JavaScript is disabled in your browser. Please enable JavaScript to view this website.
AB235296

Anti-Collagen IV 抗体

Anti-Collagen IV antibody

Be the first to review this product! Submit a review

|

(3 Publications)

Goat Polyclonal COL4A1 antibody. Suitable for IHC-P, ICC/IF and reacts with Mouse samples. Cited in 3 publications.

別名を表示する

Collagen alpha-1(IV) chain, Col4a1

3 Images
Immunohistochemistry (Formalin/PFA-fixed paraffin-embedded sections) - Anti-Collagen IV antibody (AB235296)
  • IHC-P

Supplier Data

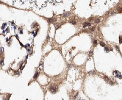
Immunohistochemistry (Formalin/PFA-fixed paraffin-embedded sections) - Anti-Collagen IV antibody (AB235296)

Immunohistochemical analysis of mouse placenta tissue labeling Collagen IV with ab235296 at 1/100 dilution for 30 mins at RT, followed by a donkey anti-goat HRP at 4 μL/ml for 20 mins at RT. Counterstained with hematoxylin. HIER was performed using citrate buffer for 20 mins.

Immunocytochemistry/ Immunofluorescence - Anti-Collagen IV antibody (AB235296)
  • ICC/IF

Supplier Data

Immunocytochemistry/ Immunofluorescence - Anti-Collagen IV antibody (AB235296)

Immunocytochemical analysis of 4% PFA-fixed mouse NIH/3T3 cells labeling Collagen IV with ab235296 at 15 μg/ml overnight at 4°C, followed by a donkey anti-goat IgG DyLight™ 488 conjugated preabsorbed secondary at 5 μg/ml for 1 hour at RT (green). The nuclear counter stain is DAPI (blue).

Immunohistochemistry (Formalin/PFA-fixed paraffin-embedded sections) - Anti-Collagen IV antibody (AB235296)
  • IHC-P

Supplier Data

Immunohistochemistry (Formalin/PFA-fixed paraffin-embedded sections) - Anti-Collagen IV antibody (AB235296)

Immunohistochemical analysis of mouse testis tissue labeling Collagen IV with ab235296 at 1/100 dilution for 30 mins at RT, followed by a donkey anti-goat HRP at 4 μL/ml for 20 mins at RT. Counterstained with hematoxylin. HIER was performed using citrate buffer for 20 mins.

Key facts

宿主種

Goat

クローン性

Polyclonal

アイソタイプ

IgG

キャリアフリー

No

交差種

Mouse

アプリケーション

ICC/IF, IHC-P

applications

免疫原

The exact immunogen used to generate this antibody is proprietary information.

Reactivity data

{ "title": "Reactivity Data", "filters": { "stats": ["", "Species", "Dilution Info", "Notes"], "tabs": { "all-applications": {"fullname" : "All Applications", "shortname": "All Applications"}, "IHCP" : {"fullname" : "Immunohistochemistry (Formalin/PFA-fixed paraffin-embedded sections)", "shortname":"IHC-P"}, "ICCIF" : {"fullname" : "Immunocytochemistry/ Immunofluorescence", "shortname":"ICC/IF"} }, "product-promise": { "all": "all", "testedAndGuaranteed": "tested", "guaranteed": "expected", "predicted": "predicted", "notRecommended": "not-recommended" } }, "values": { "Mouse": { "IHCP-species-checked": "testedAndGuaranteed", "IHCP-species-dilution-info": "1/100", "IHCP-species-notes": "<p></p>", "ICCIF-species-checked": "testedAndGuaranteed", "ICCIF-species-dilution-info": "15 µg/mL", "ICCIF-species-notes": "<p></p>" } } }

出荷温度及び保存条件

製品の状態
Liquid
精製方法
Affinity purification
バッファー組成
Preservative: 0.01% Sodium azide Constituents: PBS
出荷温度
Blue Ice
短期保存期間
1-2 weeks
短期保存温度
+4°C
長期保存温度
-20°C
分注に関する情報
Upon delivery aliquot
保管に関する情報
Avoid freeze / thaw cycle

補足情報

This supplementary information is collated from multiple sources and compiled automatically.

Collagen IV also known as COL4A1 or collagen type IV is a structural protein essential to the basement membrane in tissues. The molecular weight of collagen type 4 varies but it generally forms a high-molecular-weight complex. This protein expresses prominently in various tissues especially in the kidneys lens capsule of the eye and skin. Collagen IV comprises six different alpha chains where its distinctiveness lies in its non-fibrillar network-forming structure which serves as a supportive scaffold for tissues and contributes to tissue regeneration and cell adhesion.
Biological function summary

The highly organized network of collagen type IV plays a supreme role in maintaining the integrity and functionality of the basement membrane. It exists predominantly as part of a supramolecular complex associating with laminin nidogen and perlecan forming a multifunctional platform. This platform facilitates cellular signaling tissue elasticity and filtration functions. The basement membrane's selective permeability heavily relies on this network structure to regulate the exchange of molecules between tissues like blood vessels and epithelial sheets.

Pathways

Collagen IV contributes to several critical functions within the extracellular matrix organization and cell-matrix adhesion pathways. Specifically it interacts intimately with integrins and matrix metalloproteinases (MMPs) playing roles in angiogenesis and tissue repair. Additionally its interactions with other collagens and integrins within these pathways enhance cellular responses to mechanical stress and contribute to structural resilience in tissues.

Mutations or abnormalities in collagen IV are linked closely with hereditary conditions such as Alport syndrome and Goodpasture syndrome. These conditions often result in compromised structural integrity and function of the basement membrane particularly affecting the kidneys and lungs. Alterations in collagen IV can influence interactions with other proteins like collagen type IV-associated proteins altering normal physiological functions and leading to tissue dysfunction and disease manifestations.

製品プロトコール

For this product, it's our understanding that no specific protocols are required. You can visit:

ターゲットの情報

Type IV collagen is the major structural component of glomerular basement membranes (GBM), forming a 'chicken-wire' meshwork together with laminins, proteoglycans and entactin/nidogen.. Arresten, comprising the C-terminal NC1 domain, inhibits angiogenesis and tumor formation. The C-terminal half is found to possess the anti-angiogenic activity. Specifically inhibits endothelial cell proliferation, migration and tube formation.
See full target information Col4a1

文献 (3)

Recent publications for all applications. Explore the full list and refine your search

PloS one 20:e0322721 PubMed40694571

2025

Busulfan damages spermatogenic function by inducing orchitis.

Applications

Unspecified application

Species

Unspecified reactive species

Lingjun Zhao,Kaihui Wu,Shiyuan Xu,Songqi Liu,Kaimin Yuan,Dong Wang

Frontiers in cardiovascular medicine 11:1319164 PubMed38545339

2024

The gene variant governs passive ascending aortic mechanics in the mgΔ mouse model of Marfan syndrome when superimposed to perlecan haploinsufficiency.

Applications

Unspecified application

Species

Unspecified reactive species

Samar A Tarraf,Rodrigo Barbosa de Souza,Ashley Herrick,Lygia V Pereira,Chiara Bellini

The American journal of pathology 190:1943-1959 PubMed32562655

2020

Acoustic Trauma Causes Cochlear Pericyte-to-Myofibroblast-Like Cell Transformation and Vascular Degeneration, and Transplantation of New Pericytes Prevents Vascular Atrophy.

Applications

Unspecified application

Species

Unspecified reactive species

Zhiqiang Hou,Lingling Neng,Jinhui Zhang,Jing Cai,Xiaohan Wang,Yunpei Zhang,Ivan A Lopez,Xiaorui Shi
View all publications

Abcam product promise

当社は、高品質な試薬を通じてお客様の研究を力強くサポートすることをお約束いたします。ご使用いただく各段階で、常にお客様をサポートできる体制を整えております。万が一、製品が期待通りに機能しない場合は、「Abcam Product Promise」による当社保証制度に基づき、安心してご利用いただけます。
保証に関する詳細については利用規約をご確認ください。

Please note: All products are 'FOR RESEARCH USE ONLY. NOT FOR USE IN DIAGNOSTIC OR THERAPEUTIC PROCEDURES'.

For licensing inquiries, please contact partnerships@abcam.com