JavaScript is disabled in your browser. Please enable JavaScript to view this website.
AB99518

Anti-CIP2A 抗体

Anti-CIP2A antibody

Be the first to review this product! Submit a review

|

(13 Publications)

Rabbit Polyclonal CIP2A antibody. Suitable for IHC-P, IP, WB, ICC/IF and reacts with Human, Mouse, Rat samples. Cited in 13 publications. Immunogen corresponding to Synthetic Peptide within Human CIP2A aa 850 to C-terminus.

別名を表示する

KIAA1524, CIP2A, Protein CIP2A, Cancerous inhibitor of PP2A, p90 autoantigen

4 Images
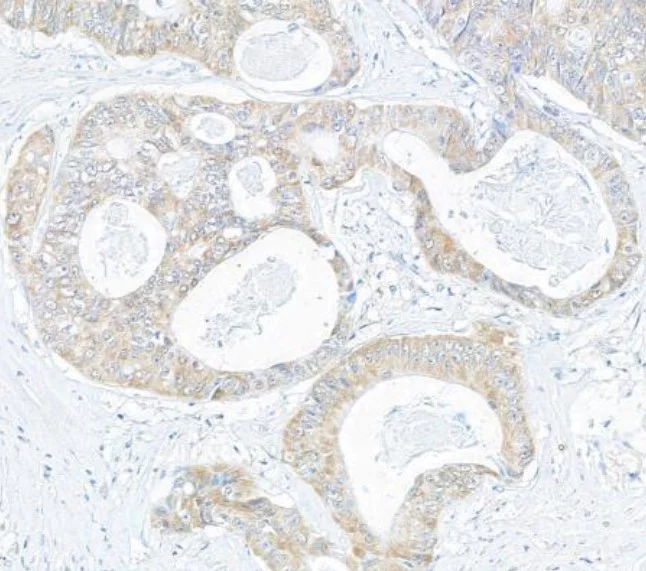
Immunohistochemistry (Formalin/PFA-fixed paraffin-embedded sections) - Anti-CIP2A antibody (AB99518)
  • IHC-P

Supplier Data

Immunohistochemistry (Formalin/PFA-fixed paraffin-embedded sections) - Anti-CIP2A antibody (AB99518)

Immunohistochemistry (Formalin/PFA-fixed paraffin-embedded sections) analysis of human colon carcinoma tissue labelling CIP2A with ab99518 at 1/200 (1 μg/ml). Detection : DAB.

Immunoprecipitation - Anti-CIP2A antibody (AB99518)
  • IP

Supplier Data

Immunoprecipitation - Anti-CIP2A antibody (AB99518)

Immunoprecipitation analysis of whole cell lysate (1.0 mg per IP reaction; 20% of IP loaded) from HEK293T cells prepared using NETN lysis buffer labeling CIP2A with ab99518.

Lanes 1-2 : Different lots of ab99518 used for IP at 6 μg per reaction.

Lane 3 : Control IgG

For blotting immunoprecipitated CIP2A, ab99518 was used at 0.04 μg/ml.

Detection : Chemiluminescence with an exposure time of 1 second.

All lanes:

Immunoprecipitation - Anti-CIP2A antibody (ab99518)

Predicted band size: 102 kDa

false

Western blot - Anti-CIP2A antibody (AB99518)
  • WB

Supplier Data

Western blot - Anti-CIP2A antibody (AB99518)

All lanes:

Western blot - Anti-CIP2A antibody (ab99518) at 0.04 µg/mL

Lane 1:

CT26 (mouse colon carcinoma cell line) whole cell lysate at 50 µg

Lane 2:

NIH/3T3 (mouse embryo fibroblast cell line) whole cell lysate at 50 µg

Lane 3:

CH27 (mouse B cell lymphoma cell line) whole cell lysate at 50 µg

Lane 4:

TCMK-1 (mouse kidney epithelial cell line) whole cell lysate at 50 µg

Lane 5:

C6 (rat glial tumor cell line) whole cell lysate at 50 µg

Predicted band size: 102 kDa

false

Exposure time: 10s

Western blot - Anti-CIP2A antibody (AB99518)
  • WB

Supplier Data

Western blot - Anti-CIP2A antibody (AB99518)

All lanes:

Western blot - Anti-CIP2A antibody (ab99518) at 0.04 µg/mL

Lane 1:

HEK-293T (human epithelial cell line from embryonic kidney transformed with large T antigen) whole cell lysate at 50 µg

Lane 2:

HepG2 (human liver hepatocellular carcinoma cell line) whole cell lysate at 50 µg

Lane 3:

MCF7 (human breast adenocarcinoma cell line) whole cell lysate at 50 µg

Lane 4:

HeLa (human epithelial cell line from cervix adenocarcinoma) whole cell lysate at 50 µg

Predicted band size: 102 kDa

false

Exposure time: 10s

Key facts

宿主種

Rabbit

クローン性

Polyclonal

アイソタイプ

IgG

キャリアフリー

No

交差種

Mouse, Rat, Human

アプリケーション

IHC-P, ICC/IF, IP, WB

applications

免疫原

Synthetic Peptide within Human CIP2A aa 850 to C-terminus. The exact immunogen used to generate this antibody is proprietary information.

Q8TCG1

Reactivity data

{ "title": "Reactivity Data", "filters": { "stats": ["", "Species", "Dilution Info", "Notes"], "tabs": { "all-applications": {"fullname" : "All Applications", "shortname": "All Applications"}, "IHCP" : {"fullname" : "Immunohistochemistry (Formalin/PFA-fixed paraffin-embedded sections)", "shortname":"IHC-P"}, "IP" : {"fullname" : "Immunoprecipitation", "shortname":"IP"}, "WB" : {"fullname" : "Western blot", "shortname":"WB"}, "ICCIF" : {"fullname" : "Immunocytochemistry/ Immunofluorescence", "shortname":"ICC/IF"} }, "product-promise": { "all": "all", "testedAndGuaranteed": "tested", "guaranteed": "expected", "predicted": "predicted", "notRecommended": "not-recommended" } }, "values": { "Human": { "IHCP-species-checked": "testedAndGuaranteed", "IHCP-species-dilution-info": "1/100 - 1/500", "IHCP-species-notes": "<p></p> Perform heat-mediated antigen retrieval with citrate buffer pH 6 before commencing with IHC staining protocol.", "IP-species-checked": "testedAndGuaranteed", "IP-species-dilution-info": "2-10 µg/mg of lysate", "IP-species-notes": "<p></p>", "WB-species-checked": "testedAndGuaranteed", "WB-species-dilution-info": "1/2000 - 1/10000", "WB-species-notes": "<p></p>", "ICCIF-species-checked": "guaranteed", "ICCIF-species-dilution-info": "", "ICCIF-species-notes": "<p></p>" }, "Mouse": { "IHCP-species-checked": "guaranteed", "IHCP-species-dilution-info": "", "IHCP-species-notes": "", "IP-species-checked": "guaranteed", "IP-species-dilution-info": "", "IP-species-notes": "", "WB-species-checked": "testedAndGuaranteed", "WB-species-dilution-info": "1/2000 - 1/10000", "WB-species-notes": "<p></p>", "ICCIF-species-checked": "guaranteed", "ICCIF-species-dilution-info": "", "ICCIF-species-notes": "<p></p>" }, "Rat": { "IHCP-species-checked": "guaranteed", "IHCP-species-dilution-info": "", "IHCP-species-notes": "", "IP-species-checked": "guaranteed", "IP-species-dilution-info": "", "IP-species-notes": "", "WB-species-checked": "testedAndGuaranteed", "WB-species-dilution-info": "1/2000 - 1/10000", "WB-species-notes": "<p></p>", "ICCIF-species-checked": "guaranteed", "ICCIF-species-dilution-info": "", "ICCIF-species-notes": "<p></p>" }, "Bat": { "IHCP-species-checked": "predicted", "IHCP-species-dilution-info": "", "IHCP-species-notes": "", "IP-species-checked": "predicted", "IP-species-dilution-info": "", "IP-species-notes": "", "WB-species-checked": "predicted", "WB-species-dilution-info": "", "WB-species-notes": "", "ICCIF-species-checked": "predicted", "ICCIF-species-dilution-info": "", "ICCIF-species-notes": "" }, "Chimpanzee": { "IHCP-species-checked": "predicted", "IHCP-species-dilution-info": "", "IHCP-species-notes": "", "IP-species-checked": "predicted", "IP-species-dilution-info": "", "IP-species-notes": "", "WB-species-checked": "predicted", "WB-species-dilution-info": "", "WB-species-notes": "", "ICCIF-species-checked": "predicted", "ICCIF-species-dilution-info": "", "ICCIF-species-notes": "" }, "Cow": { "IHCP-species-checked": "predicted", "IHCP-species-dilution-info": "", "IHCP-species-notes": "", "IP-species-checked": "predicted", "IP-species-dilution-info": "", "IP-species-notes": "", "WB-species-checked": "predicted", "WB-species-dilution-info": "", "WB-species-notes": "", "ICCIF-species-checked": "predicted", "ICCIF-species-dilution-info": "", "ICCIF-species-notes": "" }, "Elephant": { "IHCP-species-checked": "predicted", "IHCP-species-dilution-info": "", "IHCP-species-notes": "", "IP-species-checked": "predicted", "IP-species-dilution-info": "", "IP-species-notes": "", "WB-species-checked": "predicted", "WB-species-dilution-info": "", "WB-species-notes": "", "ICCIF-species-checked": "predicted", "ICCIF-species-dilution-info": "", "ICCIF-species-notes": "" }, "Orangutan": { "IHCP-species-checked": "predicted", "IHCP-species-dilution-info": "", "IHCP-species-notes": "", "IP-species-checked": "predicted", "IP-species-dilution-info": "", "IP-species-notes": "", "WB-species-checked": "predicted", "WB-species-dilution-info": "", "WB-species-notes": "", "ICCIF-species-checked": "predicted", "ICCIF-species-dilution-info": "", "ICCIF-species-notes": "" }, "Rhesus monkey": { "IHCP-species-checked": "predicted", "IHCP-species-dilution-info": "", "IHCP-species-notes": "", "IP-species-checked": "predicted", "IP-species-dilution-info": "", "IP-species-notes": "", "WB-species-checked": "predicted", "WB-species-dilution-info": "", "WB-species-notes": "", "ICCIF-species-checked": "predicted", "ICCIF-species-dilution-info": "", "ICCIF-species-notes": "" } } }

出荷温度及び保存条件

製品の状態
Liquid
精製方法
Affinity purification Immunogen
バッファー組成
pH: 6.8 - 7.4 Preservative: 0.09% Sodium azide Constituents: Tris buffered saline, 0.1% BSA
出荷温度
Blue Ice
短期保存温度
+4°C
長期保存温度
+4°C
分注に関する情報
Upon delivery aliquot
保管に関する情報
Avoid freeze / thaw cycle

製品プロトコール

For this product, it's our understanding that no specific protocols are required. You can visit:

ターゲットの情報

Acts as an inhibitor of protein phosphatase PP2A (PubMed : 17632056). Promotes anchorage-independent cell growth and tumor formation by preventing dephosphorylation of MYC, thereby stabilizing MYC in human malignancies (PubMed : 17632056). Together with TOPBP1, plays an essential role in the response to genome instability generated by the presence of acentric chromosome fragments derived from shattered chromosomes within micronuclei (PubMed : 35121901, PubMed : 35842428, PubMed : 37165191, PubMed : 37316668). Micronuclei, which are frequently found in cancer cells, consist of chromatin surrounded by their own nuclear membrane : following breakdown of the micronuclear envelope, a process associated with chromothripsis, the CIP2A-TOPBP1 complex tethers chromosome fragments during mitosis to ensure clustered segregation of the fragments to a single daughter cell nucleus, facilitating re-ligation with limited chromosome scattering and loss (PubMed : 37165191, PubMed : 37316668).
See full target information CIP2A

文献 (13)

Recent publications for all applications. Explore the full list and refine your search

Cellular & molecular biology letters 30:67 PubMed40490703

2025

CIP2A promotes inflammation and exacerbates osteoarthritis by targeting CEMIP.

Applications

Unspecified application

Species

Unspecified reactive species

Jingyue Su,Xuying Sun,Xin Chen,Kang Wei,Danni Luo,Shengwu Yang,Chunwu Zhang,Jian Xu,Zhenhan Deng

The Journal of biological chemistry 300:107892 PubMed39419284

2024

PP2A activation overcomes leptomeningeal dissemination in group 3 medulloblastoma.

Applications

Unspecified application

Species

Unspecified reactive species

Nazia Nazam,Michael H Erwin,Janet R Julson,Colin H Quinn,Andee M Beierle,Laura V Bownes,Jerry E Stewart,Kyung-Don Kang,Swatika Butey,Elizabeth Mroczek-Musulman,Michael Ohlmeyer,Elizabeth A Beierle

Advanced science (Weinheim, Baden-Wurttemberg, Germany) 11:e2308186 PubMed38664976

2024

Degradation-Based Protein Profiling: A Case Study of Celastrol.

Applications

Unspecified application

Species

Unspecified reactive species

Zhihao Ni,Yi Shi,Qianlong Liu,Liguo Wang,Xiuyun Sun,Yu Rao

Journal of pediatric surgery 58:1145-1154 PubMed36907775

2023

The Effects of Protein Phosphatase 2A Activation with Novel Tricyclic Sulfonamides on Hepatoblastoma.

Applications

Unspecified application

Species

Unspecified reactive species

Laura V Bownes,Janet R Julson,Colin H Quinn,Sara Claire Hutchins,Michael H Erwin,Hooper R Markert,Jerry E Stewart,Elizabeth Mroczek-Musulman,Jamie Aye,Karina J Yoon,Michael Ohlmeyer,Elizabeth A Beierle

Cancer science 113:4135-4150 PubMed36114757

2022

m6A modification-mediated lncRNA TP53TG1 inhibits gastric cancer progression by regulating CIP2A stability.

Applications

Unspecified application

Species

Unspecified reactive species

Deliang Fang,Xinde Ou,Kaiyu Sun,Xingyu Zhou,Youpei Li,Peng Shi,Zirui Zhao,Yulong He,Jianjun Peng,Jianbo Xu

Cancers 14: PubMed35454859

2022

Pre-Clinical Study Evaluating Novel Protein Phosphatase 2A Activators as Therapeutics for Neuroblastoma.

Applications

Unspecified application

Species

Unspecified reactive species

Laura V Bownes,Raoud Marayati,Colin H Quinn,Andee M Beierle,Sara C Hutchins,Janet R Julson,Michael H Erwin,Jerry E Stewart,Elizabeth Mroczek-Musulman,Michael Ohlmeyer,Jamie M Aye,Karina J Yoon,Elizabeth A Beierle

Nature communications 12:7297 PubMed34911954

2021

Protein phosphatase 2A inactivation induces microsatellite instability, neoantigen production and immune response.

Applications

Unspecified application

Species

Unspecified reactive species

Yu-Ting Yen,May Chien,Pei-Yi Wu,Chi-Chang Ho,Chun-Te Ho,Kevin Chih-Yang Huang,Shu-Fen Chiang,K S Clifford Chao,William Tzu-Liang Chen,Shih-Chieh Hung

Life sciences 239:117074 PubMed31751585

2019

FL118 inhibits viability and induces apoptosis of colorectal cancer cells via inactivating the CIP2A/PP2A axis.

Applications

Unspecified application

Species

Unspecified reactive species

Xuezhu Lin,Mingquan Gao,Ailing Zhang,Jingjie Tong,Xiaoyi Zhang,Quanzhong Su,Zhihong Yang,Hui Gao,Guohui Jiang

Journal of Cancer 10:5964-5974 PubMed31762806

2019

Cip2a/miR-301a feedback loop promotes cell proliferation and invasion of triple-negative breast cancer.

Applications

Unspecified application

Species

Unspecified reactive species

Jiang Yin,Danyang Chen,Kai Luo,Minying Lu,Yixue Gu,Shanshan Zeng,Xiangzhou Chen,Ying Song,Zhijie Zhang,Guopei Zheng,Zhimin He,Hao Liu

PloS one 14:e0214469 PubMed30969990

2019

PP2A activation alone and in combination with cisplatin decreases cell growth and tumor formation in human HuH6 hepatoblastoma cells.

Applications

Unspecified application

Species

Unspecified reactive species

Laura L Stafman,Adele P Williams,Raoud Marayati,Jamie M Aye,Jerry E Stewart,Elizabeth Mroczek-Musulman,Elizabeth A Beierle
View all publications

Abcam product promise

当社は、高品質な試薬を通じてお客様の研究を力強くサポートすることをお約束いたします。ご使用いただく各段階で、常にお客様をサポートできる体制を整えております。万が一、製品が期待通りに機能しない場合は、「Abcam Product Promise」による当社保証制度に基づき、安心してご利用いただけます。
保証に関する詳細については利用規約をご確認ください。

Please note: All products are 'FOR RESEARCH USE ONLY. NOT FOR USE IN DIAGNOSTIC OR THERAPEUTIC PROCEDURES'.

For licensing inquiries, please contact partnerships@abcam.com