JavaScript is disabled in your browser. Please enable JavaScript to view this website.
AB32444

Anti-Cdc25C 抗体 [E302]

Anti-Cdc25C antibody [E302]

4

(3 Reviews)

|

(30 Publications)

Rabbit Recombinant Monoclonal Cdc25C antibody. Suitable for IP, WB, ICC/IF, Flow Cyt (Intra), IHC-P and reacts with Human samples. Cited in 30 publications.

別名を表示する

M-phase inducer phosphatase 3, Dual specificity phosphatase Cdc25C, CDC25C

11 Images
Immunocytochemistry/ Immunofluorescence - Anti-Cdc25C antibody [E302] (AB32444)
  • ICC/IF

Unknown

Immunocytochemistry/ Immunofluorescence - Anti-Cdc25C antibody [E302] (AB32444)

Immunocytochemistry/Immunofluorescence analysis of HeLa (human cervix adenocarcinoma) cells labelling Cdc25C with purified ab32444 at 1/400. Cells were fixed with 4% Paraformaldehyde and permeabilized with 0.1% Triton X-100. ab150077, Alexa Fluor® 488-conjugated goat anti-rabbit IgG (1/1000) was used as the secondary antibody. The cells were co-stained with ab7291, a mouse anti-tubulin antibody (1/1000) using ab150120, an Alexa Fluor® 594-conjugated goat anti-mouse IgG (1/1000) as the secondary. Nuclei couterstained with DAPI (blue).

For negative control 1, rabbit primary antibody was used, followed by anti-mouse secondary antibody (ab150120). For negative control 2, mouse primary antibody (ab7291) was used followed by anti-rabbit secondary antibody (ab150077).

Flow Cytometry (Intracellular) - Anti-Cdc25C antibody [E302] (AB32444)
  • Flow Cyt (Intra)

AbReview31366****

Flow Cytometry (Intracellular) - Anti-Cdc25C antibody [E302] (AB32444)

Intracellular Flow Cytometry analysis of HeLa cells, staining Cdc25C with unpurified ab32444. Cells were fixed with formaldehyde and permeabilized with 90% methanol. Samples were incubated with primary antibody (1/20 in PBS + 10% goat serum) for 1 hour at 23°C. A FITC-conjugated goat anti-rabbit polyclonal IgG (1/1000) was used as the secondary antibody.

This image is courtesy of an Abreview submitted by Brandon White.

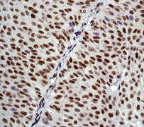
Immunohistochemistry (Formalin/PFA-fixed paraffin-embedded sections) - Anti-Cdc25C antibody [E302] (AB32444)
  • IHC-P

Unknown

Immunohistochemistry (Formalin/PFA-fixed paraffin-embedded sections) - Anti-Cdc25C antibody [E302] (AB32444)

Immunohistochemical analysis of paraffin-embedded human urinary bladder carcinoma unpurified ab32444 at 1/250 dilution.

Immunohistochemistry (Formalin/PFA-fixed paraffin-embedded sections) - Anti-Cdc25C antibody [E302] (AB32444)
  • IHC-P

Unknown

Immunohistochemistry (Formalin/PFA-fixed paraffin-embedded sections) - Anti-Cdc25C antibody [E302] (AB32444)

Immunohistochemical analysis of paraffin embedded human pancreas tissue section labelling Cdc25C with purified ab32444 at dilution of 1/2500. The secondary antibody used was Goat Anti-Rabbit IgG H&L (HRP) (ab97051), at dilution of 1/500. The sample was counter-stained with hematoxylin. Antigen retrieval was perfomed using Tris-EDTA buffer, pH 9.0. PBS was used instead of the primary antibody as the negative control and is shown in the inset.

Flow Cytometry (Intracellular) - Anti-Cdc25C antibody [E302] (AB32444)
  • Flow Cyt (Intra)

Unknown

Flow Cytometry (Intracellular) - Anti-Cdc25C antibody [E302] (AB32444)

Intracellular Flow Cytometry analysis of K562 (human chronic myelogenous leukemia) cells labelling Cdc25C with purified ab32444 at 1/180 (red). Cells were fixed with 4% paraformaldehyde. Alexa Fluorr® 488-conjugated goat anti-rabbit IgG (1/500) was used as the secondary antibody. Black - Isotype control, rabbit monoclonal IgG. Blue - Unlabelled control, cells without incubation with primary and secondary antibodies.

Immunoprecipitation - Anti-Cdc25C antibody [E302] (AB32444)
  • IP

Unknown

Immunoprecipitation - Anti-Cdc25C antibody [E302] (AB32444)

ab32444 (purified) at 1/30 immunoprecipitating Cdc25C in HeLa (human cervix adenocarcinoma) whole cell lysate.

Lane 1 (input) : HeLa (human cervix adenocarcinoma) whole cell lysate

Lane 2 (+) : ab32444 + HeLa (human cervix adenocarcinoma) whole cell lysate

Lane 3 (-) : Rabbit monoclonal IgG (ab172730) instead of ab32444 in HeLa (human cervix adenocarcinoma) whole cell lysate

For western blotting, ab131366 VeriBlot for IP Detection Reagent (HRP) was used for detection (1/10000).

Blocking buffer and concentration : 5% NFDM/TBST.

Diluting buffer and concentration : 5% NFDM /TBST.

All lanes:

Immunoprecipitation - Anti-Cdc25C antibody [E302] (ab32444)

Predicted band size: 53 kDa

Observed band size: 60 kDa

false

Western blot - Anti-Cdc25C antibody [E302] (AB32444)
  • WB

Unknown

Western blot - Anti-Cdc25C antibody [E302] (AB32444)

Blocking and diluting buffer 5% NFDM/TBST

All lanes:

Western blot - Anti-Cdc25C antibody [E302] (ab32444) at 1/1000 dilution

All lanes:

HeLa (human cervix adenocarcinoma) whole cell lysate at 20 µg

Secondary

All lanes:

Western blot - Goat Anti-Rabbit IgG H&L (HRP) (<a href='/products/secondary-antibodies/goat-rabbit-igg-h-l-hrp-ab97051'>ab97051</a>) at 1/20000 dilution

Predicted band size: 53 kDa

Observed band size: 60 kDa

false

Western blot - Anti-Cdc25C antibody [E302] (AB32444)
  • WB

Lab

Western blot - Anti-Cdc25C antibody [E302] (AB32444)

Lane 1 : Wild-type HAP1 cell lysate (20 μg)
Lane 2 : Cdc25C knockout HAP1 cell lysate (20 μg)
Lane 3 : HeLa cell lysate (20 μg)
Lane 4 : Hu bladder cell lysate (20 μg)
Lanes 1 - 4 : Merged signal (red and green). Green - ab32444 observed at 55 kDa. Red - loading control, ab8245, observed at 37 kDa.

ab32444 was shown to recognize Cdc25C when Cdc25C knockout samples were used, along with additional cross-reactive bands. Wild-type and Cdc25C knockout samples were subjected to SDS-PAGE. ab32444 and ab8245 (loading control to GAPDH) were diluted at 1/2500 and 1/10 000 respectively and incubated overnight at 4°C. Blots were developed with Goat anti-Rabbit IgG H&L (IRDye® 800CW) preadsorbed (ab216773) and Goat anti-Mouse IgG H&L (IRDye® 680RD) preadsorbed (ab216776) secondary antibodies at 1/10000 dilution for 1 h at room temperature before imaging.

All lanes:

Western blot - Anti-Cdc25C antibody [E302] (ab32444)

Predicted band size: 53 kDa

false

Western blot - Anti-Cdc25C antibody [E302] (AB32444)
  • WB

Lab

Western blot - Anti-Cdc25C antibody [E302] (AB32444)

Lanes 1- 2 : Merged signal (red and green). Green - ab32444 observed at 58 kDa. Red - Anti-GAPDH antibody [6C5] - Loading Control (ab8245) observed at 37 kDa.

ab32444 was shown to react with Cdc25C in wild-type HeLa cells in western blot. Loss of signal was observed when knockout cell line ab265189 (knockout cell lysate ab257387) was used. Wild-type HeLa and CDC25C knockout HeLa cell lysates were subjected to SDS-PAGE. Membrane was blocked for 1 hour at room temperature in 0.1% TBST with 3% non-fat dried milk. ab32444 and Anti-GAPDH antibody [6C5] - Loading Control (ab8245) were incubated overnight at 4°C at a 1 in 1000 dilution and a 1 in 20000 dilution respectively. Blots were developed with Goat anti-Rabbit IgG H&L (IRDye®800CW) preadsorbed (ab216773) and Goat anti-Mouse IgG H&L (IRDye®680RD) preadsorbed (ab216776) secondary antibodies at 1 in 20000 dilution for 1 hour at room temperature before imaging.

All lanes:

Western blot - Anti-Cdc25C antibody [E302] (ab32444) at 1/1000 dilution

Lane 1:

Wild-type HeLa cell lysate at 20 µg

Lane 2:

CDC25C knockout HeLa cell lysate at 20 µg

Lane 2:

Western blot - Human CDC25C knockout HeLa cell line (<a href='/products/cell-lines/human-cdc25c-knockout-hela-cell-line-ab265189'>ab265189</a>)

Predicted band size: 53 kDa

Observed band size: 58 kDa

false

Western blot - Anti-Cdc25C antibody [E302] (AB32444)
  • WB

Unknown

Western blot - Anti-Cdc25C antibody [E302] (AB32444)

All lanes:

Western blot - Anti-Cdc25C antibody [E302] (ab32444) at 1/5000 dilution

All lanes:

HeLa cell lysate

Predicted band size: 53 kDa

Observed band size: 60 kDa

false

Western blot - Anti-Cdc25C antibody [E302] (AB32444)
  • WB

Unknown

Western blot - Anti-Cdc25C antibody [E302] (AB32444)

Blocking and diluting buffer 5% NFDM/TBST

All lanes:

Western blot - Anti-Cdc25C antibody [E302] (ab32444) at 1/5000 dilution

Lane 1:

K562 (human chronic myelogenous leukemia) whole cell lysate at 20 µg

Lane 2:

HEK293 (human embryonic kidney) whole cell lysates at 20 µg

Secondary

All lanes:

Western blot - Goat Anti-Rabbit IgG H&L (HRP) (<a href='/products/secondary-antibodies/goat-rabbit-igg-h-l-hrp-ab97051'>ab97051</a>) at 1/20000 dilution

Predicted band size: 53 kDa

Observed band size: 60 kDa

false

関連する標識済み抗体及び組成の異なる製品 (3)

Key facts

宿主種

Rabbit

クローン性

Monoclonal

クローン番号

E302

アイソタイプ

IgG

キャリアフリー

No

交差種

Human

アプリケーション

IP, ICC/IF, IHC-P, WB, Flow Cyt (Intra)

applications

免疫原

The exact immunogen used to generate this antibody is proprietary information.

特異性

The antibody can also detect splice isoform 2, 4 and 5 of human Cdc25C, based on sequence homology.

Reactivity data

{ "title": "Reactivity Data", "filters": { "stats": ["", "Species", "Dilution Info", "Notes"], "tabs": { "all-applications": {"fullname" : "All Applications", "shortname": "All Applications"}, "IP" : {"fullname" : "Immunoprecipitation", "shortname":"IP"}, "WB" : {"fullname" : "Western blot", "shortname":"WB"}, "ICCIF" : {"fullname" : "Immunocytochemistry/ Immunofluorescence", "shortname":"ICC/IF"}, "FlowCytIntra" : {"fullname" : "Flow Cytometry (Intracellular)", "shortname":"Flow Cyt (Intra)"}, "IHCP" : {"fullname" : "Immunohistochemistry (Formalin/PFA-fixed paraffin-embedded sections)", "shortname":"IHC-P"} }, "product-promise": { "all": "all", "testedAndGuaranteed": "tested", "guaranteed": "expected", "predicted": "predicted", "notRecommended": "not-recommended" } }, "values": { "Human": { "IP-species-checked": "testedAndGuaranteed", "IP-species-dilution-info": "1/30 - 1/80", "IP-species-notes": "<p></p>", "WB-species-checked": "testedAndGuaranteed", "WB-species-dilution-info": "1/1000 - 1/5000", "WB-species-notes": "<p></p>", "ICCIF-species-checked": "testedAndGuaranteed", "ICCIF-species-dilution-info": "1/250 - 1/500", "ICCIF-species-notes": "<p></p>", "FlowCytIntra-species-checked": "testedAndGuaranteed", "FlowCytIntra-species-dilution-info": "", "FlowCytIntra-species-notes": "<p></p>", "IHCP-species-checked": "testedAndGuaranteed", "IHCP-species-dilution-info": "1/2500", "IHCP-species-notes": "<p><strong>For unpurified, use 1/250 - 1/500.</strong></p>" } } }

製品の詳細

Species reactivity
Mouse, Rat: We have preliminary internal testing data to indicate this antibody may not react with these species.
Please contact us for more information.

Patented technology
Our RabMAb® technology is a patented hybridoma-based technology for making rabbit monoclonal antibodies. For details on our patents, please refer to RabMAb® patents.

What are the advantages of a recombinant monoclonal antibody?
This product is a recombinant monoclonal antibody, which offers several advantages including:

  • - High batch-to-batch consistency and reproducibility
  • - Improved sensitivity and specificity
  • - Long-term security of supply
  • - Animal-free batch production

For more information, read more on recombinant antibodies.

出荷温度及び保存条件

製品の状態
Liquid
精製方法
Affinity purification Protein A
バッファー組成
pH: 7.2 - 7.4 Preservative: 0.01% Sodium azide Constituents: PBS, 40% Glycerol (glycerin, glycerine), 0.05% BSA
出荷温度
Blue Ice
短期保存期間
1-2 weeks
短期保存温度
+4°C
長期保存温度
-20°C
分注に関する情報
Upon delivery aliquot
保管に関する情報
Avoid freeze / thaw cycle

補足情報

This supplementary information is collated from multiple sources and compiled automatically.

Cdc25C also known as dual specificity phosphatase Cdc25C is a 65-kDa protein that acts as a cell cycle regulator controlling the transition from the G2 to M phase. The protein is expressed in various tissues but has higher expression levels in actively dividing cells. Cdc25C is important for cell division due to its ability to activate cyclin-dependent kinases (CDKs) by dephosphorylating the inactive phosphorylated forms. This action makes Cdc25C an important target for regulating the cell cycle and ensuring proper cell proliferation.
Biological function summary

The proper function of Cdc25C involves facilitating proper cell cycle progression by coordinating with other cell cycle regulators. It participates in a complex network where it dephosphorylates and activates CDK1/cyclin B1 complexes promoting the mitotic entry. This function is important for maintaining genomic stability during cell division. Misregulation of Cdc25C can lead to cell cycle arrest or uncontrolled cell proliferation highlighting its essential role in cell cycle control mechanisms.

Pathways

Cdc25C fits into the cell cycle checkpoint pathways and is also a part of the DNA damage response pathways. It connects with the p53 and ATM/ATR signaling proteins while responding to DNA damage ensuring a temporary pause in cell cycle progression for repair mechanisms to act. Proper interaction with these pathways is essential for maintaining cellular integrity and preventing the proliferation of damaged cells with CDK1 and Wee1 kinase serving as major interacting proteins in these processes.

Misregulation or overexpression of Cdc25C can relate to cancer and various cell proliferation disorders. In cancer Cdc25C's disordered expression often links to unchecked cell division and tumor progression commonly involving proteins such as p53 which act as tumor suppressors. Furthermore abnormalities in Cdc25C function may lead to issues related to cell cycle progression errors implicating it in other proliferative disorders such as hyperplasia where it acts in conjunction with and alters the activities of proteins like cyclin B1.

製品プロトコール

For this product, it's our understanding that no specific protocols are required. You can visit:

ターゲットの情報

Functions as a dosage-dependent inducer in mitotic control. Tyrosine protein phosphatase required for progression of the cell cycle (PubMed : 8119945). When phosphorylated, highly effective in activating G2 cells into prophase (PubMed : 8119945). Directly dephosphorylates CDK1 and activates its kinase activity (PubMed : 8119945).
See full target information CDC25C

文献 (30)

Recent publications for all applications. Explore the full list and refine your search

Cancer cell international 25:100 PubMed40098146

2025

Broussoflavonol B induces S-phase arrest and apoptosis in pancreatic cancer cells by modulating the cell cycle checkpoint through inhibition of the AURKA/PLK1 pathway.

Applications

Unspecified application

Species

Unspecified reactive species

HyokChol Choe,Zhen Wang,Jianhua Huang,Yutong Yang,Zhihao Zhao,HyonSu Jo,HyonU Pak,Tanveer Ali,Kaiyue Ding,Junnan Ma,Lingzhi Li,Dong Shang,Lin Zhang

Frontiers in pharmacology 14:1121799 PubMed37007025

2023

inhibits cancer cells growth by inducing G2/M arrest.

Applications

Unspecified application

Species

Unspecified reactive species

Jing Li,Hsi-Yuan Huang,Yang-Chi-Dung Lin,Huali Zuo,Yun Tang,Hsien-Da Huang

Bioengineered 13:13089-13107 PubMed35615982

2022

CDC25C is a prognostic biomarker and correlated with mitochondrial homeostasis in pancreatic adenocarcinoma.

Applications

Unspecified application

Species

Unspecified reactive species

Chaoting Zhou,Luyang Wang,Wanye Hu,Lusheng Tang,Ping Zhang,Yan Gao,Jing Du,Yanchun Li,Ying Wang

Journal of translational medicine 19:396 PubMed34544426

2021

CYT387, a potent IKBKE inhibitor, suppresses human glioblastoma progression by activating the Hippo pathway.

Applications

Unspecified application

Species

Unspecified reactive species

Xin Wang,Jie Lu,Jing Li,Yang Liu,Gaochao Guo,Qiang Huang

Molecular medicine reports 24: PubMed33907850

2021

The natural product lapiferin inhibits cell proliferation and promotes cell apoptosis in gingival squamous cell carcinoma via P21 regulation.

Applications

Unspecified application

Species

Unspecified reactive species

Lin Liu,Cheng Peng,Yan Ruan,Qian Zhang

Frontiers in cell and developmental biology 9:606106 PubMed33816462

2021

Identification of Biomarkers Related to CD8 T Cell Infiltration With Gene Co-expression Network in Lung Squamous Cell Carcinoma.

Applications

Unspecified application

Species

Unspecified reactive species

Min Tang,Yukun Li,Xianyu Luo,Jiao Xiao,Juan Wang,Xin Zeng,Qihao Hu,Xiaoyan Chen,Si-Jie Tan,Jun Hu

Oncology letters 21:323 PubMed33692855

2021

NCAPG upregulation mediated by four microRNAs combined with activation of the p53 signaling pathway is a predictor of poor prognosis in patients with breast cancer.

Applications

Unspecified application

Species

Unspecified reactive species

Menglu Dong,Tao Xu,Xiaoqing Cui,Hanning Li,Xingrui Li,Wenfei Xia

Oncology reports 44:2152-2164 PubMed32901871

2020

Checkpoint kinase‑1 inhibition and etoposide exhibit a strong synergistic anticancer effect on chronic myeloid leukemia cell line K562 by impairing homologous recombination DNA damage repair.

Applications

Unspecified application

Species

Unspecified reactive species

Zhuoyi Fan,Huacheng Luo,Jie Zhou,Fangce Wang,Wenjun Zhang,Jian Wang,Shuo Li,Qian Lai,Yueshuang Xu,Guangming Wang,Aibin Liang,Jun Xu

International journal of genomics 2020:3750673 PubMed32509843

2020

Mining the Prognostic Value of HNRNPAB and Its Function in Breast Carcinoma.

Applications

Unspecified application

Species

Unspecified reactive species

Yun Cao,Wei Zhang,Yi-Ting Jin,Qiang Zou

International journal of molecular medicine 45:1661-1672 PubMed32236619

2020

CDK5 inhibition in vitro and in vivo induces cell death in myeloma and overcomes the obstacle of bortezomib resistance.

Applications

Unspecified application

Species

Unspecified reactive species

Hailong Tang,Li Xu,Xi Cen,Li Yang,Juan Feng,Guang Li,Huafeng Zhu,Shan Gao,Yan Yu,Yaping Zhao,Zhiqiang Tian,Liping Hou,Shuchun Yu,Guangxun Gao
View all publications

Abcam product promise

当社は、高品質な試薬を通じてお客様の研究を力強くサポートすることをお約束いたします。ご使用いただく各段階で、常にお客様をサポートできる体制を整えております。万が一、製品が期待通りに機能しない場合は、「Abcam Product Promise」による当社保証制度に基づき、安心してご利用いただけます。
保証に関する詳細については利用規約をご確認ください。

Please note: All products are 'FOR RESEARCH USE ONLY. NOT FOR USE IN DIAGNOSTIC OR THERAPEUTIC PROCEDURES'.

For licensing inquiries, please contact partnerships@abcam.com