JavaScript is disabled in your browser. Please enable JavaScript to view this website.
AB108313

Anti-Cip4 抗体 [EPR1965]

Anti-Cip4 antibody [EPR1965]

Be the first to review this product! Submit a review

|

(1 Publication)

Rabbit Recombinant Monoclonal CIP4 antibody. Suitable for IHC-P, WB and reacts with Human samples. Cited in 1 publication.

別名を表示する

CIP4, STOT, STP, TRIP10, Cdc42-interacting protein 4, Protein Felic, Salt tolerant protein, Thyroid receptor-interacting protein 10, hSTP, TR-interacting protein 10, TRIP-10

3 Images
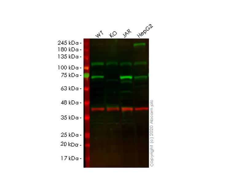
Western blot - Anti-Cip4 antibody [EPR1965] (AB108313)
  • WB

Lab

Western blot - Anti-Cip4 antibody [EPR1965] (AB108313)

Lanes 1-4 : Merged signal (red and green). Green - ab108313 observed at 75 kDa. Red - loading control ab8245 observed at 36 kDa.

ab108313 Anti-Cip4 antibody [EPR1965] was shown to specifically react with Cip4 in wild-type HEK293T cells. Loss of signal was observed when knockout cell line ab266428 (knockout cell lysate ab258251) was used. Wild-type and Cip4 knockout samples were subjected to SDS-PAGE. ab108313 and Anti-GAPDH antibody [6C5] - Loading Control (ab8245) were incubated overnight at 4°C at 1 in 1000 dilution and 1 in 20000 dilution respectively. Blots were developed with Goat anti-Rabbit IgG H&L (IRDye® 800CW) preadsorbed (ab216773) and Goat anti-Mouse IgG H&L (IRDye® 680RD) preadsorbed (ab216776) secondary antibodies at 1 in 20000 dilution for 1 hour at room temperature before imaging.

All lanes:

Western blot - Anti-Cip4 antibody [EPR1965] (ab108313) at 1/1000 dilution

Lane 1:

Wild-type HEK293T cell lysate at 20 µg

Lane 2:

TRIP10 knockout HEK293T cell lysate at 20 µg

Lane 2:

Western blot - Human TRIP10 (Cip4) knockout HEK-293T cell line (<a href='/products/cell-lines/human-trip10-cip4-knockout-hek-293t-cell-line-ab266428'>ab266428</a>)

Lane 3:

JAR cell lysate at 20 µg

Lane 4:

HepG2 cell lysate at 20 µg

Secondary

All lanes:

Western blot - Goat anti-Rabbit IgG H&L (IRDye® 800CW) preadsorbed (<a href='/products/secondary-antibodies/goat-rabbit-igg-h-l-irdye-800cw-preadsorbed-ab216773'>ab216773</a>) at 1/10000 dilution

Predicted band size: 11 kDa,21 kDa,22 kDa,33 kDa,37 kDa,40 kDa,42 kDa,48 kDa,57 kDa,61 kDa,65 kDa,67 kDa,68 kDa,69 kDa

Observed band size: 100-180 kDa,15 kDa,21 kDa,26 kDa,33 kDa,37 kDa,40 kDa,48 kDa,49 kDa,65 kDa,67 kDa,70 kDa,75 kDa

false

Western blot - Anti-Cip4 antibody [EPR1965] (AB108313)
  • WB

Unknown

Western blot - Anti-Cip4 antibody [EPR1965] (AB108313)

All lanes:

Western blot - Anti-Cip4 antibody [EPR1965] (ab108313) at 1/1000 dilution

Lane 1:

JAR cell lysate at 10 µg

Lane 2:

HepG2 cell lysate at 10 µg

Lane 3:

TF1 cell lysate at 10 µg

Lane 4:

HeLa cell lysate at 10 µg

Predicted band size: 68 kDa

false

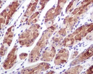
Immunohistochemistry (Formalin/PFA-fixed paraffin-embedded sections) - Anti-Cip4 antibody [EPR1965] (AB108313)
  • IHC-P

Unknown

Immunohistochemistry (Formalin/PFA-fixed paraffin-embedded sections) - Anti-Cip4 antibody [EPR1965] (AB108313)

ab108313 at 1/100 dilution staining Cip4 in paraffin embedded Human stomach tissue.

Perform heat mediated antigen retrieval via the pressure cooker method before commencing with IHC staining protocol.

Key facts

宿主種

Rabbit

クローン性

Monoclonal

クローン番号

EPR1965

アイソタイプ

IgG

キャリアフリー

No

交差種

Human

アプリケーション

IHC-P, WB

applications

免疫原

The exact immunogen used to generate this antibody is proprietary information.

特異性

Recent WB re-tests performed by our lab suggest to use a higher dilution for mouse samples. The tested dilutions were 1:500 and 1:2000, were the signal detected was very strong. Human and rat samples worked fine in these dilutions.

Reactivity data

{ "title": "Reactivity Data", "filters": { "stats": ["", "Species", "Dilution Info", "Notes"], "tabs": { "all-applications": {"fullname" : "All Applications", "shortname": "All Applications"}, "IHCP" : {"fullname" : "Immunohistochemistry (Formalin/PFA-fixed paraffin-embedded sections)", "shortname":"IHC-P"}, "ICCIF" : {"fullname" : "Immunocytochemistry/ Immunofluorescence", "shortname":"ICC/IF"}, "IP" : {"fullname" : "Immunoprecipitation", "shortname":"IP"}, "FlowCyt" : {"fullname" : "Flow Cytometry", "shortname":"Flow Cyt"}, "WB" : {"fullname" : "Western blot", "shortname":"WB"} }, "product-promise": { "all": "all", "testedAndGuaranteed": "tested", "guaranteed": "expected", "predicted": "predicted", "notRecommended": "not-recommended" } }, "values": { "Human": { "IHCP-species-checked": "testedAndGuaranteed", "IHCP-species-dilution-info": "1/100 - 1/250", "IHCP-species-notes": "<p></p> Perform heat-mediated antigen retrieval via the pressure cooker method before commencing with IHC staining protocol.", "ICCIF-species-checked": "notRecommended", "ICCIF-species-dilution-info": "", "ICCIF-species-notes": "<p></p>", "IP-species-checked": "notRecommended", "IP-species-dilution-info": "", "IP-species-notes": "<p></p>", "FlowCyt-species-checked": "notRecommended", "FlowCyt-species-dilution-info": "", "FlowCyt-species-notes": "<p></p>", "WB-species-checked": "testedAndGuaranteed", "WB-species-dilution-info": "1/1000 - 1/10000", "WB-species-notes": "<p></p>" }, "Mouse": { "IHCP-species-checked": "predicted", "IHCP-species-dilution-info": "", "IHCP-species-notes": "", "ICCIF-species-checked": "notRecommended", "ICCIF-species-dilution-info": "", "ICCIF-species-notes": "", "IP-species-checked": "notRecommended", "IP-species-dilution-info": "", "IP-species-notes": "", "FlowCyt-species-checked": "notRecommended", "FlowCyt-species-dilution-info": "", "FlowCyt-species-notes": "", "WB-species-checked": "predicted", "WB-species-dilution-info": "", "WB-species-notes": "" }, "Rat": { "IHCP-species-checked": "predicted", "IHCP-species-dilution-info": "", "IHCP-species-notes": "", "ICCIF-species-checked": "notRecommended", "ICCIF-species-dilution-info": "", "ICCIF-species-notes": "", "IP-species-checked": "notRecommended", "IP-species-dilution-info": "", "IP-species-notes": "", "FlowCyt-species-checked": "notRecommended", "FlowCyt-species-dilution-info": "", "FlowCyt-species-notes": "", "WB-species-checked": "predicted", "WB-species-dilution-info": "", "WB-species-notes": "" } } }

製品の詳細

出荷温度及び保存条件

製品の状態
Liquid
精製度
Tissue culture supernatant
バッファー組成
pH: 7.2 - 7.4 Preservative: 0.05% Sodium azide Constituents: 50% Tissue culture supernatant, 40% Glycerol (glycerin, glycerine), 9.85% Tris glycine, 0.1% BSA
出荷温度
Blue Ice
短期保存温度
+4°C
長期保存温度
-20°C
保管に関する情報
Stable for 12 months at -20°C

補足情報

This supplementary information is collated from multiple sources and compiled automatically.

Cip4 also known as Cdc42-interacting protein 4 is a member of the F-BAR family and is involved in cellular processes related to actin dynamics. It has a molecular mass of approximately 70 kDa. Cip4 interacts with Cdc42 a small GTPase to facilitate membrane bending and invagination important for endocytosis and membrane trafficking. This protein is expressed in a variety of tissues including the brain heart and liver reflecting its broad functional significance across different cell types.
Biological function summary

Cip4 plays an essential role in linking membranes to the actin cytoskeleton. It is part of a complex with other proteins like Toca-1 and N-WASP which are important for actin polymerization. This function supports cellular morphogenesis and migration by organizing the actin filaments in response to external signals. Cip4 also contributes to the regulation of cell shape and motility aiding in processes such as development and immune responses by modulating membrane-associated actin assembly.

Pathways

Cip4 participates in pathways including the Cdc42 signaling pathway and endocytosis. In the Cdc42 signaling pathway Cip4 works with proteins like N-WASP and dynamin to facilitate membrane remodeling and cytoskeletal rearrangements impacting processes like cell division and signal transduction. Its involvement in endocytosis influences cargo uptake and intracellular transport linking it to dynamin-dependent endocytic pathways critical for nutrient uptake and receptor internalization.

Cip4 is associated with certain cancers and neurological disorders. Its dysregulation can contribute to tumor progression often involving interactions with proteins like Cdc42 and N-WASP that promote changes in cell adhesion and motility. Additionally abnormalities in Cip4 expression or function may lead to disrupted cell signaling in neurological disorders impacting processes essential for brain development and function. Understanding Cip4's role in these contexts provides insights into potential therapeutic targets for treatment.

製品プロトコール

For this product, it's our understanding that no specific protocols are required. You can visit:

ターゲットの情報

Required for translocation of GLUT4 to the plasma membrane in response to insulin signaling (By similarity). Required to coordinate membrane tubulation with reorganization of the actin cytoskeleton during endocytosis. Binds to lipids such as phosphatidylinositol 4,5-bisphosphate and phosphatidylserine and promotes membrane invagination and the formation of tubules. Also promotes CDC42-induced actin polymerization by recruiting WASL/N-WASP which in turn activates the Arp2/3 complex. Actin polymerization may promote the fission of membrane tubules to form endocytic vesicles. Required for the formation of podosomes, actin-rich adhesion structures specific to monocyte-derived cells. May be required for the lysosomal retention of FASLG/FASL.
See full target information TRIP10

文献 (1)

Recent publications for all applications. Explore the full list and refine your search

Journal of experimental & clinical cancer research 36:21 PubMed28129778

2017

CDC42-interacting protein 4 promotes metastasis of nasopharyngeal carcinoma by mediating invadopodia formation and activating EGFR signaling.

Applications

Unspecified application

Species

Unspecified reactive species

Dong-Fang Meng,Ping Xie,Li-Xia Peng,Rui Sun,Dong-Hua Luo,Qiu-Yan Chen,Xing Lv,Lin Wang,Ming-Yuan Chen,Hai-Qiang Mai,Ling Guo,Xiang Guo,Li-Sheng Zheng,Li Cao,Jun-Ping Yang,Meng-Yao Wang,Yan Mei,Yuan-Yuan Qiang,Zi-Meng Zhang,Jing-Ping Yun,Bi-Jun Huang,Chao-Nan Qian
View all publications

Abcam product promise

当社は、高品質な試薬を通じてお客様の研究を力強くサポートすることをお約束いたします。ご使用いただく各段階で、常にお客様をサポートできる体制を整えております。万が一、製品が期待通りに機能しない場合は、「Abcam Product Promise」による当社保証制度に基づき、安心してご利用いただけます。
保証に関する詳細については利用規約をご確認ください。

関連製品

Select an associated product type
Alternative Product
Primary Antibodies

AB235913

Anti-Cip4 antibody

primary-antibodies

cip4-antibody-ab235913

0

(0 reviews)

Alternative Product
Primary Antibodies

AB108277

Anti-Cip4 antibody [EPR1966(2)]

primary-antibodies

cip4-antibody-epr19662-ab108277

0

(0 reviews)

Please note: All products are 'FOR RESEARCH USE ONLY. NOT FOR USE IN DIAGNOSTIC OR THERAPEUTIC PROCEDURES'.

For licensing inquiries, please contact partnerships@abcam.com