JavaScript is disabled in your browser. Please enable JavaScript to view this website.
AB6319

Anti-CNPase 抗体 [11-5B]

Anti-CNPase antibody [11-5B]

5

(39 Reviews)

|

(189 Publications)

Anti-CNPase antibody [11-5B] (ab6319) is a mouse monoclonal antibody detecting CNPase in Western Blot, IHC-P, ICC/IF. Suitable for Human, Mouse, Rat.

- KO validated for confirmed specificity
- Over 140 publications
- Trusted since 2000

別名を表示する

CNP, CNPase

10 Images
Western blot - Anti-CNPase antibody [11-5B] (AB6319)
  • WB

Supplier Data

Western blot - Anti-CNPase antibody [11-5B] (AB6319)

Lanes 1 - 3 : Merged signal (red and green). Green - ab6319 observed at 48 kDa. Red - loading control, ab181602, observed at 37 kDa.

ab6319 was shown to recognize CNPase in wild-type HAP1 cells as signal was lost at the expected MW in CNPase knockout cells. Additional cross-reactive bands were observed in the wild-type and knockout cells. Wild-type and CNPase knockout samples were subjected to SDS-PAGE. ab6319 and ab181602 (Rabbit anti-GAPDH loading control) were incubated overnight at 4°C at 5 μg/ml and 1/20000 dilution respectively. Blots were developed with Goat anti-Mouse IgG H&L (IRDye® 800CW) preabsorbed ab216772 and Goat anti-Rabbit IgG H&L (IRDye® 680RD) preabsorbed ab216777 secondary antibodies at 1/20000 dilution for 1 hour at room temperature before imaging.

All lanes:

Western blot - Anti-CNPase antibody [11-5B] (ab6319) at 5 µg/mL

Lane 1:

Wild-type HAP1 whole cell lysate at 40 µg

Lane 2:

CNPase knockout HAP1 whole cell lysate at 40 µg

Lane 3:

Human Brain whole cell lysate at 20 µg

Predicted band size: 48 kDa

false

Immunocytochemistry/ Immunofluorescence - Anti-CNPase antibody [11-5B] (AB6319)
  • ICC/IF

AbReview25137****

Immunocytochemistry/ Immunofluorescence - Anti-CNPase antibody [11-5B] (AB6319)

ab6319 staining CNPase in rat oligodendrocytes by Immunocytochemistry/ Immunofluorescence.

Cells were fixed in paraformaldehyde, blocked using 5% serum for 10 minutes at 25°C, then incubated with ab6319 at a 1/200 dilution for 2 hours at 25°C. The secondary used was a goat anti-mouse Cy3 conjugated polyclonal at a 1/100 dilution.

This image is courtesy of an anonymous abreview.

Immunocytochemistry/ Immunofluorescence - Anti-CNPase antibody [11-5B] (AB6319)
  • ICC/IF

AbReview38219****

Immunocytochemistry/ Immunofluorescence - Anti-CNPase antibody [11-5B] (AB6319)

ab6319 staining CNPase in the rat oligodendrocytes by ICC/IF (Immunoytochemistry/immunofluorescence). Cells were fixed with paraformaldehyde, permeabilized with methanol and blocked with 5% BSA for 1 hour at 37°C. Samples were incubated with primary antibody (1/100 in PBS) for 18 hours at 4°C. An Alexa Fluor® 594-conjugated Goat anti-mouse IgG polyclonal (1 : 200) was used as the secondary antibody.

This image is courtesy of an anonymous Abreview

Western blot - Anti-CNPase antibody [11-5B] (AB6319)
  • WB

Lab

Western blot - Anti-CNPase antibody [11-5B] (AB6319)

Lanes 1- 2 : Merged signal (red and green). Green - ab6319 observed at 48 kDa. Red - Anti-GAPDH antibody[EPR16891] - Loading Control (ab181602) observed at 37 kDa.

ab6319 was shown to react with CNPase in wild-type HeLa cells in western blot. Loss of signal was observed when knockout cell line ab264949 (knockout cell lysate ab256877) was used. Wild-type HeLa and CNP knockout HeLa cell lysates were subjected to SDS-PAGE. Membrane was blocked for 1 hour at room temperature in 0.1% TBST with 3% non-fat dried milk. ab6319 and Anti-GAPDH antibody [EPR16891] - Loading Control (ab181602) overnight at 4°C at 5 μg/ml and a 1 in 20000 dilution respectively. Blots were developed with Goat anti-Mouse IgG H&L (IRDye®800CW) preadsorbed (ab216772) and Goat Anti-Rabbit IgG H&L (IRDye®680RD) preadsorbed (ab216777) secondary antibodies at 1 in 20000 dilution for 1 hour at room temperature before imaging.

All lanes:

Western blot - Anti-CNPase antibody [11-5B] (ab6319) at 5 µg/mL

Lane 1:

Wild-type HeLa cell lysate at 20 µg

Lane 1:

Western blot - Human CNP (CNPase) knockout HeLa cell pellet (<a href='/products/cell-lysates/human-cnp-cnpase-knockout-hela-cell-pellet-ab278945'>ab278945</a>)

Lane 1:

Western blot - Human CNP (CNPase) knockout HeLa cell lysate (<a href='/products/cell-lysates/human-cnp-cnpase-knockout-hela-cell-lysate-ab256877'>ab256877</a>)

Lane 2:

CNP knockout HeLa cell lysate at 20 µg

Lane 2:

Western blot - Human CNP (CNPase) knockout HeLa cell line (<a href='/products/cell-lines/human-cnp-cnpase-knockout-hela-cell-line-ab264949'>ab264949</a>)

Predicted band size: 48 kDa

Observed band size: 48 kDa

false

Immunocytochemistry/ Immunofluorescence - Anti-CNPase antibody [11-5B] (AB6319)
  • ICC/IF

Lab

Immunocytochemistry/ Immunofluorescence - Anti-CNPase antibody [11-5B] (AB6319)

ab6319 staining CNPase in primary hippocampal rat neurons/glia, (obtained from Neuromics, cat. no. PC35101), DIV14. cells. The cells were fixed with 100% methanol (5 min), permeabilized with 0.1% PBS-Tween for 5 minutes and then blocked with 1% BSA/10% normal goat serum/0.3M glycine in 0.1% PBS-Tween for 1h. The cells were then incubated overnight at 4°C with ab6319 at 1μg/ml and ab6046, Rabbit polyclonal to beta Tubulin - Loading Control. Cells were then incubated with ab150117, Goat polyclonal Secondary Antibody to Mouse IgG H&L (Alexa Fluor® 488) preadsorbed at 1/1000 dilution (shown in green) and ab150080, Goat polyclonal Secondary Antibody to Rabbit IgG - H&L (Alexa Fluor® 594) at 1/1000 dilution (shown in pseudocolour red). Nuclear DNA was labelled with DAPI (shown in blue).

Also suitable in cells fixed with 4% paraformaldehyde (10 min).

Image was acquired with a confocal microscope (Leica-Microsystems TCS SP8) and a single confocal section is shown.

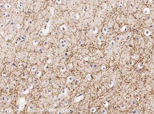
Immunohistochemistry (Formalin/PFA-fixed paraffin-embedded sections) - Anti-CNPase antibody [11-5B] (AB6319)
  • IHC-P

Supplier Data

Immunohistochemistry (Formalin/PFA-fixed paraffin-embedded sections) - Anti-CNPase antibody [11-5B] (AB6319)

IHC image of CNPase staining in human cerebral cortex formalin fixed paraffin embedded tissue section, performed on a Leica Bond™ system using the standard protocol F. The section was pre-treated using heat mediated antigen retrieval with sodium citrate buffer (pH6, epitope retrieval solution 1) for 20 mins. The section was then incubated with ab6319, 5μg/ml, for 15 mins at room temperature and detected using an HRP conjugated compact polymer system. DAB was used as the chromogen. The section was then counterstained with haematoxylin and mounted with DPX.

For other IHC staining systems (automated and non-automated) customers should optimize variable parameters such as antigen retrieval conditions, primary antibody concentration and antibody incubation times.

Immunohistochemistry (Formalin/PFA-fixed paraffin-embedded sections) - Anti-CNPase antibody [11-5B] (AB6319)
  • IHC-P

AbReview30225****

Immunohistochemistry (Formalin/PFA-fixed paraffin-embedded sections) - Anti-CNPase antibody [11-5B] (AB6319)

ab6319 staining CNPase in Dog Cerebellum tissue sections by Immunohistochemistry (IHC-P - paraformaldehyde-fixed, paraffin-embedded sections). Tissue was fixed with formaldehyde and blocked with 1% BSA for 10 minutes at 21°C; antigen retrieval was by heat mediation in a citrate buffer. Samples were incubated with primary antibody (1/1500 in blocking buffer) for 2 hours at 21°C. A Biotin-conjugated Goat anti-mouset IgG polyclonal (1/200) was used as the secondary antibody.

This image is courtesy of an abreview submitted by Carl Hobbs, King's College London, United Kingdom

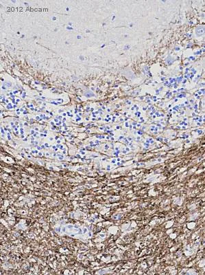
Immunohistochemistry (Formalin/PFA-fixed paraffin-embedded sections) - Anti-CNPase antibody [11-5B] (AB6319)
  • IHC-P

AbReview30066****

Immunohistochemistry (Formalin/PFA-fixed paraffin-embedded sections) - Anti-CNPase antibody [11-5B] (AB6319)

IHC-P image of CNPase staining on rat brain sections using ab6319 (1/1600). heat mediated antigen retrieval on paraffin embedded sections was performed using citric acid. The sections were then blocked with 1% BSA for 10 min at 21°C. The primary antibody was incubated for 16 hours at 21°C. The sections were then incubated in Goat anti-mouse (Biotin) at 1 : 200.

This image is courtesy of an abreview submitted by Carl Hobbs, King's College London, United Kingdom

Western blot - Anti-CNPase antibody [11-5B] (AB6319)
  • WB

AbReview6880****

Western blot - Anti-CNPase antibody [11-5B] (AB6319)

All lanes:

Western blot - Anti-CNPase antibody [11-5B] (ab6319) at 1/750 dilution

All lanes:

Spinal Cord homogenate (whole tissue lysate) at 2 µg

Secondary

All lanes:

HRP conjugated sheep anti-mouse IgG

Predicted band size: 48 kDa

Observed band size: 45 kDa,47 kDa

false

This image is courtesy of an anonymous Abreview

Western blot - Anti-CNPase antibody [11-5B] (AB6319)
  • WB

Supplier Data

Western blot - Anti-CNPase antibody [11-5B] (AB6319)

This antibody was raised against full length native CNPase and is predicted to recognize both isoforms. The predicted molecular weights of isoforms CNPI and CNPII are 45- and 48-kDa respectively.

All lanes:

Western blot - Anti-CNPase antibody [11-5B] (ab6319) at 1/100 dilution

Lane 1:

Human spinal cord tissue lysate - total protein (ab29188) at 20 µg

Lane 2:

Human brain tissue lysate - total protein (ab29466) at 20 µg

Lane 3:

Spinal Cord (Mouse) Tissue Lysate at 20 µg

Lane 4:

Brain (Mouse) Tissue Lysate at 20 µg

Lane 5:

Spinal Cord (Rat) Tissue Lysate at 20 µg

Lane 6:

Brain (Rat) Tissue Lysate at 20 µg

Secondary

All lanes:

Goat polyclonal to Mouse IgG - H&L - Pre-Adsorbed (HRP) at 1/3000 dilution

Predicted band size: 48 kDa

true

Exposure time: 1min

関連する標識済み抗体及び組成の異なる製品 (6)

Key facts

宿主種

Mouse

クローン性

Monoclonal

クローン番号

11-5B

アイソタイプ

IgG1

キャリアフリー

No

交差種

Human, Mouse, Rat

アプリケーション

IHC-P, ICC/IF, WB

applications

免疫原

The exact immunogen used to generate this antibody is proprietary information.

Reactivity data

{ "title": "Reactivity Data", "filters": { "stats": ["", "Species", "Dilution Info", "Notes"], "tabs": { "all-applications": {"fullname" : "All Applications", "shortname": "All Applications"}, "ICCIF" : {"fullname" : "Immunocytochemistry/ Immunofluorescence", "shortname":"ICC/IF"}, "WB" : {"fullname" : "Western blot", "shortname":"WB"}, "IHCP" : {"fullname" : "Immunohistochemistry (Formalin/PFA-fixed paraffin-embedded sections)", "shortname":"IHC-P"} }, "product-promise": { "all": "all", "testedAndGuaranteed": "tested", "guaranteed": "expected", "predicted": "predicted", "notRecommended": "not-recommended" } }, "values": { "Human": { "ICCIF-species-checked": "guaranteed", "ICCIF-species-dilution-info": "", "ICCIF-species-notes": "", "WB-species-checked": "testedAndGuaranteed", "WB-species-dilution-info": "5 µg/mL", "WB-species-notes": "<p></p>", "IHCP-species-checked": "testedAndGuaranteed", "IHCP-species-dilution-info": "", "IHCP-species-notes": "<p></p>" }, "Mouse": { "ICCIF-species-checked": "guaranteed", "ICCIF-species-dilution-info": "", "ICCIF-species-notes": "", "WB-species-checked": "testedAndGuaranteed", "WB-species-dilution-info": "5 µg/mL", "WB-species-notes": "<p></p>", "IHCP-species-checked": "guaranteed", "IHCP-species-dilution-info": "", "IHCP-species-notes": "" }, "Rat": { "ICCIF-species-checked": "testedAndGuaranteed", "ICCIF-species-dilution-info": "", "ICCIF-species-notes": "<p></p>", "WB-species-checked": "testedAndGuaranteed", "WB-species-dilution-info": "5 µg/mL", "WB-species-notes": "<p></p>", "IHCP-species-checked": "guaranteed", "IHCP-species-dilution-info": "", "IHCP-species-notes": "" }, "Chicken": { "ICCIF-species-checked": "notRecommended", "ICCIF-species-dilution-info": "", "ICCIF-species-notes": "<p></p>", "WB-species-checked": "notRecommended", "WB-species-dilution-info": "5 µg/mL", "WB-species-notes": "<p></p>", "IHCP-species-checked": "notRecommended", "IHCP-species-dilution-info": "", "IHCP-species-notes": "<p></p>" }, "Cow": { "ICCIF-species-checked": "notRecommended", "ICCIF-species-dilution-info": "", "ICCIF-species-notes": "", "WB-species-checked": "notRecommended", "WB-species-dilution-info": "", "WB-species-notes": "", "IHCP-species-checked": "notRecommended", "IHCP-species-dilution-info": "", "IHCP-species-notes": "" }, "Dog": { "ICCIF-species-checked": "notRecommended", "ICCIF-species-dilution-info": "", "ICCIF-species-notes": "", "WB-species-checked": "notRecommended", "WB-species-dilution-info": "", "WB-species-notes": "", "IHCP-species-checked": "notRecommended", "IHCP-species-dilution-info": "", "IHCP-species-notes": "" }, "Guinea pig": { "ICCIF-species-checked": "notRecommended", "ICCIF-species-dilution-info": "", "ICCIF-species-notes": "<p></p>", "WB-species-checked": "notRecommended", "WB-species-dilution-info": "5 µg/mL", "WB-species-notes": "<p></p>", "IHCP-species-checked": "notRecommended", "IHCP-species-dilution-info": "", "IHCP-species-notes": "<p></p>" }, "Pig": { "ICCIF-species-checked": "notRecommended", "ICCIF-species-dilution-info": "", "ICCIF-species-notes": "", "WB-species-checked": "notRecommended", "WB-species-dilution-info": "", "WB-species-notes": "", "IHCP-species-checked": "notRecommended", "IHCP-species-dilution-info": "", "IHCP-species-notes": "" }, "Rabbit": { "ICCIF-species-checked": "notRecommended", "ICCIF-species-dilution-info": "", "ICCIF-species-notes": "", "WB-species-checked": "notRecommended", "WB-species-dilution-info": "", "WB-species-notes": "", "IHCP-species-checked": "notRecommended", "IHCP-species-dilution-info": "", "IHCP-species-notes": "" }, "Rhesus monkey": { "ICCIF-species-checked": "notRecommended", "ICCIF-species-dilution-info": "", "ICCIF-species-notes": "", "WB-species-checked": "notRecommended", "WB-species-dilution-info": "", "WB-species-notes": "", "IHCP-species-checked": "notRecommended", "IHCP-species-dilution-info": "", "IHCP-species-notes": "" }, "Sheep": { "ICCIF-species-checked": "notRecommended", "ICCIF-species-dilution-info": "", "ICCIF-species-notes": "", "WB-species-checked": "notRecommended", "WB-species-dilution-info": "", "WB-species-notes": "", "IHCP-species-checked": "notRecommended", "IHCP-species-dilution-info": "", "IHCP-species-notes": "" } } }

製品の詳細

What is this antibody validated in?
Anti-CNPase antibody [11-5B] (ab6319) is a mouse monoclonal antibody and is validated for use in Western Blot (WB), Immunohistochemistry (IHC-P), Immunocytochemistry/immunofluorescence (ICC/IF) in Human, Mouse, Rat samples.

What is the molecular weight of CNPase?
Anti-CNPase [11-5B] (ab6319) specifically detects a band for CNPase (UniProt: P09543) at a molecular weight of 48kDa.

Trusted by the scientific community
Anti-CNPase [11-5B] (ab6319) was first used in a scientific publication in 2000 and has been cited over 140 times in peer-reviewed journals.

Reviewed by scientists
Anti-CNPase [11-5B] (ab6319) has over 35 independent reviews from customers.

Specificity confirmed
The specificity of Anti-CNPase antibody [11-5B] (ab6319) has been confirmed by Western blot testing in CNP Knockout HAP1 cells.

Other related products
We have a range of other formats of antibody clone [11-5B] also available for your convenience: ab6319, HRP - ab201678, Alexa Fluor® 647 - ab201679, Carrier free - ab237961, Alexa Fluor® 568 - ab313959, Alexa Fluor® 488 - ab313960, Alexa Fluor® 555 - ab317592, Alexa Fluor® 594 - ab320064

Want a custom formulation?
This antibody clone is manufactured by Abcam. If you require a custom buffer formulation or conjugation for your experiments, please contact orders@abcam.com

出荷温度及び保存条件

製品の状態
Liquid
精製方法
Affinity purification
バッファー組成
pH: 7.4 Preservative: 0.02% Sodium azide Constituents: PBS, 6.97% L-Arginine
出荷温度
Blue Ice
短期保存期間
1-2 weeks
短期保存温度
+4°C
長期保存温度
-20°C
分注に関する情報
Upon delivery aliquot
保管に関する情報
Avoid freeze / thaw cycle

製品プロトコール

For this product, it's our understanding that no specific protocols are required. You can visit:

ターゲットの情報

Catalyzes the formation of 2'-nucleotide products from 2',3'-cyclic substrates (By similarity). May participate in RNA metabolism in the myelinating cell, CNP is the third most abundant protein in central nervous system myelin (By similarity).
See full target information CNP

文献 (189)

Recent publications for all applications. Explore the full list and refine your search

Alzheimer's research & therapy 17:221 PubMed41057930

2025

Anti-tau VHH therapy against PHF6: a safe approach to slowing the phenotype of tau pathology.

Applications

Unspecified application

Species

Unspecified reactive species

Raphaelle Caillierez,Clémence Leboullenger,Sarah Leclercq,Mélanie Besegher,Séverine Bégard,Florent Auger,Claude-Alain Maurage,Bertrand Accart,Justine Mortelecque,Elian Dupré,Clément Danis,Isabelle Landrieu,Luc Buée,Morvane Colin

Glia 73:2305-2321 PubMed40747821

2025

Lcn2-Induced Oligodendrocyte Ferroptosis Contributes to White Matter Damage in Chronic Cerebral Hypoperfusion.

Applications

Unspecified application

Species

Unspecified reactive species

Qian Liu,Jiaxin Liu,Shiqin Li,Jinghan Xu,Peiqi He,Changling Li,Jinghuan Fang,Peiyan Ni,Jian Guo,Li He

Brain communications 7:fcaf182 PubMed40462859

2025

Intra-amniotic infection with causes serovar-dependent white matter damage in preterm fetal sheep.

Applications

Unspecified application

Species

Unspecified reactive species

Dima Abdu,Graeme R Polglase,Sharmony B Kelly,Sinead Murphy,Ilias Nitsos,Claudia A Nold-Petry,Suhas G Kallapur,Alan H Jobe,John P Newnham,Timothy J Moss,Robert Galinsky

Nucleic acids research 53: PubMed40439883

2025

SRSF10 regulates oligodendrocyte differentiation during mouse central nervous system development by modulating pre-mRNA splicing.

Applications

Unspecified application

Species

Unspecified reactive species

Yawei Mu,Zixuan Wei,Menghan Sun,Junjie Li,Yi Jiang,Hanyang Jiang,Ankangzhi Ma,Cuiqing Zhu,Xianhua Chen

Nature 643:1087-1096 PubMed40369076

2025

Interferon-γ orchestrates leptomeningeal anti-tumour response.

Applications

Unspecified application

Species

Unspecified reactive species

Jan Remsik,Xinran Tong,Russell Z Kunes,Min Jun Li,Rachel Estrera,Jenna Snyder,Clark Thomson,Ahmed M Osman,Kiana Chabot,Ugur T Sener,Jessica A Wilcox,Danielle Isakov,Helen Wang,Tejus A Bale,Ronan Chaligné,Joseph C Sun,Chrysothemis Brown,Dana Pe'er,Adrienne Boire

Biological & pharmaceutical bulletin 48:323-335 PubMed40159228

2025

Quetiapine Reverses the Behavior and Myelination in Alcohol-Exposed Gestational Diabetes Mellitus Offspring Mice via ERK1/2 Signaling.

Applications

Unspecified application

Species

Unspecified reactive species

Dong Huang,Maolin Li,Zhifei Qiao,Hongli Zhou,Zuo Zhang,Jiyin Zhou

The Journal of biological chemistry 301:108312 PubMed39955059

2025

G protein-coupled estrogen receptor deficiency exacerbates demyelination through microglial ferroptosis.

Applications

Unspecified application

Species

Unspecified reactive species

Xiaojuan Mi,Junjie Li,Ziqi Feng,Yanbo Liu,Chun Zhang,Yu Shao,Ting Wang,Zhilun Yang,Haowen Lv,Juan Liu

Scientific reports 14:31822 PubMed39738378

2025

Ablation of lipocalin-2 reduces neuroinflammation in a mouse model of Krabbe disease.

Applications

Unspecified application

Species

Unspecified reactive species

Jacob Favret,Malabika Maulik,Rayan Masoom,Meghana Kushwaha,Devin Thompson,Richard Browne,Daesung Shin

International journal of molecular sciences 25: PubMed39409184

2024

PLP1-Targeting Antisense Oligonucleotides Improve FOXG1 Syndrome Mice.

Applications

Unspecified application

Species

Unspecified reactive species

Daniel C S Tan,Seonghee Jung,Yuanyuan Deng,Nicolle Morey,Gabriella Chan,Andre Bongers,Yazi D Ke,Lars M Ittner,Fabien Delerue

Frontiers in molecular biosciences 11:1432945 PubMed39411401

2024

Endoplasmic reticulum stress alters myelin associated protein expression and extracellular vesicle composition in human oligodendrocytes.

Applications

Unspecified application

Species

Unspecified reactive species

Ethan D Evalt,Saranraj Govindaraj,Madison T Jones,Nesve Ozsoy,Han Chen,Ashley E Russell
View all publications

Abcam product promise

当社は、高品質な試薬を通じてお客様の研究を力強くサポートすることをお約束いたします。ご使用いただく各段階で、常にお客様をサポートできる体制を整えております。万が一、製品が期待通りに機能しない場合は、「Abcam Product Promise」による当社保証制度に基づき、安心してご利用いただけます。
保証に関する詳細については利用規約をご確認ください。

Please note: All products are 'FOR RESEARCH USE ONLY. NOT FOR USE IN DIAGNOSTIC OR THERAPEUTIC PROCEDURES'.

For licensing inquiries, please contact partnerships@abcam.com