JavaScript is disabled in your browser. Please enable JavaScript to view this website.
AB236271

Anti-CD86 抗体 [C86/2160R] - BSA and Azide free

Anti-CD86 antibody [C86/2160R] - BSA and Azide free

0

(1 Review)

|

(0 Publication)

Rabbit Recombinant Monoclonal CD86 antibody. Carrier free. Suitable for IHC-P and reacts with Human samples. Immunogen corresponding to Recombinant Full Length Protein corresponding to Human CD86.

別名を表示する

CD86, CD28LG2, T-lymphocyte activation antigen CD86, Activation B7-2 antigen, B70, BU63, CTLA-4 counter-receptor B7.2, FUN-1

1 Images
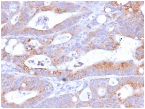
Immunohistochemistry (Formalin/PFA-fixed paraffin-embedded sections) - Anti-CD86 antibody [C86/2160R] - BSA and Azide free (AB236271)
  • IHC-P

Supplier Data

Immunohistochemistry (Formalin/PFA-fixed paraffin-embedded sections) - Anti-CD86 antibody [C86/2160R] - BSA and Azide free (AB236271)

Formalin-fixed, paraffin-embedded human colon tissue stained for CD86 with ab234401 at 4 μg/ml in immunohistochemical analysis.

This data was developed using the same antibody clone in a different buffer formulation containing PBS, BSA and sodium azide (ab234401).

関連する標識済み抗体及び組成の異なる製品 (1)

Key facts

宿主種

Rabbit

クローン性

Monoclonal

クローン番号

C86/2160R

アイソタイプ

IgG

キャリアフリー

Yes

交差種

Human

アプリケーション

IHC-P

applications

免疫原

Recombinant Full Length Protein corresponding to Human CD86.

P42081

Reactivity data

{ "title": "Reactivity Data", "filters": { "stats": ["", "Species", "Dilution Info", "Notes"], "tabs": { "all-applications": {"fullname" : "All Applications", "shortname": "All Applications"}, "IHCP" : {"fullname" : "Immunohistochemistry (Formalin/PFA-fixed paraffin-embedded sections)", "shortname":"IHC-P"} }, "product-promise": { "all": "all", "testedAndGuaranteed": "tested", "guaranteed": "expected", "predicted": "predicted", "notRecommended": "not-recommended" } }, "values": { "Human": { "IHCP-species-checked": "testedAndGuaranteed", "IHCP-species-dilution-info": "2-4 µg/mL", "IHCP-species-notes": "<p>Incubate with primary antibody for 30 minutes at room temperature.</p> Perform heat-mediated antigen retrieval with Tris/EDTA buffer pH 9.0 before commencing with IHC staining protocol." } } }

下記製品にもご興味をお持ちいただけるかもしれません:

AB45921

Human CD86 ELISA Kit

0

0 Reviews

製品ページを見る
こちらの製品も推奨する理由

この製品は、同様の実験や関連する研究で広く使用されていることから推奨させていただいております。

お客様の実験に適するかご確認いただくため、必ず製品データシートをご確認いただくことをお勧めいたします。ご不明点等ございましたら、テクニカルサポートチームまでお問い合わせください。

出荷温度及び保存条件

製品の状態
Liquid
精製方法
Affinity purification Protein A/G
精製に関する特記事項
Purified from bioreactor concentrate by Protein A/G.
バッファー組成
pH: 7.2 - 7.4 Constituents: PBS
出荷温度
Blue Ice
短期保存期間
1-2 weeks
短期保存温度
+4°C
長期保存温度
-20°C
分注に関する情報
Upon delivery aliquot
保管に関する情報
Avoid freeze / thaw cycle

補足情報

This supplementary information is collated from multiple sources and compiled automatically.

CD86 also known as B7-2 is a protein involved in the regulation of the immune response. It has an approximate mass of 70 kDa and is expressed on antigen-presenting cells like dendritic cells monocytes and macrophages. Notably CD86 is present on macrophages including those in tissues such as skin and lymphoid organs. Expressed on these cells CD86 serves as a vital mediator in the co-stimulatory signals necessary for T cell activation and survival.
Biological function summary

CD86 plays a significant role in the immune system by providing secondary signals for T cell activation and differentiation. It is a part of the B7 protein family and forms a complex with CD28 and CTLA-4 on T cells. When CD86 binds to CD28 it sends positive co-stimulatory signals which promote T cell proliferation and cytokine production. On the other hand interaction with CTLA-4 transmits an inhibitory signal which reduces immune response. This dual interaction helps to balance immune activation and tolerance.

Pathways

CD86 takes part in important immune-related signaling pathways particularly the T cell receptor signaling pathway and the PI3K-Akt signaling pathway. Both pathways are fundamental for initiating immune responses. CD86's interaction with CD28 activates downstream signaling cascades including PI3K-Akt which is important for cell survival and growth. Additionally CD86 collaborates with other proteins such as CD80 another co-stimulatory molecule to amplify T cell activation within these pathways.

CD86 is associated with autoimmune diseases and transplant rejection. In autoimmune diseases like rheumatoid arthritis the overexpression or dysregulation of CD86 can lead to excessive T cell activation causing immune system attacks on the body's own tissues. Similarly in transplant rejection CD86 may contribute by enhancing immune response against transplanted organs. The engagement between CD86 and CD28 is a critical factor in these conditions and therapies targeting this interaction are under exploration to mitigate the immune response.

製品プロトコール

For this product, it's our understanding that no specific protocols are required. You can visit:

ターゲットの情報

Receptor involved in the costimulatory signal essential for T-lymphocyte proliferation and interleukin-2 production, by binding CD28 or CTLA-4 (PubMed : 12196291). May play a critical role in the early events of T-cell activation and costimulation of naive T-cells, such as deciding between immunity and anergy that is made by T-cells within 24 hours after activation (PubMed : 7527824). Also involved in the regulation of B cells function, plays a role in regulating the level of IgG(1) produced. Upon CD40 engagement, activates NF-kappa-B signaling pathway via phospholipase C and protein kinase C activation (By similarity).. Isoform 2. Interferes with the formation of CD86 clusters, and thus acts as a negative regulator of T-cell activation.. (Microbial infection) Acts as a receptor for adenovirus subgroup B.
See full target information CD86

Abcam product promise

当社は、高品質な試薬を通じてお客様の研究を力強くサポートすることをお約束いたします。ご使用いただく各段階で、常にお客様をサポートできる体制を整えております。万が一、製品が期待通りに機能しない場合は、「Abcam Product Promise」による当社保証制度に基づき、安心してご利用いただけます。
保証に関する詳細については利用規約をご確認ください。

関連製品

Select an associated product type
Alternative Product
Primary Antibodies

AB213045

Anti-CD86 antibody [C86/1146] - BSA and Azide free

primary-antibodies

cd86-antibody-c86-1146-bsa-and-azide-free-ab213045

0

(0 reviews)

Alternative Product
Primary Antibodies

AB256270

Alexa Fluor® 488 Anti-CD86 antibody [OX48]

primary-antibodies

alexa-fluor-488-cd86-antibody-ox48-ab256270

0

(0 reviews)

Alternative Product
Primary Antibodies

AB256271

Alexa Fluor® 647 Anti-CD86 antibody [OX48]

primary-antibodies

alexa-fluor-647-cd86-antibody-ox48-ab256271

0

(0 reviews)

Alternative Product
Primary Antibodies

AB242020

Anti-CD86 antibody [EPR21962] - BSA and Azide free

primary-antibodies

cd86-antibody-epr21962-bsa-and-azide-free-ab242020

0

(0 reviews)

Alternative Product
Primary Antibodies

AB239075

Anti-CD86 antibody [EPR21962]

primary-antibodies

cd86-antibody-epr21962-ab239075

0

(0 reviews)

Please note: All products are 'FOR RESEARCH USE ONLY. NOT FOR USE IN DIAGNOSTIC OR THERAPEUTIC PROCEDURES'.

For licensing inquiries, please contact partnerships@abcam.com