JavaScript is disabled in your browser. Please enable JavaScript to view this website.
AB220789

Anti-CPT1A 抗体 [EPR21843-71-1C]

Anti-CPT1A antibody [EPR21843-71-1C]

Be the first to review this product! Submit a review

|

(23 Publications)

Rabbit Recombinant Monoclonal CPT1A antibody. Suitable for IP, WB, ICC/IF, Flow Cyt (Intra), IHC-P and reacts with Human, Recombinant fragment - Human samples. Cited in 23 publications.

別名を表示する

CPT1, CPT1A, CPT1-L, Carnitine palmitoyltransferase 1A, Succinyltransferase CPT1A, CPT I, CPTI-L

13 Images
Flow Cytometry (Intracellular) - Anti-CPT1A antibody [EPR21843-71-1C] (AB220789)
  • Flow Cyt (Intra)

Lab

Flow Cytometry (Intracellular) - Anti-CPT1A antibody [EPR21843-71-1C] (AB220789)

Flow cytometry overlay histogram showing wild-type HAP1 (green line) and CPT1A knockout HAP1 stained with ab220789 (magenta line). The cells were fixed with 4% formaldehyde (10 min) and then permeabilised with 0.1% PBS-Triton X-100 for 15 min. The cells were then incubated in 1x PBS containing 10% normal goat serum to block non-specific protein-protein interaction followed by the antibody (ab220789) (1x 106 in 100μl at 0.2 μg/ml (1/2970)) for 30min at 22°C.

The secondary antibody Goat Anti-Rabbit IgG H&L (Alexa Fluor® 488) preadsorbed was incubated at 1/4000 for 30min at 22°C.

Isotype control antibody was Recombinant Rabbit IgG, monoclonal [EPR25A] - Isotype Control in HAP1 WT cells (black line) and HAP1-CPT1A KO cells (grey line), at the same conditions as the primary antibody.

Acquisition of >5000 events were collected using a 50 mW Blue laser (488nm) and 525/40 bandpass filter.

This antibody gave a positive signal in wild-type A-549 fixed with 80% methanol (5 min) and then permeabilised with 0.1% PBS-Triton X-100 for 15 min under the same conditions.

Flow Cytometry (Intracellular) - Anti-CPT1A antibody [EPR21843-71-1C] (AB220789)
  • Flow Cyt (Intra)

Supplier Data

Flow Cytometry (Intracellular) - Anti-CPT1A antibody [EPR21843-71-1C] (AB220789)

Intracellular flow cytometric analysis of 4% paraformaldehyde-fixed, 90% methanol-permeabilized HeLa (human epithelial cell line from cervix adenocarcinoma) cell line labeling CPT1A with ab220789 at 1/600 dilution (red) compared with a Rabbit IgG, monoclonal [EPR25A] - Isotype Control (ab172730) (black) and an unlabeled control (cells without incubation with primary antibody and secondary antibody) (blue). Goat Anti-Rabbit IgG H&L (Alexa Fluor® 488) (ab150077) at 1/2000 dilution was used as the secondary antibody.

Immunohistochemistry (Formalin/PFA-fixed paraffin-embedded sections) - Anti-CPT1A antibody [EPR21843-71-1C] (AB220789)
  • IHC-P

Supplier Data

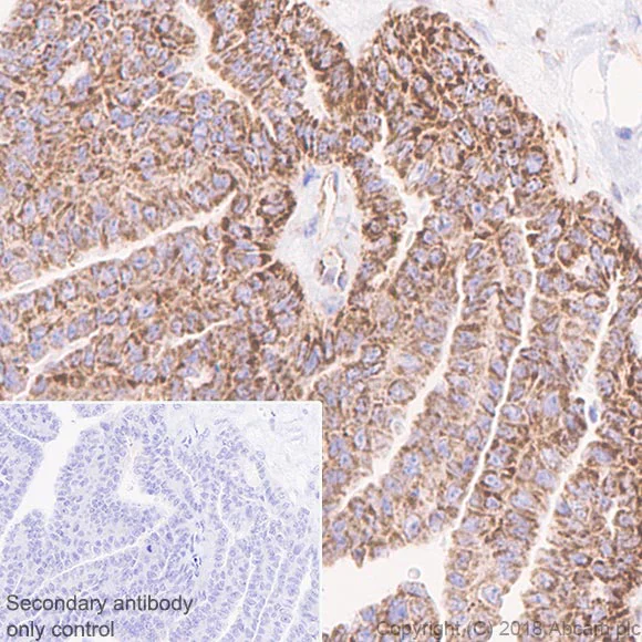
Immunohistochemistry (Formalin/PFA-fixed paraffin-embedded sections) - Anti-CPT1A antibody [EPR21843-71-1C] (AB220789)

Immunohistochemical analysis of paraffin-embedded human ovarian carcinoma tissue labeling CPT1A with ab220789 at 1/1000 dilution, followed by Goat Anti-Rabbit IgG H&L (HRP) Ready to use. Granular cytoplasmic staining in human ovarian carcinoma (PMID : 26716645). Counter stained with hematoxylin.

Secondary antibody only control : Used PBS instead of primary antibody, secondary antibody is Goat Anti-Rabbit IgG H&L (HRP) Ready to use.

Perform heat mediated antigen retrieval with Tris/EDTA buffer pH 9.0 before commencing with IHC staining protocol.

Immunocytochemistry/ Immunofluorescence - Anti-CPT1A antibody [EPR21843-71-1C] (AB220789)
  • ICC/IF

Supplier Data

Immunocytochemistry/ Immunofluorescence - Anti-CPT1A antibody [EPR21843-71-1C] (AB220789)

Immunofluorescent analysis of 4% paraformaldehyde-fixed, 0.1% Triton X-100 permeabilized SK-OV-3 (human ovarian cancer cell line) cells labeling CPT1A with ab220789 at 1/100 dilution followed by Goat Anti-Rabbit IgG H&L (Alexa Fluor® 488) (ab150077) secondary antibody at 1/1000 dilution (green). Confocal image showing mitochondrial staining in SK-OV-3 cell line.

The nuclear counter stain is DAPI (blue). COX IV is detected with Anti-COX IV antibody [mAbcam33985] - Mitochondrial Marker (ab33985) at 1/1000 dilution, followed by Goat Anti-Mouse IgG H&L (Alexa Fluor® 594) preadsorbed (ab150120) (red).

The negative controls are as follows :

-ve control 1 : ab220789 at 1/100 dilution followed by Goat Anti-Mouse IgG H&L (Alexa Fluor® 594) preadsorbed (ab150120) secondary antibody at 1/1000 dilution.

-ve control 2 : Anti-COX IV antibody [mAbcam33985] - Mitochondrial Marker (ab33985) at 1/1000 dilution, followed by Goat Anti-Rabbit IgG H&L (Alexa Fluor® 488) (ab150077).

Immunocytochemistry/ Immunofluorescence - Anti-CPT1A antibody [EPR21843-71-1C] (AB220789)
  • ICC/IF

Supplier Data

Immunocytochemistry/ Immunofluorescence - Anti-CPT1A antibody [EPR21843-71-1C] (AB220789)

Immunofluorescent analysis of 4% paraformaldehyde-fixed, 0.1% Triton X-100 permeabilized HeLa (human epithelial cell line from cervix adenocarcinoma) cells labeling CPT1A with ab220789 at 1/100 dilution followed by Goat Anti-Rabbit IgG H&L (Alexa Fluor® 488) (ab150077) secondary antibody at 1/1000 dilution (green). Confocal image showing mitochondrial staining in HeLa cell line.

The nuclear counter stain is DAPI (blue). COX IV is detected with Anti-COX IV antibody [mAbcam33985] - Mitochondrial Marker (ab33985) at 1/1000 dilution, followed by Goat Anti-Mouse IgG H&L (Alexa Fluor® 594) preadsorbed (ab150120) (red).

The negative controls are as follows :

-ve control 1 : ab220789 at 1/100 dilution followed by Goat Anti-Mouse IgG H&L (Alexa Fluor® 594) preadsorbed (ab150120) secondary antibody at 1/1000 dilution.

-ve control 2 : Anti-COX IV antibody [mAbcam33985] - Mitochondrial Marker (ab33985) at 1/1000 dilution, followed by Goat Anti-Rabbit IgG H&L (Alexa Fluor® 488) (ab150077).

Immunohistochemistry (Formalin/PFA-fixed paraffin-embedded sections) - Anti-CPT1A antibody [EPR21843-71-1C] (AB220789)
  • IHC-P

Supplier Data

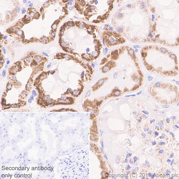
Immunohistochemistry (Formalin/PFA-fixed paraffin-embedded sections) - Anti-CPT1A antibody [EPR21843-71-1C] (AB220789)

Immunohistochemical analysis of paraffin-embedded human kidney tissue labeling CPT1A with ab220789 at 1/1000 dilution, followed by Goat Anti-Rabbit IgG H&L (HRP) Ready to use. Granular cytoplasmic staining in human kidney (PMID : 18192268; PMID : 28956034). Counter stained with hematoxylin.

Secondary antibody only control : Used PBS instead of primary antibody, secondary antibody is Goat Anti-Rabbit IgG H&L (HRP) Ready to use.

Perform heat mediated antigen retrieval with Tris/EDTA buffer pH 9.0 before commencing with IHC staining protocol.

Immunocytochemistry/ Immunofluorescence - Anti-CPT1A antibody [EPR21843-71-1C] (AB220789)
  • ICC/IF

Lab

Immunocytochemistry/ Immunofluorescence - Anti-CPT1A antibody [EPR21843-71-1C] (AB220789)

Immunofluorescent analysis of 100% methanol-fixed-fixed 0.1%, Triton X-100 permeabilized Hap1 WT and Hap1-CPT1A KO cells labelling CPT1A protein with ab220789 at 0.2 μg/ml concentration followed by ab150081 Goat Anti-Rabbit IgG H&L (Alexa Fluor® 488) preadsorbed antibody at 1/1000 (2 μg/ml dilution (Green). Image showing mitochodrial staining in Hap1 WT cell line. ab7291 Anti-alpha Tubulin antibody [DM1A] was used to counterstain tubulin at 1/1000 dilution (Magenta). The nuclear counterstain was DAPI (Blue).

Immunoprecipitation - Anti-CPT1A antibody [EPR21843-71-1C] (AB220789)
  • IP

Supplier Data

Immunoprecipitation - Anti-CPT1A antibody [EPR21843-71-1C] (AB220789)

CPT1A was immunoprecipitated from 0.35 mg of SK-OV-3 (human ovarian cancer cell line) whole cell lysate with ab220789 at 1/30 dilution. Western blot was performed from the immunoprecipitate using ab220789 at 1/1000 dilution. VeriBlot for IP Detection Reagent (HRP) (ab131366), was used for detection at 1/5000 dilution.

Lane 1 : SK-OV-3 whole cell lysate 10 μg (Input).

Lane 2 : ab220789 IP in SK-OV-3 whole cell lysate.

Lane 3 : Rabbit monoclonal IgG (ab172730) instead of ab220789 in SK-OV-3 whole cell lysate.

Blocking and dilution buffer and concentration : 5% NFDM/TBST.

Exposure time : 30 seconds.

All lanes:

Immunoprecipitation - Anti-CPT1A antibody [EPR21843-71-1C] (ab220789)

Predicted band size: 88 kDa

Observed band size: 88 kDa

false

Western blot - Anti-CPT1A antibody [EPR21843-71-1C] (AB220789)
  • WB

Lab

Western blot - Anti-CPT1A antibody [EPR21843-71-1C] (AB220789)

Lanes 1- 2 : Merged signal (red and green). Green - ab220789 observed at 88 kDa. Red - Anti-GAPDH antibody [6C5] - Loading Control (ab8245) observed at 37 kDa.

ab220789 was shown to react with CPT1A in wild-type HEK-293T cells in western blot. Loss of signal was observed when knockout cell line ab266319 (knockout cell lysate ab256880) was used. Wild-type HEK-293T and CPT1A knockout HEK-293T cell lysates were subjected to SDS-PAGE. Membrane was blocked for 1 hour at room temperature in 0.1% TBST with 3% non-fat dried milk. ab220789 and Anti-GAPDH antibody [6C5] - Loading Control (ab8245) overnight at 4°C at a 1 in 1000 dilution and a 1 in 20000 dilution respectively. Blots were developed with Goat anti-Rabbit IgG H&L (IRDye®800CW) preadsorbed (ab216773) and Goat anti-Mouse IgG H&L (IRDye®680RD) preadsorbed (ab216776) secondary antibodies at 1 in 20000 dilution for 1 hour at room temperature before imaging.

All lanes:

Western blot - Anti-CPT1A antibody [EPR21843-71-1C] (ab220789) at 1/1000 dilution

Lane 1:

Wild-type HEK-293T cell lysate at 20 µg

Lane 2:

CPT1A knockout HEK-293T cell lysate at 20 µg

Lane 2:

Western blot - Human CPT1A knockout HEK-293T cell line (<a href='/products/cell-lines/human-cpt1a-knockout-hek-293t-cell-line-ab266319'>ab266319</a>)

Predicted band size: 88 kDa

Observed band size: 88 kDa

false

Western blot - Anti-CPT1A antibody [EPR21843-71-1C] (AB220789)
  • WB

Supplier Data

Western blot - Anti-CPT1A antibody [EPR21843-71-1C] (AB220789)

Blocking/Dilution buffer : 5% NFDM/TBST.

ab220789 was shown to specifically react with CPT1A in wild-type HAP1 cells as signal was lost in CPT1A knockout cells. Wild-type and CPT1A knockout samples were subjected to SDS-PAGE. ab220789 and ab181602 (Rabbit anti-GAPDH loading control) were incubated 1 hour at room temperature at 1/5000 dilution and 1/200,000 dilution respectively. Blots were developed with Goat Anti-Rabbit IgG, (H+L), Peroxidase conjugated (ab97051) secondary antibody at 1/100,000 dilution for 1 hour at room temperature before imaging. The blot was developed on a BIO-RAD® ChemiDoc™ MP instrument using the ECL technique.

All lanes:

Western blot - Anti-CPT1A antibody [EPR21843-71-1C] (ab220789) at 1/5000 dilution

Lane 1:

Wild-type HAP1 whole cell lysate at 20 µg

Lane 2:

CPT1A knockout HAP1 whole cell lysate at 20 µg

Lane 3:

HeLa (human epithelial cell line from cervix adenocarcinoma) whole cell lysate at 20 µg

Lane 4:

SK-OV-3 (human ovarian cancer cell line) whole cell lysate at 20 µg

Secondary

All lanes:

Western blot - Goat Anti-Rabbit IgG H&L (HRP) (<a href='/products/secondary-antibodies/goat-rabbit-igg-h-l-hrp-ab97051'>ab97051</a>) at 1/100000 dilution

Predicted band size: 88 kDa

Observed band size: 88 kDa

true

Exposure time: 92s

Western blot - Anti-CPT1A antibody [EPR21843-71-1C] (AB220789)
  • WB

Lab

Western blot - Anti-CPT1A antibody [EPR21843-71-1C] (AB220789)

Blocking and diluting buffer and concentration : 5% NFDM /TBST. CPT1A is strongly expressed in kidney and heart, and lower in liver and skeletal muscle. We recommend loading higher amount of lysate or using lower antibody dilution to detect signal in HepG2 lysate.

All lanes:

Western blot - Anti-CPT1A antibody [EPR21843-71-1C] (ab220789) at 1/1000 dilution

Lane 1:

MCF7 (Human breast adenocarcinoma epithelial cell) cell lysate at 20 µg

Lane 2:

HeLa (Human cervix adenocarcinoma epithelial cell) cell lysate at 20 µg

Lane 3:

HepG2 (Human hepatocellular carcinoma epithelial cell) cell lysate at 20 µg

Secondary

All lanes:

Western blot - Goat Anti-Rabbit IgG H&L (HRP) (<a href='/products/secondary-antibodies/goat-rabbit-igg-h-l-hrp-ab97051'>ab97051</a>) at 1/20000 dilution

Predicted band size: 88 kDa

Observed band size: 88 kDa

false

Exposure time: 180s

Western blot - Anti-CPT1A antibody [EPR21843-71-1C] (AB220789)
  • WB

Lab

Western blot - Anti-CPT1A antibody [EPR21843-71-1C] (AB220789)

Blocking and diluting buffer and concentration : 5% NFDM/TBST. CPT1A is strongly expressed in kidney and heart, and lower in liver and skeletal muscle. We recommend loading higher amount of lysate or using lower antibody dilution to detect signal in liver lysate.

All lanes:

Western blot - Anti-CPT1A antibody [EPR21843-71-1C] (ab220789) at 1/1000 dilution

Lane 1:

Human kidney tissue lysate at 20 µg

Lane 2:

Human liver tissue lysate at 20 µg

Secondary

All lanes:

Western blot - VeriBlot for IP Detection Reagent (HRP) (<a href='/products/reagents/veriblot-for-ip-detection-reagent-hrp-ab131366'>ab131366</a>) at 1/1000 dilution

Predicted band size: 88 kDa

Observed band size: 88 kDa

false

Exposure time: 92s

Western blot - Anti-CPT1A antibody [EPR21843-71-1C] (AB220789)
  • WB

Supplier Data

Western blot - Anti-CPT1A antibody [EPR21843-71-1C] (AB220789)

Blocking/Dilution buffer : 5% NFDM/TBST.

All lanes:

Western blot - Anti-CPT1A antibody [EPR21843-71-1C] (ab220789) at 1/1000 dilution

Lane 1:

His-tagged human CPT1A recombinant protein (aa406-755) at 0.02 µg

Lane 2:

His-tagged human CPT1B recombinant protein (aa407-756) at 0.02 µg

Secondary

All lanes:

Western blot - Goat Anti-Rabbit IgG H&L (HRP) (<a href='/products/secondary-antibodies/goat-rabbit-igg-h-l-hrp-ab97051'>ab97051</a>) at 1/100000 dilution

Predicted band size: 88 kDa

Observed band size: 38 kDa

true

Exposure time: 10s

関連する標識済み抗体及び組成の異なる製品 (1)

  • Carrier free

    Anti-CPT1A antibody [EPR21843-71-1C] - BSA and Azide free

Key facts

宿主種

Rabbit

クローン性

Monoclonal

クローン番号

EPR21843-71-1C

アイソタイプ

IgG

キャリアフリー

No

交差種

Human

アプリケーション

Flow Cyt (Intra), IP, WB, ICC/IF, IHC-P

applications

免疫原

The exact immunogen used to generate this antibody is proprietary information.

特異性

Our WB images were generated by testing un-bolied samples.

Reactivity data

{ "title": "Reactivity Data", "filters": { "stats": ["", "Species", "Dilution Info", "Notes"], "tabs": { "all-applications": {"fullname" : "All Applications", "shortname": "All Applications"}, "IP" : {"fullname" : "Immunoprecipitation", "shortname":"IP"}, "WB" : {"fullname" : "Western blot", "shortname":"WB"}, "ICCIF" : {"fullname" : "Immunocytochemistry/ Immunofluorescence", "shortname":"ICC/IF"}, "FlowCytIntra" : {"fullname" : "Flow Cytometry (Intracellular)", "shortname":"Flow Cyt (Intra)"}, "IHCP" : {"fullname" : "Immunohistochemistry (Formalin/PFA-fixed paraffin-embedded sections)", "shortname":"IHC-P"} }, "product-promise": { "all": "all", "testedAndGuaranteed": "tested", "guaranteed": "expected", "predicted": "predicted", "notRecommended": "not-recommended" } }, "values": { "Human": { "IP-species-checked": "testedAndGuaranteed", "IP-species-dilution-info": "1/30", "IP-species-notes": "<p></p>", "WB-species-checked": "testedAndGuaranteed", "WB-species-dilution-info": "1/1000", "WB-species-notes": "<p>Our WB images were generated by testing un-bolied samples.</p>", "ICCIF-species-checked": "testedAndGuaranteed", "ICCIF-species-dilution-info": "1/100", "ICCIF-species-notes": "<p></p>", "FlowCytIntra-species-checked": "testedAndGuaranteed", "FlowCytIntra-species-dilution-info": "", "FlowCytIntra-species-notes": "<p></p>", "IHCP-species-checked": "testedAndGuaranteed", "IHCP-species-dilution-info": "1/1000", "IHCP-species-notes": "<p></p> Perform heat-mediated antigen retrieval with Tris/EDTA buffer pH 9.0 before commencing with IHC staining protocol." }, "Recombinant fragment - Human": { "IP-species-checked": "notRecommended", "IP-species-dilution-info": "", "IP-species-notes": "", "WB-species-checked": "testedAndGuaranteed", "WB-species-dilution-info": "1/1000", "WB-species-notes": "<p>Our WB images were generated by testing un-bolied samples.</p>", "ICCIF-species-checked": "notRecommended", "ICCIF-species-dilution-info": "", "ICCIF-species-notes": "", "FlowCytIntra-species-checked": "notRecommended", "FlowCytIntra-species-dilution-info": "", "FlowCytIntra-species-notes": "", "IHCP-species-checked": "notRecommended", "IHCP-species-dilution-info": "", "IHCP-species-notes": "" } } }

製品の詳細

Patented technology
Our RabMAb® technology is a patented hybridoma-based technology for making rabbit monoclonal antibodies. For details on our patents, please refer to RabMAb® patents.

What are the advantages of a recombinant monoclonal antibody?
This product is a recombinant monoclonal antibody, which offers several advantages including:

  • - High batch-to-batch consistency and reproducibility
  • - Improved sensitivity and specificity
  • - Long-term security of supply
  • - Animal-free batch production

For more information, read more on recombinant antibodies.

出荷温度及び保存条件

製品の状態
Liquid
精製方法
Affinity purification Protein A
バッファー組成
pH: 7.2 - 7.4 Preservative: 0.01% Sodium azide Constituents: PBS, 40% Glycerol (glycerin, glycerine), 0.05% BSA
出荷温度
Blue Ice
短期保存期間
1-2 weeks
短期保存温度
+4°C
長期保存温度
-20°C
分注に関する情報
Upon delivery aliquot
保管に関する情報
Avoid freeze / thaw cycle

補足情報

This supplementary information is collated from multiple sources and compiled automatically.

CPT1A also known as carnitine palmitoyltransferase 1A is a vital enzyme involved in the transport of long-chain fatty acids across the mitochondrial membrane. This protein facilitates the conversion of fatty acids into acyl-carnitine a process necessary for beta-oxidation within the mitochondria. The molecular weight of CPT1A is approximately 88 kDa. CPT1A predominantly expresses in liver cells where energy metabolism from fatty acids is important. Alternate names for this target include CPT 1 and CTP1A reflecting its central role in metabolic processes related to lipid utilization.
Biological function summary

CPT1A plays a vital role in energy production by facilitating mitochondrial fatty acid oxidation. It does not function as a solitary enzyme but often associates with other enzymes forming a multiprotein complex that includes acyl-CoA synthetase. This complex enables efficient fatty acid transport and oxidation converting stored fats into usable energy. As CPT1A primarily operates in the liver its activity significantly impacts overall lipid and energy homeostasis demonstrating its critical regulatory role.

Pathways

CPT1A is central to the fatty acid beta-oxidation pathway an important process for breaking down fatty acids to produce energy. This pathway also involves proteins such as CPT1B a related isoform present in muscle tissues. CPT1A's function is important in the liver's capacity to regulate energy balance and respond to metabolic demands. Additionally CPT1A interacts within the signaling pathway of AMPK (AMP-activated protein kinase) which further integrates it into broader metabolic regulation networks linking energy status to cellular function.

CPT1A is notably associated with metabolic syndromes and fatty liver disease. Mutations or deficiencies in CPT1A can lead to disorders like hepatic carnitine palmitoyltransferase 1A deficiency characterized by hypoketotic hypoglycemia and hepatomegaly. Furthermore its dysregulation can impact proteins such as ACC1 (acetyl-CoA carboxylase) in the context of metabolic syndrome. Research continues to explore the implications of CPT1A in non-alcoholic steatohepatitis highlighting its relevance in liver energy metabolism disorders and their pathophysiology.

製品プロトコール

For this product, it's our understanding that no specific protocols are required. You can visit:

ターゲットの情報

Catalyzes the transfer of the acyl group of long-chain fatty acid-CoA conjugates onto carnitine, an essential step for the mitochondrial uptake of long-chain fatty acids and their subsequent beta-oxidation in the mitochondrion (PubMed : 11350182, PubMed : 14517221, PubMed : 16651524, PubMed : 9691089). Possesses also a lysine succinyltransferase activity that can regulate enzymatic activity of substrate proteins such as ENO1 and metabolism independent of its classical carnitine O-palmitoyltransferase activity (PubMed : 29425493). Plays an important role in hepatic triglyceride metabolism (By similarity). Plays also a role in inducible regulatory T-cell (iTreg) differentiation once activated by butyryl-CoA that antagonizes malonyl-CoA-mediated CPT1A repression (By similarity). Sustains the IFN-I response by recruiting ZDHCC4 to palmitoylate MAVS at the mitochondria leading to MAVS stabilization and activation (PubMed : 38016475). Promotes ROS-induced oxidative stress in liver injury via modulation of NFE2L2 and NLRP3-mediated signaling pathways (By similarity).
See full target information CPT1A

文献 (23)

Recent publications for all applications. Explore the full list and refine your search

World journal of stem cells 17:101929 PubMed40740537

2025

X inactive-specific transcript regulates mitochondrial function and neuronal differentiation of stem cells IGF2BP2/CPT1A axis in models of spinal cord injury.

Applications

Unspecified application

Species

Unspecified reactive species

Si-Xiang Zeng,Jin-Tao Ye,Si-Hua Huang,Ruo-Xi Liu

International journal of biological sciences 21:3444-3460 PubMed40520025

2025

Endothelial SIRT3 deficiency predisposes brown adipose tissue to whitening in diet-induced obesity.

Applications

Unspecified application

Species

Unspecified reactive species

Qing Zhou,Zongshi Lu,Bowen Wang,Yuyan Wang,Li Li,Mei You,Lijuan Wang,Tingbing Cao,Dan Tong,Jie Xiang,Yu Zhao,Qiang Li,Aidi Mou,Wentao Shu,Hongbo He,Zhigang Zhao,Daoyan Liu,Zhiming Zhu,Peng Gao,Zhencheng Yan

iScience 28:112286 PubMed40491483

2025

The transcription factor IID subunit Taf13 is dispensable for TATA binding protein promoter recruitment and RNA polymerase II transcription.

Applications

Unspecified application

Species

Unspecified reactive species

Igor Martianov,Stephanie Le Gras,Guillaume Davidson,Irwin Davidson

Scientific reports 15:7076 PubMed40016582

2025

MiR-365-3p inhibits lung cancer proliferation and migration via CPT1A-mediated fatty acid oxidation.

Applications

Unspecified application

Species

Unspecified reactive species

Dan Xu,Bohong Liu,Lingling Wang

Translational oncology 51:102215 PubMed39615276

2024

SIRT5 inhibits glycolysis and nasal type extranodal NK/T cell lymphoma cell proliferation by catalyzing the desuccinylation of glucose-6-phosphate isomerase.

Applications

Unspecified application

Species

Unspecified reactive species

Tiansheng Wang,Guolin Tan,Ming Jiang,Guohui Liu,Wei Li,Xiang Qing

Discover oncology 15:631 PubMed39514138

2024

Construction of a novel mitochondrial oxidative stress-related genes prognostic system and molecular subtype characterization for breast cancer.

Applications

Unspecified application

Species

Unspecified reactive species

Ying Liu,Yang Li,Yanzheng Zhu,Min Wang,Zheyao Luan

BMC cancer 24:682 PubMed38835015

2024

Astragaloside IV inhibits cell viability and glycolysis of hepatocellular carcinoma by regulating KAT2A-mediated succinylation of PGAM1.

Applications

Unspecified application

Species

Unspecified reactive species

Yuanzhang Zhu,Fei Lu

Translational oncology 46:102006 PubMed38823259

2024

Succinylation of 14-3-3 theta by CPT1A promotes survival and paclitaxel resistance in nasal type extranodal natural killer/T-cell lymphoma.

Applications

Unspecified application

Species

Unspecified reactive species

Xiao Cui,Chengcheng Cao,Xinyang Li,Biyan Lin,Aihui Yan,Ying Yang

Open life sciences 19:20220832 PubMed38585637

2024

Sirtuin 5 regulates acute myeloid leukemia cell viability and apoptosis by succinylation modification of glycine decarboxylase.

Applications

Unspecified application

Species

Unspecified reactive species

Jun Zhang,Cheng Luo,Haiying Long

Drug development research 85:e22168 PubMed38450796

2024

Hypoxia expedites the progression of papillary thyroid carcinoma by promoting the CPT1A-mediated fatty acid oxidative pathway.

Applications

Unspecified application

Species

Unspecified reactive species

Zhou Liang,Hongsheng He,Bing Zhang,Zhentian Kai,Liang Zong
View all publications

Abcam product promise

当社は、高品質な試薬を通じてお客様の研究を力強くサポートすることをお約束いたします。ご使用いただく各段階で、常にお客様をサポートできる体制を整えております。万が一、製品が期待通りに機能しない場合は、「Abcam Product Promise」による当社保証制度に基づき、安心してご利用いただけます。
保証に関する詳細については利用規約をご確認ください。

Please note: All products are 'FOR RESEARCH USE ONLY. NOT FOR USE IN DIAGNOSTIC OR THERAPEUTIC PROCEDURES'.

For licensing inquiries, please contact partnerships@abcam.com