JavaScript is disabled in your browser. Please enable JavaScript to view this website.
AB303565

Anti-CD68 抗体 [RM1031]

Anti-CD68 antibody [RM1031]

  • BOND RX™ Validated
  • KO Validated
  • RabMAb
  • Recombinant
  • Lab Essentials
  • 20ul selling size
  • 詳細を見る

Be the first to review this product! Submit a review

|

(31 Publications)

Anti-CD68 antibody [RM1031] (ab303565) is a rabbit recombinant multiclonal antibody detecting CD68 in Western Blot, IHC-P, IHC-Fr, ICC/IF. Suitable for Human, Mouse, Rat.

- KO validated for confirmed specificity
- Biophysical QC for unrivalled batch-batch consistency

別名を表示する

CD68, Macrosialin, Gp110

13 Images
Western blot - Anti-CD68 antibody [RM1031] (AB303565)
  • WB

Lab

Western blot - Anti-CD68 antibody [RM1031] (AB303565)

Western blot : Anti-CD68 antibody [RM1031] (ab303565) staining at 1/1000 dilution, shown in green; Mouse anti-GAPDH antibody [6C5] (ab8245) loading control staining at 1/20000 dilution, shown in magenta. In Western blot, ab303565 was shown to bind specifically to CD68. A band was observed at 100 kDa in wild-type RAW 264.7 cell lysates with no signal observed at this size in CD68 knockout cell line. To generate this image, wild-type and CD68 knockout RAW 264.7 cell lysates were analysed. First, samples were run on an SDS-PAGE gel then transferred onto a nitrocellulose membrane. Membranes were blocked in 5% milk in TBS-0.1% Tween® 20 (TBS-T) before incubation with primary antibodies overnight at 4°C. Blots were washed four times in TBS-T, incubated with secondary antibodies for 1 h at room temperature, washed again four times then imaged. Secondary antibodies used were Goat anti-Rabbit IgG H&L 800CW and Goat anti-Mouse IgG H&L 680RD at 1/20000 dilution.

All lanes:

Western blot - Anti-CD68 antibody [RM1031] (ab303565)

Lane 1:

Wild-type RAW 264.7 cell lysate at 20 µg

Lane 2:

CD68 knockout RAW 264.7 cell lysate at 20 µg

Observed band size: 100 kDa

true

Immunohistochemistry - Anti-CD68 antibody [RM1031] (AB303565)
  • IHC

Supplier Data

Immunohistochemistry - Anti-CD68 antibody [RM1031] (AB303565)

Immunohistochemical analysis of paraffin-embedded Human liver tissue labeling CD68 with ab303565 at 1/1000 (0.477 ug/ml) followed by a ready to use LeicaDS9800 (Bond™ Polymer Refine Detection) was used. Positve staining on the Kuffer cells in the human liver. The section was incubated with ab303565 for 30 mins at room temperature.The immunostaining was performed on a Leica Biosystems BOND® RX instrument Counterstained with Hematoxylin. Secondary antibody only control : Secondary antibody is a ready to use LeicaDS9800 (Bond™ Polymer Refine Detection). Heat mediated antigen retrieval was performed with Tris-EDTA buffer (pH 9.0, Epitope Retrieval Solution2) for 20 mins

Immunohistochemistry - Anti-CD68 antibody [RM1031] (AB303565)
  • IHC

Supplier Data

Immunohistochemistry - Anti-CD68 antibody [RM1031] (AB303565)

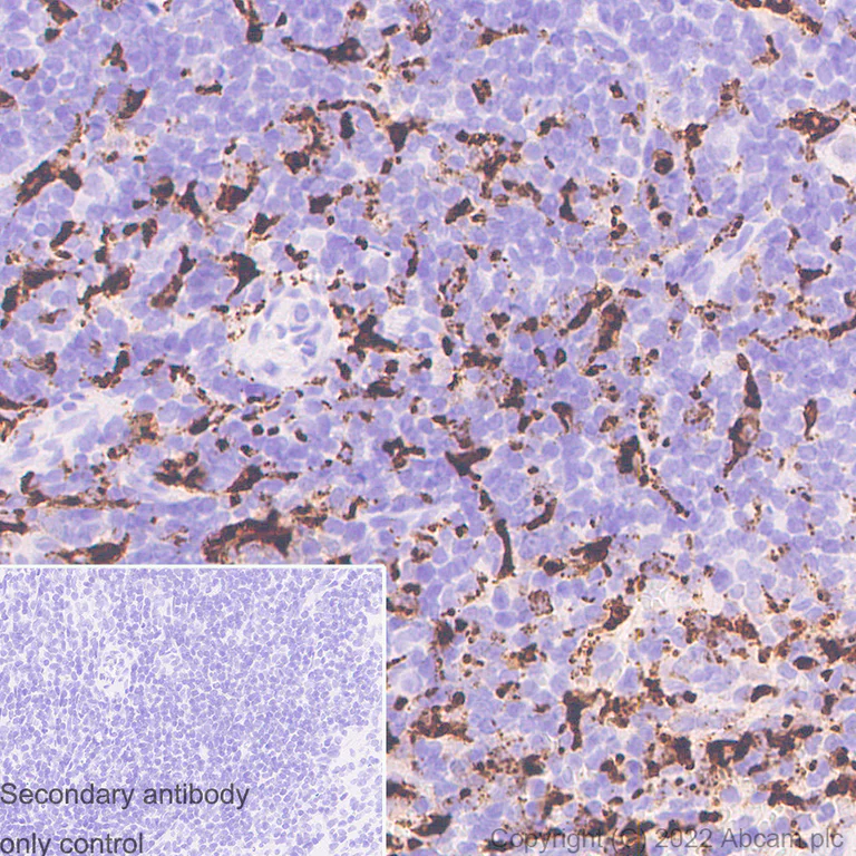
Immunohistochemical analysis of paraffin-embedded Human tonsil tissue labeling CD68 with ab303565 at 1/1000 (0.477 ug/ml) followed by a ready to use LeicaDS9800 (Bond™ Polymer Refine Detection) was used. Positve staining on the macrophages in the human tonsil. The section was incubated with ab303565 for 30 mins at room temperature.The immunostaining was performed on a Leica Biosystems BOND® RX instrument Counterstained with Hematoxylin. Secondary antibody only control : Secondary antibody is a ready to use LeicaDS9800 (Bond™ Polymer Refine Detection). Heat mediated antigen retrieval was performed with Tris-EDTA buffer (pH 9.0, Epitope Retrieval Solution2) for 20 mins

Immunocytochemistry/ Immunofluorescence - Anti-CD68 antibody [RM1031] (AB303565)
  • ICC/IF

Supplier Data

Immunocytochemistry/ Immunofluorescence - Anti-CD68 antibody [RM1031] (AB303565)

Immunofluorescent analysis of 80% Methanol-fixed, 0.1% TritonX-100 permeabilized THP-1 (human monocytic leukemia monocyte) cells labelling CD68 with ab303565 at 1/100 (4.77 ug/ml) dilution, followed by ab150081 Goat Anti-Rabbit IgG H&L (Alexa Fluor® 488) preadsorbed antibody at 1/1000 2 ug/ml dilution (Green). Confocal image showing cytoplasmic staining in THP-1 cell lineNegative control : Jurkat (PMID : 17583472) is observed. ab195889 Anti-alpha Tubulin mouse monoclonal antibody - Microtubule Marker (Alexa Fluor® 594) was used to counterstain tubulin at 1/200 2.5ug/ml dilution (Red). The Nuclear counterstain was DAPI (Blue). Secondary antibody only control : Secondary antibody is ab150081 Goat Anti-Rabbit IgG H&L (Alexa Fluor® 488) preadsorbed at 1/1000 2 ug/ml dilution.

Immunohistochemistry - Anti-CD68 antibody [RM1031] (AB303565)
  • IHC

Supplier Data

Immunohistochemistry - Anti-CD68 antibody [RM1031] (AB303565)

Immunohistochemical analysis of paraffin-embedded Mouse spleen tissue labeling CD68 with ab303565 at 1/1000 (0.477 ug/ml) followed by a ready to use LeicaDS9800 (Bond™ Polymer Refine Detection) was used. Positve staining on the macrophages in the mouse spleen. The section was incubated with ab303565 for 30 mins at room temperature.The immunostaining was performed on a Leica Biosystems BOND® RX instrument Counterstained with Hematoxylin. Secondary antibody only control : Secondary antibody is a ready to use LeicaDS9800 (Bond™ Polymer Refine Detection). Heat mediated antigen retrieval was performed with Tris-EDTA buffer (pH 9.0, Epitope Retrieval Solution2) for 20 mins

Immunohistochemistry (Frozen sections) - Anti-CD68 antibody [RM1031] (AB303565)
  • IHC-Fr

Supplier Data

Immunohistochemistry (Frozen sections) - Anti-CD68 antibody [RM1031] (AB303565)

Immunohistochemical analysis of 4% PFA-fixed, 0.2% Triton X-100 permeabilized frozen Rat spleen (fresh) tissue labeling CD68 with ab303565 at 1/50 (9.54 ug/ml) dilution followed by ab150081 Goat Anti-Rabbit IgG H&L (Alexa Fluor® 488) preadsorbed at 1/1000 2 ug/mL dilution (Green). Confocal image showing positive staining in the red pulp of rat spleen. The nuclear counterstain was DAPI (Blue). The section was incubated with ab303565 for 60mins at room temperature. The section was then mounted using Fluoromount®.The immunostaining was performed on a Leica Biosystems BOND® RX instrument. Image was taken with a confocal microscope (Leica-Microsystems, TCS SP8). is observed. The nuclear counterstain was DAPI (Blue). Secondary antibody control : Secondary antibody is ab150081 Goat Anti-Rabbit IgG H&L (Alexa Fluor® 488) preadsorbed at 1/1000 2 ug/mL dilution.

Immunohistochemistry - Anti-CD68 antibody [RM1031] (AB303565)
  • IHC

Supplier Data

Immunohistochemistry - Anti-CD68 antibody [RM1031] (AB303565)

Immunohistochemical analysis of paraffin-embedded Rat spleen tissue labeling CD68 with ab303565 at 1/1000 (0.477 ug/ml) followed by a ready to use LeicaDS9800 (Bond™ Polymer Refine Detection) was used. Positve staining on the macrophages in the rat spleen. The section was incubated with ab303565 for 30 mins at room temperature.The immunostaining was performed on a Leica Biosystems BOND® RX instrument Counterstained with Hematoxylin. Secondary antibody only control : Secondary antibody is a ready to use LeicaDS9800 (Bond™ Polymer Refine Detection). Heat mediated antigen retrieval was performed with Tris-EDTA buffer (pH 9.0, Epitope Retrieval Solution2) for 20 mins

Immunohistochemistry - Anti-CD68 antibody [RM1031] (AB303565)
  • IHC

Supplier Data

Immunohistochemistry - Anti-CD68 antibody [RM1031] (AB303565)

Immunohistochemical analysis of paraffin-embedded Mouse liver tissue labeling CD68 with ab303565 at 1/1000 (0.477 ug/ml) followed by a ready to use LeicaDS9800 (Bond™ Polymer Refine Detection) was used. Positve staining on the Kuffer cells in the mouse liver. The section was incubated with ab303565 for 30 mins at room temperature.The immunostaining was performed on a Leica Biosystems BOND® RX instrument Counterstained with Hematoxylin. Secondary antibody only control : Secondary antibody is a ready to use LeicaDS9800 (Bond™ Polymer Refine Detection). Heat mediated antigen retrieval was performed with Tris-EDTA buffer (pH 9.0, Epitope Retrieval Solution2) for 20 mins

Immunohistochemistry - Anti-CD68 antibody [RM1031] (AB303565)
  • IHC

Supplier Data

Immunohistochemistry - Anti-CD68 antibody [RM1031] (AB303565)

Immunohistochemical analysis of paraffin-embedded Rat liver tissue labeling CD68 with ab303565 at 1/1000 (0.477 ug/ml) followed by a ready to use LeicaDS9800 (Bond™ Polymer Refine Detection) was used. Positve staining on the Kuffer cells in the rat liver. The section was incubated with ab303565 for 30 mins at room temperature.The immunostaining was performed on a Leica Biosystems BOND® RX instrument Counterstained with Hematoxylin. Secondary antibody only control : Secondary antibody is a ready to use LeicaDS9800 (Bond™ Polymer Refine Detection). Heat mediated antigen retrieval was performed with Tris-EDTA buffer (pH 9.0, Epitope Retrieval Solution2) for 20 mins

Immunohistochemistry (Frozen sections) - Anti-CD68 antibody [RM1031] (AB303565)
  • IHC-Fr

Supplier Data

Immunohistochemistry (Frozen sections) - Anti-CD68 antibody [RM1031] (AB303565)

Immunohistochemical analysis of 100% cold methanol-fixed, 0.2% Triton X-100 permeabilized frozen Mouse spleen (fresh) tissue labeling CD68 with ab303565 at 1/50 (9.54 ug/ml) dilution followed by ab150081 Goat Anti-Rabbit IgG H&L (Alexa Fluor® 488) preadsorbed at 1/1000 2 ug/mL dilution (Green). Confocal image showing positive staining in the red pulp of mouse spleen. The nuclear counterstain was DAPI (Blue). The section was incubated with ab303565 for 60mins at room temperature. The section was then mounted using Fluoromount®.The immunostaining was performed on a Leica Biosystems BOND® RX instrument. Image was taken with a confocal microscope (Leica-Microsystems, TCS SP8). is observed. The nuclear counterstain was DAPI (Blue). Secondary antibody control : Secondary antibody is ab150081 Goat Anti-Rabbit IgG H&L (Alexa Fluor® 488) preadsorbed at 1/1000 2 ug/mL dilution. .

Immunocytochemistry/ Immunofluorescence - Anti-CD68 antibody [RM1031] (AB303565)
  • ICC/IF

Supplier Data

Immunocytochemistry/ Immunofluorescence - Anti-CD68 antibody [RM1031] (AB303565)

Immunofluorescent analysis of 100% methanol-fixed, 0.1% TritonX-100 permeabilized J774A.1 (mouse reticulum cell sarcoma monocyte/macrophage) cells labelling CD68 with ab303565 at 1/100 (4.77 ug/ml) dilution, followed by ab150081 Goat Anti-Rabbit IgG H&L (Alexa Fluor® 488) preadsorbed antibody at 1/1000 2 ug/ml dilution (Green). Confocal image showing cytoplasmic staining in J774A.1 cell line is observed. ab195889 Anti-alpha Tubulin mouse monoclonal antibody - Microtubule Marker (Alexa Fluor® 594) was used to counterstain tubulin at 1/200 2.5ug/ml dilution (Red). The Nuclear counterstain was DAPI (Blue). Secondary antibody only control : Secondary antibody is ab150081 Goat Anti-Rabbit IgG H&L (Alexa Fluor® 488) preadsorbed at 1/1000 2 ug/ml dilution.

Western blot - Anti-CD68 antibody [RM1031] (AB303565)
  • WB

Supplier Data

Western blot - Anti-CD68 antibody [RM1031] (AB303565)

Blocking and diluting buffer and concentration : 5% NFDM/TBST Negative controls : Jurkat, A20. The molecular mass observed is consistent with the literature (PMID : 7680921) Exposure time : 1 min

All lanes:

Western blot - Anti-CD68 antibody [RM1031] (ab303565) at 1/1000 dilution

Lane 1:

Human spleen tissue lysate at 20 µg

Lane 2:

U-87 MG (human glioblastoma-astrocytoma epithelial cell) whole cell lysate at 20 µg

Lane 3:

THP-1 (human monocytic leukemia monocyte) whole cell lysate at 20 µg

Lane 4:

Jurkat (human T cell leukemia T lymphocyte) whole cell lysate at 20 µg

Lane 5:

J774A.1 (mouse reticum cell sarcoma monocyte/macrophage) whole cell lysate at 20 µg

Lane 6:

A20 (mouse reticum sarcoma B lymphocyte) whole cell lysate at 20 µg

Lane 7:

NR8383 (rat alveolar macrophage) whole cell lysate at 20 µg

Secondary

All lanes:

Western blot - Goat Anti-Rabbit IgG H&L (HRP) (<a href='/products/secondary-antibodies/goat-rabbit-igg-h-l-hrp-ab97051'>ab97051</a>) at 1/100000 dilution

Predicted band size: 37 kDa

Observed band size: 110 kDa

false

Exposure time: 1min

Western blot - Anti-CD68 antibody [RM1031] (AB303565)
  • WB

Supplier Data

Western blot - Anti-CD68 antibody [RM1031] (AB303565)

Blocking and diluting buffer and concentration : 5% NFDM /TBST Exposure time : Lane1 : 60 seconds; Lane2 : 5 seconds; Lane3 : 180 seconds; Lane4 : 7 seconds ab303565 works better than ab955 in western blot testing. We suggest optimizing experimental protocols (increasing lysate amount, using lower dilution or higher sensitivity ECL substrate) to improve results when using ab955 in western blot.

Lanes 1 and 3:

Western blot - Anti-CD68 antibody [KP1] (<a href='/products/primary-antibodies/cd68-antibody-kp1-ab955'>ab955</a>) at 1/1000 dilution

Lanes 2 and 4:

Western blot - Anti-CD68 antibody [RM1031] (ab303565) at 1/1000 dilution

Lanes 1 - 2:

Human spleen tissue lysate at 20 µg

Lanes 3 - 4:

THP-1 (Human monocytic leukemia monocyte) whole cell lysate at 20 µg

Secondary

All lanes:

Goat Anti-Rabbit IgG (HRP) with minimal cross-reactivity with human IgG at 1/2000 dilution

Predicted band size: 37 kDa

Observed band size: 110 kDa

false

関連する標識済み抗体及び組成の異なる製品 (1)

  • Carrier free

    Anti-CD68 antibody [RM1031] - BSA and Azide free

Key facts

宿主種

Rabbit

クローン性

Multiclonal

クローン番号

RM1031

アイソタイプ

IgG

キャリアフリー

No

交差種

Human, Mouse, Rat

アプリケーション

ICC/IF, IHC-Fr, IHC-P, WB

applications

免疫原

The exact immunogen used to generate this antibody is proprietary information.

Reactivity data

{ "title": "Reactivity Data", "filters": { "stats": ["", "Species", "Dilution Info", "Notes"], "tabs": { "all-applications": {"fullname" : "All Applications", "shortname": "All Applications"}, "WB" : {"fullname" : "Western blot", "shortname":"WB"}, "IHCP" : {"fullname" : "Immunohistochemistry (Formalin/PFA-fixed paraffin-embedded sections)", "shortname":"IHC-P"}, "IHCFr" : {"fullname" : "Immunohistochemistry (Frozen sections)", "shortname":"IHC-Fr"}, "ICCIF" : {"fullname" : "Immunocytochemistry/ Immunofluorescence", "shortname":"ICC/IF"}, "FlowCytIntra" : {"fullname" : "Flow Cytometry (Intracellular)", "shortname":"Flow Cyt (Intra)"}, "IP" : {"fullname" : "Immunoprecipitation", "shortname":"IP"} }, "product-promise": { "all": "all", "testedAndGuaranteed": "tested", "guaranteed": "expected", "predicted": "predicted", "notRecommended": "not-recommended" } }, "values": { "Human": { "WB-species-checked": "testedAndGuaranteed", "WB-species-dilution-info": "1/1000", "WB-species-notes": "<p></p>", "IHCP-species-checked": "testedAndGuaranteed", "IHCP-species-dilution-info": "1/1000", "IHCP-species-notes": "<p></p> Perform heat-mediated antigen retrieval with Tris/EDTA buffer pH 9.0 before commencing with IHC staining protocol.", "IHCFr-species-checked": "guaranteed", "IHCFr-species-dilution-info": "", "IHCFr-species-notes": "", "ICCIF-species-checked": "testedAndGuaranteed", "ICCIF-species-dilution-info": "1/100", "ICCIF-species-notes": "<p></p>", "FlowCytIntra-species-checked": "notRecommended", "FlowCytIntra-species-dilution-info": "", "FlowCytIntra-species-notes": "<p></p>", "IP-species-checked": "notRecommended", "IP-species-dilution-info": "", "IP-species-notes": "<p></p>" }, "Mouse": { "WB-species-checked": "testedAndGuaranteed", "WB-species-dilution-info": "1/1000", "WB-species-notes": "<p></p>", "IHCP-species-checked": "testedAndGuaranteed", "IHCP-species-dilution-info": "1/1000", "IHCP-species-notes": "<p></p>", "IHCFr-species-checked": "testedAndGuaranteed", "IHCFr-species-dilution-info": "1/50", "IHCFr-species-notes": "<p></p>", "ICCIF-species-checked": "testedAndGuaranteed", "ICCIF-species-dilution-info": "1/100", "ICCIF-species-notes": "<p></p>", "FlowCytIntra-species-checked": "notRecommended", "FlowCytIntra-species-dilution-info": "", "FlowCytIntra-species-notes": "<p></p>", "IP-species-checked": "notRecommended", "IP-species-dilution-info": "", "IP-species-notes": "<p></p>" }, "Rat": { "WB-species-checked": "testedAndGuaranteed", "WB-species-dilution-info": "1/1000", "WB-species-notes": "<p></p>", "IHCP-species-checked": "testedAndGuaranteed", "IHCP-species-dilution-info": "1/1000", "IHCP-species-notes": "<p></p>", "IHCFr-species-checked": "testedAndGuaranteed", "IHCFr-species-dilution-info": "1/50", "IHCFr-species-notes": "<p></p>", "ICCIF-species-checked": "guaranteed", "ICCIF-species-dilution-info": "", "ICCIF-species-notes": "", "FlowCytIntra-species-checked": "notRecommended", "FlowCytIntra-species-dilution-info": "", "FlowCytIntra-species-notes": "", "IP-species-checked": "notRecommended", "IP-species-dilution-info": "", "IP-species-notes": "" } } }

製品の詳細

Product Specifications
Anti-CD68 antibody [RM1031] (ab303565) is a recombinant rabbit multiclonal antibody which is comprised of multiple monoclonal antibodies targeting different epitopes and recapitulating the performance of a polyclonal. Each component clone was developed by Abcam using patented rabbit monoclonal antibody technology.
Anti-CD68 antibody [RM1031] (ab303565) is validated for use in ICC/IF, IHC-Fr, IHC-P and WB in human, mouse and rat samples.
Anti-CD68 antibody [RM1031] (ab303565) specifically detects CD68/ Macrosialin (UniProt ID: P34810; Molecular weight: 37kDa) and is sold in a convenient trial size to enable initial testing (20 µL) and larger sizes for subsequent scaling up experiments (100 µL and 1 mL).

Quality and Validation
Abcams high quality manufacturing and validation processes ensure Anti-CD68 antibody [RM1031] (ab303565) has high sensitivity and specificity alongside high lot-to-lot consistency and reproducibility.
The specificity of anti-CD68 antibody [RM1031] (ab303565) has been confirmed by testing in knockout samples.

Target Information
CD68 is a transmembrane glycoprotein predominantly located on macrophages, crucial for phagocytosis and antigen presentation. It is involved in various pathological conditions, including neuroinflammatory diseases, by clearing cellular debris and regulating immune responses. CD68 expression is associated with several diseases involving macrophage activity, such as cancer, neuroinflammation, granular cell tumors, and histiocytic sarcoma.

What are recombinant multiclonals?
Recombinant multiclonals are a mixture of recombinant antibodies co-expressed from a library of heavy and light chains. They offer several advantages including:

  • - The sensitivity of polyclonal antibodies by recognising multiple epitopes
  • - High batch-to-batch consistency and reproducibility
  • - Improved sensitivity and specificity
  • - Long-term security of supply
  • - Animal-free batch production

View our range of recombinant multiclonal antibodies.

Patented technology
Our RabMAb® technology is a patented hybridoma-based technology for making rabbit monoclonal antibodies. For details on our patents, please refer to RabMAb® patents.

出荷温度及び保存条件

製品の状態
Liquid
精製方法
Affinity purification Protein A
バッファー組成
pH: 7.2 - 7.4 Preservative: 0.01% Sodium azide Constituents: PBS, 40% Glycerol (glycerin, glycerine), 0.05% BSA
出荷温度
Blue Ice
短期保存期間
1-2 weeks
短期保存温度
+4°C
長期保存温度
-20°C
分注に関する情報
Upon delivery aliquot
保管に関する情報
Avoid freeze / thaw cycle

補足情報

This supplementary information is collated from multiple sources and compiled automatically.

CD68 is a glycoprotein that functions as a scavenger receptor. It plays an important role in the regulation of cellular debris and apoptotic cell clearance. Researchers often refer to it as KP1 or macrosialin in the literature. CD68 with a molecular weight of approximately 110 kDa is highly expressed in macrophages and monocytes. The mucin-like structure of CD68 allows it to be heavily glycosylated which aids in its function. Researchers detect CD68 in tissues through methods like immunohistochemistry (IHC) immunofluorescence and CD68 staining and it is widely used as a macrophage marker in research.
Biological function summary

CD68 facilitates functions associated with the innate immune response. It serves as an important part of macrophages which contribute to immune surveillance and tissue homeostasis. Though it primarily operates on its own in some contexts CD68 might assist in forming complexes with other receptors to modulate phagocytic activity. This target is significant in atherosclerotic plaque stability as macrophages engulf lipids and cell debris through processes facilitated by CD68.

Pathways

CD68 is involved in pathways connected to inflammation and phagocytosis. The CD68 protein works closely with other scavenger receptors like CD36 to mediate uptake of oxidized low-density lipoproteins (oxLDL) in the lipid metabolism pathway. Additionally CD68 engagement can influence the toll-like receptor (TLR) signaling pathways thereby linking innate immunity and inflammatory responses critical for host defense and disease progression.

CD68 is associated with atherosclerosis and multiple sclerosis. In atherosclerosis its role becomes evident as it accumulates in macrophages within the plaques making it a marker of disease severity. In multiple sclerosis CD68 expression in macrophages and microglia indicates active demyelination and inflammation. It also relates to proteins such as CD36 in atherosclerosis where both mediate the uptake of modified LDL contributing to foam cell formation in plaques.

製品プロトコール

For this product, it's our understanding that no specific protocols are required. You can visit:

ターゲットの情報

Could play a role in phagocytic activities of tissue macrophages, both in intracellular lysosomal metabolism and extracellular cell-cell and cell-pathogen interactions. Binds to tissue- and organ-specific lectins or selectins, allowing homing of macrophage subsets to particular sites. Rapid recirculation of CD68 from endosomes and lysosomes to the plasma membrane may allow macrophages to crawl over selectin-bearing substrates or other cells.
See full target information CD68

追加のターゲット

Cd68

文献 (31)

Recent publications for all applications. Explore the full list and refine your search

Biomedicines 13: PubMed41007741

2025

Spatial Distribution and Phenotypic Profiling of Cd68 and Cd163 Macrophages in Melanoma Progression: Insights into Tumor Microenvironment Dynamics.

Applications

Unspecified application

Species

Unspecified reactive species

Grigory Demyashkin,Dmitrii Atiakshin,Kirill Silakov,Vladimir Shchekin,Maxim Bobrov,Matvey Vadyukhin,Tatyana Borovaya,Ekaterina Blinova,Petr Shegay,Andrei Kaprin

Pharmaceutics 17: PubMed40871009

2025

Recombinant Human Annexin A5 Ameliorates Localized Scleroderma by Inhibiting the Activation of Fibroblasts and Macrophages.

Applications

Unspecified application

Species

Unspecified reactive species

Bijun Kang,Zhuoxuan Jia,Wei Li,Wenjie Zhang

Journal for immunotherapy of cancer 13: PubMed40846326

2025

Multiomics integration analysis identifies tumor cell-derived MIF as a therapeutic target and potentiates anti-PD-1 therapy in osteosarcoma.

Applications

Unspecified application

Species

Unspecified reactive species

Weidong Chen,Yan Liao,Hao Yao,Yutong Zou,Ji Fang,Jiongfeng Zhang,Zehao Guo,Jian Tu,Junkai Chen,Zijun Huo,Lili Wen,Xianbiao Xie

Medical sciences (Basel, Switzerland) 13: PubMed40843751

2025

Phenotypic and Spatial Characterization of Tumor-Associated Macrophages in Non-Metastatic Seminoma: Association with Local Tumor Progression.

Applications

Unspecified application

Species

Unspecified reactive species

Grigory Demyashkin,Vladimir Shchekin,Dmitriy Belokopytov,Tatyana Borovaya,Ivan Zaborsky,Kadir Safiullin,Oleg Karyakin,Alexey Krasheninnikov,Nikolay Vorobyev,Petr Shegay,Andrei Kaprin

PloS one 20:e0329801 PubMed40788933

2025

A multi-omics atlas of CAF subtypes reveals apCAF-M2 macrophage interactions driving immune resistance in glioma.

Applications

Unspecified application

Species

Unspecified reactive species

Yubo Ren,Dengfeng Lu,Fei Wang,Zixuan Wang,Jinfeng Li,Run Huang,Yue Lu,Aojie Duan,Renjie Shou,Jiangang Liu,Zhouqing Chen,Zhong Wang,Xiaoou Sun

International journal of nanomedicine 20:9093-9110 PubMed40692539

2025

Amelioration of Inflammation and Metabolic Blockage in GALC Deficient Mice After Enzyme Replacement Therapy via Extracellular Vesicles.

Applications

Unspecified application

Species

Unspecified reactive species

Diego Zelada,Natalia Saldivia,Shayla Samano,Diann George,Kenvi Chaudhari,Duc Nguyen,Daniel Simchuk,Richard B Van Breemen,Maria Irene Givogri

Neuroscience bulletin : PubMed40684422

2025

Single-Cell Sequencing Reveals Circadian Sensitivity of Noise-Induced Hearing Loss Mediated by Macrophage-Driven NLRP3 Inflammasome Activation.

Applications

Unspecified application

Species

Unspecified reactive species

Qingping Ma,Qixuan Wang,Zixuan Zhu,Qian Zhou,Zhongying Wang,Minfei Qian,Teng Li,Xixi Gu,Zechuan Chen,Xueling Wang,Xiaoming Zhang,Zhiwu Huang

Lipids in health and disease 24:239 PubMed40660209

2025

Lipid infiltration promotes trans-differentiation of vascular smooth muscle cells into macrophage-like cells in early lesions of human coronary atherosclerosis.

Applications

Unspecified application

Species

Unspecified reactive species

Junhai Hao,Jiang Liu,Jiahui Zhou,Yuanfeng Liang,Wanwen Chen,Yueheng Wu,Zhanyi Lin

Communications biology 8:1009 PubMed40617906

2025

Ursodeoxycholic acid alleviates aortic aneurysm and dissection through the intestinal farnesoid X receptor/ceramide synthase 2 axis.

Applications

Unspecified application

Species

Unspecified reactive species

Zhaofeng Zhang,Linfeng Xie,Xinfan Lin,Jian He,Yuling Xie,Jiakang Li,Xinghui Zhuang,Lele Tang,Rumei Xie,Qingsong Wu,Zhihuang Qiu,Liangwan Chen

Acta neuropathologica communications 13:149 PubMed40618150

2025

Orthotopic pituitary tumors generated by stereotaxic GC cell injection in immunocompetent rats.

Applications

Unspecified application

Species

Unspecified reactive species

Etienne Lefevre,Fanny Chasseloup,Nataly Ladurelle,Clément Janot,Jean Laurent Thibaud,Isabelle Beau,Clovis Adam,Céline des Courtils,Philippe Zizzari,Alexandre Carpentier,Peter Kamenický
View all publications

Abcam product promise

当社は、高品質な試薬を通じてお客様の研究を力強くサポートすることをお約束いたします。ご使用いただく各段階で、常にお客様をサポートできる体制を整えております。万が一、製品が期待通りに機能しない場合は、「Abcam Product Promise」による当社保証制度に基づき、安心してご利用いただけます。
保証に関する詳細については利用規約をご確認ください。

Please note: All products are 'FOR RESEARCH USE ONLY. NOT FOR USE IN DIAGNOSTIC OR THERAPEUTIC PROCEDURES'.

For licensing inquiries, please contact partnerships@abcam.com