JavaScript is disabled in your browser. Please enable JavaScript to view this website.
AB227616

Anti-Collagen IV alpha 1 抗体 - N-terminal

Anti-Collagen IV alpha 1 antibody - N-terminal

Be the first to review this product! Submit a review

|

(13 Publications)

Rabbit Polyclonal COL4A1 antibody. N-terminal. Suitable for WB, IHC-P, ICC/IF and reacts with Human, Mouse, Rat samples. Cited in 13 publications. Immunogen corresponding to Recombinant Fragment Protein within Human COL4A1.

別名を表示する

Collagen alpha-1(IV) chain, COL4A1

4 Images
Immunocytochemistry/ Immunofluorescence - Anti-Collagen IV alpha 1 antibody - N-terminal (AB227616)
  • ICC/IF

Supplier Data

Immunocytochemistry/ Immunofluorescence - Anti-Collagen IV alpha 1 antibody - N-terminal (AB227616)

Immunofluorescence analysis of SK-N-SH cells fixed in 4% paraformaldehyde at RT for 15 min labelling COL4A1 protein at vesicle using ab227616 at a 1/500 dilution (Green).
alpha Tubulin, a cytoskeleton marker, stained by alpha Tubulin antibody at a 1/1000 dilution (Red). DAPI was used for nuclear staining (Blue).

Immunohistochemistry (Formalin/PFA-fixed paraffin-embedded sections) - Anti-Collagen IV alpha 1 antibody - N-terminal (AB227616)
  • IHC-P

Supplier Data

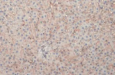
Immunohistochemistry (Formalin/PFA-fixed paraffin-embedded sections) - Anti-Collagen IV alpha 1 antibody - N-terminal (AB227616)

Immunohistochemical analysis of paraffin-embedded rat liver tissue labelling COL4A1 protein at cytoplasm and nucleus with ab227616 at a 1/2000 dilution.

Antigen retrieval : Citrate buffer, pH 6.0, 15 min

Immunohistochemistry (Formalin/PFA-fixed paraffin-embedded sections) - Anti-Collagen IV alpha 1 antibody - N-terminal (AB227616)
  • IHC-P

Supplier Data

Immunohistochemistry (Formalin/PFA-fixed paraffin-embedded sections) - Anti-Collagen IV alpha 1 antibody - N-terminal (AB227616)

Paraffin-embedded mouse brain tissue stained for Collagen IV alpha 1 with ab227616 at 1/500 dilution in immunohistochemical analysis.

Western blot - Anti-Collagen IV alpha 1 antibody - N-terminal (AB227616)
  • WB

Supplier Data

Western blot - Anti-Collagen IV alpha 1 antibody - N-terminal (AB227616)

Samples were separated by 5% SDS PAGE.

All lanes:

Western blot - Anti-Collagen IV alpha 1 antibody - N-terminal (ab227616) at 1/1000 dilution

All lanes:

SK-N-SH Whole cell extract at 30 µg

Secondary

All lanes:

HRP-conjugated anti-rabbit IgG antibody

Predicted band size: 161 kDa

false

Key facts

宿主種

Rabbit

クローン性

Polyclonal

アイソタイプ

IgG

キャリアフリー

No

交差種

Mouse, Human, Rat

アプリケーション

ICC/IF, WB, IHC-P

applications

免疫原

Recombinant Fragment Protein within Human COL4A1. The exact immunogen used to generate this antibody is proprietary information.

P02462

Reactivity data

{ "title": "Reactivity Data", "filters": { "stats": ["", "Species", "Dilution Info", "Notes"], "tabs": { "all-applications": {"fullname" : "All Applications", "shortname": "All Applications"}, "WB" : {"fullname" : "Western blot", "shortname":"WB"}, "IHCP" : {"fullname" : "Immunohistochemistry (Formalin/PFA-fixed paraffin-embedded sections)", "shortname":"IHC-P"}, "ICCIF" : {"fullname" : "Immunocytochemistry/ Immunofluorescence", "shortname":"ICC/IF"} }, "product-promise": { "all": "all", "testedAndGuaranteed": "tested", "guaranteed": "expected", "predicted": "predicted", "notRecommended": "not-recommended" } }, "values": { "Human": { "WB-species-checked": "testedAndGuaranteed", "WB-species-dilution-info": "1/500 - 1/3000", "WB-species-notes": "<p></p>", "IHCP-species-checked": "guaranteed", "IHCP-species-dilution-info": "", "IHCP-species-notes": "", "ICCIF-species-checked": "testedAndGuaranteed", "ICCIF-species-dilution-info": "", "ICCIF-species-notes": "<p></p>" }, "Mouse": { "WB-species-checked": "guaranteed", "WB-species-dilution-info": "", "WB-species-notes": "", "IHCP-species-checked": "testedAndGuaranteed", "IHCP-species-dilution-info": "1/100 - 1/1000", "IHCP-species-notes": "<p></p>", "ICCIF-species-checked": "guaranteed", "ICCIF-species-dilution-info": "", "ICCIF-species-notes": "" }, "Rat": { "WB-species-checked": "guaranteed", "WB-species-dilution-info": "", "WB-species-notes": "", "IHCP-species-checked": "testedAndGuaranteed", "IHCP-species-dilution-info": "1/100 - 1/1000", "IHCP-species-notes": "<p></p>", "ICCIF-species-checked": "guaranteed", "ICCIF-species-dilution-info": "", "ICCIF-species-notes": "" } } }

出荷温度及び保存条件

製品の状態
Liquid
精製方法
Affinity purification Immunogen
バッファー組成
pH: 7 Preservative: 0.025% Proclin 300 Constituents: PBS, 20% Glycerol (glycerin, glycerine)
出荷温度
Blue Ice
短期保存期間
1-2 weeks
短期保存温度
+4°C
長期保存温度
-20°C
分注に関する情報
Upon delivery aliquot
保管に関する情報
Avoid freeze / thaw cycle

補足情報

This supplementary information is collated from multiple sources and compiled automatically.

Collagen IV alpha 1 also known as COL4A1 forms an essential component of type IV collagen a major structural protein in basement membranes. With a molecular mass of approximately 185 kDa it contributes significantly to the formation of the structural matrix that supports epithelial and endothelial cells. Expression of COL4A1 is widespread notably in tissues with high involvement of basement membranes such as kidneys the eye and the cerebral vasculature. It takes part in the assembly of the collagen IV network essential for a stable extracellular environment.
Biological function summary

Collagen type IV alpha 1 contributes to the structural integrity and mechanical stability of the basement membrane. It operates as part of a heterotrimeric complex alongside COL4A2 integrating into the basement membrane’s unique mesh-like structure. This arrangement is important for the maintenance of cell attachment movement and the filtration barrier in tissues like the glomeruli. This protein also facilitates separations between tissue compartments helping organize cell layers into functional units.

Pathways

The collagen type IV alpha 1 protein participates in the integrin signaling pathway and the matrix metalloproteinase (MMP) pathway. It interacts with other collagen forms and proteins such as integrins involved in signaling events that regulate cell survival proliferation and migration. Its involvement in the MMP pathway highlights its role in tissue remodeling and repair as MMPs modulate the extracellular environment including basement membrane degradation and reconstruction.

Mutations or abnormalities in collagen type IV alpha 1 relate to conditions like cerebral small vessel disease (SVD) and Alport syndrome. SVD is associated with compromised vascular integrity where COL4A1 mutations may disrupt normal blood vessel function. In Alport syndrome disruptions in type IV collagen may lead to progressive kidney disease due to the protein’s vital role in glomerular basement membrane structure. Furthermore COL4A1’s interaction with proteins like COL4A5 highlights its broader impact in these disorders as COL4A5 mutations are a known cause of Alport syndrome.

製品プロトコール

For this product, it's our understanding that no specific protocols are required. You can visit:

ターゲットの情報

Type IV collagen is the major structural component of glomerular basement membranes (GBM), forming a 'chicken-wire' meshwork together with laminins, proteoglycans and entactin/nidogen.. Arresten, comprising the C-terminal NC1 domain, inhibits angiogenesis and tumor formation. The C-terminal half is found to possess the anti-angiogenic activity. Specifically inhibits endothelial cell proliferation, migration and tube formation.
See full target information COL4A1

文献 (13)

Recent publications for all applications. Explore the full list and refine your search

Journal of translational medicine 23:1034 PubMed41034905

2025

Interplay of axon regeneration genes and immune infiltration in spinal cord injury.

Applications

Unspecified application

Species

Unspecified reactive species

Zimin Xiang,Dingxi Fang,Danping Gao,Qi Zhang,Yuxuan Zhang,Yuping Sun,Liyan Li,Xiaoqian Zhang,Jiaxin Li,Lingzhi Ding

Journal of inflammation (London, England) 21:9 PubMed38509574

2024

Environmental tobacco smoke exposure exaggerates bleomycin-induced collagen overexpression during pulmonary fibrogenesis.

Applications

Unspecified application

Species

Unspecified reactive species

Qixin Wang,Chiara Goracci,Isaac Kirubakaran Sundar,Irfan Rahman

Heliyon 9:e14777 PubMed37025807

2023

Isolation and identification of extracellular matrix proteins from oil-based CASPERized mouse brains for matrisomal analysis.

Applications

Unspecified application

Species

Unspecified reactive species

Byung Geun Ha,Yu-Jin Jang,EunSoo Lee,Byung-Gyu Kim,Kyungjae Myung,Woong Sun,Sung-Jin Jeong

Nature communications 14:1295 PubMed36894533

2023

Circadian clock molecule REV-ERBα regulates lung fibrotic progression through collagen stabilization.

Applications

Unspecified application

Species

Unspecified reactive species

Qixin Wang,Isaac Kirubakaran Sundar,Joseph H Lucas,Jun-Gyu Park,Aitor Nogales,Luis Martinez-Sobrido,Irfan Rahman

Nephrology (Carlton, Vic.) 27:983-993 PubMed36181383

2022

CircHOMER1 aggravates oxidative stress, inflammation and extracellular matrix deposition in high glucose-induced human mesangial cells.

Applications

Unspecified application

Species

Unspecified reactive species

Shi Shu,Zhongju Xu,Haiying Lu,Zhijie Li,Yue Zhang

Cell death & disease 13:535 PubMed35672285

2022

Bone marrow mesenchymal stem cell-derived extracellular vesicles containing miR-181d protect rats against renal fibrosis by inhibiting KLF6 and the NF-κB signaling pathway.

Applications

Unspecified application

Species

Unspecified reactive species

Shi-Jun Wang,Zhen-Zhen Qiu,Fu-Wei Chen,An-Li Mao,Jun-Chao Bai,Ye-Jing Hong,Zhong-Pan Zhang,Wu-An Zhu,Zhi-Wei Zhang,Hao Zhou

JCI insight 6: PubMed34699385

2021

GATA4 induces liver fibrosis regression by deactivating hepatic stellate cells.

Applications

Unspecified application

Species

Unspecified reactive species

Noelia Arroyo,Laura Villamayor,Irene Díaz,Rita Carmona,Mireia Ramos-Rodríguez,Ramón Muñoz-Chápuli,Lorenzo Pasquali,Miguel G Toscano,Franz Martín,David A Cano,Anabel Rojas

Experimental and therapeutic medicine 23:3 PubMed34815755

2021

Hirudin, a thrombin inhibitor, attenuates TGF-β-induced fibrosis in renal proximal tubular epithelial cells by inhibition of protease-activated receptor 1 expression via S1P/S1PR2/S1PR3 signaling.

Applications

Unspecified application

Species

Unspecified reactive species

Qiang Lin,Chunli Long,Zhengang Wang,Ronghui Wang,Wei Shi,Jiwei Qiu,Junlin Mo,Yongxiang Xie

Diabetology & metabolic syndrome 13:137 PubMed34801077

2021

CircSMAD4 alleviates high glucose-induced inflammation, extracellular matrix deposition and apoptosis in mouse glomerulus mesangial cells by relieving miR-377-3p-mediated BMP7 inhibition.

Applications

Unspecified application

Species

Unspecified reactive species

Rina Wu,Zheli Niu,Guangwei Ren,Lin Ruan,Lijun Sun

Nephron 146:72-83 PubMed34474408

2021

Circ_0000491 Promotes Apoptosis, Inflammation, Oxidative Stress, and Fibrosis in High Glucose-Induced Mesangial Cells by Regulating miR-455-3p/Hmgb1 Axis.

Applications

Unspecified application

Species

Unspecified reactive species

Jing Wang,Shifeng Yang,Wendong Li,Ming Zhao,Kai Li
View all publications

Abcam product promise

当社は、高品質な試薬を通じてお客様の研究を力強くサポートすることをお約束いたします。ご使用いただく各段階で、常にお客様をサポートできる体制を整えております。万が一、製品が期待通りに機能しない場合は、「Abcam Product Promise」による当社保証制度に基づき、安心してご利用いただけます。
保証に関する詳細については利用規約をご確認ください。

Please note: All products are 'FOR RESEARCH USE ONLY. NOT FOR USE IN DIAGNOSTIC OR THERAPEUTIC PROCEDURES'.

For licensing inquiries, please contact partnerships@abcam.com