JavaScript is disabled in your browser. Please enable JavaScript to view this website.
AB109218

Anti-CD6/T12 抗体 [EPR4056]

Anti-CD6/T12 antibody [EPR4056]

Be the first to review this product! Submit a review

|

(1 Publication)

Rabbit Recombinant Monoclonal CD6/T12 antibody. Suitable for IHC-P, WB and reacts with Human samples. Cited in 1 publication.

別名を表示する

CD6, T-cell differentiation antigen CD6, T12, TP120

6 Images
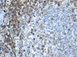
Immunohistochemistry (Formalin/PFA-fixed paraffin-embedded sections) - Anti-CD6/T12 antibody [EPR4056] (AB109218)
  • IHC-P

Unknown

Immunohistochemistry (Formalin/PFA-fixed paraffin-embedded sections) - Anti-CD6/T12 antibody [EPR4056] (AB109218)

ab109218 at a 1/100 dilution staining CD6/T12 in paraffin embedded Human lymphocytes infiltrating colon tissue by Immunohistochemistry.

Perform heat mediated antigen retrieval with citrate buffer pH 6 before commencing with IHC staining protocol.

Immunohistochemistry (Formalin/PFA-fixed paraffin-embedded sections) - Anti-CD6/T12 antibody [EPR4056] (AB109218)
  • IHC-P

Unknown

Immunohistochemistry (Formalin/PFA-fixed paraffin-embedded sections) - Anti-CD6/T12 antibody [EPR4056] (AB109218)

ab109218 showing negative staining in Normal uterus tissue.

Perform heat mediated antigen retrieval with citrate buffer pH 6 before commencing with IHC staining protocol.

Immunohistochemistry (Formalin/PFA-fixed paraffin-embedded sections) - Anti-CD6/T12 antibody [EPR4056] (AB109218)
  • IHC-P

Unknown

Immunohistochemistry (Formalin/PFA-fixed paraffin-embedded sections) - Anti-CD6/T12 antibody [EPR4056] (AB109218)

ab109218 at a 1/100 dilution staining CD6/T12 in paraffin embedded Human tonsil tissue by Immunohistochemistry.

Perform heat mediated antigen retrieval with citrate buffer pH 6 before commencing with IHC staining protocol.

Western blot - Anti-CD6/T12 antibody [EPR4056] (AB109218)
  • WB

Unknown

Western blot - Anti-CD6/T12 antibody [EPR4056] (AB109218)

All lanes:

Western blot - Anti-CD6/T12 antibody [EPR4056] (ab109218) at 1/1000 dilution

Lane 1:

Jurkat lysates at 10 µg

Lane 2:

HuT-78 lysates at 10 µg

Lane 3:

PBMC lysates at 10 µg

Lane 4:

Human tonsil lysates at 10 µg

Secondary

All lanes:

HRP labelled goat anti-rabbit at 1/2000 dilution

Predicted band size: 72 kDa

Observed band size: 90-130 kDa

false

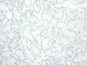
Immunohistochemistry (Formalin/PFA-fixed paraffin-embedded sections) - Anti-CD6/T12 antibody [EPR4056] (AB109218)
  • IHC-P

Unknown

Immunohistochemistry (Formalin/PFA-fixed paraffin-embedded sections) - Anti-CD6/T12 antibody [EPR4056] (AB109218)

ab109218 showing negative staining in Normal kidney tissue.

Perform heat mediated antigen retrieval with citrate buffer pH 6 before commencing with IHC staining protocol.

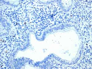
Immunohistochemistry (Formalin/PFA-fixed paraffin-embedded sections) - Anti-CD6/T12 antibody [EPR4056] (AB109218)
  • IHC-P

Unknown

Immunohistochemistry (Formalin/PFA-fixed paraffin-embedded sections) - Anti-CD6/T12 antibody [EPR4056] (AB109218)

ab109218 showing negative staining in Normal brain tissue.

Perform heat mediated antigen retrieval with citrate buffer pH 6 before commencing with IHC staining protocol.

関連する標識済み抗体及び組成の異なる製品 (1)

  • Carrier free

    Anti-CD6/T12 antibody [EPR4056] - BSA and Azide free

Key facts

宿主種

Rabbit

クローン性

Monoclonal

クローン番号

EPR4056

アイソタイプ

IgG

キャリアフリー

No

交差種

Human

アプリケーション

WB, IHC-P

applications

免疫原

The exact immunogen used to generate this antibody is proprietary information.

Reactivity data

{ "title": "Reactivity Data", "filters": { "stats": ["", "Species", "Dilution Info", "Notes"], "tabs": { "all-applications": {"fullname" : "All Applications", "shortname": "All Applications"}, "IHCP" : {"fullname" : "Immunohistochemistry (Formalin/PFA-fixed paraffin-embedded sections)", "shortname":"IHC-P"}, "ICCIF" : {"fullname" : "Immunocytochemistry/ Immunofluorescence", "shortname":"ICC/IF"}, "FlowCyt" : {"fullname" : "Flow Cytometry", "shortname":"Flow Cyt"}, "WB" : {"fullname" : "Western blot", "shortname":"WB"} }, "product-promise": { "all": "all", "testedAndGuaranteed": "tested", "guaranteed": "expected", "predicted": "predicted", "notRecommended": "not-recommended" } }, "values": { "Human": { "IHCP-species-checked": "testedAndGuaranteed", "IHCP-species-dilution-info": "1/250 - 1/500", "IHCP-species-notes": "<p>Antigen retrieval is recommended.</p>", "ICCIF-species-checked": "notRecommended", "ICCIF-species-dilution-info": "", "ICCIF-species-notes": "<p></p>", "FlowCyt-species-checked": "notRecommended", "FlowCyt-species-dilution-info": "", "FlowCyt-species-notes": "<p></p>", "WB-species-checked": "testedAndGuaranteed", "WB-species-dilution-info": "1/1000 - 1/10000", "WB-species-notes": "<p></p>" } } }

製品の詳細

Species reactivity
Mouse, Rat: We have preliminary internal testing data to indicate this antibody may not react with these species.
Please contact us for more information.

Patented technology
Our RabMAb® technology is a patented hybridoma-based technology for making rabbit monoclonal antibodies. For details on our patents, please refer to RabMAb® patents.

What are the advantages of a recombinant monoclonal antibody?
This product is a recombinant monoclonal antibody, which offers several advantages including:

  • - High batch-to-batch consistency and reproducibility
  • - Improved sensitivity and specificity
  • - Long-term security of supply
  • - Animal-free batch production

For more information, read more on recombinant antibodies.

出荷温度及び保存条件

製品の状態
Liquid
精製方法
Affinity purification Protein A
バッファー組成
pH: 7.2 - 7.4 Preservative: 0.05% Sodium azide Constituents: 50% Tissue culture supernatant, 40% Glycerol (glycerin, glycerine), 9.85% Tris glycine, 0.1% BSA
出荷温度
Blue Ice
短期保存温度
+4°C
長期保存温度
-20°C
保管に関する情報
Stable for 12 months at -20°C

補足情報

This supplementary information is collated from multiple sources and compiled automatically.

CD6 also known as T12 is a glycoprotein expressed on T cells and some subsets of B cells. The protein has a molecular mass of approximately 105-130 kDa. CD6 is primarily located on the surface of thymocytes mature T lymphocytes and on some B cell lines. It plays an important role in the immunological synapse serving as a receptor that aids in cell-to-cell communication during immune responses. The CD6 protein is also detectable in immune tissues including the spleen and lymph nodes.
Biological function summary

CD6 functions involve T cell maturation and proliferation. The protein is part of the lymphocyte activation complex contributing to the modulation of T cell receptor (TCR) signaling. It interacts with other cell surface proteins such as CD3 and CD28 to influence the response of T cells to antigens. CD6 potentially modulates the threshold for T cell activation favoring the adjustment of immune responses to various antigens.

Pathways

CD6 participates in the signaling pathways that regulate adaptive immune responses. It is involved in the T cell receptor (TCR) signaling pathway essential for T cell activation and differentiation. CD6 interacts with proteins like LCK and ZAP-70 which are pivotal for the TCR signaling cascade. Additionally CD6's role in immune synapse formation connects it to the modulation of cytokine production and immune cell communication.

CD6 associates with autoimmune diseases and multiple sclerosis. The protein's involvement in T cell activation and immune regulation makes it a candidate for studies targeting autoimmune pathologies. Autoimmune disorders such as rheumatoid arthritis have shown links with CD6's activity as its deregulation can lead to inappropriate immune responses. Additionally CD6's interaction with proteins like CD166 has implications in the pathogenesis of these disorders indicating a potential target for therapeutic interventions.

製品プロトコール

For this product, it's our understanding that no specific protocols are required. You can visit:

ターゲットの情報

Cell adhesion molecule that mediates cell-cell contacts and regulates T-cell responses via its interaction with ALCAM/CD166 (PubMed : 15048703, PubMed : 15294938, PubMed : 16352806, PubMed : 16914752, PubMed : 24584089, PubMed : 24945728). Contributes to signaling cascades triggered by activation of the TCR/CD3 complex (PubMed : 24584089). Functions as a costimulatory molecule; promotes T-cell activation and proliferation (PubMed : 15294938, PubMed : 16352806, PubMed : 16914752). Contributes to the formation and maturation of the immunological synapse (PubMed : 15294938, PubMed : 16352806). Functions as a calcium-dependent pattern receptor that binds and aggregates both Gram-positive and Gram-negative bacteria. Binds both lipopolysaccharide (LPS) from Gram-negative bacteria and lipoteichoic acid from Gram-positive bacteria (PubMed : 17601777). LPS binding leads to the activation of signaling cascades and down-stream MAP kinases (PubMed : 17601777). Mediates activation of the inflammatory response and the secretion of pro-inflammatory cytokines in response to LPS (PubMed : 17601777).
See full target information T-cell differentiation antigen CD6

文献 (1)

Recent publications for all applications. Explore the full list and refine your search

Analytical cellular pathology (Amsterdam) 2023:4024887 PubMed37621743

2023

Mesenchymal Stem Cell-Derived Exosomal miRNA-222-3p Increases Th1/Th2 Ratio and Promotes Apoptosis of Acute Myeloid Leukemia Cells.

Applications

Unspecified application

Species

Unspecified reactive species

Yuan Yuan,Shengfen Tan,Huanhuan Wang,Junfeng Zhu,Jiajia Li,Pingping Zhang,Meng Wang,Feng Zhang
View all publications

Abcam product promise

当社は、高品質な試薬を通じてお客様の研究を力強くサポートすることをお約束いたします。ご使用いただく各段階で、常にお客様をサポートできる体制を整えております。万が一、製品が期待通りに機能しない場合は、「Abcam Product Promise」による当社保証制度に基づき、安心してご利用いただけます。
保証に関する詳細については利用規約をご確認ください。

Please note: All products are 'FOR RESEARCH USE ONLY. NOT FOR USE IN DIAGNOSTIC OR THERAPEUTIC PROCEDURES'.

For licensing inquiries, please contact partnerships@abcam.com