JavaScript is disabled in your browser. Please enable JavaScript to view this website.
AB134045

Anti-CD63 抗体 [EPR5702] - Late Endosome Marker

Anti-CD63 antibody [EPR5702] - Late Endosome Marker

3

(6 Reviews)

|

(663 Publications)

Anti-CD63 antibody [EPR5702] - Late Endosome Marker (ab134045) is a rabbit monoclonal antibody detecting CD63 in Western Blot, IHC-P. Suitable for Human.

- KO validated for confirmed specificity
- Biophysical QC for unrivalled batch-batch consistency
- Over 380 publications

別名を表示する

CD63, MLA1, TSPAN30, CD63 antigen, Granulophysin, Lysosomal-associated membrane protein 3, Lysosome integral membrane protein 1, Melanoma-associated antigen ME491, OMA81H, Ocular melanoma-associated antigen, Tetraspanin-30, LAMP-3, Limp1, Tspan-30

8 Images
Immunohistochemistry (Formalin/PFA-fixed paraffin-embedded sections) - Anti-CD63 antibody [EPR5702] - Late Endosome Marker (AB134045)
  • IHC-P

Unknown

Immunohistochemistry (Formalin/PFA-fixed paraffin-embedded sections) - Anti-CD63 antibody [EPR5702] - Late Endosome Marker (AB134045)

Immunohistochemistry (Formalin/PFA-fixed paraffin-embedded sections) analysis of human melanoma tissue labelling CD63 with unpurified ab134045 at a dilution of 1/250.

Perform heat mediated antigen retrieval before commencing with IHC staining protocol.

Immunohistochemistry (Formalin/PFA-fixed paraffin-embedded sections) - Anti-CD63 antibody [EPR5702] - Late Endosome Marker (AB134045)
  • IHC-P

Lab

Immunohistochemistry (Formalin/PFA-fixed paraffin-embedded sections) - Anti-CD63 antibody [EPR5702] - Late Endosome Marker (AB134045)

Immunohistochemistry (Formalin/PFA-fixed paraffin-embedded sections) analysis of human tonsil tissue labelling CD63 with purified ab134045 at 1/2000. Heat mediated antigen retrieval was performed using Tris/EDTA buffer pH 9. ab97051, a HRP-conjugated goat anti-rabbit IgG (H+L) was used as the secondary antibody (1/500). Negative control using PBS instead of primary antibody. Counterstained with hematoxylin.

Immunohistochemistry (Formalin/PFA-fixed paraffin-embedded sections) - Anti-CD63 antibody [EPR5702] - Late Endosome Marker (AB134045)
  • IHC-P

Lab

Immunohistochemistry (Formalin/PFA-fixed paraffin-embedded sections) - Anti-CD63 antibody [EPR5702] - Late Endosome Marker (AB134045)

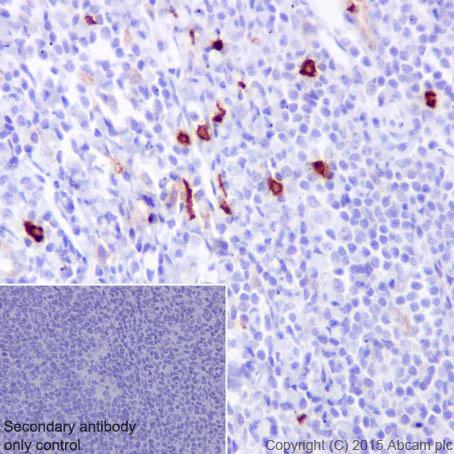
Immunohistochemical analysis of formalin fixed paraffin embedded human tonsil staining CD63 with ab134045 at a concentration of 0.1 µg/ml. The immunostaining was performed on a Ventana DISCOVERY ULTRA (Roche Tissue Diagnostics) instrument with a OptiView DAB IHC Detection Kit. Heat mediated antigen retrieval was performed with DISCOVERY cell conditioning solution (CC1) 100°C, pH8.5 for 32mins.

ab134045 anti-CD63 [EPR5702] was incubated for 16mins at 37°C. Sections were counterstained with Hematoxylin II. Image inset shows absence of staining in secondary antibody only control.

Customers are encouraged to optimise antigen retrieval conditions, antibody concentration, incubation times and temperature for best results in their own IHC assay workflow (automated and manual)

Immunohistochemistry (Formalin/PFA-fixed paraffin-embedded sections) - Anti-CD63 antibody [EPR5702] - Late Endosome Marker (AB134045)
  • IHC-P

Lab

Immunohistochemistry (Formalin/PFA-fixed paraffin-embedded sections) - Anti-CD63 antibody [EPR5702] - Late Endosome Marker (AB134045)

Immunohistochemistry (Formalin/PFA-fixed paraffin-embedded sections) analysis of human skeletal muscle tissue (negative control) labelling CD63 with purified ab134045 at 1/2000. Heat mediated antigen retrieval was performed using Tris/EDTA buffer pH 9. ab97051, a HRP-conjugated goat anti-rabbit IgG (H+L) was used as the secondary antibody (1/500). Negative control using PBS instead of primary antibody. Counterstained with hematoxylin.

Western blot - Anti-CD63 antibody [EPR5702] - Late Endosome Marker (AB134045)
  • WB

Lab

Western blot - Anti-CD63 antibody [EPR5702] - Late Endosome Marker (AB134045)

Anti-CD63 antibody [EPR5702] (ab134045) staining at 1/1000 dilution, shown in green; Mouse anti-Alpha Tubulin [DM1A] (ab7291) loading control staining at 1/20000 dilution, shown in red. In Western blot, ab134045 was shown to bind specifically to CD63. A band was observed at 30 kDa in wild-type HepG2 cell lysates with no signal observed at this size in CD63 knockout cell line ab280796 (knockout cell lysate ab283828). To generate this image, wild-type and CD63 knockout HepG2 cell lysates were analysed. First, samples were run on an SDS-PAGE gel then transferred onto a nitrocellulose membrane. Membranes were blocked in 3 % milk in TBS-0.1 % Tween® 20 (TBS-T) before incubation with primary antibodies overnight at 4 °C. Blots were washed four times in TBS-T, incubated with secondary antibodies for 1 h at room temperature, washed again four times then imaged. Secondary antibodies used were Goat anti-Rabbit IgG H&L 800CW and Goat anti-Mouse IgG H&L 680RD at 1/20000 dilution.

All lanes:

Western blot - Anti-CD63 antibody [EPR5702] - Late Endosome Marker (ab134045) at 1/1000 dilution

Lanes 1 - 4:

Western blot at 20 µg

Lanes 3 - 4:

Western blot - Human CD63 knockout Hep G2 cell lysate (ab283828)

Lanes 3 - 4:

Western blot - Human CD63 knockout Hep G2 cell line (<a href='/products/cell-lines/human-cd63-knockout-hep-g2-cell-line-ab280796'>ab280796</a>)

Secondary

All lanes:

Goat anti-Rabbit IgG H&L 800CW and Goat anti-Mouse IgG H&L 680RD at 1/20000 dilution

Predicted band size: 26 kDa

Observed band size: 30 kDa

false

Western blot - Anti-CD63 antibody [EPR5702] - Late Endosome Marker (AB134045)
  • WB

Lab

Western blot - Anti-CD63 antibody [EPR5702] - Late Endosome Marker (AB134045)

Blocking and dilution buffer : 5% NFDM/TBST.

All lanes:

Western blot - Anti-CD63 antibody [EPR5702] - Late Endosome Marker (ab134045) at 1/5000 dilution

Lane 1:

A375 whole cell lysate at 20 µg

Lane 2:

HL-60 whole cell lysate at 20 µg

Lane 3:

Human melanoma tissue lysate at 20 µg

Secondary

All lanes:

HRP-conjugated anti-rabbit IgG, specific to the non-reduced form of IgG at 1/1000 dilution

Predicted band size: 26 kDa

Observed band size: 30-65 kDa

false

Western blot - Anti-CD63 antibody [EPR5702] - Late Endosome Marker (AB134045)
  • WB

Lab

Western blot - Anti-CD63 antibody [EPR5702] - Late Endosome Marker (AB134045)

Lanes 1 - 6 : Merged signal (red and green). Green - ab134045 observed at 26 kDa. Red - loading control, ab9484, observed at 37 kDa.

ab134045 was shown to specifically react with CD63 in wild-type HAP1 Brefeldin A treated cells as signal was lost in HAP1 Brefeldin A treated CD63 knockout cells. Wild-type and CD63 knockout samples were subjected to SDS-PAGE. ab134045 and ab9484 (Mouse anti-GAPDH loading control) were incubated overnight at 4°C at 1/1000 dilution and 1/20000 dilution respectively. Blots were developed with Goat anti-Rabbit IgG H&L (IRDye® 800CW) preabsorbed ab216773 and Goat anti-Mouse IgG H&L (IRDye® 680RD) preabsorbed ab216776 secondary antibodies at 1/20000 dilution for 1 hour at room temperature before imaging.

All lanes:

Western blot - Anti-CD63 antibody [EPR5702] - Late Endosome Marker (ab134045) at 1/1000 dilution

Lane 1:

Wild-type HAP1 whole cell lysate at 20 µg

Lane 2:

Brefeldin A treated wild-type HAP1 whole cell lysate at 20 µg

Lane 3:

CD63 knockout HAP1 whole cell lysate at 20 µg

Lane 4:

Brefeldin A treated CD63 knockout HAP1 whole cell lysate at 20 µg

Lane 5:

HL60 whole cell lysate at 20 µg

Lane 6:

Human platelets whole cell lysate at 20 µg

Predicted band size: 26 kDa

false

Western blot - Anti-CD63 antibody [EPR5702] - Late Endosome Marker (AB134045)
  • WB

Unknown

Western blot - Anti-CD63 antibody [EPR5702] - Late Endosome Marker (AB134045)

All lanes:

Western blot - Anti-CD63 antibody [EPR5702] - Late Endosome Marker (ab134045) at 1/1000 dilution

Lane 1:

Human platelet lysate at 10 µg

Lane 2:

Human melanoma lysate at 10 µg

Lane 3:

HL-60 lysate at 10 µg

Lane 4:

A375 lysate at 10 µg

Secondary

All lanes:

HRP-conjugated goat anti-rabbit IgG at 1/2000 dilution

Predicted band size: 26 kDa

false

関連する標識済み抗体及び組成の異なる製品 (3)

  • Carrier free

    Anti-CD63 antibody [EPR5702] - BSA and Azide free

  • 665 Alexa Fluor® 647

    Alexa Fluor® 647 Anti-CD63 - Late Endosome Marker antibody [EPR5702]

  • Biotin

    Biotin Anti-CD63 antibody [EPR5702] - Late Endosome Marker

Key facts

宿主種

Rabbit

クローン性

Monoclonal

クローン番号

EPR5702

アイソタイプ

IgG

キャリアフリー

No

交差種

Human

アプリケーション

WB, IHC-P

applications

免疫原

The exact immunogen used to generate this antibody is proprietary information.

Reactivity data

{ "title": "Reactivity Data", "filters": { "stats": ["", "Species", "Dilution Info", "Notes"], "tabs": { "all-applications": {"fullname" : "All Applications", "shortname": "All Applications"}, "IHCP" : {"fullname" : "Immunohistochemistry (Formalin/PFA-fixed paraffin-embedded sections)", "shortname":"IHC-P"}, "WB" : {"fullname" : "Western blot", "shortname":"WB"} }, "product-promise": { "all": "all", "testedAndGuaranteed": "tested", "guaranteed": "expected", "predicted": "predicted", "notRecommended": "not-recommended" } }, "values": { "Human": { "IHCP-species-checked": "testedAndGuaranteed", "IHCP-species-dilution-info": "1/2000", "IHCP-species-notes": "<p><strong>For unpurified use at 1/250 - 1/500.</strong></p>", "WB-species-checked": "testedAndGuaranteed", "WB-species-dilution-info": "1/1000 - 1/10000", "WB-species-notes": "<p></p>" } } }

製品の詳細

Product Specifications

Anti-CD63 antibody [EPR5702] - Late Endosome Marker (ab134045) was developed by Abcam using patented rabbit monoclonal antibody technology and is validated for use in IHC-P, WB in human samples.
Anti-CD63 antibody [EPR5702] - Late Endosome Marker (ab134045) specifically detects CD63 (UniProt ID: P08962; Molecular weight: 26kDa) and is sold in 100 µL and 1 mL selling sizes.

Quality and Validation

Abcam's high quality manufacturing and validation processes ensure Anti-CD63 antibody [EPR5702] - Late Endosome Marker (ab134045) has high sensitivity and specificity alongside high lot-to-lot consistency and reproducibility.
The specificity of Anti-CD63 antibody [EPR5702] - Late Endosome Marker (ab134045) has been confirmed by testing in knockout samples.
Anti-CD63 antibody [EPR5702] - Late Endosome Marker (ab134045) has been cited over 379 times in peer reviewed journals and is trusted by the scientific community.
Anti-CD63 antibody [EPR5702] - Late Endosome Marker (ab134045) has 5 independent reviews from customers.
Related Products
Conjugation-ready, carrier free format available for antibody clone EPR5702 - ab215821.
Antibody clone EPR5702 is also available pre-conjugated to a variety of labels for your convenience - Alexa Fluor® 647 (ab309976, ab316180).
Target Information
CD63, also known as LAMP3 or Granulophysin, is a member of the tetraspanin family and is widely expressed on the surface of various cells, including macrophages and lymphocytes. It plays a crucial role in the formation and release of exosomes. CD63 (Granulophysin) is highly expressed in various tumor cells and also impacts the tumor microenvironment (TME) by regulating cell communication. Additionally, CD63 facilitates the degradation of the extracellular matrix, aiding in tumor cell invasion and metastasis.

Patented technology
Our RabMAb® technology is a patented hybridoma-based technology for making rabbit monoclonal antibodies. For details on our patents, please refer to RabMAb® patents.

What are the advantages of a recombinant monoclonal antibody?
This product is a recombinant monoclonal antibody, which offers several advantages including:

  • - High batch-to-batch consistency and reproducibility
  • - Improved sensitivity and specificity
  • - Long-term security of supply
  • - Animal-free batch production

For more information, read more on recombinant antibodies.

Species reactivity
Rat: We have preliminary internal testing data to indicate this antibody may not react with this species.
Please contact us for more information.

出荷温度及び保存条件

製品の状態
Liquid
精製方法
Affinity purification Protein A
バッファー組成
pH: 7.2 - 7.4 Preservative: 0.01% Sodium azide Constituents: PBS, 40% Glycerol (glycerin, glycerine), 0.05% BSA
出荷温度
Blue Ice
短期保存期間
1-2 weeks
短期保存温度
+4°C
長期保存温度
-20°C
分注に関する情報
Upon delivery aliquot
保管に関する情報
Stable for 12 months at -20°C

補足情報

This supplementary information is collated from multiple sources and compiled automatically.

CD63 is a protein commonly known as LAMP-3 a member of the tetraspanin family with a molecular weight of approximately 25-65 kDa depending on post-translational modifications such as glycosylation. It resides mainly on the membrane of intracellular vesicles such as lysosomes and platelets. CD63 also appears on the surface of activated cells particularly in immune cells. Researchers often use CD63 as a marker in assays including CD63 western blot techniques due to its distinct expression patterns.
Biological function summary

CD63 participates in various cellular processes including membrane trafficking cell adhesion and signal transduction. It associates with integrins and other tetraspanins forming complexes that influence cellular adhesion and migration. Through its role in exosome formation CD63 contributes significantly to intercellular communication by facilitating the transfer of proteins lipids and RNA between cells.

Pathways

CD63 plays a role in pathways linked to cell proliferation and migration and immune response regulation. Within the integrin-mediated signaling pathway CD63 interacts with proteins such as integrins to promote cell adhesion and migration. CD63 also links to vesicle trafficking pathways collaborating with proteins involved in exocytosis and endocytosis which affect cell membrane restructuring and intracellular transport.

CD63 shows connections with cancer and immune system disorders. Its role in promoting cell adhesion and migration links it with cancer metastasis including melanoma and breast cancer where CD63 expression levels often rise. Additionally CD63 associates with allergic reactions due to its involvement in histamine release where it impacts immune proteins like FcεRI which participate in allergy pathogenesis.

製品プロトコール

For this product, it's our understanding that no specific protocols are required. You can visit:

ターゲットの情報

The protein expressed by gene CD63 functions as a cell surface receptor for TIMP1 and is involved in the activation of various cellular signaling cascades. It plays a role in the activation of ITGB1 and integrin signaling, which leads to the activation of AKT, FAK/PTK2, and MAP kinases, promoting cell survival, actin cytoskeleton reorganization, and cell adhesion, spreading, and migration through the activation of AKT and FAK/PTK2. Additionally, it participates in VEGFA signaling by regulating the internalization of KDR/VEGFR2. CD63 is involved in intracellular vesicular transport processes and is essential for the normal trafficking of the PMEL luminal domain, crucial for melanocyte development and maturation. It also contributes to leukocyte adhesion onto endothelial cells by regulating SELP trafficking. CD63 may play a role in mast cell degranulation in response to Ms4a2/FceRI stimulation, but not in response to other stimuli. This supplementary information is collated from multiple sources and compiled automatically.
See full target information CD63

文献 (663)

Recent publications for all applications. Explore the full list and refine your search

Bioengineering & translational medicine 10:e70025 PubMed41030280

2025

Engineering biomimetic nanovesicles for PEBP1 mRNA delivery to inhibit ferroptosis in abdominal aortic aneurysm.

Applications

Unspecified application

Species

Unspecified reactive species

Lulu Chen,Bicheng Chen,Xiang Su

International journal of molecular sciences 26: PubMed41009408

2025

Extracellular Vesicles Derived from Human Umbilical Cord Mesenchymal Stem Cells Alleviated the Inflammatory Response in Mice Infected with the Influenza Virus A (H1N1).

Applications

Unspecified application

Species

Unspecified reactive species

Hui Xiao,Xiao Yu,Yiding Dong,Shilong Bao,Xiaoting Meng,Jia Zhao,Zhiyong Dong

Frontiers in cell and developmental biology 13:1620648 PubMed40977891

2025

Multi-transcriptomics analysis of ferroptosis related genes reveals CAFs exosomal COX4I2 as a novel therapeutic target in osteosarcoma.

Applications

Unspecified application

Species

Unspecified reactive species

Xiaoying Niu,Xinxin Zhang,Zhongyi Li,Wen Tian

Journal of extracellular vesicles 14:e70160 PubMed40955457

2025

Epidermal Stem Cell-Derived Extracellular Vesicles Induce Fibroblasts Mesenchymal-Epidermal Transition to Alleviate Hypertrophic Scar Formation via miR-200s Inhibition of ZEB1 and 2.

Applications

Unspecified application

Species

Unspecified reactive species

Miao Zhen,Juntao Xie,Rui Yang,Lijuan Liu,Hengdeng Liu,Xuefeng He,Suyue Gao,Junyou Zhu,Jingting Li,Bin Shu,Peng Wang

Brazilian journal of otorhinolaryngology 91:101703 PubMed40916258

2025

Effects of fibroblasts-derived exosomal FAP in regulating EMT in epithelial cells from chronic rhinosinusitis.

Applications

Unspecified application

Species

Unspecified reactive species

Li-Fang Shen,Zi-Ming Fu,Hai-Hong Chen

Nature communications 16:8186 PubMed40897707

2025

Defective neutrophil-derived exosomes facilitate macrophage activation through miR-122-5p in Behçet's disease.

Applications

Unspecified application

Species

Unspecified reactive species

Xin Yu,Menghao Zhang,Na Kang,Chaoran Li,Zhimian Wang,Yiyuan Ao,Lu Li,Xiao'ou Wang,Yeling Liu,Lidan Zhao,Li Wang,Min Shen,Jinjing Liu,Yan Zhao,Fengchun Zhang,Hua Chen,Wenjie Zheng

PloS one 20:e0329985 PubMed40864638

2025

Protocol for the isolation and characterization of porcine brain region-associated extracellular particles.

Applications

Unspecified application

Species

Unspecified reactive species

Abigail De Avila,Mayra Diaz,Bruno A Cisterna,Solangel Castillo,Juan Pablo Lezana,Jay Molino,Luis Luis,Miryam Venegas-Anaya,Diego Reginensi

Discover oncology 16:1638 PubMed40864330

2025

CAF-derived exosomal LncRNA ANRIL promotes glycolytic metabolism and proliferation in non-small cell lung cancer via the miR-186-5p/HIF-1α axis.

Applications

Unspecified application

Species

Unspecified reactive species

Baofan Zhang,Ruiyan Huang,Zhongjie Tang,Yufeng Hu

Molecular medicine (Cambridge, Mass.) 31:281 PubMed40849639

2025

CAF-derived exosomes drive the FGF4/SHH feedback loop by encapsulating GREM1 in non-small cell lung cancer.

Applications

Unspecified application

Species

Unspecified reactive species

Xianqiao Wu,Wei Chen,Tianzheng Fang,Ziyuan Chen,Shuai Fang,Chengwei Zhou

Molecular medicine (Cambridge, Mass.) 31:278 PubMed40819077

2025

Targeting LINC02544/miR-497-5p/CAPRIN1 axis via exosome-based siRNA to overcome immunotherapy resistance in triple-negative breast cancer.

Applications

Unspecified application

Species

Unspecified reactive species

Bin Lian,Jiayi Li,Shihui Tang,Ting Li,Jinping Li
View all publications

Abcam product promise

当社は、高品質な試薬を通じてお客様の研究を力強くサポートすることをお約束いたします。ご使用いただく各段階で、常にお客様をサポートできる体制を整えております。万が一、製品が期待通りに機能しない場合は、「Abcam Product Promise」による当社保証制度に基づき、安心してご利用いただけます。
保証に関する詳細については利用規約をご確認ください。

Please note: All products are 'FOR RESEARCH USE ONLY. NOT FOR USE IN DIAGNOSTIC OR THERAPEUTIC PROCEDURES'.

For licensing inquiries, please contact partnerships@abcam.com