JavaScript is disabled in your browser. Please enable JavaScript to view this website.
AB8020

Anti-CX3CR1 抗体

Anti-CX3CR1 antibody

4

(8 Reviews)

|

(15 Publications)

Anti-CX3CR1 antibody (ab8020) is a rabbit polyclonal antibody detecting CX3CR1 in Western Blot, IHC-P. Suitable for Human.

- Over 20 publications
- Trusted since 2001

別名を表示する

CMKBRL1, GPR13, CX3CR1, CX3C chemokine receptor 1, C-X3-C CKR-1, Beta chemokine receptor-like 1, Fractalkine receptor, G-protein coupled receptor 13, V28, CMK-BRL-1, CMK-BRL1

4 Images
Western blot - Anti-CX3CR1 antibody (AB8020)
  • WB

Lab

Western blot - Anti-CX3CR1 antibody (AB8020)

False colour image of Western blot : Anti-CX3CR1 antibody staining at 1 ug/ml, shown in green; Mouse anti-Alpha Tubulin [DM1A] (ab7291) loading control staining at 1/20000 dilution, shown in red. In Western blot, ab8020 was shown to bind specifically to CX3CR1. A band was observed at 42 kDa in wild-type THP-1 cell lysates with no signal observed at this size in CX3CR1 knockout cell line ab273713 (knockout cell lysate ab275510). To generate this image, wild-type and CX3CR1 knockout THP-1 cell lysates were analysed. First, samples were run on an SDS-PAGE gel then transferred onto a nitrocellulose membrane. Membranes were blocked in 5 % milk in TBS-0.1 % Tween® 20 (TBS-T) before incubation with primary antibodies overnight at 4 °C. Blots were washed four times in TBS-T, incubated with secondary antibodies for 1 h at room temperature, washed again four times then imaged. Secondary antibodies used were Goat anti-Rabbit IgG H&L (IRDye® 800CW) preabsorbed (ab216773) and Goat anti-Mouse IgG H&L (IRDye® 680RD) preabsorbed (ab216776) at 1/20000 dilution.

All lanes:

Western blot - Anti-CX3CR1 antibody (ab8020) at 1 µg/mL

Lane 1:

Wild-type THP-1 cell lysate at 20 µg

Lane 2:

CX3CR1 knockout THP-1 cell lysate at 20 µg

Lane 2:

Western blot - Human CX3CR1 knockout THP-1 cell line (<a href='/products/cell-lines/human-cx3cr1-knockout-thp-1-cell-line-ab273713'>ab273713</a>)

Lane 3:

Human Spleen cell lysate at 20 µg

Lane 4:

HeLa cell lysate at 20 µg

Lane 5:

Caco-2 cell lysate at 20 µg

Predicted band size: 40 kDa

Observed band size: 42 kDa

false

Western blot - Anti-CX3CR1 antibody (AB8020)
  • WB

Unknown

Western blot - Anti-CX3CR1 antibody (AB8020)

All lanes:

Western blot - Anti-CX3CR1 antibody (ab8020) at 1/500 dilution

Lane 1:

THP-1 cell lysate with absence of blocking peptide

Lane 2:

THP-1 cell lysate with presence of blocking peptide

Predicted band size: 40 kDa

Observed band size: 50 kDa

false

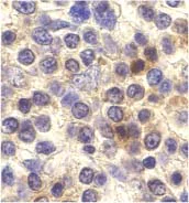
Immunohistochemistry (Formalin/PFA-fixed paraffin-embedded sections) - Anti-CX3CR1 antibody (AB8020)
  • IHC-P

Unknown

Immunohistochemistry (Formalin/PFA-fixed paraffin-embedded sections) - Anti-CX3CR1 antibody (AB8020)

ab8020 at 10μg/ml staining CX3CR1 in human spleen cells by IHC

Western blot - Anti-CX3CR1 antibody (AB8020)
  • WB

CiteAb

Western blot - Anti-CX3CR1 antibody (AB8020)

CX3CR1 western blot using anti-CX3CR1 antibody ab8020. Publication image and figure legend from Rooper, L., Gurler, H., et al., 2013, J Ovarian Res, PubMed 23958497.

ab8020 was used in this publication in western blot. This may not be the same as the application(s) guaranteed by Abcam. For a full list of applications guaranteed by Abcam for ab8020 please see the product overview.

CX3CR1 is required for keratinocytes differentiation. (A) Expression of CX3CR1 in parental PA-1 cell line and that stably transfected with either CX3CR1 or scrambled shRNA constructs was examined with Western blot. Actin served as a loading control. CX3CR1 expression levels were quantified using digital densitometry and normalized to the levels of actin expression. (B) Expression of cytokeratin 14 in PA-1 cells stably transfected with either CX3CR1 or scrambled shRNA constructs treated with recombinant BMP-4 or vehicle, as indicated, was examined with immunocytochemistry. CK14 in PA-1 was probed with anti-CK14 and Alexa555-conjugated anti-rabbit antibodies, and DNA was stained with 4',6-Diamidino-2-Phenylindole, Dihydrochloride (DAPI); CK14 – red, DNA – blue. Images were taken using 5× magnification on the objective. The histogram demonstrates the average intensity of CK14 signal across the field as determined by the Zeiss AxioVision software. Data is an average of three independent experiments. *p < 0.05. (C) Expression of cytokeratins 14 and 18 in PA-1 cells stably transfected with either CX3CR1 or scrambled shRNA constructs treated with recombinant BMP-4 or vehicle, as indicated, was examined with Western blot. β-Tubulin served as a loading control. The histogram shows CK14 and CK18 expression levels. Expression of CK18 in CX3CR1shRNA-transfected PA-1 cells was arbitrarily set as 1 and expression of both CK14 and CK18 in other conditions was calculated accordingly. The data represent a typical Western blot image, and quantitative analysis was performed using three independently performed experiments. *p < 0.05. (D) Expression of CX3CL1 in SKOV-3 and PA-1 cell lines was examined with Western blot. Actin served as a loading control. SKOV-3 cell line was used as a positive control.

false

Key facts

宿主種

Rabbit

クローン性

Polyclonal

アイソタイプ

IgG

キャリアフリー

No

交差種

Human

アプリケーション

WB, IHC-P

applications

免疫原

Synthetic Peptide within Human CX3CR1 aa 150-200. The exact immunogen used to generate this antibody is proprietary information.

P49238

Reactivity data

{ "title": "Reactivity Data", "filters": { "stats": ["", "Species", "Dilution Info", "Notes"], "tabs": { "all-applications": {"fullname" : "All Applications", "shortname": "All Applications"}, "WB" : {"fullname" : "Western blot", "shortname":"WB"}, "IHCP" : {"fullname" : "Immunohistochemistry (Formalin/PFA-fixed paraffin-embedded sections)", "shortname":"IHC-P"}, "ICCIF" : {"fullname" : "Immunocytochemistry/ Immunofluorescence", "shortname":"ICC/IF"} }, "product-promise": { "all": "all", "testedAndGuaranteed": "tested", "guaranteed": "expected", "predicted": "predicted", "notRecommended": "not-recommended" } }, "values": { "Human": { "WB-species-checked": "testedAndGuaranteed", "WB-species-dilution-info": "1 µg/mL", "WB-species-notes": "<p></p>", "IHCP-species-checked": "testedAndGuaranteed", "IHCP-species-dilution-info": "10 µg/mL", "IHCP-species-notes": "<p></p>", "ICCIF-species-checked": "notRecommended", "ICCIF-species-dilution-info": "20 µg/mL", "ICCIF-species-notes": "<p></p>" }, "Mouse": { "WB-species-checked": "predicted", "WB-species-dilution-info": "", "WB-species-notes": "", "IHCP-species-checked": "predicted", "IHCP-species-dilution-info": "", "IHCP-species-notes": "", "ICCIF-species-checked": "notRecommended", "ICCIF-species-dilution-info": "", "ICCIF-species-notes": "" }, "Rat": { "WB-species-checked": "predicted", "WB-species-dilution-info": "", "WB-species-notes": "", "IHCP-species-checked": "predicted", "IHCP-species-dilution-info": "", "IHCP-species-notes": "", "ICCIF-species-checked": "notRecommended", "ICCIF-species-dilution-info": "", "ICCIF-species-notes": "" } } }

製品の詳細

What is this antibody validated in?
Anti-CX3CR1 antibody (ab8020) is a rabbit polyclonal antibody and is validated for use in Western Blot (WB), Immunohistochemistry (IHC-P) in Human samples.

What is the molecular weight of CX3CR1?
Anti-CX3CR1 (ab8020) specifically detects a band for CX3CR1 (UniProt: P49238) at a molecular weight of 50kDa.

Trusted by the scientific community
Anti-CX3CR1 (ab8020) was first used in a scientific publication in 2001 and has been cited over 20 times in peer-reviewed journals.

Reviewed by scientists
Anti-CX3CR1 (ab8020) has over 5 independent reviews from customers.

出荷温度及び保存条件

製品の状態
Liquid
精製方法
Affinity purification
バッファー組成
pH: 7.2 Preservative: 0.02% Sodium azide
出荷温度
Blue Ice
短期保存温度
+4°C
長期保存温度
+4°C

補足情報

This supplementary information is collated from multiple sources and compiled automatically.

CX3CR1 also known as fractalkine receptor is a seven-transmembrane G protein-coupled receptor. It has a molecular weight of about 40 kDa. This receptor is expressed in various tissues particularly on immune cells like monocytes natural killer cells T cells and microglia. CX3CR1 binds to its ligand CX3CL1 or fractalkine which is a chemokine involved in directing cell movement. The receptor-ligand interaction is critical for the adhesion and migration of leukocytes to inflammatory sites.
Biological function summary

CX3CR1 plays a significant role in immune regulation and cellular migration. It is not part of a larger protein complex but interacts directly with monocyte and microglia cells influencing their activity. CX3CR1 is recognized as a marker for microglia in flow cytometry applications assisting in the identification of these brain-resident immune cells. The receptor is frequently studied using monoclonal antibodies like anti-CX3CR1 and is subject to inhibition by CX3CR1 antagonists such as 8e10 affecting its function in immune responses.

Pathways

CX3CR1 involves itself heavily in the chemokine signaling pathway and the inflammatory response pathway. Its interaction with CX3CL1 influences the PI3K-Akt signaling pathway modulating cell survival and proliferation. The receptor works in conjunction with CCR2 in monocyte navigation impacting the inflammatory cascade during immune response. Their coordinated action is important for cellular trafficking to sites requiring immune intervention.

CX3CR1 has associations with neurodegenerative diseases such as Alzheimer's disease as well as with atherosclerosis. Changes in its expression and function can exacerbate these conditions. In Alzheimer's disease microglial CX3CR1 may mediate neuroinflammatory processes affecting plaque buildup. In atherosclerosis the receptor is involved in monocyte recruitment to plaques influenced by the related protein fractalkine. Understanding these relationships provides insights into potential therapeutic targets for modulating disease progression.

製品プロトコール

For this product, it's our understanding that no specific protocols are required. You can visit:

ターゲットの情報

Receptor for the C-X3-C chemokine fractalkine (CX3CL1) present on many early leukocyte cells; CX3CR1-CX3CL1 signaling exerts distinct functions in different tissue compartments, such as immune response, inflammation, cell adhesion and chemotaxis (PubMed : 12055230, PubMed : 23125415, PubMed : 9390561, PubMed : 9782118). CX3CR1-CX3CL1 signaling mediates cell migratory functions (By similarity). Responsible for the recruitment of natural killer (NK) cells to inflamed tissues (By similarity). Acts as a regulator of inflammation process leading to atherogenesis by mediating macrophage and monocyte recruitment to inflamed atherosclerotic plaques, promoting cell survival (By similarity). Involved in airway inflammation by promoting interleukin 2-producing T helper (Th2) cell survival in inflamed lung (By similarity). Involved in the migration of circulating monocytes to non-inflamed tissues, where they differentiate into macrophages and dendritic cells (By similarity). Acts as a negative regulator of angiogenesis, probably by promoting macrophage chemotaxis (PubMed : 14581400, PubMed : 18971423). Plays a key role in brain microglia by regulating inflammatory response in the central nervous system (CNS) and regulating synapse maturation (By similarity). Required to restrain the microglial inflammatory response in the CNS and the resulting parenchymal damage in response to pathological stimuli (By similarity). Involved in brain development by participating in synaptic pruning, a natural process during which brain microglia eliminates extra synapses during postnatal development (By similarity). Synaptic pruning by microglia is required to promote the maturation of circuit connectivity during brain development (By similarity). Acts as an important regulator of the gut microbiota by controlling immunity to intestinal bacteria and fungi (By similarity). Expressed in lamina propria dendritic cells in the small intestine, which form transepithelial dendrites capable of taking up bacteria in order to provide defense against pathogenic bacteria (By similarity). Required to initiate innate and adaptive immune responses against dissemination of commensal fungi (mycobiota) component of the gut : expressed in mononuclear phagocytes (MNPs) and acts by promoting induction of antifungal IgG antibodies response to confer protection against disseminated C.albicans or C.auris infection (PubMed : 29326275). Also acts as a receptor for C-C motif chemokine CCL26, inducing cell chemotaxis (PubMed : 20974991).. Isoform 1. (Microbial infection) Acts as a coreceptor with CD4 for HIV-1 virus envelope protein.. Isoform 2. (Microbial infection) Acts as a coreceptor with CD4 for HIV-1 virus envelope protein (PubMed : 14607932). May have more potent HIV-1 coreceptothr activity than isoform 1 (PubMed : 14607932).. Isoform 3. (Microbial infection) Acts as a coreceptor with CD4 for HIV-1 virus envelope protein (PubMed : 14607932). May have more potent HIV-1 coreceptor activity than isoform 1 (PubMed : 14607932).
See full target information CX3CR1

文献 (15)

Recent publications for all applications. Explore the full list and refine your search

Frontiers in molecular neuroscience 15:1031278 PubMed36518186

2022

Cochlear resident macrophage mediates development of ribbon synapses CX3CR1/CX3CL1 axis.

Applications

Unspecified application

Species

Unspecified reactive species

Xinyu Song,Yang Li,Rui Guo,Qianru Yu,Shan Liu,Qi Teng,Zhong-Rui Chen,Jing Xie,Shusheng Gong,Ke Liu

Journal of neuroinflammation 17:209 PubMed32664984

2020

CX3CL1/CX3CR1 axis attenuates early brain injury via promoting the delivery of exosomal microRNA-124 from neuron to microglia after subarachnoid hemorrhage.

Applications

Unspecified application

Species

Unspecified reactive species

Xiao Chen,Ming Jiang,Haiying Li,Yang Wang,Haitao Shen,Xiang Li,Yunhai Zhang,Jiang Wu,Zhengquan Yu,Gang Chen

Journal of neuropathology and experimental neurology 78:492-500 PubMed31058279

2019

Tissue Transglutaminase Appears in Monocytes and Macrophages but Not in Lymphocytes in White Matter Multiple Sclerosis Lesions.

Applications

Unspecified application

Species

Unspecified reactive species

Navina L Chrobok,John G J M Bol,Micha M M Wilhelmus,Benjamin Drukarch,Anne-Marie van Dam

Inflammation 41:2246-2264 PubMed30097812

2018

Anti-inflammatory Action of Metformin with Respect to CX3CL1/CX3CR1 Signaling in Human Placental Circulation in Normal-Glucose Versus High-Glucose Environments.

Applications

Unspecified application

Species

Unspecified reactive species

D Szukiewicz,Grzegorz Szewczyk,Michal Pyzlak,Aleksandra Stangret,Michal Bachanek,Seweryn Trojanowski,Habib Alkhalayla,Jaroslaw Wejman

European journal of medical research 22:40 PubMed29020986

2017

Colorectal cancer-infiltrating T lymphocytes display a distinct chemokine receptor expression profile.

Applications

Flow Cyt

Species

Human

Ann-Britt Löfroos,Mohammad Kadivar,Sabina Resic Lindehammer,Jan Marsal

Mediators of inflammation 2017:9853108 PubMed28655972

2017

High Glucose Level Disturbs the Resveratrol-Evoked Curtailment of CX3CL1/CX3CR1 Signaling in Human Placental Circulation.

Applications

IHC

Species

Human

Dariusz Szukiewicz,Michal Pyzlak,Grzegorz Szewczyk,Aleksandra Stangret,Seweryn Trojanowski,Michal Bachanek,Wojciech Braksator,Jaroslaw Wejman

The Journal of neuroscience : the official journal of the Society for Neuroscience 36:9962-75 PubMed27656033

2016

Interfering with the Chronic Immune Response Rescues Chronic Degeneration After Traumatic Brain Injury.

Applications

IHC-FrFl

Species

Mouse

Ali Ertürk,Susanne Mentz,Erik E Stout,Maj Hedehus,Sara L Dominguez,Lisa Neumaier,Franziska Krammer,Gemma Llovera,Karpagam Srinivasan,David V Hansen,Arthur Liesz,Kimberly A Scearce-Levie,Morgan Sheng

PLoS pathogens 11:e1005318 PubMed26658574

2015

Respiratory Syncytial Virus Uses CX3CR1 as a Receptor on Primary Human Airway Epithelial Cultures.

Applications

IHC

Species

Unspecified reactive species

Sara M Johnson,Beth A McNally,Ioannis Ioannidis,Emilio Flano,Michael N Teng,Antonius G Oomens,Edward E Walsh,Mark E Peeples

Cardiovascular drugs and therapy 29:219-29 PubMed25959742

2015

Aspirin Action in Endothelial Cells: Different Patterns of Response Between Chemokine CX3CL1/CX3CR1 and TNF-α/TNFR1 Signaling Pathways.

Applications

IHC

Species

Unspecified reactive species

Dariusz Szukiewicz,Malgorzata Wojciechowska,Anna Bilska,Aleksandra Stangret,Grzegorz Szewczyk,Tarun Kumar Mittal,Mateusz Watroba,Jan Kochanowski

Journal of inflammation (London, England) 11:12 PubMed24851083

2014

Chorioamnionitis (ChA) modifies CX3CL1 (fractalkine) production by human amniotic epithelial cells (HAEC) under normoxic and hypoxic conditions.

Applications

IHC

Species

Unspecified reactive species

Dariusz Szukiewicz,Jan Kochanowski,Tarun Kumar Mittal,Michal Pyzlak,Grzegorz Szewczyk,Krzysztof Cendrowski
View all publications

Abcam product promise

当社は、高品質な試薬を通じてお客様の研究を力強くサポートすることをお約束いたします。ご使用いただく各段階で、常にお客様をサポートできる体制を整えております。万が一、製品が期待通りに機能しない場合は、「Abcam Product Promise」による当社保証制度に基づき、安心してご利用いただけます。
保証に関する詳細については利用規約をご確認ください。

関連製品

Select an associated product type
Alternative Product
Primary Antibodies

AB167571

Anti-CX3CR1 antibody

primary-antibodies

cx3cr1-antibody-ab167571

0

(0 reviews)

Alternative Product
Primary Antibodies

AB95620

Biotin Anti-CX3CR1 antibody [2A9-1]

primary-antibodies

biotin-cx3cr1-antibody-2a9-1-ab95620

0

(0 reviews)

Alternative Product
Primary Antibodies

AB245248

Anti-CX3CR1 antibody [EPR22354-15]

primary-antibodies

cx3cr1-antibody-epr22354-15-ab245248

0

(0 reviews)

Alternative Product
Primary Antibodies

AB267834

Anti-CX3CR1 antibody [EPR22354-15] - BSA and Azide free

primary-antibodies

cx3cr1-antibody-epr22354-15-bsa-and-azide-free-ab267834

0

(0 reviews)

Alternative Product
Primary Antibodies

AB184678

Anti-CX3CR1 antibody [8E10.D9]

primary-antibodies

cx3cr1-antibody-8e10d9-ab184678

1

(1 reviews)

Alternative Product
Primary Antibodies

AB7201

Anti-CX3CR1 antibody

primary-antibodies

cx3cr1-antibody-ab7201

0

(0 reviews)

Please note: All products are 'FOR RESEARCH USE ONLY. NOT FOR USE IN DIAGNOSTIC OR THERAPEUTIC PROCEDURES'.

For licensing inquiries, please contact partnerships@abcam.com