JavaScript is disabled in your browser. Please enable JavaScript to view this website.
AB153709

Anti-COX IV 抗体 - Mitochondrial Marker

Anti-COX IV antibody - Mitochondrial Marker - Mitochondrial Marker

Be the first to review this product! Submit a review

|

(8 Publications)

Rabbit Polyclonal COX IV antibody. Mitochondrion marker. Suitable for IHC-P, WB, ICC/IF and reacts with Human, Mouse, Rat samples. Cited in 8 publications. Immunogen corresponding to Recombinant Fragment Protein within Human COX4I1 aa 1 to C-terminus.

別名を表示する

COX4, COX4I1, Cytochrome c oxidase polypeptide IV, Cytochrome c oxidase subunit IV isoform 1, COX IV-1

8 Images
Immunocytochemistry/ Immunofluorescence - Anti-COX IV antibody - Mitochondrial Marker - Mitochondrial Marker (AB153709)
  • ICC/IF

Supplier Data

Immunocytochemistry/ Immunofluorescence - Anti-COX IV antibody - Mitochondrial Marker - Mitochondrial Marker (AB153709)

Immunofluorescence analysis of ice-cold MeOH fixed for 5 mins HeLa cells labelling COX4 protein at mitochondria using ab153709 at a 1/500 dilution (Green). The nuclear counterstain is Hoechst 33342 (Blue). Scale bar= 10 µm.

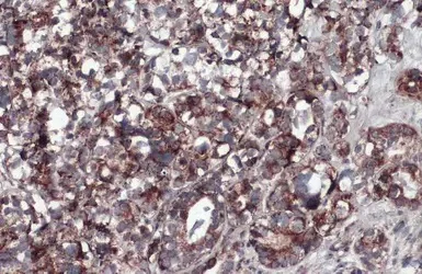
Immunohistochemistry (Formalin/PFA-fixed paraffin-embedded sections) - Anti-COX IV antibody - Mitochondrial Marker - Mitochondrial Marker (AB153709)
  • IHC-P

Supplier Data

Immunohistochemistry (Formalin/PFA-fixed paraffin-embedded sections) - Anti-COX IV antibody - Mitochondrial Marker - Mitochondrial Marker (AB153709)

Paraffin-embedded human endometrial carcinoma tissue stained for COX4 protein at mitochondria with ab153709 at a 1/500 dilution in immunohistochemical analysis.

Antigen Retrieval : Citrate buffer, pH 6.0, 15 min .

Immunocytochemistry/ Immunofluorescence - Anti-COX IV antibody - Mitochondrial Marker - Mitochondrial Marker (AB153709)
  • ICC/IF

Supplier Data

Immunocytochemistry/ Immunofluorescence - Anti-COX IV antibody - Mitochondrial Marker - Mitochondrial Marker (AB153709)

Immunofluorescence analysis of ice-cold MeOH fixed for 5 mins HeLa cells labelling COX4 protein at mitochondria using ab153709 at a 1/500 dilution (Green). The nuclear counterstain is Hoechst 33342 (Blue). Scale bar= 10 µm.

Western blot - Anti-COX IV antibody - Mitochondrial Marker - Mitochondrial Marker (AB153709)
  • WB

Supplier Data

Western blot - Anti-COX IV antibody - Mitochondrial Marker - Mitochondrial Marker (AB153709)

Samples were separated by 15% SDS-PAGE.

All lanes:

Western blot - Anti-COX IV antibody - Mitochondrial Marker - Mitochondrial Marker (ab153709) at 1/1000 dilution

Lane 1:

Jurkat whole cell extracts at 30 µg

Lane 2:

Raji whole cell extracts at 30 µg

Lane 3:

A431 whole cell extracts at 30 µg

Lane 4:

HeLa whole cell extracts at 30 µg

Lane 5:

HepG2 whole cell extracts at 30 µg

Lane 6:

A549 whole cell extracts at 30 µg

Lane 7:

HCT116 whole cell extracts at 30 µg

Lane 8:

MCF-7 whole cell extracts at 30 µg

Lane 9:

NT2D1 whole cell extracts at 30 µg

Lane 10:

U87-MG whole cell extracts at 30 µg

Lane 11:

SKNSH whole cell extracts at 30 µg

Lane 12:

K562 whole cell extracts at 30 µg

Secondary

All lanes:

HRP-conjugated anti-rabbit IgG antibody

Predicted band size: 19 kDa

false

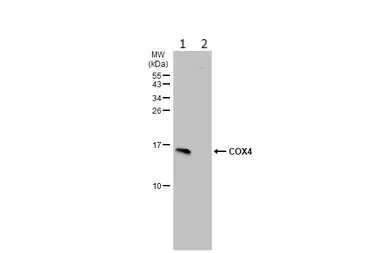
Western blot - Anti-COX IV antibody - Mitochondrial Marker - Mitochondrial Marker (AB153709)
  • WB

Supplier Data

Western blot - Anti-COX IV antibody - Mitochondrial Marker - Mitochondrial Marker (AB153709)

Samples were separated by 15% SDS-PAGE.

All lanes:

Western blot - Anti-COX IV antibody - Mitochondrial Marker - Mitochondrial Marker (ab153709) at 1/3000 dilution

Lane 1:

Non-transfected (-) 293T whole cell extracts at 30 µg

Lane 2:

COX IV shRNA transfected (+) 293T whole cell extracts at 30 µg

Secondary

All lanes:

HRP-conjugated anti-rabbit IgG antibody

Predicted band size: 19 kDa

false

Western blot - Anti-COX IV antibody - Mitochondrial Marker - Mitochondrial Marker (AB153709)
  • WB

Supplier Data

Western blot - Anti-COX IV antibody - Mitochondrial Marker - Mitochondrial Marker (AB153709)

Samples were separated by 15% SDS-PAGE.

All lanes:

Western blot - Anti-COX IV antibody - Mitochondrial Marker - Mitochondrial Marker (ab153709) at 1/1000 dilution

Lane 1:

Mouse muscle tissue extracts at 50 µg

Lane 2:

Mouse lung tissue extracts at 50 µg

Secondary

All lanes:

HRP-conjugated anti-rabbit IgG antibody

Predicted band size: 19 kDa

false

Western blot - Anti-COX IV antibody - Mitochondrial Marker - Mitochondrial Marker (AB153709)
  • WB

Supplier Data

Western blot - Anti-COX IV antibody - Mitochondrial Marker - Mitochondrial Marker (AB153709)

Samples were separated by 15% SDS-PAGE.

All lanes:

Western blot - Anti-COX IV antibody - Mitochondrial Marker - Mitochondrial Marker (ab153709) at 1/1000 dilution

Lane 1:

Neuro2A whole cell extracts at 30 µg

Lane 2:

NIH-3T3 whole cell extracts at 30 µg

Lane 3:

Raw264.7 whole cell extracts at 30 µg

Lane 4:

C2C12 whole cell extracts at 30 µg

Secondary

All lanes:

HRP-conjugated anti-rabbit IgG antibody

Predicted band size: 19 kDa

false

Western blot - Anti-COX IV antibody - Mitochondrial Marker - Mitochondrial Marker (AB153709)
  • WB

Unknown

Western blot - Anti-COX IV antibody - Mitochondrial Marker - Mitochondrial Marker (AB153709)

12% SDS PAGE

All lanes:

Western blot - Anti-COX IV antibody - Mitochondrial Marker - Mitochondrial Marker (ab153709) at 1/500 dilution

All lanes:

Rat muscle whole tissue lysate at 50 µg

Predicted band size: 19 kDa

false

Key facts

宿主種

Rabbit

クローン性

Polyclonal

アイソタイプ

IgG

キャリアフリー

No

交差種

Mouse, Rat, Human

アプリケーション

WB, IHC-P, ICC/IF

applications

免疫原

Recombinant Fragment Protein within Human COX4I1 aa 1 to C-terminus. The exact immunogen used to generate this antibody is proprietary information.

P13073

Reactivity data

{ "title": "Reactivity Data", "filters": { "stats": ["", "Species", "Dilution Info", "Notes"], "tabs": { "all-applications": {"fullname" : "All Applications", "shortname": "All Applications"}, "IHCP" : {"fullname" : "Immunohistochemistry (Formalin/PFA-fixed paraffin-embedded sections)", "shortname":"IHC-P"}, "WB" : {"fullname" : "Western blot", "shortname":"WB"}, "ICCIF" : {"fullname" : "Immunocytochemistry/ Immunofluorescence", "shortname":"ICC/IF"} }, "product-promise": { "all": "all", "testedAndGuaranteed": "tested", "guaranteed": "expected", "predicted": "predicted", "notRecommended": "not-recommended" } }, "values": { "Human": { "IHCP-species-checked": "testedAndGuaranteed", "IHCP-species-dilution-info": "1/100 - 1/1000", "IHCP-species-notes": "<p></p> Perform heat-mediated antigen retrieval with citrate buffer pH 6 before commencing with IHC staining protocol.", "WB-species-checked": "testedAndGuaranteed", "WB-species-dilution-info": "1/500 - 1/3000", "WB-species-notes": "<p></p>", "ICCIF-species-checked": "testedAndGuaranteed", "ICCIF-species-dilution-info": "1/100 - 1/1000", "ICCIF-species-notes": "<p></p>" }, "Mouse": { "IHCP-species-checked": "guaranteed", "IHCP-species-dilution-info": "", "IHCP-species-notes": "", "WB-species-checked": "testedAndGuaranteed", "WB-species-dilution-info": "1/500 - 1/3000", "WB-species-notes": "<p></p>", "ICCIF-species-checked": "guaranteed", "ICCIF-species-dilution-info": "", "ICCIF-species-notes": "" }, "Rat": { "IHCP-species-checked": "guaranteed", "IHCP-species-dilution-info": "", "IHCP-species-notes": "", "WB-species-checked": "testedAndGuaranteed", "WB-species-dilution-info": "1/500 - 1/3000", "WB-species-notes": "<p></p>", "ICCIF-species-checked": "guaranteed", "ICCIF-species-dilution-info": "", "ICCIF-species-notes": "" }, "Monkey": { "IHCP-species-checked": "predicted", "IHCP-species-dilution-info": "", "IHCP-species-notes": "", "WB-species-checked": "predicted", "WB-species-dilution-info": "", "WB-species-notes": "", "ICCIF-species-checked": "predicted", "ICCIF-species-dilution-info": "", "ICCIF-species-notes": "" } } }

下記製品もご検討ください

AB231168

Anti-COX IV antibody [EPR9442(ABC)] - BSA and Azide free - Mitochondrial Marker

0
0 Reviews
製品ページを見る
こちらの製品も推奨する理由

私たちは、より高品質な製品をお届けするために、製品構成を常に改善しています。今回ご紹介する代替製品は、性能の向上、使いやすさや利便性の向上、またはより早くお届けできる点などを踏まえて選定しています。

出荷温度及び保存条件

製品の状態
Liquid
精製方法
Affinity purification Immunogen
バッファー組成
pH: 7 Preservative: 0.025% Proclin 300 Constituents: 78% PBS, 20% Glycerol (glycerin, glycerine), 1% BSA
出荷温度
Blue Ice
短期保存温度
+4°C
長期保存温度
-20°C
分注に関する情報
Upon delivery aliquot
保管に関する情報
Avoid freeze / thaw cycle

補足情報

This supplementary information is collated from multiple sources and compiled automatically.

Cytochrome c oxidase subunit IV commonly known as COX IV is a component of the enzyme complex located in the inner mitochondrial membrane. COX IV has a molecular weight of approximately 17 kDa and serves as a subunit of the larger cytochrome c oxidase complex which is essential in cellular respiration. As a mitochondrial marker COX IV is expressed in various tissues where it acts as an important player in the electron transport chain. The presence and function of COX IV are critical in facilitating the last step of the mitochondrial respiratory chain.
Biological function summary

COX IV acts as a significant part of the cytochrome c oxidase complex helping catalyze the reduction of oxygen to water. This process is an important step in the overall mechanism of oxidative phosphorylation. COX IV's role in this complex enables the proton gradient generation across the inner mitochondrial membrane which is necessary for ATP synthesis. Its activity regulates the efficiency of cellular respiration impacting energy production and metabolic activities within cells.

Pathways

COX IV functionally interacts within the oxidative phosphorylation and electron transport chain pathways. Its coordination with other proteins like COX I and COX II in the cytochrome c oxidase complex ensures proper electron transfer to oxygen. Additionally COX IV is implicated in the regulation of reactive oxygen species maintaining cellular homeostasis. These pathways interconnect with broader cellular mechanisms that involve energy metabolism and apoptosis.

COX IV has been linked to mitochondrial disorders where defects in the oxidative phosphorylation processes can lead to conditions such as mitochondrial encephalomyopathy. Abnormalities in COX IV function and expression can also contribute to neurodegenerative diseases including Parkinson's disease. Here interactions with proteins like superoxide dismutase (SOD) highlight how oxidative stress and mitochondrial dysfunction relate closely to disease progression. These associations underline the importance of COX IV in maintaining cellular and organismal health.

製品プロトコール

For this product, it's our understanding that no specific protocols are required. You can visit:

ターゲットの情報

Component of the cytochrome c oxidase, the last enzyme in the mitochondrial electron transport chain which drives oxidative phosphorylation. The respiratory chain contains 3 multisubunit complexes succinate dehydrogenase (complex II, CII), ubiquinol-cytochrome c oxidoreductase (cytochrome b-c1 complex, complex III, CIII) and cytochrome c oxidase (complex IV, CIV), that cooperate to transfer electrons derived from NADH and succinate to molecular oxygen, creating an electrochemical gradient over the inner membrane that drives transmembrane transport and the ATP synthase. Cytochrome c oxidase is the component of the respiratory chain that catalyzes the reduction of oxygen to water. Electrons originating from reduced cytochrome c in the intermembrane space (IMS) are transferred via the dinuclear copper A center (CU(A)) of subunit 2 and heme A of subunit 1 to the active site in subunit 1, a binuclear center (BNC) formed by heme A3 and copper B (CU(B)). The BNC reduces molecular oxygen to 2 water molecules using 4 electrons from cytochrome c in the IMS and 4 protons from the mitochondrial matrix.
See full target information COX4I1

文献 (8)

Recent publications for all applications. Explore the full list and refine your search

Nature communications 14:7069 PubMed37923710

2023

Selective activator of human ClpP triggers cell cycle arrest to inhibit lung squamous cell carcinoma.

Applications

Unspecified application

Species

Unspecified reactive species

Lin-Lin Zhou,Tao Zhang,Yun Xue,Chuan Yue,Yihui Pan,Pengyu Wang,Teng Yang,Meixia Li,Hu Zhou,Kan Ding,Jianhua Gan,Hongbin Ji,Cai-Guang Yang

Cell death discovery 8:41 PubMed35091544

2022

KLF2 up-regulates IRF4/HDAC7 to protect neonatal rats from hypoxic-ischemic brain damage.

Applications

Unspecified application

Species

Unspecified reactive species

Fan Wu,Chunlin Li

Molecular medicine reports 22:1420-1428 PubMed32626998

2020

Role of endoplasmic reticulum oxidase 1α in H9C2 cardiomyocytes following hypoxia/reoxygenation injury.

Applications

Unspecified application

Species

Unspecified reactive species

Lina Lai,Yue Liu,Yuanyuan Liu,Ni Zhang,Shilu Cao,Xiaojing Zhang,Di Wu

Scientific reports 10:6655 PubMed32313015

2020

Epigenetics and Mitochondrial Stability in the Metabolic Memory Phenomenon Associated with Continued Progression of Diabetic Retinopathy.

Applications

Unspecified application

Species

Unspecified reactive species

Renu A Kowluru,Ghulam Mohammad

Experimental and therapeutic medicine 19:3227-3238 PubMed32269607

2020

PM2.5 induces apoptosis, oxidative stress injury and melanin metabolic disorder in human melanocytes.

Applications

Unspecified application

Species

Unspecified reactive species

Danfeng Suo,Sanwu Zeng,Junling Zhang,Linghe Meng,Lishuo Weng

Autophagy 15:2142-2162 PubMed31066324

2019

Clearance of damaged mitochondria via mitophagy is important to the protective effect of ischemic preconditioning in kidneys.

Applications

Unspecified application

Species

Unspecified reactive species

Man J Livingston,Jinghong Wang,Jiliang Zhou,Guangyu Wu,Ian G Ganley,Joseph A Hill,Xiao-Ming Yin,Zheng Dong

Molecular medicine reports 16:515-522 PubMed28560462

2017

Remote ischemic postconditioning confers neuroprotective effects via inhibition of the BID-mediated mitochondrial apoptotic pathway.

Applications

IHC

Species

Rat

Xiaoying Gao,Yun Liu,Yuying Xie,Ying Wang,Sihua Qi

FASEB journal : official publication of the Federation of American Societies for Experimental Biology 30:1416-24 PubMed26655706

2015

Exosomes from human mesenchymal stem cells conduct aerobic metabolism in term and preterm newborn infants.

Applications

Unspecified application

Species

Unspecified reactive species

Isabella Panfoli,Silvia Ravera,Marina Podestà,Claudia Cossu,Laura Santucci,Martina Bartolucci,Maurizio Bruschi,Daniela Calzia,Federica Sabatini,Matteo Bruschettini,Luca Antonio Ramenghi,Olga Romantsik,Danilo Marimpietri,Vito Pistoia,Gianmarco Ghiggeri,Francesco Frassoni,Giovanni Candiano
View all publications

Abcam product promise

当社は、高品質な試薬を通じてお客様の研究を力強くサポートすることをお約束いたします。ご使用いただく各段階で、常にお客様をサポートできる体制を整えております。万が一、製品が期待通りに機能しない場合は、「Abcam Product Promise」による当社保証制度に基づき、安心してご利用いただけます。
保証に関する詳細については利用規約をご確認ください。

関連製品

Select an associated product type
Alternative Product
Primary Antibodies

AB210180

Alexa Fluor® 405 Anti-COX IV antibody [EPR9442(ABC)] - Mitochondrial Marker

primary-antibodies

alexa-fluor-405-cox-iv-antibody-epr9442abc-mitochondrial-marker-ab210180

4

(2 reviews)

Alternative Product
Primary Antibodies

AB210674

Alexa Fluor® 594 Anti-COX IV antibody [EPR9442(ABC)] - Mitochondrial Marker

primary-antibodies

alexa-fluor-594-cox-iv-antibody-epr9442abc-mitochondrial-marker-ab210674

0

(0 reviews)

Alternative Product
Primary Antibodies

AB209958

HRP Anti-COX IV antibody [EPR9442(ABC)] - Mitochondrial Marker

primary-antibodies

hrp-cox-iv-antibody-epr9442abc-mitochondrial-marker-ab209958

0

(0 reviews)

Alternative Product
Primary Antibodies

AB202554

Anti-COX IV antibody [EPR9442(ABC)] - Mitochondrial Loading Control

primary-antibodies

cox-iv-antibody-epr9442abc-mitochondrial-loading-control-ab202554

5

(2 reviews)

Please note: All products are 'FOR RESEARCH USE ONLY. NOT FOR USE IN DIAGNOSTIC OR THERAPEUTIC PROCEDURES'.

For licensing inquiries, please contact partnerships@abcam.com