JavaScript is disabled in your browser. Please enable JavaScript to view this website.
AB36870

Anti-CTRP3 抗体

Anti-CTRP3 antibody

Be the first to review this product! Submit a review

|

(17 Publications)

Rabbit Polyclonal CTRP3 antibody. Suitable for WB, IHC-P, ICC/IF and reacts with Mouse samples. Cited in 17 publications. Immunogen corresponding to Synthetic Peptide within Human C1QTNF3.

別名を表示する

CTRP3, UNQ753/PRO1484, C1QTNF3, Complement C1q tumor necrosis factor-related protein 3, Collagenous repeat-containing sequence 26 kDa protein, Secretory protein CORS26, CORS26

3 Images
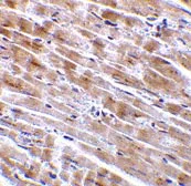
Immunohistochemistry (Formalin/PFA-fixed paraffin-embedded sections) - Anti-CTRP3 antibody (AB36870)
  • IHC-P

Unknown

Immunohistochemistry (Formalin/PFA-fixed paraffin-embedded sections) - Anti-CTRP3 antibody (AB36870)

ab36870 at 2μg/ml staining CTRP3 in mouse heart tissue by IHC

Immunocytochemistry/ Immunofluorescence - Anti-CTRP3 antibody (AB36870)
  • ICC/IF

Unknown

Immunocytochemistry/ Immunofluorescence - Anti-CTRP3 antibody (AB36870)

Immunofluorescence of CTRP3 in Mouse Heart cells using ab36870 at 10 ug/ml.

Western blot - Anti-CTRP3 antibody (AB36870)
  • WB

Unknown

Western blot - Anti-CTRP3 antibody (AB36870)

In lane 1 (left) no blocking peptide present; in lane 2 (right) blocking peptide is present. These proteins are often highly modified post-translationally and may migrate in SDS-PAGE at positions other than their predicted size.

All lanes:

Western blot - Anti-CTRP3 antibody (ab36870) at 1 µg/mL

All lanes:

Mouse heart cell lysate

Predicted band size: 27 kDa

Observed band size: 36 kDa

false

Key facts

宿主種

Rabbit

クローン性

Polyclonal

アイソタイプ

IgG

キャリアフリー

No

交差種

Mouse

アプリケーション

ICC/IF, IHC-P, WB

applications

免疫原

Synthetic Peptide within Human C1QTNF3. The exact immunogen used to generate this antibody is proprietary information.

Q9BXJ4

Reactivity data

{ "title": "Reactivity Data", "filters": { "stats": ["", "Species", "Dilution Info", "Notes"], "tabs": { "all-applications": {"fullname" : "All Applications", "shortname": "All Applications"}, "WB" : {"fullname" : "Western blot", "shortname":"WB"}, "IHCP" : {"fullname" : "Immunohistochemistry (Formalin/PFA-fixed paraffin-embedded sections)", "shortname":"IHC-P"}, "ICCIF" : {"fullname" : "Immunocytochemistry/ Immunofluorescence", "shortname":"ICC/IF"} }, "product-promise": { "all": "all", "testedAndGuaranteed": "tested", "guaranteed": "expected", "predicted": "predicted", "notRecommended": "not-recommended" } }, "values": { "Mouse": { "WB-species-checked": "testedAndGuaranteed", "WB-species-dilution-info": "1.00000-2.00000 µg/mL", "WB-species-notes": "<p></p>", "IHCP-species-checked": "testedAndGuaranteed", "IHCP-species-dilution-info": "2 µg/mL", "IHCP-species-notes": "<p></p>", "ICCIF-species-checked": "testedAndGuaranteed", "ICCIF-species-dilution-info": "20 µg/mL", "ICCIF-species-notes": "<p></p>" } } }

出荷温度及び保存条件

製品の状態
Liquid
精製方法
Affinity purification Immunogen
バッファー組成
pH: 7.2 Preservative: 0.02% Sodium azide Constituents: PBS
出荷温度
Blue Ice
短期保存温度
+4°C
長期保存温度
+4°C

補足情報

This supplementary information is collated from multiple sources and compiled automatically.

CTRP3 also known as C1q/TNF-related protein 3 or Cartducin is a secreted protein with a molecular mass of approximately 25 kDa. This protein expresses in various tissues including adipose tissue liver and cartilage. The presence of CTRP3 in these diverse tissues suggests its involvement in various physiological processes. As a member of the CTRP family CTRP3 shares a conserved C1q domain which indicates potential functional similarities with other family members.
Biological function summary

The activity of CTRP3 impacts metabolic regulation and anti-inflammatory responses. Its action is not associated directly with a complex but it interacts with multiple signaling molecules and pathways. In adipocytes CTRP3 decreases glucose output and enhances insulin signaling. It also possesses anti-inflammatory properties by downregulating pro-inflammatory cytokines contributing to an overall reduced inflammatory state. These biological activities make CTRP3 a significant protein in metabolic homeostasis and immune response modulation.

Pathways

CTRP3 influences several mechanisms such as the insulin signaling pathway and the NF-kB signaling pathway. By interacting with proteins like Akt and AMPK within the insulin pathway CTRP3 enhances glucose uptake and utilization. It also modulates NF-kB activity suppressing inflammatory responses suggesting a protective role against chronic inflammation. These actions demonstrate CTRP3’s integration into important systems that coordinate metabolic health and immune function.

CTRP3 has connections to metabolic syndrome and osteoarthritis. Its role in metabolic regulation ties it with insulin resistance a core feature of metabolic syndrome. CTRP3 improves insulin sensitivity potentially mitigating associated disorders. In osteoarthritis its anti-inflammatory effect can influence disease progression by reducing inflammation in joint tissues. Proteins such as adiponectin and leptin are involved in these contexts with CTRP3 interacting functionally with them suggesting possible therapeutic targets for managing disease conditions linked to metabolic and inflammatory dysregulation.

製品プロトコール

For this product, it's our understanding that no specific protocols are required. You can visit:

ターゲットの情報

See full target information C1QTNF3

文献 (17)

Recent publications for all applications. Explore the full list and refine your search

PeerJ 11:e15890 PubMed37637169

2023

CTRP3 attenuates inflammation, oxidative and cell death in cisplatin induced HK-2 cells.

Applications

Unspecified application

Species

Unspecified reactive species

Chenglin Zou,Xun Tang,Tingting Guo,Tingting Jiang,Wenying Zhang,Jun Zhang

Experimental and therapeutic medicine 23:35 PubMed34849150

2021

Effects and mechanisms of CTRP3 overexpression in secondary brain injury following intracerebral hemorrhage in rats.

Applications

Unspecified application

Species

Unspecified reactive species

Yu Wan,Jieqiong Wang,Bo Yang,Conggai Huang,Xiaoqin Tang,Hong Yi,Yun Liu,Shaohua Wang

Science advances 7:eabg6069 PubMed34797714

2021

CTRP3 exacerbates tendinopathy by dysregulating tendon stem cell differentiation and altering extracellular matrix composition.

Applications

Unspecified application

Species

Unspecified reactive species

Yongsik Cho,Hyeon-Seop Kim,Donghyun Kang,Hyeonkyeong Kim,Narae Lee,Jihye Yun,Yi-Jun Kim,Kyoung Min Lee,Jin-Hee Kim,Hang-Rae Kim,Young-Il Hwang,Chris Hyunchul Jo,Jin-Hong Kim

Experimental biology and medicine (Maywood, N.J.) 247:174-183 PubMed34601891

2021

CTRP3 protects against uric acid-induced endothelial injury by inhibiting inflammation and oxidase stress in rats.

Applications

Unspecified application

Species

Unspecified reactive species

Junxia Zhang,Xue Lin,Jinxiu Xu,Feng Tang,Lupin Tan

Animal bioscience 34:1078-1087 PubMed33152229

2020

Isolation and identification of goose skeletal muscle satellite cells and preliminary study on the function of C1q and tumor necrosis factor-related protein 3 gene.

Applications

Unspecified application

Species

Unspecified reactive species

Han Wang,Ke He,Xuehua Zeng,Xiaolong Zhou,Feifei Yan,Songbai Yang,Ayong Zhao

Bioscience reports 40: PubMed32219332

2020

CTRP3 ameliorates cerulein-induced severe acute pancreatitis in mice via SIRT1/NF-κB/p53 axis.

Applications

Unspecified application

Species

Unspecified reactive species

Chunyang Lv,Yuan He,Mingli Wei,Guiyun Xu,Chuang Chen,Zhen Xu,Zhilong Ding

Scientific reports 10:5425 PubMed32214220

2020

Hypoxia-inducible factor-1 alpha maintains mouse articular cartilage through suppression of NF-κB signaling.

Applications

Unspecified application

Species

Unspecified reactive species

Keita Okada,Daisuke Mori,Yuma Makii,Hideki Nakamoto,Yasutaka Murahashi,Fumiko Yano,Song Ho Chang,Yuki Taniguchi,Hiroshi Kobayashi,Hiroaki Semba,Norihiko Takeda,Wen Piao,Kenjiro Hanaoka,Tetsuo Nagano,Sakae Tanaka,Taku Saito

International journal of clinical and experimental 13:142-152 PubMed32211094

2020

MiR-144 affects proliferation and apoptosis of high glucose-induced AC16 cardiomyocytes by regulating CTRP3/JNK signaling.

Applications

Unspecified application

Species

Unspecified reactive species

Yanling Song,Huade Mai,Yunyun Lin,Yachun Wang,Xiaoxi Wang,Shenhong Gu

Analytical cellular pathology (Amsterdam) 2019:7405602 PubMed31428552

2019

CTRP3 Protects against High Glucose-Induced Cell Injury in Human Umbilical Vein Endothelial Cells.

Applications

Unspecified application

Species

Unspecified reactive species

Fang Wang,Linlin Zhao,Yingguang Shan,Ran Li,Guijun Qin

Cell death & disease 10:530 PubMed31296837

2019

C1q/tumor necrosis factor-related protein-3-engineered mesenchymal stromal cells attenuate cardiac impairment in mice with myocardial infarction.

Applications

Unspecified application

Species

Unspecified reactive species

Zhengbin Zhang,Liwen Zhu,Pan Feng,Yanzhen Tan,Bing Zhang,Erhe Gao,Xiaowu Wang,Chongxi Fan,Xiaoming Wang,Wei Yi,Yang Sun
View all publications

Abcam product promise

当社は、高品質な試薬を通じてお客様の研究を力強くサポートすることをお約束いたします。ご使用いただく各段階で、常にお客様をサポートできる体制を整えております。万が一、製品が期待通りに機能しない場合は、「Abcam Product Promise」による当社保証制度に基づき、安心してご利用いただけます。
保証に関する詳細については利用規約をご確認ください。

Please note: All products are 'FOR RESEARCH USE ONLY. NOT FOR USE IN DIAGNOSTIC OR THERAPEUTIC PROCEDURES'.

For licensing inquiries, please contact partnerships@abcam.com