JavaScript is disabled in your browser. Please enable JavaScript to view this website.
AB283682

Anti-CNTFR 抗体 [EPR24672-166]

Anti-CNTFR antibody [EPR24672-166]

  • BOND RX™ Validated
  • 20ul selling size
  • RabMAb
  • Recombinant
  • 詳細を見る

Be the first to review this product! Submit a review

|

(0 Publication)

Rabbit Recombinant Monoclonal CNTFR antibody. Suitable for WB, IHC-P and reacts with Mouse, Rat, Human samples.

別名を表示する

Ciliary neurotrophic factor receptor subunit alpha, CNTF receptor subunit alpha, CNTFR-alpha, CNTFR

11 Images
Immunohistochemistry (Formalin/PFA-fixed paraffin-embedded sections) - Anti-CNTFR antibody [EPR24672-166] (AB283682)
  • IHC-P

Supplier Data

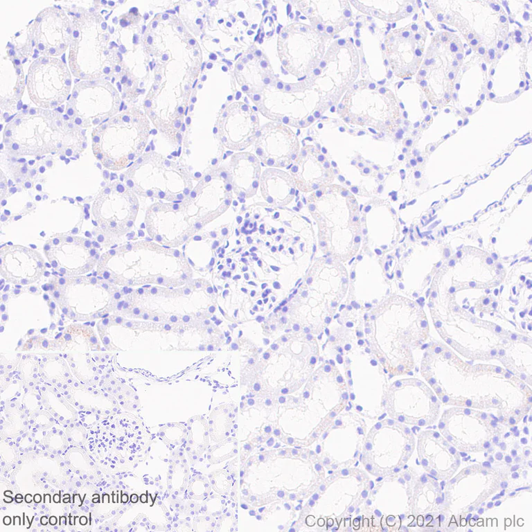
Immunohistochemistry (Formalin/PFA-fixed paraffin-embedded sections) - Anti-CNTFR antibody [EPR24672-166] (AB283682)

Immunohistochemical analysis of paraffin-embedded Rat kidney tissue labelling CNTFR with ab283682 at 1/500 (1.054 ug/ml) followed by a ready to use LeicaDS9800 (Bond® Polymer Refine Detection) was used. No staining on rat kidney. The section was incubated with ab283682 for 10 mins at room temperature. The immunostaining was performed on a Leica Biosystems BOND® RX instrument. Counterstained with Hematoxylin.

Secondary antibody only control : Secondary antibody is a ready to use LeicaDS9800 (Bond® Polymer Refine Detection) was used.

Heat mediated antigen retrieval with Citrate buffer (pH 6.0, epitope retrieval solution 1) for 20 mins

Immunohistochemistry (Formalin/PFA-fixed paraffin-embedded sections) - Anti-CNTFR antibody [EPR24672-166] (AB283682)
  • IHC-P

Supplier Data

Immunohistochemistry (Formalin/PFA-fixed paraffin-embedded sections) - Anti-CNTFR antibody [EPR24672-166] (AB283682)

Immunohistochemical analysis of paraffin-embedded Mouse hypothalamus tissue labelling CNTFR with ab283682 at 1/500 (1.054 ug/ml) followed by a ready to use LeicaDS9800 (Bond® Polymer Refine Detection) was used. Positive staining on mouse hypothalamus (PMID : 27445662). The section was incubated with ab283682 for 10 mins at room temperature. The immunostaining was performed on a Leica Biosystems BOND® RX instrument. Counterstained with Hematoxylin.

Secondary antibody only control : Secondary antibody is a ready to use LeicaDS9800 (Bond® Polymer Refine Detection) was used.

Heat mediated antigen retrieval with Citrate buffer (pH 6.0, epitope retrieval solution 1) for 20 mins

Immunohistochemistry (Formalin/PFA-fixed paraffin-embedded sections) - Anti-CNTFR antibody [EPR24672-166] (AB283682)
  • IHC-P

Supplier Data

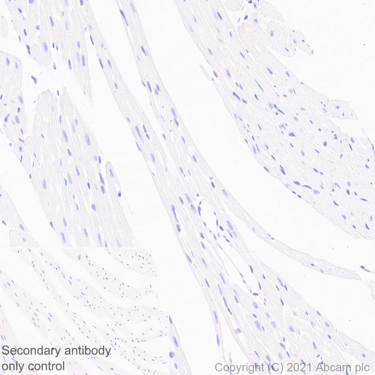
Immunohistochemistry (Formalin/PFA-fixed paraffin-embedded sections) - Anti-CNTFR antibody [EPR24672-166] (AB283682)

Immunohistochemical analysis of paraffin-embedded Mouse cardiac muscle tissue labelling CNTFR with ab283682 at 1/500 (1.054 ug/ml) followed by a ready to use LeicaDS9800 (Bond® Polymer Refine Detection) was used. No staining on mouse cardiac muscle. The section was incubated with ab283682 for 10 mins at room temperature. The immunostaining was performed on a Leica Biosystems BOND® RX instrument. Counterstained with Hematoxylin.

Secondary antibody only control : Secondary antibody is a ready to use LeicaDS9800 (Bond® Polymer Refine Detection) was used.

Heat mediated antigen retrieval with Citrate buffer (pH 6.0, epitope retrieval solution 1) for 20 mins

Immunohistochemistry (Formalin/PFA-fixed paraffin-embedded sections) - Anti-CNTFR antibody [EPR24672-166] (AB283682)
  • IHC-P

Supplier Data

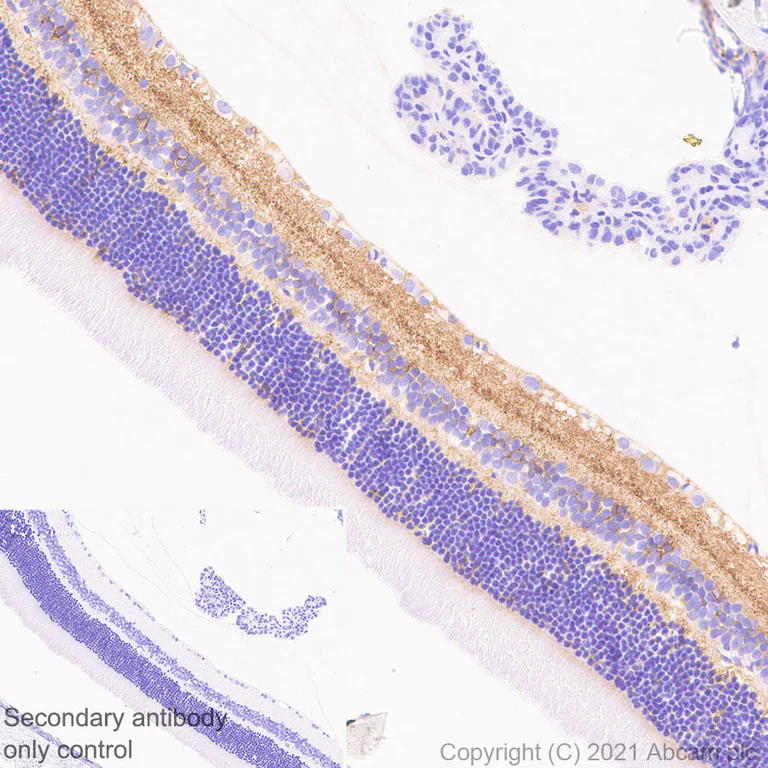
Immunohistochemistry (Formalin/PFA-fixed paraffin-embedded sections) - Anti-CNTFR antibody [EPR24672-166] (AB283682)

Immunohistochemical analysis of paraffin-embedded Mouse retina tissue labelling CNTFR with ab283682 at 1/500 (1.054 ug/ml) followed by a ready to use LeicaDS9800 (Bond® Polymer Refine Detection) was used. Positive staining on the rhodopsin of mouse retina. The section was incubated with ab283682 for 10 mins at room temperature. The immunostaining was performed on a Leica Biosystems BOND® RX instrument. Counterstained with Hematoxylin.

Secondary antibody only control : Secondary antibody is a ready to use LeicaDS9800 (Bond® Polymer Refine Detection) was used.

Heat mediated antigen retrieval with Citrate buffer (pH 6.0, epitope retrieval solution 1) for 20 mins

Immunohistochemistry (Formalin/PFA-fixed paraffin-embedded sections) - Anti-CNTFR antibody [EPR24672-166] (AB283682)
  • IHC-P

Supplier Data

Immunohistochemistry (Formalin/PFA-fixed paraffin-embedded sections) - Anti-CNTFR antibody [EPR24672-166] (AB283682)

Immunohistochemical analysis of paraffin-embedded Rat retina tissue labelling CNTFR with ab283682 at 1/500 (1.054 ug/ml) followed by a ready to use LeicaDS9800 (Bond® Polymer Refine Detection) was used. Positive staining on the rhodopsin of rat retina. The section was incubated with ab283682 for 10 mins at room temperature. The immunostaining was performed on a Leica Biosystems BOND® RX instrument. Counterstained with Hematoxylin.

Secondary antibody only control : Secondary antibody is a ready to use LeicaDS9800 (Bond® Polymer Refine Detection) was used.

Heat mediated antigen retrieval with Citrate buffer (pH 6.0, epitope retrieval solution 1) for 20 mins

Immunohistochemistry (Formalin/PFA-fixed paraffin-embedded sections) - Anti-CNTFR antibody [EPR24672-166] (AB283682)
  • IHC-P

Supplier Data

Immunohistochemistry (Formalin/PFA-fixed paraffin-embedded sections) - Anti-CNTFR antibody [EPR24672-166] (AB283682)

Immunohistochemical analysis of paraffin-embedded Rat cerebrum tissue labelling CNTFR with ab283682 at 1/500 (1.054 ug/ml) followed by a ready to use LeicaDS9800 (Bond® Polymer Refine Detection) was used. Positive staining on rat cerebrum (PMID : 25886143). The section was incubated with ab283682 for 10 mins at room temperature. The immunostaining was performed on a Leica Biosystems BOND® RX instrument. Counterstained with Hematoxylin.

Secondary antibody only control : Secondary antibody is a ready to use LeicaDS9800 (Bond® Polymer Refine Detection) was used.

Heat mediated antigen retrieval with Citrate buffer (pH 6.0, epitope retrieval solution 1) for 20 mins

Western blot - Anti-CNTFR antibody [EPR24672-166] (AB283682)
  • WB

Lab

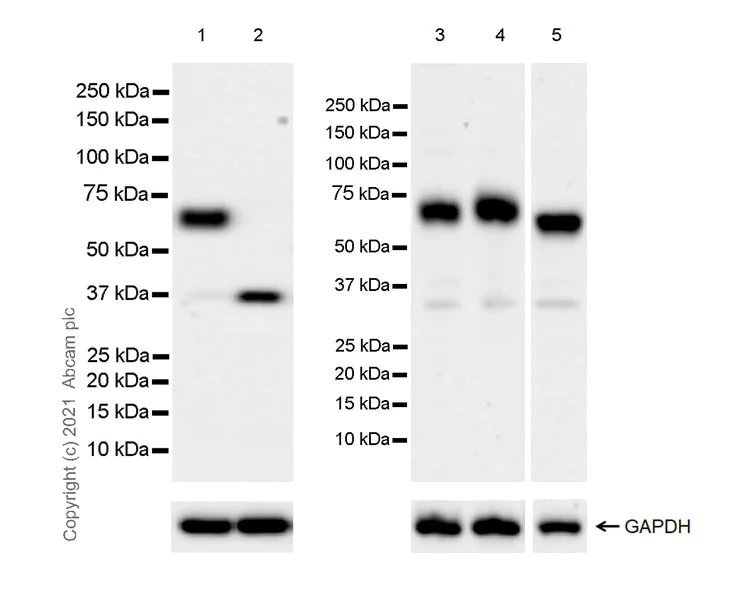
Western blot - Anti-CNTFR antibody [EPR24672-166] (AB283682)

Blocking and diluting buffer and concentration : 5% NFDM /TBST. ab181602 was used as a GAPDH loading control at 1/1000000 dilution. Exposure time : Lane 1 : 180 seconds Lane 2 : 20 seconds The sensitivity of ab305245 is lower than that of ab283682, we recommend customers to choose ab283682 when performing WB.

Lane 1:

Western blot - Anti-CNTFR antibody [EPR24672-25] (<a href='/products/primary-antibodies/cntfr-antibody-epr24672-25-ab305245'>ab305245</a>) at 1/1000 dilution

Lane 2:

Western blot - Anti-CNTFR antibody [EPR24672-166] (ab283682) at 1/1000 dilution

All lanes:

SH-SY5Y (Human neuroblastoma epithelial cell) whole cell lysate at 20 µg

Secondary

All lanes:

Western blot - Goat Anti-Rabbit IgG H&L (HRP) (<a href='/products/secondary-antibodies/goat-rabbit-igg-h-l-hrp-ab97051'>ab97051</a>) at 1/20000 dilution

Observed band size: 60 kDa

false

Western blot - Anti-CNTFR antibody [EPR24672-166] (AB283682)
  • WB

Lab

Western blot - Anti-CNTFR antibody [EPR24672-166] (AB283682)

Blocking and diluting buffer and concentration : 5% NFDM/TBST. The molecular weight observed is consistent with what has been described in the literature (PMID : 12424252).

Low expression : Heart (PMID : 1648265), Negative control : U-87 MG (PMID : 25118897).

Exposure time : Lanes 1-2 : 70 seconds; Lanes 3-4 : 15 seconds.

All lanes:

Western blot - Anti-CNTFR antibody [EPR24672-166] (ab283682) at 1/1000 dilution

Lane 1:

Human brain tissue lysate at 20 µg

Lane 2:

Human heart tissue lysate at 20 µg

Lane 3:

SH-SY5Y (human neuroblastoma epithelial cell) whole cell lysate at 20 µg

Lane 4:

U-87 MG (human glioblastoma-astrocytoma epithelial cell) whole cell lysate at 20 µg

Secondary

All lanes:

Goat Anti-Rabbit IgG, (H+L), Peroxidase conjugated (<a href='/products/secondary-antibodies/goat-rabbit-igg-h-l-hrp-ab97051'>ab97051</a>) at 1/50000 dilution

Predicted band size: 41 kDa

Observed band size: 60-70 kDa

false

Western blot - Anti-CNTFR antibody [EPR24672-166] (AB283682)
  • WB

Lab

Western blot - Anti-CNTFR antibody [EPR24672-166] (AB283682)

Blocking and diluting buffer and concentration : 5% NFDM/TBST

Low expression : Heart (PMID : 1648265)

Exposure time : Lanes 1-2 : 70 seconds; Lanes 3-5 : 48 seconds.

All lanes:

Western blot - Anti-CNTFR antibody [EPR24672-166] (ab283682) at 1/1000 dilution

Lane 1:

Mouse brain tissue lysate at 20 µg

Lane 2:

Mouse heart tissue lysate at 20 µg

Lane 3:

Mouse cerebellum tissue lysate at 20 µg

Lane 4:

Mouse P240 hippocampus tissue lysate at 20 µg

Lane 5:

Neuro-2a (mouse neuroblastoma neuroblast) whole cell lysate at 20 µg

Secondary

All lanes:

Goat Anti-Rabbit IgG, (H+L), Peroxidase conjugated (<a href='/products/secondary-antibodies/goat-rabbit-igg-h-l-hrp-ab97051'>ab97051</a>) at 1/50000 dilution

Predicted band size: 41 kDa

Observed band size: 60-70 kDa

false

Western blot - Anti-CNTFR antibody [EPR24672-166] (AB283682)
  • WB

Lab

Western blot - Anti-CNTFR antibody [EPR24672-166] (AB283682)

Blocking and diluting buffer and concentration : 5% NFDM/TBST

Exposure time : 70 seconds

All lanes:

Western blot - Anti-CNTFR antibody [EPR24672-166] (ab283682) at 1/1000 dilution

Lane 1:

Rat brain tissue lysate at 20 µg

Lane 2:

Rat cerebellum tissue lysate at 20 µg

Secondary

All lanes:

Goat Anti-Rabbit IgG, (H+L), Peroxidase conjugated (<a href='/products/secondary-antibodies/goat-rabbit-igg-h-l-hrp-ab97051'>ab97051</a>) at 1/50000 dilution

Predicted band size: 41 kDa

Observed band size: 60-70 kDa

false

Western blot - Anti-CNTFR antibody [EPR24672-166] (AB283682)
  • WB

Lab

Western blot - Anti-CNTFR antibody [EPR24672-166] (AB283682)

Blocking and diluting buffer and concentration : 5% NFDM/TBST

Exposure time : 3 minutes

All lanes:

Western blot - Anti-CNTFR antibody [EPR24672-166] (ab283682) at 1/1000 dilution

Lane 1:

Neuro-2a (mouse neuroblastoma neuroblast) whole cell lysate at 20 µg

Lane 2:

Neuro-2a whole cell lysate treated with PNGase F at 20 µg

Secondary

All lanes:

Goat Anti-Rabbit IgG, (H+L), Peroxidase conjugated (<a href='/products/secondary-antibodies/goat-rabbit-igg-h-l-hrp-ab97051'>ab97051</a>) at 1/50000 dilution

Predicted band size: 41 kDa

Observed band size: 40 kDa,60 kDa

false

関連する標識済み抗体及び組成の異なる製品 (1)

  • Carrier free

    Anti-CNTFR antibody [EPR24672-166] - BSA and Azide free

Key facts

宿主種

Rabbit

クローン性

Monoclonal

クローン番号

EPR24672-166

アイソタイプ

IgG

キャリアフリー

No

交差種

Human, Mouse, Rat

アプリケーション

IHC-P, WB

applications

免疫原

The exact immunogen used to generate this antibody is proprietary information.

特異性

IHC-P not suitable for human.

Reactivity data

{ "title": "Reactivity Data", "filters": { "stats": ["", "Species", "Dilution Info", "Notes"], "tabs": { "all-applications": {"fullname" : "All Applications", "shortname": "All Applications"}, "IP" : {"fullname" : "Immunoprecipitation", "shortname":"IP"}, "FlowCyt" : {"fullname" : "Flow Cytometry", "shortname":"Flow Cyt"}, "WB" : {"fullname" : "Western blot", "shortname":"WB"}, "IHCP" : {"fullname" : "Immunohistochemistry (Formalin/PFA-fixed paraffin-embedded sections)", "shortname":"IHC-P"}, "ICCIF" : {"fullname" : "Immunocytochemistry/ Immunofluorescence", "shortname":"ICC/IF"} }, "product-promise": { "all": "all", "testedAndGuaranteed": "tested", "guaranteed": "expected", "predicted": "predicted", "notRecommended": "not-recommended" } }, "values": { "Human": { "IP-species-checked": "notRecommended", "IP-species-dilution-info": "", "IP-species-notes": "", "FlowCyt-species-checked": "notRecommended", "FlowCyt-species-dilution-info": "", "FlowCyt-species-notes": "<p></p>", "WB-species-checked": "testedAndGuaranteed", "WB-species-dilution-info": "1/1000", "WB-species-notes": "<p></p>", "IHCP-species-checked": "notRecommended", "IHCP-species-dilution-info": "1/500", "IHCP-species-notes": "<p></p>", "ICCIF-species-checked": "notRecommended", "ICCIF-species-dilution-info": "", "ICCIF-species-notes": "<p></p>" }, "Mouse": { "IP-species-checked": "notRecommended", "IP-species-dilution-info": "", "IP-species-notes": "<p></p>", "FlowCyt-species-checked": "notRecommended", "FlowCyt-species-dilution-info": "", "FlowCyt-species-notes": "<p></p>", "WB-species-checked": "testedAndGuaranteed", "WB-species-dilution-info": "1/1000", "WB-species-notes": "<p></p>", "IHCP-species-checked": "testedAndGuaranteed", "IHCP-species-dilution-info": "1/500", "IHCP-species-notes": "<p></p>", "ICCIF-species-checked": "notRecommended", "ICCIF-species-dilution-info": "", "ICCIF-species-notes": "<p></p>" }, "Rat": { "IP-species-checked": "notRecommended", "IP-species-dilution-info": "", "IP-species-notes": "", "FlowCyt-species-checked": "notRecommended", "FlowCyt-species-dilution-info": "", "FlowCyt-species-notes": "", "WB-species-checked": "testedAndGuaranteed", "WB-species-dilution-info": "1/1000", "WB-species-notes": "<p></p>", "IHCP-species-checked": "testedAndGuaranteed", "IHCP-species-dilution-info": "1/500", "IHCP-species-notes": "<p></p>", "ICCIF-species-checked": "notRecommended", "ICCIF-species-dilution-info": "", "ICCIF-species-notes": "<p></p>" } } }

製品の詳細

Patented technology
Our RabMAb® technology is a patented hybridoma-based technology for making rabbit monoclonal antibodies. For details on our patents, please refer to RabMAb® patents.

What are the advantages of a recombinant monoclonal antibody?
This product is a recombinant monoclonal antibody, which offers several advantages including:

  • - High batch-to-batch consistency and reproducibility
  • - Improved sensitivity and specificity
  • - Long-term security of supply
  • - Animal-free batch production

For more information, read more on recombinant antibodies.

出荷温度及び保存条件

製品の状態
Liquid
精製方法
Affinity purification Protein A
バッファー組成
pH: 7.2 - 7.4 Preservative: 0.01% Sodium azide Constituents: PBS, 40% Glycerol (glycerin, glycerine), 0.05% BSA
出荷温度
Blue Ice
短期保存期間
1-2 weeks
短期保存温度
+4°C
長期保存温度
-20°C
分注に関する情報
Upon delivery aliquot
保管に関する情報
Avoid freeze / thaw cycle

製品プロトコール

For this product, it's our understanding that no specific protocols are required. You can visit:

ターゲットの情報

Binds to CNTF. The alpha subunit provides the receptor specificity. Receptor for heterodimeric neurotropic cytokine composed of CLCF1/CLC and CRLF1/CLF-1 (PubMed : 26858303). Acts as a receptor for the neuroprotective peptide humanin as part of a complex with IL6ST/GP130 and IL27RA/WSX1 (PubMed : 19386761).
See full target information CNTFR

Abcam product promise

当社は、高品質な試薬を通じてお客様の研究を力強くサポートすることをお約束いたします。ご使用いただく各段階で、常にお客様をサポートできる体制を整えております。万が一、製品が期待通りに機能しない場合は、「Abcam Product Promise」による当社保証制度に基づき、安心してご利用いただけます。
保証に関する詳細については利用規約をご確認ください。

Please note: All products are 'FOR RESEARCH USE ONLY. NOT FOR USE IN DIAGNOSTIC OR THERAPEUTIC PROCEDURES'.

For licensing inquiries, please contact partnerships@abcam.com