JavaScript is disabled in your browser. Please enable JavaScript to view this website.
AB222223

Anti-CXCR4 抗体 [EPUMBR3] - Low endotoxin, Azide free

Anti-CXCR4 antibody [EPUMBR3] - Low endotoxin, Azide free

Be the first to review this product! Submit a review

|

(1 Publication)

Rabbit Recombinant Monoclonal CXCR4 antibody. Carrier free. Suitable for WB, IHC-P, ICC/IF, Flow Cyt (Intra) and reacts with Human, Recombinant fragment - Human samples. Cited in 1 publication.

別名を表示する

CD184, C-X-C chemokine receptor type 4, CXC-R4, CXCR-4, FB22, Fusin, HM89, LCR1, Leukocyte-derived seven transmembrane domain receptor, Lipopolysaccharide-associated protein 3, NPYRL, Stromal cell-derived factor 1 receptor, LESTR, LAP-3, LPS-associated protein 3, SDF-1 receptor, CXCR4

4 Images
Immunocytochemistry/ Immunofluorescence - Anti-CXCR4 antibody [EPUMBR3] - Low endotoxin, Azide free (AB222223)
  • ICC/IF

Unknown

Immunocytochemistry/ Immunofluorescence - Anti-CXCR4 antibody [EPUMBR3] - Low endotoxin, Azide free (AB222223)

Immunocytochemistry/Immunofluorescence analysis of Ramos (Human Burkitt's lymphoma cell line) labeling CXCR4 with purified ab181020 at 1/500 dilution. Cells were fixed with 4% PFA and permeabilized with 0.1% tritonX-100. ab150077 Goat anti rabbit IgG (Alexa Fluor® 488) at 1/1000 was used as the secondary antibody. Nuclei were counterstained with DAPI. PBS was used instead of the primary antibody as the negative control.

This data was developed using the same antibody clone in a different buffer formulation containing PBS BSA glycerol and sodium azide (ab181020).

Flow Cytometry (Intracellular) - Anti-CXCR4 antibody [EPUMBR3] - Low endotoxin, Azide free (AB222223)
  • Flow Cyt (Intra)

Unknown

Flow Cytometry (Intracellular) - Anti-CXCR4 antibody [EPUMBR3] - Low endotoxin, Azide free (AB222223)

Intracellular Flow Cytometry analysis of Jurkat (human T cell leukemia T lymphocyte) cells labeling CXCR4 with purified ab181020 at 1/200 dilution (10.23 μg/ml) - Red. Cells were fixed with 4% paraformaldehyde . A Goat anti rabbit IgG (Alexa Fluor® 488, ab150077) secondary antibody was used at 1/2000 dilution. Isotype control - Rabbit monoclonal IgG (ab172730) - Black. Unlabeled control - Blue. Untreated cells - GreenThis data was developed using the same antibody clone in a different buffer formulation containing PBS, BSA, glycerol, and sodium azide (ab222223)

Immunocytochemistry/ Immunofluorescence - Anti-CXCR4 antibody [EPUMBR3] - Low endotoxin, Azide free (AB222223)
  • ICC/IF

Unknown

Immunocytochemistry/ Immunofluorescence - Anti-CXCR4 antibody [EPUMBR3] - Low endotoxin, Azide free (AB222223)

ab181020 stained Jurkat cells. The cells were 100% methanol fixed for 5 minutes at -20°C and then incubated in 1%BSA / 10% normal goat serum / 0.3M glycine in 0.1% PBS-Tween for 1hour at room temperature to permeabilise the cells and block non-specific protein-protein interactions. The cells were then incubated with the antibody (ab181020 at 5μg/ml) overnight at +4°C. The secondary antibody (pseudo-colored green) was Goat Anti-Rabbit IgG H&L (Alexa Fluor® 488) preadsorbed (ab150081) used at a 1/1000 dilution for 1hour at room temperature. Alexa Fluor® 594 WGA was used to label plasma membranes (pseudo-colored red) at a 1/200 dilution for 1hour at room temperature. DAPI was used to stain the cell nuclei (pseudo-colored blue) at a concentration of 1.43μM for 1hour at room temperature.

This data was developed using the same antibody clone in a different buffer formulation containing PBS BSA glycerol and sodium azide (ab181020).

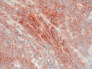
Immunohistochemistry (Formalin/PFA-fixed paraffin-embedded sections) - Anti-CXCR4 antibody [EPUMBR3] - Low endotoxin, Azide free (AB222223)
  • IHC-P

Supplier Data

Immunohistochemistry (Formalin/PFA-fixed paraffin-embedded sections) - Anti-CXCR4 antibody [EPUMBR3] - Low endotoxin, Azide free (AB222223)

Immunohistochemical analysis of paraffin embedded Human small cell lung carcinoma tissue labeling CXCR4 using ab181020.

This data was developed using the same antibody clone in a different buffer formulation containing PBS BSA glycerol and sodium azide (ab181020).

関連する標識済み抗体及び組成の異なる製品 (6)

Key facts

宿主種

Rabbit

クローン性

Monoclonal

クローン番号

EPUMBR3

アイソタイプ

IgG

キャリアフリー

Yes

交差種

Human

アプリケーション

ICC/IF, WB, IHC-P, Flow Cyt (Intra)

applications

免疫原

The exact immunogen used to generate this antibody is proprietary information.

特異性

This antibody recognizes only the non-phosphorylated C-terminus of CXCR4 (residues 341-352). Phosphorylation of S346/347 blocks antibody binding. PMID: 24154522, 25451233.

We recommend dephosphorylation of samples using lambda phosphatase treatment. Please refer to application notes.

Although some customers can get this ab to work in mouse and rat successfully, we cannot reproduce this in house in IHC so cannot guarantee it. We would recommend antibody Anti-CXCR4 antibody [UMB2] (ab124824) for use in mouse IHC.

Reactivity data

{ "title": "Reactivity Data", "filters": { "stats": ["", "Species", "Dilution Info", "Notes"], "tabs": { "all-applications": {"fullname" : "All Applications", "shortname": "All Applications"}, "IP" : {"fullname" : "Immunoprecipitation", "shortname":"IP"}, "WB" : {"fullname" : "Western blot", "shortname":"WB"}, "IHCP" : {"fullname" : "Immunohistochemistry (Formalin/PFA-fixed paraffin-embedded sections)", "shortname":"IHC-P"}, "ICCIF" : {"fullname" : "Immunocytochemistry/ Immunofluorescence", "shortname":"ICC/IF"}, "FlowCytIntra" : {"fullname" : "Flow Cytometry (Intracellular)", "shortname":"Flow Cyt (Intra)"} }, "product-promise": { "all": "all", "testedAndGuaranteed": "tested", "guaranteed": "expected", "predicted": "predicted", "notRecommended": "not-recommended" } }, "values": { "Human": { "IP-species-checked": "notRecommended", "IP-species-dilution-info": "", "IP-species-notes": "", "WB-species-checked": "testedAndGuaranteed", "WB-species-dilution-info": "", "WB-species-notes": "<p>We recommend lambda protein phosphatase treatment of the membrane prior to primary antibody incubation (PMID 24154522). Use 800U for 1 hr at RT then rinse in wash buffer three times.</p>", "IHCP-species-checked": "testedAndGuaranteed", "IHCP-species-dilution-info": "", "IHCP-species-notes": "<p>We recommend lambda protein phosphatase treatment prior to IHC processing (PMID 24154522). Use 800U for 1 hr at RT then rinse in PBS three times.</p>", "ICCIF-species-checked": "testedAndGuaranteed", "ICCIF-species-dilution-info": "", "ICCIF-species-notes": "<p><strong>For unpurified use at 5 μg/mL.</strong></p>", "FlowCytIntra-species-checked": "testedAndGuaranteed", "FlowCytIntra-species-dilution-info": "", "FlowCytIntra-species-notes": "<p></p>" }, "Mouse": { "IP-species-checked": "notRecommended", "IP-species-dilution-info": "", "IP-species-notes": "<p></p>", "WB-species-checked": "notRecommended", "WB-species-dilution-info": "", "WB-species-notes": "", "IHCP-species-checked": "notRecommended", "IHCP-species-dilution-info": "", "IHCP-species-notes": "<p>We recommend lambda protein phosphatase treatment prior to IHC processing (PMID 24154522). Use 800U for 1 hr at RT then rinse in PBS three times.</p>", "ICCIF-species-checked": "notRecommended", "ICCIF-species-dilution-info": "", "ICCIF-species-notes": "", "FlowCytIntra-species-checked": "notRecommended", "FlowCytIntra-species-dilution-info": "", "FlowCytIntra-species-notes": "" }, "Recombinant fragment - Human": { "IP-species-checked": "notRecommended", "IP-species-dilution-info": "", "IP-species-notes": "", "WB-species-checked": "testedAndGuaranteed", "WB-species-dilution-info": "", "WB-species-notes": "<p>We recommend lambda protein phosphatase treatment of the membrane prior to primary antibody incubation (PMID 24154522). Use 800U for 1 hr at RT then rinse in wash buffer three times.</p>", "IHCP-species-checked": "notRecommended", "IHCP-species-dilution-info": "", "IHCP-species-notes": "", "ICCIF-species-checked": "notRecommended", "ICCIF-species-dilution-info": "", "ICCIF-species-notes": "", "FlowCytIntra-species-checked": "notRecommended", "FlowCytIntra-species-dilution-info": "", "FlowCytIntra-species-notes": "" } } }

製品の詳細

ab222223 is the carrier-free version of ab181020.

Patented technology
Our RabMAb® technology is a patented hybridoma-based technology for making rabbit monoclonal antibodies. For details on our patents, please refer to RabMAb® patents.

What are the advantages of a recombinant monoclonal antibody?
This product is a recombinant monoclonal antibody, which offers several advantages including:

  • - High batch-to-batch consistency and reproducibility
  • - Improved sensitivity and specificity
  • - Long-term security of supply
  • - Animal-free batch production

For more information, read more on recombinant antibodies.

Conjugation ready
Our carrier-free antibodies are typically supplied in a PBS-only formulation, purified and free of BSA, sodium azide and glycerol. This conjugation-ready format is designed for use with fluorochromes, metal isotopes, oligonucleotides, and enzymes, which makes them ideal for antibody labelling, functional and cell-based assays, flow-based assays (e.g. mass cytometry) and Multiplex Imaging applications.

Use our conjugation kits for antibody conjugates that are ready-to-use in as little as 20 minutes with 1 minute hands-on-time and 100% antibody recovery: available for fluorescent dyes, HRP, biotin and gold.

Compatibility
This product is compatible with the Maxpar® Antibody Labeling Kit from Fluidigm, without the need for antibody preparation. Maxpar® is a trademark of Fluidigm Canada Inc.

What does low endotoxin mean?
Our low endotoxin, azide-free formats have low endotoxin level (1 EU/mg, determined by the TAL assay) and are free from azide, to achieve consistent experimental results in functional assays.

出荷温度及び保存条件

製品の状態
Liquid
精製方法
Affinity purification Protein A
バッファー組成
pH: 7.2 - 7.4 Constituents: PBS
出荷温度
Blue Ice
短期保存温度
+4°C
長期保存温度
+4°C
保管に関する情報
Do Not Freeze

補足情報

This supplementary information is collated from multiple sources and compiled automatically.

CXCR4 also known as C-X-C chemokine receptor type 4 is a G protein-coupled receptor that is involved in signal transduction. It has a molecular weight of approximately 41 kDa. CXCR4 is ubiquitously expressed across various tissues including immune cells like T and B lymphocytes as well as in bone marrow brain and heart. It binds specifically with the ligand CXCL12 also known as stromal cell-derived factor 1 (SDF-1) facilitating responses such as cell migration and proliferation.
Biological function summary

CXCR4 plays an important role in the immune system hematopoiesis and angiogenesis. It does not function alone and is often part of a larger protein complex where it recruits and activates other G proteins. The receptor mediates chemotactic responses directing cells to sites of inflammation or injury. Its interaction with CXCL12 is critical for maintaining immune surveillance aiding in the movement and positioning of immune cells.

Pathways

CXCR4 integrates into significant cellular signaling pathways such as the PI3K/AKT pathway and the MAPK pathway. It collaborates closely with signaling proteins like AKT1 and MAPK1 impacting cell survival and growth. These pathways are essential for various cellular functions including cell cycle progression and apoptosis regulation. The cross-talk between CXCR4 and these pathways underlines its influence on cell fate decisions.

CXCR4 is implicated in cancer metastasis and HIV entry into cells. Overexpression of CXCR4 is observed in several cancers contributing to tumor growth and metastasis. The interaction between CXCR4 and CXCL12 facilitates the infiltration and spread of cancer cells. Additionally in HIV CXCR4 serves as a coreceptor along with CD4 allowing the virus to enter and infect host cells. Both cancer and HIV illustrate CXCR4's central role in disease progression and pathogenesis.

製品プロトコール

For this product, it's our understanding that no specific protocols are required. You can visit:

ターゲットの情報

Receptor for the C-X-C chemokine CXCL12/SDF-1 that transduces a signal by increasing intracellular calcium ion levels and enhancing MAPK1/MAPK3 activation (PubMed : 10074102, PubMed : 10452968, PubMed : 10644702, PubMed : 10825158, PubMed : 18799424, PubMed : 20048153, PubMed : 20505072, PubMed : 24912431, PubMed : 28978524, PubMed : 8752280, PubMed : 8752281). Ligand binding causes a conformation change that triggers signaling via guanine nucleotide-binding proteins (G proteins) and modulates the activity of downstream effectors, such as adenylate cyclase (PubMed : 16725153, PubMed : 17197449, PubMed : 18799424, PubMed : 39093700). CXCR4 is coupled to G(i) G alpha proteins and mediates inhibition of adenylate cyclase (PubMed : 17197449, PubMed : 39093700). Involved in the AKT signaling cascade (PubMed : 24912431). Plays a role in regulation of cell migration, e.g. during wound healing (PubMed : 28978524). Also acts as a receptor for extracellular ubiquitin; leading to enhanced intracellular calcium ions and reduced cellular cAMP levels (PubMed : 20228059). Binds bacterial lipopolysaccharide (LPS) et mediates LPS-induced inflammatory response, including TNF secretion by monocytes (PubMed : 11276205). Involved in hematopoiesis and in cardiac ventricular septum formation (By similarity). Also plays an essential role in vascularization of the gastrointestinal tract, probably by regulating vascular branching and/or remodeling processes in endothelial cells (By similarity). Involved in cerebellar development; in the CNS, could mediate hippocampal-neuron surviva (By similarity).. (Microbial infection) Acts as a coreceptor (CD4 being the primary receptor) for human immunodeficiency virus-1/HIV-1 X4 isolates and as a primary receptor for some HIV-2 isolates. Promotes Env-mediated fusion of the virus (PubMed : 10074122, PubMed : 10756055, PubMed : 8849450, PubMed : 8929542, PubMed : 9427609).
See full target information CXCR4

文献 (1)

Recent publications for all applications. Explore the full list and refine your search

Laboratory investigation; a journal of technical m 100:1208-1222 PubMed32457352

2020

Sustained hedgehog signaling in medulloblastoma tumoroids is attributed to stromal astrocytes and astrocyte-derived extracellular matrix.

Applications

Unspecified application

Species

Unspecified reactive species

Yan Cheng,Janusz Franco-Barraza,Yuan Wang,Chaonan Zheng,Li Zhang,Yanghui Qu,Yaqiu Long,Edna Cukierman,Zeng-Jie Yang
View all publications

Abcam product promise

当社は、高品質な試薬を通じてお客様の研究を力強くサポートすることをお約束いたします。ご使用いただく各段階で、常にお客様をサポートできる体制を整えております。万が一、製品が期待通りに機能しない場合は、「Abcam Product Promise」による当社保証制度に基づき、安心してご利用いただけます。
保証に関する詳細については利用規約をご確認ください。

Please note: All products are 'FOR RESEARCH USE ONLY. NOT FOR USE IN DIAGNOSTIC OR THERAPEUTIC PROCEDURES'.

For licensing inquiries, please contact partnerships@abcam.com