JavaScript is disabled in your browser. Please enable JavaScript to view this website.
AB246510

Anti-CIRP 抗体 [EPR23628-36]

Anti-CIRP antibody [EPR23628-36]

5

(2 Reviews)

|

(3 Publications)

Rabbit Recombinant Monoclonal CIRP antibody. Suitable for IP, WB and reacts with Mouse, Rat samples. Cited in 3 publications.

別名を表示する

Cirp, Cirbp, Cold-inducible RNA-binding protein, A18 hnRNP, Glycine-rich RNA-binding protein CIRP

4 Images
Immunoprecipitation - Anti-CIRP antibody [EPR23628-36] (AB246510)
  • IP

Unknown

Immunoprecipitation - Anti-CIRP antibody [EPR23628-36] (AB246510)

CIRBP was immunoprecipitated from 0.35 mg Mouse testis tissue lysate with ab246510 at 1/30 dilution (2ug in 0.35mg lysates). Western blot was performed on the immunoprecipitate using ab246510 at 1/1000 dilution. VeriBlot for IP Detection Reagent (HRP)(ab131366) was used at 1/5000 dilution.

Lane 1 : Mouse testis tissue lysate 10ug

Lane 2 : ab246510 IP in Mouse testis tissue lysate

Lane 3 : Rabbit monoclonal IgG (ab172730) instead of ab246510 in Mouse testis tissue lysate

Blocking and dilution buffer and concentration : 5% NFDM/TBST.

Exposure time : 47 seconds.

This blot was developed using a higher sensitivity ECL substrate.

All lanes:

Immunoprecipitation - Anti-CIRP antibody [EPR23628-36] (ab246510)

Predicted band size: 18 kDa

Observed band size: 18 kDa

false

Western blot - Anti-CIRP antibody [EPR23628-36] (AB246510)
  • WB

Lab

Western blot - Anti-CIRP antibody [EPR23628-36] (AB246510)

Blocking and diluting buffer and concentration : 5% NFDM/TBST.

This blot was developed using a higher sensitivity ECL substrate.

This antibody also recognized an undetermined band at around 50 kDa

Exposure time : 3 minutes.

All lanes:

Western blot - Anti-CIRP antibody [EPR23628-36] (ab246510) at 1/1000 dilution

Lane 1:

NIH/3T3 (mouse embryonic fibroblast) treated at 37°C for 48 hours, whole cell lysate at 20 µg

Lane 2:

NIH/3T3 treated at 32°C for 48 hours, whole cell lysate at 20 µg

Secondary

All lanes:

Goat Anti-Rabbit IgG, (H+L), Peroxidase conjugated (<a href='/products/secondary-antibodies/goat-rabbit-igg-h-l-hrp-ab97051'>ab97051</a>) at 1/100000 dilution

Predicted band size: 18 kDa

Observed band size: 18 kDa

false

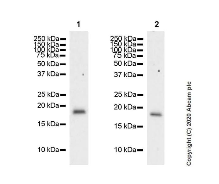
Western blot - Anti-CIRP antibody [EPR23628-36] (AB246510)
  • WB

Lab

Western blot - Anti-CIRP antibody [EPR23628-36] (AB246510)

Blocking and diluting buffer and concentration : 5% NFDM/TBST.

Exposure time : 3 minutes.

All lanes:

Western blot - Anti-CIRP antibody [EPR23628-36] (ab246510) at 1/1000 dilution

Lane 1:

Mouse testis tissue lysate at 20 µg

Lane 2:

Rat testis tissue lysate at 20 µg

Secondary

All lanes:

Goat Anti-Rabbit IgG, (H+L), Peroxidase conjugated (<a href='/products/secondary-antibodies/goat-rabbit-igg-h-l-hrp-ab97051'>ab97051</a>) at 1/100000 dilution

Predicted band size: 18 kDa

Observed band size: 18 kDa

false

Western blot - Anti-CIRP antibody [EPR23628-36] (AB246510)
  • WB

Lab

Western blot - Anti-CIRP antibody [EPR23628-36] (AB246510)

Blocking and dilution buffer : 5% NFDM/TBST.

This blot was developed using a high sensitivity ECL substrate.

All lanes:

Western blot - Anti-CIRP antibody [EPR23628-36] (ab246510) at 1/1000 dilution

Lane 1:

Untreated NIH/3T3 (Mouse embryonic fibroblast) whole cell lysate at 20 µg

Lane 2:

NIH/3T3 (Mouse embryonic fibroblast) treated with 32˚C for 48 h whole cell lysate at 20 µg

Secondary

All lanes:

Western blot - Goat Anti-Rabbit IgG H&L (HRP) (<a href='/products/secondary-antibodies/goat-rabbit-igg-h-l-hrp-ab97051'>ab97051</a>) at 1/20000 dilution

Predicted band size: 18 kDa

Observed band size: 18 kDa

false

Exposure time: 180s

関連する標識済み抗体及び組成の異なる製品 (1)

  • Carrier free

    Anti-CIRP antibody [EPR23628-36] - BSA and Azide free

Key facts

宿主種

Rabbit

クローン性

Monoclonal

クローン番号

EPR23628-36

アイソタイプ

IgG

キャリアフリー

No

交差種

Mouse, Rat

アプリケーション

IP, WB

applications

免疫原

The exact immunogen used to generate this antibody is proprietary information.

Reactivity data

{ "title": "Reactivity Data", "filters": { "stats": ["", "Species", "Dilution Info", "Notes"], "tabs": { "all-applications": {"fullname" : "All Applications", "shortname": "All Applications"}, "IP" : {"fullname" : "Immunoprecipitation", "shortname":"IP"}, "FlowCyt" : {"fullname" : "Flow Cytometry", "shortname":"Flow Cyt"}, "WB" : {"fullname" : "Western blot", "shortname":"WB"}, "IHCP" : {"fullname" : "Immunohistochemistry (Formalin/PFA-fixed paraffin-embedded sections)", "shortname":"IHC-P"}, "ICCIF" : {"fullname" : "Immunocytochemistry/ Immunofluorescence", "shortname":"ICC/IF"} }, "product-promise": { "all": "all", "testedAndGuaranteed": "tested", "guaranteed": "expected", "predicted": "predicted", "notRecommended": "not-recommended" } }, "values": { "Human": { "IP-species-checked": "notRecommended", "IP-species-dilution-info": "", "IP-species-notes": "", "FlowCyt-species-checked": "notRecommended", "FlowCyt-species-dilution-info": "", "FlowCyt-species-notes": "", "WB-species-checked": "notRecommended", "WB-species-dilution-info": "1/1000", "WB-species-notes": "<p></p>", "IHCP-species-checked": "notRecommended", "IHCP-species-dilution-info": "", "IHCP-species-notes": "<p></p>", "ICCIF-species-checked": "notRecommended", "ICCIF-species-dilution-info": "", "ICCIF-species-notes": "" }, "Mouse": { "IP-species-checked": "testedAndGuaranteed", "IP-species-dilution-info": "1/30", "IP-species-notes": "<p></p>", "FlowCyt-species-checked": "notRecommended", "FlowCyt-species-dilution-info": "", "FlowCyt-species-notes": "<p></p>", "WB-species-checked": "testedAndGuaranteed", "WB-species-dilution-info": "1/1000", "WB-species-notes": "<p></p>", "IHCP-species-checked": "notRecommended", "IHCP-species-dilution-info": "", "IHCP-species-notes": "<p></p>", "ICCIF-species-checked": "notRecommended", "ICCIF-species-dilution-info": "", "ICCIF-species-notes": "<p></p>" }, "Rat": { "IP-species-checked": "guaranteed", "IP-species-dilution-info": "", "IP-species-notes": "", "FlowCyt-species-checked": "notRecommended", "FlowCyt-species-dilution-info": "", "FlowCyt-species-notes": "<p></p>", "WB-species-checked": "testedAndGuaranteed", "WB-species-dilution-info": "1/1000", "WB-species-notes": "<p></p>", "IHCP-species-checked": "notRecommended", "IHCP-species-dilution-info": "", "IHCP-species-notes": "<p></p>", "ICCIF-species-checked": "notRecommended", "ICCIF-species-dilution-info": "", "ICCIF-species-notes": "" } } }

製品の詳細

Patented technology
Our RabMAb® technology is a patented hybridoma-based technology for making rabbit monoclonal antibodies. For details on our patents, please refer to RabMAb® patents.

What are the advantages of a recombinant monoclonal antibody?
This product is a recombinant monoclonal antibody, which offers several advantages including:

  • - High batch-to-batch consistency and reproducibility
  • - Improved sensitivity and specificity
  • - Long-term security of supply
  • - Animal-free batch production

For more information, read more on recombinant antibodies.

出荷温度及び保存条件

製品の状態
Liquid
精製方法
Affinity purification Protein A
バッファー組成
pH: 7.2 - 7.4 Preservative: 0.01% Sodium azide Constituents: PBS, 40% Glycerol (glycerin, glycerine), 0.05% BSA
出荷温度
Blue Ice
短期保存期間
1-2 weeks
短期保存温度
+4°C
長期保存温度
-20°C
分注に関する情報
Upon delivery aliquot
保管に関する情報
Avoid freeze / thaw cycle

製品プロトコール

For this product, it's our understanding that no specific protocols are required. You can visit:

ターゲットの情報

Cold-inducible mRNA binding protein that plays a protective role in the genotoxic stress response by stabilizing transcripts of genes involved in cell survival. Promotes assembly of stress granules (SGs), when overexpressed. Seems to play an essential role in cold-induced suppression of cell proliferation. Acts as a translational repressor. Acts as a translational activator. Binds specifically to the 3'-untranslated regions (3'-UTRs) of stress-responsive transcripts RPA2 and TXN.
See full target information Cirbp

文献 (3)

Recent publications for all applications. Explore the full list and refine your search

Communications biology 8:403 PubMed40065057

2025

CIRP contributes to multiple organ damage in acute pancreatitis by increasing endothelial permeability.

Applications

Unspecified application

Species

Unspecified reactive species

Wuming Liu,Derek H Wu,Tao Wang,Mengzhou Wang,Yujia Xu,Yifan Ren,Yi Lyu,Rongqian Wu

iScience 26:107043 PubMed37360693

2023

Targeting extracellular CIRP with an X-aptamer shows therapeutic potential in acute pancreatitis.

Applications

Unspecified application

Species

Unspecified reactive species

Wuming Liu,Jianbin Bi,Yifan Ren,Huan Chen,Jia Zhang,Tao Wang,Mengzhou Wang,Lin Zhang,Junzhou Zhao,Zheng Wu,Yi Lv,Bing Liu,Rongqian Wu

BioFactors (Oxford, England) 47:427-443 PubMed33638934

2021

Human antigen R (HuR) and Cold inducible RNA-binding protein (CIRP) influence intestinal mucosal barrier function in ulcerative colitis by competitive regulation on Claudin1.

Applications

Unspecified application

Species

Unspecified reactive species

Yan Xu,Yuxi Tian,Ying Wang,Junwen Yang,Fujun Li,Xiaoping Wan,Miao Ouyang
View all publications

Abcam product promise

当社は、高品質な試薬を通じてお客様の研究を力強くサポートすることをお約束いたします。ご使用いただく各段階で、常にお客様をサポートできる体制を整えております。万が一、製品が期待通りに機能しない場合は、「Abcam Product Promise」による当社保証制度に基づき、安心してご利用いただけます。
保証に関する詳細については利用規約をご確認ください。

Please note: All products are 'FOR RESEARCH USE ONLY. NOT FOR USE IN DIAGNOSTIC OR THERAPEUTIC PROCEDURES'.

For licensing inquiries, please contact partnerships@abcam.com