193239, Carrier free - ab218312, PE - ab317900, APC - ab317940, Alexa Fluor® 594 - ab318022, Alexa Fluor® 555 - ab318064, Alexa Fluor® 750 - ab321049

Patented technology
Our RabMAb® technology is a patented hybridoma-based technology for making rabbit monoclonal antibodies. For details on our patents, please refer to RabMAb® patents.

What are the advantages of a recombinant monoclonal antibody?
This product is a recombinant monoclonal antibody, which offers several advantages including:

  • - High batch-to-batch consistency and reproducibility
  • - Improved sensitivity and specificity
  • - Long-term security of supply
  • - Animal-free batch production

For more information, read more on recombinant antibodies.

出荷温度及び保存条件

製品の状態
Liquid
精製方法
Affinity purification Protein A
バッファー組成
pH: 7.2 - 7.4 Preservative: 0.01% Sodium azide Constituents: PBS, 40% Glycerol (glycerin, glycerine), 0.05% BSA
出荷温度
Blue Ice
短期保存温度
+4°C
長期保存温度
-20°C
保管に関する情報
Stable for 12 months at -20°C

補足情報

This supplementary information is collated from multiple sources and compiled automatically.

Cytochrome C also referred to as "cytochrome c" or "Cyt C" is a small protein with a molecular weight of approximately 12 kDa. It is a component of the electron transport chain playing an essential mechanical role in cellular respiration. Cytochrome C is expressed in the mitochondria of eukaryotic cells where it functions as a heme protein. The mass of this protein allows efficient electron transfer between Complex III (cytochrome bc1 complex) and Complex IV (cytochrome c oxidase) contributing to ATP synthesis.
Biological function summary

Cytochrome c contributes to the process of oxidative phosphorylation within mitochondria. It is not only an important electron carrier but it also plays a significant role in apoptosis. In the event of cellular stress cytochrome c releases into the cytosol and forms part of the apoptosome complex. This apoptosome activation leads to the caspase cascade driving programmed cell death. Therefore cytochrome C serves as both a mediator of energy production and a regulator of apoptosis.

Pathways

Cytochrome c is integral to the mitochondrial electron transport chain and apoptotic pathways. It interacts with proteins in these pathways such as cytochrome c oxidase in oxidative phosphorylation and Apaf-1 during apoptosis. The electron transport chain's function is dependent on the efficient transfer of electrons facilitated by cytochrome c ensuring ATP production in cellular respiration.

Cytochrome c links to conditions like cancer and neurodegenerative diseases. In cancer its role in the apoptotic pathway often emerges as cancer cells can develop mechanisms to evade apoptosis impacting cytochrome c release. For neurodegenerative diseases disruptions in mitochondrial function and cytochrome c's release can facilitate cell death implicating its role in conditions like Parkinson's disease. The interaction of cytochrome c with proteins such as p53 in response to cellular stress further highlights its involvement in disease pathogenesis.

製品プロトコール

For this product, it's our understanding that no specific protocols are required. You can visit:

ターゲットの情報

Electron carrier protein. The oxidized form of the cytochrome c heme group can accept an electron from the heme group of the cytochrome c1 subunit of cytochrome reductase. Cytochrome c then transfers this electron to the cytochrome oxidase complex, the final protein carrier in the mitochondrial electron-transport chain.. Plays a role in apoptosis. Suppression of the anti-apoptotic members or activation of the pro-apoptotic members of the Bcl-2 family leads to altered mitochondrial membrane permeability resulting in release of cytochrome c into the cytosol. Binding of cytochrome c to Apaf-1 triggers the activation of caspase-9, which then accelerates apoptosis by activating other caspases.
See full target information CYCS

文献 (330)

Recent publications for all applications. Explore the full list and refine your search

International journal of molecular sciences 26: PubMed40943170

2025

NR3C1/GLMN-Mediated FKBP12.6 Ubiquitination Disrupts Calcium Homeostasis and Impairs Mitochondrial Quality Control in Stress-Induced Myocardial Damage.

Applications

Unspecified application

Species

Unspecified reactive species

Jingze Cong,Lihui Liu,Rui Shi,Mengting He,Yuchuan An,Xiaowei Feng,Xiaoyu Yin,Yingmin Li,Bin Cong,Weibo Shi

Journal of cellular and molecular medicine 29:e70799 PubMed40922382

2025

The Role of Endometriosis in Intestinal Inflammation: A Combined Mendelian Randomization and Cellular Study.

Applications

Unspecified application

Species

Unspecified reactive species

Zhigang Li,Fang Wang,Ernv Kang,Xiaoguang Zhen,Jianli Liu,Wenhao Wang

Annals of medicine and surgery (2012) 87:5512-5521 PubMed40901091

2025

Electroacupuncture therapy improves cognitive dysfunction after ischemic stroke in Sprague-Dawley rats by adjusting the lncRNA-MEG3/miR-4640-3p axis.

Applications

Unspecified application

Species

Unspecified reactive species

Yun Zhang,Shiqing Gao,Ling Lin,Yongbing Zheng

Science and technology of advanced materials 26:2504867 PubMed40895183

2025

Photothermal-gas combination therapy promotes checkpoint blockade immunotherapy in colon cancer.

Applications

Unspecified application

Species

Unspecified reactive species

Benchao Zheng,Hongbo Wang,Shiyi Zhai,Jiangsheng Li,Kuangda Lu

Antioxidants (Basel, Switzerland) 14: PubMed40563254

2025

Ferulic Acid Combines with Ascorbic Acid to Target MMP9 to Attenuate Cisplatin-Induced Ototoxicity Through the p38MAPK Signaling Pathway.

Applications

Unspecified application

Species

Unspecified reactive species

Guojun Yang,Na Hu,Jie Gao,Xinzhi Li,Bin Zhang,Ketao Ma

Journal of pharmaceutical analysis 15:101251 PubMed40521370

2025

Impact of FASN-enriched EVs on endothelial cell function in obstructive sleep apnea hypopnea syndrome.

Applications

Unspecified application

Species

Unspecified reactive species

Yuan Tian,Dan Zhang,Huaian Yang,Xiaoli Zhang,Shengqun Xu

Journal of orthopaedic surgery and research 20:566 PubMed40462169

2025

The increase in autophagy induced by naringin alleviates Schwann cell apoptosis mediated by the AMPK/mTOR signalling pathway.

Applications

Unspecified application

Species

Unspecified reactive species

Jianwei Lv,Duo Shan,Haobo Jia,Zengliang Wang

British journal of pharmacology 182:3923-3951 PubMed40344208

2025

A mitochondria-targeting and G-quadruplex structure-binding ligand inducing calcium overload and ferroptosis in human cancer cells.

Applications

Unspecified application

Species

Unspecified reactive species

Bo-Xin Zheng,Wei Long,Yao-Xun Zeng,Meng-Ting She,Yingying Zheng,Wen-De Zheng,Ya-Kun Wang,Ka-Hin Chan,Alan Siu-Lun Leung,Chun-Ming Chan,Yu-Jing Lu,Wing-Leung Wong

Molecular neurobiology 62:10652-10669 PubMed40229456

2025

Remote Ischemic Postconditioning Improve Cerebral Ischemia-Reperfusion Injury Induced Cognitive Dysfunction through Suppressing Mitochondrial Apoptosis in Hippocampus via TK/BK/B2R-Mediated PI3K/AKT.

Applications

Unspecified application

Species

Unspecified reactive species

Haocheng Qin,Lu Su,Bao Zhou,Pengkun Yang,Yu-Lian Zhu,Dan Liang

PloS one 20:e0313803 PubMed40173155

2025

PM2.5 from automobile exhaust induces apoptosis in male rat germ cells via the ROS-UPRmt signaling pathway.

Applications

Unspecified application

Species

Unspecified reactive species

Cao Wang,Yingchi Zhao,Bin Liu,Zhen Luo,Guangxu Zhou,Kaiyi Mao
View all publications

Abcam product promise

当社は、高品質な試薬を通じてお客様の研究を力強くサポートすることをお約束いたします。ご使用いただく各段階で、常にお客様をサポートできる体制を整えております。万が一、製品が期待通りに機能しない場合は、「Abcam Product Promise」による当社保証制度に基づき、安心してご利用いただけます。
保証に関する詳細については利用規約をご確認ください。

Please note: All products are 'FOR RESEARCH USE ONLY. NOT FOR USE IN DIAGNOSTIC OR THERAPEUTIC PROCEDURES'.

For licensing inquiries, please contact partnerships@abcam.com