JavaScript is disabled in your browser. Please enable JavaScript to view this website.
AB238096

Anti-CD79a 抗体 [rIGA/764]

Anti-CD79a antibody [rIGA/764]

Be the first to review this product! Submit a review

|

(2 Publications)

Mouse Recombinant Monoclonal CD79A antibody. Suitable for IHC-P and reacts with Human, Sheep, Mouse, Rat, Cat, Dog, Horse, Pig, Llama, Cow, Goat samples. Cited in 2 publications. Immunogen corresponding to Recombinant Full Length Protein corresponding to Human CD79A.

別名を表示する

CD79a, IGA, MB1, CD79A, B-cell antigen receptor complex-associated protein alpha chain, Ig-alpha, MB-1 membrane glycoprotein, Membrane-bound immunoglobulin-associated protein, Surface IgM-associated protein

2 Images
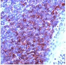
Immunohistochemistry (Formalin/PFA-fixed paraffin-embedded sections) - Anti-CD79a antibody [rIGA/764] (AB238096)
  • IHC-P

Supplier Data

Immunohistochemistry (Formalin/PFA-fixed paraffin-embedded sections) - Anti-CD79a antibody [rIGA/764] (AB238096)

Formalin-fixed, paraffin-embedded human spleen tissue stained for CD79a using ab238096 at 1 μg/ml in immunohistochemical analysis.

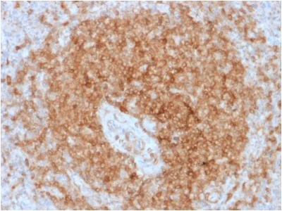
Immunohistochemistry (Formalin/PFA-fixed paraffin-embedded sections) - Anti-CD79a antibody [rIGA/764] (AB238096)
  • IHC-P

Collaborator

Immunohistochemistry (Formalin/PFA-fixed paraffin-embedded sections) - Anti-CD79a antibody [rIGA/764] (AB238096)

The BOND™ Polymer Refine Detection System on the BOND RX Automated Stainer (DS9800, Leica Biosystems, Wetzlar, Germany) was used for immunohistochemical labelling of formalin-fixed, paraffin-embedded (FFPE) tissues. The protocol includes a peroxide block, post-primary reagent, polymer detection, DAB chromogen, and haematoxylin counterstain, all automated to minimize variability. Antigen retrieval was performed by heat-induced epitope retrieval (HIER) for 20 minutes in Tris-EDTA buffer (BOND Epitope Retrieval Solution 2, AR9640, Leica Biosystems, Wetzlar, Germany). For mouse and rabbit antibodies, the sequence comprised peroxide block (10 min), primary antibody incubation (30 min), post-primary (10 min), polymer (10 min), DAB (10 min), and haematoxylin (8 min). For rat antibodies, an anti-rat step (1 : 300 dilution, Vector Laboratories, California, USA; 20 min) was included prior to polymer application (15 min).

For mouse tissues, antigen retrieval was performed using high pH buffers (Dako, Agilent), followed by blocking of endogenous peroxidase activity with 3% hydrogen peroxide. Slides were then incubated with the primary antibody. Antigen/antibody complexes detection was carried out using a horseradish peroxidase-conjugated visualization system (Novolink Polymer, Leica). Staining was developed with 3,3′-diaminobenzidine (EnVision FLEX DAB Enhancer, Dako, Agilent), and nuclei were counterstained with hematoxylin (FLEX Hematoxylin, SM806, Dako, Agilent). Images were acquired using an Axiocam CCD camera (Zeiss) and processed with ZEN 2.1 software and Photoshop 9.0

関連する標識済み抗体及び組成の異なる製品 (1)

  • Carrier free

    Anti-CD79a antibody [rIGA/764] - BSA and Azide free

Key facts

宿主種

Mouse

クローン性

Monoclonal

クローン番号

rIGA/764

アイソタイプ

IgG1

軽鎖のタイプ

kappa

キャリアフリー

No

交差種

Human, Mouse, Rat, Cat, Dog, Horse, Pig, Llama, Cow, Goat, Sheep

アプリケーション

IHC-P

applications

免疫原

Recombinant Full Length Protein corresponding to Human CD79A.

P11912

Reactivity data

{ "title": "Reactivity Data", "filters": { "stats": ["", "Species", "Dilution Info", "Notes"], "tabs": { "all-applications": {"fullname" : "All Applications", "shortname": "All Applications"}, "IHCP" : {"fullname" : "Immunohistochemistry (Formalin/PFA-fixed paraffin-embedded sections)", "shortname":"IHC-P"} }, "product-promise": { "all": "all", "testedAndGuaranteed": "tested", "guaranteed": "expected", "predicted": "predicted", "notRecommended": "not-recommended" } }, "values": { "Human": { "IHCP-species-checked": "testedAndGuaranteed", "IHCP-species-dilution-info": "0.5-1 µg/mL", "IHCP-species-notes": "<p>Primary incubation for 30 minutes at room temperature.</p>" }, "Mouse": { "IHCP-species-checked": "testedAndGuaranteed", "IHCP-species-dilution-info": "1/200", "IHCP-species-notes": "<p></p> Perform heat-mediated antigen retrieval with Tris/EDTA buffer pH 9.0 before commencing with IHC staining protocol." }, "Rat": { "IHCP-species-checked": "testedAndGuaranteed", "IHCP-species-dilution-info": "1/200", "IHCP-species-notes": "<p></p> Perform heat-mediated antigen retrieval with Tris/EDTA buffer pH 9.0 before commencing with IHC staining protocol." }, "Cat": { "IHCP-species-checked": "testedAndGuaranteed", "IHCP-species-dilution-info": "1/200", "IHCP-species-notes": "<p></p> Perform heat-mediated antigen retrieval with Tris/EDTA buffer pH 9.0 before commencing with IHC staining protocol." }, "Cow": { "IHCP-species-checked": "testedAndGuaranteed", "IHCP-species-dilution-info": "1/200", "IHCP-species-notes": "<p></p> Perform heat-mediated antigen retrieval with Tris/EDTA buffer pH 9.0 before commencing with IHC staining protocol." }, "Dog": { "IHCP-species-checked": "testedAndGuaranteed", "IHCP-species-dilution-info": "1/200", "IHCP-species-notes": "<p></p> Perform heat-mediated antigen retrieval with Tris/EDTA buffer pH 9.0 before commencing with IHC staining protocol." }, "Goat": { "IHCP-species-checked": "testedAndGuaranteed", "IHCP-species-dilution-info": "1/200", "IHCP-species-notes": "<p></p> Perform heat-mediated antigen retrieval with Tris/EDTA buffer pH 9.0 before commencing with IHC staining protocol." }, "Horse": { "IHCP-species-checked": "testedAndGuaranteed", "IHCP-species-dilution-info": "1/200", "IHCP-species-notes": "<p></p> Perform heat-mediated antigen retrieval with Tris/EDTA buffer pH 9.0 before commencing with IHC staining protocol." }, "Llama": { "IHCP-species-checked": "testedAndGuaranteed", "IHCP-species-dilution-info": "1/200", "IHCP-species-notes": "<p></p> Perform heat-mediated antigen retrieval with Tris/EDTA buffer pH 9.0 before commencing with IHC staining protocol." }, "Pig": { "IHCP-species-checked": "testedAndGuaranteed", "IHCP-species-dilution-info": "1/200", "IHCP-species-notes": "<p></p> Perform heat-mediated antigen retrieval with Tris/EDTA buffer pH 9.0 before commencing with IHC staining protocol." }, "Sheep": { "IHCP-species-checked": "testedAndGuaranteed", "IHCP-species-dilution-info": "1/200", "IHCP-species-notes": "<p></p> Perform heat-mediated antigen retrieval with Tris/EDTA buffer pH 9.0 before commencing with IHC staining protocol." } } }

出荷温度及び保存条件

製品の状態
Liquid
精製方法
Affinity purification Protein A/G
精製に関する特記事項
Purified from Bioreactor Concentrate by Protein A/G.
バッファー組成
pH: 7.2 - 7.4 Preservative: 0.05% Sodium azide Constituents: PBS, 0.05% BSA
出荷温度
Blue Ice
短期保存期間
1-2 weeks
短期保存温度
+4°C
長期保存温度
-20°C
分注に関する情報
Upon delivery aliquot
保管に関する情報
Avoid freeze / thaw cycle

補足情報

This supplementary information is collated from multiple sources and compiled automatically.

CD79a also known as Ig-alpha or MB-1 is a component of the B cell antigen receptor (BCR) complex. It is a transmembrane protein with a molecular mass of approximately 47 kDa. CD79a is part of a heterodimer with CD79b and is mainly expressed on the surface of B lymphocytes. This protein plays a critical mechanical role in signaling transduction through the BCR by associating with membrane-bound immunoglobulin molecules helping to initiate the immune response upon antigen binding.
Biological function summary

This protein acts as an essential mediator in the immune system. CD79a together with CD79b forms part of the BCR complex critical for B cell development and maturation. The BCR complex activates signaling cascades that influence B cell fate decisions such as proliferation differentiation and apoptosis. By transmitting signals from the BCR CD79a helps regulate these cellular functions necessary for efficient immune defense.

Pathways

CD79a plays a pivotal role in the B cell receptor signaling pathway. This pathway involves signaling molecules such as spleen tyrosine kinase (SYK) and phosphoinositide 3-kinase (PI3K) which are activated upon BCR engagement. CD79a acts in concert with other proteins including CD79b and the IgM receptor facilitating downstream signaling cascades that ensure proper B cell responses. Its role is important for linking extracellular antigen recognition to intracellular signaling events.

CD79a is significant in conditions like B cell lymphomas and certain immunodeficiencies. Abnormal expression or mutations in CD79a are associated with some types of non-Hodgkin lymphoma. The protein's interaction with CD79b is particularly relevant as alterations in these proteins' function or expression can impact B cell development and lead to pathogenesis in lymphoproliferative disorders. Consequently CD79a serves as an important biomarker and potential therapeutic target in these diseases.

製品プロトコール

For this product, it's our understanding that no specific protocols are required. You can visit:

ターゲットの情報

Required in cooperation with CD79B for initiation of the signal transduction cascade activated by binding of antigen to the B-cell antigen receptor complex (BCR) which leads to internalization of the complex, trafficking to late endosomes and antigen presentation. Also required for BCR surface expression and for efficient differentiation of pro- and pre-B-cells. Stimulates SYK autophosphorylation and activation. Binds to BLNK, bringing BLNK into proximity with SYK and allowing SYK to phosphorylate BLNK. Also interacts with and increases activity of some Src-family tyrosine kinases. Represses BCR signaling during development of immature B-cells.
See full target information CD79A

文献 (2)

Recent publications for all applications. Explore the full list and refine your search

MedComm 5:e461 PubMed38222314

2024

Unveiling the impact of tertiary lymphoid structures on immunotherapeutic responses of clear cell renal cell carcinoma.

Applications

Unspecified application

Species

Unspecified reactive species

Wenhao Xu,Jiahe Lu,Xi Tian,Shiqi Ye,Shiyin Wei,Jun Wang,Aihetaimujiang Anwaier,Yuanyuan Qu,Wangrui Liu,Kun Chang,Hailiang Zhang,Dingwei Ye

Oxidative medicine and cellular longevity 2022:3504279 PubMed36062186

2022

Astrocytic IGF-1 and IGF-1R Orchestrate Mitophagy in Traumatic Brain Injury via Exosomal miR-let-7e.

Applications

Unspecified application

Species

Unspecified reactive species

Ren Dabin,Chen Wei,Shu Liang,Cao Ke,Wang Zhihan,Zheng Ping
View all publications

Abcam product promise

当社は、高品質な試薬を通じてお客様の研究を力強くサポートすることをお約束いたします。ご使用いただく各段階で、常にお客様をサポートできる体制を整えております。万が一、製品が期待通りに機能しない場合は、「Abcam Product Promise」による当社保証制度に基づき、安心してご利用いただけます。
保証に関する詳細については利用規約をご確認ください。

Please note: All products are 'FOR RESEARCH USE ONLY. NOT FOR USE IN DIAGNOSTIC OR THERAPEUTIC PROCEDURES'.

For licensing inquiries, please contact partnerships@abcam.com