JavaScript is disabled in your browser. Please enable JavaScript to view this website.
AB10413

Anti-CSN1 抗体

Anti-CSN1 antibody

Be the first to review this product! Submit a review

|

(6 Publications)

Rabbit Polyclonal CSN1 antibody. Suitable for IHC-P, WB and reacts with Human samples. Cited in 6 publications. Immunogen corresponding to Synthetic Peptide within Human GPS1 aa 400 to C-terminus.

別名を表示する

COPS1, CSN1, GPS1, COP9 signalosome complex subunit 1, SGN1, Signalosome subunit 1, G protein pathway suppressor 1, JAB1-containing signalosome subunit 1, Protein MFH, GPS-1

2 Images
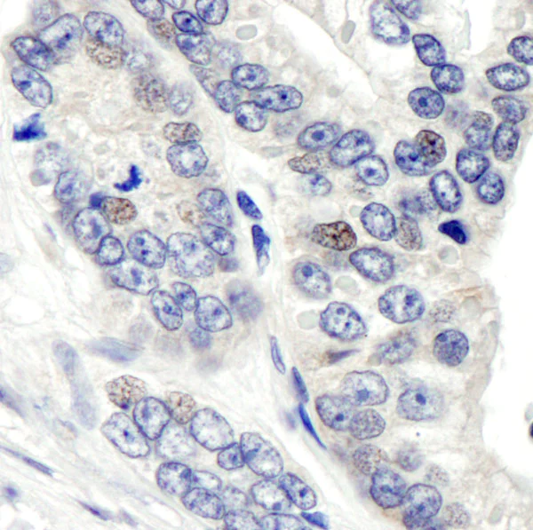
Immunohistochemistry (Formalin/PFA-fixed paraffin-embedded sections) - Anti-CSN1 antibody (AB10413)
  • IHC-P

Unknown

Immunohistochemistry (Formalin/PFA-fixed paraffin-embedded sections) - Anti-CSN1 antibody (AB10413)

Immunohistochemistry (Formalin/PFA-fixed paraffin-embedded sections) analysis of human prostate carcinoma tissue labelling CSN1 with ab10413 at 1/1000 (1µg/ml). Detection : DAB.

Western blot - Anti-CSN1 antibody (AB10413)
  • WB

Unknown

Western blot - Anti-CSN1 antibody (AB10413)

Detection of Human CSN1 by Western Blot. Samples : Whole cell lysate (50 mcg – E; 10 mcg – T) from mock transfected (E) or CSN1 transfected (T) HEK293T cells.

All lanes:

Western blot - Anti-CSN1 antibody (ab10413)

Predicted band size: 56 kDa

false

Key facts

宿主種

Rabbit

クローン性

Polyclonal

アイソタイプ

IgG

キャリアフリー

No

交差種

Human

アプリケーション

WB, IHC-P

applications

免疫原

Synthetic Peptide within Human GPS1 aa 400 to C-terminus. The exact immunogen used to generate this antibody is proprietary information.

Q13098

Reactivity data

{ "title": "Reactivity Data", "filters": { "stats": ["", "Species", "Dilution Info", "Notes"], "tabs": { "all-applications": {"fullname" : "All Applications", "shortname": "All Applications"}, "IHCP" : {"fullname" : "Immunohistochemistry (Formalin/PFA-fixed paraffin-embedded sections)", "shortname":"IHC-P"}, "WB" : {"fullname" : "Western blot", "shortname":"WB"} }, "product-promise": { "all": "all", "testedAndGuaranteed": "tested", "guaranteed": "expected", "predicted": "predicted", "notRecommended": "not-recommended" } }, "values": { "Human": { "IHCP-species-checked": "testedAndGuaranteed", "IHCP-species-dilution-info": "1/500 - 1/2000", "IHCP-species-notes": "<p></p> Perform heat-mediated antigen retrieval with citrate buffer pH 6 before commencing with IHC staining protocol.", "WB-species-checked": "testedAndGuaranteed", "WB-species-dilution-info": "1/1000 - 1/10000", "WB-species-notes": "<p></p>" }, "Mouse": { "IHCP-species-checked": "predicted", "IHCP-species-dilution-info": "", "IHCP-species-notes": "", "WB-species-checked": "predicted", "WB-species-dilution-info": "", "WB-species-notes": "" }, "Rat": { "IHCP-species-checked": "predicted", "IHCP-species-dilution-info": "", "IHCP-species-notes": "", "WB-species-checked": "predicted", "WB-species-dilution-info": "", "WB-species-notes": "" }, "Chicken": { "IHCP-species-checked": "predicted", "IHCP-species-dilution-info": "", "IHCP-species-notes": "", "WB-species-checked": "predicted", "WB-species-dilution-info": "", "WB-species-notes": "" }, "Chimpanzee": { "IHCP-species-checked": "predicted", "IHCP-species-dilution-info": "", "IHCP-species-notes": "", "WB-species-checked": "predicted", "WB-species-dilution-info": "", "WB-species-notes": "" }, "Cow": { "IHCP-species-checked": "predicted", "IHCP-species-dilution-info": "", "IHCP-species-notes": "", "WB-species-checked": "predicted", "WB-species-dilution-info": "", "WB-species-notes": "" }, "Dog": { "IHCP-species-checked": "predicted", "IHCP-species-dilution-info": "", "IHCP-species-notes": "", "WB-species-checked": "predicted", "WB-species-dilution-info": "", "WB-species-notes": "" }, "Gorilla": { "IHCP-species-checked": "predicted", "IHCP-species-dilution-info": "", "IHCP-species-notes": "", "WB-species-checked": "predicted", "WB-species-dilution-info": "", "WB-species-notes": "" }, "Guinea pig": { "IHCP-species-checked": "predicted", "IHCP-species-dilution-info": "", "IHCP-species-notes": "", "WB-species-checked": "predicted", "WB-species-dilution-info": "", "WB-species-notes": "" }, "Horse": { "IHCP-species-checked": "predicted", "IHCP-species-dilution-info": "", "IHCP-species-notes": "", "WB-species-checked": "predicted", "WB-species-dilution-info": "", "WB-species-notes": "" }, "Orangutan": { "IHCP-species-checked": "predicted", "IHCP-species-dilution-info": "", "IHCP-species-notes": "", "WB-species-checked": "predicted", "WB-species-dilution-info": "", "WB-species-notes": "" }, "Rhesus monkey": { "IHCP-species-checked": "predicted", "IHCP-species-dilution-info": "", "IHCP-species-notes": "", "WB-species-checked": "predicted", "WB-species-dilution-info": "", "WB-species-notes": "" }, "Turkey": { "IHCP-species-checked": "predicted", "IHCP-species-dilution-info": "", "IHCP-species-notes": "", "WB-species-checked": "predicted", "WB-species-dilution-info": "", "WB-species-notes": "" } } }

出荷温度及び保存条件

製品の状態
Liquid
精製方法
Affinity purification Immunogen
精製に関する特記事項
Antibodies were affinity purified using the peptide immobilized on solid support.
バッファー組成
pH: 7 - 8 Preservative: 0.1% Sodium azide Constituents: 1.815% Tris, 1.764% Sodium citrate, 0.021% PBS
出荷温度
Blue Ice
短期保存温度
+4°C
長期保存温度
-20°C
分注に関する情報
Upon delivery aliquot
保管に関する情報
Avoid freeze / thaw cycle

製品プロトコール

For this product, it's our understanding that no specific protocols are required. You can visit:

ターゲットの情報

Essential component of the COP9 signalosome complex (CSN), a complex involved in various cellular and developmental processes. The CSN complex is an essential regulator of the ubiquitin (Ubl) conjugation pathway by mediating the deneddylation of the cullin subunits of SCF-type E3 ligase complexes, leading to decrease the Ubl ligase activity of SCF-type complexes such as SCF, CSA or DDB2. The complex is also involved in phosphorylation of p53/TP53, c-jun/JUN, IkappaBalpha/NFKBIA, ITPK1 and IRF8/ICSBP, possibly via its association with CK2 and PKD kinases. CSN-dependent phosphorylation of TP53 and JUN promotes and protects degradation by the Ubl system, respectively. Suppresses G-protein- and mitogen-activated protein kinase-mediated signal transduction.
See full target information GPS1

文献 (6)

Recent publications for all applications. Explore the full list and refine your search

Biomolecules 13: PubMed37759725

2023

Neuroactive Steroid-Gut Microbiota Interaction in T2DM Diabetic Encephalopathy.

Applications

Unspecified application

Species

Unspecified reactive species

Silvia Diviccaro,Lucia Cioffi,Rocco Piazza,Donatella Caruso,Roberto Cosimo Melcangi,Silvia Giatti

Nutrients 14: PubMed36364920

2022

Aging Increases Susceptibility to Develop Cardiac Hypertrophy following High Sugar Consumption.

Applications

Unspecified application

Species

Unspecified reactive species

Ana P Valencia,Jeremy A Whitson,Shari Wang,Leon Nguyen,Laura J den Hartigh,Peter S Rabinovitch,David J Marcinek

Journal of bone and mineral research : the officia 34:1646-1659 PubMed30908713

2019

Compromised Exercise Capacity and Mitochondrial Dysfunction in the Osteogenesis Imperfecta Murine (oim) Mouse Model.

Applications

Unspecified application

Species

Unspecified reactive species

Victoria L Gremminger,Youngjae Jeong,Rory P Cunningham,Grace M Meers,R Scott Rector,Charlotte L Phillips

Journal of cellular physiology 234:21331-21341 PubMed31042008

2019

Anti-inflammatory roles of microRNA 21 in lipopolysaccharide-stimulated human dental pulp cells.

Applications

Unspecified application

Species

Unspecified reactive species

Keisuke Nara,Nobuyuki Kawashima,Sonoko Noda,Mayuko Fujii,Kentaro Hashimoto,Kento Tazawa,Takashi Okiji

Biology of sex differences 9:6 PubMed29351809

2018

Axonal transport in a peripheral diabetic neuropathy model: sex-dimorphic features.

Applications

Unspecified application

Species

Unspecified reactive species

Marzia Pesaresi,Silvia Giatti,Roberto Spezzano,Simone Romano,Silvia Diviccaro,Tiziana Borsello,Nico Mitro,Donatella Caruso,Luis Miguel Garcia-Segura,Roberto Cosimo Melcangi

The Journal of biological chemistry 281:17457-65 PubMed16624822

2006

Jab1 induces the cytoplasmic localization and degradation of p53 in coordination with Hdm2.

Applications

Unspecified application

Species

Unspecified reactive species

Wonkyung Oh,Eun-Woo Lee,Young Hoon Sung,Mi-Ran Yang,Jaewang Ghim,Han-Woong Lee,Jaewhan Song
View all publications

Abcam product promise

当社は、高品質な試薬を通じてお客様の研究を力強くサポートすることをお約束いたします。ご使用いただく各段階で、常にお客様をサポートできる体制を整えております。万が一、製品が期待通りに機能しない場合は、「Abcam Product Promise」による当社保証制度に基づき、安心してご利用いただけます。
保証に関する詳細については利用規約をご確認ください。

Please note: All products are 'FOR RESEARCH USE ONLY. NOT FOR USE IN DIAGNOSTIC OR THERAPEUTIC PROCEDURES'.

For licensing inquiries, please contact partnerships@abcam.com