JavaScript is disabled in your browser. Please enable JavaScript to view this website.
AB231314

Anti-CD6/T12 抗体

Anti-CD6/T12 antibody

Be the first to review this product! Submit a review

|

(1 Publication)

Rabbit Polyclonal CD6/T12 antibody. Suitable for WB, IHC-P and reacts with Mouse, Human samples. Cited in 1 publication. Immunogen corresponding to Recombinant Fragment Protein within Mouse T-cell differentiation antigen CD6 aa 1-250.

別名を表示する

CD6, T-cell differentiation antigen CD6, T12, TP120

4 Images
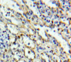
Immunohistochemistry (Formalin/PFA-fixed paraffin-embedded sections) - Anti-CD6/T12 antibody (AB231314)
  • IHC-P

Supplier Data

Immunohistochemistry (Formalin/PFA-fixed paraffin-embedded sections) - Anti-CD6/T12 antibody (AB231314)

Formalin-fixed, paraffin-embedded mouse spleen tissue stained for CD6/T12 using ab231314 at 20 μg/ml in immunohistochemical analysis. DAB staining.

Western blot - Anti-CD6/T12 antibody (AB231314)
  • WB

Supplier Data

Western blot - Anti-CD6/T12 antibody (AB231314)

All lanes:

Western blot - Anti-CD6/T12 antibody (ab231314) at 2 µg/mL

All lanes:

Mouse lymph node lysate

Predicted band size: 72 kDa

false

Western blot - Anti-CD6/T12 antibody (AB231314)
  • WB

Supplier Data

Western blot - Anti-CD6/T12 antibody (AB231314)

All lanes:

Western blot - Anti-CD6/T12 antibody (ab231314) at 2 µg/mL

All lanes:

Jurkat (human T cell leukemia cell line from peripheral blood) cell lysate

Predicted band size: 72 kDa

false

Western blot - Anti-CD6/T12 antibody (AB231314)
  • WB

Supplier Data

Western blot - Anti-CD6/T12 antibody (AB231314)

All lanes:

Western blot - Anti-CD6/T12 antibody (ab231314) at 2 µg/mL

All lanes:

Recombinant mouse CD6/T12 protein

Predicted band size: 72 kDa

false

Key facts

宿主種

Rabbit

クローン性

Polyclonal

アイソタイプ

IgG

キャリアフリー

No

交差種

Mouse, Human

アプリケーション

IHC-P, WB

applications

免疫原

Recombinant Fragment Protein within Mouse T-cell differentiation antigen CD6 aa 1-250. The exact immunogen used to generate this antibody is proprietary information.

Q61003

Reactivity data

{ "title": "Reactivity Data", "filters": { "stats": ["", "Species", "Dilution Info", "Notes"], "tabs": { "all-applications": {"fullname" : "All Applications", "shortname": "All Applications"}, "WB" : {"fullname" : "Western blot", "shortname":"WB"}, "IHCP" : {"fullname" : "Immunohistochemistry (Formalin/PFA-fixed paraffin-embedded sections)", "shortname":"IHC-P"} }, "product-promise": { "all": "all", "testedAndGuaranteed": "tested", "guaranteed": "expected", "predicted": "predicted", "notRecommended": "not-recommended" } }, "values": { "Human": { "WB-species-checked": "testedAndGuaranteed", "WB-species-dilution-info": "0.2-2 µg/mL", "WB-species-notes": "<p></p>", "IHCP-species-checked": "guaranteed", "IHCP-species-dilution-info": "", "IHCP-species-notes": "" }, "Mouse": { "WB-species-checked": "testedAndGuaranteed", "WB-species-dilution-info": "0.2-2 µg/mL", "WB-species-notes": "<p></p>", "IHCP-species-checked": "testedAndGuaranteed", "IHCP-species-dilution-info": "5-20 µg/mL", "IHCP-species-notes": "<p></p>" } } }

出荷温度及び保存条件

製品の状態
Liquid
精製方法
Affinity purification Immunogen
精製に関する特記事項
ab231314 was purified by antigen-specific affinity chromatography followed by Protein A affinity chromatography.
バッファー組成
pH: 7.4 Preservative: 0.02% Sodium azide Constituents: PBS, 55.77% Glycerol (glycerin, glycerine)
出荷温度
Blue Ice
短期保存期間
1-2 weeks
短期保存温度
+4°C
長期保存温度
-20°C
分注に関する情報
Upon delivery aliquot
保管に関する情報
Avoid freeze / thaw cycle

補足情報

This supplementary information is collated from multiple sources and compiled automatically.

CD6 also known as T12 is a glycoprotein expressed on T cells and some subsets of B cells. The protein has a molecular mass of approximately 105-130 kDa. CD6 is primarily located on the surface of thymocytes mature T lymphocytes and on some B cell lines. It plays an important role in the immunological synapse serving as a receptor that aids in cell-to-cell communication during immune responses. The CD6 protein is also detectable in immune tissues including the spleen and lymph nodes.
Biological function summary

CD6 functions involve T cell maturation and proliferation. The protein is part of the lymphocyte activation complex contributing to the modulation of T cell receptor (TCR) signaling. It interacts with other cell surface proteins such as CD3 and CD28 to influence the response of T cells to antigens. CD6 potentially modulates the threshold for T cell activation favoring the adjustment of immune responses to various antigens.

Pathways

CD6 participates in the signaling pathways that regulate adaptive immune responses. It is involved in the T cell receptor (TCR) signaling pathway essential for T cell activation and differentiation. CD6 interacts with proteins like LCK and ZAP-70 which are pivotal for the TCR signaling cascade. Additionally CD6's role in immune synapse formation connects it to the modulation of cytokine production and immune cell communication.

CD6 associates with autoimmune diseases and multiple sclerosis. The protein's involvement in T cell activation and immune regulation makes it a candidate for studies targeting autoimmune pathologies. Autoimmune disorders such as rheumatoid arthritis have shown links with CD6's activity as its deregulation can lead to inappropriate immune responses. Additionally CD6's interaction with proteins like CD166 has implications in the pathogenesis of these disorders indicating a potential target for therapeutic interventions.

製品プロトコール

For this product, it's our understanding that no specific protocols are required. You can visit:

ターゲットの情報

Cell adhesion molecule that mediates cell-cell contacts and regulates T-cell responses via its interaction with ALCAM/CD166 (PubMed : 15048703, PubMed : 15294938, PubMed : 16352806, PubMed : 16914752, PubMed : 24584089, PubMed : 24945728). Contributes to signaling cascades triggered by activation of the TCR/CD3 complex (PubMed : 24584089). Functions as a costimulatory molecule; promotes T-cell activation and proliferation (PubMed : 15294938, PubMed : 16352806, PubMed : 16914752). Contributes to the formation and maturation of the immunological synapse (PubMed : 15294938, PubMed : 16352806). Functions as a calcium-dependent pattern receptor that binds and aggregates both Gram-positive and Gram-negative bacteria. Binds both lipopolysaccharide (LPS) from Gram-negative bacteria and lipoteichoic acid from Gram-positive bacteria (PubMed : 17601777). LPS binding leads to the activation of signaling cascades and down-stream MAP kinases (PubMed : 17601777). Mediates activation of the inflammatory response and the secretion of pro-inflammatory cytokines in response to LPS (PubMed : 17601777).
See full target information T-cell differentiation antigen CD6

文献 (1)

Recent publications for all applications. Explore the full list and refine your search

iScience 28:113081 PubMed40740498

2025

Desmosomal cadherin tension loss in pemphigus vulgaris mediated by the inhibition of active RhoA at cell-cell adhesions.

Applications

Unspecified application

Species

Unspecified reactive species

Xiaowei Jin,Jordan Rosenbohm,Eunju Kim,Bahareh Tajvidi Safa,Amir Ostadi Moghaddam,Kristina Seiffert-Sinha,Merced Leiker,Elijah Jones,Haiwei Zhai,Sindora R Baddam,Grayson Minnick,Yucheng Huo,James K Wahl,Fanben Meng,Changjin Huang,Jung Yul Lim,Daniel E Conway,Animesh A Sinha,Ruiguo Yang
View all publications

Abcam product promise

当社は、高品質な試薬を通じてお客様の研究を力強くサポートすることをお約束いたします。ご使用いただく各段階で、常にお客様をサポートできる体制を整えております。万が一、製品が期待通りに機能しない場合は、「Abcam Product Promise」による当社保証制度に基づき、安心してご利用いただけます。
保証に関する詳細については利用規約をご確認ください。

Please note: All products are 'FOR RESEARCH USE ONLY. NOT FOR USE IN DIAGNOSTIC OR THERAPEUTIC PROCEDURES'.

For licensing inquiries, please contact partnerships@abcam.com