JavaScript is disabled in your browser. Please enable JavaScript to view this website.
AB40866

Anti-Chk1 抗体 [EP691Y]

Anti-Chk1 antibody [EP691Y]

5

(6 Reviews)

|

(46 Publications)

Rabbit Recombinant Monoclonal CHK1 antibody. Suitable for IHC-P, WB, ICC/IF, Flow Cyt (Intra) and reacts with Human samples. Cited in 46 publications.

別名を表示する

CHK1, CHEK1, Serine/threonine-protein kinase Chk1, CHK1 checkpoint homolog, Cell cycle checkpoint kinase, Checkpoint kinase-1

6 Images
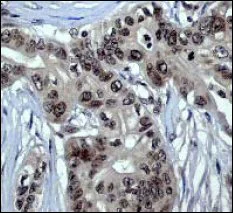
Immunohistochemistry (Formalin/PFA-fixed paraffin-embedded sections) - Anti-Chk1 antibody [EP691Y] (AB40866)
  • IHC-P

Unknown

Immunohistochemistry (Formalin/PFA-fixed paraffin-embedded sections) - Anti-Chk1 antibody [EP691Y] (AB40866)

Immunohistochemical analysis of Chk1 expression in paraffin-embedded human breast carcinoma using ab40866 at a 1 : 250 dilution.

Perform heat mediated antigen retrieval with citrate buffer pH 6 before commencing with IHC staining protocol.

Immunocytochemistry/ Immunofluorescence - Anti-Chk1 antibody [EP691Y] (AB40866)
  • ICC/IF

Unknown

Immunocytochemistry/ Immunofluorescence - Anti-Chk1 antibody [EP691Y] (AB40866)

Immunofluorescence staining of MCF7 cells with purified ab40866 at a working dilution of 1/500, counter-stained with DAPI. The secondary antibody was an Alexa Fluor® 488 conjugated goat anti-rabbit (ab150077), used at a dilution of 1/1000. The cells were fixed in 4% PFA and permeabilized using 0.1% Triton X 100. The negative control is shown in bottom right hand panel - for the negative control, PBS was used instead of the primary antibody.

Flow Cytometry (Intracellular) - Anti-Chk1 antibody [EP691Y] (AB40866)
  • Flow Cyt (Intra)

Unknown

Flow Cytometry (Intracellular) - Anti-Chk1 antibody [EP691Y] (AB40866)

Overlay histogram showing HeLa cells stained with ab40866 (red line). The cells were fixed with 80% methanol (5 min) and then permeabilized with 0.1% PBS-Tween for 20 min. The cells were then incubated in 1x PBS / 10% normal goat serum / 0.3M glycine to block non-specific protein-protein interactions followed by the antibody (ab40866, 1/1000 dilution) for 30 min at 22°C. The secondary antibody used was Alexa Fluor® 488 goat anti-rabbit IgG (H&L) (ab150077) at 1/2000 dilution for 30 min at 22°C. Isotype control antibody (black line) was rabbit IgG (monoclonal) (0.1μg/1x106 cells) used under the same conditions. Unlabelled sample (blue line) was also used as a control. Acquisition of >5,000 events were collected using a 20mW Argon ion laser (488nm) and 525/30 bandpass filter.

Western blot - Anti-Chk1 antibody [EP691Y] (AB40866)
  • WB

Supplier Data

Western blot - Anti-Chk1 antibody [EP691Y] (AB40866)

Blocking and diluting buffer and concentration : 5% NFDM/TBST.

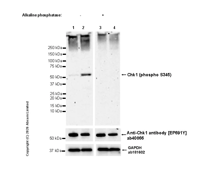
UV-C treatment induces phosphorylation of Chk1 at Ser345 (PMID : 20609246).

The identity of the bands higher than 150 kDa are unknown.

In Western blot, Anti-GAPDH antibody [EPR16891] - Loading Control (ab181602) staining at 1/200000 dilution.

In Western blot, Anti-Chk1 antibody [EP691Y] (ab40866) staining at 56KDa dilution.

All lanes:

Western blot - Anti-Chk1 (phospho S345) antibody [EPR30270-566] (<a href='/products/primary-antibodies/chk1-phospho-s345-antibody-epr30270-566-ab325675'>ab325675</a>) at 1/1000 dilution

Lane 1:

Untreated Synchronized G1/S HeLa (human cervix adenocarcinoma epithelial cell) whole cell lysate (untreated membrane) at 20 µg

Lane 2:

Synchronized G1/S HeLa treated with 100 J/m2 UV-C, then recovery for 1 hour whole cell lysate (untreated membrane) at 20 µg

Lane 3:

Untreated Synchronized G1/S HeLa (human cervix adenocarcinoma epithelial cell) whole cell lysate (phosphatase treated membrane) at 20 µg

Lane 4:

Synchronized G1/S HeLa treated with 100 J/m2 UV-C, then recovery for 1 hour whole cell lysate (phosphatase treated membrane) at 20 µg

Secondary

All lanes:

Western blot - Goat Anti-Rabbit IgG H&L (HRP) (<a href='/products/secondary-antibodies/goat-rabbit-igg-h-l-hrp-ab97051'>ab97051</a>) at 1/20000 dilution

Observed band size: 56 kDa,36 kDa

false

Exposure time: 180s

Western blot - Anti-Chk1 antibody [EP691Y] (AB40866)
  • WB

Lab

Western blot - Anti-Chk1 antibody [EP691Y] (AB40866)

Anti-CHEK1 antibody [EP691Y] (ab40866) staining at 1/10000 dilution, shown in green; Mouse anti-GAPDH antibody [6C5] (ab8245) loading control staining at 1/20000 dilution, shown in red. In Western blot, ab40866 was shown to bind specifically to CHEK1. A band was observed at 57 kDa in wild-type A549 cell lysates with a reduction in signal observed at this size in CHEK1 heterozygous knockout cell line. To generate this image, wild-type and CHEK1 heterozygous knockout A549 cell lysates were analysed. First, samples were run on an SDS-PAGE gel then transferred onto a nitrocellulose membrane. Membranes were blocked in 3 % milk in TBS-0.1 % Tween® 20 (TBS-T) before incubation with primary antibodies overnight at 4 °C. Blots were washed four times in TBS-T, incubated with secondary antibodies for 1 h at room temperature, washed again four times then imaged. Secondary antibodies used were Goat anti-Rabbit IgG H&L 800CW and Goat anti-Mouse IgG H&L 680RD at 1/20000 dilution.

All lanes:

Western blot - Anti-Chk1 antibody [EP691Y] (ab40866) at 1/10000 dilution

Lane 1:

Wild-type A549 cell lysate at 20 µg

Lane 2:

Western blot - Human CHEK1 heterozygous knockout A549 cell line (<a href='/products/cell-lines/human-chek1-heterozygous-knockout-a549-cell-line-ab276102'>ab276102</a>)

Lane 2:

CHEK1 knockout A549 cell lysate at 20 µg

Lane 3:

A431 cell lysate at 20 µg

Lane 4:

MOLT-4 cell lysate at 20 µg

Secondary

Lanes 1 - 4:

Goat anti-Rabbit IgG H&L 800CW at 1/20000 dilution

Lanes 1 - 4:

Goat anti-Mouse IgG H&L 680RD at 1/20000 dilution

Predicted band size: 54 kDa

Observed band size: 57 kDa

false

Western blot - Anti-Chk1 antibody [EP691Y] (AB40866)
  • WB

Unknown

Western blot - Anti-Chk1 antibody [EP691Y] (AB40866)

All lanes:

Western blot - Anti-Chk1 antibody [EP691Y] (ab40866) at 1/10000 dilution

All lanes:

HeLa cell lysate at 10 µg

Predicted band size: 54 kDa

Observed band size: 54 kDa

false

関連する標識済み抗体及び組成の異なる製品 (9)

Key facts

宿主種

Rabbit

クローン性

Monoclonal

クローン番号

EP691Y

アイソタイプ

IgG

キャリアフリー

No

交差種

Human

アプリケーション

Flow Cyt (Intra), WB, ICC/IF, IHC-P

applications

免疫原

The exact immunogen used to generate this antibody is proprietary information.

Reactivity data

{ "title": "Reactivity Data", "filters": { "stats": ["", "Species", "Dilution Info", "Notes"], "tabs": { "all-applications": {"fullname" : "All Applications", "shortname": "All Applications"}, "IHCP" : {"fullname" : "Immunohistochemistry (Formalin/PFA-fixed paraffin-embedded sections)", "shortname":"IHC-P"}, "WB" : {"fullname" : "Western blot", "shortname":"WB"}, "ICCIF" : {"fullname" : "Immunocytochemistry/ Immunofluorescence", "shortname":"ICC/IF"}, "FlowCytIntra" : {"fullname" : "Flow Cytometry (Intracellular)", "shortname":"Flow Cyt (Intra)"} }, "product-promise": { "all": "all", "testedAndGuaranteed": "tested", "guaranteed": "expected", "predicted": "predicted", "notRecommended": "not-recommended" } }, "values": { "Human": { "IHCP-species-checked": "testedAndGuaranteed", "IHCP-species-dilution-info": "", "IHCP-species-notes": "<p></p> Perform heat-mediated antigen retrieval with citrate buffer pH 6 before commencing with IHC staining protocol.", "WB-species-checked": "testedAndGuaranteed", "WB-species-dilution-info": "1/10000", "WB-species-notes": "<p></p>", "ICCIF-species-checked": "testedAndGuaranteed", "ICCIF-species-dilution-info": "1/100 - 1/250", "ICCIF-species-notes": "<p></p>", "FlowCytIntra-species-checked": "testedAndGuaranteed", "FlowCytIntra-species-dilution-info": "1/1000", "FlowCytIntra-species-notes": "<p><a href='/products/primary-antibodies/rabbit-igg-monoclonal-epr25a-isotype-control-ab172730'>ab172730</a> - Rabbit monoclonal IgG, is suitable for use as an isotype control with this antibody.</p>" } } }

製品の詳細

Species reactivity
Mouse, Rat: We have preliminary internal testing data to indicate this antibody may not react with these species.
Please contact us for more information.

Patented technology
Our RabMAb® technology is a patented hybridoma-based technology for making rabbit monoclonal antibodies. For details on our patents, please refer to RabMAb® patents.

What are the advantages of a recombinant monoclonal antibody?
This product is a recombinant monoclonal antibody, which offers several advantages including:

  • - High batch-to-batch consistency and reproducibility
  • - Improved sensitivity and specificity
  • - Long-term security of supply
  • - Animal-free batch production

For more information, read more on recombinant antibodies.

出荷温度及び保存条件

製品の状態
Liquid
精製方法
Affinity purification Protein A
バッファー組成
pH: 7.2 - 7.4 Preservative: 0.01% Sodium azide Constituents: PBS, 40% Glycerol (glycerin, glycerine), 0.05% BSA
出荷温度
Blue Ice
短期保存期間
1-2 weeks
短期保存温度
+4°C
長期保存温度
-20°C
分注に関する情報
Upon delivery aliquot
保管に関する情報
Avoid freeze / thaw cycle

製品プロトコール

For this product, it's our understanding that no specific protocols are required. You can visit:

ターゲットの情報

Serine/threonine-protein kinase which is required for checkpoint-mediated cell cycle arrest and activation of DNA repair in response to the presence of DNA damage or unreplicated DNA (PubMed : 11535615, PubMed : 12399544, PubMed : 12446774, PubMed : 14559997, PubMed : 14988723, PubMed : 15311285, PubMed : 15650047, PubMed : 15665856, PubMed : 32357935). May also negatively regulate cell cycle progression during unperturbed cell cycles (PubMed : 11535615, PubMed : 12399544, PubMed : 12446774, PubMed : 14559997, PubMed : 14988723, PubMed : 15311285, PubMed : 15650047, PubMed : 15665856). This regulation is achieved by a number of mechanisms that together help to preserve the integrity of the genome (PubMed : 11535615, PubMed : 12399544, PubMed : 12446774, PubMed : 14559997, PubMed : 14988723, PubMed : 15311285, PubMed : 15650047, PubMed : 15665856). Recognizes the substrate consensus sequence [R-X-X-S/T] (PubMed : 11535615, PubMed : 12399544, PubMed : 12446774, PubMed : 14559997, PubMed : 14988723, PubMed : 15311285, PubMed : 15650047, PubMed : 15665856). Binds to and phosphorylates CDC25A, CDC25B and CDC25C (PubMed : 12676583, PubMed : 12676925, PubMed : 12759351, PubMed : 14559997, PubMed : 14681206, PubMed : 19734889, PubMed : 9278511). Phosphorylation of CDC25A at 'Ser-178' and 'Thr-507' and phosphorylation of CDC25C at 'Ser-216' creates binding sites for 14-3-3 proteins which inhibit CDC25A and CDC25C (PubMed : 9278511). Phosphorylation of CDC25A at 'Ser-76', 'Ser-124', 'Ser-178', 'Ser-279' and 'Ser-293' promotes proteolysis of CDC25A (PubMed : 12676583, PubMed : 12676925, PubMed : 12759351, PubMed : 14681206, PubMed : 19734889, PubMed : 9278511). Phosphorylation of CDC25A at 'Ser-76' primes the protein for subsequent phosphorylation at 'Ser-79', 'Ser-82' and 'Ser-88' by NEK11, which is required for polyubiquitination and degradation of CDCD25A (PubMed : 19734889, PubMed : 20090422, PubMed : 9278511). Inhibition of CDC25 leads to increased inhibitory tyrosine phosphorylation of CDK-cyclin complexes and blocks cell cycle progression (PubMed : 9278511). Also phosphorylates NEK6 (PubMed : 18728393). Binds to and phosphorylates RAD51 at 'Thr-309', which promotes the release of RAD51 from BRCA2 and enhances the association of RAD51 with chromatin, thereby promoting DNA repair by homologous recombination (PubMed : 15665856). Phosphorylates multiple sites within the C-terminus of TP53, which promotes activation of TP53 by acetylation and promotes cell cycle arrest and suppression of cellular proliferation (PubMed : 10673501, PubMed : 15659650, PubMed : 16511572). Also promotes repair of DNA cross-links through phosphorylation of FANCE (PubMed : 17296736). Binds to and phosphorylates TLK1 at 'Ser-743', which prevents the TLK1-dependent phosphorylation of the chromatin assembly factor ASF1A (PubMed : 12660173, PubMed : 12955071). This may enhance chromatin assembly both in the presence or absence of DNA damage (PubMed : 12660173, PubMed : 12955071). May also play a role in replication fork maintenance through regulation of PCNA (PubMed : 18451105). May regulate the transcription of genes that regulate cell-cycle progression through the phosphorylation of histones (By similarity). Phosphorylates histone H3.1 (to form H3T11ph), which leads to epigenetic inhibition of a subset of genes (By similarity). May also phosphorylate RB1 to promote its interaction with the E2F family of transcription factors and subsequent cell cycle arrest (PubMed : 17380128). Phosphorylates SPRTN, promoting SPRTN recruitment to chromatin (PubMed : 31316063). Reduces replication stress and activates the G2/M checkpoint, by phosphorylating and inactivating PABIR1/FAM122A and promoting the serine/threonine-protein phosphatase 2A-mediated dephosphorylation and stabilization of WEE1 levels and activity (PubMed : 33108758).. Isoform 2. Endogenous repressor of isoform 1, interacts with, and antagonizes CHK1 to promote the S to G2/M phase transition.
See full target information CHEK1

文献 (46)

Recent publications for all applications. Explore the full list and refine your search

Molecular therapy. Oncology 33:201028 PubMed40896366

2025

is a synthetic lethal interactor of in colonic epithelial cells.

Applications

Unspecified application

Species

Unspecified reactive species

Tooba Razi,Ally C Farrell,Rubi Campos Gudiño,Nicole M Neudorf,Zelda Lichtensztejn,Kirk J McManus

Nature communications 16:7064 PubMed40750587

2025

Tumor control and immune activation through palliative irradiation and ATR inhibition, PATRIOT Part C: a phase Ib trial.

Applications

Unspecified application

Species

Unspecified reactive species

Magnus T Dillon,Emmanuel C Patin,Kabir Mohammed,Jeane Guevara,Simon A Smith,Emma Dean,Heba Soliman,Pablo Nenclares,Motoko Ryugenji,Davina Northcote,Neel Shah,Lorna Grove,Christopher J Lord,Stephen Pettit,Matt Tall,Karen E Swales,Udai Banerji,Alan A Melcher,Mark Saunders,Martin D Forster,Kevin J Harrington

Nature 642:785-795 PubMed40399682

2025

Multigenerational cell tracking of DNA replication and heritable DNA damage.

Applications

Unspecified application

Species

Unspecified reactive species

Andreas Panagopoulos,Merula Stout,Sinan Kilic,Peter Leary,Julia Vornberger,Virginia Pasti,Antonio Galarreta,Aleksandra Lezaja,Kyra Kirschenbühler,Ralph Imhof,Hubert Rehrauer,Urs Ziegler,Matthias Altmeyer

Science advances 11:eadu3956 PubMed40238864

2025

Ara-C suppresses H3 K27-altered spinal cord diffuse midline glioma growth and enhances immune checkpoint blockade sensitivity.

Applications

Unspecified application

Species

Unspecified reactive species

Bo Pang,Yilin Wu,SongYuan An,Yuzhou Chang,Hao Yan,Han Lin,Zheng Zhao,Fan Wu,Qing Chang,Wenqing Jia,Tao Jiang,Yongzhi Wang,Ruichao Chai

Molecular & cellular oncology 12:2488537 PubMed40226818

2025

CHK1 inhibition overcomes gemcitabine resistance in non-small cell lung cancer cell A549.

Applications

Unspecified application

Species

Unspecified reactive species

Zhi-Yin Ke,Tian Fu,Xue-Chun Wang,Xuan Ma,Hai-Han Yin,Wen-Xuan Wang,Yong-Jun Liu,Ai-Ling Liang

Cancer cell international 25:100 PubMed40098146

2025

Broussoflavonol B induces S-phase arrest and apoptosis in pancreatic cancer cells by modulating the cell cycle checkpoint through inhibition of the AURKA/PLK1 pathway.

Applications

Unspecified application

Species

Unspecified reactive species

HyokChol Choe,Zhen Wang,Jianhua Huang,Yutong Yang,Zhihao Zhao,HyonSu Jo,HyonU Pak,Tanveer Ali,Kaiyue Ding,Junnan Ma,Lingzhi Li,Dong Shang,Lin Zhang

Cell biology and toxicology 41:30 PubMed39808342

2025

Targeting CHEK1: Ginsenosides-Rh2 and Cu2O@G-Rh2 nanoparticles in thyroid cancer.

Applications

Unspecified application

Species

Unspecified reactive species

Lidong Wang,Xin Wu,XinLu Wang,Meng Dong,Hao Zhang,Pengfei Zhao

Cellular and molecular gastroenterology and hepatology 19:101422 PubMed39419394

2024

Hepatitis B Virus-KMT2B Integration Drives Hepatic Oncogenic Processes in a Human Gene-edited Induced Pluripotent Stem Cells-derived Model.

Applications

Unspecified application

Species

Unspecified reactive species

Jun Tsuchiya,Masato Miyoshi,Sei Kakinuma,Fukiko Kawai-Kitahata,Akihide Kamiya,Taro Shimizu,Ayako Sato,Keiya Watakabe,Tomohiro Mochida,Kento Inada,Rion Kamimae,Shun Kaneko,Miyako Murakawa,Sayuri Nitta,Mina Nakagawa,Mamoru Watanabe,Yasuhiro Asahina,Ryuichi Okamoto

iScience 27:109978 PubMed39021796

2024

CHK1 inhibitor SRA737 is active in PARP inhibitor resistant and amplified ovarian cancer.

Applications

Unspecified application

Species

Unspecified reactive species

Haineng Xu,Sarah B Gitto,Gwo-Yaw Ho,Sergey Medvedev,Kristy Shield-Artin,Hyoung Kim,Sally Beard,Yasuto Kinose,Xiaolei Wang,Holly E Barker,Gayanie Ratnayake,Wei-Ting Hwang,Ryan J Hansen,Bryan Strouse,Snezana Milutinovic,Christian Hassig,Matthew J Wakefield,Cassandra J Vandenberg,Clare L Scott,Fiona Simpkins

Translational oncology 41:101858 PubMed38242006

2024

mA demethylase ALKBH5 maintains stemness of intrahepatic cholangiocarcinoma by sustaining BUB1B expression and cell proliferation.

Applications

Unspecified application

Species

Unspecified reactive species

Yuan Gao,Miao Yu,Zengyuan Liu,Yi Liu,Zhijun Kong,Chunfu Zhu,Xihu Qin,Yan Li,Liming Tang
View all publications

Abcam product promise

当社は、高品質な試薬を通じてお客様の研究を力強くサポートすることをお約束いたします。ご使用いただく各段階で、常にお客様をサポートできる体制を整えております。万が一、製品が期待通りに機能しない場合は、「Abcam Product Promise」による当社保証制度に基づき、安心してご利用いただけます。
保証に関する詳細については利用規約をご確認ください。

Please note: All products are 'FOR RESEARCH USE ONLY. NOT FOR USE IN DIAGNOSTIC OR THERAPEUTIC PROCEDURES'.

For licensing inquiries, please contact partnerships@abcam.com