JavaScript is disabled in your browser. Please enable JavaScript to view this website.
AB38

Anti-Cyclin A2 抗体 [E23.1]

Anti-Cyclin A2 antibody [E23.1]

4

(10 Reviews)

|

(71 Publications)

Mouse Monoclonal Cyclin A2 antibody. Suitable for WB, IHC-P and reacts with Human, Mouse, Rat samples. Cited in 71 publications.

別名を表示する

CCN1, CCNA, CCNA2, Cyclin-A2, Cyclin-A, Cyclin A

4 Images
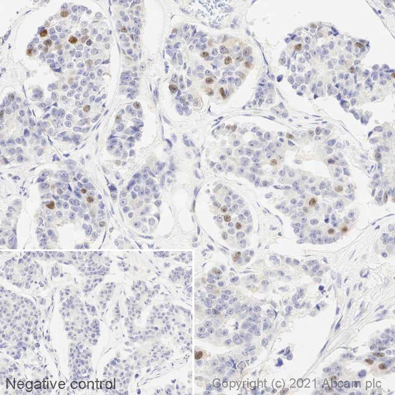
Immunohistochemistry (Formalin/PFA-fixed paraffin-embedded sections) - Anti-Cyclin A2 antibody [E23.1] (AB38)
  • IHC-P

Lab

Immunohistochemistry (Formalin/PFA-fixed paraffin-embedded sections) - Anti-Cyclin A2 antibody [E23.1] (AB38)

Immunohistochemical anaylsis of Cyclin A2 staining in Human breast cancer formalin fixed paraffin embedded tissue section*, performed on a Leica Bond™ system using the standard protocol F. The section was pre-treated using heat mediated antigen retrieval (EDTA based pH 9.0 solution, epitope retrieval solution 2) for 20 mins. The section was then incubated with ab38 (5 μg/ml) for 15 mins at room temperature and detected using an HRP conjugated compact polymer system. DAB was used as the chromogen. The section was then counterstained with haematoxylin and mounted with DPX.

For other IHC staining systems (automated and non-automated) customers should optimize variable parameters such as antigen retrieval conditions, primary antibody concentration and antibody incubation times.

*Tissue obtained from the Human Research Tissue Bank, supported by the NIHR Cambridge Biomedical Research Centre

Western blot - Anti-Cyclin A2 antibody [E23.1] (AB38)
  • WB

Lab

Western blot - Anti-Cyclin A2 antibody [E23.1] (AB38)

All lanes:

Western blot - Anti-Cyclin A2 antibody [E23.1] (ab38) at 5 µg/mL

Lane 1:

HEK293 (Human embryonic kidney cell line) Whole Cell Lysate at 20 µg

Lane 2:

U2OS (Human osteosarcoma cell line) Whole Cell Lysate at 20 µg

Lane 3:

PC12 (Rat adrenal pheochromocytoma cell line) Whole Cell Lysate at 20 µg

Lane 4:

NIH 3T3 (Mouse embryonic fibroblast cell line) Whole Cell Lysate at 20 µg

Secondary

All lanes:

Western blot - Goat Anti-Mouse IgG H&L (HRP) preadsorbed (<a href='/products/secondary-antibodies/goat-mouse-igg-h-l-hrp-preadsorbed-ab97040'>ab97040</a>) at 1/10000 dilution

Predicted band size: 49 kDa

Observed band size: 50 kDa

true

Exposure time: 20min

Western blot - Anti-Cyclin A2 antibody [E23.1] (AB38)
  • WB

AbReview469****

Western blot - Anti-Cyclin A2 antibody [E23.1] (AB38)

Western Blot of Swiss 3T3 cells showing presence of cyclin A in rapidly dividing cells (1) but absent in quiesent cells (2). Recombinant cyclin A (3). Molecular weight markers 114, 98, 68, 57, 43 and 32 kD. Western Blot of Swiss 3T3 cells showing presence of cyclin A in rapidly dividing cells (1) but absent in quiesent cells (2). Recombinant cyclin A (3). Molecular weight markers 114, 98, 68, 57, 43 and 32 kD.

All lanes:

Western blot - Anti-Cyclin A2 antibody [E23.1] (ab38)

Predicted band size: 49 kDa

false

This image is courtesy of Julian Gannon, CRUK.

Western blot - Anti-Cyclin A2 antibody [E23.1] (AB38)
  • WB

AbReview8935****

Western blot - Anti-Cyclin A2 antibody [E23.1] (AB38)

The membrane was blocked with 5% milk for 1 hour at 21°C prior to incubation with the primary antibody for 12 hours at 4°C.

All lanes:

Western blot - Anti-Cyclin A2 antibody [E23.1] (ab38) at 2 µg/mL

Lane 1:

U2OS (Hu) whole cell lysate at 30 µg

Lane 2:

293T (Hu) whole cell lysate at 30 µg

Lane 3:

Cos-7 (AGMk) whole cell lysate at 30 µg

Lane 4:

CHO (Hm) whole cell lysate at 30 µg

Lane 5:

PC12 (Rat) whole cell lysate at 30 µg

Lane 6:

3T3 (Ms) whole cell lysate at 30 µg

Secondary

All lanes:

HRP conjugated goat anti-mouse at 1/5000 dilution

Predicted band size: 49 kDa

Observed band size: 58 kDa,64 kDa

false

Exposure time: 6min

This image is courtesy of an anonymous Abreview

Key facts

宿主種

Mouse

クローン性

Monoclonal

クローン番号

E23.1

アイソタイプ

IgG2a

軽鎖のタイプ

kappa

キャリアフリー

No

交差種

Mouse, Rat, Human

アプリケーション

IHC-P, WB

applications

免疫原

The exact immunogen used to generate this antibody is proprietary information.

Reactivity data

{ "title": "Reactivity Data", "filters": { "stats": ["", "Species", "Dilution Info", "Notes"], "tabs": { "all-applications": {"fullname" : "All Applications", "shortname": "All Applications"}, "WB" : {"fullname" : "Western blot", "shortname":"WB"}, "IHCP" : {"fullname" : "Immunohistochemistry (Formalin/PFA-fixed paraffin-embedded sections)", "shortname":"IHC-P"} }, "product-promise": { "all": "all", "testedAndGuaranteed": "tested", "guaranteed": "expected", "predicted": "predicted", "notRecommended": "not-recommended" } }, "values": { "Human": { "WB-species-checked": "testedAndGuaranteed", "WB-species-dilution-info": "5 µg/mL", "WB-species-notes": "<p></p>", "IHCP-species-checked": "testedAndGuaranteed", "IHCP-species-dilution-info": "5 µg/mL", "IHCP-species-notes": "<p></p>" }, "Mouse": { "WB-species-checked": "testedAndGuaranteed", "WB-species-dilution-info": "5 µg/mL", "WB-species-notes": "<p></p>", "IHCP-species-checked": "notRecommended", "IHCP-species-dilution-info": "5 µg/mL", "IHCP-species-notes": "<p></p>" }, "Rat": { "WB-species-checked": "testedAndGuaranteed", "WB-species-dilution-info": "5 µg/mL", "WB-species-notes": "<p></p>", "IHCP-species-checked": "notRecommended", "IHCP-species-dilution-info": "5 µg/mL", "IHCP-species-notes": "<p></p>" }, "Chicken": { "WB-species-checked": "predicted", "WB-species-dilution-info": "", "WB-species-notes": "", "IHCP-species-checked": "notRecommended", "IHCP-species-dilution-info": "", "IHCP-species-notes": "" }, "Cow": { "WB-species-checked": "predicted", "WB-species-dilution-info": "", "WB-species-notes": "", "IHCP-species-checked": "notRecommended", "IHCP-species-dilution-info": "", "IHCP-species-notes": "" } } }

製品の詳細

Want a custom formulation?
This antibody clone is manufactured by Abcam. If you require a custom buffer formulation or conjugation for your experiments, please contact orders@abcam.com

出荷温度及び保存条件

製品の状態
Liquid
精製方法
Affinity purification
バッファー組成
pH: 7.4 Preservative: 0.02% Sodium azide Constituents: PBS
出荷温度
Blue Ice
短期保存期間
1-2 weeks
短期保存温度
+4°C
長期保存温度
-20°C
分注に関する情報
Upon delivery aliquot
保管に関する情報
Avoid freeze / thaw cycle

製品プロトコール

For this product, it's our understanding that no specific protocols are required. You can visit:

ターゲットの情報

Cyclin which controls both the G1/S and the G2/M transition phases of the cell cycle. Functions through the formation of specific serine/threonine protein kinase holoenzyme complexes with the cyclin-dependent protein kinases CDK1 or CDK2. The cyclin subunit confers the substrate specificity of these complexes and differentially interacts with and activates CDK1 and CDK2 throughout the cell cycle.
See full target information CCNA2

文献 (71)

Recent publications for all applications. Explore the full list and refine your search

NAR cancer 7:zcaf035 PubMed41064809

2025

Androgen receptor inhibition extends PARP inhibitor activity in prostate cancer models beyond BRCA mutations and defects in homologous recombination repair.

Applications

Unspecified application

Species

Unspecified reactive species

Giuditta Illuzzi,Alessandro Galbiati,Anna D Staniszewska,Robert Hanson,Chrysiis Michaloglou,Sophie L Cooke,Karolina Uznańska,Maja Białecka,Kamil Solarczyk,Harveer S Dev,Charlie E Massie,Mark R Albertella,Elisabetta Leo,Josep V Forment,Mark J O'Connor

Frontiers in oncology 14:1497093 PubMed39931212

2025

RET inhibition overcomes resistance to combined CDK4/6 inhibitor and endocrine therapy in ER+ breast cancer.

Applications

Unspecified application

Species

Unspecified reactive species

Charlotte K Kindt,Sidse Ehmsen,Sofie Traynor,Benedetta Policastro,Nikoline Nissen,Mie K Jakobsen,Monique F Hundebøl,Lene E Johansen,Martin Bak,Elsa Arbajian,Johan Staaf,Henrik J Ditzel,Carla L Alves

eLife 12: PubMed38747706

2024

Mecp2 fine-tunes quiescence exit by targeting nuclear receptors.

Applications

Unspecified application

Species

Unspecified reactive species

Jun Yang,Shitian Zou,Zeyou Qiu,Mingqiang Lai,Qing Long,Huan Chen,Ping Lin Lai,Sheng Zhang,Zhi Rao,Xiaoling Xie,Yan Gong,Anling Liu,Mangmang Li,Xiaochun Bai

Molecular medicine reports 29: PubMed38551159

2024

MicroRNA‑155‑5p inhibits trophoblast cell proliferation and invasion by disrupting centrosomal function.

Applications

Unspecified application

Species

Unspecified reactive species

Yung-Chieh Tsai,Tian-Ni Kuo,Ruei-Ci Lin,Hui-Ling Tsai,Yu-Ying Chao,Pei-Rong Lee,Ping-Jui Su,Chia-Yih Wang

Cell 187:1666-1684.e26 PubMed38490194

2024

First-in-class MKK4 inhibitors enhance liver regeneration and prevent liver failure.

Applications

Unspecified application

Species

Unspecified reactive species

Stefan Zwirner,Anan A Abu Rmilah,Sabrina Klotz,Bent Pfaffenroth,Philip Kloevekorn,Athina A Moschopoulou,Svenja Schuette,Mathias Haag,Roland Selig,Kewei Li,Wei Zhou,Erek Nelson,Antti Poso,Harvey Chen,Bruce Amiot,Yao Jia,Anna Minshew,Gregory Michalak,Wei Cui,Elke Rist,Thomas Longerich,Birgit Jung,Philipp Felgendreff,Omelyan Trompak,Prem K Premsrirut,Katharina Gries,Thomas E Muerdter,Georg Heinkele,Torsten Wuestefeld,David Shapiro,Markus Weissbach,Alfred Koenigsrainer,Bence Sipos,Eiso Ab,Magdalena Ortiz Zacarias,Stephan Theisgen,Nicole Gruenheit,Saskia Biskup,Matthias Schwab,Wolfgang Albrecht,Stefan Laufer,Scott Nyberg,Lars Zender

Frontiers in microbiology 15:1336267 PubMed38450167

2024

Me49 and NED strains arrest host cell cycle progression and alter chromosome segregation in a strain-independent manner.

Applications

Unspecified application

Species

Unspecified reactive species

Lisbeth Rojas-Barón,Carlos Hermosilla,Anja Taubert,Zahady D Velásquez

Nature communications 14:6088 PubMed37773176

2023

Mild replication stress causes premature centriole disengagement via a sub-critical Plk1 activity under the control of ATR-Chk1.

Applications

Unspecified application

Species

Unspecified reactive species

Devashish Dwivedi,Daniela Harry,Patrick Meraldi

JCI insight 8: PubMed37427593

2023

A Syx-RhoA-Dia1 signaling axis regulates cell cycle progression, DNA damage, and therapy resistance in glioblastoma.

Applications

Unspecified application

Species

Unspecified reactive species

Wan-Hsin Lin,Ryan W Feathers,Lisa M Cooper,Laura J Lewis-Tuffin,Jiaxiang Chen,Jann N Sarkaria,Panos Z Anastasiadis

Journal of cell science 136: PubMed37133398

2023

Single-cell intracellular pH dynamics regulate the cell cycle by timing the G1 exit and G2 transition.

Applications

Unspecified application

Species

Unspecified reactive species

Julia S Spear,Katharine A White

Cells 11: PubMed36429091

2022

Regorafenib Induces Senescence and Epithelial-Mesenchymal Transition in Colorectal Cancer to Promote Drug Resistance.

Applications

Unspecified application

Species

Unspecified reactive species

Pashalina Kehagias,Nadège Kindt,Mohammad Krayem,Ahmad Najem,Giulia Agostini,Elena Acedo Reina,Giacomo Bregni,Francesco Sclafani,Fabrice Journe,Ahmad Awada,Ghanem E Ghanem,Alain Hendlisz
View all publications

Abcam product promise

当社は、高品質な試薬を通じてお客様の研究を力強くサポートすることをお約束いたします。ご使用いただく各段階で、常にお客様をサポートできる体制を整えております。万が一、製品が期待通りに機能しない場合は、「Abcam Product Promise」による当社保証制度に基づき、安心してご利用いただけます。
保証に関する詳細については利用規約をご確認ください。

Please note: All products are 'FOR RESEARCH USE ONLY. NOT FOR USE IN DIAGNOSTIC OR THERAPEUTIC PROCEDURES'.

For licensing inquiries, please contact partnerships@abcam.com