JavaScript is disabled in your browser. Please enable JavaScript to view this website.
AB100811

Anti-Coxsackie Adenovirus Receptor/hCAR 抗体

Anti-Coxsackie Adenovirus Receptor/hCAR antibody

5

(4 Reviews)

|

(8 Publications)

Rabbit Polyclonal Coxsackie Adenovirus Receptor/hCAR antibody. Suitable for IHC-P, IP, WB and reacts with Human samples. Cited in 8 publications. Immunogen corresponding to Synthetic Peptide within Human CXADR aa 300 to C-terminus.

別名を表示する

CAR, CXADR, Coxsackievirus and adenovirus receptor, hCAR, CVB3-binding protein, Coxsackievirus B-adenovirus receptor, HCVADR

3 Images
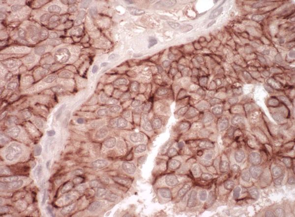
Immunohistochemistry (Formalin/PFA-fixed paraffin-embedded sections) - Anti-Coxsackie Adenovirus Receptor/hCAR antibody (AB100811)
  • IHC-P

Unknown

Immunohistochemistry (Formalin/PFA-fixed paraffin-embedded sections) - Anti-Coxsackie Adenovirus Receptor/hCAR antibody (AB100811)

Immunohistochemistry (Formalin/PFA-fixed paraffin-embedded sections) analysis of human ovarian carcinoma tissue labelling Coxsackie Adenovirus Receptor with ab100811 at 1/1000 (1µg/ml). Detection : Peroxidase Substrate.

Immunoprecipitation - Anti-Coxsackie Adenovirus Receptor/hCAR antibody (AB100811)
  • IP

Unknown

Immunoprecipitation - Anti-Coxsackie Adenovirus Receptor/hCAR antibody (AB100811)

ab100811 at 0.4 μg/ml staining Coxsackie Adenovirus Receptor/hCAR in HeLa cell lysate immunoprecipitated using ab100811 at 3 μg/mg lysate (1 mg/IP; 20% of IP loaded/lane). Exposure time : 30 seconds

All lanes:

Immunoprecipitation - Anti-Coxsackie Adenovirus Receptor/hCAR antibody (ab100811)

Predicted band size: 40 kDa

false

Western blot - Anti-Coxsackie Adenovirus Receptor/hCAR antibody (AB100811)
  • WB

Unknown

Western blot - Anti-Coxsackie Adenovirus Receptor/hCAR antibody (AB100811)

All lanes:

Western blot - Anti-Coxsackie Adenovirus Receptor/hCAR antibody (ab100811) at 0.1 µg/mL

Lane 1:

HeLa Whole Cell Lysate at 50 µg

Lane 2:

HeLa Whole Cell Lysate at 15 µg

Lane 3:

HeLa Whole Cell Lysate at 5 µg

Predicted band size: 40 kDa

false

Exposure time: 3min

Key facts

宿主種

Rabbit

クローン性

Polyclonal

アイソタイプ

IgG

キャリアフリー

No

交差種

Human

アプリケーション

IHC-P, IP, WB

applications

免疫原

Synthetic Peptide within Human CXADR aa 300 to C-terminus. The exact immunogen used to generate this antibody is proprietary information.

P78310

Reactivity data

{ "title": "Reactivity Data", "filters": { "stats": ["", "Species", "Dilution Info", "Notes"], "tabs": { "all-applications": {"fullname" : "All Applications", "shortname": "All Applications"}, "IHCP" : {"fullname" : "Immunohistochemistry (Formalin/PFA-fixed paraffin-embedded sections)", "shortname":"IHC-P"}, "IP" : {"fullname" : "Immunoprecipitation", "shortname":"IP"}, "WB" : {"fullname" : "Western blot", "shortname":"WB"} }, "product-promise": { "all": "all", "testedAndGuaranteed": "tested", "guaranteed": "expected", "predicted": "predicted", "notRecommended": "not-recommended" } }, "values": { "Human": { "IHCP-species-checked": "testedAndGuaranteed", "IHCP-species-dilution-info": "1/500 - 1/2000", "IHCP-species-notes": "<p></p> Perform heat-mediated antigen retrieval with citrate buffer pH 6 before commencing with IHC staining protocol.", "IP-species-checked": "testedAndGuaranteed", "IP-species-dilution-info": "2-5 µg/mg of lysate", "IP-species-notes": "<p></p>", "WB-species-checked": "testedAndGuaranteed", "WB-species-dilution-info": "1/2000 - 1/10000", "WB-species-notes": "<p></p>" }, "Mouse": { "IHCP-species-checked": "predicted", "IHCP-species-dilution-info": "", "IHCP-species-notes": "", "IP-species-checked": "predicted", "IP-species-dilution-info": "", "IP-species-notes": "", "WB-species-checked": "predicted", "WB-species-dilution-info": "", "WB-species-notes": "" }, "Rat": { "IHCP-species-checked": "predicted", "IHCP-species-dilution-info": "", "IHCP-species-notes": "", "IP-species-checked": "predicted", "IP-species-dilution-info": "", "IP-species-notes": "", "WB-species-checked": "predicted", "WB-species-dilution-info": "", "WB-species-notes": "" }, "Chimpanzee": { "IHCP-species-checked": "predicted", "IHCP-species-dilution-info": "", "IHCP-species-notes": "", "IP-species-checked": "predicted", "IP-species-dilution-info": "", "IP-species-notes": "", "WB-species-checked": "predicted", "WB-species-dilution-info": "", "WB-species-notes": "" }, "Cow": { "IHCP-species-checked": "predicted", "IHCP-species-dilution-info": "", "IHCP-species-notes": "", "IP-species-checked": "predicted", "IP-species-dilution-info": "", "IP-species-notes": "", "WB-species-checked": "predicted", "WB-species-dilution-info": "", "WB-species-notes": "" }, "Dog": { "IHCP-species-checked": "predicted", "IHCP-species-dilution-info": "", "IHCP-species-notes": "", "IP-species-checked": "predicted", "IP-species-dilution-info": "", "IP-species-notes": "", "WB-species-checked": "predicted", "WB-species-dilution-info": "", "WB-species-notes": "" }, "Gorilla": { "IHCP-species-checked": "predicted", "IHCP-species-dilution-info": "", "IHCP-species-notes": "", "IP-species-checked": "predicted", "IP-species-dilution-info": "", "IP-species-notes": "", "WB-species-checked": "predicted", "WB-species-dilution-info": "", "WB-species-notes": "" }, "Guinea pig": { "IHCP-species-checked": "predicted", "IHCP-species-dilution-info": "", "IHCP-species-notes": "", "IP-species-checked": "predicted", "IP-species-dilution-info": "", "IP-species-notes": "", "WB-species-checked": "predicted", "WB-species-dilution-info": "", "WB-species-notes": "" }, "Horse": { "IHCP-species-checked": "predicted", "IHCP-species-dilution-info": "", "IHCP-species-notes": "", "IP-species-checked": "predicted", "IP-species-dilution-info": "", "IP-species-notes": "", "WB-species-checked": "predicted", "WB-species-dilution-info": "", "WB-species-notes": "" }, "Orangutan": { "IHCP-species-checked": "predicted", "IHCP-species-dilution-info": "", "IHCP-species-notes": "", "IP-species-checked": "predicted", "IP-species-dilution-info": "", "IP-species-notes": "", "WB-species-checked": "predicted", "WB-species-dilution-info": "", "WB-species-notes": "" }, "Pig": { "IHCP-species-checked": "predicted", "IHCP-species-dilution-info": "", "IHCP-species-notes": "", "IP-species-checked": "predicted", "IP-species-dilution-info": "", "IP-species-notes": "", "WB-species-checked": "predicted", "WB-species-dilution-info": "", "WB-species-notes": "" }, "Platypus": { "IHCP-species-checked": "predicted", "IHCP-species-dilution-info": "", "IHCP-species-notes": "", "IP-species-checked": "predicted", "IP-species-dilution-info": "", "IP-species-notes": "", "WB-species-checked": "predicted", "WB-species-dilution-info": "", "WB-species-notes": "" }, "Rabbit": { "IHCP-species-checked": "predicted", "IHCP-species-dilution-info": "", "IHCP-species-notes": "", "IP-species-checked": "predicted", "IP-species-dilution-info": "", "IP-species-notes": "", "WB-species-checked": "predicted", "WB-species-dilution-info": "", "WB-species-notes": "" }, "Rhesus monkey": { "IHCP-species-checked": "predicted", "IHCP-species-dilution-info": "", "IHCP-species-notes": "", "IP-species-checked": "predicted", "IP-species-dilution-info": "", "IP-species-notes": "", "WB-species-checked": "predicted", "WB-species-dilution-info": "", "WB-species-notes": "" } } }

出荷温度及び保存条件

製品の状態
Liquid
精製方法
Affinity purification Immunogen
バッファー組成
pH: 7 - 8 Preservative: 0.09% Sodium azide Constituents: Tris citrate/phosphate
出荷温度
Blue Ice
短期保存温度
+4°C
長期保存温度
+4°C
分注に関する情報
Upon delivery aliquot
保管に関する情報
Avoid freeze / thaw cycle

製品プロトコール

For this product, it's our understanding that no specific protocols are required. You can visit:

ターゲットの情報

Component of the epithelial apical junction complex that may function as a homophilic cell adhesion molecule and is essential for tight junction integrity. Also involved in transepithelial migration of leukocytes through adhesive interactions with JAML a transmembrane protein of the plasma membrane of leukocytes. The interaction between both receptors also mediates the activation of gamma-delta T-cells, a subpopulation of T-cells residing in epithelia and involved in tissue homeostasis and repair. Upon epithelial CXADR-binding, JAML induces downstream cell signaling events in gamma-delta T-cells through PI3-kinase and MAP kinases. It results in proliferation and production of cytokines and growth factors by T-cells that in turn stimulate epithelial tissues repair.. (Microbial infection) Acts as a receptor for adenovirus type C.. (Microbial infection) Acts as a receptor for Coxsackievirus B1 to B6.
See full target information CXADR

文献 (8)

Recent publications for all applications. Explore the full list and refine your search

Chinese journal of cancer research = Chung-kuo yen cheng yen chiu 37:212-226 PubMed40353078

2025

Targeted activation of junctional adhesion molecule-like protein CD8 T cells enhances immunotherapy in hepatocellular carcinoma.

Applications

Unspecified application

Species

Unspecified reactive species

Huan Chen,Zhaofeng Xiao,Zhengyang Lu,Nan Xu,Qiang Wei,Xiao Xu

Virology journal 21:245 PubMed39369233

2024

Oncolytic activity of a coxsackievirus B3 strain in patient-derived cervical squamous cell carcinoma organoids and synergistic effect with paclitaxel.

Applications

Unspecified application

Species

Unspecified reactive species

Yanzhen Lin,Nanyi Liu,Chuanlai Yang,Haoyin Tan,Changjian Fang,Kang Yu,Huan Zhao,Ningshao Xia,Wei Wang,Xiumin Huang,Tong Cheng

Journal of cancer research and clinical oncology 149:18201-18213 PubMed38078962

2023

Intratumoral delivery of a Tim-3 antibody-encoding oncolytic adenovirus engages an effective antitumor immune response in liver cancer.

Applications

Unspecified application

Species

Unspecified reactive species

Li Qiang,Zhang Huili,Zhang Leilei,Wang Xiaoyan,Wang Hui,Huang Biao,Wang Yigang,Huang Fang,Wang Yiqiang

Molecular oncology 14:657-668 PubMed31899582

2020

A SIRPα-Fc fusion protein enhances the antitumor effect of oncolytic adenovirus against ovarian cancer.

Applications

Unspecified application

Species

Unspecified reactive species

Yao Huang,Sai-Qun Lv,Pin-Yi Liu,Zhen-Long Ye,Huan Yang,Lin-Fang Li,Hai-Li Zhu,Ying Wang,Lian-Zhen Cui,Du-Qing Jiang,Fang-Yuan Hao,Hui-Min Xu,Hua-Jun Jin,Qi-Jun Qian

Thyroid : official journal of the American Thyroid 30:432-442 PubMed31910110

2020

Upregulation of HLA Class I and Antiviral Tissue Responses in Hashimoto's Thyroiditis.

Applications

Unspecified application

Species

Unspecified reactive species

Therese Weider,Sarah J Richardson,Noel G Morgan,Trond H Paulsen,Knut Dahl-Jørgensen,Sara Salehi Hammerstad

Journal of neuropathology and experimental neurology 79:209-225 PubMed31845989

2019

Neuropathology in Neonatal Mice After Experimental Coxsackievirus B2 Infection Using a Prototype Strain, Ohio-1.

Applications

Unspecified application

Species

Unspecified reactive species

Waka Ushioda,Osamu Kotani,Kengo Kawachi,Naoko Iwata-Yoshikawa,Tadaki Suzuki,Hideki Hasegawa,Hiroyuki Shimizu,Kimimasa Takahashi,Noriyo Nagata

Cell reports 27:2370-2384.e6 PubMed31116982

2019

β Cell Hypoxia-Inducible Factor-1α Is Required for the Prevention of Type 1 Diabetes.

Applications

Unspecified application

Species

Unspecified reactive species

Amit Lalwani,Joanna Warren,David Liuwantara,Wayne J Hawthorne,Philip J O'Connell,Frank J Gonzalez,Rebecca A Stokes,Jennifer Chen,D Ross Laybutt,Maria E Craig,Michael M Swarbrick,Cecile King,Jenny E Gunton

Oncotarget 6:3977-87 PubMed25738357

2015

Tamoxifen improves cytopathic effect of oncolytic adenovirus in primary glioblastoma cells mediated through autophagy.

Applications

WB

Species

Unspecified reactive species

Ilya V Ulasov,Nameeta Shah,Natalya V Kaverina,Hwahyang Lee,Biaoyang Lin,Andre Lieber,Zaira G Kadagidze,Jae-Guen Yoon,Brett Schroeder,Parvinder Hothi,Dhimankrishna Ghosh,Anatoly Y Baryshnikov,Charles S Cobbs
View all publications

Abcam product promise

当社は、高品質な試薬を通じてお客様の研究を力強くサポートすることをお約束いたします。ご使用いただく各段階で、常にお客様をサポートできる体制を整えております。万が一、製品が期待通りに機能しない場合は、「Abcam Product Promise」による当社保証制度に基づき、安心してご利用いただけます。
保証に関する詳細については利用規約をご確認ください。

Please note: All products are 'FOR RESEARCH USE ONLY. NOT FOR USE IN DIAGNOSTIC OR THERAPEUTIC PROCEDURES'.

For licensing inquiries, please contact partnerships@abcam.com