JavaScript is disabled in your browser. Please enable JavaScript to view this website.
AB244261

Anti-COX1 / Cyclooxygenase 1 抗体

Anti-COX1 / Cyclooxygenase 1 antibody

Be the first to review this product! Submit a review

|

(1 Publication)

Rabbit Polyclonal COX1 / Cyclooxygenase 1 antibody. Suitable for IHC-P, WB, ICC/IF and reacts with Human samples. Cited in 1 publication. Immunogen corresponding to Recombinant Fragment Protein within Human PTGS1 aa 350-550.

別名を表示する

COX1, PTGS1, Prostaglandin G/H synthase 1, Cyclooxygenase-1, Prostaglandin H2 synthase 1, Prostaglandin-endoperoxide synthase 1, COX-1, PGH synthase 1, PGHS-1, PHS 1

4 Images
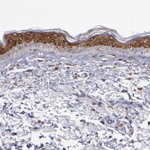
Immunohistochemistry (Formalin/PFA-fixed paraffin-embedded sections) - Anti-COX1 / Cyclooxygenase 1 antibody (AB244261)
  • IHC-P

Unknown

Immunohistochemistry (Formalin/PFA-fixed paraffin-embedded sections) - Anti-COX1 / Cyclooxygenase 1 antibody (AB244261)

Formalin-fixed, paraffin-embedded human skin tissue stained for COX1 / Cyclooxygenase 1 with ab244261 at a 1/50 dilution in immunohistochemical analysis.

Western blot - Anti-COX1 / Cyclooxygenase 1 antibody (AB244261)
  • WB

Unknown

Western blot - Anti-COX1 / Cyclooxygenase 1 antibody (AB244261)

All lanes:

Western blot - Anti-COX1 / Cyclooxygenase 1 antibody (ab244261) at 0.4 µg/mL

All lanes:

HEL (Human bone marrow erythroleukemia cell line) cell lysate

Predicted band size: 68 kDa

false

Immunohistochemistry (Formalin/PFA-fixed paraffin-embedded sections) - Anti-COX1 / Cyclooxygenase 1 antibody (AB244261)
  • IHC-P

Unknown

Immunohistochemistry (Formalin/PFA-fixed paraffin-embedded sections) - Anti-COX1 / Cyclooxygenase 1 antibody (AB244261)

Formalin-fixed, paraffin-embedded human skeletal muscle tissue stained for COX1 / Cyclooxygenase 1 with ab244261 at a 1/50 dilution in immunohistochemical analysis.

Low expression as expected.

Immunocytochemistry/ Immunofluorescence - Anti-COX1 / Cyclooxygenase 1 antibody (AB244261)
  • ICC/IF

Unknown

Immunocytochemistry/ Immunofluorescence - Anti-COX1 / Cyclooxygenase 1 antibody (AB244261)

PFA fixed, Triton X-100 permeabilized BJ cells labeling COX1 / Cyclooxygenase 1 using ab244261 at 4 μg/ml (green) in ICC/IF.

Key facts

宿主種

Rabbit

クローン性

Polyclonal

アイソタイプ

IgG

キャリアフリー

No

交差種

Human

アプリケーション

IHC-P, WB, ICC/IF

applications

免疫原

Recombinant Fragment Protein within Human PTGS1 aa 350-550. The exact immunogen used to generate this antibody is proprietary information.

P23219

Reactivity data

{ "title": "Reactivity Data", "filters": { "stats": ["", "Species", "Dilution Info", "Notes"], "tabs": { "all-applications": {"fullname" : "All Applications", "shortname": "All Applications"}, "IHCP" : {"fullname" : "Immunohistochemistry (Formalin/PFA-fixed paraffin-embedded sections)", "shortname":"IHC-P"}, "WB" : {"fullname" : "Western blot", "shortname":"WB"}, "ICCIF" : {"fullname" : "Immunocytochemistry/ Immunofluorescence", "shortname":"ICC/IF"} }, "product-promise": { "all": "all", "testedAndGuaranteed": "tested", "guaranteed": "expected", "predicted": "predicted", "notRecommended": "not-recommended" } }, "values": { "Human": { "IHCP-species-checked": "testedAndGuaranteed", "IHCP-species-dilution-info": "1/50 - 1/200", "IHCP-species-notes": "<p></p> Perform heat-mediated antigen retrieval with citrate buffer pH 6 before commencing with IHC staining protocol.", "WB-species-checked": "testedAndGuaranteed", "WB-species-dilution-info": "0.04-0.4 µg/mL", "WB-species-notes": "<p></p>", "ICCIF-species-checked": "testedAndGuaranteed", "ICCIF-species-dilution-info": "0.25-2 µg/mL", "ICCIF-species-notes": "<p>Fixation/Permeabilization: PFA/Triton X-100.</p>" }, "Mouse": { "IHCP-species-checked": "predicted", "IHCP-species-dilution-info": "", "IHCP-species-notes": "", "WB-species-checked": "predicted", "WB-species-dilution-info": "", "WB-species-notes": "", "ICCIF-species-checked": "predicted", "ICCIF-species-dilution-info": "", "ICCIF-species-notes": "" }, "Rat": { "IHCP-species-checked": "predicted", "IHCP-species-dilution-info": "", "IHCP-species-notes": "", "WB-species-checked": "predicted", "WB-species-dilution-info": "", "WB-species-notes": "", "ICCIF-species-checked": "predicted", "ICCIF-species-dilution-info": "", "ICCIF-species-notes": "" }, "Cow": { "IHCP-species-checked": "predicted", "IHCP-species-dilution-info": "", "IHCP-species-notes": "", "WB-species-checked": "predicted", "WB-species-dilution-info": "", "WB-species-notes": "", "ICCIF-species-checked": "predicted", "ICCIF-species-dilution-info": "", "ICCIF-species-notes": "" }, "Dog": { "IHCP-species-checked": "predicted", "IHCP-species-dilution-info": "", "IHCP-species-notes": "", "WB-species-checked": "predicted", "WB-species-dilution-info": "", "WB-species-notes": "", "ICCIF-species-checked": "predicted", "ICCIF-species-dilution-info": "", "ICCIF-species-notes": "" }, "Rabbit": { "IHCP-species-checked": "predicted", "IHCP-species-dilution-info": "", "IHCP-species-notes": "", "WB-species-checked": "predicted", "WB-species-dilution-info": "", "WB-species-notes": "", "ICCIF-species-checked": "predicted", "ICCIF-species-dilution-info": "", "ICCIF-species-notes": "" }, "Sheep": { "IHCP-species-checked": "predicted", "IHCP-species-dilution-info": "", "IHCP-species-notes": "", "WB-species-checked": "predicted", "WB-species-dilution-info": "", "WB-species-notes": "", "ICCIF-species-checked": "predicted", "ICCIF-species-dilution-info": "", "ICCIF-species-notes": "" } } }

下記製品にもご興味をお持ちいただけるかもしれません:

AB204699

Cyclooxygenase (COX) Activity Assay Kit (Fluorometric)

0

0 Reviews

製品ページを見る
こちらの製品も推奨する理由

この製品は、同様の実験や関連する研究で広く使用されていることから推奨させていただいております。

お客様の実験に適するかご確認いただくため、必ず製品データシートをご確認いただくことをお勧めいたします。ご不明点等ございましたら、テクニカルサポートチームまでお問い合わせください。

出荷温度及び保存条件

製品の状態
Liquid
精製方法
Affinity purification Immunogen
バッファー組成
pH: 7.2 Preservative: 0.02% Sodium azide Constituents: PBS, 40% Glycerol (glycerin, glycerine)
出荷温度
Blue Ice
短期保存期間
1-2 weeks
短期保存温度
+4°C
長期保存温度
-20°C
分注に関する情報
Upon delivery aliquot
保管に関する情報
Avoid freeze / thaw cycle

補足情報

This supplementary information is collated from multiple sources and compiled automatically.

Cyclooxygenase 1 (COX-1) also known as COX1 cyclooxygenase-1 COX one and the COX1 protein is an important enzyme in the conversion of arachidonic acid to prostaglandins. It is a heme-containing dimer enzyme with a molecular weight of approximately 70 kDa. COX-1 is widely expressed in most tissues and cell types where it plays a significant role in maintaining homeostatic functions. This protein is constitutively active meaning it is often active under normal physiological conditions.
Biological function summary

COX-1 is involved in producing prostaglandins that regulate a variety of normal physiological processes including gastric mucosal protection renal blood flow and platelet aggregation. Unlike COX-2 COX-1 is not induced by inflammatory stimuli and is not part of an inducible complex. It serves to maintain essential physiological functions in various organs and systems making its activity critical for cellular maintenance.

Pathways

COX-1 is primarily involved in the prostaglandin biosynthesis pathway. It converts arachidonic acid into prostaglandin H2 a precursor for other prostaglandins and thromboxanes. Thromboxane A2 produced from this pathway plays an important role in platelet aggregation and vasoconstriction linking COX-1's functions with hemostatic processes. Another protein involved in this pathway is thromboxane synthase which further processes the products of COX-1 activity.

COX-1’s role connects it closely to conditions like peptic ulcers and cardiovascular diseases. Inhibition of COX-1 by nonsteroidal anti-inflammatory drugs (NSAIDs) can lead to gastric mucosal damage contributing to the development of peptic ulcers. Additionally due to its involvement in platelet aggregation COX-1 affects thrombotic diseases. COX-1's interactions with proteins such as COX-2 become relevant in inflammation and pain management where selective inhibition of COX-2 is sought to reduce adverse effects related to COX-1.

製品プロトコール

For this product, it's our understanding that no specific protocols are required. You can visit:

ターゲットの情報

Dual cyclooxygenase and peroxidase that plays an important role in the biosynthesis pathway of prostanoids, a class of C20 oxylipins mainly derived from arachidonate ((5Z,8Z,11Z,14Z)-eicosatetraenoate, AA, C20 : 4(n-6)), with a particular role in the inflammatory response. The cyclooxygenase activity oxygenates AA to the hydroperoxy endoperoxide prostaglandin G2 (PGG2), and the peroxidase activity reduces PGG2 to the hydroxy endoperoxide prostaglandin H2 (PGH2), the precursor of all 2-series prostaglandins and thromboxanes. This complex transformation is initiated by abstraction of hydrogen at carbon 13 (with S-stereochemistry), followed by insertion of molecular O2 to form the endoperoxide bridge between carbon 9 and 11 that defines prostaglandins. The insertion of a second molecule of O2 (bis-oxygenase activity) yields a hydroperoxy group in PGG2 that is then reduced to PGH2 by two electrons (PubMed : 7947975). Involved in the constitutive production of prostanoids in particular in the stomach and platelets. In gastric epithelial cells, it is a key step in the generation of prostaglandins, such as prostaglandin E2 (PGE2), which plays an important role in cytoprotection. In platelets, it is involved in the generation of thromboxane A2 (TXA2), which promotes platelet activation and aggregation, vasoconstriction and proliferation of vascular smooth muscle cells (Probable). Can also use linoleate (LA, (9Z,12Z)-octadecadienoate, C18 : 2(n-6)) as substrate and produce hydroxyoctadecadienoates (HODEs) in a regio- and stereospecific manner, being (9R)-HODE ((9R)-hydroxy-(10E,12Z)-octadecadienoate) and (13S)-HODE ((13S)-hydroxy-(9Z,11E)-octadecadienoate) its major products (By similarity).
See full target information PTGS1

文献 (1)

Recent publications for all applications. Explore the full list and refine your search

BMC genomics 23:363 PubMed35546662

2022

Ewe breed differences in the cervical transcriptome at the follicular phase of a synchronised oestrous cycle.

Applications

Unspecified application

Species

Unspecified reactive species

Laura Abril-Parreño,Kieran G Meade,Anette Kristine Krogenæs,Xavier Druart,Paul Cormican,Sean Fair
View all publications

Abcam product promise

当社は、高品質な試薬を通じてお客様の研究を力強くサポートすることをお約束いたします。ご使用いただく各段階で、常にお客様をサポートできる体制を整えております。万が一、製品が期待通りに機能しない場合は、「Abcam Product Promise」による当社保証制度に基づき、安心してご利用いただけます。
保証に関する詳細については利用規約をご確認ください。

関連製品

Select an associated product type
Alternative Product
Primary Antibodies

AB199027

Alexa Fluor® 488 Anti-COX1 / Cyclooxygenase 1 antibody [EPR5866]

primary-antibodies

alexa-fluor-488-cox1-cyclooxygenase-1-antibody-epr5866-ab199027

0

(0 reviews)

Alternative Product
Primary Antibodies

AB133319

Anti-COX1 / Cyclooxygenase 1 antibody [EPR5867]

primary-antibodies

cox1-cyclooxygenase-1-antibody-epr5867-ab133319

3

(1 reviews)

Alternative Product
Primary Antibodies

AB109025

Anti-COX1 / Cyclooxygenase 1 antibody [EPR5866]

primary-antibodies

cox1-cyclooxygenase-1-antibody-epr5866-ab109025

4

(3 reviews)

Alternative Product
Primary Antibodies

AB219375

Anti-COX1 / Cyclooxygenase 1 antibody [EPR5866] - BSA and Azide free

primary-antibodies

cox1-cyclooxygenase-1-antibody-epr5866-bsa-and-azide-free-ab219375

0

(0 reviews)

Alternative Product
Primary Antibodies

AB199202

Alexa Fluor® 647 Anti-COX1 / Cyclooxygenase 1 antibody [EPR5866]

primary-antibodies

alexa-fluor-647-cox1-cyclooxygenase-1-antibody-epr5866-ab199202

0

(0 reviews)

Alternative Product
Primary Antibodies

AB209581

PE Anti-COX1 / Cyclooxygenase 1 antibody [EPR5866]

primary-antibodies

pe-cox1-cyclooxygenase-1-antibody-epr5866-ab209581

0

(0 reviews)

Please note: All products are 'FOR RESEARCH USE ONLY. NOT FOR USE IN DIAGNOSTIC OR THERAPEUTIC PROCEDURES'.

For licensing inquiries, please contact partnerships@abcam.com