JavaScript is disabled in your browser. Please enable JavaScript to view this website.
AB27090

Anti-CD79a 抗体, prediluted

Anti-CD79a antibody, prediluted

Be the first to review this product! Submit a review

|

(1 Publication)

Rabbit Polyclonal CD79A antibody. Suitable for IHC-P and reacts with Human samples. Cited in 1 publication.

別名を表示する

CD79a, IGA, MB1, CD79A, B-cell antigen receptor complex-associated protein alpha chain, Ig-alpha, MB-1 membrane glycoprotein, Membrane-bound immunoglobulin-associated protein, Surface IgM-associated protein

1 Images
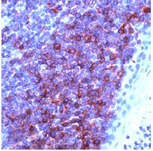
Immunohistochemistry (Formalin/PFA-fixed paraffin-embedded sections) - Anti-CD79a antibody, prediluted (AB27090)
  • IHC-P

Unknown

Immunohistochemistry (Formalin/PFA-fixed paraffin-embedded sections) - Anti-CD79a antibody, prediluted (AB27090)

Human tonsil stained with Anti-CD79a antibody.

Key facts

宿主種

Rabbit

クローン性

Polyclonal

アイソタイプ

IgG

キャリアフリー

No

交差種

Human

アプリケーション

IHC-P

applications

免疫原

The exact immunogen used to generate this antibody is proprietary information.

特異性

We have data to indicate that this antibody may not cross react with Opossum. However, this has not been conclusively tested and expression levels may vary in certain cell lines/tissues.

Reactivity data

{ "title": "Reactivity Data", "filters": { "stats": ["", "Species", "Dilution Info", "Notes"], "tabs": { "all-applications": {"fullname" : "All Applications", "shortname": "All Applications"}, "IHCP" : {"fullname" : "Immunohistochemistry (Formalin/PFA-fixed paraffin-embedded sections)", "shortname":"IHC-P"} }, "product-promise": { "all": "all", "testedAndGuaranteed": "tested", "guaranteed": "expected", "predicted": "predicted", "notRecommended": "not-recommended" } }, "values": { "Human": { "IHCP-species-checked": "testedAndGuaranteed", "IHCP-species-dilution-info": "1/1", "IHCP-species-notes": "<p></p> Perform heat-mediated antigen retrieval via the pressure cooker method before commencing with IHC staining protocol." }, "Mouse": { "IHCP-species-checked": "predicted", "IHCP-species-dilution-info": "", "IHCP-species-notes": "" }, "Rat": { "IHCP-species-checked": "predicted", "IHCP-species-dilution-info": "", "IHCP-species-notes": "" }, "Chicken": { "IHCP-species-checked": "predicted", "IHCP-species-dilution-info": "", "IHCP-species-notes": "" }, "Cow": { "IHCP-species-checked": "predicted", "IHCP-species-dilution-info": "", "IHCP-species-notes": "" }, "Guinea pig": { "IHCP-species-checked": "predicted", "IHCP-species-dilution-info": "", "IHCP-species-notes": "" }, "Horse": { "IHCP-species-checked": "predicted", "IHCP-species-dilution-info": "", "IHCP-species-notes": "" }, "Pig": { "IHCP-species-checked": "predicted", "IHCP-species-dilution-info": "", "IHCP-species-notes": "" }, "Rabbit": { "IHCP-species-checked": "predicted", "IHCP-species-dilution-info": "", "IHCP-species-notes": "" } } }

出荷温度及び保存条件

製品の状態
Liquid
精製方法
Affinity purification Immunogen
バッファー組成
pH: 7.6 Preservative: 0.1% Sodium azide Constituents: Tris buffered saline, 1% BSA
出荷温度
Blue Ice
長期保存温度
+4°C

補足情報

This supplementary information is collated from multiple sources and compiled automatically.

CD79a also known as Ig-alpha or MB-1 is a component of the B cell antigen receptor (BCR) complex. It is a transmembrane protein with a molecular mass of approximately 47 kDa. CD79a is part of a heterodimer with CD79b and is mainly expressed on the surface of B lymphocytes. This protein plays a critical mechanical role in signaling transduction through the BCR by associating with membrane-bound immunoglobulin molecules helping to initiate the immune response upon antigen binding.
Biological function summary

This protein acts as an essential mediator in the immune system. CD79a together with CD79b forms part of the BCR complex critical for B cell development and maturation. The BCR complex activates signaling cascades that influence B cell fate decisions such as proliferation differentiation and apoptosis. By transmitting signals from the BCR CD79a helps regulate these cellular functions necessary for efficient immune defense.

Pathways

CD79a plays a pivotal role in the B cell receptor signaling pathway. This pathway involves signaling molecules such as spleen tyrosine kinase (SYK) and phosphoinositide 3-kinase (PI3K) which are activated upon BCR engagement. CD79a acts in concert with other proteins including CD79b and the IgM receptor facilitating downstream signaling cascades that ensure proper B cell responses. Its role is important for linking extracellular antigen recognition to intracellular signaling events.

CD79a is significant in conditions like B cell lymphomas and certain immunodeficiencies. Abnormal expression or mutations in CD79a are associated with some types of non-Hodgkin lymphoma. The protein's interaction with CD79b is particularly relevant as alterations in these proteins' function or expression can impact B cell development and lead to pathogenesis in lymphoproliferative disorders. Consequently CD79a serves as an important biomarker and potential therapeutic target in these diseases.

製品プロトコール

For this product, it's our understanding that no specific protocols are required. You can visit:

ターゲットの情報

Required in cooperation with CD79B for initiation of the signal transduction cascade activated by binding of antigen to the B-cell antigen receptor complex (BCR) which leads to internalization of the complex, trafficking to late endosomes and antigen presentation. Also required for BCR surface expression and for efficient differentiation of pro- and pre-B-cells. Stimulates SYK autophosphorylation and activation. Binds to BLNK, bringing BLNK into proximity with SYK and allowing SYK to phosphorylate BLNK. Also interacts with and increases activity of some Src-family tyrosine kinases. Represses BCR signaling during development of immature B-cells.
See full target information CD79A

文献 (1)

Recent publications for all applications. Explore the full list and refine your search

Cell 182:85-97.e16 PubMed32579975

2020

Developing Covalent Protein Drugs via Proximity-Enabled Reactive Therapeutics.

Applications

Unspecified application

Species

Unspecified reactive species

Qingke Li,Qu Chen,Paul C Klauser,Mengyuan Li,Feng Zheng,Nanxi Wang,Xiaoying Li,Qianbing Zhang,Xuemei Fu,Qian Wang,Yang Xu,Lei Wang
View all publications

Abcam product promise

当社は、高品質な試薬を通じてお客様の研究を力強くサポートすることをお約束いたします。ご使用いただく各段階で、常にお客様をサポートできる体制を整えております。万が一、製品が期待通りに機能しない場合は、「Abcam Product Promise」による当社保証制度に基づき、安心してご利用いただけます。
保証に関する詳細については利用規約をご確認ください。

Please note: All products are 'FOR RESEARCH USE ONLY. NOT FOR USE IN DIAGNOSTIC OR THERAPEUTIC PROCEDURES'.

For licensing inquiries, please contact partnerships@abcam.com