JavaScript is disabled in your browser. Please enable JavaScript to view this website.
AB133463

Anti-CDK1 (phospho Y15) + CDK2 (phospho Y15) + CDK3 (phospho Y15) + CDK5 (phospho Y15) 抗体 [EPR7875]

Anti-CDK1 (phospho Y15) + CDK2 (phospho Y15) + CDK3 (phospho Y15) + CDK5 (phospho Y15) antibody [EPR

5

(3 Reviews)

|

(16 Publications)

Rabbit Recombinant Monoclonal CDK1 phospho Y15 antibody. Suitable for IHC-P, ELISA, Dot, WB and reacts with Human, Rat, Mouse, Recombinant fragment samples. Cited in 16 publications.

別名を表示する

CDC2, CDC28A, CDKN1, P34CDC2, CDK1, Cyclin-dependent kinase 1, Cell division control protein 2 homolog, Cell division protein kinase 1, p34 protein kinase

14 Images
Immunohistochemistry (Formalin/PFA-fixed paraffin-embedded sections) - Anti-CDK1 (phospho Y15) + CDK2 (phospho Y15) + CDK3 (phospho Y15) + CDK5 (phospho Y15) antibody [EPR (AB133463)
  • IHC-P

Lab

Immunohistochemistry (Formalin/PFA-fixed paraffin-embedded sections) - Anti-CDK1 (phospho Y15) + CDK2 (phospho Y15) + CDK3 (phospho Y15) + CDK5 (phospho Y15) antibody [EPR (AB133463)

Immunohistochemical staining of paraffin embedded human colon with purified ab133463 at a working dilution of 1 in 75. The secondary antibody used is a HRP polymer for rabbit IgG. The sample is counter-stained with hematoxylin. Antigen retrieval was perfomed using Tris-EDTA buffer pH 9.0. PBS was used instead of the primary antibody as the negative control and is shown in the inset.

Immunohistochemistry (Formalin/PFA-fixed paraffin-embedded sections) - Anti-CDK1 (phospho Y15) + CDK2 (phospho Y15) + CDK3 (phospho Y15) + CDK5 (phospho Y15) antibody [EPR (AB133463)
  • IHC-P

Lab

Immunohistochemistry (Formalin/PFA-fixed paraffin-embedded sections) - Anti-CDK1 (phospho Y15) + CDK2 (phospho Y15) + CDK3 (phospho Y15) + CDK5 (phospho Y15) antibody [EPR (AB133463)

Immunohistochemical staining of paraffin embedded human colon with unpurified ab133463 at a working dilution of 1 in 50. The secondary antibody used is a HRP polymer for rabbit IgG. The sample is counter-stained with hematoxylin. Antigen retrieval was perfomed using Tris-EDTA buffer pH 9.0. PBS was used instead of the primary antibody as the negative control and is shown in the inset.

Immunohistochemistry (Formalin/PFA-fixed paraffin-embedded sections) - Anti-CDK1 (phospho Y15) + CDK2 (phospho Y15) + CDK3 (phospho Y15) + CDK5 (phospho Y15) antibody [EPR (AB133463)
  • IHC-P

Unknown

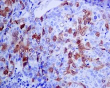
Immunohistochemistry (Formalin/PFA-fixed paraffin-embedded sections) - Anti-CDK1 (phospho Y15) + CDK2 (phospho Y15) + CDK3 (phospho Y15) + CDK5 (phospho Y15) antibody [EPR (AB133463)

Immunohistochemical analysis of paraffin embedded human breast carcinoma tissue labelling CDK1+CDK2+CDK3+CDK5 with unpurified ab133463 at 1/50 dilution. Heat mediated antigen retrieval was performed with citrate buffer pH 6 before commencing with IHC staining protocol.

Western blot - Anti-CDK1 (phospho Y15) + CDK2 (phospho Y15) + CDK3 (phospho Y15) + CDK5 (phospho Y15) antibody [EPR (AB133463)
  • WB

Lab

Western blot - Anti-CDK1 (phospho Y15) + CDK2 (phospho Y15) + CDK3 (phospho Y15) + CDK5 (phospho Y15) antibody [EPR (AB133463)

Blocking buffer : 5% NFDM/TBST

Dilution buffer : 5% NFDM/TBST

All lanes:

Western blot - Anti-CDK1 (phospho Y15) + CDK2 (phospho Y15) + CDK3 (phospho Y15) + CDK5 (phospho Y15) antibody [EPR (ab133463) at 1/1000 dilution

All lanes:

HeLa cell lysate treated with UV at 10 µg

Secondary

All lanes:

HRP goat anti-rabbit (H+L) at 1/1000 dilution

Observed band size: 34 kDa

false

Western blot - Anti-CDK1 (phospho Y15) + CDK2 (phospho Y15) + CDK3 (phospho Y15) + CDK5 (phospho Y15) antibody [EPR (AB133463)
  • WB

Unknown

Western blot - Anti-CDK1 (phospho Y15) + CDK2 (phospho Y15) + CDK3 (phospho Y15) + CDK5 (phospho Y15) antibody [EPR (AB133463)

All lanes:

Western blot - Anti-CDK1 (phospho Y15) + CDK2 (phospho Y15) + CDK3 (phospho Y15) + CDK5 (phospho Y15) antibody [EPR (ab133463) at 1/1000 dilution

Lane 1:

HeLa cell lysate at 10 µg

Lane 2:

HeLa cell lysate treated with UV at 10 µg

Secondary

All lanes:

HRP labelled goat anti-rabbit IgG at 1/2000 dilution

Observed band size: 34 kDa

false

Western blot - Anti-CDK1 (phospho Y15) + CDK2 (phospho Y15) + CDK3 (phospho Y15) + CDK5 (phospho Y15) antibody [EPR (AB133463)
  • WB

Lab

Western blot - Anti-CDK1 (phospho Y15) + CDK2 (phospho Y15) + CDK3 (phospho Y15) + CDK5 (phospho Y15) antibody [EPR (AB133463)

Saso2 cells were incubated at 37°C for 24 hours with vehicle control (0 μM) and different concentrations of Amifostine (ab141060). Decreased expression of CDK1 (phospho Y15) (unpurified ab133463) in Saso2 cells correlates with an increase in Amifostine concentration, as described in literature.

Whole cell lysates were prepared with RIPA buffer (containing protease inhibitors and sodium orthovanadate), 10μg of each were loaded on the gel and the WB was run under reducing conditions. After transfer the membrane was blocked for an hour using 5% BSA before being incubated with unpurified ab133463 at 1 μg/ml and ab32384 at 1 μg/ml overnight at 4°C. Antibody binding was detected using an anti-rabbit antibody conjugated to HRP (ab97051) at 1/10000 and visualised using ECL development solution.

All lanes:

Western blot - Anti-CDK1 (phospho Y15) + CDK2 (phospho Y15) + CDK3 (phospho Y15) + CDK5 (phospho Y15) antibody [EPR (ab133463)

Observed band size: 34 kDa

true

Exposure time: 4min

Western blot - Anti-CDK1 (phospho Y15) + CDK2 (phospho Y15) + CDK3 (phospho Y15) + CDK5 (phospho Y15) antibody [EPR (AB133463)
  • WB

Lab

Western blot - Anti-CDK1 (phospho Y15) + CDK2 (phospho Y15) + CDK3 (phospho Y15) + CDK5 (phospho Y15) antibody [EPR (AB133463)

Blocking buffer : 5% NFDM/TBST

Dilution buffer : 5% NFDM/TBST

All lanes:

Western blot - Anti-CDK1 (phospho Y15) + CDK2 (phospho Y15) + CDK3 (phospho Y15) + CDK5 (phospho Y15) antibody [EPR (ab133463) at 1/2000 dilution

All lanes:

NIH/3T3 cell lysate at 10 µg

Secondary

All lanes:

HRP goat anti-rabbit (H+L) at 1/1000 dilution

Observed band size: 34 kDa

false

Western blot - Anti-CDK1 (phospho Y15) + CDK2 (phospho Y15) + CDK3 (phospho Y15) + CDK5 (phospho Y15) antibody [EPR (AB133463)
  • WB

Lab

Western blot - Anti-CDK1 (phospho Y15) + CDK2 (phospho Y15) + CDK3 (phospho Y15) + CDK5 (phospho Y15) antibody [EPR (AB133463)

Blocking buffer : 5% NFDM/TBST

Dilution buffer : 5% NFDM/TBST

All lanes:

Western blot - Anti-CDK1 (phospho Y15) + CDK2 (phospho Y15) + CDK3 (phospho Y15) + CDK5 (phospho Y15) antibody [EPR (ab133463) at 1/2000 dilution

All lanes:

C6 cell lysate at 10 µg

Secondary

All lanes:

HRP goat anti-rabbit (H+L) at 1/1000 dilution

Observed band size: 34 kDa

false

Western blot - Anti-CDK1 (phospho Y15) + CDK2 (phospho Y15) + CDK3 (phospho Y15) + CDK5 (phospho Y15) antibody [EPR (AB133463)
  • WB

Lab

Western blot - Anti-CDK1 (phospho Y15) + CDK2 (phospho Y15) + CDK3 (phospho Y15) + CDK5 (phospho Y15) antibody [EPR (AB133463)

Blocking buffer : 5% NFDM/TBST

Dilution buffer : 5% NFDM/TBST

All lanes:

Western blot - Anti-CDK1 (phospho Y15) + CDK2 (phospho Y15) + CDK3 (phospho Y15) + CDK5 (phospho Y15) antibody [EPR (ab133463) at 1/1500 dilution

All lanes:

C6 cell lysate at 10 µg

Secondary

All lanes:

HRP goat anti-rabbit (H+L) at 1/1000 dilution

Observed band size: 34 kDa

false

Western blot - Anti-CDK1 (phospho Y15) + CDK2 (phospho Y15) + CDK3 (phospho Y15) + CDK5 (phospho Y15) antibody [EPR (AB133463)
  • WB

Lab

Western blot - Anti-CDK1 (phospho Y15) + CDK2 (phospho Y15) + CDK3 (phospho Y15) + CDK5 (phospho Y15) antibody [EPR (AB133463)

Blocking buffer : 5% NFDM/TBST

Dilution buffer : 5% NFDM/TBST

All lanes:

Western blot - Anti-CDK1 (phospho Y15) + CDK2 (phospho Y15) + CDK3 (phospho Y15) + CDK5 (phospho Y15) antibody [EPR (ab133463) at 1/1500 dilution

All lanes:

NIH/3T3 cell lysate at 1/1000 dilution

Secondary

All lanes:

HRP goat anti-rabbit (H+L) at 1/1000 dilution

Observed band size: 34 kDa

false

ELISA - Anti-CDK1 (phospho Y15) + CDK2 (phospho Y15) + CDK3 (phospho Y15) + CDK5 (phospho Y15) antibody [EPR (AB133463)
  • ELISA

Lab

ELISA - Anti-CDK1 (phospho Y15) + CDK2 (phospho Y15) + CDK3 (phospho Y15) + CDK5 (phospho Y15) antibody [EPR (AB133463)

Direct ELISA antibody dose-response curve using purified ab133463 at 0-1000 ng/ml. Antigen concentration of 1000 ng/mL. An alkaline phosphatase-conjugated goat anti-rabbit IgG (H+L) (1/2500) was used as the secondary antibody.

ELISA - Anti-CDK1 (phospho Y15) + CDK2 (phospho Y15) + CDK3 (phospho Y15) + CDK5 (phospho Y15) antibody [EPR (AB133463)
  • ELISA

Lab

ELISA - Anti-CDK1 (phospho Y15) + CDK2 (phospho Y15) + CDK3 (phospho Y15) + CDK5 (phospho Y15) antibody [EPR (AB133463)

Direct ELISA antibody dose-response curve using purified ab133463 at 0-1000 ng/ml. Antigen concentration of 1000 ng/mL. An alkaline phosphatase-conjugated goat anti-rabbit IgG (H+L) (1/2500) was used as the secondary antibody.

Dot Blot - Anti-CDK1 (phospho Y15) + CDK2 (phospho Y15) + CDK3 (phospho Y15) + CDK5 (phospho Y15) antibody [EPR (AB133463)
  • Dot

Lab

Dot Blot - Anti-CDK1 (phospho Y15) + CDK2 (phospho Y15) + CDK3 (phospho Y15) + CDK5 (phospho Y15) antibody [EPR (AB133463)

Dot blot analysis of CDK1+CDK2+CDK3+CDK5 (pY15) phospho peptide (lane 1) and CDK1+CDK2+CDK3+CDK5 non-phospho peptide (lane 2) labelling CDK1+CDK2+CDK3+CDK5 (phospho Y15) with unpurified ab133463 at a dilution of 1/1000. A peroxidase-conjugated goat anti-rabbit IgG (H+L) was used as the secondary antibody (1/2500).

Blocking and dilution buffer : 5% NFDM/TBST.

Exposure time : 10 seconds.

OI-RD Scanning - Anti-CDK1 (phospho Y15) + CDK2 (phospho Y15) + CDK3 (phospho Y15) + CDK5 (phospho Y15) antibody [EPR (AB133463)
  • OI-RD Scanning

Unknown

OI-RD Scanning - Anti-CDK1 (phospho Y15) + CDK2 (phospho Y15) + CDK3 (phospho Y15) + CDK5 (phospho Y15) antibody [EPR (AB133463)

We have systematically measured KD (the equilibrium dissociation constant between the antibody and its antigen), of more than 840 recombinant antibodies to assess not only their individual KD values but also to see the average affinity of antibody. Based on the comparison with published literature values for mouse monoclonal antibodies, Recombinant antibodies appear to be on average 1-2 order of magnitude higher affinity.

関連する標識済み抗体及び組成の異なる製品 (1)

  • Carrier free

    Anti-CDK1 (pY15) + CDK2 (pY15) + CDK3 (pY15) + CDK5 (pY15) antibody [EPR7875] - BSA and Azide free

Key facts

宿主種

Rabbit

クローン性

Monoclonal

クローン番号

EPR7875

アイソタイプ

IgG

キャリアフリー

No

交差種

Mouse, Rat, Human

アプリケーション

IHC-P, ELISA, WB, Dot

applications

免疫原

The exact immunogen used to generate this antibody is proprietary information.

特異性

The antibody will cross-react with phosphorylated CDK1 (pY15), CDK2 (pY15), CDK3 (pY15) and CDK5 (pY15) but not with non-phosphorylated CDK1, CDK2, CDK3 and CDK5. Please see our ELISA results on the images section.

Reactivity data

{ "title": "Reactivity Data", "filters": { "stats": ["", "Species", "Dilution Info", "Notes"], "tabs": { "all-applications": {"fullname" : "All Applications", "shortname": "All Applications"}, "IHCP" : {"fullname" : "Immunohistochemistry (Formalin/PFA-fixed paraffin-embedded sections)", "shortname":"IHC-P"}, "ELISA" : {"fullname" : "ELISA", "shortname":"ELISA"}, "Dot" : {"fullname" : "Dot Blot", "shortname":"Dot"}, "WB" : {"fullname" : "Western blot", "shortname":"WB"} }, "product-promise": { "all": "all", "testedAndGuaranteed": "tested", "guaranteed": "expected", "predicted": "predicted", "notRecommended": "not-recommended" } }, "values": { "Human": { "IHCP-species-checked": "testedAndGuaranteed", "IHCP-species-dilution-info": "1/50 - 1/75", "IHCP-species-notes": "<p></p>", "ELISA-species-checked": "testedAndGuaranteed", "ELISA-species-dilution-info": "", "ELISA-species-notes": "<p></p>", "Dot-species-checked": "guaranteed", "Dot-species-dilution-info": "", "Dot-species-notes": "", "WB-species-checked": "testedAndGuaranteed", "WB-species-dilution-info": "1/1000 - 1/2000", "WB-species-notes": "<p></p>" }, "Mouse": { "IHCP-species-checked": "guaranteed", "IHCP-species-dilution-info": "1/50 - 1/75", "IHCP-species-notes": "<p></p>", "ELISA-species-checked": "guaranteed", "ELISA-species-dilution-info": "", "ELISA-species-notes": "<p></p>", "Dot-species-checked": "guaranteed", "Dot-species-dilution-info": "", "Dot-species-notes": "", "WB-species-checked": "testedAndGuaranteed", "WB-species-dilution-info": "1/1000 - 1/2000", "WB-species-notes": "<p></p>" }, "Rat": { "IHCP-species-checked": "guaranteed", "IHCP-species-dilution-info": "1/50 - 1/75", "IHCP-species-notes": "<p></p>", "ELISA-species-checked": "guaranteed", "ELISA-species-dilution-info": "", "ELISA-species-notes": "<p></p>", "Dot-species-checked": "guaranteed", "Dot-species-dilution-info": "", "Dot-species-notes": "", "WB-species-checked": "testedAndGuaranteed", "WB-species-dilution-info": "1/1000 - 1/2000", "WB-species-notes": "<p></p>" }, "Recombinant fragment": { "IHCP-species-checked": "notRecommended", "IHCP-species-dilution-info": "", "IHCP-species-notes": "", "ELISA-species-checked": "testedAndGuaranteed", "ELISA-species-dilution-info": "", "ELISA-species-notes": "<p></p>", "Dot-species-checked": "testedAndGuaranteed", "Dot-species-dilution-info": "1/1000", "Dot-species-notes": "<p></p>", "WB-species-checked": "notRecommended", "WB-species-dilution-info": "", "WB-species-notes": "" } } }

製品の詳細

Patented technology
Our RabMAb® technology is a patented hybridoma-based technology for making rabbit monoclonal antibodies. For details on our patents, please refer to RabMAb® patents.

What are the advantages of a recombinant monoclonal antibody?
This product is a recombinant monoclonal antibody, which offers several advantages including:

  • - High batch-to-batch consistency and reproducibility
  • - Improved sensitivity and specificity
  • - Long-term security of supply
  • - Animal-free batch production

For more information, read more on recombinant antibodies.

出荷温度及び保存条件

製品の状態
Liquid
精製方法
Affinity purification Protein A
バッファー組成
pH: 7.2 - 7.4 Preservative: 0.01% Sodium azide Constituents: PBS, 40% Glycerol (glycerin, glycerine), 0.05% BSA
出荷温度
Blue Ice
短期保存温度
+4°C
長期保存温度
-20°C
保管に関する情報
Stable for 12 months at -20°C

製品プロトコール

For this product, it's our understanding that no specific protocols are required. You can visit:

ターゲットの情報

Plays a key role in the control of the eukaryotic cell cycle by modulating the centrosome cycle as well as mitotic onset; promotes G2-M transition via association with multiple interphase cyclins (PubMed : 16407259, PubMed : 16933150, PubMed : 17459720, PubMed : 18356527, PubMed : 19509060, PubMed : 19917720, PubMed : 20171170, PubMed : 20935635, PubMed : 20937773, PubMed : 21063390, PubMed : 2188730, PubMed : 23355470, PubMed : 2344612, PubMed : 23601106, PubMed : 23602554, PubMed : 25556658, PubMed : 26829474, PubMed : 27814491, PubMed : 30139873, PubMed : 30704899). Phosphorylates PARVA/actopaxin, APC, AMPH, APC, BARD1, Bcl-xL/BCL2L1, BRCA2, CALD1, CASP8, CDC7, CDC20, CDC25A, CDC25C, CC2D1A, CENPA, CSNK2 proteins/CKII, FZR1/CDH1, CDK7, CEBPB, CHAMP1, DMD/dystrophin, EEF1 proteins/EF-1, EZH2, KIF11/EG5, EGFR, FANCG, FOS, GFAP, GOLGA2/GM130, GRASP1, UBE2A/hHR6A, HIST1H1 proteins/histone H1, HMGA1, HIVEP3/KRC, KAT5, LMNA, LMNB, LBR, LATS1, MAP1B, MAP4, MARCKS, MCM2, MCM4, MKLP1, MLST8, MYB, NEFH, NFIC, NPC/nuclear pore complex, PITPNM1/NIR2, NPM1, NCL, NUCKS1, NPM1/numatrin, ORC1, PRKAR2A, EEF1E1/p18, EIF3F/p47, p53/TP53, NONO/p54NRB, PAPOLA, PLEC/plectin, RB1, TPPP, UL40/R2, RAB4A, RAP1GAP, RBBP8/CtIP, RCC1, RPS6KB1/S6K1, KHDRBS1/SAM68, ESPL1, SKI, BIRC5/survivin, STIP1, TEX14, beta-tubulins, MAPT/TAU, NEDD1, VIM/vimentin, TK1, FOXO1, RUNX1/AML1, SAMHD1, SIRT2, CGAS and RUNX2 (PubMed : 16407259, PubMed : 16933150, PubMed : 17459720, PubMed : 18356527, PubMed : 19202191, PubMed : 19509060, PubMed : 19917720, PubMed : 20171170, PubMed : 20935635, PubMed : 20937773, PubMed : 21063390, PubMed : 2188730, PubMed : 23355470, PubMed : 2344612, PubMed : 23601106, PubMed : 23602554, PubMed : 25556658, PubMed : 26829474, PubMed : 27814491, PubMed : 30704899, PubMed : 32351706, PubMed : 34741373). CDK1/CDC2-cyclin-B controls pronuclear union in interphase fertilized eggs (PubMed : 18480403, PubMed : 20360007). Essential for early stages of embryonic development (PubMed : 18480403, PubMed : 20360007). During G2 and early mitosis, CDC25A/B/C-mediated dephosphorylation activates CDK1/cyclin complexes which phosphorylate several substrates that trigger at least centrosome separation, Golgi dynamics, nuclear envelope breakdown and chromosome condensation (PubMed : 18480403, PubMed : 20360007, PubMed : 2188730, PubMed : 2344612, PubMed : 30139873). Once chromosomes are condensed and aligned at the metaphase plate, CDK1 activity is switched off by WEE1- and PKMYT1-mediated phosphorylation to allow sister chromatid separation, chromosome decondensation, reformation of the nuclear envelope and cytokinesis (PubMed : 18480403, PubMed : 20360007). Phosphorylates KRT5 during prometaphase and metaphase (By similarity). Inactivated by PKR/EIF2AK2- and WEE1-mediated phosphorylation upon DNA damage to stop cell cycle and genome replication at the G2 checkpoint thus facilitating DNA repair (PubMed : 20360007). Reactivated after successful DNA repair through WIP1-dependent signaling leading to CDC25A/B/C-mediated dephosphorylation and restoring cell cycle progression (PubMed : 20395957). Catalyzes lamin (LMNA, LMNB1 and LMNB2) phosphorylation at the onset of mitosis, promoting nuclear envelope breakdown (PubMed : 2188730, PubMed : 2344612, PubMed : 37788673). In proliferating cells, CDK1-mediated FOXO1 phosphorylation at the G2-M phase represses FOXO1 interaction with 14-3-3 proteins and thereby promotes FOXO1 nuclear accumulation and transcription factor activity, leading to cell death of postmitotic neurons (PubMed : 18356527). The phosphorylation of beta-tubulins regulates microtubule dynamics during mitosis (PubMed : 16371510). NEDD1 phosphorylation promotes PLK1-mediated NEDD1 phosphorylation and subsequent targeting of the gamma-tubulin ring complex (gTuRC) to the centrosome, an important step for spindle formation (PubMed : 19509060). In addition, CC2D1A phosphorylation regulates CC2D1A spindle pole localization and association with SCC1/RAD21 and centriole cohesion during mitosis (PubMed : 20171170). The phosphorylation of Bcl-xL/BCL2L1 after prolongated G2 arrest upon DNA damage triggers apoptosis (PubMed : 19917720). In contrast, CASP8 phosphorylation during mitosis prevents its activation by proteolysis and subsequent apoptosis (PubMed : 20937773). This phosphorylation occurs in cancer cell lines, as well as in primary breast tissues and lymphocytes (PubMed : 20937773). EZH2 phosphorylation promotes H3K27me3 maintenance and epigenetic gene silencing (PubMed : 20935635). CALD1 phosphorylation promotes Schwann cell migration during peripheral nerve regeneration (By similarity). CDK1-cyclin-B complex phosphorylates NCKAP5L and mediates its dissociation from centrosomes during mitosis (PubMed : 26549230). Regulates the amplitude of the cyclic expression of the core clock gene BMAL1 by phosphorylating its transcriptional repressor NR1D1, and this phosphorylation is necessary for SCF(FBXW7)-mediated ubiquitination and proteasomal degradation of NR1D1 (PubMed : 27238018). Phosphorylates EML3 at 'Thr-881' which is essential for its interaction with HAUS augmin-like complex and TUBG1 (PubMed : 30723163). Phosphorylates CGAS during mitosis, leading to its inhibition, thereby preventing CGAS activation by self DNA during mitosis (PubMed : 32351706). Phosphorylates SKA3 on multiple sites during mitosis which promotes SKA3 binding to the NDC80 complex and anchoring of the SKA complex to kinetochores, to enable stable attachment of mitotic spindle microtubules to kinetochores (PubMed : 28479321, PubMed : 31804178, PubMed : 32491969).. (Microbial infection) Acts as a receptor for hepatitis C virus (HCV) in hepatocytes and facilitates its cell entry.
See full target information CDK1 phospho Y15

文献 (16)

Recent publications for all applications. Explore the full list and refine your search

Molecular and cellular biology 43:631-649 PubMed38014992

2023

A PTP1B-Cdk3 Signaling Axis Promotes Cell Cycle Progression of Human Glioblastoma Cells through an Rb-E2F Dependent Pathway.

Applications

Unspecified application

Species

Unspecified reactive species

Olga Villamar-Cruz,Marco Antonio Loza-Mejía,Alonso Vivar-Sierra,Héctor Iván Saldivar-Cerón,Genaro Patiño-López,Jonadab Efraín Olguín,Luis Ignacio Terrazas,Leonel Armas-López,Federico Ávila-Moreno,Sayanti Saha,Jonathan Chernoff,Ignacio Camacho-Arroyo,Luis Enrique Arias-Romero

Oncogenesis 9:88 PubMed33028815

2020

Overexpression of Cyclin E1 or Cdc25A leads to replication stress, mitotic aberrancies, and increased sensitivity to replication checkpoint inhibitors.

Applications

Unspecified application

Species

Unspecified reactive species

Yannick P Kok,Sergi Guerrero Llobet,Pepijn M Schoonen,Marieke Everts,Arkajyoti Bhattacharya,Rudolf S N Fehrmann,Nathalie van den Tempel,Marcel A T M van Vugt

Cell reports 32:107858 PubMed32640224

2020

Cyclin N-Terminal Domain-Containing-1 Coordinates Meiotic Crossover Formation with Cell-Cycle Progression in a Cyclin-Independent Manner.

Applications

Unspecified application

Species

Unspecified reactive species

Stephen Gray,Emerson R Santiago,Joshua S Chappie,Paula E Cohen

Clinical cancer research : an official journal of the American Association for Cancer Research 26:1667-1677 PubMed31806643

2019

Identification of Therapeutic Vulnerabilities in Small-cell Neuroendocrine Prostate Cancer.

Applications

Unspecified application

Species

Unspecified reactive species

Alexandra N Corella,Ma Victoria Andrea Cabiliza Ordonio,Ilsa Coleman,Jared M Lucas,Arja Kaipainen,Holly M Nguyen,Daniel Sondheim,Lisha G Brown,Lawrence D True,John K Lee,David MacPherson,Paul Nghiem,Roman Gulati,Colm Morrissey,Eva Corey,Peter S Nelson

Cell reports 28:2345-2357.e5 PubMed31461651

2019

Modeling of Cisplatin-Induced Signaling Dynamics in Triple-Negative Breast Cancer Cells Reveals Mediators of Sensitivity.

Applications

Unspecified application

Species

Unspecified reactive species

Anne Margriet Heijink,Marieke Everts,Megan E Honeywell,Ryan Richards,Yannick P Kok,Elisabeth G E de Vries,Michael J Lee,Marcel A T M van Vugt

Scientific reports 9:4594 PubMed30872646

2019

Primary neurons can enter M-phase.

Applications

Unspecified application

Species

Unspecified reactive species

Chaska C Walton,Wei Zhang,Iris Patiño-Parrado,Estíbaliz Barrio-Alonso,Juan-José Garrido,José M Frade

Cells 8: PubMed30754676

2019

C/EBPβ Is a Transcriptional Regulator of Wee1 at the G₂/M Phase of the Cell Cycle.

Applications

Unspecified application

Species

Unspecified reactive species

Ji Hae Lee,Jee Young Sung,Eun Kyung Choi,Hyun-Kyoung Yoon,Bo Ram Kang,Eun Kyung Hong,Byung-Kiu Park,Yong-Nyun Kim,Seung Bae Rho,Kyungsil Yoon

Molecular medicine reports 17:5095-5101 PubMed29363721

2018

Paeoniflorin induces G2/M cell cycle arrest and caspase-dependent apoptosis through the upregulation of Bcl-2 X-associated protein and downregulation of B-cell lymphoma 2 in human osteosarcoma cells.

Applications

Unspecified application

Species

Unspecified reactive species

Li-Bin Jin,Jian Zhu,Cheng-Zhen Liang,Li-Jiang Tao,Bing Liu,Wei Yu,Han Hui Zou,Jun-Jie Wang,Huimin Tao

Cellular physiology and biochemistry : internation 44:423-435 PubMed29141245

2017

Roscovitine, a CDK5 Inhibitor, Alleviates Sevoflurane-Induced Cognitive Dysfunction via Regulation Tau/GSK3β and ERK/PPARγ/CREB Signaling.

Applications

Unspecified application

Species

Unspecified reactive species

Jianhui Liu,Junjun Yang,Yinhua Xu,Gang Guo,Li Cai,Heng Wu,Yanhong Zhao,Xiaoqing Zhang

PloS one 11:e0162633 PubMed27611665

2016

Cell Division Cycle 6 Promotes Mitotic Slippage and Contributes to Drug Resistance in Paclitaxel-Treated Cancer Cells.

Applications

WB

Species

Human

Yue He,Daoyu Yan,Dianpeng Zheng,Zhiming Hu,Hongwei Li,Jinlong Li
View all publications

Abcam product promise

当社は、高品質な試薬を通じてお客様の研究を力強くサポートすることをお約束いたします。ご使用いただく各段階で、常にお客様をサポートできる体制を整えております。万が一、製品が期待通りに機能しない場合は、「Abcam Product Promise」による当社保証制度に基づき、安心してご利用いただけます。
保証に関する詳細については利用規約をご確認ください。

Please note: All products are 'FOR RESEARCH USE ONLY. NOT FOR USE IN DIAGNOSTIC OR THERAPEUTIC PROCEDURES'.

For licensing inquiries, please contact partnerships@abcam.com