JavaScript is disabled in your browser. Please enable JavaScript to view this website.
AB2731

Anti-Clathrin heavy chain 抗体 [X22]

Anti-Clathrin heavy chain antibody [X22]

4

(19 Reviews)

|

(97 Publications)

Mouse Monoclonal Clathrin heavy chain antibody. Suitable for ICC/IF, WB, IHC-P and reacts with Human, Xenopus laevis samples. Cited in 97 publications. Immunogen corresponding to Native Full Length Protein corresponding to Human CLTC.

別名を表示する

CLH17, CLTCL2, KIAA0034, CLTC, Clathrin heavy chain 1, Clathrin heavy chain on chromosome 17, CLH-17

8 Images
Immunocytochemistry/ Immunofluorescence - Anti-Clathrin heavy chain antibody [X22] (AB2731)
  • ICC/IF

Supplier Data

Immunocytochemistry/ Immunofluorescence - Anti-Clathrin heavy chain antibody [X22] (AB2731)

Immunocytochemistry/Immunofluorescence analysis of Clathrin heavy chain shows staining in U251 cells. Clathrin, Heavy chain staining (green), F-Actin staining with Phalloidin (red) and nuclei with DAPI (blue) is shown. Cells were grown on chamber slides and fixed with formaldehyde prior to staining. Cells were probed without (control) or with ab2731 (1 : 200) over night at 4°C, washed with PBS and incubated with a DyLight-488 conjugated goat anti-mouse secondary antibody. Images were taken at 60X magnification.

Immunohistochemistry (Formalin/PFA-fixed paraffin-embedded sections) - Anti-Clathrin heavy chain antibody [X22] (AB2731)
  • IHC-P

Unknown

Immunohistochemistry (Formalin/PFA-fixed paraffin-embedded sections) - Anti-Clathrin heavy chain antibody [X22] (AB2731)

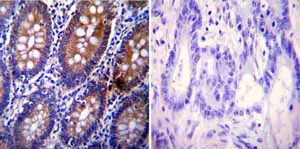
Immunohistochemistry was performed on normal biopsies of deparaffinized Human colon tissue. To expose target proteins heat induced antigen retrieval was performed using 10mM sodium citrate (pH6.0) buffer microwaved for 8-15 minutes. Following antigen retrieval tissues were blocked in 3% BSA-PBS for 30 minutes at room temperature. Tissues were then probed at a dilution of 1 : 100 with a mouse monoclonal antibody recognizing Clathrin Heavy chain ab2731 or without primary antibody (negative control) overnight at 4°C in a humidified chamber. Tissues were washed extensively with PBST and endogenous peroxidase activity was quenched with a peroxidase suppressor. Detection was performed using a biotin-conjugated secondary antibody and SA-HRP followed by colorimetric detection using DAB. Tissues were counterstained with hematoxylin and prepped for mounting.

Immunocytochemistry/ Immunofluorescence - Anti-Clathrin heavy chain antibody [X22] (AB2731)
  • ICC/IF

Supplier Data

Immunocytochemistry/ Immunofluorescence - Anti-Clathrin heavy chain antibody [X22] (AB2731)

Immunocytochemistry/Immunofluorescence analysis of Clathrin heavy chain shows staining in HeLa cells. Clathrin, Heavy chain staining (green), F-Actin staining with Phalloidin (red) and nuclei with DAPI (blue) is shown. Cells were grown on chamber slides and fixed with formaldehyde prior to staining. Cells were probed without (control) or with ab2731 (1 : 200) over night at 4°C, washed with PBS and incubated with a DyLight-488 conjugated goat anti-mouse secondary antibody. Images were taken at 60X magnification.

Immunocytochemistry/ Immunofluorescence - Anti-Clathrin heavy chain antibody [X22] (AB2731)
  • ICC/IF

Supplier Data

Immunocytochemistry/ Immunofluorescence - Anti-Clathrin heavy chain antibody [X22] (AB2731)

Immunocytochemistry/Immunofluorescence analysis of Clathrin heavy chain shows staining in NCI-H460 cells. Clathrin, Heavy chain staining (green), F-Actin staining with Phalloidin (red) and nuclei with DAPI (blue) is shown. Cells were grown on chamber slides and fixed with formaldehyde prior to staining. Cells were probed without (control) or with ab2731 (1 : 200) over night at 4°C, washed with PBS and incubated with a DyLight-488 conjugated goat anti-mouse secondary antibody. Images were taken at 60X magnification.

Immunohistochemistry (Formalin/PFA-fixed paraffin-embedded sections) - Anti-Clathrin heavy chain antibody [X22] (AB2731)
  • IHC-P

Unknown

Immunohistochemistry (Formalin/PFA-fixed paraffin-embedded sections) - Anti-Clathrin heavy chain antibody [X22] (AB2731)

Immunohistochemistry was performed on cancer biopsies of deparaffinized Human breast carcinoma tissue. To expose target proteins heat induced antigen retrieval was performed using 10mM sodium citrate (pH6.0) buffer microwaved for 8-15 minutes. Following antigen retrieval tissues were blocked in 3% BSA-PBS for 30 minutes at room temperature. Tissues were then probed at a dilution of 1 : 100 with a mouse monoclonal antibody recognizing Clathrin Heavy chain ab2731 or without primary antibody (negative control) overnight at 4°C in a humidified chamber. Tissues were washed extensively with PBST and endogenous peroxidase activity was quenched with a peroxidase suppressor. Detection was performed using a biotin-conjugated secondary antibody and SA-HRP followed by colorimetric detection using DAB. Tissues were counterstained with hematoxylin and prepped for mounting.

Western blot - Anti-Clathrin heavy chain antibody [X22] (AB2731)
  • WB

Supplier Data

Western blot - Anti-Clathrin heavy chain antibody [X22] (AB2731)

All lanes:

Western blot - Anti-Clathrin heavy chain antibody [X22] (ab2731) at 1/300 dilution

All lanes:

Human brain lysates at 25 µg

Secondary

All lanes:

HRP-conjugated goat anti-mouse IgG + IgM (H+L)

Predicted band size: 191 kDa

true

Western blot - Anti-Clathrin heavy chain antibody [X22] (AB2731)
  • WB

Unknown

Western blot - Anti-Clathrin heavy chain antibody [X22] (AB2731)

All lanes:

Western blot - Anti-Clathrin heavy chain antibody [X22] (ab2731) at 1/500 dilution

Lane 1:

HepG2 (Human hepatocellular liver carcinoma cell line) Whole Cell Lysate at 10 µg

Lane 2:

Raji (Human Burkitt's lymphoma cell line) Whole Cell Lysate at 10 µg

Secondary

All lanes:

Goat polyclonal to Mouse IgG - H&L - Pre-Adsorbed (HRP) at 1/3000 dilution

Predicted band size: 191 kDa

Observed band size: 180 kDa,240 kDa,450 kDa

false

Immunocytochemistry/ Immunofluorescence - Anti-Clathrin heavy chain antibody [X22] (AB2731)
  • ICC/IF

AbReview29224****

Immunocytochemistry/ Immunofluorescence - Anti-Clathrin heavy chain antibody [X22] (AB2731)

Xenopus laevis cytoplasmic egg extract visualized live with primary and secondary antibody addition [red is anti-Clathrin heavy chain X22 (ab2731) with goat anti-mouse Alexa Fluor 568 secondary, green is anti-HIP1R (ab77297) with goat anti-rabbit Alexa Fluor 488 secondary]. Large red structures are probably aggregates, but the small structures appear to be specific for vesicle staining.

Key facts

宿主種

Mouse

クローン性

Monoclonal

クローン番号

X22

アイソタイプ

IgG1

キャリアフリー

No

交差種

Human, Xenopus laevis

アプリケーション

ICC/IF, WB, IHC-P

applications

免疫原

Native Full Length Protein corresponding to Human CLTC.

Q00610

エピトープ

Electron microscopy and proteolysis mapping demonstrate that binding occurs towards the central hub of the triskelion, N-terminal to the light chain binding regions.

Reactivity data

{ "title": "Reactivity Data", "filters": { "stats": ["", "Species", "Dilution Info", "Notes"], "tabs": { "all-applications": {"fullname" : "All Applications", "shortname": "All Applications"}, "ICCIF" : {"fullname" : "Immunocytochemistry/ Immunofluorescence", "shortname":"ICC/IF"}, "WB" : {"fullname" : "Western blot", "shortname":"WB"}, "IHCP" : {"fullname" : "Immunohistochemistry (Formalin/PFA-fixed paraffin-embedded sections)", "shortname":"IHC-P"} }, "product-promise": { "all": "all", "testedAndGuaranteed": "tested", "guaranteed": "expected", "predicted": "predicted", "notRecommended": "not-recommended" } }, "values": { "Human": { "ICCIF-species-checked": "testedAndGuaranteed", "ICCIF-species-dilution-info": "1/1000", "ICCIF-species-notes": "<p></p>", "WB-species-checked": "testedAndGuaranteed", "WB-species-dilution-info": "1/100 - 1/500", "WB-species-notes": "<p></p>", "IHCP-species-checked": "testedAndGuaranteed", "IHCP-species-dilution-info": "1/100", "IHCP-species-notes": "<p></p>" }, "Xenopus laevis": { "ICCIF-species-checked": "testedAndGuaranteed", "ICCIF-species-dilution-info": "1/1000", "ICCIF-species-notes": "<p></p>", "WB-species-checked": "guaranteed", "WB-species-dilution-info": "", "WB-species-notes": "", "IHCP-species-checked": "guaranteed", "IHCP-species-dilution-info": "", "IHCP-species-notes": "" } } }

出荷温度及び保存条件

製品の状態
Liquid
精製方法
Affinity purification Protein A
バッファー組成
Preservative: 0.05% Sodium azide Constituents: PBS
出荷温度
Blue Ice
短期保存期間
1-2 weeks
短期保存温度
+4°C
長期保存温度
-20°C
分注に関する情報
Upon delivery aliquot
保管に関する情報
Avoid freeze / thaw cycle

補足情報

This supplementary information is collated from multiple sources and compiled automatically.

The Clathrin heavy chain also known as clathrin heavy chain 1 or heavy chain kDa is a fundamental component of the clathrin protein complex with a molecular weight commonly around 180 kDa. This chain-like protein mechanically assembles into a triskelion shape consisting of three heavy chains and three light chains allowing it to form a lattice structure that coats vesicles. Clathrin heavy chain is expressed widely especially in cells with high endocytic and vesicle transport activity like neuronal and epithelial cells. It plays a pivotal role in cellular trafficking by driving the formation of clathrin-coated pits and vesicles.
Biological function summary

Functions of the clathrin heavy chain include mediating the endocytosis of receptors and other membrane proteins contributing to intracellular sorting and vesicle trafficking. It is a part of the clathrin triskelion complex which is essential for maintaining proper cellular homeostasis. The clathrin lattice structure dynamically assembles and disassembles to facilitate the transport of molecules from the plasma membrane to the endosomes influencing endocytic and post-Golgi network trafficking processes. This protein's ability to form complexes enables efficient cargo selection and vesicle scission.

Pathways

Clathrin-mediated endocytosis serves as a critical pathway for internalizing substances and is fundamental in the regulation of signal transduction pathways and receptor recycling. The clathrin heavy chain interacts closely with proteins such as adaptins and dynamin in these pathways to ensure accurate vesicle budding and trafficking. In synaptic vesicle recycling clathrin collaborates with proteins like synaptotagmins to manage neurotransmitter release maintaining synaptic transmission and neuronal function.

Disruptions in clathrin heavy chain function can lead to conditions such as neurodegenerative diseases and cancer. For instance alterations in clathrin-mediated endocytosis can affect receptor trafficking and signaling contributing to Alzheimer’s disease. Similarly aberrant clathrin function can influence cell cycle control and apoptosis pathways involved in cancer progression. In cancer the regulation of the epidermal growth factor receptor (EGFR) by clathrin-dependent endocytosis highlights the complex interplay between clathrin and oncogenic signaling pathways.

製品プロトコール

For this product, it's our understanding that no specific protocols are required. You can visit:

ターゲットの情報

Clathrin is the major protein of the polyhedral coat of coated pits and vesicles. Two different adapter protein complexes link the clathrin lattice either to the plasma membrane or to the trans-Golgi network. Acts as a component of the TACC3/ch-TOG/clathrin complex proposed to contribute to stabilization of kinetochore fibers of the mitotic spindle by acting as inter-microtubule bridge (PubMed : 15858577, PubMed : 16968737, PubMed : 21297582). The TACC3/ch-TOG/clathrin complex is required for the maintenance of kinetochore fiber tension (PubMed : 23532825). Plays a role in early autophagosome formation (PubMed : 20639872). Interaction with DNAJC6 mediates the recruitment of HSPA8 to the clathrin lattice and creates local destabilization of the lattice promoting uncoating (By similarity).
See full target information CLTC

文献 (97)

Recent publications for all applications. Explore the full list and refine your search

Nature neuroscience 28:1649-1662 PubMed40629141

2025

Intersectin and endophilin condensates prime synaptic vesicles for release site replenishment.

Applications

Unspecified application

Species

Unspecified reactive species

Tyler H Ogunmowo,Christian Hoffmann,Chintan Patel,Renee Pepper,Han Wang,Sindhuja Gowrisankaran,Johanna Idel,Annie Ho,Sumana Raychaudhuri,Brady J Maher,Benjamin H Cooper,Ira Milosevic,Dragomir Milovanovic,Shigeki Watanabe

EMBO molecular medicine 17:504-534 PubMed39962271

2025

Repression of apelin Furin cleavage sites provides antimetastatic strategy in colorectal cancer.

Applications

Unspecified application

Species

Unspecified reactive species

Béatrice Demoures,Fabienne Soulet,Jean Descarpentrie,Isabel Galeano-Otero,José Sanchez Collado,Maria Casado,Tarik Smani,Alvaro González,Isabel Alves,Fabrice Lalloué,Bernard Masri,Estelle Rascol,Jean-William Dupuy,Cyril Dourthe,Frédéric Saltel,Anne-Aurélie Raymond,Iker Badiola,Serge Evrard,Bruno Villoutreix,Simon Pernot,Géraldine Siegfried,Abdel-Majid Khatib

Cellular and molecular life sciences : CMLS 81:43 PubMed38217571

2024

Mechano-regulation by clathrin pit-formation and passive cholesterol-dependent tubules during de-adhesion.

Applications

Unspecified application

Species

Unspecified reactive species

Tithi Mandal,Arikta Biswas,Tanmoy Ghosh,Sreekanth Manikandan,Avijit Kundu,Ayan Banerjee,Dhrubaditya Mitra,Bidisha Sinha

Signal transduction and targeted therapy 8:385 PubMed37806990

2023

P21-activated kinase 1 (PAK1)-mediated cytoskeleton rearrangement promotes SARS-CoV-2 entry and ACE2 autophagic degradation.

Applications

Unspecified application

Species

Unspecified reactive species

Ming Liu,Bingtai Lu,Yue Li,Shuofeng Yuan,Zhen Zhuang,Guangyu Li,Dong Wang,Liuheyi Ma,Jianheng Zhu,Jinglu Zhao,Chris Chung-Sing Chan,Vincent Kwok-Man Poon,Kenn Ka-Heng Chik,Zhiyao Zhao,Huifang Xian,Jingxian Zhao,Jincun Zhao,Jasper Fuk-Woo Chan,Yuxia Zhang

Nature communications 14:6190 PubMed37794006

2023

MYL3 protects chondrocytes from senescence by inhibiting clathrin-mediated endocytosis and activating of Notch signaling.

Applications

Unspecified application

Species

Unspecified reactive species

He Cao,Panpan Yang,Jia Liu,Yan Shao,Honghao Li,Pinglin Lai,Hong Wang,Anling Liu,Bin Guo,Yujin Tang,Xiaochun Bai,Kai Li

Frontiers in aging neuroscience 15:1117491 PubMed37711993

2023

Uric acid regulates α-synuclein transmission in Parkinsonian models.

Applications

Unspecified application

Species

Unspecified reactive species

Yu Jin Shin,Yeon Ju Kim,Ji Eun Lee,Yi Seul Kim,Jung Wook Lee,HyeonJeong Kim,Jin Young Shin,Phil Hyu Lee

The Journal of biological chemistry 299:105091 PubMed37516240

2023

α-Synuclein colocalizes with AP180 and affects the size of clathrin lattices.

Applications

Unspecified application

Species

Unspecified reactive species

Karina J Vargas,P L Colosi,Eric Girardi,Jae-Min Park,Leah E Harmon,Sreeganga S Chandra

Nature communications 14:2854 PubMed37202407

2023

Single-frame deep-learning super-resolution microscopy for intracellular dynamics imaging.

Applications

Unspecified application

Species

Unspecified reactive species

Rong Chen,Xiao Tang,Yuxuan Zhao,Zeyu Shen,Meng Zhang,Yusheng Shen,Tiantian Li,Casper Ho Yin Chung,Lijuan Zhang,Ji Wang,Binbin Cui,Peng Fei,Yusong Guo,Shengwang Du,Shuhuai Yao

Nature communications 14:2409 PubMed37100772

2023

Large-scale phage-based screening reveals extensive pan-viral mimicry of host short linear motifs.

Applications

Unspecified application

Species

Unspecified reactive species

Filip Mihalič,Leandro Simonetti,Girolamo Giudice,Marie Rubin Sander,Richard Lindqvist,Marie Berit Akpiroro Peters,Caroline Benz,Eszter Kassa,Dilip Badgujar,Raviteja Inturi,Muhammad Ali,Izabella Krystkowiak,Ahmed Sayadi,Eva Andersson,Hanna Aronsson,Ola Söderberg,Doreen Dobritzsch,Evangelia Petsalaki,Anna K Överby,Per Jemth,Norman E Davey,Ylva Ivarsson

Journal of virology 97:e0012823 PubMed36975782

2023

The TGEV Membrane Protein Interacts with HSC70 To Direct Virus Internalization through Clathrin-Mediated Endocytosis.

Applications

Unspecified application

Species

Unspecified reactive species

Zhaoyang Ji,Hui Dong,Ruixue Jiao,Xiaoyuan Zhu,Hongyan Shi,Jianfei Chen,Da Shi,Jianbo Liu,Zhaoyang Jing,Jialin Zhang,Xiaobo Wang,Dandan Ye,Jiyu Zhang,Xin Zhang,Li Feng
View all publications

Abcam product promise

当社は、高品質な試薬を通じてお客様の研究を力強くサポートすることをお約束いたします。ご使用いただく各段階で、常にお客様をサポートできる体制を整えております。万が一、製品が期待通りに機能しない場合は、「Abcam Product Promise」による当社保証制度に基づき、安心してご利用いただけます。
保証に関する詳細については利用規約をご確認ください。

Please note: All products are 'FOR RESEARCH USE ONLY. NOT FOR USE IN DIAGNOSTIC OR THERAPEUTIC PROCEDURES'.

For licensing inquiries, please contact partnerships@abcam.com