JavaScript is disabled in your browser. Please enable JavaScript to view this website.
AB151791

Anti-CrkL 抗体

Anti-CrkL antibody

Be the first to review this product! Submit a review

|

(6 Publications)

Rabbit Polyclonal CRKL antibody. Suitable for IP, WB, ICC/IF, IHC-P and reacts with Human, Mouse samples. Cited in 6 publications. Immunogen corresponding to Recombinant Fragment Protein within Human CRKL aa 1-300.

別名を表示する

Crk-like protein, CRKL

7 Images
Immunocytochemistry/ Immunofluorescence - Anti-CrkL antibody (AB151791)
  • ICC/IF

Supplier Data

Immunocytochemistry/ Immunofluorescence - Anti-CrkL antibody (AB151791)

Immunofluorescence analysis of HeLa cells fixed in 4% paraformaldehyde at RT for 15 min labelling CrkL protein at cytoplasm and nucleus using ab151791 at a 1/500 dilution (Green). Hoechst 33342 was used for nuclear staining (Blue).
Scale bar = 10 µM

Immunohistochemistry (Formalin/PFA-fixed paraffin-embedded sections) - Anti-CrkL antibody (AB151791)
  • IHC-P

Supplier Data

Immunohistochemistry (Formalin/PFA-fixed paraffin-embedded sections) - Anti-CrkL antibody (AB151791)

Immunohistochemical analysis of human ovarian carcinoma tissue stained for CrkL protein at cytosol and nucleus on human ovarian carcinoma with ab151791 at a 1/500 dilution.

Antigen retrieval : Trilogy™ (EDTA based, pH 8.0) buffer, 15min

Immunohistochemistry (Formalin/PFA-fixed paraffin-embedded sections) - Anti-CrkL antibody (AB151791)
  • IHC-P

Supplier Data

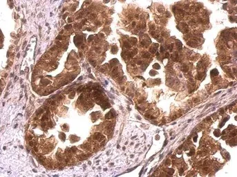
Immunohistochemistry (Formalin/PFA-fixed paraffin-embedded sections) - Anti-CrkL antibody (AB151791)

Immunohistochemical analysis of human breast carcinoma tissue stained for CrkL protein at cytoplasm with ab151791 at a 1/500 dilution.

Antigen retrieval : Citrate buffer, pH 6.0, 15 min

Immunohistochemistry (Formalin/PFA-fixed paraffin-embedded sections) - Anti-CrkL antibody (AB151791)
  • IHC-P

Supplier Data

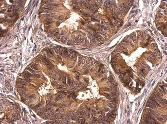
Immunohistochemistry (Formalin/PFA-fixed paraffin-embedded sections) - Anti-CrkL antibody (AB151791)

Immunohistochemical analysis of human colon carcinoma tissue stained for CrkL protein at cytosol on human colon carcinoma with ab151791 at a 1/500 dilution.

Antigen retrieval : Trilogy™ (EDTA based, pH 8.0) buffer, 15min

Immunoprecipitation - Anti-CrkL antibody (AB151791)
  • IP

Supplier Data

Immunoprecipitation - Anti-CrkL antibody (AB151791)

Immunoprecipitation of CrkL protein from 293T whole cell extracts using 5 µg of CrkL antibody. Western blot analysis was performed using CrkL antibody.

All lanes:

Immunoprecipitation - Anti-CrkL antibody (ab151791) at 5 µg

Lane 1:

CrkL protein from 293T whole cell extracts

Lane 2:

CrkL protein from 293T whole cell extracts with Control IgG

Lane 3:

CrkL protein from 293T whole cell extracts (+)

Secondary

All lanes:

EasyBlot HRP-conjugated anti rabbit IgG antibody

Predicted band size: 34 kDa

false

Western blot - Anti-CrkL antibody (AB151791)
  • WB

Supplier Data

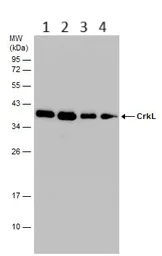
Western blot - Anti-CrkL antibody (AB151791)

Samples were separated by 12% SDS-PAGE.

All lanes:

Western blot - Anti-CrkL antibody (ab151791) at 1/1000 dilution

Lane 1:

293T whole cell extracts at 30 µg

Lane 2:

A431 whole cell extracts at 30 µg

Lane 3:

HeLa whole cell extracts at 30 µg

Lane 4:

HepG2 whole cell extracts at 30 µg

Predicted band size: 34 kDa

false

Western blot - Anti-CrkL antibody (AB151791)
  • WB

Supplier Data

Western blot - Anti-CrkL antibody (AB151791)

Samples were separated by 12% SDS-PAGE.

All lanes:

Western blot - Anti-CrkL antibody (ab151791) at 1/1000 dilution

All lanes:

Mouse brain tissue extract at 50 µg

Secondary

All lanes:

HRP-conjugated anti-rabbit IgG

Predicted band size: 34 kDa

false

Key facts

宿主種

Rabbit

クローン性

Polyclonal

アイソタイプ

IgG

キャリアフリー

No

交差種

Human, Mouse

アプリケーション

WB, IP, ICC/IF, IHC-P

applications

免疫原

Recombinant Fragment Protein within Human CRKL aa 1-300. The exact immunogen used to generate this antibody is proprietary information.

P46109

Reactivity data

{ "title": "Reactivity Data", "filters": { "stats": ["", "Species", "Dilution Info", "Notes"], "tabs": { "all-applications": {"fullname" : "All Applications", "shortname": "All Applications"}, "IP" : {"fullname" : "Immunoprecipitation", "shortname":"IP"}, "WB" : {"fullname" : "Western blot", "shortname":"WB"}, "ICCIF" : {"fullname" : "Immunocytochemistry/ Immunofluorescence", "shortname":"ICC/IF"}, "IHCP" : {"fullname" : "Immunohistochemistry (Formalin/PFA-fixed paraffin-embedded sections)", "shortname":"IHC-P"} }, "product-promise": { "all": "all", "testedAndGuaranteed": "tested", "guaranteed": "expected", "predicted": "predicted", "notRecommended": "not-recommended" } }, "values": { "Human": { "IP-species-checked": "testedAndGuaranteed", "IP-species-dilution-info": "1/100 - 1/500", "IP-species-notes": "<p></p>", "WB-species-checked": "testedAndGuaranteed", "WB-species-dilution-info": "1/500 - 1/3000", "WB-species-notes": "<p></p>", "ICCIF-species-checked": "testedAndGuaranteed", "ICCIF-species-dilution-info": "1/100 - 1/1000", "ICCIF-species-notes": "<p></p>", "IHCP-species-checked": "testedAndGuaranteed", "IHCP-species-dilution-info": "1/100 - 1/1000", "IHCP-species-notes": "<p>Perform heat mediated antigen retrieval before commencing with IHC staining protocol using 10mM Citrate buffer (pH6.0) or Tris-EDTA buffer (pH8.0).</p>" }, "Mouse": { "IP-species-checked": "guaranteed", "IP-species-dilution-info": "", "IP-species-notes": "", "WB-species-checked": "testedAndGuaranteed", "WB-species-dilution-info": "1/500 - 1/3000", "WB-species-notes": "<p></p>", "ICCIF-species-checked": "guaranteed", "ICCIF-species-dilution-info": "", "ICCIF-species-notes": "", "IHCP-species-checked": "guaranteed", "IHCP-species-dilution-info": "", "IHCP-species-notes": "" }, "Rat": { "IP-species-checked": "predicted", "IP-species-dilution-info": "", "IP-species-notes": "", "WB-species-checked": "predicted", "WB-species-dilution-info": "", "WB-species-notes": "", "ICCIF-species-checked": "predicted", "ICCIF-species-dilution-info": "", "ICCIF-species-notes": "", "IHCP-species-checked": "predicted", "IHCP-species-dilution-info": "", "IHCP-species-notes": "" } } }

出荷温度及び保存条件

製品の状態
Liquid
精製方法
Affinity purification Immunogen
バッファー組成
pH: 7 Preservative: 0.025% Proclin 300 Constituents: PBS, 20% Glycerol (glycerin, glycerine), 1% BSA
出荷温度
Blue Ice
短期保存温度
+4°C
長期保存温度
-20°C
分注に関する情報
Upon delivery aliquot
保管に関する情報
Avoid freeze / thaw cycle

製品プロトコール

For this product, it's our understanding that no specific protocols are required. You can visit:

ターゲットの情報

May mediate the transduction of intracellular signals.
See full target information CRKL

文献 (6)

Recent publications for all applications. Explore the full list and refine your search

Communications biology 7:1073 PubMed39217250

2024

Reversible control of kinase signaling through chemical-induced dephosphorylation.

Applications

Unspecified application

Species

Unspecified reactive species

Ying Sun,Rihong Zhou,Jin Hu,Shan Feng,Qi Hu

Chemical biology & drug design 103:e14393 PubMed37955304

2023

Propofol inhibits the proliferation, invasion, migration, and angiogenesis of oral squamous cell carcinoma through circ_0008898-mediated pathway.

Applications

Unspecified application

Species

Unspecified reactive species

Hui Dong,Weifu Zhou,Long Han,Qingjun Zhao

Cancer biotherapy & radiopharmaceuticals 35:153-162 PubMed31755734

2019

ZEB2-AS1 Accelerates Epithelial/Mesenchymal Transition Through miR-1205/CRKL Pathway in Colorectal Cancer.

Applications

Unspecified application

Species

Unspecified reactive species

Yinghao Jiang,Guangming Liu,Wei Ye,Jianjin Xie,Chunfa Shao,Xiaowei Wang,Xia Li

The Journal of biological chemistry 294:16198-16213 PubMed31515267

2019

Ligand-dependent spatiotemporal signaling profiles of the μ-opioid receptor are controlled by distinct protein-interaction networks.

Applications

Unspecified application

Species

Unspecified reactive species

Srgjan Civciristov,Cheng Huang,Bonan Liu,Elsa A Marquez,Arisbel B Gondin,Ralf B Schittenhelm,Andrew M Ellisdon,Meritxell Canals,Michelle L Halls

Oncology letters 12:3312-3322 PubMed27899998

2016

Expression level of and combined with exon 19 deletion in and status confer differential prognosis of lung adenocarcinoma subtypes.

Applications

IHC-P

Species

Human

Yi-Ran Cai,Yu-Jie Dong,Hong-Bo Wu,Da-Ping Yu,Li-Juan Zhou,Dan Su,Li Zhang,Xue-Jing Chen

Biomedical reports 2:481-489 PubMed24944792

2014

Differential expression of and genes in lung adenocarcinoma subtypes according to the epidermal growth factor receptor and anaplastic lymphoma kinase gene status.

Applications

IHC-P

Species

Human

DA-Ping Yu,Yu-Jie Dong,Hai-Qing Zhang,Jing-Hui Wang,Yang Qu,Li-Juan Zhou,Dan Su,Li-Li Zhang,Dan Zhao,Yi-Ran Cai
View all publications

Abcam product promise

当社は、高品質な試薬を通じてお客様の研究を力強くサポートすることをお約束いたします。ご使用いただく各段階で、常にお客様をサポートできる体制を整えております。万が一、製品が期待通りに機能しない場合は、「Abcam Product Promise」による当社保証制度に基づき、安心してご利用いただけます。
保証に関する詳細については利用規約をご確認ください。

Please note: All products are 'FOR RESEARCH USE ONLY. NOT FOR USE IN DIAGNOSTIC OR THERAPEUTIC PROCEDURES'.

For licensing inquiries, please contact partnerships@abcam.com