JavaScript is disabled in your browser. Please enable JavaScript to view this website.
AB12866

Anti-Cofilin (phospho S3) 抗体

Anti-Cofilin (phospho S3) antibody

4

(9 Reviews)

|

(82 Publications)

Rabbit Polyclonal Cofilin-1 phospho S3 antibody. Suitable for ICC/IF, Flow Cyt, WB and reacts with Human, African green monkey, Mouse, Dog, Rat samples. Cited in 82 publications.

別名を表示する

CFL, CFL1, Cofilin-1, 18 kDa phosphoprotein, p18

7 Images
Immunocytochemistry/ Immunofluorescence - Anti-Cofilin (phospho S3) antibody (AB12866)
  • ICC/IF

Unknown

Immunocytochemistry/ Immunofluorescence - Anti-Cofilin (phospho S3) antibody (AB12866)

ICC/IF image of ab12866 stained MCF7 cells. The cells were 4% PFA fixed (10 min) and then incubated in 1%BSA / 10% normal goat serum / 0.3M glycine in 0.1% PBS-Tween for 1h to permeabilise the cells and block non-specific protein-protein interactions. The cells were then incubated with the antibody (ab12866, 1µg/ml) overnight at +4°C. The secondary antibody (green) was Alexa Fluor® 488 goat anti-rabbit IgG (H+L) used at a 1/1000 dilution for 1h. Alexa Fluor® 594 WGA was used to label plasma membranes (red) at a 1/200 dilution for 1h. DAPI was used to stain the cell nuclei (blue) at a concentration of 1.43µM.

Flow Cytometry - Anti-Cofilin (phospho S3) antibody (AB12866)
  • Flow Cyt

Supplier Data

Flow Cytometry - Anti-Cofilin (phospho S3) antibody (AB12866)

Flow Cytometry analysis of U-87 MG cells labeling Cofilin (phospho S3) with ab12866. Cells were fixed with 70% ethanol for 10 minutes, permeabilized with 0.25% Triton™ X-100 for 20 minutes, and blocked with 5% BSA for 30 minutes at room temperature. Cells were labeled with Anti-Cofilin (phospho S3) antibody (ab12866, red) or with rabbit isotype control (pink) at 3-5 ug/million cells in 2.5% BSA. After incubation at room temperature for 2 hours, the cells were labeled with Alexa Fluor® 488 Goat Anti-Rabbit Secondary Antibody at a dilution of 1/400 for 30 minutes at room temperature. The representative 10,000 cells were acquired and analyzed for each sample. The purple histogram represents unstained control cells and the green histogram represents no-primary-antibody control.

Immunocytochemistry/ Immunofluorescence - Anti-Cofilin (phospho S3) antibody (AB12866)
  • ICC/IF

AbReview31575****

Immunocytochemistry/ Immunofluorescence - Anti-Cofilin (phospho S3) antibody (AB12866)

Immunocytochemistry/ Immunofluorescence analysis of human neuroblastoma cells labeling Cofilin (phospho S3) with ab12866 at 1/500 dilution. Cells were fixed in paraformaldehyde, permeabilized for 15 minutes in 0.01% Triton X-100, blocked using 5% serum for 30 minutes at 20°C, then incubated with ab12866 at a 1/500 dilution for 2 hours at 20°C. The secondary used was a Dylight 488 conjugated donkey anti-rabbit IgG (H+L) used at a 1/500 dilution.

This image is courtesy of an anonymous abreview.

Immunocytochemistry/ Immunofluorescence - Anti-Cofilin (phospho S3) antibody (AB12866)
  • ICC/IF

Unknown

Immunocytochemistry/ Immunofluorescence - Anti-Cofilin (phospho S3) antibody (AB12866)

Immunofluorescence analysis of Phospho-Cofilin pSer3 was done on 70% confluent log phase PC-3 cells. The cells were fixed with 4% paraformaldehyde for 10 minutes, permeabilized with 0.1% Triton™ X-100 for 10 minutes, and blocked with 1% BSA for 1 hour at room temperature. The cells were labeled with ab12866 at 1 : 250 dilution in 0.1% BSA and incubated for 3 hours at room temperature and then labeled with Goat anti-Rabbit IgG (H+L) Superclonal™ Secondary Antibody, Alexa Fluor® 488 conjugate at a dilution of 1 : 2000 for 45 minutes at room temperature (Panel a : green). Nuclei (Panel b : blue) were stained with SlowFade® Gold Antifade Mountant with DAPI. F-actin (Panel c : red) was stained with Rhodamine Phalloidin (1 : 300). Panel d is a merged image showing cytoplasmic and nuclear localization. Panel e is a no primary antibody control. The images were captured at 60X magnification.

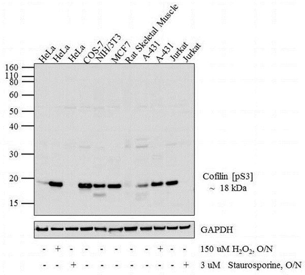
Western blot - Anti-Cofilin (phospho S3) antibody (AB12866)
  • WB

Supplier Data

Western blot - Anti-Cofilin (phospho S3) antibody (AB12866)

All lanes:

Western blot - Anti-Cofilin (phospho S3) antibody (ab12866) at 1 µg/mL

Lane 1:

HeLa whole cell extract at 20 µg

Lane 2:

HeLa treated for overnight with 150 uM of H2O2 whole cell extract at 20 µg

Lane 3:

HeLa treated for overnight with 3 uM of Staurosporine whole cell extract at 20 µg

Lane 4:

COS-7 whole cell extract at 20 µg

Lane 5:

NIH/3T3 (Mouse embryo fibroblast cell line) whole cell extract at 20 µg

Lane 6:

MCF7 whole cell extract at 20 µg

Lane 7:

Rat Skeletal Muscle whole cell extract at 20 µg

Lane 8:

A-431 whole cell extract at 20 µg

Lane 9:

A-431 treated for overnight with 150 uM of H2O2 whole cell extract at 20 µg

Lane 10:

Jurkat whole cell extract at 20 µg

Lane 11:

Jurkat treated for overnight with 3 uM of Staurosporine whole cell extract at 20 µg

Secondary

All lanes:

Goat anti-rabbit IgG (H+L), HRP conjugate at 1/2500 dilution

Predicted band size: 18 kDa

Observed band size: 18 kDa

false

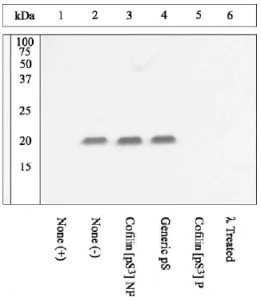
Western blot - Anti-Cofilin (phospho S3) antibody (AB12866)
  • WB

Unknown

Western blot - Anti-Cofilin (phospho S3) antibody (AB12866)

Peptide Competition and Phosphatase Treatment
Lysates prepared from MDCK cells treated with staurosporine (1) or left untreated (2-6) were resolved by SDS-PAGE on a 10% polyacrylamide gel and transferred to PVDF. Membranes were either left untreated (1-5) or treated with lambda phosphatase (6), blocked with a 5% BSA-TBST buffer for one hour at room temperature, and incubated with the ab12866 antibody for two hours at room temperature in a 3% BSA-TBST buffer, following prior incubation with : no peptide (1, 2, 6), the non phosphopeptide corresponding to the immunogen (3), a generic phosphoserine-containing peptide (4) or, the phosphopeptide immunogen (5). After washing, membranes were incubated with goat F(ab)2 anti-rabbit IgG HRP conjugate and bands were detected using the Pierce SuperSignal method. The data show that only the peptide corresponding to cofilin [pS3] blocks the antibody signal. The data also show that phosphatase stripping eliminates the signal, verifying that the anti

All lanes:

Western blot - Anti-Cofilin (phospho S3) antibody (ab12866)

Predicted band size: 18 kDa

false

Western blot - Anti-Cofilin (phospho S3) antibody (AB12866)
  • WB

CiteAb

Western blot - Anti-Cofilin (phospho S3) antibody (AB12866)

Cofilin (phospho S3) western blot using anti-Cofilin (phospho S3) antibody ab12866. Publication image and figure legend from Pang, D., Yang, C., et al., 2020, Biol Open, PubMed 31988091.

ab12866 was used in this publication in western blot. This may not be the same as the application(s) guaranteed by Abcam. For a full list of applications guaranteed by Abcam for ab12866 please see the product overview.

Suppressed cofilin activity was implicated in PP2-inhibited cellular motility of HepG2 and BEL7402 cells. (A–D) Western blots and quantifications show increased phosphorylation of cofilin-1 in the cells treated with 0, 0.5 and 1.0 μM PP2 for 24 h. (E,F) Wound healing assay and quantifications show stably expressed mutant cofilin-1 (S3A) improves cellular motility of HepG2 cells under the treatment of PP2 (1 μM). (G–J) Western blots and quantifications show decreased protein levels of SSH-1 in the cells treated with 0, 0.5 and 1.0 μM PP2 for 24 h. **p<0.01, ***p<0.001. Scale bar : 200 μm.

false

Key facts

宿主種

Rabbit

クローン性

Polyclonal

アイソタイプ

IgG

キャリアフリー

No

交差種

Mouse, Rat, Dog, Human, African green monkey

アプリケーション

ICC/IF, Flow Cyt, WB

applications

免疫原

The exact immunogen used to generate this antibody is proprietary information.

Reactivity data

{ "title": "Reactivity Data", "filters": { "stats": ["", "Species", "Dilution Info", "Notes"], "tabs": { "all-applications": {"fullname" : "All Applications", "shortname": "All Applications"}, "ICCIF" : {"fullname" : "Immunocytochemistry/ Immunofluorescence", "shortname":"ICC/IF"}, "FlowCyt" : {"fullname" : "Flow Cytometry", "shortname":"Flow Cyt"}, "WB" : {"fullname" : "Western blot", "shortname":"WB"} }, "product-promise": { "all": "all", "testedAndGuaranteed": "tested", "guaranteed": "expected", "predicted": "predicted", "notRecommended": "not-recommended" } }, "values": { "Human": { "ICCIF-species-checked": "testedAndGuaranteed", "ICCIF-species-dilution-info": "1/250", "ICCIF-species-notes": "<p></p>", "FlowCyt-species-checked": "testedAndGuaranteed", "FlowCyt-species-dilution-info": "3-5 µg for 10^5 Cells", "FlowCyt-species-notes": "<p></p>", "WB-species-checked": "testedAndGuaranteed", "WB-species-dilution-info": "1/1000", "WB-species-notes": "<p></p>" }, "Mouse": { "ICCIF-species-checked": "guaranteed", "ICCIF-species-dilution-info": "", "ICCIF-species-notes": "", "FlowCyt-species-checked": "guaranteed", "FlowCyt-species-dilution-info": "", "FlowCyt-species-notes": "", "WB-species-checked": "testedAndGuaranteed", "WB-species-dilution-info": "1/1000", "WB-species-notes": "<p></p>" }, "Rat": { "ICCIF-species-checked": "guaranteed", "ICCIF-species-dilution-info": "1/1000", "ICCIF-species-notes": "<p></p>", "FlowCyt-species-checked": "guaranteed", "FlowCyt-species-dilution-info": "3-5 µg for 10^6 Cells", "FlowCyt-species-notes": "<p></p>", "WB-species-checked": "guaranteed", "WB-species-dilution-info": "1/1000", "WB-species-notes": "<p></p>" }, "African green monkey": { "ICCIF-species-checked": "guaranteed", "ICCIF-species-dilution-info": "", "ICCIF-species-notes": "", "FlowCyt-species-checked": "guaranteed", "FlowCyt-species-dilution-info": "", "FlowCyt-species-notes": "", "WB-species-checked": "testedAndGuaranteed", "WB-species-dilution-info": "1/1000", "WB-species-notes": "<p></p>" }, "Dog": { "ICCIF-species-checked": "guaranteed", "ICCIF-species-dilution-info": "", "ICCIF-species-notes": "", "FlowCyt-species-checked": "guaranteed", "FlowCyt-species-dilution-info": "", "FlowCyt-species-notes": "", "WB-species-checked": "testedAndGuaranteed", "WB-species-dilution-info": "1/1000", "WB-species-notes": "<p></p>" } } }

出荷温度及び保存条件

製品の状態
Liquid
精製方法
Affinity purification Immunogen
バッファー組成
pH: 7.3 Preservative: 0.05% Sodium azide Constituents: PBS, 50% Glycerol (glycerin, glycerine), 0.1% BSA
出荷温度
Blue Ice
短期保存温度
+4°C
長期保存温度
-20°C
分注に関する情報
Upon delivery aliquot
保管に関する情報
Avoid freeze / thaw cycle

補足情報

This supplementary information is collated from multiple sources and compiled automatically.

Cofilin-1 also known just as cofilin is a small actin-modulating protein with a molecular weight of approximately 19 kDa. It is part of the actin chemical structure regulation and plays an important role in actin filament dynamics by severing and depolymerizing actin filaments. Cofilin-1 expresses widely in both muscle and non-muscle tissues modulating the actin cytoskeleton which is critical for cell movement shape and various signaling pathways. The phosphorylated form of this protein known as phospho-cofilin or p-cofilin is another significant state to consider.
Biological function summary

Through its interaction with actin filaments cofilin-1 functions to regulate the length and turnover of the actin cytoskeleton within cells. Cofilin-1 is part of a critical complex where it binds to actin monomers and filaments to facilitate the disassembly and recycling of actin. This regulation impacts cellular activities such as migration endocytosis and division influencing how cells respond to internal and external signals. Cofilin-1's ability to bind and sever actin filaments forms an important part of its functional mechanism altering the cytoskeletal architecture for various cellular processes.

Pathways

Cofilin-1 participates principally in the actin dynamics component of the cytoskeleton remodeling pathway. Within this framework cofilin-1 acts alongside other proteins like actin-depolymerizing factor (ADF) and tropomyosin influencing assembly and disassembly cycles of actin filaments. The Rho family of GTPases regulates cofilin-1 activity through signaling pathways such as the Rho/ROCK/LIMK pathway. This signaling regulation affects actin filament organization impacting cellular processes like axonal guidance and directed cell movement.

There is a strong connection between cofilin-1 dysregulation and neurodegenerative diseases such as Alzheimer's disease and certain types of cancer. In Alzheimer's disease cofilin-1 activity influenced by abnormal cofilin phosphorylation forms part of the pathological mechanisms that lead to synaptic dysfunction and neurofibrillary tangles. In the context of cancer cofilin-1 collaborates with proteins such as RhoA and LIM kinase contributing to cancer cell invasion and metastasis by reorganizing the actin cytoskeleton to facilitate cell motility. Understanding these interactions helps in targeting therapeutic strategies against these conditions.

製品プロトコール

For this product, it's our understanding that no specific protocols are required. You can visit:

ターゲットの情報

Binds to F-actin and exhibits pH-sensitive F-actin depolymerizing activity (PubMed : 11812157). In conjunction with the subcortical maternal complex (SCMC), plays an essential role for zygotes to progress beyond the first embryonic cell divisions via regulation of actin dynamics (PubMed : 15580268). Required for the centralization of the mitotic spindle and symmetric division of zygotes (By similarity). Plays a role in the regulation of cell morphology and cytoskeletal organization in epithelial cells (PubMed : 21834987). Required for the up-regulation of atypical chemokine receptor ACKR2 from endosomal compartment to cell membrane, increasing its efficiency in chemokine uptake and degradation (PubMed : 23633677). Required for neural tube morphogenesis and neural crest cell migration (By similarity).
See full target information CFL1 phospho S3

文献 (82)

Recent publications for all applications. Explore the full list and refine your search

Nature communications 16:6622 PubMed40681505

2025

The potassium channel K2.1 shapes the morphology and function of brain endothelial cells via actin network remodeling.

Applications

Unspecified application

Species

Unspecified reactive species

Stefanie Lichtenberg,Laura Vinnenberg,Falk Steffen,Isabelle Plegge,Nicholas Hanuscheck,Vera Dobelmann,Joel Gruchot,Christina B Schroeter,Haribaskar Ramachandran,Beatrice Wasser,Derya Bachir,Christopher Nelke,Jonas Franz,Christoph Riethmüller,Stefan Tenzer,Ute Distler,Christina Francisca Vogelaar,Kristina Kusche-Vihrog,Boris V Skryabin,Timofey S Rozhdestvensky,Albrecht Schwab,Jean Krutmann,Andrea Rossi,Thomas Budde,Stefan Bittner,Sven G Meuth,Tobias Ruck

Brazilian journal of medical and biological research = Revista brasileira de pesquisas medicas e biologicas 57:e13152 PubMed38381883

2024

Inhibition of anlotinib-induced autophagy attenuates invasion and migration by regulating epithelial-mesenchymal transition and cytoskeletal rearrangement through ATG5 in human osteosarcoma cells.

Applications

Unspecified application

Species

Unspecified reactive species

Bingxin Zheng,Xiangchen Sun,Li Zhang,Guojian Qu,Chongmin Ren,Peng Yan,Chuanli Zhou,Bin Yue

American journal of nephrology 55:345-360 PubMed38330925

2024

Klotho Stabilizes the Podocyte Actin Cytoskeleton in Idiopathic Membranous Nephropathy through Regulating the TRPC6/CatL Pathway.

Applications

Unspecified application

Species

Unspecified reactive species

Hongyun Wang,Hongyan Liu,Hong Cheng,Xue Xue,Yamei Ge,Xiaoqin Wang,Jun Yuan

eLife 13: PubMed38193818

2024

ARHGAP18-ezrin functions as an autoregulatory module for RhoA in the assembly of distinct actin-based structures.

Applications

Unspecified application

Species

Unspecified reactive species

Andrew T Lombardo,Cameron A R Mitchell,Riasat Zaman,David J McDermitt,Anthony Bretscher

Genes, brain, and behavior 22:e12863 PubMed37575018

2023

Impaired erythropoietin-producing hepatocellular B receptors signaling in the prefrontal cortex and hippocampus following maternal immune activation in male rats.

Applications

Unspecified application

Species

Unspecified reactive species

Yiqian Shao,Yaqi Cai,Tengfei Chen,Keke Hao,Binbin Luo,Xiujuan Wang,Weiyun Guo,Xi Su,Luxian Lv,Yongfeng Yang,Wenqiang Li

Human cell 36:1928-1937 PubMed37548903

2023

Cofilin-1 induces acute kidney injury via the promotion of endoplasmic reticulum stress-mediated ferroptosis.

Applications

Unspecified application

Species

Unspecified reactive species

Sihao Lin,Jie Wang,Bin Cao,Yang Huang,Xujun Sheng,Yingjian Zhu

Cell reports 42:112845 PubMed37480564

2023

PCDH12 loss results in premature neuronal differentiation and impeded migration in a cortical organoid model.

Applications

Unspecified application

Species

Unspecified reactive species

Jennifer Rakotomamonjy,Lauren Rylaarsdam,Lucas Fares-Taie,Sean McDermott,Devin Davies,George Yang,Fikayo Fagbemi,Maya Epstein,Martín Fairbanks-Santana,Jean-Michel Rozet,Alicia Guemez-Gamboa

Oncogenesis 12:25 PubMed37147294

2023

miR-137-LAPTM4B regulates cytoskeleton organization and cancer metastasis via the RhoA-LIMK-Cofilin pathway in osteosarcoma.

Applications

Unspecified application

Species

Unspecified reactive species

Ruyu Yan,Dan Liu,Junjie Wang,Minxia Liu,Hongjuan Guo,Jing Bai,Shuo Yang,Jun Chang,Zhihong Yao,Zuozhang Yang,Tomas Blom,Kecheng Zhou

Journal of oncology 2022:4499876 PubMed35799607

2022

Cervical Cancer Cells-Derived Extracellular Vesicles Containing microRNA-146a-5p Affect Actin Dynamics to Promote Cervical Cancer Metastasis by Activating the Hippo-YAP Signaling Pathway WWC2.

Applications

Unspecified application

Species

Unspecified reactive species

Weiwei Wang,Lipei Wu,Jiale Tian,Wenhui Yan,Chunrun Qi,Wuchao Liu,Shihai Xuan,Anquan Shang

Frontiers in medicine 9:861371 PubMed35492354

2022

Chaperonin-Containing TCP1 Subunit 5 Protects Against the Effect of Mer Receptor Tyrosine Kinase Knockdown in Retinal Pigment Epithelial Cells by Interacting With Filamentous Actin and Activating the LIM-Kinase 1/Cofilin Pathway.

Applications

Unspecified application

Species

Unspecified reactive species

Lujia Feng,Haichun Li,Yong Du,Ting Zhang,Yingting Zhu,Zhidong Li,Ling Zhao,Xing Wang,Gongpei Wang,Linbin Zhou,Zhaorong Jiang,Zheng Liu,Zhancong Ou,Yuwen Wen,Yehong Zhuo
View all publications

Abcam product promise

当社は、高品質な試薬を通じてお客様の研究を力強くサポートすることをお約束いたします。ご使用いただく各段階で、常にお客様をサポートできる体制を整えております。万が一、製品が期待通りに機能しない場合は、「Abcam Product Promise」による当社保証制度に基づき、安心してご利用いただけます。
保証に関する詳細については利用規約をご確認ください。

Please note: All products are 'FOR RESEARCH USE ONLY. NOT FOR USE IN DIAGNOSTIC OR THERAPEUTIC PROCEDURES'.

For licensing inquiries, please contact partnerships@abcam.com