JavaScript is disabled in your browser. Please enable JavaScript to view this website.
AB16663

Anti-Cyclin D1 抗体 [SP4]

Anti-Cyclin D1 antibody [SP4]

  • BOND RX™ Validated
  • RabMAb
  • Recombinant
  • KO Validated
  • Lab Essentials
  • 詳細を見る

4

(23 Reviews)

|

(764 Publications)

Anti-Cyclin D1 antibody [SP4] (ab16663) is a rabbit monoclonal antibody detecting Cyclin D1 in Western Blot, Flow Cytometry (Intra), Flow Cytometry, IHC-P, ICC/IF. Suitable for Human, Mouse, Rat.

- KO validated for confirmed specificity
- Biophysical QC for unrivalled batch-batch consistency
- Over 550 publications
- Trusted since 2005

別名を表示する

BCL1, PRAD1, CCND1, G1/S-specific cyclin-D1, B-cell lymphoma 1 protein, BCL-1 oncogene, PRAD1 oncogene, BCL-1

21 Images
Western blot - Anti-Cyclin D1 antibody [SP4] (AB16663)
  • WB

Supplier Data

Western blot - Anti-Cyclin D1 antibody [SP4] (AB16663)

False colour image of Western blot : Anti-Cyclin D1 antibody [SP4] staining at 1/25 dilution, shown in green; Mouse anti-Alpha Tubulin [DM1A] (ab7291) loading control staining at 1/20000 dilution, shown in red. In Western blot, ab16663 was shown to bind specifically to Cyclin D1. A band was observed at 35 kDa in wild-type A549 cell lysates with no signal observed at this size in ccnd1 knockout cell line ab286759 (knockout cell lysate ab300213). To generate this image, wild-type and ccnd1 knockout A549 cell lysates were analysed. First, samples were run on an SDS-PAGE gel then transferred onto a nitrocellulose membrane. Membranes were blocked in 3 % milk in TBS-0.1 % Tween® 20 (TBS-T) before incubation with primary antibodies overnight at 4 °C. Blots were washed four times in TBS-T, incubated with secondary antibodies for 1 h at room temperature, washed again four times then imaged. Secondary antibodies used were Goat anti-Rabbit IgG H&L 800CW and Goat anti-Mouse IgG H&L 680RD at 1/20000 dilution.

All lanes:

Western blot - Anti-Cyclin D1 antibody [SP4] (ab16663) at 1/25 dilution

Lane 1:

Wild-type A549 cell lysate at 20 µg

Lane 2:

Western blot - Human CCND1 knockout A549 cell lysate (ab300213) at 20 µg

Lane 3:

SH-SY5Y cell lysate at 20 µg

Lane 4:

K562 cell lysate at 20 µg

Secondary

All lanes:

Goat anti-Rabbit IgG H&L 800CW and Goat anti-Mouse IgG H&L 680RD at 1/20000 dilution

Predicted band size: 34 kDa

Observed band size: 35 kDa

false

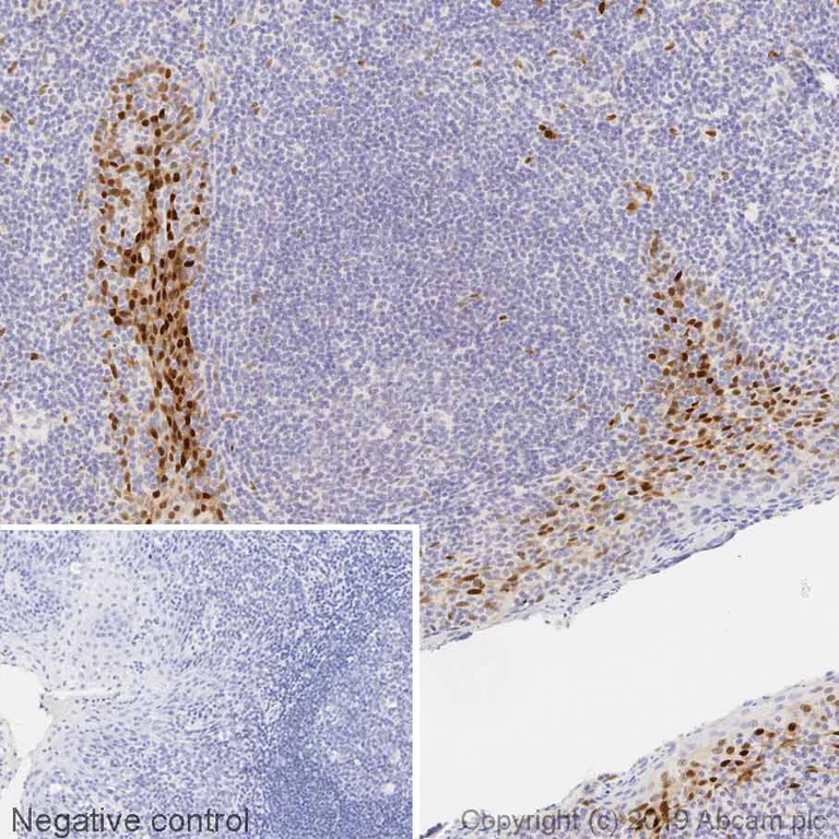
Immunohistochemistry - Anti-Cyclin D1 antibody [SP4] (AB16663)
  • IHC

Lab

Immunohistochemistry - Anti-Cyclin D1 antibody [SP4] (AB16663)

Immunohistochemical analysis of formalin fixed paraffin embedded human tonsil labelling CyclinD1 with ab16663 at a dilution of 1/200.

The immunostaining was performed on a Ventana DISCOVERY ULTRA (Roche Tissue Diagnostics) instrument with an OptiView DAB IHC Detection Kit. Heat mediated antigen retrieval was conducted for 32min with DISCOVERY cell conditioning solution (CC1) 100°C, pH8.5. ab16663 CyclinD1 was incubated at 37°C for 16min.

Sections were counterstained is with Hematoxylin II. Image inset shows absence of staining in secondary antibody only control.

Customers are encouraged to optimise antigen retrieval conditions, antibody concentration, incubation times and temperature for best results in their own IHC assay workflow (automated and manual)

Immunocytochemistry/ Immunofluorescence - Anti-Cyclin D1 antibody [SP4] (AB16663)
  • ICC/IF

Lab

Immunocytochemistry/ Immunofluorescence - Anti-Cyclin D1 antibody [SP4] (AB16663)

ab16663 staining Cyclin D1 in MCF7 cells. The cells were fixed with 4% formaldehyde (10 min), permeabilized in 0.1% Triton X-100 for 5 minutes and then blocked in 1% BSA/10% normal goat serum/0.3M glycine in 0.1% PBS-Tween for 1h. The cells were then incubated with ab16663 at a working dilution of 1/250 and ab195889, Mouse monoclonal [DM1A] to alpha Tubulin (Alexa Fluor® 594, shown in red) at 1/250 overnight at +4°C, followed by a further incubation at room temperature for 1h with an anti-rabbit AlexaFluor® 488 (ab150081) at 2 μg/ml (shown in green). Nuclear DNA was labelled in blue with DAPI.
Image was taken with a confocal microscope (Leica-Microsystems, TCS SP8).

This image was generated from the hybridoma version.

Flow Cytometry (Intracellular) - Anti-Cyclin D1 antibody [SP4] (AB16663)
  • Flow Cyt (Intra)

Unknown

Flow Cytometry (Intracellular) - Anti-Cyclin D1 antibody [SP4] (AB16663)

Intracellular flow cytometry analysis of MCF-7 (human breast carcinoma) labeling Cyclin D1 with purified ab16663 at 1/30 dilution (9.03 μg/ml) (red). Cells were fixed with 4% paraformaldehyde and permeabilised with 90% methanol. Goat anti rabbit IgG (Alexa Fluor® 488, ab150077) at 1/2000 dilution was used as a secondary antibody. Isotype control - Rabbit monoclonal IgG (ab172730) (Black). Unlableled control - Unlabelled cells (blue). This image was generated from the hybridoma version.

Immunocytochemistry/ Immunofluorescence - Anti-Cyclin D1 antibody [SP4] (AB16663)
  • ICC/IF

Lab

Immunocytochemistry/ Immunofluorescence - Anti-Cyclin D1 antibody [SP4] (AB16663)

ab16663 staining Cyclin D1 in wild-type HAP1 cells (top panel) and CCND1 knockout HAP1 cells (bottom panel). The cells were fixed with 100% methanol (5min), permeabilized with 0.1% Triton X-100 for 5 minutes and then blocked with 1% BSA/10% normal goat serum/0.3M glycine in 0.1% PBS-Tween for 1h. The cells were then incubated with ab16663 at 1/250 dilution and ab195889 at 1/250 dilution (shown in pseudocolour red) overnight at +4°C, followed by a further incubation at room temperature for 1h with a goat secondary antibody to Rabbit IgG (Alexa Fluor® 488) (ab150081) at 2 μg/ml (shown in green). Nuclear DNA was labelled in blue with DAPI.

Image was taken with a confocal microscope (Leica-Microsystems, TCS SP8).

This image was generated from the hybridoma version.

Immunohistochemistry (Formalin/PFA-fixed paraffin-embedded sections) - Anti-Cyclin D1 antibody [SP4] (AB16663)
  • IHC-P

Lab

Immunohistochemistry (Formalin/PFA-fixed paraffin-embedded sections) - Anti-Cyclin D1 antibody [SP4] (AB16663)

IHC image of ab16663 staining Cyclin D1 in a section of formalin-fixed paraffin-embedded normal human tonsil* performed on a Leica BONDTM system using the standard protocol F. The section was pre-treated using heat mediated antigen retrieval with sodium citrate buffer (pH6, epitope retrieval solution 1) for 20mins. The section was then incubated with ab16663, 1/100 dilution, for 15 mins at room temperature and detected using an HRP conjugated compact polymer system. DAB was used as the chromogen. The section was then counterstained with haematoxylin and mounted with DPX. The inset secondary-only control image is taken from an identical assay without primary antibody.

For other IHC staining systems (automated and non-automated) customers should optimize variable parameters such as antigen retrieval conditions, primary antibody concentration and antibody incubation times.

*Tissue obtained from the Human Research Tissue Bank, supported by the NIHR Cambridge Biomedical Research Centre

This image was generated from the hybridoma version.

Immunohistochemistry (Formalin/PFA-fixed paraffin-embedded sections) - Anti-Cyclin D1 antibody [SP4] (AB16663)
  • IHC-P

AbReview19448****

Immunohistochemistry (Formalin/PFA-fixed paraffin-embedded sections) - Anti-Cyclin D1 antibody [SP4] (AB16663)

ab16663 staining Cyclin D1 in Human urinary tract tissue sections by Immunohistochemistry (IHC-P - formaldehyde-fixed, paraffin-embedded sections). Tissue was fixed with formaldehyde and blocked with 10% BSA for 30 minutes at room temperature; antigen retrieval was by heat mediation in citrate buffer. Samples were incubated with primary antibody (1/100 in PBS) for 1 hour. An undiluted HRP-conjugated Goat anti-rabbit IgG polyclonal was used as the secondary antibody.

This image was generated from the hybridoma version.

This image is courtesy of an Abreview submitted by Karin Birkenkamp-Demtroeder

Immunocytochemistry/ Immunofluorescence - Anti-Cyclin D1 antibody [SP4] (AB16663)
  • ICC/IF

Unknown

Immunocytochemistry/ Immunofluorescence - Anti-Cyclin D1 antibody [SP4] (AB16663)

Immunocytochemistry/ Immunofluorescence analysis of C6 (rat glial tumor glial cell) cells labeling Cyclin D1 with purified ab16663 at 1/50 (5.42μg/ml). Cells were fixed in 4% paraformaldehyde and permeabilized with 0.1% Triton X-100. Cells were counterstained with ab195889 Anti-alpha Tubulin antibody [DM1A] - Microtubule Marker (Alexa Fluor® 594) 1/200 (2.5 μg/ml). Goat anti rabbit IgG (Alexa Fluor® 488, ab150077) was used as the secondary antibody at 1/1000 (2 μg/ml) dilution. DAPI was used as nuclear counterstain. PBS instead of the primary antibody was used as the secondary antibody only control.

This image was generated from the hybridoma version.

Flow Cytometry (Intracellular) - Anti-Cyclin D1 antibody [SP4] (AB16663)
  • Flow Cyt (Intra)

Unknown

Flow Cytometry (Intracellular) - Anti-Cyclin D1 antibody [SP4] (AB16663)

Intracellular flow cytometry analysis of NIH/3T3 (mouse embryo) labeling Cyclin D1 with purified ab16663 at 1/30 dilution (9.03 μg/ml) (red). Cells were fixed with 4% paraformaldehyde and permeabilised with 90% methanol. Goat anti rabbit IgG (Alexa Fluor® 488, ab150077) at 1/2000 dilution was used as a secondary antibody. Isotype control - Rabbit monoclonal IgG (ab172730) (Black). Unlableled control - Unlabelled cells (blue). This image was generated from the hybridoma version.

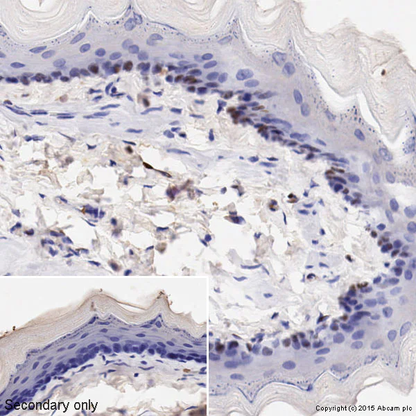
Immunohistochemistry (Formalin/PFA-fixed paraffin-embedded sections) - Anti-Cyclin D1 antibody [SP4] (AB16663)
  • IHC-P

Lab

Immunohistochemistry (Formalin/PFA-fixed paraffin-embedded sections) - Anti-Cyclin D1 antibody [SP4] (AB16663)

IHC image of ab16663 staining Cyclin D1 in rat esophagus formalin fixed paraffin embedded tissue sections, performed on a Leica Bond. The section was pre-treated using heat mediated antigen retrieval with sodium citrate buffer (pH6, epitope retrieval solution 1) for 20 mins. The section was then incubated with ab16663, 1 : 100 dilution, for 15 mins at room temperature and detected using an HRP conjugated compact polymer system. DAB was used as the chromogen. The section was then counterstained with haematoxylin and mounted with DPX. No primary antibody was used in the secondary only control (shown on the inset).
For other IHC staining systems (automated and non-automated) customers should optimize variable parameters such as antigen retrieval conditions, primary antibody concentration and antibody incubation times.

This image was generated from the hybridoma version.

Immunocytochemistry/ Immunofluorescence - Anti-Cyclin D1 antibody [SP4] (AB16663)
  • ICC/IF

Unknown

Immunocytochemistry/ Immunofluorescence - Anti-Cyclin D1 antibody [SP4] (AB16663)

Immunocytochemistry/ Immunofluorescence analysis of Neuro-2a (mouse neuroblastoma neuroblast) cells labeling Cyclin D1μ with purified ab16663 at 1/50 (5.42μg/ml). Cells were fixed in 4% paraformaldehyde and permeabilized with 0.1% Triton X-100. Cells were counterstained with ab195889 Anti-alpha Tubulin antibody [DM1A] - Microtubule Marker (Alexa Fluor® 594) 1/200 (2.5 μg/ml). Goat anti rabbit IgG (Alexa Fluor® 488, ab150077) was used as the secondary antibody at 1/1000 (2 μg/ml) dilution. DAPI was used as nuclear counterstain. PBS instead of the primary antibody was used as the secondary antibody only control.

This image was generated from the hybridoma version.

Flow Cytometry (Intracellular) - Anti-Cyclin D1 antibody [SP4] (AB16663)
  • Flow Cyt (Intra)

Unknown

Flow Cytometry (Intracellular) - Anti-Cyclin D1 antibody [SP4] (AB16663)

Intracellular flow cytometry analysis of C6 (rat glioma) labeling Cyclin D1 with purified ab16663 at 1/30 dilution (9.03 μg/ml) (red). Cells were fixed with 4% paraformaldehyde and permeabilised with 90% methanol. Goat anti rabbit IgG (Alexa Fluor® 488, ab150077) at 1/2000 dilution was used as a secondary antibody. Isotype control - Rabbit monoclonal IgG (ab172730) (Black). Unlableled control - Unlabelled cells (blue). This image was generated from the hybridoma version.

Immunohistochemistry (Formalin/PFA-fixed paraffin-embedded sections) - Anti-Cyclin D1 antibody [SP4] (AB16663)
  • IHC-P

PubMed

Immunohistochemistry (Formalin/PFA-fixed paraffin-embedded sections) - Anti-Cyclin D1 antibody [SP4] (AB16663)

Immunohistochemical analysis of mouse testis tissue, staining Cyclin D1 with ab16663.

Antigen retrieval was performed via Tris-EDTA buffer. Sections were blocked with 3% BSA and incubated with primary antibody (1/50) overnight at 4°C. An AlexaFluor®594-conjugated secondary antibody was used to detect staining.

This image was generated from the hybridoma version.

Image from McIver SC et al., PLoS One. 2012;7(4):e35553. Epub 2012 Apr 20. Fig 7.; doi:10.1371/journal.pone.0035553; April 20, 2012, PLoS ONE 7(4): e35553.

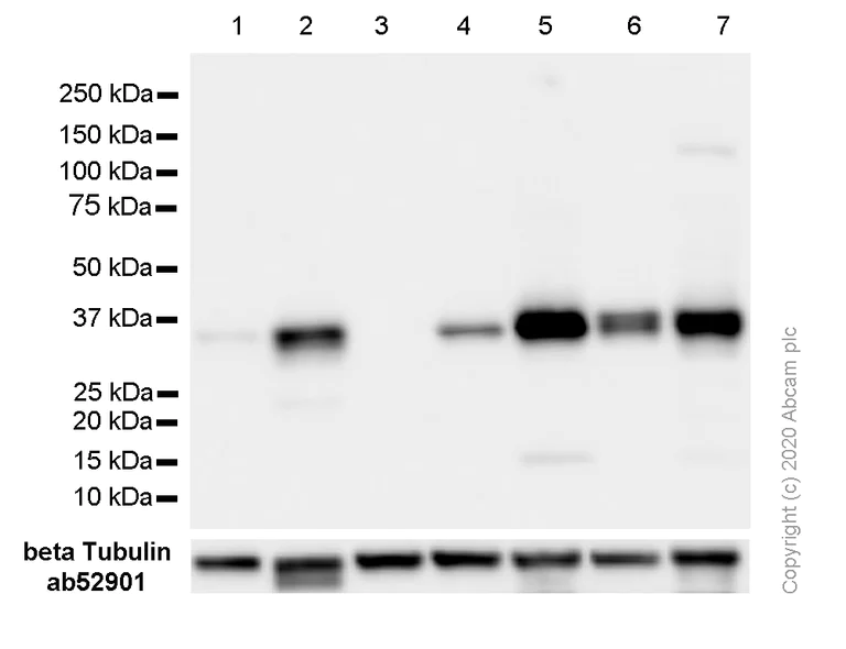
Western blot - Anti-Cyclin D1 antibody [SP4] (AB16663)
  • WB

Unknown

Western blot - Anti-Cyclin D1 antibody [SP4] (AB16663)

All lanes:

Western blot - Anti-Cyclin D1 antibody [SP4] (ab16663) at 1/1000 dilution

Lane 1:

HeLa (Human cervix adenocarcinoma epithelial cell) cell lysate at 10 µg

Lane 2:

MCF7 (Human breast adenocarcinoma epithelial cell) cell lysate at 10 µg

Lane 3:

CCND1 KO HAP1 cell lysate at 10 µg

Lane 4:

HAP1 (Human chronic myelogenous leukemia near-haploid cell line) cell lysate at 10 µg

Lane 5:

Neuro-2a (Mouse neuroblastoma neuroblast) cell lysate at 10 µg

Lane 6:

NIH/3T3 (Mouse embryonic fibroblast) cell lysate at 10 µg

Lane 7:

C6 (Rat glial tumor glial cell) cell lysate at 10 µg

Secondary

All lanes:

Western blot - Goat Anti-Rabbit IgG H&L (HRP) (<a href='/products/secondary-antibodies/goat-rabbit-igg-h-l-hrp-ab97051'>ab97051</a>) at 1/20000 dilution

Predicted band size: 34 kDa

Observed band size: 33 kDa

false

Exposure time: 2s

Western blot - Anti-Cyclin D1 antibody [SP4] (AB16663)
  • WB

AbReview18674****

Western blot - Anti-Cyclin D1 antibody [SP4] (AB16663)

Gel run under denaturing conditions 4-12% gradient.

This image was generated from the hybridoma version.

Lane 1:

Western blot - Anti-Cyclin D1 antibody [SP4] (ab16663) at 1/200 dilution

Lane 2:

Western blot - Anti-Cyclin D1 antibody [SP4] (ab16663) at 1/400 dilution

All lanes:

Whole cell lysate prepared from T24 bladder cancer cells at 25 µg

Secondary

All lanes:

Goat anti-rabbit IgG conjugated to HRP at 1/5000 dilution

Predicted band size: 34 kDa

Observed band size: 33 kDa

true

Exposure time: 10min

Image kindly supplied by Dr Karin Birkenkamp-Demtroeder through Abreview

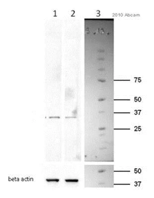
Western blot - Anti-Cyclin D1 antibody [SP4] (AB16663)
  • WB

Unknown

Western blot - Anti-Cyclin D1 antibody [SP4] (AB16663)

This image was generated from the hybridoma version.

All lanes:

Western blot - Anti-Cyclin D1 antibody [SP4] (ab16663) at 1/25 dilution

All lanes:

MCF7 cell lysate

Predicted band size: 34 kDa

Observed band size: 36 kDa

false

Western blot - Anti-Cyclin D1 antibody [SP4] (AB16663)
  • WB

Lab

Western blot - Anti-Cyclin D1 antibody [SP4] (AB16663)

Lanes 1- 2 : Merged signal (red and green). Green - ab16663 observed at 36 kDa. Red - Anti-Vinculin antibody [VIN-54] observed at 124 kDa.

ab16663 was shown to react with CCND1 in wild-type HeLa cells in western blot. Loss of signal was observed when knockout cell line ab255348 (knockout cell lysate ab263808) was used. Wild-type HeLa and CCND1 knockout HeLa cell lysates were subjected to SDS-PAGE. Membrane was blocked for 1 hour at room temperature in 0.1% TBST with 3% non-fat dried milk. ab16663 and Anti-Vinculin antibody [VIN-54] overnight at 4°C at a 1 in 200 dilution and a 1 in 20000 dilution respectively. Blots were developed with Goat anti-Rabbit IgG H&L (IRDye®800CW) preadsorbed (ab216773) and Goat anti-Mouse IgG H&L (IRDye®680RD) preadsorbed (ab216776) secondary antibodies at 1 in 20000 dilution for 1 hour at room temperature before imaging.

All lanes:

Western blot - Anti-Cyclin D1 antibody [SP4] (ab16663) at 1/200 dilution

Lane 1:

Wild-type HeLa cell lysate at 20 µg

Lane 2:

CCND1 knockout HeLa cell lysate at 20 µg

Lane 2:

Western blot - Human CCND1 (Cyclin D1) knockout HeLa cell line (<a href='/products/cell-lines/human-ccnd1-cyclin-d1-knockout-hela-cell-line-ab255348'>ab255348</a>)

Predicted band size: 34 kDa

Observed band size: 36 kDa

false

Western blot - Anti-Cyclin D1 antibody [SP4] (AB16663)
  • WB

Lab

Western blot - Anti-Cyclin D1 antibody [SP4] (AB16663)

Lanes 1- 2 : Merged signal (red and green). Green - ab16663 observed at 36 kDa. Red - Anti-alpha Tubulin antibody [DM1A] - Loading Control (ab7291) observed at 50 kDa.

ab16663 was shown to react with Cyclin D1 in wild-type HeLa cells in western blot. Loss of signal was observed when knockout cell line ab261760 (knockout cell lysate ab256864) was used. Wild-type HeLa and CCND1 knockout HeLa cell lysates were subjected to SDS-PAGE. Membrane was blocked for 1 hour at room temperature in 0.1% TBST with 3% non-fat dried milk. ab16663 and Anti-alpha Tubulin antibody [DM1A] - Loading Control (ab7291) overnight at 4°C at a 1 in 200 dilution and a 1 in 20000 dilution respectively. Blots were developed with Goat anti-Rabbit IgG H&L (IRDye®800CW) preadsorbed (ab216773) and Goat anti-Mouse IgG H&L (IRDye®680RD) preadsorbed (ab216776) secondary antibodies at 1 in 20000 dilution for 1 hour at room temperature before imaging.

All lanes:

Western blot - Anti-Cyclin D1 antibody [SP4] (ab16663) at 1/200 dilution

Lane 1:

Wild-type HeLa cell lysate at 20 µg

Lane 2:

CCND1 knockout HeLa cell lysate at 20 µg

Lane 2:

Western blot - Human CCND1 (Cyclin D1) knockout HeLa cell line (<a href='/products/cell-lines/human-ccnd1-cyclin-d1-knockout-hela-cell-line-ab261760'>ab261760</a>)

Predicted band size: 34 kDa

Observed band size: 36 kDa

false

Western blot - Anti-Cyclin D1 antibody [SP4] (AB16663)
  • WB

Lab

Western blot - Anti-Cyclin D1 antibody [SP4] (AB16663)

Lanes 1 - 3 : Merged signal (red and green). Green - ab16663 observed at 34 kDa. Red - loading control, ab18058, observed at 130 kDa.

ab16663 was shown to specifically recognize CCND1 (Cyclin D1) in wild-type HAP1 cells as signal was lost at the expected MW in CCND1 (Cyclin D1) knockout cells. Wild-type and CCND1 (Cyclin D1) knockout samples were subjected to SDS-PAGE. ab16663 and ab18058 (Mouse anti Vinculin loading control) were incubated overnight at 4°C at 1/200 dilution and 1/20,000 dilution respectively. Blots were developed with Goat anti-Rabbit IgG H&L (IRDye® 800CW) preabsorbed (ab216773) and Goat anti-Mouse IgG H&L (IRDye® 680RD) preabsorbed (ab216776) secondary antibodies at 1/20,000 dilution for 1 hour at room temperature before imaging.

This image was generated from the hybridoma version.

All lanes:

Western blot - Anti-Cyclin D1 antibody [SP4] (ab16663)

Lane 1:

Wild-type HAP1 whole cell lysate at 20 µg

Lane 2:

CCND1 (Cyclin D1) knockout HAP1 whole cell lysate at 20 µg

Lane 3:

A431 whole cell lysate at 20 µg

Predicted band size: 34 kDa

false

Western blot - Anti-Cyclin D1 antibody [SP4] (AB16663)
  • WB

Supplier Data

Western blot - Anti-Cyclin D1 antibody [SP4] (AB16663)

All lanes:

Western blot - Anti-Cyclin D1 antibody [SP4] (ab16663) at 1/5000 dilution

All lanes:

MCF-7 cell lysate

Predicted band size: 34 kDa

false

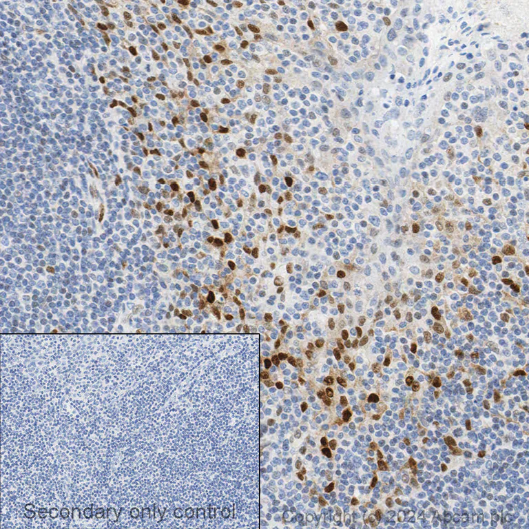
Immunohistochemistry (Formalin/PFA-fixed paraffin-embedded sections) - Anti-Cyclin D1 antibody [SP4] (AB16663)
  • IHC-P

Unknown

Immunohistochemistry (Formalin/PFA-fixed paraffin-embedded sections) - Anti-Cyclin D1 antibody [SP4] (AB16663)

Human mantle cell lymphoma stained with ab16663.

This image was generated from the hybridoma version.

関連する標識済み抗体及び組成の異なる製品 (2)

Key facts

宿主種

Rabbit

クローン性

Monoclonal

クローン番号

SP4

アイソタイプ

IgG

キャリアフリー

No

交差種

Mouse, Rat, Human

アプリケーション

WB, Flow Cyt (Intra), ICC/IF, IHC-P

applications

免疫原

The exact immunogen used to generate this antibody is proprietary information.

エピトープ

C-terminus

Reactivity data

{ "title": "Reactivity Data", "filters": { "stats": ["", "Species", "Dilution Info", "Notes"], "tabs": { "all-applications": {"fullname" : "All Applications", "shortname": "All Applications"}, "IHCP" : {"fullname" : "Immunohistochemistry (Formalin/PFA-fixed paraffin-embedded sections)", "shortname":"IHC-P"}, "WB" : {"fullname" : "Western blot", "shortname":"WB"}, "ICCIF" : {"fullname" : "Immunocytochemistry/ Immunofluorescence", "shortname":"ICC/IF"}, "FlowCytIntra" : {"fullname" : "Flow Cytometry (Intracellular)", "shortname":"Flow Cyt (Intra)"} }, "product-promise": { "all": "all", "testedAndGuaranteed": "tested", "guaranteed": "expected", "predicted": "predicted", "notRecommended": "not-recommended" } }, "values": { "Human": { "IHCP-species-checked": "testedAndGuaranteed", "IHCP-species-dilution-info": "1/100", "IHCP-species-notes": "<p>Deparaffinization: Deparaffinize slides using xylene or xylene alternative and graded alcohols.</p><p>Antigen Retrieval: Boil tissue section in 10mM citrate buffer, pH 6.0 for 10 min followed by cooling at room temperature for 20 min.</p><p>Primary Antibody Incubation: Incubate for 30 minutes at room temperature.</p><p>Slide Washing: Slides must be washed in between steps. Rinse slides with PBS/0.05% Tween.</p> Perform heat-mediated antigen retrieval with citrate buffer pH 6 before commencing with IHC staining protocol.", "WB-species-checked": "testedAndGuaranteed", "WB-species-dilution-info": "1/25 - 1/200", "WB-species-notes": "<p></p>", "ICCIF-species-checked": "testedAndGuaranteed", "ICCIF-species-dilution-info": "1/50 - 1/250", "ICCIF-species-notes": "<p></p>", "FlowCytIntra-species-checked": "testedAndGuaranteed", "FlowCytIntra-species-dilution-info": "1/30", "FlowCytIntra-species-notes": "<p></p>" }, "Mouse": { "IHCP-species-checked": "guaranteed", "IHCP-species-dilution-info": "", "IHCP-species-notes": "", "WB-species-checked": "testedAndGuaranteed", "WB-species-dilution-info": "1/25 - 1/200", "WB-species-notes": "<p></p>", "ICCIF-species-checked": "testedAndGuaranteed", "ICCIF-species-dilution-info": "1/50 - 1/250", "ICCIF-species-notes": "<p></p>", "FlowCytIntra-species-checked": "testedAndGuaranteed", "FlowCytIntra-species-dilution-info": "1/30", "FlowCytIntra-species-notes": "<p></p>" }, "Rat": { "IHCP-species-checked": "testedAndGuaranteed", "IHCP-species-dilution-info": "1/100", "IHCP-species-notes": "<p>Deparaffinization: Deparaffinize slides using xylene or xylene alternative and graded alcohols.</p><p>Antigen Retrieval: Boil tissue section in 10mM citrate buffer, pH 6.0 for 10 min followed by cooling at room temperature for 20 min.</p><p>Primary Antibody Incubation: Incubate for 30 minutes at room temperature.</p><p>Slide Washing: Slides must be washed in between steps. Rinse slides with PBS/0.05% Tween.</p> Perform heat-mediated antigen retrieval with citrate buffer pH 6 before commencing with IHC staining protocol.", "WB-species-checked": "testedAndGuaranteed", "WB-species-dilution-info": "1/1000", "WB-species-notes": "<p></p>", "ICCIF-species-checked": "testedAndGuaranteed", "ICCIF-species-dilution-info": "1/50 - 1/250", "ICCIF-species-notes": "<p></p>", "FlowCytIntra-species-checked": "testedAndGuaranteed", "FlowCytIntra-species-dilution-info": "1/30", "FlowCytIntra-species-notes": "<p></p>" } } }

製品の詳細

This product was switched from a hybridoma to recombinant production method on 22nd January 2019.

Product Specifications
Anti-Cyclin D1 antibody [SP4] (ab16663) was developed by Abcam using patented rabbit monoclonal antibody technology and is validated for use in Flow Cyt (Intra), ICC/IF, IHC-P, WB in human, mouse, rat samples.
Anti-Cyclin D1 antibody [SP4] (ab16663) specifically detects Cyclin D1 (UniProt ID: P24385; Molecular weight: 34kDa) and is sold in 100 µL, 500 µL and 1 mL selling sizes.
Anti-Cyclin D1 antibody [SP4] (ab16663) is a clone from the portfolio of Spring Bioscience (Roche) SP clones which have been optimised for immunohistochemistry (IHC).

Quality and Validation
Abcam's high quality manufacturing and validation processes ensure Anti-Cyclin D1 antibody [SP4] (ab16663) has high sensitivity and specificity alongside high lot-to-lot consistency and reproducibility.
The specificity of Anti-Cyclin D1 antibody [SP4] (ab16663) has been confirmed by testing in knockout samples.
Anti-Cyclin D1 antibody [SP4] (ab16663) has been cited over 559 times in peer reviewed journals and is trusted by the scientific community.
Anti-Cyclin D1 antibody [SP4] (ab16663) has 23 independent reviews from customers.

Related Products
Antibody clone SP4 is also available pre-conjugated to a variety of labels for your convenience - Alexa Fluor® 647 (ab267515).

Patented technology
Our RabMAb® technology is a patented hybridoma-based technology for making rabbit monoclonal antibodies. For details on our patents, please refer to RabMAb® patents.

What are the advantages of a recombinant monoclonal antibody?
This product is a recombinant monoclonal antibody, which offers several advantages including:

  • - High batch-to-batch consistency and reproducibility
  • - Improved sensitivity and specificity
  • - Long-term security of supply
  • - Animal-free batch production

For more information, read more on recombinant antibodies.

出荷温度及び保存条件

製品の状態
Liquid
精製方法
Affinity purification Protein A
バッファー組成
pH: 7.2 - 7.4 Preservative: 0.1% Sodium azide Constituents: PBS, 1% BSA
出荷温度
Blue Ice
短期保存温度
+4°C
長期保存温度
-20°C
分注に関する情報
Upon delivery aliquot
保管に関する情報
Avoid freeze / thaw cycle

製品プロトコール

For this product, it's our understanding that no specific protocols are required. You can visit:

ターゲットの情報

The protein expressed by the CCND1 gene acts as a regulatory component of the cyclin D1-CDK4 (DC) complex, which phosphorylates and inhibits retinoblastoma (RB) protein family members, including RB1, regulating the cell cycle during the G(1)/S transition. Phosphorylation of RB1 allows the transcription factor E2F to dissociate from the RB/E2F complex, enabling transcription of E2F target genes responsible for G(1) phase progression. In early G(1) phase, it hypophosphorylates RB1. Cyclin D-CDK4 complexes integrate various mitogenic and antimitogenic signals. The protein also serves as a substrate for SMAD3, phosphorylating it in a cell-cycle-dependent manner to repress its transcriptional activity, and forms part of the cyclin D1/CDK4/CDKN1B complex necessary for nuclear translocation and activity. Additionally, it exhibits transcriptional corepressor activity with INSM1 on the NEUROD1 and INS promoters, independent of the cell cycle. This supplementary information is collated from multiple sources and compiled automatically.
See full target information CCND1

文献 (764)

Recent publications for all applications. Explore the full list and refine your search

The Tohoku journal of experimental medicine : PubMed41062300

2025

Identification of KLHL35, WDR72, and WDR78 as Prognostic Biomarkers in Colorectal Cancer.

Applications

Unspecified application

Species

Unspecified reactive species

Jiayou Ye,Tingting Zhang,Guangsheng Wang,Guofeng Bian,Aijun Chen,Xin Zhou

Nature genetics 57:2468-2481 PubMed41044247

2025

Targeting histone H2B acetylated enhanceosomes via p300/CBP degradation in prostate cancer.

Applications

Unspecified application

Species

Unspecified reactive species

Jie Luo,Zhixiang Chen,Yuanyuan Qiao,Jean Ching-Yi Tien,Eleanor Young,Rahul Mannan,Somnath Mahapatra,Rupam Bhattacharyya,Lanbo Xiao,Tongchen He,Sanjana Eyunni,Yuping Zhang,Yang Zheng,Fengyun Su,Xuhong Cao,Rui Wang,Yunhui Cheng,Rithvik Seri,James George,Miriam Shahine,Stephanie J Miner,Matthew G Rees,Melissa M Ronan,Jennifer A Roth,Ulka Vaishampayan,Mi Wang,Shaomeng Wang,Abhijit Parolia,Arul M Chinnaiyan

Frontiers in oncology 15:1539263 PubMed40936699

2025

REST corepressor 2 contributes to the cell proliferation of endometrial cancer.

Applications

Unspecified application

Species

Unspecified reactive species

Qingjuan Zhu,Xin Yang,Yuchun Lv

Translational lung cancer research 14:2771-2787 PubMed40799432

2025

Overexpression of promotes cell metabolism and activates the NOTCH signaling pathway in lung adenocarcinoma.

Applications

Unspecified application

Species

Unspecified reactive species

Guangmin Xi,Caibo Zhang,Cong Yu,Yiya Wang,Jinfeng Fu,Haining Qi,Kenichi Suda,Guoying Wu

Journal of cellular and molecular medicine 29:e70772 PubMed40785041

2025

Tianma Granules Alleviate AOM/DSS-Induced Colorectal Tumorigenesis by Inhibiting the Wnt/β-Catenin Pathway Activation.

Applications

Unspecified application

Species

Unspecified reactive species

Renjing Lin,Jinyin Xiao,Yanjie Chen,Xu Li,Peiwen Zhang,Runcheng Zhang,Min Luo

Scientific reports 15:28579 PubMed40764324

2025

Investigation of ribociclib, abemaciclib and palbociclib resistance in ER+ breast cancer cells reveal potential therapeutic opportunities`.

Applications

Unspecified application

Species

Unspecified reactive species

Mashael Algethami,Ahmed Shoqafi,Ayat Lashen,Shatha Alqahtani,Jake Spicer,Ahmad ALtayyar,Çağla Tosun,Jennie N Jeyapalan,Nigel P Mongan,Victoria James,Emad A Rakha,Srinivasan Madhusudan

Chinese medicine 20:110 PubMed40646619

2025

Effects of solamargine in hepatic metastasis of colorectal cancer: induction of ferroptosis and elimination of cancer stem cells.

Applications

Unspecified application

Species

Unspecified reactive species

Shenglan Liu,Junhong Wu,Hao Huang,Bin Hu,Dong Xie,Fuqiang Cao,Jingxuan Li,Caiyao Guo,WeiJie Peng,Yanli Jin,Wei Dai

Cell communication and signaling : CCS 23:325 PubMed40619404

2025

The scaffold protein DLG4 facilitates RNF63-mediated ubiquitination and degradation of STAT3 in non-small cell lung cancer.

Applications

Unspecified application

Species

Unspecified reactive species

Shisong Chen,Hongjie Xu,Ning Li,Yang Yang,Ruxi Pang,Shuwei Zhang,Junjie Qiao,Hao Chen

Communications biology 8:975 PubMed40595410

2025

circGIGYF1 inhibits stemness and metastasis in colorectal cancer by promoting WWP2-HOXD13 interaction to regulate β-catenin signalling.

Applications

Unspecified application

Species

Unspecified reactive species

Bin Zhao,Jiacheng Li,Zunxian Wang,Hairui Zhou,Zhuoxin Cheng,Shuxia Ma

Cancer management and research 17:1143-1153 PubMed40546438

2025

Jujuboside B Inhibits the Proliferation and Migration of Non-Small Cell Lung Cancer H1299 Cells Through Inhibiting PI3K/Akt and Wnt/β-Catenin Pathways.

Applications

Unspecified application

Species

Unspecified reactive species

Mengzhu Chen,Jian Li,Shaodan Hu,Yuhan Wang,Keju Wang,Tan Wang
View all publications

Abcam product promise

当社は、高品質な試薬を通じてお客様の研究を力強くサポートすることをお約束いたします。ご使用いただく各段階で、常にお客様をサポートできる体制を整えております。万が一、製品が期待通りに機能しない場合は、「Abcam Product Promise」による当社保証制度に基づき、安心してご利用いただけます。
保証に関する詳細については利用規約をご確認ください。

Please note: All products are 'FOR RESEARCH USE ONLY. NOT FOR USE IN DIAGNOSTIC OR THERAPEUTIC PROCEDURES'.

For licensing inquiries, please contact partnerships@abcam.com