JavaScript is disabled in your browser. Please enable JavaScript to view this website.
AB75817

Anti-Cullin 1/CUL-1 抗体 [EPR3103Y]

Anti-Cullin 1/CUL-1 antibody [EPR3103Y]

Be the first to review this product! Submit a review

|

(49 Publications)

Rabbit Recombinant Monoclonal Cullin 1/CUL-1 antibody. Suitable for IHC-P, IP, WB, ICC/IF, Flow Cyt (Intra) and reacts with Human, Rat, Mouse samples. Cited in 49 publications.

別名を表示する

Cullin-1, CUL-1, CUL1

12 Images
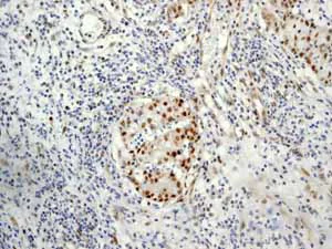
Immunohistochemistry (Formalin/PFA-fixed paraffin-embedded sections) - Anti-Cullin 1/CUL-1 antibody [EPR3103Y] (AB75817)
  • IHC-P

Unknown

Immunohistochemistry (Formalin/PFA-fixed paraffin-embedded sections) - Anti-Cullin 1/CUL-1 antibody [EPR3103Y] (AB75817)

Unpurified ab75817 showing positive staining in human Ovarian carcinoma tissue.

Perform heat mediated antigen retrieval before commencing with IHC staining protocol.

Flow Cytometry (Intracellular) - Anti-Cullin 1/CUL-1 antibody [EPR3103Y] (AB75817)
  • Flow Cyt (Intra)

Unknown

Flow Cytometry (Intracellular) - Anti-Cullin 1/CUL-1 antibody [EPR3103Y] (AB75817)

Intracellular Flow Cytometry analysis of HeLa (human cervix adenocarcinoma) cells labeling Cullin 1/CUL-1 with purified ab75817 at 1/20 dilution (10ug/mL) (red). Cells were fixed with 4% paraformaldehyde and permeabilised with 90% methanol. A Goat anti rabbit IgG (Alexa Fluorr®488) (1/2000 dilution) was used as the secondary antibody. Rabbit monoclonal IgG (Black) was used as the isotype control, cells without incubation with primary antibody and secondary antibody (Blue) were used as the unlabeled control.

Immunohistochemistry (Formalin/PFA-fixed paraffin-embedded sections) - Anti-Cullin 1/CUL-1 antibody [EPR3103Y] (AB75817)
  • IHC-P

Unknown

Immunohistochemistry (Formalin/PFA-fixed paraffin-embedded sections) - Anti-Cullin 1/CUL-1 antibody [EPR3103Y] (AB75817)

Immunohistochemical staining of paraffin embedded human lung carcinoma with purified ab75817 at a working dilution of 1/50. The secondary antibody used is HRP goat anti-rabbit IgG H&L (ab97051) at 1/500. The sample is counter-stained with hematoxylin. Antigen retrieval was perfomed using Tris-EDTA buffer, pH 9.0. PBS was used instead of the primary antibody as the negative control, and is shown in the inset.

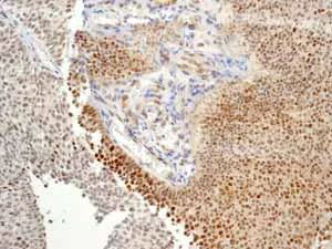
Immunohistochemistry (Formalin/PFA-fixed paraffin-embedded sections) - Anti-Cullin 1/CUL-1 antibody [EPR3103Y] (AB75817)
  • IHC-P

Unknown

Immunohistochemistry (Formalin/PFA-fixed paraffin-embedded sections) - Anti-Cullin 1/CUL-1 antibody [EPR3103Y] (AB75817)

Unpurified ab75817 showing positive staining in Normal human tonsil tissue.

Perform heat mediated antigen retrieval before commencing with IHC staining protocol.

Immunocytochemistry/ Immunofluorescence - Anti-Cullin 1/CUL-1 antibody [EPR3103Y] (AB75817)
  • ICC/IF

Unknown

Immunocytochemistry/ Immunofluorescence - Anti-Cullin 1/CUL-1 antibody [EPR3103Y] (AB75817)

Immunofluorescence staining of HeLa cells with purified ab75817 at a working dilution of 1/1000, counter-stained with DAPI. The secondary antibody was Alexa Fluor® 488 goat anti-rabbit (ab150077), used at a dilution of 1/1000. ab7291, a mouse anti-tubulin antibody (1/1000), was used to stain tubulin along with ab150120 (Alexa Fluor® 594 goat anti-mouse, 1/1000), shown in the top right hand panel. The cells were fixed in 4% PFA and permeabilized using 0.1% Triton X 100. The negative controls are shown in bottom middle and right hand panels - for negative control 1, purified ab75817 was used at a dilution of 1/500 followed by an Alexa Fluor® 594 goat anti-mouse antibody (ab150120) at a dilution of 1/500. For negative control 2, ab7291 (mouse anti-tubulin) was used at a dilution of 1/500 followed by an Alexa Fluor® 488 goat anti-rabbit antibody (ab150077) at a dilution of 1/400.

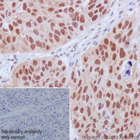
Immunohistochemistry (Formalin/PFA-fixed paraffin-embedded sections) - Anti-Cullin 1/CUL-1 antibody [EPR3103Y] (AB75817)
  • IHC-P

Unknown

Immunohistochemistry (Formalin/PFA-fixed paraffin-embedded sections) - Anti-Cullin 1/CUL-1 antibody [EPR3103Y] (AB75817)

Unpurified ab75817 at 1/100 dilution staining Cullin 1/CUL-1 in human cervical carcinoma by Immunohistochemistry, Paraffin-embedded tissue.

Perform heat mediated antigen retrieval before commencing with IHC staining protocol.

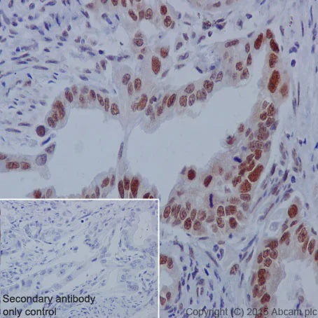
Immunohistochemistry (Formalin/PFA-fixed paraffin-embedded sections) - Anti-Cullin 1/CUL-1 antibody [EPR3103Y] (AB75817)
  • IHC-P

Unknown

Immunohistochemistry (Formalin/PFA-fixed paraffin-embedded sections) - Anti-Cullin 1/CUL-1 antibody [EPR3103Y] (AB75817)

Unpurified ab75817 showing positive staining in human Urinary bladder transitional carcinoma tissue.

Perform heat mediated antigen retrieval before commencing with IHC staining protocol.

Immunohistochemistry (Formalin/PFA-fixed paraffin-embedded sections) - Anti-Cullin 1/CUL-1 antibody [EPR3103Y] (AB75817)
  • IHC-P

Unknown

Immunohistochemistry (Formalin/PFA-fixed paraffin-embedded sections) - Anti-Cullin 1/CUL-1 antibody [EPR3103Y] (AB75817)

Immunohistochemical staining of paraffin embedded human cervical carcinoma with purified ab75817 at a working dilution of 1/50. The secondary antibody used is HRP goat anti-rabbit IgG H&L (ab97051) at 1/500. The sample is counter-stained with hematoxylin. Antigen retrieval was perfomed using Tris-EDTA buffer, pH 9.0. PBS was used instead of the primary antibody as the negative control, and is shown in the inset.

Immunoprecipitation - Anti-Cullin 1/CUL-1 antibody [EPR3103Y] (AB75817)
  • IP

Unknown

Immunoprecipitation - Anti-Cullin 1/CUL-1 antibody [EPR3103Y] (AB75817)

ab75817 (purified) at 1/120 immunoprecipitating Cullin 1 in 10 μg MCF7 whole cell lysate (Lanes 1 and 2, observed at 90 kDa). Lane 3 - PBS. For western blotting, VeriBlot for IP Detection Reagent (HRP) (ab131366), was used for detection at 1/1500 dilution. Blocking buffer and concentration : 5% NFDM/TBST Dilution buffer and concentration : 5% NFDM/TBST

All lanes:

Immunoprecipitation - Anti-Cullin 1/CUL-1 antibody [EPR3103Y] (ab75817)

Predicted band size: 90 kDa

false

Western blot - Anti-Cullin 1/CUL-1 antibody [EPR3103Y] (AB75817)
  • WB

Lab

Western blot - Anti-Cullin 1/CUL-1 antibody [EPR3103Y] (AB75817)

Blocking buffer : 5% NFDM/TBST
Dilution buffer : 5% NFDM/TBST

All lanes:

Western blot - Anti-Cullin 1/CUL-1 antibody [EPR3103Y] (ab75817) at 1/1000 dilution

Lane 1:

HeLa cell lysate at 10 µg

Lane 2:

MCF7 cell lysate at 10 µg

Lane 3:

A549 cell lysate at 10 µg

Lane 4:

MDA-MB-435 cell lysate at 10 µg

Secondary

All lanes:

HRP goat anti-rabbit IgG (H+L) at 1/50000 dilution

Predicted band size: 47 kDa,90 kDa

Observed band size: 49 kDa,90 kDa

false

Western blot - Anti-Cullin 1/CUL-1 antibody [EPR3103Y] (AB75817)
  • WB

Lab

Western blot - Anti-Cullin 1/CUL-1 antibody [EPR3103Y] (AB75817)

Blocking buffer : 5% NFDM/TBST
Dilution buffer : 5% NFDM/TBST

All lanes:

Western blot - Anti-Cullin 1/CUL-1 antibody [EPR3103Y] (ab75817) at 1/1000 dilution

Lane 1:

PC-12 cell lysate at 10 µg

Lane 2:

NIH/3T3 cell lysate at 10 µg

Lane 3:

mouse brain cell lysate at 10 µg

Secondary

All lanes:

HRP goat anti-rabbit IgG (H+L) at 1/50000 dilution

Predicted band size: 90 kDa

Observed band size: 90 kDa

false

Western blot - Anti-Cullin 1/CUL-1 antibody [EPR3103Y] (AB75817)
  • WB

Unknown

Western blot - Anti-Cullin 1/CUL-1 antibody [EPR3103Y] (AB75817)

All lanes:

Western blot - Anti-Cullin 1/CUL-1 antibody [EPR3103Y] (ab75817) at 1/5000 dilution

Lane 1:

HeLa cell lysate at 10 µg

Lane 2:

MCF7 cell lysate at 10 µg

Lane 3:

A549 cell lysate at 10 µg

Lane 4:

PC12 cell lysate at 10 µg

Secondary

All lanes:

goat anti-rabbit HRP at 1/2000 dilution

Predicted band size: 90 kDa

Observed band size: 90 kDa

false

関連する標識済み抗体及び組成の異なる製品 (10)

  • Carrier free

    Anti-Cullin 1/CUL-1 antibody [EPR3103Y] - BSA and Azide free

  • 660 APC

    APC Anti-Cullin 1 / CUL-1 antibody [EPR3103Y]

  • HRP

    HRP Anti-Cullin 1 / CUL-1 antibody [EPR3103Y]

  • 617 Alexa Fluor® 594

    Alexa Fluor® 594 Anti-Cullin 1 / CUL-1 antibody [EPR3103Y]

  • 519 Alexa Fluor® 488

    Alexa Fluor® 488 Anti-Cullin 1 / CUL-1 antibody [EPR3103Y]

  • 603 Alexa Fluor® 568

    Alexa Fluor® 568 Anti-Cullin 1 / CUL-1 antibody [EPR3103Y]

  • 578 PE

    PE Anti-Cullin 1 / CUL-1 antibody [EPR3103Y]

  • 665 Alexa Fluor® 647

    Alexa Fluor® 647 Anti-Cullin 1 / CUL-1 antibody [EPR3103Y]

  • 565 Alexa Fluor® 555

    Alexa Fluor® 555 Anti-Cullin 1 / CUL-1 antibody [EPR3103Y]

  • 775 Alexa Fluor® 750

    Alexa Fluor® 750 Anti-Cullin 1/CUL-1 antibody [EPR3103Y]

Key facts

宿主種

Rabbit

クローン性

Monoclonal

クローン番号

EPR3103Y

アイソタイプ

IgG

キャリアフリー

No

交差種

Mouse, Rat, Human

アプリケーション

IHC-P, IP, ICC/IF, WB, Flow Cyt (Intra)

applications

免疫原

The exact immunogen used to generate this antibody is proprietary information.

Reactivity data

{ "title": "Reactivity Data", "filters": { "stats": ["", "Species", "Dilution Info", "Notes"], "tabs": { "all-applications": {"fullname" : "All Applications", "shortname": "All Applications"}, "IHCP" : {"fullname" : "Immunohistochemistry (Formalin/PFA-fixed paraffin-embedded sections)", "shortname":"IHC-P"}, "IP" : {"fullname" : "Immunoprecipitation", "shortname":"IP"}, "WB" : {"fullname" : "Western blot", "shortname":"WB"}, "ICCIF" : {"fullname" : "Immunocytochemistry/ Immunofluorescence", "shortname":"ICC/IF"}, "FlowCytIntra" : {"fullname" : "Flow Cytometry (Intracellular)", "shortname":"Flow Cyt (Intra)"} }, "product-promise": { "all": "all", "testedAndGuaranteed": "tested", "guaranteed": "expected", "predicted": "predicted", "notRecommended": "not-recommended" } }, "values": { "Human": { "IHCP-species-checked": "testedAndGuaranteed", "IHCP-species-dilution-info": "1/50 - 1/250", "IHCP-species-notes": "<p></p>", "IP-species-checked": "testedAndGuaranteed", "IP-species-dilution-info": "1/10 - 1/50", "IP-species-notes": "<p></p>", "WB-species-checked": "testedAndGuaranteed", "WB-species-dilution-info": "1/1000", "WB-species-notes": "<p><strong>For unpurified, use 1/2500 - 1/5000.</strong></p>", "ICCIF-species-checked": "testedAndGuaranteed", "ICCIF-species-dilution-info": "1/100 - 1/250", "ICCIF-species-notes": "<p></p>", "FlowCytIntra-species-checked": "testedAndGuaranteed", "FlowCytIntra-species-dilution-info": "1/20", "FlowCytIntra-species-notes": "<p></p>" }, "Mouse": { "IHCP-species-checked": "guaranteed", "IHCP-species-dilution-info": "", "IHCP-species-notes": "", "IP-species-checked": "guaranteed", "IP-species-dilution-info": "", "IP-species-notes": "", "WB-species-checked": "testedAndGuaranteed", "WB-species-dilution-info": "1/1000", "WB-species-notes": "<p><strong>For unpurified, use 1/2500 - 1/5000.</strong></p>", "ICCIF-species-checked": "guaranteed", "ICCIF-species-dilution-info": "", "ICCIF-species-notes": "", "FlowCytIntra-species-checked": "guaranteed", "FlowCytIntra-species-dilution-info": "", "FlowCytIntra-species-notes": "" }, "Rat": { "IHCP-species-checked": "guaranteed", "IHCP-species-dilution-info": "", "IHCP-species-notes": "", "IP-species-checked": "guaranteed", "IP-species-dilution-info": "", "IP-species-notes": "", "WB-species-checked": "testedAndGuaranteed", "WB-species-dilution-info": "1/1000", "WB-species-notes": "<p><strong>For unpurified, use 1/2500 - 1/5000.</strong></p>", "ICCIF-species-checked": "guaranteed", "ICCIF-species-dilution-info": "", "ICCIF-species-notes": "", "FlowCytIntra-species-checked": "guaranteed", "FlowCytIntra-species-dilution-info": "", "FlowCytIntra-species-notes": "" } } }

製品の詳細

Patented technology
Our RabMAb® technology is a patented hybridoma-based technology for making rabbit monoclonal antibodies. For details on our patents, please refer to RabMAb® patents.

What are the advantages of a recombinant monoclonal antibody?
This product is a recombinant monoclonal antibody, which offers several advantages including:

  • - High batch-to-batch consistency and reproducibility
  • - Improved sensitivity and specificity
  • - Long-term security of supply
  • - Animal-free batch production

For more information, read more on recombinant antibodies.

出荷温度及び保存条件

製品の状態
Liquid
精製方法
Affinity purification Protein A
バッファー組成
pH: 7.2 - 7.4 Preservative: 0.01% Sodium azide Constituents: PBS, 40% Glycerol (glycerin, glycerine), 0.05% BSA
出荷温度
Blue Ice
短期保存期間
1-2 weeks
短期保存温度
+4°C
長期保存温度
-20°C
分注に関する情報
Upon delivery aliquot
保管に関する情報
Stable for 12 months at -20°C

製品プロトコール

For this product, it's our understanding that no specific protocols are required. You can visit:

ターゲットの情報

Core component of multiple cullin-RING-based SCF (SKP1-CUL1-F-box protein) E3 ubiquitin-protein ligase complexes, which mediate the ubiquitination of proteins involved in cell cycle progression, signal transduction and transcription. SCF complexes and ARIH1 collaborate in tandem to mediate ubiquitination of target proteins (PubMed : 22017875, PubMed : 22017877, PubMed : 27565346). In the SCF complex, serves as a rigid scaffold that organizes the SKP1-F-box protein and RBX1 subunits. May contribute to catalysis through positioning of the substrate and the ubiquitin-conjugating enzyme (PubMed : 38326650). The E3 ubiquitin-protein ligase activity of the complex is dependent on the neddylation of the cullin subunit and exchange of the substrate recognition component is mediated by TIP120A/CAND1 (PubMed : 12609982, PubMed : 38326650). The functional specificity of the SCF complex depends on the F-box protein as substrate recognition component (PubMed : 38326650). SCF(BTRC) and SCF(FBXW11) direct ubiquitination of CTNNB1 and participate in Wnt signaling. SCF(FBXW11) directs ubiquitination of phosphorylated NFKBIA. SCF(BTRC) directs ubiquitination of NFKBIB, NFKBIE, ATF4, SMAD3, SMAD4, CDC25A, FBXO5 and probably NFKB2. SCF(BTRC) and/or SCF(FBXW11) direct ubiquitination of CEP68 (PubMed : 25503564, PubMed : 25704143). SCF(SKP2) directs ubiquitination of phosphorylated CDKN1B/p27kip and is involved in regulation of G1/S transition. SCF(SKP2) directs ubiquitination of ORC1, CDT1, RBL2, ELF4, CDKN1A, RAG2, FOXO1A, and probably MYC and TAL1. SCF(FBXW7) directs ubiquitination of CCNE1, NOTCH1 released notch intracellular domain (NICD), and probably PSEN1. SCF(FBXW2) directs ubiquitination of GCM1. SCF(FBXO32) directs ubiquitination of MYOD1. SCF(FBXO7) directs ubiquitination of BIRC2 and DLGAP5. SCF(FBXO33) directs ubiquitination of YBX1. SCF(FBXO1) directs ubiquitination of BCL6 and DTL but does not seem to direct ubiquitination of TP53. SCF(BTRC) mediates the ubiquitination of NFKBIA at 'Lys-21' and 'Lys-22'; the degradation frees the associated NFKB1-RELA dimer to translocate into the nucleus and to activate transcription. SCF(CCNF) directs ubiquitination of CCP110. SCF(FBXL3) and SCF(FBXL21) direct ubiquitination of CRY1 and CRY2. SCF(FBXO9) directs ubiquitination of TTI1 and TELO2. SCF(FBXO10) directs ubiquitination of BCL2. Neddylated CUL1-RBX1 ubiquitinates p53/TP53 recruited by Cul7-RING(FBXW8) complex (PubMed : 35982156). SCF(BTRC) directs 'Lys-48'-linked ubiquitination of UBR2 in the T-cell receptor signaling pathway (PubMed : 38225265).
See full target information CUL1

文献 (49)

Recent publications for all applications. Explore the full list and refine your search

Journal of virology 99:e0089825 PubMed40719442

2025

The vaccinia virus protein, C16, promotes the ubiquitylation and relocalization of the antiviral E3 ubiquitin-ligase, TRIM25.

Applications

Unspecified application

Species

Unspecified reactive species

Jianing Dong,Shu Yue Luo,Summer Smyth,Grace Melvie,Olivier Julien,Robert J Ingham

Frontiers in immunology 16:1524110 PubMed40529355

2025

Fbxo16 mediates degradation of NF-κB p65 subunit and inhibits inflammatory response in dendritic cells.

Applications

Unspecified application

Species

Unspecified reactive species

Akiko Sugimoto-Ishige,Aya Jodo,Takashi Tanaka

Infection and immunity 93:e0055924 PubMed39976440

2025

alters the intranuclear balance of cullin-1 and c-MYC to inhibit apoptosis.

Applications

Unspecified application

Species

Unspecified reactive species

Paige E Allen,Haley E Adcox,Thomas E Siff,Sarika Gupta,Jason R Hunt,Jason A Carlyon

Communications biology 8:214 PubMed39934243

2025

Inhibition of SCF/USP22-dependent nuclear β-catenin ubiquitylation mediates cerebral ischemic tolerance.

Applications

Unspecified application

Species

Unspecified reactive species

Yunyan Zuo,Jiahui Xue,Haixia Wen,Lixuan Zhan,Meiyan Chen,Weiwen Sun,En Xu

EMBO reports 26:1344-1366 PubMed39915298

2025

HSC70 coordinates COP9 signalosome and SCF ubiquitin ligase activity to enable a prompt stress response.

Applications

Unspecified application

Species

Unspecified reactive species

Shunsuke Nishimura,Hidetaka Kioka,Shan Ding,Hideyuki Hakui,Haruki Shinomiya,Kazuya Tanabe,Tatsuro Hitsumoto,Ken Matsuoka,Hisakazu Kato,Osamu Tsukamoto,Yoshihiro Asano,Seiji Takashima,Radoslav I Enchev,Yasushi Sakata

Clinical science (London, England : 1979) 139: PubMed39866066

2025

Blockade of neddylation through targeted inhibition of DCN1 alleviates renal fibrosis.

Applications

Unspecified application

Species

Unspecified reactive species

Jin-Ling Huo,Wenjia Fu,Qi Feng,Shaokang Pan,Dongwei Liu,Zhangsuo Liu

Nature communications 15:10536 PubMed39627198

2024

CRL3 E3 ligase facilitates ubiquitin-mediated degradation of oncogenic SRX to suppress colorectal cancer progression.

Applications

Unspecified application

Species

Unspecified reactive species

Feng Zhu,Liangshan Li,Yuanyuan Chen,Yongfu Pan,Wenjuan Zhang,Lihui Li,Lili Cai,Xiaoxue Zhao,Hu Zhao,Shiwen Wang,Lijun Jia

Open medicine (Warsaw, Poland) 19:20241070 PubMed39588388

2024

Significant role and the underly mechanism of cullin-1 in chronic obstructive pulmonary disease.

Applications

Unspecified application

Species

Unspecified reactive species

Wenbo Hao,Fei Lin,Weili Kong,Hanbing Shi,Haiying Dong,Zhanjiang Guan,Guohua Liu,Xiao Wang,Li Wang,Moran Liu,Yunfei Jiang

Communications biology 7:1530 PubMed39558086

2024

KDM2B regulates stroke injury by modulating OGT-mediated 0-GlcNAcylation of SLC7A11.

Applications

Unspecified application

Species

Unspecified reactive species

Yi Li,Liangbo Niu,Dai Zheng,Xinxing Zhang,Lu Feng,Jing Fu

Nature communications 15:9820 PubMed39537588

2024

Succinate dehydrogenase deficiency-driven succinate accumulation induces drug resistance in acute myeloid leukemia via ubiquitin-cullin regulation.

Applications

Unspecified application

Species

Unspecified reactive species

Yifan Chen,Miao Xian,Wenwen Ying,Jiayi Liu,Shaowei Bing,Xiaomin Wang,Jiayi Yu,Xiaojun Xu,Senfeng Xiang,Xuejing Shao,Ji Cao,Qiaojun He,Bo Yang,Meidan Ying
View all publications

Abcam product promise

当社は、高品質な試薬を通じてお客様の研究を力強くサポートすることをお約束いたします。ご使用いただく各段階で、常にお客様をサポートできる体制を整えております。万が一、製品が期待通りに機能しない場合は、「Abcam Product Promise」による当社保証制度に基づき、安心してご利用いただけます。
保証に関する詳細については利用規約をご確認ください。

Please note: All products are 'FOR RESEARCH USE ONLY. NOT FOR USE IN DIAGNOSTIC OR THERAPEUTIC PROCEDURES'.

For licensing inquiries, please contact partnerships@abcam.com