JavaScript is disabled in your browser. Please enable JavaScript to view this website.
AB214800

Anti-CYP27A1 抗体 [EPR7529] - BSA and Azide free

Anti-CYP27A1 antibody [EPR7529] - BSA and Azide free

Be the first to review this product! Submit a review

|

(2 Publications)

Rabbit Recombinant Monoclonal CYP27A1 antibody. Carrier free. Suitable for IHC-P, WB, ICC/IF, Flow Cyt (Intra) and reacts with Human, Mouse, Rat samples. Cited in 2 publications.

別名を表示する

CYP27, CYP27A1, Cytochrome P-450C27/25, Cytochrome P450 27, Sterol 27-hydroxylase, Vitamin D(3) 25-hydroxylase

7 Images
Immunocytochemistry/ Immunofluorescence - Anti-CYP27A1 antibody [EPR7529] - BSA and Azide free (AB214800)
  • ICC/IF

Unknown

Immunocytochemistry/ Immunofluorescence - Anti-CYP27A1 antibody [EPR7529] - BSA and Azide free (AB214800)

ab126785, at a 1/50 dilution, staining CYP27A1 in HepG2 cells by Immunofluorescence. This data was developed using the same antibody clone in a different buffer formulation containing PBS, BSA, glycerol, and sodium azide (ab126785).

Immunohistochemistry (Formalin/PFA-fixed paraffin-embedded sections) - Anti-CYP27A1 antibody [EPR7529] - BSA and Azide free (AB214800)
  • IHC-P

Unknown

Immunohistochemistry (Formalin/PFA-fixed paraffin-embedded sections) - Anti-CYP27A1 antibody [EPR7529] - BSA and Azide free (AB214800)

ab126785, at a 1/100 dilution, staining CYP27A1 in paraffin embedded Human liver tissue by Immunohistochemistry.

This data was developed using the same antibody clone in a different buffer formulation containing PBS, BSA, glycerol, and sodium azide (ab126785).

Perform heat mediated antigen retrieval with citrate buffer pH 6 before commencing with IHC staining protocol.

Flow Cytometry (Intracellular) - Anti-CYP27A1 antibody [EPR7529] - BSA and Azide free (AB214800)
  • Flow Cyt (Intra)

Unknown

Flow Cytometry (Intracellular) - Anti-CYP27A1 antibody [EPR7529] - BSA and Azide free (AB214800)

Intracellular Flow Cytometry analysis of HepG2 (human hepatocellular carcinoma) cells labeling CYP27A1 (red) with ab126785 at a 1/120 dilution. Cells were fixed with 4% paraformaldehyde and permeabilized with 90% methanol. A goat anti-rabbit IgG (Alexa Fluor® 488) (ab150077) was used as the secondary antibody at a 1/2000 dilution. Black - Rabbit monoclonal IgG (ab172730). Blue (unlabeled control) - Cells without incubation with primary and secondary antibodies.

This data was developed using the same antibody clone in a different buffer formulation containing PBS, BSA, glycerol, and sodium azide (ab126785).

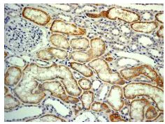
Immunohistochemistry (Formalin/PFA-fixed paraffin-embedded sections) - Anti-CYP27A1 antibody [EPR7529] - BSA and Azide free (AB214800)
  • IHC-P

Unknown

Immunohistochemistry (Formalin/PFA-fixed paraffin-embedded sections) - Anti-CYP27A1 antibody [EPR7529] - BSA and Azide free (AB214800)

ab126785, at a 1/100 dilution, staining CYP27A1 in paraffin embedded Human kidney tissue by Immunohistochemistry.

This data was developed using the same antibody clone in a different buffer formulation containing PBS, BSA, glycerol, and sodium azide (ab126785).

Perform heat mediated antigen retrieval with citrate buffer pH 6 before commencing with IHC staining protocol.

Western blot - Anti-CYP27A1 antibody [EPR7529] - BSA and Azide free (AB214800)
  • WB

Lab

Western blot - Anti-CYP27A1 antibody [EPR7529] - BSA and Azide free (AB214800)

This data was developed using ab126785, the same antibody clone in a different buffer formulation.

Blocking and Diluting buffer and concentration : 5% NFDM/TBST.

All lanes:

Western blot - Anti-CYP27A1 antibody [EPR7529] (<a href='/products/primary-antibodies/cyp27a1-antibody-epr7529-ab126785'>ab126785</a>) at 1/1000 dilution

Lane 1:

Rat heart tissue lysate at 20 µg

Lane 2:

Rat kidney tissue lysate at 20 µg

Lane 3:

Rat spleen tissue lysate at 20 µg

Secondary

All lanes:

Western blot - Goat Anti-Rabbit IgG H&L (HRP) (<a href='/products/secondary-antibodies/goat-rabbit-igg-h-l-hrp-ab97051'>ab97051</a>) at 1/20000 dilution

Predicted band size: 60 kDa

Observed band size: 60 kDa

false

Exposure time: 180s

Western blot - Anti-CYP27A1 antibody [EPR7529] - BSA and Azide free (AB214800)
  • WB

Lab

Western blot - Anti-CYP27A1 antibody [EPR7529] - BSA and Azide free (AB214800)

This data was developed using ab126785, the same antibody clone in a different buffer formulation.

Blocking and Diluting buffer and concentration : 5% NFDM/TBST.

All lanes:

Western blot - Anti-CYP27A1 antibody [EPR7529] (<a href='/products/primary-antibodies/cyp27a1-antibody-epr7529-ab126785'>ab126785</a>) at 1/1000 dilution

Lane 1:

Mouse kidney tissue lysate at 20 µg

Lane 2:

Mouse spleen tissue lysate at 20 µg

Secondary

All lanes:

Western blot - Goat Anti-Rabbit IgG H&L (HRP) (<a href='/products/secondary-antibodies/goat-rabbit-igg-h-l-hrp-ab97051'>ab97051</a>) at 1/20000 dilution

Predicted band size: 60 kDa

Observed band size: 60 kDa

false

Exposure time: 180s

OI-RD Scanning - Anti-CYP27A1 antibody [EPR7529] - BSA and Azide free (AB214800)
  • OI-RD Scanning

Unknown

OI-RD Scanning - Anti-CYP27A1 antibody [EPR7529] - BSA and Azide free (AB214800)

We have systematically measured KD (the equilibrium dissociation constant between the antibody and its antigen), of more than 840 recombinant antibodies to assess not only their individual KD values but also to see the average affinity of antibody. Based on the comparison with published literature values for mouse monoclonal antibodies, Recombinant antibodies appear to be on average 1-2 order of magnitude higher affinity.

関連する標識済み抗体及び組成の異なる製品 (10)

Key facts

宿主種

Rabbit

クローン性

Monoclonal

クローン番号

EPR7529

アイソタイプ

IgG

キャリアフリー

Yes

交差種

Mouse, Rat, Human

アプリケーション

Flow Cyt (Intra), WB, IHC-P, ICC/IF

applications

免疫原

The exact immunogen used to generate this antibody is proprietary information.

Reactivity data

{ "title": "Reactivity Data", "filters": { "stats": ["", "Species", "Dilution Info", "Notes"], "tabs": { "all-applications": {"fullname" : "All Applications", "shortname": "All Applications"}, "IHCP" : {"fullname" : "Immunohistochemistry (Formalin/PFA-fixed paraffin-embedded sections)", "shortname":"IHC-P"}, "WB" : {"fullname" : "Western blot", "shortname":"WB"}, "ICCIF" : {"fullname" : "Immunocytochemistry/ Immunofluorescence", "shortname":"ICC/IF"}, "FlowCytIntra" : {"fullname" : "Flow Cytometry (Intracellular)", "shortname":"Flow Cyt (Intra)"} }, "product-promise": { "all": "all", "testedAndGuaranteed": "tested", "guaranteed": "expected", "predicted": "predicted", "notRecommended": "not-recommended" } }, "values": { "Human": { "IHCP-species-checked": "testedAndGuaranteed", "IHCP-species-dilution-info": "", "IHCP-species-notes": "<p></p>", "WB-species-checked": "testedAndGuaranteed", "WB-species-dilution-info": "", "WB-species-notes": "<p></p>", "ICCIF-species-checked": "testedAndGuaranteed", "ICCIF-species-dilution-info": "", "ICCIF-species-notes": "<p></p>", "FlowCytIntra-species-checked": "testedAndGuaranteed", "FlowCytIntra-species-dilution-info": "", "FlowCytIntra-species-notes": "<p></p>" }, "Mouse": { "IHCP-species-checked": "guaranteed", "IHCP-species-dilution-info": "", "IHCP-species-notes": "", "WB-species-checked": "testedAndGuaranteed", "WB-species-dilution-info": "", "WB-species-notes": "<p></p>", "ICCIF-species-checked": "guaranteed", "ICCIF-species-dilution-info": "", "ICCIF-species-notes": "", "FlowCytIntra-species-checked": "guaranteed", "FlowCytIntra-species-dilution-info": "", "FlowCytIntra-species-notes": "" }, "Rat": { "IHCP-species-checked": "guaranteed", "IHCP-species-dilution-info": "", "IHCP-species-notes": "", "WB-species-checked": "testedAndGuaranteed", "WB-species-dilution-info": "", "WB-species-notes": "<p></p>", "ICCIF-species-checked": "guaranteed", "ICCIF-species-dilution-info": "", "ICCIF-species-notes": "", "FlowCytIntra-species-checked": "guaranteed", "FlowCytIntra-species-dilution-info": "", "FlowCytIntra-species-notes": "" } } }

製品の詳細

ab214800 is the carrier-free version of ab126785.

Patented technology
Our RabMAb® technology is a patented hybridoma-based technology for making rabbit monoclonal antibodies. For details on our patents, please refer to RabMAb® patents.

What are the advantages of a recombinant monoclonal antibody?
This product is a recombinant monoclonal antibody, which offers several advantages including:

  • - High batch-to-batch consistency and reproducibility
  • - Improved sensitivity and specificity
  • - Long-term security of supply
  • - Animal-free batch production

For more information, read more on recombinant antibodies.

Conjugation ready
Our carrier-free antibodies are typically supplied in a PBS-only formulation, purified and free of BSA, sodium azide and glycerol. This conjugation-ready format is designed for use with fluorochromes, metal isotopes, oligonucleotides, and enzymes, which makes them ideal for antibody labelling, functional and cell-based assays, flow-based assays (e.g. mass cytometry) and Multiplex Imaging applications.

Use our conjugation kits for antibody conjugates that are ready-to-use in as little as 20 minutes with 1 minute hands-on-time and 100% antibody recovery: available for fluorescent dyes, HRP, biotin and gold.

Compatibility
This product is compatible with the Maxpar® Antibody Labeling Kit from Fluidigm, without the need for antibody preparation. Maxpar® is a trademark of Fluidigm Canada Inc.

出荷温度及び保存条件

製品の状態
Liquid
精製方法
Affinity purification Protein A
バッファー組成
pH: 7.2 - 7.4 Constituents: PBS
出荷温度
Blue Ice
短期保存温度
+4°C
長期保存温度
+4°C
保管に関する情報
Do Not Freeze

補足情報

This supplementary information is collated from multiple sources and compiled automatically.

CYP27A1 also known as sterol 27-hydroxylase is a member of the cytochrome P450 superfamily. It functions as a mitochondrial enzyme with a mass of approximately 59 kDa localized in the liver and various other tissues. CYP27A1 hydroxylates its substrates playing an important role in cholesterol metabolism. This process involves the conversion of cholesterol to bile acids an essential step in enabling the excretion of cholesterol from the body. High expression levels of CYP27A1 can be observed in hepatic tissue reflecting its central role in lipid metabolism.
Biological function summary

CYP27A1 participates in cholesterol catabolism. While it does not form large protein complexes it interacts with other enzymes in metabolic pathways. This enzyme initiates the acidic pathway of bile acid synthesis by converting cholesterol into 27-hydroxycholesterol. These transformations are important for maintaining cholesterol homeostasis and for producing bile acids that aid in fat digestion and nutrient absorption.

Pathways

CYP27A1 is central to the bile acid biosynthesis and cholesterol metabolism pathways. It collaborates with other enzymes such as CYP7A1 which is known for initiating the classic pathway of bile acid synthesis. Together they regulate cholesterol levels by metabolizing cholesterol into bile acids. Such pathways are critical in preventing cholesterol accumulation which could lead to various metabolic disorders.

Impairment of CYP27A1 function links to cerebrotendinous xanthomatosis (CTX) marked by the accumulation of cholestanol in tissues leading to neurological dysfunction. Mutations in the CYP27A1 gene disrupt cholesterol metabolism resulting in the accumulation of cholesterol derivatives. Furthermore there is a connection to cardiovascular disease due to the role of CYP27A1 in maintaining cholesterol balance linked with proteins like ApoE impacting lipid transport.

製品プロトコール

For this product, it's our understanding that no specific protocols are required. You can visit:

ターゲットの情報

Cytochrome P450 monooxygenase that catalyzes regio- and stereospecific hydroxylation of cholesterol and its derivatives. Hydroxylates (with R stereochemistry) the terminal methyl group of cholesterol side-chain in a three step reaction to yield at first a C26 alcohol, then a C26 aldehyde and finally a C26 acid (PubMed : 12077124, PubMed : 21411718, PubMed : 28190002, PubMed : 9660774). Regulates cholesterol homeostasis by catalyzing the conversion of excess cholesterol to bile acids via both the 'neutral' (classic) and the 'acid' (alternative) pathways (PubMed : 11412116, PubMed : 1708392, PubMed : 2019602, PubMed : 7915755, PubMed : 9186905, PubMed : 9660774, PubMed : 9790667). May also regulate cholesterol homeostasis via generation of active oxysterols, which act as ligands for NR1H2 and NR1H3 nuclear receptors, modulating the transcription of genes involved in lipid metabolism (PubMed : 12077124, PubMed : 9660774). Plays a role in cholestanol metabolism in the cerebellum. Similarly to cholesterol, hydroxylates cholestanol and may facilitate sterol diffusion through the blood-brain barrier to the systemic circulation for further degradation (PubMed : 28190002). Also hydroxylates retinal 7-ketocholesterol, a noxious oxysterol with pro-inflammatory and pro-apoptotic effects, and may play a role in its elimination from the retinal pigment epithelium (PubMed : 21411718). May play a redundant role in vitamin D biosynthesis. Catalyzes 25-hydroxylation of vitamin D3 that is required for its conversion to a functionally active form (PubMed : 15465040).
See full target information CYP27A1

文献 (2)

Recent publications for all applications. Explore the full list and refine your search

Biochimica et biophysica acta 1842:1372-82 PubMed25014273

2014

Intracellular cholesterol transporters and modulation of hepatic lipid metabolism: Implications for diabetic dyslipidaemia and steatosis.

Applications

Unspecified application

Species

Unspecified reactive species

Ugo Soffientini,Anna-Maria Caridis,Sharron Dolan,Annette Graham

Toxicological sciences : an official journal of the Society of Toxicology 130:257-68 PubMed22903823

2012

Repression of hepatobiliary transporters and differential regulation of classic and alternative bile acid pathways in mice during pregnancy.

Applications

WB

Species

Mouse

Lauren M Aleksunes,Ronnie L Yeager,Xia Wen,Julia Yue Cui,Curtis D Klaassen
View all publications

Abcam product promise

当社は、高品質な試薬を通じてお客様の研究を力強くサポートすることをお約束いたします。ご使用いただく各段階で、常にお客様をサポートできる体制を整えております。万が一、製品が期待通りに機能しない場合は、「Abcam Product Promise」による当社保証制度に基づき、安心してご利用いただけます。
保証に関する詳細については利用規約をご確認ください。

Please note: All products are 'FOR RESEARCH USE ONLY. NOT FOR USE IN DIAGNOSTIC OR THERAPEUTIC PROCEDURES'.

For licensing inquiries, please contact partnerships@abcam.com